جراحة العظام

(تم التحويل من الأورتوبيديا)
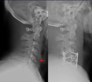
This fracture of the lower cervical vertebrae, known as a "teardrop fracture", is one of the conditions treated by orthopedic surgeons and neurosurgeons.
This image, taken in September 2006, shows extensive repair work to the right acetabulum 6 years after it was carried out (2000). Further damage to the joint is visible due to the onset of arthritis.

جراحة العظام هو فرع من فروع الجراحة الجراحية في الطب ويتخصص في مشاكل الجهاز العظمي والعضلي. ويستخدم جراح العظام الوسائل الجراحية وغير الجراحية لعلاج الحوادث المتعلقة بالجهاز العظمي والعضلي وأصابات الملاعب والعيوب الخلقية والآفات التنكسية الناتجة من كبر السن.

طب العظام يعنى بشكل عام بتصحيح الكسور جراحيا وتجبيرها إضافة إلى عمليات إصلاح وتبديل المفاصل التالفة. بالإضافة إلى أنواع أخرى من العمليات الجراحية التي تعالج أمراض العظام والجهاز الحركي.

المحتويات:

  • نظرة عامة
  • نظرة تاريخية
  • الامراض التي تشملها الجراحة العظمية


نظرةٌ عامّة

تأتي الكلمة اللاتينية من الكلمتين الإغريقيّتين Orthos (مستقيم) و Paidion (طفل). وهذا العلم المنتمي لفروع علوم الطبّ، ابتكر فكرة تأسيسه الطبيب الفرنسيّ نيكولا آندري Nicolas Andry عام 1741، في جامعة ليون آنذاك في كتاب له عن تصحيح أخطاء الجهاز العظمي لدي الأطفال: (L'orthopédie ou l'art de prévenir et corriger les difformités du corps chez les enfants) وسعى لتطبيب الأطفال ناقضًا بذلك الفكرة التي كانت سائدة بأن المعوقين جسديّا هم كذلك لأن الله أراد ذلك لهم. واعتمد على رسم لشجرةٍ معوجّة وقد ربطت إلى وتدٍ طويل مستقيم قائمٍ ليقوّمها، وبذلك قرّب فكرته التي تدور في رأسه آنذاك لأهالي الأطفال المعوّقين إعاقاتٍ جسديّة عظميّة وخلافها، وحتّى الأطبّاء إلى إمكانيّة علاج "اعوجاج الأطفال".

في أيّامنا هذه، بل وحتّى منذ فترة لا بأس بها، لم يعد يقتصر طبّ العظام على علاج الأطفال، بل أضحى فاعلا لعلاج مشاكل لكبار السنّ والكثير من المرضى الآخرين.

الأعضاء التي ينشغل بها هذا العلم هي الأعضاء الحركية وأعضاء القيام، يعني ذلك العظام والأربطة والمفاصل والعضلات والأوتار.

شهد هذا العلم العديد من الدفعات التطويريّة خاصّة في بداياته، ثمّ فبل وبُعيد الحرب العالميّة الأولى. وأخيرًا مع التطوّر العلميّ الكبير خاصّةً في تسعينيّات القرن الماضي.

تعريف

جراحة العظام فرع من فروع الطب يعالج اعتلالات العظام والعضلات والأنسجة المتصلة بها. ويُدعى الأطباء الذين يُمارسون جراحة العظام جراحو العظام. وهم يُعالجون مُشكلات طبية كثيرة في هذا المجال منها الكسور، وإصابات الأوتار والأربطة، وتشوهات الأطراف والعمود الفقري. وقد توجد بعض الاعتلالات العظمية منذ الولادة، بينما تظهر اعتلالات أخرى أثناء الطفولة بسبب مشكلات تتعلق بالنمو، أو في فترة متأخرة من العمر نتيجة للشيخوخة. كما تحدث اعتلالات أخرى نتيجة إصابة ما أو مرض. ويُشكل المصابون في حوادث السيارات، أو الأنشطة الرياضية أو أثناء التنزه والاستجمام عددًا كبيرًا من المرضى الذين يعالجهم اختصاصيو العظام. ويصف الأطباء لمعالجة الاعتلالات العظمية الأدوية، والجراحة، والعلاج الطبيعي. وقد يقوم الاختصاصي، على سبيل المثال، بإجراء جراحة لتقويم كسر أو تشوه. وبعد الجراحة قد يستخدم الاختصاصي قالبًا أو مقبضًا، ويصف العلاج الطبيعي كي يساعد على الشفاء. مثل هذه المعالجة قد تشمل استخدام جهاز يطلق نبضات كهربائية تُساعد العظم على الالتئام. كما قد يقوم الاختصاصي بإجراء جراحة لاستبدال مفصل من البلاستيك أو المعدن أو من مواد أخرى بمفصل ملتهب، أو مصاب. والمفصل الذي يستبدل عادة أكثر من غيره، هو مفصل الورك.

نظرةٌ تاريخيّة

يستخدم جراحو العظام أدوات شبيهة بأدوات النجارين والحدادين.

بدأ تطور هذا العلم بعد اهتمام العديد من الأطباء وإجرائهم الدراسات، من أمثال الطبيب جان-پيير دافيد الذي ألّف كتابا هامًّا آخر عام 1779. وفي عام 1980 أسس جان-أندري فنل أول مركز متخصص للعظام. وكان هذا المركز طبي متخصص في علاج العيوب الخلقية في الأطفال. لهذا يعتبر البعض جان-أندري فينل أب جراحة العظام.

