التصلب الجانبي العصبي

(تم التحويل من تصلب جانبي ضموري)
Amyotrophic Lateral Sclerosis (مرض لو گيرگ)
تصنيفات ومصادر خارجية
ALS Coronal.jpg
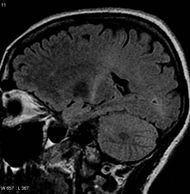
MRI (parasagittal FLAIR) demonstrates increased T2 signal within the posterior part of the internal capsule and can be tracked to the subcortical white matter of the motor cortex, outlining the corticospinal tract, consistent with the clinical diagnosis of ALS
ICD-10 G12.2
ICD-9 335.20
OMIM 105400
DiseasesDB 29148
MedlinePlus 000688
eMedicine neuro/14  emerg/24 pmr/10
MeSH D000690

التصلب الجانبي العصبي Amyotrophic lateral sclerosis مرض نادر يصيب الجهاز العصبي ويصعب الشفاء منه. ويُعرف أيضًا باسم مرض العصبون الحركي. يتلف مرض التصلب الجانبي العصبي الأعصاب التي تتحكم في العضلات؛ بحيث ينتج عن ذلك الضعف والشلل، وأخيرًا الموت. وينصح الأطباء المرضى بمتابعة النشاط والحركة قدر استطاعتهم. ولا يوجد أي علاج يمكن أن يوقف مرض التصلب الجانبي العصبي.

ينتج مرض التصلب الجانبي العصبي عندما تتفتت بعض الخلايا العصبية في الدماغ والحبل الشوكي وتموت. هذه الخلايا المسماة بالعصبونات الحركية تجعل العضلات تعمل بإرسال نبضات أو ما يُسَمَّى رسائل عصبية إليها. وعند تفتت العصبونات الحركية، تفقد المقدرة على نقل النبضات حيث تفقد العضلات التي تسيطر عليها تدريجيًا القدرة على العمل وتموت ببطء. ولم يستطع الأطباء اكتشاف سبب تفتت العصبونات الحركية وموتها.

وتحدث النفضات الصغيرة، عندما ترسل العصبونات التي في طريقها إلى الموت نبضات غير منتظمة إلي العضلات. وتصبح الأيدي والأرجل ضعيفة بشكل زائد، ويصبح المرضى غير قادرين على السير، وإنجاز المهام البسيطة بوساطة أيديهم؛ ويفقدون الكثير من الوزن، ويصبحون مشلولين، حيث يصبح لا فائدة من عضلاتهم، ويصبح الحديث أو الابتلاع شيئًا صعبًا. وأخيرًا يحدث الموت عندما تتوقف العضلات التي تتحكم في التنفس عن أداء وظيفتها. وفي حالات كثيرة يحدث ذلك خلال فترة تتراوح بين سنتين وخمس سنوات، بعد ظهور الأعراض الأولى لهذا المرض.

ومرض التصلب الجانبي العصبيّ غير مؤلم، ولايؤثِّر في العقل. ويحدث هذا المرض بين جميع الأجناس البشرية، والطبقات الاجتماعية. ويصيب الرجال بضِعْف ما يصيب النساء تقريبًا. وتظهر الأعراض الأولى لهذا المرض في الخمسينيات من العمر.

الأعراض

الأعراض الأولية

بداية المرض قد تكون غامضة وقد لا يتم الانتباه للاعراض. الاعراض الأولى تشمل ضعف واضح و/ أو ضمور في العضلات. ويلي ذلك الوخز، والتقلص، أو تصلب العضلات المتأثرة ؛ وضعف عضلات الذراع أو الساق، و/ أو صعوبة الكلام أو الكلام من الانف. حيث ينتج الوخز، التقلص، وغيرها من الاعراض المرتبطة بهذا المرض نتيجة لموت الخلايا العصبية الحركية، وبالتالي إذا وجدت هذه الأعراض دون ضعف أو ضمور قي العضلات المتأثرة على الارجح ليس مرض التصلب العضلى الجانبى.

الأجزاء من الجسم التي تظهر عليها الاعراض الأولى تعتمد على أي الخلايا العصبية في الجسم التي أصيبت أولا. ويواجه نحو 75 ٪ من الاشخاص (بدءا من الاطراف) مرض التصلب العضلى الداخلى. وفي بعض هذه الحالات تبدا الأعراض في واحدة من الساقين، حيث يشعر المرضى بالاحراج عند المشي أو الجرى أو يشعرون أنهم ينطلقون أو يتعثرون اكثر من المعتاد. بعض المرضى الاخرين الذين يبدأ المرض فيهم بالتأثير على طرف واحد قد يلاحظون تأثير المرض على الكف أو الذراع حيث أنهم يجدون صعوبة قي أداء المهام البسيطة التي تتطلب مهارة يدوية مثل تزرير القميص، الكتابة، أو لف المفتاح قي القفل. وأحيانا تظل الأعراض محصورة في طرف واحد، الأمر الذي يعرف تصلب العضلات ذو الطرف الواحد.

نحو 25 ٪ من الحالات يبدأ مرض تصلب العضلات الجانبى، (ذو البداية البصلية من النخاع الشوكى). فيلاحظ هؤلاء المرضى صعوبة ملحوظة في الكلام بوضوح. حيث يصبح الكلام ملعثم وغير مرتب.الكلام من الانف وفقد قوة الصوت غالبا ما تكون الأعراض الأولى. وصعوبة في البلع، ويتبع ذلك عدم المقدرة على تحريك اللسان.وأحيانا فقد النطق تماما مع عدم القدرة على حماية المجرى الهوائي عند البلع.

بغض النظر أى الاعضاء يتأثر اولا، فان ضمور وضعف العضلات يمتد إلى الأجزاء الأخرى من الجسم أثناء انتشار المرض. المرضى الذين يعانون من صعوبة متزايدة قي الحركة، والبلع (عسر البلع)،أو التحدث أو تكوين الكلمات (التلعثم أو صعوبة التكلم). وتشمل الأعراض الناتجة عن تاثر الاعصاب الحركية العلوية تصلب العضلات (التحجر) والمبالغة في ردود الفعل بما قي ذلك رد الفعل جاج المفرط. كما يشير رد الفعل الغير طبيعى الذي يدعى علامة بابينيسكى(اصبع القدم الكبير يتمدد إلى أعلى والاصابع الأخرى تنفرج عن بعضها) إلى وجود تلف قي الاعصاب الحركية العليا.أما الأعراض التي تصحب تلف الاعصاب الحركية السفلى تشمل ضعف وضمور في العضلات، وتقلصات العضلات، والاحساس بإختلاجات قي العضلات التي يمكن رؤيتها تحت الجلد (التحزم). نحو 15-45 ٪ من المرضى بالتصلب العضلى ذو التأثير الغير صلبى والذي يعرف أيضا باسم "عدم الاستقرار العاطفي"، والذي يشمل الانفلات قي الضحك، والبكاء أو الابتسام، ويعزى ذلك إلى تدهور الاعصاب الحركية الصلبية العليا مما يؤدى إلى المبالغة في التعبير الحركى عن المشاعر.

