سرطان غدي حرشفي
| سرطان غدي حرشفي | |
|---|---|
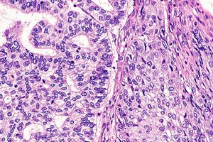
| Micrograph of an adenosquamous carcinoma of the lung. The adeno- or glandular component is on the left of the image and the squamous component on the right of the image. H&E stain. | |
| التخصص | علم الأورام |
السرطان الغدي الحرشفي (إنگليزية: Adenosquamous carcinoma)، هو أحد أنواع السرطان، والذ ييحتوي على نوعين من الخلايا: الخلايا الحرشفية (خلايا رقيقة ومسطحة تبطن أعضاء معينة) والخلايا الشبيهة بالغدد. وقد ارتبط هذا النوع من السرطان بخصائص أكثر عدوانية عند مقارنته بالسرطان الغدي في بعض أنواع السرطان.[1][2] وهو مسئول عن 1-4% من الأشكال إفرازية من سرطان الپنكرياس.[3]
التشخيص

على عكس السرطان الغدي الحرشفية، فإن السرطان الغدي وسرطان الخلايا الحرشفية يتكونان فقط من نوع واحد من الخلايا. يتكون الورم الغدي من الغدد بينما يتكون سرطان الخلايا الحرشفية من الخلايا الحرشفية. من أجل إجراء هذا التشخيص، يجب أن يرى أخصائي علم الأمراض أن الورم يتكون من كل من الغدد والخلايا الحرشفية. الأماكن الأكثر شيوعًا لهذا النوع من السرطان هي عنق الرحم والرئة والمثانة على الرغم من أنه يمكن أن يبدأ أيضًا في أجزاء أخرى من الجسم.[4]
يُظهر الفحص المجهري الضوئي مزيجاً من الخلايا الشبيهة بالغدة والخلايا الحرشفية الظهارية.[5] في الكيمياء النسيجية المناعية، يكون موجباً CK5/6، CK7 وp63، وسالباً CK20، p16. في الفحص الجيني، عادة ما سكون p53. KRAS وp53 متغيراً.[5]
المصادر
- ^ Mahendraraj, Krishnara; Di Como, Joseph A. (October 2014). "Adenosquamous carcinoma of the pancreas: a population based clinical outcomes studies involving 700 patients from the Surveillance, Epidemiology, and End Results (SEER) database (1973-2010)". Journal of the American College of Surgeons. 219 (4): 109. doi:10.1016/j.jamcollsurg.2014.07.676.
- ^ Di Como, Joseph A. (October 2015). "Adenosquamous carcinoma of the colon and rectum: a population based clinical outcomes study involving 578 patients from the Surveillance Epidemiology and End Result (SEER) database (1973-2010)". Journal of the American College of Surgeons. 221 (4): 56. doi:10.1016/j.jamcollsurg.2015.08.044.
- ^ Skafida, Evangelia; Grammatoglou, Xanthippi; Glava, Chryssoula; Zissis, Dimitrios; Paschalidis, Nikolaos; Katsamagkou, Eleftheria; Firfiris, Nikolaos; Vasilakaki, Thivi (2010). "Adenosquamous carcinoma of the pancreas: a case report". Cases Journal. 3 (1): 41. doi:10.1186/1757-1626-3-41. ISSN 1757-1626. PMC 2825199. PMID 20205828.
- ^ "ما هو سرطان الغدة النخامية؟". mypathologyreport.ca. Retrieved 2021-04-10.
- ^ أ ب Pishvaian MJ, Brody JR (2017). "Therapeutic Implications of Molecular Subtyping for Pancreatic Cancer". Oncology (Williston Park). 31 (3): 159–66, 168. PMID 28299752.
وصلات خارجية
| Classification | |
|---|---|
| External resources |
- Adenosquamous carcinoma entry in the public domain NCI Dictionary of Cancer Terms
This article incorporates public domain material from the U.S. National Cancer Institute document "Dictionary of Cancer Terms".