عام 1830 بدأ الميول لقطع الأوتار المعوقة لدى الأطفال (حسب طريقة دلپش 1816 Delpech) خاصة في وتر أخيل Achille ثم في اعوجاج الظهر. هذا العلم كان محصور التطبيق على الأطفال واليافعين.

و في عام 1851 اخترع أنتونيس ماثيسن جبس باريس ومسحوق أبيض شديد النعومة يحضر بتكليس أو شوي الجبس (جص) ويستخدم لصنع الجبائر إلى يومنا هذا.

في ألمانيا كانت الجهود دائبة لتحسين أحوال المرضى الذين كانوا يعانون الأمرّين. ولم يكن المهتم بالأمر الأطباء فقط، بل إن تقنيّي الجراحة وصانعي الأجهزة الجراحية اللازمة لذلك، كانوا يدلون بدلوهم (مثل عائلة هاينِه Johann Georg Heine و Bernhard Heine على سبيل المثال لا الحصر) ويساعدون في تطور هذا العلم الذي وحتى هذا الحين يعتبر فنًّا يتوجب على الطبيب المعنيّ به أن يكون على درجة عالية من التركيز والإبداع.

وخصص الدكتور الفرنسي لوي ليوپول أولييه Louis Léopold Ollier حياته لدراسة وإصلاح العظام، خاصة وبالطبع المفاصل، ولربّما يعتبر بذلك "أبا-طب العظام" بالمفهوم الحديث.

وكما يقول المثل: "مصائب قوم عند قوم فوائد"، تطور فرع الأطراف الاصطناعية في هذا العلم أثناء وبعد الحرب العالمية الأولى، معوّضا للكثير من المصابين ومخففا عنهم معاناتهم، حتى عاد كثير منهم قادراً على المشي أو على استعمال يد مركبة بدل يد مبتورة.

من أبرز العلماء في علم طبّ العظام غير المعاصرين هم جان-آندريه ڤنل Jean-André Venel، ديلبيش Jacques Mathieu Delpech، ديفّينباخ Johann Friedrich Dieffenbach، ستروماير Louis Georg Friedrich Stromeyer، ألبرت هوفّا Albert Hoffa، ڤيلهلم شولتهسّ Wilhelm Schulthess وآدولف لورنتس Adolf Lorenz.


فروع جراحة العظام

جراح كولومبي يجري عملية استبدال لمفصل الفخذ

من الفروع التي يشملها تخصص جراحة العظام ما يلي:

ويجدر بالذكر أن بعض هذه التخصصات الفرعية قد يمارسه بعض المتخصصين في فروع أخرى غير جراحة العظام، فمثلاً: قد يمارس بعض جراحي التجميل تخصص جراحة اليد، كما يمارس معظم جراحي المخ والأعصاب جراحة العمود الفقري، وكذلك ـ في الولايات المتحدة ـ يمارس اختصاصيو طب القدم [] Error: {{Lang-xx}}: no text (help) تخصص جراحة القدم والكاحل، ويمارس بعض ممارسي طب الأسرة تخصص الطب الرياضي، ولكن في جزئه غير الجراحي فقط.

الأمراض التي تشملها الجراحة العظمية

الجراحة العظمية تهتم وتعالج مجموعة من الأمراض من ضمنها:

أكثر عمليات جراحة العظام شيوعاً

وفقاً للإحصائيات الأمريكية، فقد كانت أكثر 25 عملية أجراها جراحو العظام الأمريكيون في الفترة من سنو 1999 إلى 2003 هي على الترتيب[1]:

  1. تنظير مفصل الركبة واستئصال الغضروف الهلالي.
  2. تنظير مفصل الكتف وإزالة الضغط عن الكفة المدورة.
  3. توسيع النفق الرسغي.
  4. تنظير مفصل الركبة وإصلاح الغضروف المفصلي.
  5. رفع المثبتات الداخلية (من شرائح ومسامير وغيرها).
  6. تنظير مفصل الركبة وإصلاح الرباط الصليبي الأمامي.
  7. استبدال مفصل الركبة.
  8. عمليات كسور عنق عظمة الفخذ.
  9. عمليات كسور ما بين مدوري عظمة الفخذ.
  10. تنظيف إصابات الجلد والعضلات وكسور العظام.
  11. تنظير الركبة وإصلاح كلا الغضروفين الهلاليين.
  12. استبدال مفصل الفخذ.
  13. تنظير مفصل الكتف واستئصال الجزء الخارجي من الترقوة.
  14. إصلاح أوتار الكفة المدورة.
  15. علاج كسور عظمتي الزند والكعبرة.
  16. استئصال الصفيحة الفقرية Laminectomy
  17. علاج كسور مفصل الكاحل (ثنائية النتوء).
  18. تنظير مفصل الكتف والتنظيف debridement
  19. سمكرة الفقرت القطنية.
  20. إصلاح كسور أسفل عظمة الكعبرة.
  21. عمليات القرص بين الفقري في المنطقة القطنية.
  22. فتح الغمد الوتري لأصابع اليد.
  23. علاج كسور مفصل الكاحل (النتوء الوحشي).
  24. علاج كسور عظمة الفخذ.
  25. علاج كسور ما بين مدوري عظمة الفخذ.

انظر أيضاً

المصادر

المراجع

  1. ^ *Garrett, WE, et al. American Board of Orthopaedic Surgery Practice of the Orthopedic Surgeon: Part-II, Certification Examination. The Journal of Bone and Joint Surgery (American). 2006;88:660-667.

وصلات خارجية