حتى يتم تشخيص أي شخص بأنه مصاب بتصلب العضلات الجانبى لابد أنى يعانى من أعراض وعلامات تلف كل من الاعصاب الحركية العليا والسفلى التي لا يمكن أن تعزى إلى أسباب أخرى.

الأعراض الناشئة

على الرغم من أن تسلسل الأعراض الناشئة ومعدلات تقدم المرض تختلف من شخص لآخر، إلا أن المرضى في نهاية المطاف سيفقدون القدرة على الوقوف أو المشي، أوالاضجاع على أو النهوض من السرير، أو استعمال اليدين أو الذراعين. صعوبة المضغ والبلع ستعيق المريض من تناول الطعام بشكل طبيعي ويزيد من فرصة حدوث الشرقة. وبذلك يصبح الحفاظ على الوزن مشكلة. لأن المرض عادة لا يؤثر على القدرات الإدراكية، فان المرضى يدركون فقدهم التدريجي لوظائفهم، لذلك يمكن أن يصابوا بالاكتئاب والقلق. وهناك نسبة صغيرة من المرضى الذين ينتهي بهم الأمر إلى الخرف الامامى الجنبى والذي يتميز بتغييرات كبيرة في الشخصية، وهذا أكثر شيوعا بين أولئك الذين لهم تاريخ عائلي من الخرم. وهناك نسبة كبيرة من المرضى تعانى من مشاكل طفيفة مع تكوين الكلمة، الانتباه، أو اتخاذ القرارات. الوظائف المعرفية يمكن أن تتأثر، كجزء من تقدم المرض وقد يرتبط بصعوبة التنفس أثناء الليل. يجب على متخصصي الرعاية الصحية أن يقوموا بشرح سير المرض ووصف خيارات العلاج المتاحة للمرضى بحيث يمكن اتخاذ قرارات مدروسة فيما بعد.

عندما تضعف عضلات الحجاب الحاجز والعضلات البين ضلعية (القفص الصدري), يقل كلا من كمية الهواء المتنفسة اراديا والضغط التنفسى. في النوع ذو البداية الصلبية، قد يحدث هذا من قبل ظهور ضعف واضح قي الأطراف. الضغط الإيجابي للممر الهوائى الثنائى (والمعروف تجاريا باسم BIPAP) كثيرا ما يستخدم لدعم التنفس، قي البداية ليلا وفيما بعد أثناء النهار أيضا. ومن المفضل قبل أن يصبح ال BiPAP غير كاف بوقت طويل، يجب أن قرر المريض ما إذا كان سيكمل بعمل شق حنجرى وتنفس ميكانيكى طويل المدى. في هذه المرحلة، بعض المرضى يختارون الرعاية الديرية الملطفة. معظم مرضى تصلب العضلات الجانبى يموتون من فشل التنفس أو الالتهاب الرئوي، وليس المرض نفسه.

غالبا ما يؤثر المرض على الخلايا العصبية الحركية، في معظم الحالات لا ينتقص المرض من عقل مريض، أو شخصيته، أو ذكائه، أو ذاكرته. كما أنه لا يؤثر على قدرة الشخص على الرؤية والشم والتذوق، والسمع أو الاحساس باللمس. السيطرة على عضلات العين هي أكثر الوظائف التي يتم الحفاظ عليها، على الرغم من أن بعض المرضى الذين أصيبوا بالمرض منذ فترة طويلة جدا (+ 20 عاما) قد يفقد السيطرة على التحكم قي العين أيضا. على عكس التصلب المتعدد، التحكم في المثانة والامعاء عادة ما يتم الحفاظ عليهم هنا، على الرغم، نتيجة لعدم الحركة وتغيير النظام الغذائي، قد تحدث بعض مشاكل الأمعاء مثل الإمساك والذي يتطلب عناية مكثفة.

السبب وعوامل الخطر

العلماء لم يجدوا سببا محددا لهذا المرض وبداية المرض ترتبط ذلك بعوامل عدة، منها: فيروس ؛ التعرض لسم عصبى أو للمعادن الثقيلة؛ عيوب قي الحامض النووي؛ عيوب قي جهاز المناعة؛ عوامل مهنية مثل الخدمة العسكرية والنخبة الرياضية: وعيوب قي الانزيمات. العمليات الجراحية التي تشمل الحبل الشوكي يعتقد أن تلعب دورا في ظهور المرض بسبب اضطراب عمل الألياف العصبية. هناك عوامل وراثية واضحة قي النوع العائلي من المرض، إلا أنه لا يوجد أى عنصر وراثي واضح في 90-95 ٪ من الحالات والتي تشخص على أنها حالات فردية. هناك خلل جينى موروث على الكروموسوم 21 موجود قي حوالي 20 ٪ من الحالات العائلية للمرض وهذا التحور يعتقد أن يكون تحور قاهر على الجين. المرضى الذين يعانون من النوع العائلى للمرض، أطفالهم أكثر عرضة للاصابة بالمرض، بينما أقارب المرضى الذين أصيبوا بالنوع الفردى من المرض ليس لديهم عوامل خطورة لاكتساب لمرض أكثر من عموم الناس.[1]

هناك بعض العوامل المرجح انها تكون سببا قي زيادة نسبة الاصابة في غرب المحيط الهادي. التعرض لفترات طويلة للسم العصبي الموجود قي الطعام المسمى (BMAA) هو عامل الخطر المشتبه به في گوام؛ هذا السم العصبي هو مركب موجود في البذور السيكاد(Cycas circinalis) وهو نبات استوائى موجود في گوام، والذي استخدم في الغذاء البشري خلال الخمسينات وأوائل الستينات.

