جمجمة صغيرة

(تم التحويل من ميكروسيفالي)
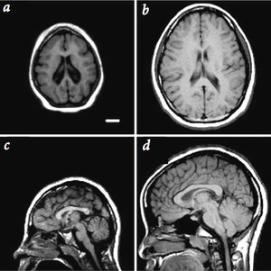
صورة أشعة تقارن بين الحالة القياسية و ميكروسيفالي

الجمجمة الصغيرة أو ميكروسيفالي Microcephaly هو وصف للدلالة على حجم رأس بشري صغير بشكل ملحوظ (بقياس المسافة حول قمة الرأس)، بحيث يكون القياس تحت المعدل الطبيعي لعُمر الشخص و جنسه، و ذلك بالإعتماد على المخطّطات القياسية.

تحدث حالة الميكروسيفالي في أغلب الأحيان، بسبب فشلِ الدماغ في النمو بنسبة طبيعية. حيث أن نمو الجمجمة محدد بتوسّع الدماغ، و الذي يجب أن يتمّ بسبب النمو الطبيعيِ للدماغ أثناء الحمل و مراحل الطفولة الأولىِ.

الظروف التي تؤثر على نمو الدماغ يمكن أَنْ تسبّب حالة الميكروسيفالي، و هي تشمل الإلتهابات، اِضطرابات وراثية، وسوء التغذية الحاد.


الأسباب الأساسية


الأسباب الثانوية

الأعراض

إعتماد على شدّة المتلازمة، قد يعاني الأطفال من التالي:

  • تأخر بالقدرات العقلية
  • مشاكل في الحركة و الوظائف الحركية
  • مشاكل في الكلام و التواصل
  • تشوهات في الوجه
  • تقزّم أَو قصر القوام
  • فرط النشاط
  • النوبات و التشنجات
  • صعوبات بالتنسيق والتوازن
  • شذوذ في نمو الدماغ و الأعصاب

هنالك نسبة من الأطفال المصابين لا يتأثرون من ناحية النشاط العقلي، حيث تستمر الجمجمة بالنمو و لكن يبقى محيط الرأس أقل من المعدل الطبيعي.

التشخيص

المتلازمة قد تشخّص قبل الولادة بواسطة جهاز الموجات الفوق السمعية (الألتراساوند Ultrasound), و هي تقنية تصوير تشخيصية تستعمل موجات الصوت ذات التذبذب العالي و جهاز حاسوب لإنتاج صور الأوعية الدموية، الأنسجة، والأعضاء الداخلية. الموجات الفوق السمعية تستعمل لرؤية الأعضاء الداخلية أثناء عملها، ولتقييم جريان الدم خلال الشرايين المختلفة.

في العديد من الحالات ، قد لا تظهر المتلازمة بوضوح بالموجات الفوق السمعية حتى فترة الثلث الأخير من الحمل، و قد تشخص عند الولادة أو لاحقا في مرحلة الطفولة.

العلاج

ليس هناك علاج يعيد رأس الطفل إلى الحجم أَو الشكل الطبيعي. تركز المعالجة على تقليل الأثر المرتبط بالعاهات وحالات العجز العصبي. الأطفال المصابون بهذه الحالة يقيمون عادة من قبل طبيب أعصاب أطفال، ويليه فريق طبي كامل للتأكد من الحالة. البرامج العلاجية التي تقدم للطفل في مرحلة مبكرة و التي تتضمّن علاجا طبيعيا و علاج نطق يساعد الطفل على إنماء القدرات المتوفرة لديه ويقلل من حدة العجز. الأدوية في أغلب الأحيان تستعمل للسيطرة على نوبات التشنّج, النشاط المفرط، والأعراض العصبية العضلية (عصبوعضلية). الإستشارة الوراثية قد تساعد العائلة على إدراك إحتمالية و مخاطر المتلازمة في حالة الرغبة بالإنجاب مرة أخرى.

مصادر