الارتفاع الشديد في معدل انتشار المرض بين لاعبي كرة القدم الإيطاليين (أكثر من خمس مرات أعلى من المتوقع) أثارت القلق من احتمال وجود صلة بين المرض واستخدام مبيدات الآفات قي ملاعب كرة قدم.[2][3]

ووفقاً لرابطة مرض تصلب العضلات الجانبى، فإن قدامى المحاربين معرضون أكثر من غيرهم لاكتساب المرض. حيث ذكرت الرابطة قي تقرير لها "تصلب العضلات الجانبى والجيش " أن قدامى المحاربين معرضين حوالي 60 ٪ لاكتساب المرض أكثر من جموع الناس. وبالنسبة للمحاربين في حرب الخليج، فان فرصة اكتساب المرض ضعف الجنود الاخرين هذا ما أقرته دراسة مشتركة قامت بها إدارة شؤون قدامى المحاربين ووزارة الدفاع.

قد تبين في عدة دراسات، أن إضافة الأحماض الدهنية الغير مشبعة للطعام تقلل من مخاطر الاصابة بالمرض.

الفيسيولوجيا المرضية (التغيرات الفسيولوجية الناتجة عن المرض)

SOD1

سبب مرض تصلب العضلات الجانبى غير معروف، وإن كان هناك خطوة هامة نحو الإجابة على هذا التساؤل جاءت في عام 1993 عندما اكتشف العلماء ان الطفرة التي تحدث في الجين الذي ينتج انزيم النحاس / الزنك الفائق الاكسجة (SOD1) ترتبط ببعض الحالات (20 في المائة تقريبا) من تصلب العضلات العائلى. هذا الانزيم مضاد للأكسدة قوى حيث يحمي الجسم من الأضرار التي يسببها المؤكسدات الفائقة، والذرات والجزيئات السامة الحرة. الذرات والجزيئات الحرة هي جزيئات عالية التفاعل تنتجها الخلايا الطبيعية خلال عملية التمثيل الغذائي. هذه الجزيئات الحرة يمكن أن تتراكم وتسبب ضررا للحامض النووي والبروتينات داخل الخلايا. على الرغم من أنه ليس من الواضح بعد كيف ان الطفرة التي تحدث للجين SOD1 تؤدي إلى ضمورالاعصاب الحركية، رجح الباحثون أن تراكم الجزيئات الحرة قد تنجم عن عيوب في عمل هذا الجين. إلا أن البحوث الجارية، تشير إلى ان موت الاعصاب الحركية من غير المرجح أن يكون نتيجة لفقد أو تشوه نشاط الانزيم المضاد للاكسدة، مرجحين أن الجين SOD1 المشوه قد يسبب التسمم بطريقة أخرى (كسب وظيفة).[4][5]

الدراسات الجينية التي اجريت على الفئران المحورة جينيا قد أسفرت عن العديد من النظريات حول دور SOD1 قي طافرة SOD1 تصلب العضلات الجانبى العائلى. الفئران التي تفتقر تماما لجين SOD1 لا تصاب بالمرض كلية، على الرغم من أنها تصاب بضمور العضلات المتعلق بالسن سريعا(sacropenia)، ويموتون سريعا(تابع مقالة الفائق للاكسجة). وهذا يدل على أن الخصائص السامة للSOD1 المشوه هي نتيجة للحصول على وظيفة وليس فقدان وظيفة. بالإضافة إلى ذلك، فقد وجد أن تجمع البروتينات هي سمة مرضية مشتركة بين النوعين العائلى والفردى من المرض (تابع مقالة عن امراض البروتين). مما يثير الاهتمام، أنه وجد قي الفئران الذين بهم SOD1 المشوه تجمعات من الجين المشوه قي الانسجة المريضة، وكميات أكبر وجدت عنما يحدث الضمور قي الخلايا العصبية الحركية. وقد وجد أن وجود تجمعات من الجين المشوه تؤدى إلى اضطراب قي الوظائف الخلوية من خلال تدمير الميتوكوندريا، البروتيزومس، مرافقين طى البروتينات وغيرها من البروتينات. أي اضطراب، إن صح، سوف يتضفي مصداقية كبيرة للنظرية التي تقول أن هذه التجمعات بسبب سمية الجين المشوه.وقد لاحظ النقاد على أن قي البشر SOD1 المشوه لا يسبب سوى 2 ٪ من مجمل الحالات والعوامل المسببة قد تختلف عن هؤلاء المسؤولين عن الحالات الفردية من المرض. حتى الآن، لا يزال نموذج الفأر المصاب بتصلب العضلات الجانبى ذو الطفرة قي الجين SOD1 هو أفضل نموذج للدراسات على المرض ولكن الأمل معقود على أن تطوير نماذج أكثر فائدة.

عوامل أخرى

كما أن الدراسات أيضا ركزت على دور الجلوتامات في ضمور الخلايا العصبية الحركية. الجلوتامات هي واحدة من الرسائل الكيميائية أو سعاة الارسال العصبية في المخ. وقد وجد العلماء، بالمقارنة مع الأشخاص الأصحاء، أن مستويات الجلوتامات في الدم والسائل الشوكي أعلى قي مرضى تصلب العضلات الجانبى. وقد أثبتت الدراسات المعملية أن الخلايا العصبية تموت عندما تتعرض لفترات طويلة لكميات مفرطة من الجلوتامات (تسمم الاثارة). الآن، العلماء يحاولون فهم الآليات التي تؤدي إلى تراكم الجلوتامات الزائد قي السائل الشوكي وكيف يسهم هذا الخلل في حدوث المرض. فشل خلايا الاستروسيت قي التخلص من الجلوتامات الموجود قي السوائل الخارجية التي تحيط بالخلايا العصبية قد يكون السبب قي حدوث ضمور الخلايا العصبية.

ريلوزول حاليا هو العقار الوحيد الذي حصل على اجازة من منظمة الاغذية والدواء وهو يستهدف ناقلات الجلوتامات. التأثير المتواضع جدا للعقار عزز النظرية التي تقول بأن الجلوتامات ليس السبب الرئيسي للمرض. المضاد الحيوي سيفترياكسون أظهر تأثير له غير متوقع على الجلوتامات وبدا ذو فائدة قي علاج مرضى تصلب العضلات الجانبى. ويتم اجراء الاختبارات الآن على سيفترياكسون.

الاستجابات الذاتية التي تحدث عندما يهاجم جهاز المناعة خلايا الجسم العادية، من المرجح أن تكون واحدة من الأسباب الممكنة لضمور الخلايا العصبية الحركية في مرض تصلب العضلات الجانبى. يظن بعض العلماء أن الأجسام المضادة قد تضر بشكل مباشر أو غير مباشر وظيفة الخلايا العصبية الحركية، عن طريق التدخل في نقل الإشارات بين المخ والعضلات. الأدلة الحديثة تشير إلى أن الخلايا المناعية للجهاز العصبي {{0}microglia}، تشارك بشكل كبير في المراحل اللاحقة لهذا المرض.

و بالبحث عن سبب هذا المرض، قام الباحثون أيضا بدراسة العوامل البيئية مثل التعرض للعوامل المعدية أو السامة. بحث أخر قام بدراسة الدور المحتمل للنقص الغذائي أو الصدمات النفسية. ولكن، اعتبارا من بعد ذلك، لا توجد أدلة كافية لادراج هذه العوامل كأسباب لتصلب العضلات الجانبى.

الابحاث المستقبلية قد تظهر أن العديد من العوامل، منها الاستعداد الوراثي، قد يشاركون قي حدوث هذا المرض.

التشخيص

لا يوجد اختبار محدد يمكنه تشخيص المرض، سوى أن علامات تأثر الاعصاب الحركية العليا والسفلى قي طرف واحد يرجح بقوة وجود المرض. لذلك يعتمد التشخيص في المقام الأول على الأعراض والعلامات التي يلاحظها الطبيب على المريض وسلسلة من الاختبارات لاستبعاد الأمراض الأخرى. الأطباء يحصلون على التاريخ المرضى الكامل من المرضى، وعادة ما يجرون فحص الأعصاب على فترات منتظمة لتقييم ما إذا كانت الأعراض مثل ضعف العضلات وضمور العضلات، والمبالغة قي رد الفعل والشلل التشنجي تزداد سوءا بشكل تدريجي.

و لأن أعراض هذا المرض تتشابه مع اعراض الكثير من الامراض الأخرى التي يمكن معالجتها، لذلك يجب اجراء الفحوصات الازمة لاستبعاد الامراض الأخرى.واحدة من هذه التجارب هو رسم العضلات الكهربى، وهو تقنية تسجيلية خاصة حيث يتم تسجيل نشاط العضلة الكهربى. بعض النتائج المعينة لهذا الاختبار ترجح وجود المرض. وهناك اختبار آخر مشهور الذي يقيس سرعة التوصيل قي الاعصاب. بعض النتائج الغير طبيعية قي هذا الاختبار ترجح وجود أمراض أخرى، على سبيل المثال، إذا كان المريض يعانى من التهاب الاعصاب الطرفية (تلف الأعصاب الطرفية) أو خلل قي العضلات (مرض في العضلات) وليس مرض تصلب العضلات الجانبى. قد يطلب الطبيب عمل الرنين المغناطيسي، وهو إجراء غير تدخلى يستخدم المجال مغناطيسي وموجات الراديو للحصول على صورا تفصيلية للمخ والحبل الشوكي. وعلى الرغم أن نتائج الرنين المغناطيسي طبيعية في هذا المرض إلا أنه قد يساعد على كشف غيره من المشاكل التي قد تكون سببا لهذه الاعراض، مثل ورم الحبل الشوكي، والتصلب المتعدد، انزلاق غضروفى في فقرات الرقبة، ناصور النخاع الشوكى أو تقوس فقرات الرقبة.

بناءا على أعراض المريض والعلامات التي يجدها الطبيب ونتائج هذه الاختبارات، يمكن أن يطلب الطبيب اجراء بعض الاختبارات على عينات الدم والبول بالإضافة إلى الفحوصات المخبرية الروتينية لاستبعاد احتمالية وجود الامراض الأخرى.في بعض الحالات، على سبيل المثال، إذا كان الطبيب يشتبه في أن المريض قد يكون لديه خلل قي العضلات وليس تصلب العضلات الجانبى، يمكن أخذ عينة من العضلة لتحليلها.

بعض الأمراض المعدية مثل فيروس نقص المناعة البشرية (أو الايدز)، فيروس سرطان الدم الذي يصيب الخلايا الليمفاوية تي, مرض ليم، الزهري، فيروسات التهاب المخ المنقولة بالقرادة يمكنها في بعض الحالات أن تسبب أعراض تشبه مرض تصلب العضلات الجانبى. الاضطرابات العصبية مثل التصلب المتعدد، متلازمة ما بعد الشلل، علة الاعصاب الحركية متعدد النقط العصبي وضمور العضلات بسبب العمود الفقري، يمكن أن يتشابهوا قي بعض الجوانب مع هذا لابد أن يكونوا قي فكر الأطباء الذين يحاولون تشخيص هذا المرض.

نظرا للمستقبل المرضى لهذا المرض ونظرا لوجود أمراض عديدة تشبه هذا المرض قي مراحله الأولى، على المرضى أن يحصلوا على استشارة طبيب عصبى أخر.

أوضحت دراسة اجراها باحثون في كلية الطب بجبل سيناء، أن هناك ثلاثة بروتينات توجد في السائل المخي الشوكي بتركيزات قليلة جدا في مرضى تصلب العضلات الجانبى وليس قي الاشخاص الاصحاء. هذا الاكتشاف تم نشره في فبراير 2006 من مجلة الجهاز العصبي. وبتقييم مستويات هذه البروتينات الثلاثة ثبت أن دقة التشخيص تصل إلى 95%. علامات البروتين الثلاثة هم تى تى ار، سيستاتين سى، النهاية الكربونية للبروتين العصبى 7B2. وهذه هي أول العلامات الحيوية لهذا المرض ويمكن أن تكون الأدوات الأولى لتأكيد تشخيص المرض. مع الأساليب الحالية، وبمساعدة الوسائل الحالية، متوسط الوقت من ظهور الأعراض حتى تشخيص المرض حوالى 12 شهرا.علامات التشخيص المحسنة قد توفر وسائل للتشخيص المبكر، وتتيح للمرضى الحصول على التخفيف من الأعراض سنوات باكرا.[6]

العلاج

العلاج بالعقارات

الادوية التي حصلت على اجازة

فإن منظمة الغذاء والدواء (FDA) أجازت أول عقار لعلاج هذا المرض : ريلوزول (ريلوتيك). ويعتقد أن الريلوزول يحد من تلف الخلايا العصبية الحركية عن طريق تقليل افراز الجلوتامات عبر تفعيل حاملات الجلوتامات. وبالإضافة إلى ذلك، يقدم تأثيرات كثيرة أخرى حامية للاعصاب عن طريق اغلاق قنوات الصوديوم وسدادات قناة الكالسيوم، تثبيط البروتين كيناز سى، وتحفيز معرضة المستقبلات للمادة NMDA. التجارب الاكلينيكية لعقار الريلوزول على المرضى اثبتت أنه يطيل بقائهم على قيد الحياة لعدة شهور، ويمكن أن يكون له فائدة أكبر بالنسبة للبقاء للمرضى ذو البداية الصلبية. العقار يطيل الوقت قبل أن يحتاج المريض لتنفس صناعي. ريلوزول لا يمحو الضرر الحاصل بالفعل للخلايا العصبية الحركية، والمرضى الذين يتناولون العقار يجب أن يفحصوا دوريا لاحتمالية حدوث تلف للكبد أو غيرها من الآثار الجانبية المحتملة. ومع ذلك، فان هذا العقار الأول من نوعه الخاص بهذا المرض يبعث الامل على وجود عقارات أخرى أو توليفات من العقارات التي تقلل من سرعة تقدم المرض. هناك دراسة صغيرة ومفتوحة أثبتت مؤخرا أن عقار الليثيوم الذي يستخدم عادة قي علاج الاضطرابات الثنائي التأثير، قد بطء التقدم في كل من النماذج الحيوانية والبشرية للمرض. ومع ذلك، ثمة حاجة إلى مزيد من البحث لتحديد ما إذا كان هذا التأثير حقيقي أم لا.

العقاقير التجريبية

عدد من التجارب الاكلينيكية جارية عالميا على مرض تصلب العضلات الجانبى.

تجري الابحاث حول تاثير عقار ال(KNS-760704) على مرضى تصلب العضلات الجانبى. والأمل معقود على أن العقار سيكون له أثر حامى للاعصاب. انه جزىء البراميبيكسول الذي تم اجازته لعلاج مرض الشلل الرعاش ومتلازمة الساقين المرهقتان. ومع ذلك، فان عقار ال(KNS - 760704)، التي تم تصنيعها على درجة عالية من النقاء الجزيئى والتي في الأساس غير نشطة عند مستقبلات الدوبامين، لا يتم احباط نشاطه بجرعات معينة من عقار البراميبيكسول الذي له خصائص تشبه الدوبامين. ولقد زاد استخدام عقار ال(KNS-760704) قي الدراسات الاكلينيكية بواسطة شركة علوم الاعصاب (نوب) قي بتسبرج بنسلفانيا.

المضاد الحيوي تتراسكلين (المينوسيكلين)أيضا تحت الاختبار قي علاج تصلب العضلات الجانبى من بين الاضطرابات العصبية الأخرى. في القوارض التي عندها طفرة قي الجين (SOD1) والتي كانت تعانى من مرض تصلب العضلات الجانبى، عقار المينوسيكلين كان له نفس تأثير عقار الريلوزول قي اطالة مدة البقاء على قيد الحياة وأيضا أخر ظهور مشاكل الحركة. ومن المعتقد أن يقوم بوظيفة الحماية للاعصاب لا بالتأثير على افراز الجلوتامات مثل ريلوزول، ولكن باحباط افراز بروتين السيتوكروم سى الذي يفرز من الميتوكوندريا إلى جسد الخلية.

الاكتشاف الجديد (RNAi) اعطى بعض الامال قي علاج مرضى تصلب العضلات الجانبى. في بعض الدراسات الحديثة تم استخدام هذا العقار قي فئران التجارب لوقف عمل بعض الجينات المحددة التي تؤدي إلى مرض تصلب العضلات الجانبى. وقامت شركة سيتيكس برعاية البحث الذي قام على علاج مرض تصلب العضلات الجانبى بتقنية وقف عمل الجينات الذي استهدف جين ال SOD1 المشوه. جين ال SOD1 المشوه مسؤول عن التسبب قي مرض تصلب العضلات الجانبى قي 10 ٪ من مجموع المرضى الذين يعانون من الاشكال العائلية أو الوراثية من أشكال المرض. عقار الاريموكلومول الذي يؤخذ بالفم تقوم شركة سيتريكس حاليا باجراء الاختبارات عليه كعلاج لمرض تصلب العضلات الجانبى.

عامل النمو 1 المشابه للانسولين تم دراسته هو الاخر كعلاج لمرض تصلب العضلات الجانبى. وقام كل من سيفالون وتشيرون بعمل دراستين على عامل النمو 1 المشابه للانسولين وعلى الرغم من أن دراسة واحدة أثبتت فعاليته، إلا أن الثانية كانت حيادية، ولم يتم اجازة هذا المنتج من قبل منظمة الاغذية والعقاقير. في يناير 2007، وزارة الصحة الايطالية طرحت عقار جديد لتجريبه على مرضى تصلب العضلات الجانبى قي ايطاليا، قدمت هذا العقار منظمة ال (INSMED)، وهو يدعى ايبليكس (IPLEX) وهو عبارة عن توليفة من عامل النمو 1 المشابه للانسولين والبروتين الناقل 3.

يتم اختبار عقار الميثيل كوبالامين الآن في اليابان ؛ وتشير النتائج الأولية إلى حد كبير انه يطيل فترة بقاء المرضى على قيد الحياة.

أخرى

الادوية الأخرى المستخدمة لعلاج مرض تصلب العضلات الجانبى مصممة لتخفيف الأعراض وتحسين جودة الحياة للمرضى. هذا العلاج التدعيمى من الافضل ان يقدمه فرق متعددة من المهنيين المتخصصين في مجالات الرعاية الصحية المختلفة مثل الأطباء ؛ الصيادلة ؛ المعالجين النفسيين، والمهنيين، ومدربى التخاطب ؛ ومتخصصى التغذية ؛ والعاملين الاجتماعيين، والرعاية المنزلية والتمريض في المستشفيات. العمل مع المرضى ومقدمي الرعاية، هذه الفرق يمكنها تصميم خطط فردية للخدمات الطبية والعلاج الطبيعي وتوفير المعدات الخاصة التي تهدف إلى إبقاء المرضى قادرين على الحركة ومرتاحين قدر الإمكان.

و يمكن للأطباء وصف أدوية للمساعدة في الحد من التعب، وتخفيف حدة التقلصات العضلية، والتحكم قي تشنج العضلات، والحد من الفائض من اللعاب والبلغم. كما تتوفر أدوية لمساعدة المرضى الذين يعانون من الألم والاكتئاب، واضطراب النوم، والإمساك. الصيادلة يمكن تقديم المشورة بشأن الاستخدام الافضل للأدوية. وهذا مفيدا بشكل خاص بالنسبة إلى المرضى الذين يعانون من عسر البلع، الذي يحدث قي كثير من مرضى تصلب العضلات الجانبى.كما أنه يجب متابعة الادوية التي يتناولها المرضى للحد من خطر التفاعلات بين الادوية.

العلاج الطبيعي وبعض المعدات الخاصة، مثل المساعدات التقنية يمكن أن تساعد المرضى على العيش مستقلين وبسلامة طول فترة المرض. ممارسة بعض التمارين الهوائية البسيطة الغير مجهدة مثل المشي، والسباحة، وركوب الدراجات الثابتة يمكن أن تقوى العضلات التي لم يصيبها المرض وتحسين صحة القلب والأوعية الدموية، ويساعد المرضى على محاربة التعب والاكتئاب. الحفاظ على القليل من المشى والتمارين المقوية يمكن أن تمنع التشنجات المؤلمة وتقصير (انكماش) العضلات. اخصائى العلاج الطبيعى يستطيعون وصف التمرينات المفيدة والتي لا ترهق العضلات.أخصائى العلاج الطبيعي يمكن أن يقترحوا بعض الوسائل المفيدة مثل السلالم، الاقواس، المشايات، والكراسى المتحركة التي تساعد المرضى على الابقاء على الحركة. المعالجين المهنيين يمكن أن يقدموا أو يقترحوا معدات أو مكيفات لتمكين المرضى من الاحتفاظ بقدر من الاستقلال في أنشطة الحياة اليومية قدر المستطاع.

المرضى الذين يجدون صعوبة في الكلام يمكنهم الاستفادة من التعامل مع أخصائى اللغة والكلام. هؤلاء العاملين في المجال الطبي يمكنهم تعليم المرضى استراتيجيات للتكيف مثل التقنيات لمساعدتهم على التحدث بصوت أعلى وأكثر وضوحا. وبتقدم المرض أخصائى اللغة والكلام يمكنهم التوصية باستخدام طرق الاتصال المعززة البديلة، مثل مكبرات الصوت، والأجهزة المولدة للصوت (أو أجهزة إخراج الصوت) و/ أو التقنيات التكنولوجيا الاقل كفاءة منخفضة مثل جلسات التخاطب أو إشارات نعم / لا. هذه الوسائل والأجهزة تساعد المرضى على التواصل إذا لم يعد هناك أي قدرة على الكلام أو إصدار الأصوات. بمساعدة المعالجين المهنيين، الأجهزة المولدة للكلام يمكن أن تفعل من خلال المفاتيح أو تقنيات محاكاة الماوس التي تسيطر عليها الحركات الجسدية الصغيرة، على سبيل المثال، الرأس، الاصبع أو العينين.

يمكن للمرضى ومقدمي الرعاية أن يتعلموا من اخصائى اللغة والكلام كيفية تخطيط وإعداد وجبات صغيرة عديدة على مدار اليوم تقدم ما يكفي من السعرات الحرارية والألياف والسوائل وكيفية تجنب الأطعمة التي يصعب بلعها. كما يمكن للمرضى أيضا ان يستخدموا أجهزة الشفط لا زالة السوائل الزائدة أو لإزالة اللعاب، ومنع الشرقة. عندما لايستطيع المرضى الحصول على ما يكفي من الغذاء من الأكل، يجوز للأطباء إدخال أنبوب تغذية في معدتهم. استخدام انبوب التغذية يقلل أيضا خطر الشرقة والالتهاب الرئوي والتي يمكن أن تنجم عن استنشاق السوائل إلى الرئتين. الانبوبة ليست مؤلمة ولا تمنع المرضى من تناول الطعام بالفم، إذا رغبوا في ذلك.

عندما تضعف عضلات التنفس، يجب استخدام أجهزة التنفس الصناعي ليلا (التهوية متقطعة الضغط الإيجابي(IPPV)أو الضغط الإيجابي للممر الهوائى (BIPAP) لمساعدة التنفس أثناء النوم. هذه الأجهزة تنفخ رئتي المريض صناعيا من مصادر خارجية مختلفة، التي تطبق مباشرة على الوجه أو الجسم. وعندما تفشل هذه العضلات قي الحفاظ على التوازن بين مستويات الأوكسجين وثاني أكسيد الكربون، يمكن استخدام هذه الأجهزة طوال الوقت.

في النهاية، قد يحتاج المرضى لبعض أشكال التهوية الميكانيكية، حيث تستخدم بعض التي الآلات التي تنفخ وتفرغ الرئتين. ولكي تكون هذه الالات فعالة، قد يتطلب هذا امرار انبوب من الأنف أو الفم إلى القصبة الهوائية (القصبة الهوائية)، اما على المدى الطويل يجب عمل شق حنجرى، حيث يتم إدخال أنبوب تنفس بلاستيكية مباشرة قي القصبة الهوائية من خلال فتحة في الرقبة. ينبغي على المرضى وأسرهم، الاخذ قي الاعتبار عدة عوامل عند البت فيما إذا كانوا سيستخدمون واحد من هذه الخيارات وايهم يستخدمونه. أجهزة التنفس الصناعي تختلف قي تأثيرها على المرضى من حيث نوعية الحياة والتكلفة. على الرغم من أجهزة دعم التنفس تساعد على تخفيف بعض مشاكل التنفس وكذلك اطالة البقاء على قيد الحياة، فإنها ليس لها تأثير على تطور المرض. ويجب أن يكون المريض على دراية بهذه المعلومات كاملة حول هذه الاعتبارات والآثار طويلة المدى للحياة من دون حركة قبل اتخاذ القرارات بشأن دعم التنفس. ويجدر الإشارة إلى أن بعض المرضى الذين يعيشون بالشق الحنجرى المصحوب بالتهوية متقطعة الضغط الإيجابي طويل المرتبط بالاصفاد المقلصة أو انابيب الشق الحنجرى التي بدون الاصفاد (تسرب التهوية)، قادرين على الكلام. هذه الطريقة تحافظ على القدرة عل الكلام عند بعض المرضى الذين يعيشون بالتنفس الميكانيكي على المدى الطويل.

المرشدين الاجتماعيين، والرعاية المنزلية والممرضات بالدير كل هؤلاء يساعدون المرضى وأسرهم والقائمين على الرعاية بالمساعدات الطبية، والعاطفية، والمالية لمواجهة هذا المرض، خاصة خلال المراحل الأخيرة من المرض. المرشدين الاجتماعيين يقدمون المساعدة في الحصول على المساعدات المالية، وترتيب التوكيل الدائم، وإعداد المعيشة، وإيجاد مجموعات دعم للمرضى ومقدمي الرعاية. دور الممرضات بالمنازل، ليس فقط لتوفير الرعاية الطبية ولكن أيضا أخبار مقدمي الرعاية بالمهام مثل الحفاظ على التنفس، وإعطاء الطعام، ونقل المرضى لتجنب المشاكل الجلدية المؤلمة وتقلص العضلات. ممرضات المستشفيات الذين يوجدون بالمنازل يعملون تحت اشراف الأطباء لضمان العلاج المناسب، والسيطرة على الألم، وأنواع الرعاية الأخرى التي تؤثر على نوعية الحياة للمرضى الذين يرغبون في البقاء في المنزل. فريق الرعاية المنزلية يمكنهم أيضا مناقشة المرض ومقدمى الرعاية عن مشاكل ما قبل الموت.

الابحاث التي اجريت على الحيوانات والبشر على حد سواء اشارت إلى أن البحوث نقص السعرات الحرارية شيء ممنوع عند المرضى بهذا المرض. حيث اثبتت البحوث الجينية التي اجريت على الفئران المحورة جينيا أن نقص السعرات الحرارية قد يسرع من لحظة الموت. وفي تلك الدراسة، حمادة وآخرون أيضا أشاروا إلى اثنين من الدراسات البشرية التي اوضحت أن "انخفاض أخذ الطاقة يرتبط بالوفاة قي مرضى تصلب العضلات الجانبى. ولكن في الدراسة الأولى، سلواى، بيج، وانتيل قالوا: "إن تخفيض استهلاك الطاقة قي مرضى تصلب العضلات الجانبى ليس له علاقة بتقديم لحظة الوفاة وإنما هو جانب من جوانب هذا المرض." حيث أنهم يتجهون نحو استنتاج : "اننا نخلص إلى ان مرضى تصلب العضلات الجانبى لديهم قصور مزمن قي مدخول الطاقة ويوصى بزيادة امداد الطاقة." [7]

في السابق، بيدرسن وماتسون لاحظوا على نموذج الفأر المصاب بهذا المرض أن نقص الطاقة "يعجل بتقدم المرض" وليس له فوائد. معتقدا أن الغذاء الغنى بالسعرات الحرارية يبطئ من تقدم المرض وهذا ما حدث على نموذج الفأر.[8]

التكهن بمآل المرض

بغض النظر أى الاعضاء يتأثر اولا، فان ضمور وضعف العضلات يمتد إلى الأجزاء الأخرى من الجسم أثناء انتشار المرض. من المهم أن نذكر أن بعض المرضى الذين يعانون من هذا المرض قد يقف تقدم المرض عند حد معين مع المتابعة الجيدة. هذا النمط ينطبق بصفة خاصة على الشباب الذكور مع الغالب فيهم ضعف الأطرافهم العليا وخاصة على جانب واحد (يسمى أحادى الطرف ومن مرض الاعصاب الحركية من النوع هيراياما). في نهاية المطاف الاشخاص المصابين بمرض تصلب العضلات الجانبى لن يكونوا قادرين على الوقوف أو المشي، الاسترخاء قي أو النهوض من السرير، أو استعمال اليدين والذراعين. في مراحل المتاخرة يعانى المرضى من صعوبة التنفس نتيجة لضعف عضلات الجهاز التنفسي. على الرغم من أن التنفس الصناعي يمكن أن يخفف من مشاكل في التنفس وإطالة البقاء على قيد الحياة، فإنه لا يؤثر على تطور المرض. معظم المرضى يموتون من فشل قي التنفس، عادة قي خلال ما بين 3 و 5 سنوات من بداية ظهور الأعراض. على الرغم من ذلك ولكن، حوالى 10-20 قي المائة من هؤلاء الأفراد يبقون على قيد الحياة لمدة 10 سنوات أو أكثر.

انتشار المرض

هذا المرض من أكثر امراض العضلات والاعصاب على مستوى العالم، والناس من جميع الأجناس والأعراق والخلفيات يتأثرون به. واحد إلى 2 من كل 100،000 شخص يصابون بهذا المرض كل عام. حيث عادة يصيب الناس ما بين 40 و 60 سنة من العمر، ولكن الشباب والمسنون يمكن أيضا أن يصابوا به. الرجال يتأثرون أكثر من النساء قليلا.

"مرض تصلب العضلات العائلي" يمثل نحو 5 ٪ -10 ٪ من مجموع الحالات المصابة وينتج عن عوامل وراثية. ومن هؤلاء هذه، تقريبا من 1 إلى كل 10 متعلقين بوجود طفرة قي انزيم النحاس / الزنك الفائق الاكسجة، وهو الإنزيم المسؤول عن جمع الذرات والجزيئات الحرة. وهناك دراسة حديثة أوضحت أن جين يدعى FUS (المصهور في الورم اللحمى) مسئول عن 1 من كل 20 حالة من تصلب العضلات الجانبى.

على الرغم من أن نسبة حدوث هذا المرض يعتقد أنها موحدة على الصعيد الإقليمي، هناك ثلاث مناطق في غرب المحيط الهادئ كان معدل حدوث المرض فيهم أعلى. ولكن بدا هذا قي الانخفاض في العقود الأخيرة. أكبر منطقة فيهم كانت منطقة غوام التي كانت مأهولة من قبل الشعب التشامورو الذين كان لديهم نسبة عالية (بقدر 143 حالة لكل 100،000 نسمة سنويا) من (Lytico - Bodig disease) وهو عبارة عن مزيج من ALS، تصلب العضلات الجانبى، الشلل الرعاش، والخرف. والمنطقتان الاخريتان اللاتى كانت نسبة حدوث المرض عاليا هما كاى بنينسولا قي اليابان وشبه جزيرة بابوا الغربية.[9][10]

و رغم وجود تقارير بأن هناك مجموعات تصاب بالمرض من بينهم ثلاثة من لاعبي كرة القدم بأمريكا من سان فرانسيسكو 49ers، أكثر من خمسين لاعب كرة القدم في ايطاليا، وثلاثة لاعبى كرة القدم اللعب اصدقاء في جنوب انجلترا، وهناك تقارير لوجوده بين حالات زوجية(الزوج والزوجة) في جنوب فرنسا، هذه الحالات تعتبر فرص إحصائية معقولة. ورغم أن العديد من الباحثين يرون أن هذا المرض ينجم عن مجموعة من العوامل الجينات والبيئة، لكن العامل الأخير لم يتم ثبوته بشكل صارم سوى زيادة معمل الخطورة لاكتساب المرض بزيادة العمر.

الإتيمولجي (علوم أصول الكلمات)

كلمة Amyotrophic تأتي من اللغة اليونانية : A تعنى "لا" ،و myo تشير إلى "العضلات" وtrophic تعنى التغذية ؛ لذلك كلمة amyotrophic تصف الضمور المميز الذي يصيب الأنسجة العضلية الغير مستخدمة. الجانبى يشير إلى أماكن الحبل الشوكي التي توجد بها الخلايا العصبية التي تصاب بهذا المرض. ونظرا لتلف هذه المناطق يحدث ندبات أو تصلب ("التصلب")في المنطقة.

تاريخ

الخط الزمني
السنة الحدث
1850 العالم الإنگليزي Augustus Waller describes the appearance of shriveled nerve fibers
1869 الطبيب الفرنسي Jean-Martin Charcot first describes ALS in scientific literature
1881 "On Amyotrophic Lateral Sclerosis" is translated into English and published in a three-volume edition of Lectures on the Diseases of the Nervous System
1939 ALS becomes a cause célèbre in the الولايات المتحدة when baseball legend Lou Gehrig's career—and, two years later, his life—are ended by the disease. He gives his farewell speech on July 4.
1950s ALS epidemic occurs among the Chamorro people on Guam
1991 Researchers link chromosome 21 to FALS (Familial ALS)
1993 SOD1 gene on chromosome 21 found to play a role in some cases of FALS
1996 Rilutek becomes the first FDA-approved drug for ALS
1998 The El Escorial criteria is developed as the standard for classifying ALS patient in clinical research

حالات شهيرة

Notable people living with ALS include:

المصادر

انظر أيضاً

الهامش

  1. ^ archive.org
  2. ^ "Sla, indagini nei club. Pesticidi nel mirino". Retrieved 2008-10-02.
  3. ^ "Sla, una strage nel calcio". Retrieved 2008-10-02.
  4. ^ Reaume A, Elliott J, Hoffman E, Kowall N, Ferrante R, Siwek D, Wilcox H, Flood D, Beal M, Brown R, Scott R, Snider W (1996). "Motor neurons in Cu/Zn superoxide dismutase-deficient mice develop normally but exhibit enhanced cell death after axonal injury". Nat Genet. 13 (1): 43–7. doi:10.1038/ng0596-43. PMID 8673102.{{cite journal}}: CS1 maint: multiple names: authors list (link)
  5. ^ Bruijn L, Houseweart M, Kato S, Anderson K, Anderson S, Ohama E, Reaume A, Scott R, Cleveland D (1998). "Aggregation and motor neuron toxicity of an ALS-linked SOD1 mutant independent from wild-type SOD1". Science. 281 (5384): 1851–4. doi:10.1126/science.281.5384.1851. PMID 9743498.{{cite journal}}: CS1 maint: multiple names: authors list (link)
  6. ^ Pasinetti G, Ungar L, Lange D, Yemul S, Deng H, Yuan X, Brown R, Cudkowicz M, Newhall K, Peskind E, Marcus S, Ho L (2006). "Identification of potential CSF biomarkers in ALS". Neurology. 66 (8): 1218–22. doi:10.1212/01.wnl.0000203129.82104.07. PMID 16481598.{{cite journal}}: CS1 maint: multiple names: authors list (link)
  7. ^ خطأ استشهاد: وسم <ref> غير صحيح؛ لا نص تم توفيره للمراجع المسماة Kasarskis96
  8. ^ Zhao Z, Lange DJ, Voustianiouk A; et al. (2006). "A ketogenic diet as a potential novel therapeutic intervention in amyotrophic lateral sclerosis". BMC Neurosci. 7: 29. doi:10.1186/1471-2202-7-29. PMC 1488864. PMID 16584562. {{cite journal}}: Explicit use of et al. in: |author= (help)CS1 maint: multiple names: authors list (link) CS1 maint: unflagged free DOI (link)
    ذكر تقرير لوسائل الاعلام عن زهاو وآخرون..
  9. ^ س. Kuzuhara، Y. Kokubo P3 - 146Marked زيادة parkinsonism - العته (شعبة المشتريات) phenotypes في ارتفاع معدل amyotrophic التصلب الجانبي (ALS) Kii التركيز في شبه الجزيرة الكورية في اليابان. مرض الزهايمر والخرف، المجلد 2، العدد 3، الصفحات S417 - S417
  10. ^ Spencer PS, Palmer VS, Ludolph AC (2005). "On the decline and etiology of high-incidence motor system disease in West Papua (southwest New Guinea)". Mov. Disord. 20 (Suppl 12): S119–26. doi:10.1002/mds.20552. PMID 16092101. {{cite journal}}: Unknown parameter |month= ignored (help)CS1 maint: multiple names: authors list (link)
  11. ^ "From charcot to lou gehrig: deciphering selective motor neuron death in als : Abstract : Nature Reviews Neuroscience".
  12. ^ Reuters (2008-10-09). "ESPN.com - FEATURE-Soccer-Motor neurone worry hangs over Italian game". Sports.espn.go.com. Retrieved 2010-06-13. {{cite web}}: |author= has generic name (help)
  13. ^ "Jason Becker : Jason's Words". Jasonbeckerguitar.com. Retrieved 2010-06-13.
  14. ^ http://www.jasonbeckerguitar.com/downloads/tearsheets/GuitarWorldApril1991.pdf
  15. ^ "Paralyzed but undaunted, Judt wills the left to a battle against inequality". Mondoweiss.net. 2009-10-20. Retrieved 2010-06-13.
  16. ^ "Famed Minn. Boxer Battles Lou Gehrig's Disease". wcco.com. 2009-04-08. Retrieved 2010-06-13.
  17. ^ "Lowen and Navarro - History". Lownav.com. Retrieved 2010-06-13.
  18. ^ (Portuguese)
  19. ^ Michael David Smith Lead Blogger. "Orlando Thomas Battling Lou Gehrig's Disease". NFL FanHouse. Retrieved 2010-06-13.
  20. ^ http://www.toto99.com/blog/news.php

للاستزادة

وصلات خارجية

الكلمات الدالة: