سرطان الثدي
| سرطان الثدي | |
|---|---|
| رسم لسرطان الثدي. | |
| التخصص | علم الأورام |
| الأعراض | تكتل في الثدي، تغير في شكل الثدي، تنقر في الجلد، خروج سوائل من الحلمة، تغير حديث في شكل الحلمة (المقلوبة)، ظهور بقع حمراء متقشرة على الثدي.[1] |
| عوامل الخطر | الإناث، البدانة، عدم القيام بالتمارين الرياضية، المشروبات الكحولية، العلاج الهرموني البديل أثناء سن اليأس، الإشعاع المؤين، بدء الإحاضة في سن مبكر، إنجاب أطفال في سن متأخر أو عدم الإنجاب، كبر السن، الإصابة المسبقة بسرطان الثدي، التاريخ العائلي للإصابة بسرطان الثدي، متلازمة كلينفلتر[1][2][3] |
| الطريقة التشخيصية | الخزعة النسيجية[1] تصوير الثدي |
| العلاج | الجراحة، العلاج الإشعاعي، العلاج الكيميائي، العلاج الهرموني، العلاج المستهدف[1] |
| Prognosis | معدل البقاء لخمس سنوات ≈85% (الولايات المتحدة، المملكة المتحدة)[4][5] |
| التردد | 2.2 مليون إصابة في 2020[6] |
| الوفيات | 685.000 (2020)[6] |
سرطان الثدي (إنگليزية: Breast cancer)، هو سرطان يتطور من أنسجة الثدي.[7] قد تتضمن أعراض سرطان الثدي كتل الثدي، تغير شكل الثدي، تنقر الجلد، خروج سوائل من الحلمة، تغير حديث في شكل الحلمة (الحلمة المقلوبة)، أو ظهور بقع حمراء أو تقشر في الجلد.[1] في حالات انتشار المرض في الجسم، قد يتسبب في آلام العظام، تورم العقد اللمفاوية، ضيق التنفس، أو اصفرار الجلد.[8]
تشمل عوامل الخطر للإصابة بسرطان الثدي البدانة، وقلة التمارين البدنية، إدمان الكحول، العلاج بالهرمونات البديلة أثناء سن اليأس، الإشعاع المؤين، الحيض الأول في سن مبكرة، وإنجاب الأطفال في وقت متأخر من العمر أو عدم الإنجاب على الإطلاق، توقدم السن، ووجود تاريخ سابق للإصابة بسرطان الثدي، ووجود تاريخ عائلي للإصابة بسرطان الثدي.[1][2] حوالي 5–10% من الحالات ناتجة عن استعداد وراثي موروث من الوالدين،[1] بما في ذلك BRCA1 وBRCA2 وغيرها.[1] يتطور سرطان الثدي بشكل شائع في الخلايا المبطنة للقنوات اللبناية والفصيصات التي تزود هذه القنوات باللبن.[1] تُعرف السرطانات التي تتطور من القنوات باسم سرطان الأقنية، بينما تُعرف السرطانات التي تتطور من الفصيصات باسم سرطانات الفصيصات.[1] يوجد أكثر من 18 نوع فرعي من سرطان الثدي.[2] بعضها، مثل سرطان الأقنية الموضعي، يتطور من ورم محتمل الخباثة.[2] تتأكد الإصابة بسرطان الثدي بأخذ خزعة من الأنسجة المعنية.[1] بمجرد إجراء التشخيص، تُجرى مزيد من الاختبارات لتحديد ما إذا كان السرطان قد انتشر إلى ما بعد الثدي وما هي العلاجات التي من المرجح أن تكون فعالة.[1]
التوازن بين الفوائد مقابل أضرار فحص سرطان الثدي أمر مثير للجدل. وجدت مراجعة كوكرين لعام 2013 أنه من غير الواضح ما إذا كان الفحص التصوير الشعاعي للثدي يضر أكثر مما ينفع، حيث أن نسبة كبيرة من النساء اللائي ثبتت إصابتهن تبين أنهن لم يصبن بالمرض.[9] وجدت مراجعة لعام 2009 لفرقة عمل الخدمات الوقائية الأمريكية دليلًا على فائدة لأولئك الذين تتراوح أعمارهم بين 40 و70 عامًا،[10] وتوصي المنظمة بإجراء فحص كل عامين عند النساء اللائي تتراوح أعمارهن بين 50 و74 عامًا.[11] يمكن استخدام الأدوية مثل التاموكسيفين أو رالوكسيفين في محاولة للوقاية من سرطان الثدي لدى أولئك المعرضين لخطر الإصابة به.[2] الاستئصال الجراحي لكلا الثديين هو إجراء وقائي آخر لدى بعض النساء المعرضات لخطر كبير.[2] بالنسبة لأولئك الذين تم تشخيص إصابتهم بالسرطان، يمكن استخدام عدد من العلاجات، بما في ذلك الجراحة، العلاج الإشعاعي، العلاج الكيميائي، العلاج الهرموني، العلاج المستهدف.[1] قد تتراوح الجراحة من الاستئصال الجزئي للثدي إلى استئصال الثدي بالكامل.[12][13] قد تُجرى إعادة هيكلة الثدي وقت الجراحة أو لاحقاً.[13] بالنسبة للحالات الذين ينتشر فيها السرطان في أجزاء أخرى من الجسم، تهدف العلاجات في الغالب إلى تحسين نوعية الحياة والراحة.[13]
تختلف نتائج سرطان الثدي تبعًا لنوعه ومدى انتشاره وعمر الحالة.[13] تبلغ معدلات البقاء لخمس سنوات في إنگلترة والولايات المتحدة بين 80 و90%.[14][4][5] في البلدان النامية، تكون معدلات البقاء لخمس سنوات منخفضة.[2] يعتبر سرطان الثدي في جميع أنحاء العالم النوع الرائد من السرطانات لدى النساء، حيث يمثل 25% من جميع الحالات.[15] عام 2018، كان هناك 2 مليون إصابة جديدة، و627.000 حالة وفاة.[16] وهو أكثر شيوعاً في البلدان المتقدمة[2] وهو أكثر شيوعاً مائة مرة في النساء عن الرجال.[14][17]
الأعراض والعلامات


يظهر سرطان الثدي بشكل أكثر شيوعًا على شكل تكتل بالثدي والذي يبدو مختلفًا عن بقية أنسجة الثدي. تكتشف أكثر من 80% من الحالات عندما يكتشف الشخص مثل هذه الكتلة بأطراف الأصابع.[18] ومع ذلك، فإن الكشف المبكر عن سرطان الثدي يتم بواسطة تصوير الثدي.[19][20] تتواجد التكتلات في العقد الملفاوية الموجودة تحت الإبط[18] والتي قد تشير أيضاً إلى سرطان الثدي.
قد تشمل مؤشرات الإصابة بسرطان الثدي بخلاف الكتلة مختلفة السماكة عن أنسجة الثدي الأخرى، أو زيادة حجم أحد الثديين أو صغره، أو تغيير موضع الحلمة أو شكلها أو انقلابها، أو تجعد الجلد أو تنقره، أو ظهور طفح جلدي على الحلمة أو حولها، أو إفرازات من الحلمة/الحلمتين، والألم المستمر في جزء من الثدي أو الإبط والتورم تحت الإبط أو حول الترقوة.[21] الألم ("ألم الثدي") هي أداة غير موثوقة في تحديد وجود أو عدم وجود سرطان الثدي، لكنها قد تدل على مشاكل أخرى تتعلق بصحة الثدي.[18][19][22]
من الأعراض المعقدة الأخرى لسرطان الثدي داء پاجيت في الثدي. تظهر هذه المتلازمة مع تغيرات جلدية تشبه الإكزيما؛ مثل احمرار أو تلون أو تقشر خفيف في جلد الحلمة. مع تقدم داء پاجيت في الثدي، قد تشمل الأعراض الوخز والحكة وزيادة الحساسية والحرق والألم. قد يكون هناك أيضًا إفرازات من الحلمة. ما يقرب من نصف النساء المصابات بداء پاجيت في الثدي لديهن أيضًا كتلة في الثدي.[23][24]
سرطان الثدي الالتهابي هو نوع نادر من سرطانات الثدي (يُلاحظ فقط في أقل من 5% من تشخيص الإصابة بسرطان الثدي) لكنه شكل عدواني من سرطان الثدي يتميز بوجود مناطق حمراء منتفخة تتشكل أعلى الثدي. التأثيرات البصرية لسرطان الثدي الالتهابي هي نتيجة انسداد الأوعية الليمفاوية بواسطة الخلايا السرطانية. يُلاحظ هذا النوع من سرطان الثدي بشكل أكثر شيوعًا في الأعمار الأصغر، النساء البدينات والنساء الأمريكيات من أصل أفريقي. نظرًا لأن سرطان الثدي الالتهابي لا يظهر على شكل كتلة، فقد يحدث تأخير أحيانًا في التشخيص.[25]
سرطان الثدي الإفرازي (MSC) هو شكل نادر من السرطانات الإفرازية يحدث حصريًا في الثدي.[26] يتطور عادة عند البالغين ولكن في نسبة كبيرة من الحالات يصيب الأطفال أيضًا:[27] يشكل سرطان الثدي الإفرازي 80% من حالات سرطان الثدي لدى الأطفال.[28] عادةً ما تكون آفات سرطان الثدي الإفرازي بطيئة النمو وغير مؤلمة وصغيرة أورام الثدي الغازية التي تغزو الأنسجة حول القنوات اللبنية الأصلية، وغالبًا ما تنتشر إلى العقد الليمفاوية الحارسة و/أو العقد الليمفاوية الإبطية، ولكن نادرًا ما ينتقل إلى الأنسجة البعيدة.[29] تتميز هذه الأورام عادةً بسمات مجهرية مميزة وخلايا ورمية تحمل انتقال جيني متوازنًا حيث يكون جزء من الجين NTRK3 يندمج في الجين ETV6 gene[30] ليشكلا جين مندمج، ETV6-NTRK3. يرمز هذا الجين المندمج پروتين كيميري يسمى ETV6-NTRK3. الجزء من الجين NTRK3 في الپروتين ETV6-NTRK3 يتمتع بنشاط منظم لكيناز التيروسين الذي يحفز مسارين تأشير، المسار PI3K/AKT/mTOR والمسار MAPK/ERK، الذي يعزز تكاثر الخلايا وبقائها وبالتالي قد يساهم في تطوير سرطان الثدي الإفرازي.[27] كانت الجراحة المحافظة، واستئصال الثدي الجذري المعدل، واستئصال الثدي الكامل هي الإجراءات الأكثر شيوعًا المستخدمة لعلاج البالغين، بينما يوصى باستئصال الثدي البسيط والاستئصال الموضعي باستخدام خزعة العقد اللمفاوية الحارسة والتشريح الإبطي الكامل لعلاج الأطفال المصابين بسرطان الثدي الإفرازي.[31] في جميع الحالات، على المدى الطويل، على سبيل المثال > 20 سنة، يوصى بإجراء فحوصات متابعة.[26][30] أظهرت الحالات النادرة نسبيًا من سرطان الثدي الإفرازي التي انتشرت إلى أنسجة بعيدة استجابات قليلة أو معدومة للعلاج الكيميائي والعلاج الإشعاعي. ثلاثة مرضى مصابين بمرض نقيلي لديهم استجابات جزئية جيدة للإنترستينيب، وهو دواء يثبط نشاط كيناز التيروسين لپروتين الإندماج ETV6-NTRK3.[32] بسبب نموه البطيء وانخفاض معدل انتشار الأورام الخبيثة إلى الأنسجة البعيدة، كان لدى الأفراد المصابين بسرطان الثدي الإفرادي معدلات بقاء لمدة 20 عامًا بلغت 93.16%.[26]
في حالات نادرة، عندما يظهر في البداية كورم غدي ليفي (كتلة صلبة غير سرطانية متحركة) يمكن أن يكون في الواقع ورم فيلوديس. تتشكل أورام فيلوديس داخل سدى (نسيج ضام) للثدي وتحتوي على نسيج غدي بالإضافة إلى أنسجة سدوية. لا تنتظم أورام فيلوديس بالمعنى المعتاد؛ يتم تصنيفها على أساس مظهرها تحت المجهر على أنها حميدة أو حدية أو خبيثة.[33]
يمكن أن تؤدي الأورام الخبيثة إلى أورام نقيلية - أورام ثانوية (تنشأ من الورم الرئيسي) تنتشر إلى ما بعد مكان نشأتها. تعتمد الأعراض التي يسببها سرطان الثدي النقيلي على موقع الورم الخبيث. تشمل المواقع الشائعة للورم الخبيث العظام والكبد والرئة والمخ.[34] عندما يصل السرطان إلى مثل هذه الحالة الغازية، يتم تصنيفه على أنه سرطان من المرحلة الرابعة، وغالبًا ما تكون سرطانات هذه الحالة قاتلة.[35] تشمل الأعراض الشائعة لسرطان المرحلة الرابعة فقدان الوزن غير المبرر وآلام العظام والمفاصل واليرقان والأعراض العصبية. تسمى هذه الأعراض أعراض غير محددة لأنها يمكن أن تكون مظاهر لأمراض أخرى كثيرة.[36] نادرًا ما ينتشر سرطان الثدي إلى مواقع غير شائعة جدًا مثل العقد الليمفاوية المحيطة بالبنكرياس مما يؤدي إلى انسداد القنوات الصفراوية مما يؤدي إلى صعوبات في التشخيص.[37]

معظم أعراض اضطرابات الثدي، بما في ذلك معظم الكتل، لا تشير إلى سرطان الثدي الأساسي. أقل من 20% من الكتل، على سبيل المثال، سرطانية،[38] وأمراض الثدي الحميدة مثل التهاب الثدي والورم الغدي الليفي في الثدي هي أكثر الأسباب شيوعًا لأعراض اضطرابات الثدي.[39]
عوامل الخطر
يمكن تقسيم عوامل الخطر إلى فئتين:
- عوامل الخطر القابلة للتعديل (الأشياء التي يمكن للناس تغييرها بأنفسهم، مثل استهلاك المشروبات الكحولية)، و
- عوامل الخطر الثابتة (الأشياء التي لا يمكن تغييرها، مثل العمر والجنس الفسيولوجي).[40]
عوامل الخطر الرئيسية لسرطان الثدي هي الإناث وكبار السن.[41]عوامل الخطر المحتملة الأخرى تشمل الوراثة،[42] قلة الإنجاب أو قلة الرضاعة الطبيعية،[43]مستويات أعلى من هرمونات معينة،[44][45] بعض الأنماط الغذائية والسمنة. تشير إحدى الدراسات إلى أن التعرض للتلوث الضوئي هو عامل خطر للإصابة بسرطان الثدي.[46]
إذا كان جميع البالغين قد حافظوا على أفضل أنماط الحياة الممكنة، بما في ذلك عدم شرب المشروبات الكحولية، والحفاظ على تركيب الجسم، وعدم التدخين مطلقاً، وتناول طعام صحي، وغير ذلك من الإجراءات ومن ثم يمكن منع ما يقرب من ربع حالات سرطان الثدي في جميع أنحاء العالم.[47] لا يمكن منع الثلاثة أرباع المتبقية من حالات سرطان الثدي من خلال تغيير نمط الحياة.[47]
أسلوب الحياة

يزيد شرب المشروبات الكحولية من خطر الإصابة بسرطان الثدي، حتى بين شاربي الكحوليات الخفيفة جداً (النساء يشربن أقل من نصف مشروب كحولي واحد في اليوم).[48] الخطر هو الأعلى بين الذين يشربون بكثرة.[50]على الصعيد العالمي، تحدث حالة واحدة من كل 10 حالات من سرطان الثدي بسبب شرب النساء للمشروبات الكحولية.[50]حيث يعد شرب المشروبات الكحولية من أكثر عوامل الخطر القابلة للتعديل شيوعاً.[51]
العلاقة بين السمنة وسرطان الثدي ليست سوى علاقة خطية. تشير الدراسات إلى أن أولئك الذين يكتسبون الوزن بسرعة في مرحلة البلوغ معرضون لخطر أكبر من أولئك الذين يعانون من زيادة الوزن منذ الطفولة. وبالمثل يبدو أن الدهون الزائدة في منطقة الوسط تؤدي إلى مخاطر أعلى من الوزن الزائد الذي يحمله الجزء السفلي من الجسم. هذا يعني أن الطعام الذي يأكله المرء له أهمية أكبر من مؤشر كتلة الجسم.[52]تشمل العوامل الغذائية التي قد تزيد من المخاطر اتباع نظام غذائي عالي الدهون[53] ومستويات ارتفاع الكوليسترول المرتبطة بالسمنة.[54][55]قد يلعب نقص اليود الغذائي دوراً أيضاً.[56]الدليل على الألياف غير واضح. وجدت مراجعة عام 2015 أن الدراسات التي تحاول ربط تناول الألياف بسرطان الثدي أسفرت عن نتائج مختلطة.[57] في عام 2016، لوحظ وجود ارتباط مبدئي بين انخفاض تناول الألياف خلال فترة المراهقة وسرطان الثدي.[58]
يبدو أن تدخين التبغ يزيد من خطر الإصابة بسرطان الثدي، فكلما زادت كمية التدخين وكلما بدأ التدخين مبكراً، زادت احتمالية الإصابة به.[59] في أولئك الذين يدخنون على المدى الطويل، تزداد المخاطر النسبية من 35٪ إلى 50٪.[59]
رُبطت قلة النشاط البدني بحوالي 10٪ من الحالات.[60]الجلوس بانتظام لفترات طويلة يرتبط بارتفاع معدل الوفيات من سرطان الثدي. لا يتم إبطال الخطر من خلال ممارسة التمارين الرياضية بانتظام، على الرغم من تقليلها.[61]
يرتبط العلاج بالهرمونات لعلاج سن اليأس أيضاً بزيادة خطر الإصابة بسرطان الثدي.[62]استخدام تحديد النسل الهرموني لا يسبب سرطان الثدي لمعظم النساء;[63]إذا كان له تأثير، فهو صغير (في حدود 0.01٪ لكل مستخدم في السنة؛ يمكن مقارنته بمعدل وفيات الأمهات في الولايات المتحدة[64])، مؤقت، ويقابلها انخفاض كبير في خطر إصابة المستخدمين بسرطان المبيض وبطانة الرحم.[64]من بين أولئك الذين لديهم تاريخ عائلي للإصابة بسرطان الثدي، لا يبدو أن استخدام موانع الحمل الفموية الحديثة يؤثر على خطر الإصابة بسرطان الثدي.[65] من غير المؤكد ما إذا كانت موانع الحمل الهرمونية يمكن أن تزيد من المعدلات المرتفعة بالفعل لسرطان الثدي لدى النساء المصابات بطفرات في جينات قابلية الإصابة بسرطان الثدي BRCA1 or BRCA2.[66]
تقلل الرضاعة الطبيعية من خطر الإصابة بعدة أنواع من السرطانات، بما في ذلك سرطان الثدي.[67][68][69][70]في الثمانينيات من القرن الماضي، افترضت فرضية الإجهاض - سرطان الثدي أن الإجهاض المتعمد يزيد من خطر الإصابة بسرطان الثدي.[71]كانت هذه الفرضية موضوع تحقيق علمي مكثف، والذي خلص إلى أنه لا الإجهاض ولا عمليات الإجهاض مرتبطة بزيادة خطر الإصابة بسرطان الثدي.[72]
تشمل عوامل الخطر الأخرى الإشعاع[73]و الساعة البيولوجية الاضطرابات المتعلقة بالعمل بنظام الوردية[74]وتناول الطعام الروتيني في وقت متأخر من الليل.[75] تم أيضاً ربط عدد من المواد الكيميائية، بما في ذلك ثنائي الفنيل متعدد الكلورة، الهيدروكربونات العطرية متعددة الحلقات، والمذيبات العضوية[76]على الرغم من أن جرعة الإشعاع من تصوير الثدي الشعاعي منخفضة، فمن المقدر أن الفحص السنوي من سن 40 إلى 80 عاماً سيسبب ما يقرب من 225 حالة من حالات سرطان الثدي المميتة لكل مليون امرأة يتم فحصها.[77]
علم الوراثة
يعتقد أن علم الوراثة هو السبب الرئيسي ل 5-10٪ من جميع الحالات.[78]النساء اللواتي تم تشخيص والدتهن قبل سن الخمسين معرضات لخطر متزايد قدره 1.7، وأولئك اللواتي تم تشخيص والدتهن في سن الخمسين أو بعد ذلك يكون لديهن خطر متزايد قدره 1.4.[79]بالنسبة لأولئك الذين ليس لديهم أي من الأقارب المصابين، فإن خطر الإصابة بسرطان الثدي قبل سن الثمانين هو 7.8٪، و 13.3٪، و21.1٪ مع معدل وفيات لاحق من المرض يبلغ 2.3٪، و4.2٪، و7.6٪ على التوالي.[80] بالنسبة لأولئك الذين لديهم قريب من الدرجة الأولى مصابون بالمرض، فإن خطر الإصابة بسرطان الثدي بين سن 40 و50 هو ضعف ذلك لدى عامة السكان.[81]
في أقل من 5٪ من الحالات، تلعب الجينات دوراً أكثر أهمية من خلال التسبب في متلازمة سرطان الثدي والمبيض الوراثية.[82]وهذا يشمل أولئك الذين يحملون الطفرة الجينية BRCA1 وBRCA2.[82]تمثل هذه الطفرات ما يصل إلى 90٪ من إجمالي التأثير الجيني مع خطر الإصابة بسرطان الثدي بنسبة 60-80٪ لدى المصابين.[78]تشمل الطفرات المهمة الأخرى p53 (متلازمه لي-فراوميني) وPTEN (متلازمة كاودن) وSTK11 (متلازمة پوتز-جگرز) وCHEK2 وATM وBRIP1 و PALB2.[78] في عام 2012، قال الباحثون إن هناك أربعة أنواع متميزة وراثياً من سرطان الثدي، وفي كل نوع، تؤدي التغيرات الجينية المميزة إلى العديد من السرطانات.[83]
تشمل الاستعدادات الوراثية الأخرى كثافة أنسجة الثدي والمستويات الهرمونية. النساء المصابات بـ أنسجة الثدي عالية الكثافة أكثر عرضة للإصابة بالأورام وأقل عرضة للإصابة بسرطان الثدي - لأن الأنسجة الكثيفة تجعل الأورام أقل وضوحاً في تصوير الثدي بالأشعة السينية. علاوة على ذلك، فإن النساء اللواتي لديهن مستويات عالية من هرمون الاستروجين والبروجسترون بشكل طبيعي معرضات بشكل أكبر لتطور الورم.[84][85]
حالات طبية
تغيرات الثدي مثل تضخم الأقنية الشاذ[86] و السرطان الفصيصي الموضعي،[87][88]وجدت في حالات الثدي الحميدة مثل مرض الثدي الكيسي الليفي، ترتبط بزيادة خطر الإصابة بسرطان الثدي.
مرض السكري قد يزيد أيضاً من خطر الإصابة بسرطان الثدي.[89]يبدو أن أمراض المناعة الذاتية مثل الذئبة الحمامية تزيد أيضاً من خطر الإصابة بسرطان الثدي.[90]
ترتبط الأسباب الرئيسية لسرطان الثدي المتقطع بمستويات الهرمون. يتم تعزيز سرطان الثدي عن طريق الإستروجين. ينشط هذا الهرمون نمو الثدي خلال فترة البلوغ ودورات الحيض والحمل. يؤدي عدم التوازن بين هرمون الاستروجين والبروجسترون خلال مراحل الحيض إلى تكاثر الخلايا. علاوة على ذلك، يمكن أن تزيد نواتج الأيض المؤكسدة للإستروجين من تلف الحمض النووي والطفرات. يمكن أن يؤدي تكرار التدوير وإعاقة عملية الإصلاح إلى تحويل الخلية الطبيعية إلى خلية خبيثة في النهاية من خلال الطفرة. خلال مرحلة ما قبل سرطان الثدي، يمكن تنشيط التكاثر العالي للخلايا اللحمية بواسطة الإستروجين لدعم تطور سرطان الثدي. أثناء تنشيط ربط الترابط، يمكن لـ ER تنظيم التعبير الجيني من خلال التفاعل مع عناصر استجابة هرمون الاستروجين داخل مروج جينات معينة. يمكن تحفيز التعبير عن ER وتفعيله بسبب نقص هرمون الاستروجين عن طريق إشارات خارج الخلية.[91]ومن المثير للاهتمام أن ارتباط ER مباشرة بالعديد من البروتينات، بما في ذلك مستقبلات عامل النمو، يمكن أن يعزز التعبير عن الجينات المرتبطة بنمو الخلايا وبقائها.[92]
ترتبط مستويات الپرولاكتين المرتفعة في الدم بزيادة خطر الإصابة بسرطان الثدي.[93]
الفسيولوجيا المرضية


يحدث سرطان الثدي ، مثل غيره من السرطانات، بسبب تفاعل بين عامل بيئي (خارجي) ومضيف حساس وراثيًا. تنقسم الخلايا الطبيعية عدة مرات حسب الحاجة وتتوقف. ترتبط بالخلايا الأخرى وتبقى في مكانها في الأنسجة. تصبح الخلايا سرطانية عندما تفقد قدرتها على التوقف عن الانقسام، والتعلق بالخلايا الأخرى، والبقاء حيث تنتمي، والموت في الوقت المناسب.
الخلايا الطبيعية سوف تدمر نفسها بنفسها (موت الخلايا المبرمج) عندما لا تكون هناك حاجة إليها. حتى ذلك الحين، تتم حماية الخلايا من الموت المبرمج عن طريق عدة مجموعات ومسارات پروتينية. أحد المسارات الوقائية هو مسار PI3K/AKT؛ والمسار الآخر هو مسار MEK/ERK. في بعض الأحيان، تتحور الجينات الموجودة على امتداد هذه المسارات الحارسة بطريقة تجعلها "تعمل" بشكل دائم، مما يجعل الخلية غير قادرة على التدمير الذاتي عندما لا تكون هناك حاجة لها. هذه إحدى الخطوات التي تسبب السرطان مع طفرات أخرى. عادة يقوم الپروتين PTEN بإيقاف مسار PI3K/AKT عندما تكون الخلية جاهزة لموت الخلية المبرمج. في بعض سرطانات الثدي، يتحور جين الپروتين PTEN، لذا فإن مسار PI3K/AKT يكون عالق في وضع "التشغيل"، والخلية السرطانية لا تدمر نفسها بنفسها.[94]
تم ربط الطفرات التي يمكن أن تؤدي إلى الإصابة بسرطان الثدي بشكل تجريبي بالتعرض للإستروجين.[95] بالإضافة إلى ذلك، ارتبط الپروتين G المقترن بمستقبلات هرمون الإستروجين بأنواع مختلفة من سرطانات الجهاز التناسلي الأنثوي بما في ذلك سرطان الثدي.[96]
إشارات عامل النمو غير الطبيعية في التفاعل بين الخلايا السدوية والخلايا الظهارية يمكن أن تسهل نمو الخلايا الخبيثة.[97][98] في الأنسجة الدهنية للثدي ، يؤدي الإفراط في إفراز هرمون اللبتين إلى زيادة تكاثر الخلايا والسرطان.
في الأنسجة الدهنية للثدي، يؤدي الإفراط في إفراز هرمون اللپتين إلى زيادة تكاثر الخلايا والسرطان.[99]
في الولايات المتحدة، 10 إلى 20 في المائة من النساء المصابات بسرطان الثدي أو سرطان المبيض لديهن قريب من الدرجة الأولى أو الثانية مصاب بأحد هذه الأمراض. الرجال المصابون بسرطان الثدي لديهم احتمالية أعلى. يُطلق على الميل العائلي للإصابة بهذه السرطانات اسم متلازمة سرطان الثدي-المبيض الوراثي.
أشهرها، طفرات "BRCA"، تمنح خطرًا مدى الحياة للإصابة بسرطان الثدي بنسبة تتراوح بين 60 و85 بالمائة وخطر الإصابة بسرطان المبيض يتراوح بين 15 و40 بالمائة. تحدث بعض الطفرات المرتبطة بالسرطان، مثل "p53" و"BRCA1" و"BRCA2"، في آليات لتصحيح الأخطاء في الدنا.
هذه الطفرات إما موروثة أو مكتسبة بعد الولادة. من المفترض أنها تسمح بمزيد من الطفرات، والتي تسمح بالانقسام غير المنضبط، ونقص الارتباط، والورم الخبيث للأعضاء البعيدة.[73][100] ومع ذلك، هناك دليل قوي على تباين المخاطر المتبقية الذي يتجاوز الطفرات الجينية الوراثية بين العائلات الحاملة. يحدث هذا بسبب عوامل خطر غير ملحوظة.[101] يشير هذا إلى أسباب بيئية وأسباب أخرى كمحفزات لسرطان الثدي. يمكن أن تتداخل الطفرة الموروثة في جين "BRCA1" أو "BRCA2" مع إصلاح الروابط المتقاطعة للحمض النووي وانكسارات شرائط الحمض النووي المزدوجة (الوظائف المعروفة للپروتين المشفر).[102] تسبب هذه المواد المسرطنة تلف الحمض النووي مثل الروابط المتقاطعة للحمض النووي وفواصل الخيوط المزدوجة التي تتطلب غالبًا إصلاحات عن طريق المسارات التي تحتوي على BRCA1 وBRCA2.[103][104] ومع ذلك، فإن الطفرات في جينات "BRCA" تمثل 2 إلى 3 في المائة فقط من جميع سرطانات الثدي.[105] يقول ليڤن وزملائه إن السرطان قد لا يكون حتميًا لجميع حاملي طفرات "BRCA1" و"BRCA2".[106] تتضمن حوالي نصف متلازمات سرطان الثدي والمبيض الوراثية جينات غير معروفة. علاوة على ذلك، قد تقلل بعض الڤيروسات الكامنة من التعبير عن الجين "BRCA1" وتزيد من خطر الإصابة بأورام الثدي.[107]
يتحكم [[GATA-3] بشكل مباشر في التعبير عن مستقبلات هرمون الاستروجين (ER) والجينات الأخرى المرتبطة بالتمايز الظهاري، ويؤدي فقدان GATA-3 إلى فقدان التمايز وسوء التشخيص بسبب غزو الخلايا السرطانية وهجرتها.[108]
الفحص
يشير فحص سرطان الثدي إلى اختبار النساء اللائي يتمتعن بصحة جيدة لسرطان الثدي في محاولة لتحقيق تشخيص مبكر على افتراض أن الاكتشاف المبكر سيحسن النتائج. تم استخدام عدد من اختبارات الفحص بما في ذلك الفحص السريري والذاتي فحوصات الثدي وتصوير الثدي والفحص الجيني والموجات فوق الصوتية والتصوير بالرنين المغناطيسي.
يتضمن الفحص السريري أو الذاتي للثدي تحسس الثدي للوقوف على وجود كتل أو أي تشوهات أخرى. يتم إجراء فحوصات الثدي السريرية من قبل مقدمي الرعاية الصحية، بينما تُجرى فحوصات الثدي الذاتية من قبل الشخص نفسه.[109] لا تدعم الأدلة فعالية أي من نوعي فحوصات الثدي، لأنه بحلول الوقت الذي يصبح فيه الورم كبيرًا بما يكفي ليتم اكتشافه، من المحتمل أن ينمو لعدة سنوات وبالتالي يصبح كبيرًا بما يكفي ليتم لاكتشافه بدون فحص.[110][111] يستخدم فحص التصوير الإشعاعي لسرطان الثدي بالأشعة السينية لفحص الثدي بحثًا عن أي كتل. أثناء الفحص، يتم ضغط الثدي ويلتقط الفني صورًا من زوايا متعددة. يلتقط التصوير الشعاعي للثدي العام صورًا للثدي بأكمله، بينما يركز تصوير الثدي الشعاعي التشخيصي على كتلة معينة أو منطقة معينة مثيرة للقلق.[112]
توصي عدد من الهيئات الوطنية بفحص سرطان الثدي. بالنسبة للمرأة المتوسطة، فإن الولايات المتحدة توصي فرقة العمل المعنية بالخدمات الوقائية والكلية الأمريكية للأطباء بإجراء التصوير الشعاعي للثدي كل عامين لدى النساء اللائي تتراوح أعمارهن بين 50 و74 عاماً،[11][113] بينما يوصي مجلس أوروپا بتصوير الثدي لمن تتراوح أعمارهن بين 50 و69 عاماً مع استخدام معظم البرامج وتيرة سنتين،[114] بينما توصي المفوضية الأوروپية بإجراء التصوير الشعاعي للثدي من 45 إلى 75 مرة كل 2 إلى 3 سنوات،[115] ويوصى بالفحص في كندا لمن تتراوح أعمرهن بين سن 50 و74 عاماً بمعدل 2 إلى 3 سنوات.[116] تشير تقارير فرقة العمل هذه إلى أنه بالإضافة إلى الجراحة غير الضرورية والقلق، تشمل مخاطر تصوير الثدي بالأشعة السينية زيادة طفيفة ولكنها كبيرة في سرطان الثدي الناجم عن الإشعاع.[117]
ينص تعاون كوكرين (2013) على أن أفضل دليل جودة لا يوضح انخفاضًا في سرطان محدد، ولا انخفاض في جميع أسباب الوفيات الناتجة عن فحص التصوير الشعاعي للثدي.[9] عند إضافة تجارب أقل صرامة إلى التحليل، يحدث انخفاض في معدل الوفيات بسبب سرطان الثدي بنسبة 0.05% (انخفاض 1 كل 2000 حالة وفاة بسبب سرطان الثدي على مدى 10 سنوات أو انخفاض نسبي بنسبة 15% للوفيات بسبب سرطان الثدي).[9] يؤدي الفحص على مدى 10 سنوات إلى زيادة بنسبة 30% في معدلات الإفراط في التشخيص والعلاج الزائد (3 إلى 14 لكل 1000) وأكثر من نصفهم سيحصلون على اختبار واحد إيجابي كاذب على الأقل.[9][118] وقد أدى ذلك إلى الرأي القائل بأنه ليس من الواضح ما إذا كان فحص التصوير الإشعاعي للثدي يفيد أم يضر أكثر.[9] بحسب كوكرين أنه بسبب التحسينات الأخيرة في علاج سرطان الثدي، ومخاطر الإيجابيات الكاذبة من فحص سرطان الثدي التي تؤدي إلى علاج غير ضروري، "لذلك لم يعد من المفيد الحضور لفحص سرطان الثدي" في أي عمر.[119] ليس معروفًا ما إذا كان التصوير بالرنين المغناطيسي كطريقة فحص له أضرار أو فوائد أكبر مقارنةً بالتصوير الإشعاعي للثدي القياسي.[120][121]
التشخيص
من السهل تشخيص معظم أنواع سرطان الثدي عن طريق التحليل المجهري لعينة - أو خزعة - من المنطقة المصابة من الثدي. أيضًا، هناك أنواع من سرطان الثدي تتطلب فحوصات مخبرية متخصصة.
يمكن أن توفر طريقتا الفحص الأكثر شيوعًا، وهما الفحص البدني للثدي بواسطة مقدم الرعاية الصحية والتصوير الإشعاعي للثدي، احتمالًا تقريبيًا لوجود كتلة سرطانية، وقد تكتشف أيضًا بعض الآفات الأخرى، مثل الكيسات البسيطة.[122] عندما تكون هذه الفحوصات غير حاسمة، يمكن لمقدم الرعاية الصحية أخذ عينة من السائل الموجود في الكتلة لتحليلها مجهريًا (إجراء يُعرف باسم الخزعة بالإبرة) للمساعدة في تحديد التشخيص. يمكن إجراء الخزعة بالإبرة في عيادة أو مكتب مقدم الرعاية الصحية. يمكن استخدام مخدر موضعي لتخدير أنسجة الثدي لمنع الألم أثناء العملية، ولكن قد لا يكون ضروريًا إذا لم يكن الورم تحت الجلد. إن اكتشاف وجود سائل واضح يجعل الكتلة غير سرطانية إلى حد كبير، ولكن قد يتم إرسال السائل الدموي للفحص تحت المجهر بحثًا عن الخلايا السرطانية. يمكن استخدام الفحص البدني للثدي، والتصوير الشعاعي للثدي، والخزعة بالإبرة معاً لتشخيص سرطان الثدي بدرجة جيدة من الدقة.
تشمل الخيارات الأخرى لأخذ الخزعة الخزعة الأساسية أو vacuum-assisted breast biopsy،[123] وهي الإجراءات التي يتم فيها إزالة جزء من كتلة الثدي؛ أو الخزعة الاستئصالية، حيث يتم إزالة الورم بأكمله. غالبًا ما تكون نتائج الفحص البدني من قبل مقدم الرعاية الصحية والتصوير الشعاعي للثدي والاختبارات الإضافية التي يمكن إجراؤها في ظروف خاصة (مثل التصوير بواسطة الموجات فوق الصوتية أو التصوير بالرنين المغناطيسي) كافية لتبرير الخزعة الاستئصالية كطريقة تشخيصية وعلاجية أولية.[124][بحاجة لمصدر غير رئيسي]
-
تصوير بالرنين المغناطيسي يظهر سرطان الثدي.
-
سرطان القنوات الغازية عالي الجودة، مع الحد الأدنى من تكوين الأنابيب، ووضع علامة تعدد الأشكال، وانقسامات بارزة، المجال 40x.
-
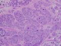
صورة مجهرية تظهر غزو العقد الليمفاوي بسرطان الثدي القنوي، مع امتداد الورم إلى ما وراء العقدة الليمفاوية.
-
تعبير نيروپيلين-2 في أنسجة الثدي المصاب بالسرطان والثدي الطبيعي.
-
F-18 FDG PET/CT: ورم خبيث من سرطان الثدي في الكتف الأيمن.
-
خزعة بالإبرة للثدي.
-
يُظهر التصوير الإلستوجرافي أنسجة سرطانية شديدة في التصوير بالموجات فوق الصوتية.
-
تظهر صورة الموجات فوق الصوتية كتلة غير منتظمة الشكل من سرطان الثدي.
-
سرطان غازي.
-
تصوير الثدي يظهر ثدياً طبيعياً (اليسار) وثدياً مصاب بالسرطان (اليمين).
التصنيف
تصنف سرطانات الثدي من خلال عدة أنظمة تصنيف. كل من هذه العوامل تؤثر على المآل (التكهن بالنتيجة المستقبيلة لحالة المريض) ويمكن أن تؤثر على استجابة العلاج. يتضمن وصف سرطان الثدي على النحو الأمثل كل هذه العوامل.

- الهيستوپاثولوجيا: يصنف سرطان الثدي عادة في المقام الأول من خلال مظهره الهستولجي (النسيجي). تُشتق معظم سرطانات الثدي من الظهارة المبطنة للقنوات أو الفصيصات، وتصنف هذه السرطانات على أنها سرطانات قنوات أو سرطانات فصيصات.
السرطان الموضعي: هو نمو خلايا سرطانية منخفضة الدرجة أو محتملة التسرطن داخل حجرة نسيجية معينة مثل القناة الثديية دون غزو الأنسجة المحيطة. في المقابل، لا يقتصر مصطلح "السرطانات الغازية" على حجرة الأنسجة الأولية.[125]
- الدرجة: يقارن التصنيف مظهر خلايا سرطان الثدي بمظهر أنسجة الثدي الطبيعية. تصبح الخلايا الطبيعية في عضو مثل الثدي متمايزة، مما يعني أنها تتخذ أشكالًا وأشكالًا محددة تعكس وظيفتها كجزء من هذا العضو. تفقد الخلايا السرطانية هذا التمايز. في السرطان، تصبح الخلايا التي تصطف عادة بطريقة منظمة لتكوين القنوات اللبنية غير منظمة. يصبح الانقسام الخلوي خارج نطاق السيطرة. تصبح نوى الخلية أقل انتظامًا. يصف علماء الأمراض الخلايا بأنها متمايزة جيدًا (درجة منخفضة) ومتباينة بشكل معتدل (درجة متوسطة) وسوء التمايز (درجة عالية) حيث تفقد الخلايا تدريجياً السمات التي تظهر في خلايا الثدي الطبيعية. السرطانات الضعيفة التمايز (تلك التي تشبه أنسجتها أنسجة الثدي الطبيعية) يكون لها مآل أسوأ.
- المرحلة: مراحل سرطان الثدي باستخدام نظام TNM يعتمد على حجم tumor (T) "الورم" سواء أكان أم لم يكن منتشراً إلى العقد nodes (N) اللمفاوية تحت الإبط، أو كان الورم metastasized (M) "منتشراً" (أي منتشر لأكثر من مكان في الجسم). حجم أكبر، انتشار عقدي، والورم الخبيث له رقم مرحلة أكبر ومآل أسوأ.
هذه المراحل الرئيسية هي:- المرحلة 0: هي حالة أو علامة ما قبل سرطانية، إما سرطان القنوات الموضعي (DCIS) أو السرطان الفصيصي الموضعي (LCIS).
- المرحلة 1–3: تكون داخل الثدي أو الغدد الليمفاوية الإقليمية.
- المرحلة 4: هو السرطان "النقيلي" الذي له مآل أقل مواتاة لانتشاره خارج الثدي والغدد الليمفاوية الإقليمية.
-
المرحلة 1 من سرطان الثدي.
-
المرحلة 2 من سرطان الثدي.
-
المرحلة 3 من سرطان الثدي.
-
المرحلة الرابعة أو النقيلية من سرطان الثدي.
- حيثما كان ذلك متاحًا، يمكن استخدام دراسات التصوير كجزء من عملية التدريج في حالات مختارة للبحث عن علامات السرطان النقيلي. ومع ذلك، في حالات سرطان الثدي مع انخفاض خطر الإصابة بورم خبيث، فإن المخاطر المرتبطة بالتصوير المقطعي بالإصدار البوزيتروني، التصوير المقطعي المحوسب، أو مسح العظام تفوق الفوائد المحتملة، لأن هذه الإجراءات تعرض الشخص لكمية كبيرة من الإشعاع المؤين الذي يحتمل أن يكون خطيرًا.[126][127]
- حالة المستقبل: خلايا سرطان الثدي لها مستقبلات على سطحها وفي السيتوبلازم والنواة. ترتبط النواقل الكيميائية مثل الهرمونات بالمستقبلات، وهذا يسبب تغيرات في الخلية. قد تحتوي خلايا سرطان الثدي أو لا تحتوي على ثلاثة مستقبلات مهمة: مستقبلات هرمون الإستروجين (ER)، مستقبلات الپروجسترون (PR)، وHER2.
خلايا ER+ السرطانية (أي الخلايا السرطانية التي تحتوي على مستقبلات هرمون الإستروجين) تعتمد على هرمون الإستروجين في نموها، لذلك يمكن معالجتها بأدوية لمنع تأثيرات هرمون الإستروجين (على سبيل المثال التاموكسيفين)، وبصفة عامة يكون لها تشخيص أفضل. تعتبر سرطانات الثدي HER2 + السرطانات غير المعالجة بشكل عام أكثر عدوانية من سرطانات الثدي HER2،[128][129] لكان الخلايا السرطانية HER2+ تستجيب للأدوية مثل دواء الأجسام المضادة وحيدة النسيلة تراستوزوماب (بالإضافة للعلاج الكيميائي التقليدي)، وقد أدى هذا إلى تحسين التشخيص بشكل كبير.[130] تسمى الخلايا التي لا تحتوي على أي من هذه الأنواع الثلاثة من المستقبلات (مستقبلات هرمون الإستروجين أو مستقبلات الپروجسترون أو HER2) السلبي-الثلاثي، على الرغم من أنها كثيرًا ما تصنع مستقبلات صريحة لهرمونات أخرى، مثل مستقبلات الأندروجين ومستقبلات الپرولاكتين. - فحوصات الدنا: اختبار الحمض النووي من أنواع مختلفة بما في ذلك المصفوفة الدقيقة للحمض النووي لمقارنة الخلايا الطبيعية بخلايا سرطان الثدي. يمكن استخدام التغييرات المحددة في سرطان ثدي معين لتصنيف السرطان بعدة طرق، وقد تساعد في اختيار العلاج الأكثر فعالية لهذا النوع من الحمض النووي.
-
المرحلة 1A من سرطان الثدي.
-
المرحلة 1B من سرطان الثدي.
-
المرحلة 2A من سرطان الثدي.
-
المرحلة 2A من سرطان الثدي.
-
المرحلة 2B من سرطان الثدي.
-
المرحلة 2B من سرطان الثدي.
-
المرحلة 2B من سرطان الثدي.
-
المرحلة 3A من سرطان الثدي.
-
المرحلة 3A من سرطان الثدي.
-
المرحلة 3A من سرطان الثدي.
-
المرحلة 3B من سرطان الثدي.
-
المرحلة 3B من سرطان الثدي.
-
المرحلة 4 من سرطان الثدي.
الوقاية
أسلوب الحياة
يمكن للمرأة أن تقلل من خطر الإصابة بسرطان الثدي من خلال الحفاظ على الوزن الصحي، وتقليل تعاطي الكحوليات، وزيادة النشاط البدني، والرضاعة الطبيعية.[131] قد تمنع هذه التعديلات 38% من سرطانات الثدي في الولايات المتحدة، و42% في المملكة المتحدة، و28% في البرازيل، و20% في الصين.[131] تظهر فوائد التمارين المعتدلة مثل المشي السريع في جميع الفئات العمرية بما في ذلك النساء بعد سن اليأس.[131][132] تقلل المستويات العالية من النشاط البدني من خطر الإصابة بسرطان الثدي بحوالي 14%.[133] يمكن أن يكون للاستراتيجيات التي تشجع النشاط البدني المنتظم وتقلل من السمنة فوائد أخرى، مثل تقليل مخاطر الإصابة بأمراض القلب والأوعية الدموية والسكري.[40] عام 2016 أوصت الجمعية الأمريكية للسرطان والجمعية الأمريكية لعلم الأورام السريري أنه ينبغي على الأشخاص اتباع نظام غذائي غني بالخضروات والفواكه والحبوب الكاملة والبقوليات.[134] ارتبط تناول كميات كبيرة من الحمضيات بتقليل خطر الإصابة بسرطان الثدي بنسبة 10%.[135] تظهر أحماض أوميگا-3 الدهنية البحرية تأثيرات الحد من خطر الإصابة بسرطان الثدي.[136] كما يقلل تناول كميات كبيرة من الأغذية التي تحتوي على فول الصويا من خطر الإصابة بسرطان الثدي.[137]
الجراحة الوقائية
إزالة كلا الثديين قبل تشخيص أي سرطان أو ظهور أي كتلة مشبوهة أو أي آفة أخرى (إجراء يُعرف باسم "استئصال الثدي الثنائي الوقائي" أو "استئصال الثدي للحد من مخاطر الإصابة") يمكن أن يؤخذ في الاعتبار عند النساء المصابات بـ BRCA1 وطفرات BRCA2، والتي ترتبط مع خطر متزايد بشكل كبير للتشخيص النهائي لسرطان الثدي.[138][139] الأدلة ليست قوية بما يكفي لدعم هذا الإجراء في أي شخص باستثناء النساء الأكثر عرضة للخطر.[140] يوصى بإجراء اختبار BRCA عند الأشخاص المعرضين لمخاطر عائلية عالية بعد الاستشارة الوراثية. لا ينصح به بشكل روتيني.[141] هذا بسبب وجود العديد من أشكال التغييرات في جينات BRCA، بدءًا من تعدد الأشكال إلى طفرات انزياح الإطار.[141] تأثير معظم التغييرات التي يمكن تحديدها في الجينات غير مؤكد. من المرجح بشكل خاص أن يؤدي الاختبار الذي يتم إجراؤه على شخص متوسط الخطورة إلى إرجاع إحدى هذه النتائج غير المحددة وغير المجدية. قد تقلل إزالة الثدي الثاني لدى شخص مصاب بسرطان الثدي (خطر مقابل الحد من استئصال الثدي أو CRRM) من خطر الإصابة بالسرطان في الثدي الثاني، ومع ذلك، من غير الواضح ما إذا كانت إزالة الثدي الثاني لدى المصابات بسرطان الثدي يحسن معدل البقاء على قيد الحياة.[140]
الأدوية
تقلل معدلات مستقبل الإستروجين الإنتقائية من خطر الإصابة بسرطان الثدي لكنها تزيد خطر الإصابة بالانصمام الخثاري وسرطان بطانة الرحم.[142] لا يوجد تغير شامل في خطر الموت.[142][143] وبالتالي لا يوصى بها للوقاية من سرطان الثدي لدى النساء المعرضات لخطر متوسط ولكن يوصى بتقديمها لأولئك المعرضين لخطر كبير والذين تزيد أعمارهم عن 35 سنة.[144] تستمر فائدة الحد من سرطان الثدي لمدة خمس سنوات على الأقل بعد التوقف عن مسار العلاج بهذه الأدوية.[145] قد تكون مثبطات الأروماتاز (مثل الإكسمستان والأناسترازول) أكثر فعالية من مُعدِّلات مستقبلات هرمون الإستروجين الانتقائية (مثل عقار التاموكسيفين) في تقليل مخاطر الإصابة بسرطان الثدي ولا ترتبط بزيادة خطر الإصابة بسرطان بطانة الرحم والانصمام الخثاري.[146]
إدارة المرض
تعتمد إدارة سرطان الثدي على عوامل مختلفة، بما في ذلك مرحلة السرطان وعمر الحالة. تكون العلاجات أكثر شدة عندما يكون السرطان أكثر تقدمًا أو عندما يكون هناك خطر أكبر لتكرار السرطان بعد العلاج.
يُعالج سرطان الثدي عادةً بالجراحة، والتي قد يتبعها علاج كيميائي أو علاج إشعاعي، أو كليهما. يفضل اتباع نهج متعدد التخصصات.[147]
غالبًا ما تعالج السرطانات الإيجابية لمستقبلات الهرمونات بحجب الهرمونات على مدار عدة سنوات. يمكن إعطاء الأجسام المضادة وحيدة النسيلة أو غيرها من العلاجات المعدلة للمناعة في حالات معينة من سرطان الثدي النقيلي والمراحل المتقدمة الأخرى. على الرغم من أن هذا النطاق من العلاج لا يزال قيد الدراسة.[148]
الجراحة

تتضمن الجراحة الإزالة المادية للورم، عادةً مع بعض الأنسجة المحيطة. قد يتم أخذ خزعة واحدة أو أكثر من العقد الليمفاوية أثناء الجراحة؛ يتم إجراء أخذ عينات العقدة الليمفاوية بشكل متزايد بواسطة خزعة العقدة الليمفاوية الحارسة.
تتضمن الجراحات المعيارية:
- استئصال الثدي: إزالة الثدي بالكامل.
- استئصال ربع الثدي: إزالة ربع الثدي.
- استئصال الكتلة: إزالة جزء صغير من الثدي.
بمجرد إزالة الورم، يمكن إجراء جراحة إعادة بناء الثدي، وهو نوع من الجراحات التجميلية، إذا رغب الشخص، لتحسين المظهر الجمالي للموقع المعالج. بدلاً من ذلك، تستخدم النساء الثدي الاصطناعي لمحاكاة شكل الثدي تحت الملابس، أو اختيار الصدر المسطح. يمكن استخدام الحلمة التعويضية في أي وقت بعد استئصال الثدي.
الأدوية
الأدوية المستخدمة بعد الجراحة بالإضافة إليها تسمى العلاج المساعد. يُطلق على العلاج الكيميائي أو أنواع العلاج الأخرى قبل الجراحة العلاج المساعد الجديد. قد يقلل الأسپرين من الوفيات الناجمة عن سرطان الثدي عند استخدامه مع علاجات أخرى.[149][150]
يوجد حاليًا ثلاث مجموعات رئيسية من الأدوية المستخدمة في العلاج المساعد لسرطان الثدي: عوامل منع الهرمونات، والعلاج الكيميائي، والأجسام المضادة وحيدة النسيلة.
العلاج الهرموني
تتطلب بعض سرطانات الثدي هرمون الإستروجين لمواصلة النمو. يمكن التعرف عليها من خلال وجود مستقبلات هرمون الإستروجين (ER +) ومستقبلات الپروجسترون (PR +) على سطحها (يشار إليها أحيانًا باسم مستقبلات الهرمون).
يمكن علاج سرطانات ER + بالأدوية التي تمنع المستقبلات، على سبيل المثال. التاموكسيفين، أو بدلاً من ذلك منع إنتاج الإستروجين باستخدام مثبط الأروماتيز، على سبيل المثال الأناستروزول[151] أو اللتروزول. يوصى باستخدام التاموكسيفين لعشر سنوات.[152] يزيد التاموكسيفين من مخاطر نزيف ما بعد انقطاع الطمث وزوائد بطانة الرحم وفرط التنسج وسرطان بطانة الرحم؛ قد يؤدي استخدام التاموكسيفين مع اللولب الرحمي الهرموني لإطلاق اللڤونورگستريل إلى زيادة النزيف المهبلي بعد عام إلى عامين، لكنه يقلل إلى حد ما من سلائل بطانة الرحم وتضخمها، لكن ليس بالضرورة سرطان بطانة الرحم.[153] يوصى باستخدام اللتروزول لخمس سنوات.
مثبطات الأروماتاز مناسبة فقط للنساء بعد انقطاع الطمث. ومع ذلك، في هذه المجموعة من الحالات، فإنها تبدو أفضل من التاموكسيفين.[154] وذلك لأن الأروماتاز النشط في النساء بعد انقطاع الطمث يختلف عن الشكل السائد عند النساء قبل انقطاع الطمث، وبالتالي فإن هذه العوامل غير فعالة في تثبيط الأروماتاز السائد لدى النساء قبل انقطاع الطمث.[155] لا ينبغي إعطاء مثبطات الأروماتاز للنساء في فترة ما قبل انقطاع الطمث اللائي لديهن مبيض سليم وظيفياً (إلا إذا كن يخضعن أيضًا للعلاج لمنع المبايض من العمل).[156] قد تستخدم مثبطات CDK مع العلاج بالإندوكرين أو الأروماتاز.[157]
العلاج الكيميائي
غالباً ما يستخدم العلاج الكيميائي لحالات سرطان الثدي في المراحل 2-4، وهو مفيد بشكل خاص في مرض مستقبلات هرمون الإستروجين السلبية (ER-). تُعطى أدوية العلاج الكيميائي في مجموعات، عادة لفترات تتراوح من 3 إلى 6 أشهر. أحد أكثر الأنظمة شيوعًا، والمعروف باسم "AC"، يجمع بين السيكلوفوسفاميد والدوكسوروبيسين. في بعض الأحيان يتم إضافة عقار التاكسين، مثل الدوسيتاكسيل، ليُعرف النظام باسم "كات" "CAT".
هناك علاج شائع آخر هو السيكلوفوسفاميد، الميثوتريكسات، والفلورويوراسيل (أو "CMF"). تعمل معظم أدوية العلاج الكيميائي عن طريق تدمير الخلايا السرطانية سريعة النمو و/أو التكاثر السريع لها، إما عن طريق التسبب في تلف الحمض النووي عند التكاثر أو عن طريق آليات أخرى. ومع ذلك، فإن الأدوية تضر أيضًا بالخلايا الطبيعية سريعة النمو، مما قد يتسبب في آثار جانبية خطيرة. يعد تلف عضلة القلب أخطر مضاعفات الدوكسوروبيسين، على سبيل المثال.[citation needed]
الأجسام المضادة وحيدة النسيلة
تراستوزوماب، وهو جسم مضاد أحادي النسيلة للجين HER2، قد حسّن البقاء على قيد الحياة لمدة خمس سنوات خالية من الأمراض في المرحلة 1-3 من سرطانات الثدي الإيجابية للجين HER2 إلى حوالي 87% (إجمالي البقاء على قيد الحياة 95%).[158] ما بين 25% و30% من سرطانات الثدي تكون بسبب التعبير الجيني المفرط للجين HER2 أو منتج الپروتين الخاص به،[159] والتعبير المفرط للجين HER2 في سرطان الثدي يرتبط بزيادة تكرار المرض والتشخيص الأسوأ. ومع ذلك، فإن عقار تراستوزوماب مكلف للغاية، وقد يتسبب استخدامه في آثار جانبية خطيرة (ما يقرب من 2% من الأشخاص الذين يتلقونه يصابون بتلف كبير في القلب).[160] يمنع الجسم المضاد الآخر پرتوزوماب تناقص پروتين HER2 ويوصى به مع التراستوزوماب والعلاج الكيميائي في حالة المرض الشديد.[161][162]
العلاج الإشعاعي

يُعطى العلاج الإشعاعي بعد الجراحة لمنطقة سرير الورم والعقد الليمفاوية الموضعية، لتدمير الخلايا السرطانية المجهرية التي ربما تكون قد نجت من الجراحة. عندما يُعطى أثناء العملية، العلاج الإشعاعي المستهدف أثناء الجراحة، فقد يكون له أيضًا تأثير مفيد على البيئة الدقيقة للورم.[163][164] يمكن تقديم العلاج الإشعاعي على شكل أشعة خارجية أو موضعية (العلاج الإشعاعي الداخلي). يُعطى العلاج الإشعاعي التقليدي "بعد" عملية سرطان الثدي. يمكن أيضًا إعطاء الإشعاع وقت إجراء العملية على سرطان الثدي. يمكن أن يقلل الإشعاع من خطر التكرار بنسبة 50-66% (1/2 - 2/3 تقليل الخطر) عند إعطائه بالجرعة الصحيحة[165] ويعتبر ضروريًا عند علاج سرطان الثدي عن طريق إزالة الكتلة فقط (استئصال الكتلة الورمية أو الاستئصال الموضعي الواسع). في سرطان الثدي المبكر، لا يعطي الإشعاع الجزئي للثدي نفس السيطرة على السرطان في الثدي مثل علاج الثدي بالكامل وقد يتسبب في آثار جانبية أسوأ.[166]
رعاية المتابعة
يمكن أن تكون الرعاية بعد العلاج الأولي لسرطان الثدي، والتي يطلق عليها أيضًا "رعاية المتابعة" المكثفة، تتضمن اختبارات معملية منتظمة للأشخاص الذين لا تظهر عليهم أعراض في محاولة لتحقيق الكشف المبكر عن النقائل المحتملة. وجدت مراجعة أن برامج المتابعة التي تنطوي على فحوصات جسدية منتظمة وتصوير الثدي الشعاعي السنوي وحده فعالة مثل البرامج الأكثر كثافة التي تتكون من الاختبارات المعملية من حيث الكشف المبكر عن التكرار، والبقاء بشكل عام ونوعية الحياة.[167]
قد تؤدي برامج إعادة التأهيل متعددة التخصصات، التي غالبًا ما تتضمن التمارين والتثقيف والمساعدة النفسية، إلى تحسينات قصيرة المدى في القدرة الوظيفية والتكيف النفسي والاجتماعي والمشاركة الاجتماعية للأشخاص المصابين بسرطان الثدي.[168]
مآل المرض


العوامل المؤثرة
مرحلة سرطان الثدي هي أهم عنصر في طرق التصنيف التقليدية لسرطان الثدي، لأن لها تأثير أكبر على المآل من الاعتبارات الأخرى. يأخذ تقييم المرحلة في الاعتبار الحجم والتوغل الموضعي وحالة العقدة الليمفاوية وما إذا كان المرض المنتشر موجودًا. كلما تقدمت مرحلة التشخيص، كان التشخيص سيئاً. تتقدم المرحلة لتوغل المرض في لغدد الليمفاوية وجدار الصدر والجلد أو ما بعده، ولعدوانية الخلايا السرطانية. تتراجع المرحلة لوجود مناطق خالية من السرطان وسلوك الخلية القريب من الطبيعي (الدرجات). الحجم ليس عاملاً في تحديد المرحلة ما لم يكن السرطان غازيًا. على سبيل المثال، سرطان القنوات الموضعي (DCIS) الذي يشمل الثدي بالكامل سيظل في المرحلة صفر وبالتالي يكون التشخيص ممتاز مع البقاء بدون مرض لمدة 10 سنوات بنسبة 98% تقريبًا.[169]
- سرطانات المرحلة 1 (وDCIS، LCIS) يكون مآل المرض ممتاز، وتعالج بشكل عام باستئصال الكتلة الورمية وأحيانًا بالعلاج الإشعاعي.[170]
- سرطانات المرحلة الثالثة بمآل أسوأ تدريجياً وخطر أكبر لمعاودة المرض، تعالج عموماً بالجراحة (استئصال الكتلة الورمية أو استئصال الثدي مع أو بدون إزالة العقدة اللمفاوية) والعلاج الكيميائي (بالإضافة إلى تراستوزوماب لسرطانات HER2 +) وأحيانًا العلاج الإشعاعي (على وجه الخصوص بعد السرطانات الكبيرة، العقد الإيجابية المتعددة أو استئصال الكتلة الورمية).[بحاجة للاستشهاد الطبي]
- المرحلة 4، السرطان النقيلي (أي الذي ينتشر إلى أماكن أبعد)، مآله سيء، ويدار من خلال مجموعة متنوعة من جميع العلاجات الجراحية والإشعاعية والكيميائية والعلاجات المستهدفة. معدل البقاء على قيد الحياة لعشر سنوات يبلغ 5% بدون علاج و10% بالعلاج الأمثل.[171]
تُقيم درجة سرطان الثدي بمقارنة خلايا سرطان الثدي بخلايا الثدي الطبيعية. كلما اقتربت الخلايا السرطانية من وضعها الطبيعي، كان نموها أبطأ وكان المآل أفضل. إذا لم تكن الخلايا متمايزة بشكل جيد، فإنها ستبدو غير ناضجة، وسوف تنقسم بسرعة أكبر، وتميل إلى الانتشار. يُمنح التمايز الجيد بدرجة 1، والمعتدل بالدرجة 2، بينما يُمنح التمايز السيئ أو غير المتمايز درجة أعلى من 3 أو 4 (اعتمادًا على المقياس المستخدم). نظام الدرجات الأكثر استخدامًا هو مخطط نوتنگهام.[172]
تميل النساء الأصغر سنًا اللائي تقل أعمارهن عن 40 عامًا أو النساء فوق 80 عامًا إلى أن يكون المآل أسوأ من النساء بعد انقطاع الطمث لعدة عوامل. قد تتغير أثداءهم مع دورات الحيض، وقد يكونون يرضعون أطفالًا، وقد لا يكونون على دراية بالتغيرات في الثدي. لذلك، عادة ما تكون النساء الأصغر سنًا في مرحلة أكثر تقدمًا عند التشخيص. قد تكون هناك أيضًا عوامل بيولوجية تساهم في زيادة خطر تكرار المرض لدى النساء الأصغر سنًا المصابات بسرطان الثدي.[173]
الجوانب النفسية
لا تعاني جميع حالات سرطان الثدي من المرض بنفس الطريقة. يمكن أن يكون لعوامل مثل العمر تأثير كبير على الطريقة التي يتعامل بها الشخص مع تشخيص سرطان الثدي. يجب أن تواجه النساء المصابات بسرطان الثدي الإيجابي لمستقبلات هرمون الاستروجين في فترة ما قبل انقطاع الطمث مشكلات سن اليأس المبكرة التي تسببها العديد من أنظمة العلاج الكيميائي المستخدمة في علاج سرطان الثدي، وخاصة أولئك الذين يستخدمون الهرمونات لإبطال وظيفة المبيض.[174]
للمصابات بسرطان الثدي غير النقيلي، يمكن أن يكون للتدخلات النفسية مثل العلاج السلوكي المعرفي تأثيرات إيجابية على النتائج مثل القلق والاكتئاب واضطراب المزاج.[175] قد يكون لتدخلات النشاط البدني أيضًا آثار مفيدة على نوعية الحياة ذات الصلة بالصحة والقلق واللياقة البدنية والنشاط البدني لدى النساء المصابات بسرطان الثدي بعد العلاج المساعد.[176]
علم الأوبئة
|
في جميع أنحاء العالم، يعد سرطان الثدي أكثر أنواع السرطانات الغازية شيوعًا لدى النساء.[178] إلى جانب سرطان الرئة، يعد سرطان الثدي أكثر أنواع السرطانات شيوعًا، حيث بلغ عدد حالات الإصابة 2.09 مليون حالة عام 2018.[179] يصيب سرطان الثدي 1 من كل 7 نساء (14%) في جميع أنحاء العالم.[180] (الشكل الأكثر شيوعًا للسرطان هو سرطان الجلد غير الميلانيني؛ السرطانات غير الغازية تعالج بسهولة بشكل عام، وتتسبب في عدد قليل جدًا من الوفيات، وتستبعد بشكل روتيني من إحصاءات السرطان.) يشكل سرطان الثدي 22.9% من السرطانات الغازية لدى النساء[181] و16% من جميع السرطانات النسائية.[182] عام 2012، كان سرطان الثدي يشكل 25.2% من السرطانات التي تم تشخيصها لدى النساء، مما يجعله أكثر أنواع السرطانات شيوعًا بين النساء.[183] عام 2008، تسبب سرطان الثدي في 458.503 حالة وفاة في جميع أنحاء العالم (13.7% من وفيات السرطان لدى النساء و6.0% من جميع وفيات السرطان للرجال والنساء معًا).[181] يتسبب سرطان الرئة، وهو ثاني أكثر أسباب الوفيات المرتبطة بالسرطان شيوعًا بين النساء، في 12.8% من وفيات السرطان لدى النساء (18.2% من جميع وفيات السرطان للرجال والنساء معًا).[181]
يختلف معدل الإصابة بسرطان الثدي اختلافًا كبيرًا في جميع أنحاء العالم: فهو الأدنى في البلدان الأقل نموًا والأكبر في البلدان الأكثر تقدمًا. في مناطق العالم الاثنتي عشرة، كانت المعدلات السنوية المعيارية للعمر لكل 100.000 امرأة على النحو التالي: 18 في شرق آسيا، و22 في جنوب آسيا الوسطى وأفريقيا جنوب الصحراء، و26 في جنوب شرق آسيا، و26، 28 في شمال أفريقيا وغرب آسيا، و42 في أمريكا الجنوبية والوسطى، و42، 49 في شرق أوروپا، و56 في جنوب أوروپا، و73 في شمال أوروپا، و74 في أوقيانوسيا، و78 في غرب أوروپا، و90 في أمريكا الشمالية.[184] يصيب سرطان الثدي النقيلي ما بين 19% (الولايات المتحدة) و50% (أجزاء من أفريقيا) من النساء المصابات بسرطان الثدي.[185]
منذ السبعينيات، زاد عدد الحالات في جميع أنحاء العالم بشكل كبير، وهي ظاهرة تُعزى جزئيًا إلى أنماط الحياة الحديثة.[186][187] يرتبط سرطان الثدي ارتباطًا وثيقًا بالعمر حيث تحدث 5% فقط من جميع سرطانات الثدي لدى النساء دون سن 40 عامًا.[188] كان هناك أكثر من 41.000 حالة تم تشخيصها حديثًا بسرطان الثدي مسجلة في إنگلترة عام 2011، حوالي 80% من هذه الحالات كانت في النساء في سن 50 أو أكبر.[189] بناءً على الإحصائيات الأمريكية عام 2015، كان هناك 2.8 مليون امرأة مصابة بسرطان الثدي.[178] في الولايات المتحدة، ارتفع الإصابة المعدلة عمرياً لسرطان الثدي لكل 100.000 امرأة من حوالي 102 حالة سنويًا في السبعينيات إلى حوالي 141 حالة في أواخر التسعينيات، ومنذ ذلك الحين انخفض معدل 125 منذ عام 2003. ومع ذلك، فإن الوفيات المصححة عمرياً من سرطان الثدي لكل 100.000 امرأة ارتفعت بشكل طفيف فقط من 31.4 عام 1975 إلى 33.2 عام 1989، ومنذ ذلك الحين انخفضت بشكل مطرد إلى 20.5 عام 2014.[190]
التاريخ

بسبب وضوحه، كان سرطان الثدي هو شكل السرطان الموصوف في أغلب الأحيان بالوثائق القديمة.[191] نظرًا لندرة عمليات تشريح الجثث، كانت سرطانات الأعضاء الداخلية غير مرئية بشكل أساسي للطب القديم. ومع ذلك، يمكن الشعور بسرطان الثدي من خلال الجلد، وفي حالته المتقدمة غالبًا ما يتطور إلى آفات فطرية: يصبح الورم نخراً (يموت من الداخل، مما يتسبب في ظهور الورم في حالة تفتت) و[لقرحة (طب الجلد)|قرحة]] من خلال الجلد، وسوائل نتنة داكنة.[191]
أقدم دليل تم اكتشافه على سرطان الثدي يعود إلى مصر ويعود إلى 4200 عام، في عهد الأسرة السادسة.[192] أظهرت دراسة رفات امرأة من مقبرة قبة الهوا الضرر المدمر النموذجي الناتج عن انتشار النقائل.[192] تصف بردية إدوين سميث ثماني حالات لأورام أو تقرحات بالثدي تم علاجها بواسطة الكي. الكتابة تقول أن المرض "لا علاج" له.[193] لقرون، وصف الأطباء حالات مماثلة في ممارساتهم، مع نفس النتيجة. كان الطب القديم، من زمن الإغريق وحتى القرن السابع عشر، قائمًا على الأخلاط الأربعة، وبالتالي اعتقد أن سرطان الثدي نتج بشكل عام عن اختلالات في السوائل الأساسية التي تتحكم في الجسم، وخاصةً الزيادة في السوداوية.[194] بدلا من ذلك كان ينظر إليه على أنه عقاب إلهي.[195]
أجريت جراحة استئصال الثدي لسرطان الثدي على الأقل منذ عام 548 م، عندما اقترحها طبيب البلاط أيتيوس من أميدا على ثيودورا.[191] لم يكن الأمر كذلك حتى حقق الأطباء فهمًا أكبر لجهاز الدورة الدموية في القرن السابع عشر حتى يتمكنوا من ربط انتشار سرطان الثدي بالعقد اللمفاوية تحت الإبط. في أوائل القرن الثامن عشر، أجرى الجراح الفرنسي جان لوي پـِتي عمليات استئصال الثدي الكاملة التي تضمنت إزالة العقد الليمفاوية الإبطية، حيث أدرك أن هذا يقلل من تكرار عودة المرض.[196] بُني عمل پـِتي على أساليب الجراح برنار پيريله، الذي قام في القرن السابع عشر أيضًا بإزالة العضلة الصدرية أسفل الثدي، حيث رأى أن هذا أدى إلى تحسن كبير في مآل المرض.[197] لكن النتائج السيئة والمخاطر الكبيرة التي يتعرض لها المريض تعني أن الأطباء لم يشاركوا رأي الجراحين مثل نيكولاس تولپ، الذي أعلن في القرن السابع عشر أن "العلاج الوحيد هو إجراء عملية جراحية في الوقت المناسب". وثق الجراح البارز ريتشارد وايزمان في منتصف القرن السابع عشر أنه بعد 12 عملية استئصال للثدي، توفي مريضان أثناء العملية، وتوفي ثمانية مرضى بعد فترة وجيزة من العملية من السرطان التدريجي واثنان فقط من 12 مريضًا تم شفاؤهم.[198]
كان الأطباء محافظين في العلاج الذي وصفوه في المراحل المبكرة من سرطان الثدي. عولج بمزيج من تطهير إزالة السموم، فصد الدم والعلاجات التقليدية التي كان من المفترض أن تقلل الحموضة، مثل الزرنيخ القلوي.[199]
عندما تم تشخيص إصابة آن من النمسا بسرطان الثدي عام 1664، اشتمل العلاج الأولي على كمادات مشبعة بعصير الشوكران. عندما زادت الكتل بدأ طبيب الملك العلاج بمراهم الزرنيخ.[200] توفيت آن عام 1666 بعد معانتها من الآلام المبرحة.[201] أدى كل فشل في علاج سرطان الثدي إلى البحث عن علاجات جديدة، مما حفز سوق العلاجات التي تم الإعلان عنها وبيعها بواسطة الدجالين والمعالجين بالأعشاب والكيميائيين والصيادلة.[202] أدى نقص التخدير والمطهرات إلى جعل استئصال الثدي محنة مؤلمة وخطيرة.[198] في القرن الثامن عشر، كانت هناك مجموعة متنوعة من الاكتشافات التشريحية مصحوبة بنظريات جديدة حول سبب ونمو سرطان الثدي. زعم الجراح الاستقصائي جون هنتر أن السائل العصبي يولد سرطان الثدي. اقترح جراحون آخرون أن اللبن داخل القناة الثديية أدى إلى نمو سرطاني. طُرحت نظريات حول صدمة الثدي كسبب للتغيرات |الميلانينية في أنسجة الثدي. أثار اكتشاف تكتل الثدي والتورمات الجدل حول الأورام الصلبة وما إذا كانت الكتل هي مراحل حميدة من السرطان. تباينت الآراء الطبية حول العلاج الفوري الضروري.[203] دعا الجراح بنيامين بل إلى إزالة الثدي بالكامل، حتى عندما يتأثر جزء منه فقط.[204]

كان سرطان الثدي غير شائع حتى القرن التاسع عشر، عندما أدت التحسينات في أنظمة الصرف الصحي والسيطرة على الأمراض الأمراض المعدية القاتلة إلى زيادة كبيرة في العمر. في السابق، كانت معظم النساء يتوفين في سن أصغر من أن يصبن بسرطان الثدي.[205] عام 1878، وصف مقال في "ساينتفيك أمريكان" العلاج التاريخي بالضغط الذي يهدف إلى إحداث نقص تروية موضعي في الحالات التي يتعذر فيها الإزالة الجراحية.[206] بدأ ويليام ستوارت هالستد في إجراء استئصال الثدي الجذري عام 1882، ساعد ذلك بشكل كبير التقدم في التكنولوجيا الجراحية العامة، مثل تقنية التعقيم والتخدير. غالبًا ما تضمن استئصال الثدي الجذري لهالستد إزالة كلا الثديين، والعقد الليمفاوية المرتبطة به، وعضلات الصدر الأساسية. غالبًا ما أدى ذلك إلى ألم طويل الأمد وإعاقة، ولكن كان يُنظر إليه على أنه ضروري لمنع تكرار السرطان.[207] قبل ظهور عملية استئصال الثدي الجذري لهالستد، كانت معدلات البقاء على قيد الحياة لمدة 20 عامًا 10% فقط؛ رفعت جراحة هالستد هذا المعدل إلى 50%.[208]
في العشرينيات والثلاثينيات تطورة أنظمة نظام تحديد مراحل سرطان الثدي لتحديد مدى تطور السرطان عن طريق النمو والانتشار.[207] أجريت أول دراسة حالات وشواهد حول وبائيات سرطان الثدي بواسطة جانيت لين-كلايپون، التي نشرت دراسة مقارنة عام 1926 عن 500 حالة سرطان ثدي و500 دراسة حالات وشواهد من نفس الخلفية ونمط الحياة لصالح وزارة الصحة البريطانية.[209] ظلت عمليات استئصال الثدي الجذري هي معيار الرعاية في الولايات المتحدة الأمريكية حتى السبعينيات، لكن في أوروپا، اعتمدت إجراءات breast-sparing، والتي غالبًا ما يتبعها العلاج الإشعاعي، بشكل عام في الخمسينيات.[207] عام 1955 نشر جورج كريل الابن "السرطان والحس السليم" مجادلاً بأن مرضى السرطان بحاجة إلى فهم خيارات العلاج المتاحة. أصبح كريل صديق مقرب للناشطة البيئة راشيل كارسون، التي خضعت لعملية استئصال الثدي الجذري بطريقة هالستد عام 1960 لعلاج سرطان الثدي الخبيث لديها.[210]
روّج عالم الأورام الأمريكي جيروم إيربان لاستئصال الثدي فوق الجذري، مع أخذ المزيد من الأنسجة، حتى عام 1963، عندما ثبت أن معدلات البقاء على قيد الحياة لمدة عشر سنوات مساوية لاستئصال الثدي الجذري الأقل ضررًا.[207] توفيت كارسون عام 1964، وواصل كريل نشر مجموعة متنوعة من المقالات، سواء في الصحافة الشعبية أو في الدوريات الطبية، متحديًا الانتشار الواسع النطاق لاستئصال الثدي الجذري لهالستيد. عام 1973، نشر كريل "ما يجب أن تعرفه النساء عن الجدل حول سرطان الثدي". عندما تم تشخيص إصابة بيتي فورد بسرطان الثدي عام 1974، نوقشت خيارات علاج سرطان الثدي علنًا في الصحافة.[211]
خلال السبعينيات، أدى الفهم الجديد للسرطانات النقيلية إلى إدراك السرطان باعتباره مرضًا جهازيًا بالإضافة إلى كونه مرضًا موضعيًا، وتم تطوير المزيد من الإجراءات الوقائية التي أثبتت فعاليتها بنفس القدر.[212]
في الثمانينيات والتسعينيات، طالبت آلاف النساء اللائي أكملن العلاج القياسي بنجاح وحصلن على جرعات عالية من زرع نخاع العظم، معتقدين أن هذا سيؤدي إلى بقاء أفضل على المدى الطويل. ومع ذلك، فقد ثبت أنها غير فعالة تمامًا، وتوفيت 15-20% من النساء بسبب العلاج الوحشي.[213] أثبتت تقارير عام 1995 صادر عن دراسة صحة الممرضات واستنتاجات لتجربة مبادرة صحة المرأة عام 2002 بشكل قاطع أن العلاج بالهرمونات البديلة زاد بشكل كبير من حدوث الثدي سرطان.[213]
المجتمع والثقافة
قبل القرن العشرين، كان سرطان الثدي يُخشى ويُناقش بأسلوب خافت، كما لو كان مخزيًا. بما أنه يمكن عمل القليل بأمان باستخدام التقنيات الجراحية البدائية، تميل النساء إلى المعاناة بصمت بدلاً من طلب الرعاية.[citation needed] عندما تقدمت الجراحة وتحسنت معدلات البقاء على قيد الحياة على المدى الطويل، بدأت النساء في رفع الوعي بالمرض وإمكانية العلاج الناجح. كان "الجيش الميداني النسائي"، الذي تديره الجمعية الأمريكية لمكافحة السرطان (فيما بعد الجمعية الأمريكية للسرطان) خلال الثلاثينيات والأربعينيات، إحدى أولى الحملات المنظمة. عام 1952، بدأت أول مجموعة دعم ند-للند، تسمى "الوصول إلى الشفاء"، في توفير زيارات ما بعد استئصال الثدي، في المستشفى من النساء اللائي نجين من سرطان الثدي.[214]
تطورت حركة سرطان الثدي في الثمانينيات والتسعينيات إلى أكبر الحركات النسائية وحركات صحة المرأة في القرن العشرين.[215] أدت هذه السلسلة من الحملات السياسية والتعليمية، المستوحاة جزئياً من حملات التوعية الفعالة سياسياً واجتماعياً، حول الإيدز، إلى قبول واسع النطاق للآراء الثانية قبل الجراحة، والإجراءات الجراحية الأقل توغلاً، ومجموعات الدعم، والتطورات الأخرى في مجال الرعاية.[216]
الشريط الوردي

يعد الشريط الوردي أبرز رمز للتوعية بسرطان الثدي. الشرائط الوردية، التي يمكن صنعها بتكلفة زهيدة، تُباع أحيانًا لجمع التبرعات، مثل poppies on Remembrance Day. قد تُرتدى لتكريم أولئك الذين تم تشخيص إصابتهن بسرطان الثدي، أو لتحديد المنتجات التي ترغب الشركة المصنعة في بيعها للمستهلكين المهتمين بسرطان الثدي.[217] في التسعينيات، أطلقت شركات أمريكية حملات توعية بسرطان الثدي. كجزء من سبب تسويق هذه الحملات تبرعت الشركات لمجموعة متنوعة من مبادرات سرطان الثدي بشريط وردي لكل منتج تم شراؤه.[218] أشارت وال ستريت جورنال إلى أن "العواطف القوية التي يثيرها سرطان الثدي تترجم إلى المحصلة النهائية للشركة". في حين تبرعت العديد من الشركات الأمريكية لمبادرات سرطان الثدي الحالية، قامت شركات أخرى مثل إيڤون بإنشاء مؤسسات خاصة بها لسرطان الثدي على ظهر منتجات الشريط الوردي.[219]
انتقد معارضو هذه الممارسة ارتداء أو عرض شريط وردي باعتباره نوعًا من التراخي، لأنه ليس له أي تأثير إيجابي عملي. كما تم انتقادها على أنها نفاق، لأن بعض الناس يرتدون الشريط الوردي لإظهار حسن النية تجاه النساء المصابات بسرطان الثدي، ولكن بعد ذلك يعارضون الأهداف العملية لهؤلاء النساء، مثل حقوق المريض وتشريع مكافحة التلوث.[220][221] يقول المنتقدون إن الطبيعة المريحة للشرائط الوردية والاستهلاك الوردي يصرف انتباه المجتمع عن عدم إحراز تقدم في الوقاية من سرطان الثدي وعلاجه.[222] كما تم انتقادها لأنها تعزز القوالب النمطية الجنسانية وتجسيد النساء وأثداءهن.[223] عام 2002، أطلقت منظمة مكافحة سرطان الثدي حملة "فكر قبل أن تكون ورديًا" ضد pinkwashing لاستهداف الشركات التي اختارت الحملة الوردية للترويج للمنتجات التي تسبب سرطان الثدي، مثل المشروبات الكحولية.[224]
ثقافة سرطان الثدي
زعمت سامانثا كنگ في كتابها الصادر عام 2006 بعنوان "الأشرطة الوردية: سرطان الثدي والپولانثروپيا"، أن سرطان الثدي قد تحول من مرض خطير ومأساة فردية إلى صناعة مدفوعة بالسوق من البقاء على قيد الحياة ومبيعات الشركات.[225] عام 2010، جادلت جايل سوليك بأن الأغراض أو الأهداف الأساسية لثقافة سرطان الثدي هي الحفاظ على هيمنة سرطان الثدي كقضية بارزة تتعلق بصحة المرأة، وتعزيز المظهر القائل بأن المجتمع يقوم بشيء فعال بشأن سرطان الثدي، والحفاظ على وتوسيع نطاق سرطان الثدي. القوة الاجتماعية والسياسية والمالية لنشطاء سرطان الثدي.[226] في العام نفسه، نشرت باربرا إهرنريتش مقال رأي في "مجلة هارپر"، تقول فيها أنه في ثقافة سرطان الثدي، يُنظر إلى علاج سرطان الثدي على أنه طقس مرور وليس كطريقة لعلاج المرض. لتتناسب مع هذا القالب، تحتاج المرأة المصابة بسرطان الثدي إلى تطبيع مظهرها وتأنيثه، وتقليل الاضطراب الذي تسببه مشكلاتها الصحية لأي شخص آخر. يجب إسكات الغضب والحزن والسلبية. كما هو الحال مع معظم النماذج الثقافية، يتم منح الأشخاص الذين يتوافقون مع النموذج وضعًا اجتماعيًا، في هذه الحالة هم الناجين من السرطان. النساء اللواتي يرفضن النموذج يتم نبذهن وعقابهن وفضحهن. يتم انتقاد الثقافة لمعاملة النساء البالغات مثل الفتيات الصغيرات، كما يتضح من ألعاب "الأطفال" مثل الألعاب الوردية التي تُمنح للنساء البالغات.[227]
التأكيد
عام 2009، انتقدت الصحفية العلمية الأمريكية كريستي أشواندين أن التركيز على فحص سرطان الثدي قد يضر بالنساء من خلال تعريضهن للإشعاع والخزعات والجراحة غير الضرورية. قد يتراجع ثلث حالات سرطان الثدي المشخصة من تلقاء نفسها.[228] يكشف تصوير الثدي بكفاءة عن سرطانات الثدي غير المهددة للحياة وغير المصحوبة بأعراض، والسرطانات المحتملة، حتى أثناء التغاضي عن السرطانات الخطيرة. وفقًا لباحث السرطان هـ. گلبرت ورش، فإن أخذ تصوير "أسلوب الموت الدماغي" الذي يقول إن أفضل اختبار هو الذي يكشف عن معظم أنواع السرطان بدلاً من الاختبار الذي يكتشف السرطانات الخطيرة.[228]
عام 2002 لوحظ أنه نتيجة للانتشار الواسع لسرطان الثدي، يمكن أن يساء تفسير النتائج الإحصائية، مثل الادعاء بأن واحدة من كل ثماني نساء سيتم تشخيصها بسرطان الثدي خلال حياتها - وهو ادعاء يعتمد على الافتراض غير الواقعي بأن لن تموت أي امرأة من أي مرض آخر قبل سن 95.[229] بحلول عام 2010، كان معدل النجاة من سرطان الثدي في أوروپا 91% في سنة واحدة و65% في خمس سنوات. في الولايات المتحدة، كان معدل البقاء لخمس سنوات لسرطان الثدي الموضعي 96.8%، بينما في حالات السرطان النقيلي كان 20.6% فقط. نظرًا لأن تشخيص سرطان الثدي في هذه المرحلة كان مواتًا نسبيًا، مقارنة بتنبؤات السرطانات الأخرى، فقد كان سرطان الثدي كسبب للوفاة بين النساء 13.9% من جميع وفيات السرطان. السبب الثاني الأكثر شيوعًا للوفاة من السرطان لدى النساء هو سرطان الرئة، وهو أكثر أنواع السرطان شيوعًا بين الرجال والنساء في جميع أنحاء العالم. أدى تحسن معدل البقاء على قيد الحياة إلى جعل سرطان الثدي أكثر أنواع السرطان انتشارًا في العالم. عام 2010، تم تشخيص ما يقدر بنحو 3.6 مليون امرأة في جميع أنحاء العالم بسرطان الثدي في السنوات الخمس الماضية، في حين أن 1.4 مليون فقط من الذكور أو الإناث الناجين من سرطان الرئة كانوا على قيد الحياة.[230]
الاختلافات العرقية
هناك تفاوتات عرقية في معدلات وفيات سرطان الثدي وكذلك في علاجه. سرطان الثدي هو أكثر أنواع السرطانات انتشارًا التي تصيب النساء من كل جماعة عرقية في الولايات المتحدة. نسبة الإصابة بسرطان الثدي بين النساء السوداوات في سن 45 وما فوق أعلى من النساء البيض في نفس الفئة العمرية. النساء البيض اللائي تتراوح أعمارهن بين 60 و84 عامًا لديهن معدلات أعلى للإصابة بسرطان الثدي مقارنة بالنساء السود. على الرغم من ذلك، فإن النساء السود في كل عمر أكثر عرضة للإصابة بسرطان الثدي.[231]
تحسن علاج سرطان الثدي بشكل كبير في السنوات الأخيرة، ولكن لا يزال احتمال حصول النساء السود على العلاج أقل مقارنة بالنساء البيض.[231] عوامل الخطر مثل الحالة الاجتماعية والاقتصادية، المرحلة المتأخرة، أو سرطان الثدي عند التشخيص، والاختلافات الجينية في الأنواع الفرعية للأورام، والاختلافات في الحصول على الرعاية الصحية تساهم جميعها في هذه التفاوتات. المحددات الاجتماعية والاقتصادية التي تؤثر على التفاوت في مرض سرطان الثدي تشمل الفقر والثقافة، فضلاً عن الظلم الاجتماعي. في النساء اللاتينيات، يكون معدل الإصابة بسرطان الثدي أقل من النساء غير اللاتينيين ولكن غالبًا ما يتم تشخيصه في مرحلة متأخرة مقارنة بالنساء البيض المصابات بأورام أكبر.
عادة ما يتم تشخيص النساء السود بسرطان الثدي في سن أصغر من النساء البيض. متوسط عمر التشخيص للنساء السود هو 59 سنة، مقارنة بـ 62 سنة لدى النساء البيض. زاد معدل الإصابة بسرطان الثدي لدى النساء السود بنسبة 0.4% سنويًا منذ عام 1975 و1.5% سنويًا بين نساء آسيا/جزر المحيط الهادئ منذ عام 1992. واستقرت معدلات الإصابة لدى النساء من غير ذوي الأصول الإسپانية، من ذوي الأصول الإسپانية، والنساء من السكان الأصليين. لوحظ أن معدل البقاء على قيد الحياة لخمس سنوات هو 81% في النساء السود و92% في النساء البيض. تتمتع النساء الصينيات واليابانيات بأعلى معدلات البقاء على قيد الحياة.[231]
الفقر هو المحرك الرئيسي للتفاوتات المتعلقة بسرطان الثدي. النساء ذوات الدخل المنخفض أقل عرضة للخضوع لفحص سرطان الثدي، وبالتالي فإنهن أكثر عرضة للتشخيص في مرحلة متأخرة.[231] ضمان حصول النساء من جميع الجماعات العرقية على رعاية صحية متكافئة[مطلوب توضيح] يمكن أن تؤثر بشكل إيجابي على هذه الفوارق.[citation needed]
سرطان الثدي والحمل
يقلل الحمل في سن مبكرة من خطر الإصابة بسرطان الثدي لاحقاً.[232] ينخفض خطر الإصابة بسرطان الثدي أيضًا مع عدد الأطفال الذين تنجبهم المرأة.[232] يصبح سرطان الثدي أكثر شيوعًا في السنوات الخمس أو العشر التالية للحمل ولكنه يصبح أقل شيوعًا من عامة النساء.[233] تُعرف هذه السرطانات بسرطان الثدي بعد الولادة ولها نتائج أسوأ بما في ذلك زيادة خطر انتشار المرض والوفاة.[234] تظهر السرطانات الأخرى تحدث أثناء الحمل أو بعده بفترة قصيرة نفس المعدل تقريبًا مثل السرطانات الأخرى لدى النساء في نفس العمر.[235]
يصعب تشخيص السرطان الجديد لدى المرأة الحامل، ويرجع ذلك جزئيًا إلى أن أي أعراض يُفترض عمومًا أنها مصدر إزعاج طبيعي مرتبط بالحمل.[235] نتيجة لذلك ، يُكتشف السرطان عادةً في مرحلة متأخرة إلى حد ما عن المتوسط لدى العديد من النساء الحوامل أو النساء الحوامل حديثًا. تعتبر بعض إجراءات التصوير الطبي، مثل التصوير بالرنين المغناطيسي والتصوير المقطعي المحوسب والموجات فوق الصوتية وتصوير الثدي مع حماية الجنين آمنة أثناء الحمل؛ البعض الآخر، مثل التصوير المقطعي بابتعاث البوزيترونات ليست كذلك.[235]
العلاج بشكل عام هو نفسه بالنسبة للنساء غير الحوامل.[235] ومع ذلك، عادةً ما يتم تجنب الإشعاع أثناء الحمل، خاصةً إذا كانت جرعة الجنين قد تتجاوز 100 cGy. في بعض الحالات، يتم تأجيل بعض العلاجات أو جميعها إلى ما بعد الولادة إذا تم تشخيص السرطان في وقت متأخر من الحمل. الولادات المبكرة لتسريع بدء العلاج ليست غير شائعة. تعتبر الجراحة بشكل عام آمنة أثناء الحمل، ولكن بعض العلاجات الأخرى، وخاصة بعض أدوية العلاج الكيميائي التي يتم تقديمها خلال الأشهر الثلاثة الأولى، تزيد من خطر العيوب الخلقية وفقدان الحمل (الإجهاض التلقائي والإملاص).[235] الإجهاض الاختياري غير مطلوب ولا يحسن من احتمالية بقاء الأم على قيد الحياة أو الشفاء.[235]
قد تتعارض العلاجات الإشعاعية مع قدرة الأم على إرضاع طفلها لأنها تقلل من قدرة هذا الثدي على إفراز البن وتزيد من خطر التهاب الثدي. أيضًا ، عند إعطاء العلاج الكيميائي بعد الولادة، فإن العديد من الأدوية تمر عبر لبن الأم إلى الطفل، مما قد يضر بالطفل.[235]
فيما يتعلق بالحمل المستقبلي للناجيات من السرطان، غالبًا ما يكون هناك مخاوف من تكرار الإصابة بالسرطان.[236] من ناحية أخرى، لا يزال الكثيرون يعتبرون الحمل والأمومة يمثلان الحياة الطبيعية والسعادة وتحقيق الحياة.[236]
الهرمونات
وسائل تنظيم النسل
بالنسبة للناجيات من سرطان الثدي، يجب استخدام الطرق غير الهرمونية لتنظيم النسل مثل اللولب النحاسي داخل الرحم كخيارات الخط الأول.[237] الطرق القائمة على مستودع ميدروكسي پروجستيرون أسيستات-الپروجستوجين، اللولب مع الپروجستوجين، أو أقراص الپروجستيرون فقط لم يتم التحقيق فيها جيدًا ولكن من المحتمل أنها تزيد خطر تكرار الإصابة بالسرطان، لكن يمكن استخدامها إذا كانت الآثار الإيجابية تفوق هذه المخاطر المحتملة.[238]
العلاج الهرموني البديل في مرحلة انقطاع الطمث
بالنسبة للناجيات من سرطان الثدي، يوصى أولاً بالتفكير في الخيارات غير الهرمونية لتأثيرات انقطاع الطمث، مثل البيسفوسفونات أو مُعدِّل مستقبلات هرمون الإستروجين الانتقائي (SERMs) لهشاشة العظام، والإستروجين المهبلي للأعراض الموضعية. تعد الدراسات القائمة على الملاحظة العلاج بالهرمونات البديلة بعد النجاة من سرطان الثدي مطمئنة بشكل عام. إذا كان استبدال الهرمون ضروريًا بعد الإصابة بسرطان الثدي، فقد يكون العلاج بالإستروجين فقط أو العلاج بالإستروجين أو اللولب مع الپروجستيرون خيارات أكثر أمانًا من العلاج المنهجي المركب.[239]
الأبحاث
تُقيم العلاجات في التجارب السريرية. ويشمل هذا الأدوية الفردية، ومجموعات الأدوية، والأساليب الجراحية والإشعاعية. تشمل التحقيقات أنواعًا جديدة من العلاج الموجه،[240] لقاحات السرطان العلاج الڤيروسي للأورام،[241] العلاج الجيني[242][243] والعلاج المناعي.[244]
يتم الإبلاغ عن أحدث الأبحاث سنويًا في الاجتماعات العلمية مثل اجتماع الجمعية الأمريكية لعلم الأورام السريري، وندوة سان أنطونيو لسرطان الثدي،[245] ومؤتمر سانت گالن للأورام في سانت گالن، سويسرا.[246] تُراجع هذه الدراسات من قبل الجمعيات المهنية والمنظمات الأخرى، وصياغتها في مبادئ توجيهية لمجموعات علاج محددة وفئة خطر.
كما تُجرى دراسة الفنرتينيد، وهو ريتينويد، كطريقة لتقليل خطر الإصابة بسرطان الثدي.[247][248] على وجه الخصوص، كانت مجموعات الريبوسيكليب بالإضافة إلى علاج الغدد الصماء موضوعًا للتجارب السريرية.[249]
وجدت مراجعة أجريت عام 2019 أدلة مؤكدة معتدلة على أن إعطاء الحالات المضادات الحيوية قبل جراحة سرطان الثدي ساعد في منع عدوى موقع الجراحة (SSI). مطلوب مزيد من الدراسة لتحديد بروتوكول المضاد الحيوي الأكثر فعالية واستخدامه في النساء اللواتي يخضعن لإعادة بناء الثدي على الفور.[250]
الاستئصال بالتبريد
اعتبارًا من عام 2014، تجري دراسة الاستئصال بالتجميد لمعرفة ما إذا كان يمكن أن يكون بديلاً عن استئصال الكتلة الورمية في السرطانات الصغيرة.[251] هناك دليل مبدئي في أولئك الذين يعانون من أورام أقل من 2 سم.[252] يمكن استخدامه أيضًا للحالات التي لا يمكنها إجراء الجراحة.[252] تشير مراجعة أخرى إلى أن الاستئصال بالتبريد يبدو واعدًا لسرطان الثدي المبكر ذي الحجم الصغير.[253]
خطوط خلايا سرطان الثدي
يعتمد جزء من المعرفة الحالية عن سرطان الثدي على في الجسم الحي وفي المختبر أجريت باستخدام خطوط الخلايا المشتقة من سرطان الثدي. توفر هذه مصدرًا غير محدود من المواد المتجانسة ذاتية التكاثر، وخالية من تلوث الخلايا السدوية، وغالبًا ما يتم زراعتها بسهولة في معيار وسائط بسيط. تم إنشاء أول خط خلايا سرطان الثدي الموصوف، BT-20، عام 1958. ومنذ ذلك الحين، وعلى الرغم من العمل المستمر في هذا المجال، كان عدد الخطوط الدائمة التي تم الحصول عليها منخفضًا بشكل لافت للنظر (نحو 100). في الواقع، لم تنجح محاولات زرع خلايا سرطان الثدي من الأورام الأولية إلى حد كبير.
كانت هذه الكفاءة الضعيفة غالبًا بسبب الصعوبات التقنية المرتبطة باستخراج الخلايا السرطانية القابلة للحياة من السدى المحيط بها. تنتج معظم خطوط خلايا سرطان الثدي المتاحة من الأورام النقيلية، بشكل رئيسي من الانصباب الجنبي. وفرت الدفقات بشكل عام أعدادًا كبيرة من الخلايا السرطانية المنفصلة والقابلة للحياة مع تلوث ضئيل أو معدوم من قبل الخلايا الليفية وخلايا سدى الورم الأخرى.
تم إنشاء العديد من خطوط BCC المستخدمة حاليًا في أواخر السبعينيات. عدد قليل جدًا منها، على وجه التحديد MCF-7، T-47D، MDA-MB-231 وSK-BR-3، تمثل أكثر من الثلثين من جميع الملخصات التي تشير إلى الدراسات حول خطوط خلايا سرطان الثدي المذكورة، كما خلصت إلى مسح قائم على مدلاين.
العلامات الجزيئية
العلامات الأيضية
سريريًا، أكثر العلامات الأيضية فائدة في سرطان الثدي هي مستقبلات هرمون الإستروجين والپروجسترون التي تستخدم للتنبؤ بالاستجابة للعلاج بالهرمونات. العلامات الجديدة أو الجديدة المحتملة لسرطان الثدي تشمل BRCA1 وBRCA2[254] لتحديد الأشخاص المعرضين لخطر الإصابة بسرطان الثدي، HER-2، [بحاجة للاستشهاد الطبي] وSCD1، للتنبؤ بالاستجابة للأنظمة العلاجية، ومنشط الپلازمينوجين يوروكيناز، PA1-1 SCD1 لتقييم الآثار.[بحاجة للاستشهاد الطبي]
أدوية جديدة

في 8 أغسطس 2022، وافقت إدارة الغذاء والدواء الأمريكية (FDA) على دواء يهدف إلى علاج نوع جديد من سرطان الثدي يسمّى HER2-Low، وهو مخصص للمصابات بسرطان الثدي المتقدم الذي لا يمكن إزالته جراحياً أو انتشر إلى أجزاء أخرى من الجسم. وفي التجارب السريرية، ضاعف دواء “انهرتو” الفترة الزمنية تقريباً التي يمكن للمرأة أن تعيش فيها مع السرطان دون أن يصبح أسوأ.[255] واسم العقار الجديد "فام تراستوزوماب ديروكستكان إن إكس كي آي" (fam-trastuzumab-deruxtecan-nxki)، ويعرف أيضاً باسم "انهرتو" (Enhertu).[256]
ويؤكد الدكتور الأتاسي أن "هذا حدث مهم جداً وسيزيد من حجم فئة المرضى المستفيدين من هذه الأدوية ممن يعانون من سرطان الثدي المنتشر، وسيفتح المجال لدراسات جديدة تخول استخدام هذه الأدوية في مراحل المرض المبكرة".
قال الدكتور الأتاسي إن انهرتو هو علاج كيميائي يتم إعطاؤه كل 3 أسابيع لمرضى سرطان الثدي، وهو من فئة الأدوية الكيميائية الموجهة ضد طفرات أو مستقبلات الـ"هير 2″ (HER2) الموجودة على الخلايا السرطانية. ويعطى هذا العقار عبر الوريد.
يعطى عقار انهرتو لمرضى سرطان الثدي من النوع "هير 2" "غير القابل للاستئصال" (unresectable) أو "النقيلي" (metastatic). ويضيف الأتاسي أن هذه الأدوية عادة يتم إعطاؤها لمرضى سرطان الثدي المنتشر (المرحلة الرابعة)، وهي ضمن الأدوية الكيميائية الكثيرة التي ثبتت فعاليتها في هذا المرض.وقبل هذه الدراسة كان استعمال هذا الدواء مقتصراً فقط على من عنده مستقبلات "هير 2" بشكل عالٍ في "التلوينات المناعية" (Immunostaining) في التشريح المرضي "+3".أما الآن ومع الدراسة الجديدة، فقد أثبت هذا الدواء نجاعته لدى من عنده فعالية منخفضة في التلوين المناعي "+1، +2".
في الحيوانات
- الورم الثديي لسرطان الثدي في الحيوانات.
- انبثات سرطان الثدي في الفئران
انظر أيضاً
المصادر
- ^ أ ب ت ث ج ح خ د ذ ر ز س ش "Breast Cancer Treatment (PDQ®)". NCI. 23 مايو 2014. Archived from the original on 5 يوليو 2014. Retrieved 29 يونيو 2014.
- ^ أ ب ت ث ج ح خ د World Cancer Report 2014. World Health Organization. 2014. pp. Chapter 5.2. ISBN 978-92-832-0429-9.
- ^ "Klinefelter Syndrome". Eunice Kennedy Shriver National Institute of Child Health and Human Development. 24 May 2007. Archived from the original on 27 November 2012.
- ^ أ ب "SEER Stat Fact Sheets: Breast Cancer". NCI. Archived from the original on 3 يوليو 2014. Retrieved 18 يونيو 2014.
- ^ أ ب "Cancer Survival in England: Patients Diagnosed 2007–2011 and Followed up to 2012" (PDF). Office for National Statistics. 29 أكتوبر 2013. Archived (PDF) from the original on 29 نوفمبر 2014. Retrieved 29 يونيو 2014.
- ^ أ ب Sung, Hyuna; Ferlay, Jacques; Siegel, Rebecca L.; Laversanne, Mathieu; Soerjomataram, Isabelle; Jemal, Ahmedin; Bray, Freddie (2021). "Global Cancer Statistics 2020: GLOBOCAN Estimates of Incidence and Mortality Worldwide for 36 Cancers in 185 Countries". CA: A Cancer Journal for Clinicians (in الإنجليزية). 71 (3): 209–249. doi:10.3322/caac.21660. ISSN 1542-4863. PMID 33538338. S2CID 231804598.
- ^ "Breast Cancer". NCI. يناير 1980. Archived from the original on 25 يونيو 2014. Retrieved 29 يونيو 2014.
- ^ Saunders C, Jassal S (2009). Breast cancer (1. ed.). Oxford: Oxford University Press. p. Chapter 13. ISBN 978-0-19-955869-8. Archived from the original on 25 أكتوبر 2015.
- ^ أ ب ت ث ج Gøtzsche PC, Jørgensen KJ (June 2013). "Screening for breast cancer with mammography". The Cochrane Database of Systematic Reviews. 6 (6): CD001877. doi:10.1002/14651858.CD001877.pub5. PMC 6464778. PMID 23737396.
- ^ Nelson HD, Tyne K, Naik A, Bougatsos C, Chan B, Nygren P, Humphrey L (November 2009). "Screening for Breast Cancer: Systematic Evidence Review Update for the US Preventive Services Task Force [Internet]". U.S. Preventive Services Task Force Evidence Syntheses. Rockville, MD: Agency for Healthcare Research and Quality. PMID 20722173. Report No.: 10-05142-EF-1.
- ^ أ ب Siu AL (February 2016). "Screening for Breast Cancer: U.S. Preventive Services Task Force Recommendation Statement". Annals of Internal Medicine. 164 (4): 279–96. doi:10.7326/M15-2886. PMID 26757170.
- ^ "Five Things Physicians and Patients Should Question". Choosing Wisely: an initiative of the ABIM Foundation. American College of Surgeons. سبتمبر 2013. Archived from the original on 27 أكتوبر 2013. Retrieved 2 يناير 2013.
- ^ أ ب ت ث "Breast Cancer Treatment (PDQ®)". NCI. 26 يونيو 2014. Archived from the original on 5 يوليو 2014. Retrieved 29 يونيو 2014.
- ^ أ ب "World Cancer Report" (PDF). International Agency for Research on Cancer. 2008. Archived from the original (PDF) on 20 يوليو 2011. Retrieved 26 فبراير 2011.
- ^ World Cancer Report 2014. World Health Organization. 2014. pp. Chapter 1.1. ISBN 978-92-832-0429-9.
- ^ Bray F, Ferlay J, Soerjomataram I, Siegel RL, Torre LA, Jemal A (November 2018). "Global cancer statistics 2018: GLOBOCAN estimates of incidence and mortality worldwide for 36 cancers in 185 countries". CA: A Cancer Journal for Clinicians. 68 (6): 394–424. doi:10.3322/caac.21492. PMID 30207593. S2CID 52188256.
- ^ "Male Breast Cancer Treatment". National Cancer Institute. 2014. Archived from the original on 4 يوليو 2014. Retrieved 29 يونيو 2014.
- ^ أ ب ت Merck Manual of Diagnosis and Therapy (فبراير 2003). "Breast Disorders: Breast Cancer". Archived from the original on 2 أكتوبر 2011. Retrieved 5 فبراير 2008.
- ^ أ ب American Cancer Society (2007). "Cancer Facts & Figures 2007" (PDF). Archived from the original (PDF) on 10 April 2007. Retrieved 26 April 2007.
- ^ Boyd NF, Guo H, Martin LJ, Sun L, Stone J, Fishell E, et al. (January 2007). "Mammographic density and the risk and detection of breast cancer". The New England Journal of Medicine. 356 (3): 227–36. doi:10.1056/NEJMoa062790. PMID 17229950.
- ^ Watson M (2008). "Assessment of suspected cancer". InnoAiT. 1 (2): 94–107. doi:10.1093/innovait/inn001. S2CID 71908359.
- ^ "Breast Cancer Evaluation". eMedicine. 23 August 2006. Archived from the original on 12 February 2008. Retrieved 5 February 2008.
- ^ Ashikari R, Park K, Huvos AG, Urban JA (September 1970). "Paget's disease of the breast". Cancer. 26 (3): 680–5. doi:10.1002/1097-0142(197009)26:3<680::aid-cncr2820260329>3.0.co;2-p. PMID 4318756.
- ^ Kollmorgen DR, Varanasi JS, Edge SB, Carson WE (August 1998). "Paget's disease of the breast: a 33-year experience". Journal of the American College of Surgeons. 187 (2): 171–7. doi:10.1016/S1072-7515(98)00143-4. PMID 9704964.
- ^ Kleer CG, van Golen KL, Merajver SD (1 December 2000). "Molecular biology of breast cancer metastasis. Inflammatory breast cancer: clinical syndrome and molecular determinants". Breast Cancer Research. 2 (6): 423–9. doi:10.1186/bcr89. PMC 138665. PMID 11250736.
{{cite journal}}: CS1 maint: unflagged free DOI (link) - ^ أ ب ت Gong P, Xia C, Yang Y, Lei W, Yang W, Yu J, Ji Y, Ren L, Ye F (July 2021). "Clinicopathologic profiling and oncologic outcomes of secretory carcinoma of the breast". Scientific Reports. 11 (1): 14738. Bibcode:2021NatSR..1114738G. doi:10.1038/s41598-021-94351-w. PMC 8289843. PMID 34282256.
- ^ أ ب Carretero-Barrio I, Santón A, Caniego Casas T, López Miranda E, Reguero-Callejas ME, Pérez-Mies B, Benito A, Palacios J (February 2022). "Cytological and molecular characterization of secretory breast carcinoma". Diagnostic Cytopathology. 50 (7): E174–E180. doi:10.1002/dc.24945. PMID 35156343. S2CID 246813006.
- ^ Knaus ME, Grabowksi JE (August 2021). "Pediatric Breast Masses: An Overview of the Subtypes, Workup, Imaging, and Management". Advances in Pediatrics. 68: 195–209. doi:10.1016/j.yapd.2021.05.006. PMID 34243852. S2CID 235786044.
- ^ Loo SK, Yates ME, Yang S, Oesterreich S, Lee AV, Wang XS (May 2022). "Fusion-associated carcinomas of the breast: Diagnostic, prognostic, and therapeutic significance". Genes, Chromosomes & Cancer. 61 (5): 261–273. doi:10.1002/gcc.23029. PMC 8930468. PMID 35106856.
- ^ أ ب Banerjee N, Banerjee D, Choudhary N (2021). "Secretory carcinoma of the breast, commonly exhibits the features of low grade, triple negative breast carcinoma- A Case report with updated review of literature". Autopsy & Case Reports. 11: e2020227. doi:10.4322/acr.2020.227. PMC 8101654. PMID 34277491.
- ^ Li L, Wu N, Li F, Li L, Wei L, Liu J (February 2019). "Clinicopathologic and molecular characteristics of 44 patients with pure secretory breast carcinoma". Cancer Biology & Medicine. 16 (1): 139–146. doi:10.20892/j.issn.2095-3941.2018.0035. PMC 6528460. PMID 31119054.
- ^ Mortensen L, Ordulu Z, Dagogo-Jack I, Bossuyt V, Winters L, Taghian A, Smith BL, Ellisen LW, Kiedrowski LA, Lennerz JK, Bardia A, Spring LM (October 2021). "Locally Recurrent Secretory Carcinoma of the Breast with NTRK3 Gene Fusion". The Oncologist. 26 (10): 818–824. doi:10.1002/onco.13880. PMC 8488779. PMID 34176200.
- ^ answers.com. "Oncology Encyclopedia: Cystosarcoma Phyllodes". Answers.com. Archived from the original on 8 سبتمبر 2010. Retrieved 10 أغسطس 2010.
- ^ Lacroix M (December 2006). "Significance, detection and markers of disseminated breast cancer cells". Endocrine-Related Cancer. 13 (4): 1033–67. doi:10.1677/ERC-06-0001. PMID 17158753.
- ^ "Stage 4 :: The National Breast Cancer Foundation". www.nationalbreastcancer.org.
- ^ National Cancer Institute (1 سبتمبر 2004). "Metastatic Cancer: Questions and Answers". Archived from the original on 27 أغسطس 2008. Retrieved 6 فبراير 2008.
- ^ Perera N, Fernando N, Perera R (March 2020). "Metastatic breast cancer spread to peripancreatic lymph nodes causing biliary obstruction". The Breast Journal. 26 (3): 511–13. doi:10.1111/tbj.13531. PMID 31538691.
- ^ Interpreting Signs and Symptoms. Lippincott Williams & Wilkins. 2007. pp. 99–. ISBN 978-1-58255-668-0.
- ^ Merck Manual of Diagnosis and Therapy (فبراير 2003). "Breast Disorders: Overview of Breast Disorders". Archived from the original on 3 أكتوبر 2011. Retrieved 5 فبراير 2008.
- ^ أ ب Hayes J, Richardson A, Frampton C (November 2013). "Population attributable risks for modifiable lifestyle factors and breast cancer in New Zealand women". Internal Medicine Journal. 43 (11): 1198–204. doi:10.1111/imj.12256. PMID 23910051. S2CID 23237732.
- ^ Reeder JG, Vogel VG (2008). "Breast cancer prevention". Advances in Breast Cancer Management, Second Edition. Cancer Treatment and Research. Vol. 141. pp. 149–64. doi:10.1007/978-0-387-73161-2_10. ISBN 978-0-387-73160-5. PMID 18274088.
- ^ "Am I at risk?". Breast Cancer Care. 23 فبراير 2018. Archived from the original on 25 أكتوبر 2013. Retrieved 22 أكتوبر 2013.
- ^ Collaborative Group on Hormonal Factors in Breast Cancer (July 2002). "Breast cancer and breastfeeding: collaborative reanalysis of individual data from 47 epidemiological studies in 30 countries, including 50302 women with breast cancer and 96973 women without the disease". Lancet. 360 (9328): 187–95. doi:10.1016/S0140-6736(02)09454-0. PMID 12133652. S2CID 25250519.
- ^ Yager JD, Davidson NE (January 2006). "Estrogen carcinogenesis in breast cancer". The New England Journal of Medicine. 354 (3): 270–82. doi:10.1056/NEJMra050776. PMID 16421368.
- ^ Mazzucco A, Santoro E, DeSoto, M, Hong Lee J (February 2009). "Hormone Therapy and Menopause". National Research Center for Women & Families.
- ^ Light Pollution as new risk factor for human Breast and Prostate Cancers- Haim, Abraham; Portnov, Biris P., 2013, ISBN 978-94-007-6220-6
- ^ أ ب Zhang, Yan-Bo; Pan, Xiong-Fei; Chen, Junxiang; Cao, Anlan; Zhang, Yu-Ge; Xia, Lu; Wang, Jing; Li, Huiqi; Liu, Gang; Pan, An (2020-03-31). "Combined lifestyle factors, incident cancer, and cancer mortality: a systematic review and meta-analysis of prospective cohort studies". British Journal of Cancer. 122 (7): 1085–1093. doi:10.1038/s41416-020-0741-x. ISSN 0007-0920. PMC 7109112. PMID 32037402.
- ^ أ ب Choi, Yoon-Jung; Myung, Seung-Kwon; Lee, Ji-Ho (April 2018). "Light Alcohol Drinking and Risk of Cancer: A Meta-Analysis of Cohort Studies". Cancer Research and Treatment. 50 (2): 474–487. doi:10.4143/crt.2017.094. ISSN 2005-9256. PMC 5912140. PMID 28546524.
- ^ Bagnardi, V.; Rota, M.; Botteri, E.; Tramacere, I.; Islami, F.; Fedirko, V.; Scotti, L.; Jenab, M.; Turati, F.; Pasquali, E.; Pelucchi, C. (2015-02-03). "Alcohol consumption and site-specific cancer risk: a comprehensive dose-response meta-analysis". British Journal of Cancer. 112 (3): 580–593. doi:10.1038/bjc.2014.579. ISSN 1532-1827. PMC 4453639. PMID 25422909.
- ^ أ ب Shield KD, Soerjomataram I, Rehm J (June 2016). "Alcohol Use and Breast Cancer: A Critical Review". Alcoholism, Clinical and Experimental Research. 40 (6): 1166–81. doi:10.1111/acer.13071. PMID 27130687.
All levels of evidence showed a risk relationship between alcohol consumption and the risk of breast cancer, even at low levels of consumption.
- ^ McDonald JA, Goyal A, Terry MB (September 2013). "Alcohol Intake and Breast Cancer Risk: Weighing the Overall Evidence". Current Breast Cancer Reports. 5 (3): 208–221. doi:10.1007/s12609-013-0114-z. PMC 3832299. PMID 24265860.
- ^ "Lifestyle-related Breast Cancer Risk Factors". www.cancer.org.
- ^ Blackburn GL, Wang KA (September 2007). "Dietary fat reduction and breast cancer outcome: results from the Women's Intervention Nutrition Study (WINS)". The American Journal of Clinical Nutrition. 86 (3): s878-81. doi:10.1093/ajcn/86.3.878S. PMID 18265482.
- ^ BBC report Weight link to breast cancer risk Archived 13 مارس 2007 at the Wayback Machine
- ^ Kaiser J (November 2013). "Cancer. Cholesterol forges link between obesity and breast cancer". Science. 342 (6162): 1028. doi:10.1126/science.342.6162.1028. PMID 24288308.
- ^ Aceves C, Anguiano B, Delgado G (April 2005). "Is iodine a gatekeeper of the integrity of the mammary gland?". Journal of Mammary Gland Biology and Neoplasia. 10 (2): 189–96. doi:10.1007/s10911-005-5401-5. PMID 16025225. S2CID 16838840.
- ^ Mourouti N, Kontogianni MD, Papavagelis C, Panagiotakos DB (February 2015). "Diet and breast cancer: a systematic review". International Journal of Food Sciences and Nutrition. 66 (1): 1–42. doi:10.3109/09637486.2014.950207. PMID 25198160. S2CID 207498132.
- ^ Aubrey A (1 فبراير 2016). "A Diet High In Fiber May Help Protect Against Breast Cancer". NPR. Archived from the original on 1 فبراير 2016. Retrieved 1 فبراير 2016.
- ^ أ ب Johnson KC, Miller AB, Collishaw NE, Palmer JR, Hammond SK, Salmon AG, et al. (January 2011). "Active smoking and secondhand smoke increase breast cancer risk: the report of the Canadian Expert Panel on Tobacco Smoke and Breast Cancer Risk (2009)". Tobacco Control. 20 (1): e2. doi:10.1136/tc.2010.035931. PMID 21148114. S2CID 448229.
- ^ Lee IM, Shiroma EJ, Lobelo F, Puska P, Blair SN, Katzmarzyk PT (July 2012). "Effect of physical inactivity on major non-communicable diseases worldwide: an analysis of burden of disease and life expectancy". Lancet. 380 (9838): 219–29. doi:10.1016/S0140-6736(12)61031-9. PMC 3645500. PMID 22818936.
- ^ Biswas A, Oh PI, Faulkner GE, Bajaj RR, Silver MA, Mitchell MS, Alter DA (January 2015). "Sedentary time and its association with risk for disease incidence, mortality, and hospitalization in adults: a systematic review and meta-analysis". Annals of Internal Medicine. 162 (2): 123–32. doi:10.7326/M14-1651. PMID 25599350. S2CID 7256176.
- ^ Collaborative Group on Hormonal Factors in Breast Cancer (September 2019). "Type and timing of menopausal hormone therapy and breast cancer risk: individual participant meta-analysis of the worldwide epidemiological evidence". Lancet. 394 (10204): 1159–1168. doi:10.1016/S0140-6736(19)31709-X. PMC 6891893. PMID 31474332.
- ^ Kanadys, Wiesław; Barańska, Agnieszka; Malm, Maria; Błaszczuk, Agata; Polz-Dacewicz, Małgorzata; Janiszewska, Mariola; Jędrych, Marian (2021-04-27). "Use of Oral Contraceptives as a Potential Risk Factor for Breast Cancer: A Systematic Review and Meta-Analysis of Case-Control Studies Up to 2010". International Journal of Environmental Research and Public Health. 18 (9): 4638. doi:10.3390/ijerph18094638. ISSN 1660-4601. PMC 8123798. PMID 33925599.
- ^ أ ب Chelmow, David; Pearlman, Mark D.; Young, Amy; Bozzuto, Laura; Dayaratna, Sandra; Jeudy, Myrlene; Kremer, Mallory E.; Scott, Dana Marie; O'Hara, Julia Sage (June 2020). "Executive Summary of the Early-Onset Breast Cancer Evidence Review Conference". Obstetrics and Gynecology. 135 (6): 1457–1478. doi:10.1097/AOG.0000000000003889. ISSN 0029-7844. PMC 7253192. PMID 32459439.
- ^ Gaffield ME, Culwell KR, Ravi A (October 2009). "Oral contraceptives and family history of breast cancer". Contraception. 80 (4): 372–80. doi:10.1016/j.contraception.2009.04.010. PMID 19751860.
- ^ Huber, D.; Seitz, S.; Kast, K.; Emons, G.; Ortmann, O. (April 2020). "Use of oral contraceptives in BRCA mutation carriers and risk for ovarian and breast cancer: a systematic review". Archives of Gynecology and Obstetrics. 301 (4): 875–884. doi:10.1007/s00404-020-05458-w. ISSN 1432-0711. PMC 8494665. PMID 32140806.
- ^ Chowdhury R, Sinha B, Sankar MJ, Taneja S, Bhandari N, Rollins N, et al. (December 2015). "Breastfeeding and maternal health outcomes: a systematic review and meta-analysis". Acta Paediatrica. 104 (467): 96–113. doi:10.1111/apa.13102. PMC 4670483. PMID 26172878.
- ^ "Breastfeeding". World Health Organization.
- ^ "Breastfeeding:Frequently Asked Questions (FAQs)". U.S. Center for disease control and prevention(CDC). 10 August 2021.
- ^ Collaborative Group on Hormonal Factors in Breast Cancer (July 2002). "Breast cancer and breastfeeding: collaborative reanalysis of individual data from 47 epidemiological studies in 30 countries, including 50302 women with breast cancer and 96973 women without the disease". Lancet. 360 (9328): 187–195. doi:10.1016/S0140-6736(02)09454-0. PMID 12133652. S2CID 25250519.
- ^ Russo J, Russo IH (August 1980). "Susceptibility of the mammary gland to carcinogenesis. II. Pregnancy interruption as a risk factor in tumor incidence". The American Journal of Pathology. 100 (2): 497–512. PMC 1903536. PMID 6773421.
In contrast, abortion is associated with increased risk of carcinomas of the breast. The explanation for these epidemiologic findings is not known, but the parallelism between the DMBA-induced rat mammary carcinoma model and the human situation is striking. ... Abortion would interrupt this process, leaving in the gland undifferentiated structures like those observed in the rat mammary gland, which could render the gland again susceptible to carcinogenesis.
- ^ Beral V, Bull D, Doll R, Peto R, Reeves G (March 2004). "Breast cancer and abortion: collaborative reanalysis of data from 53 epidemiological studies, including 83?000 women with breast cancer from 16 countries". Lancet. 363 (9414): 1007–16. doi:10.1016/S0140-6736(04)15835-2. PMID 15051280. S2CID 20751083.
- ^ أ ب American Cancer Society (2005). "Breast Cancer Facts & Figures 2005–2006" (PDF). Archived from the original (PDF) on 13 June 2007. Retrieved 26 April 2007.
- ^ Wang XS, Armstrong ME, Cairns BJ, Key TJ, Travis RC (March 2011). "Shift work and chronic disease: the epidemiological evidence". Occupational Medicine. 61 (2): 78–89. doi:10.1093/occmed/kqr001. PMC 3045028. PMID 21355031.
- ^ Marinac CR, Nelson SH, Breen CI, Hartman SJ, Natarajan L, Pierce JP, et al. (August 2016). "Prolonged Nightly Fasting and Breast Cancer Prognosis". JAMA Oncology. 2 (8): 1049–55. doi:10.1001/jamaoncol.2016.0164. PMC 4982776. PMID 27032109.
- ^ Brody JG, Rudel RA, Michels KB, Moysich KB, Bernstein L, Attfield KR, Gray S (June 2007). "Environmental pollutants, diet, physical activity, body size, and breast cancer: where do we stand in research to identify opportunities for prevention?". Cancer. 109 (12 Suppl): 2627–34. doi:10.1002/cncr.22656. PMID 17503444. S2CID 34880415.
- ^ Hendrick RE (October 2010). "Radiation doses and cancer risks from breast imaging studies". Radiology. 257 (1): 246–53. doi:10.1148/radiol.10100570. PMID 20736332.
- ^ أ ب ت Gage M, Wattendorf D, Henry LR (April 2012). "Translational advances regarding hereditary breast cancer syndromes". Journal of Surgical Oncology. 105 (5): 444–51. doi:10.1002/jso.21856. PMID 22441895. S2CID 3406636.
- ^ Colditz GA, Kaphingst KA, Hankinson SE, Rosner B (June 2012). "Family history and risk of breast cancer: nurses' health study". Breast Cancer Research and Treatment. 133 (3): 1097–104. doi:10.1007/s10549-012-1985-9. PMC 3387322. PMID 22350789.
- ^ Collaborative Group on Hormonal Factors in Breast Cancer (October 2001). "Familial breast cancer: collaborative reanalysis of individual data from 52 epidemiological studies including 58,209 women with breast cancer and 101,986 women without the disease". Lancet. 358 (9291): 1389–99. doi:10.1016/S0140-6736(01)06524-2. PMID 11705483. S2CID 24278814.
- ^ Nelson HD, Zakher B, Cantor A, Fu R, Griffin J, O'Meara ES, et al. (May 2012). "Risk factors for breast cancer for women aged 40 to 49 years: a systematic review and meta-analysis". Annals of Internal Medicine. 156 (9): 635–48. doi:10.7326/0003-4819-156-9-201205010-00006. PMC 3561467. PMID 22547473.
- ^ أ ب Boris Pasche (2010). Cancer Genetics (Cancer Treatment and Research). Berlin: Springer. pp. 19–20. ISBN 978-1-4419-6032-0.
- ^ Kolata G (23 سبتمبر 2012). "Genetic Study Finds 4 Distinct Variations of Breast Cancer". The New York Times. Archived from the original on 24 سبتمبر 2012. Retrieved 23 سبتمبر 2012.
- ^ "CDC – What Are the Risk Factors for Breast Cancer?". www.cdc.gov. 14 December 2018.
- ^ Tian JM, Ran B, Zhang CL, Yan DM, Li XH (January 2018). "Estrogen and progesterone promote breast cancer cell proliferation by inducing cyclin G1 expression". Brazilian Journal of Medical and Biological Research. 51 (3): 1–7. doi:10.1590/1414-431X20175612. PMC 5912097. PMID 29513878. Archived from the original on 14 May 2017. Retrieved 29 April 2019.
- ^ "Understanding Breast Changes – National Cancer Institute". Archived from the original on 27 May 2010.
- ^ "Breast Cancer Treatment". National Cancer Institute. يناير 1980. Archived from the original on 25 أبريل 2015.
- ^ Afonso N, Bouwman D (August 2008). "Lobular carcinoma in situ". European Journal of Cancer Prevention. 17 (4): 312–6. doi:10.1097/CEJ.0b013e3282f75e5d. PMID 18562954. S2CID 388045.
- ^ Anothaisintawee T, Wiratkapun C, Lerdsitthichai P, Kasamesup V, Wongwaisayawan S, Srinakarin J, et al. (September 2013). "Risk factors of breast cancer: a systematic review and meta-analysis". Asia-Pacific Journal of Public Health. 25 (5): 368–87. doi:10.1177/1010539513488795. PMID 23709491. S2CID 206616972.
- ^ Böhm I (June 2011). "Breast cancer in lupus". Breast. 20 (3): 288–90. doi:10.1016/j.breast.2010.12.005. PMID 21237645.
- ^ Williams, Cecilia; Lin, Chin-Yo (2013-11-05). "Oestrogen receptors in breast cancer: basic mechanisms and clinical implications". ecancermedicalscience. 7: 370. doi:10.3332/ecancer.2013.370. ISSN 1754-6605. PMC 3816846. PMID 24222786.
- ^ Levin, Ellis R.; Pietras, Richard J. (2008-04-01). "Estrogen receptors outside the nucleus in breast cancer". Breast Cancer Research and Treatment (in الإنجليزية). 108 (3): 351–361. doi:10.1007/s10549-007-9618-4. ISSN 1573-7217. PMID 17592774. S2CID 11394158.
- ^ Wang, Minghao; Wu, Xiujuan; Chai, Fan; Zhang, Yi; Jiang, Jun (2016-05-17). "Plasma prolactin and breast cancer risk: a meta- analysis". Scientific Reports. 6: 25998. Bibcode:2016NatSR...625998W. doi:10.1038/srep25998. ISSN 2045-2322. PMC 4869065. PMID 27184120.
- ^ (14 December 2009) "32nd Annual CTRC-AACR San Antonio Breast Cancer Symposium"..
- ^ Cavalieri E, Chakravarti D, Guttenplan J, Hart E, Ingle J, Jankowiak R, et al. (August 2006). "Catechol estrogen quinones as initiators of breast and other human cancers: implications for biomarkers of susceptibility and cancer prevention". Biochimica et Biophysica Acta (BBA) - Reviews on Cancer. 1766 (1): 63–78. doi:10.1016/j.bbcan.2006.03.001. PMID 16675129.
- ^ Filardo EJ (February 2018). "A role for G-protein coupled estrogen receptor (GPER) in estrogen-induced carcinogenesis: Dysregulated glandular homeostasis, survival and metastasis". The Journal of Steroid Biochemistry and Molecular Biology. 176: 38–48. doi:10.1016/j.jsbmb.2017.05.005. PMID 28595943. S2CID 19644829.
- ^ Haslam SZ, Woodward TL (June 2003). "Host microenvironment in breast cancer development: epithelial-cell-stromal-cell interactions and steroid hormone action in normal and cancerous mammary gland". Breast Cancer Research. 5 (4): 208–15. doi:10.1186/bcr615. PMC 165024. PMID 12817994.
{{cite journal}}: CS1 maint: unflagged free DOI (link) - ^ Wiseman BS, Werb Z (May 2002). "Stromal effects on mammary gland development and breast cancer". Science. 296 (5570): 1046–9. Bibcode:2002Sci...296.1046W. doi:10.1126/science.1067431. PMC 2788989. PMID 12004111.
- ^ Jardé T, Perrier S, Vasson MP, Caldefie-Chézet F (January 2011). "Molecular mechanisms of leptin and adiponectin in breast cancer". European Journal of Cancer. 47 (1): 33–43. doi:10.1016/j.ejca.2010.09.005. PMID 20889333.
- ^ Dunning AM, Healey CS, Pharoah PD, Teare MD, Ponder BA, Easton DF (October 1999). "A systematic review of genetic polymorphisms and breast cancer risk". Cancer Epidemiology, Biomarkers & Prevention. 8 (10): 843–54. PMID 10548311.
- ^ Begg CB, Haile RW, Borg A, Malone KE, Concannon P, Thomas DC, et al. (January 2008). "Variation of breast cancer risk among BRCA1/2 carriers". JAMA. 299 (2): 194–201. doi:10.1001/jama.2007.55-a. PMC 2714486. PMID 18182601.
- ^ Patel KJ, Yu VP, Lee H, Corcoran A, Thistlethwaite FC, Evans MJ, et al. (February 1998). "Involvement of Brca2 in DNA repair". Molecular Cell. 1 (3): 347–57. doi:10.1016/S1097-2765(00)80035-0. PMID 9660919.
- ^ Marietta C, Thompson LH, Lamerdin JE, Brooks PJ (May 2009). "Acetaldehyde stimulates FANCD2 monoubiquitination, H2AX phosphorylation, and BRCA1 phosphorylation in human cells in vitro: implications for alcohol-related carcinogenesis". Mutation Research. 664 (1–2): 77–83. doi:10.1016/j.mrfmmm.2009.03.011. PMC 2807731. PMID 19428384.
- ^ Theruvathu JA, Jaruga P, Nath RG, Dizdaroglu M, Brooks PJ (2005). "Polyamines stimulate the formation of mutagenic 1,N2-propanodeoxyguanosine adducts from acetaldehyde". Nucleic Acids Research. 33 (11): 3513–20. doi:10.1093/nar/gki661. PMC 1156964. PMID 15972793.
- ^ Wooster R, Weber BL (June 2003). "Breast and ovarian cancer". The New England Journal of Medicine. 348 (23): 2339–47. doi:10.1056/NEJMra012284. PMID 12788999. S2CID 26602401.
- ^ Levin B, Lech D, Friedenson B (December 2012). "Evidence that BRCA1- or BRCA2-associated cancers are not inevitable". Molecular Medicine. 18 (9): 1327–37. doi:10.2119/molmed.2012.00280. PMC 3521784. PMID 22972572.
- ^ Polansky H, Schwab H (August 2019). "How latent viruses cause breast cancer: An explanation based on the microcompetition model". Bosnian Journal of Basic Medical Sciences. 19 (3): 221–226. doi:10.17305/bjbms.2018.3950. PMC 6716096. PMID 30579323.
- ^ Kouros-Mehr H, Kim JW, Bechis SK, Werb Z (April 2008). "GATA-3 and the regulation of the mammary luminal cell fate". Current Opinion in Cell Biology. 20 (2): 164–70. doi:10.1016/j.ceb.2008.02.003. PMC 2397451. PMID 18358709.
- ^ "Screening". Centers for Disease Control and Prevention. 11 سبتمبر 2018. Archived from the original on 18 نوفمبر 2015. Retrieved 17 نوفمبر 2015.
- ^ "Screening for Breast Cancer". US Preventive Services Task Force. ديسمبر 2009. Archived from the original on 2 يناير 2013. Retrieved 24 ديسمبر 2012.
- ^ Kösters JP, Gøtzsche PC (2003). "Regular self-examination or clinical examination for early detection of breast cancer". The Cochrane Database of Systematic Reviews. 2010 (2): CD003373. doi:10.1002/14651858.CD003373. PMC 7387360. PMID 12804462.
- ^ "Breast Cancer and Mammograms". WebMD. Archived from the original on 28 ديسمبر 2012. Retrieved 24 ديسمبر 2012.
- ^ Qaseem A, Lin JS, Mustafa RA, Horwitch CA, Wilt TJ (April 2019). "Screening for Breast Cancer in Average-Risk Women: A Guidance Statement From the American College of Physicians". Annals of Internal Medicine. 170 (8): 547–560. doi:10.7326/M18-2147. PMID 30959525.
- ^ Biesheuvel C, Weigel S, Heindel W (2011). "Mammography Screening: Evidence, History and Current Practice in Germany and Other European Countries". Breast Care. 6 (2): 104–109. doi:10.1159/000327493. PMC 3104900. PMID 21673820.
- ^ Schünemann HJ, Lerda D, Quinn C, Follmann M, Alonso-Coello P, Rossi PG, et al. (January 2020). "Breast Cancer Screening and Diagnosis: A Synopsis of the European Breast Guidelines". Annals of Internal Medicine. 172 (1): 46–56. doi:10.7326/M19-2125. PMID 31766052.
- ^ Tonelli M, Connor Gorber S, Joffres M, Dickinson J, Singh H, Lewin G, et al. (November 2011). "Recommendations on screening for breast cancer in average-risk women aged 40–74 years". CMAJ. 183 (17): 1991–2001. doi:10.1503/cmaj.110334. PMC 3225421. PMID 22106103.
- ^ "Breast Cancer: Screening". United States Preventive Services Task Force. Archived from the original on 16 June 2013.
- ^ Welch HG, Passow HJ (March 2014). "Quantifying the benefits and harms of screening mammography". JAMA Internal Medicine. 174 (3): 448–54. doi:10.1001/jamainternmed.2013.13635. PMID 24380095.
- ^ "Screening for breast cancer with mammography". Cochrane Nordic. 27 أغسطس 2015. Archived from the original on 29 أكتوبر 2015. Retrieved 15 أكتوبر 2015.
- ^ US Preventive Services Task Force (نوفمبر 2009). "Screening for breast cancer: U.S. Preventive Services Task Force recommendation statement". Annals of Internal Medicine. 151 (10): 716–26, W-236. doi:10.7326/0003-4819-151-10-200911170-00008. PMID 19920272. Archived from the original on 2 يناير 2013. Retrieved 24 ديسمبر 2012.
- ^ "Magnetic Resonance Imaging as an Adjunct to Mammography for Breast Cancer Screening in Women at Less Than High Risk for Breast Cancer: A Health Technology Assessment". Ontario Health Technology Assessment Series. 16 (20): 1–30. 1 November 2016. PMC 5156844. PMID 27990198.
- ^ Saslow D, Hannan J, Osuch J, Alciati MH, Baines C, Barton M, et al. (2004). "Clinical breast examination: practical recommendations for optimizing performance and reporting". CA: A Cancer Journal for Clinicians. 54 (6): 327–44. doi:10.3322/canjclin.54.6.327. PMID 15537576.
- ^ Yu YH, Liang C, Yuan XZ (April 2010). "Diagnostic value of vacuum-assisted breast biopsy for breast carcinoma: a meta-analysis and systematic review". Breast Cancer Research and Treatment. 120 (2): 469–79. doi:10.1007/s10549-010-0750-1. PMID 20130983. S2CID 22685290.
- ^ Ferguson MJ (June 2020). "Multifocal invasive mucinous carcinoma of the breast". Journal of Medical Radiation Sciences. 67 (2): 155–158. doi:10.1002/jmrs.379. PMC 7276192. PMID 31975569.
- ^ Kosir MA (July 2019). "Ch. 253, Breast Cancer". Merck Manual, Professional Edition. Archived from the original on 10 November 2011.
- ^ American Society of Clinical Oncology, Five Things Physicians and Patients Should Question, American Society of Clinical Oncology, http://choosingwisely.org/wp-content/uploads/2012/04/5things_12_factsheet_Amer_Soc_Clin_Onc.pdf, retrieved on 14 August 2012
- ^ Carlson RW, Allred DC, Anderson BO, Burstein HJ, Carter WB, Edge SB, et al. (February 2009). "Breast cancer. Clinical practice guidelines in oncology". Journal of the National Comprehensive Cancer Network. 7 (2): 122–92. doi:10.6004/jnccn.2009.0012. PMID 19200416.
- ^ Kumar V, Abul Abbas (2010). Robbins and Cotran Pathologic Basis of Disease. Philadelphia: Saunders, an imprint of Elsevier inc. p. 1090. ISBN 978-1-4160-3121-5.
- ^ Sotiriou C, Pusztai L (February 2009). "Gene-expression signatures in breast cancer". The New England Journal of Medicine. 360 (8): 790–800. doi:10.1056/NEJMra0801289. PMID 19228622.
- ^ Romond EH, Perez EA, Bryant J, Suman VJ, Geyer CE, Davidson NE, et al. (October 2005). "Trastuzumab plus adjuvant chemotherapy for operable HER2-positive breast cancer". The New England Journal of Medicine. 353 (16): 1673–84. doi:10.1056/NEJMoa052122. PMID 16236738.
- ^ أ ب ت "Lifestyle-related Breast Cancer Risk Factors". www.cancer.org. Retrieved 18 April 2018.
- ^ Eliassen AH, Hankinson SE, Rosner B, Holmes MD, Willett WC (October 2010). "Physical activity and risk of breast cancer among postmenopausal women". Archives of Internal Medicine. 170 (19): 1758–64. doi:10.1001/archinternmed.2010.363. PMC 3142573. PMID 20975025.
- ^ Kyu HH, Bachman VF, Alexander LT, Mumford JE, Afshin A, Estep K, et al. (August 2016). "Physical activity and risk of breast cancer, colon cancer, diabetes, ischemic heart disease, and ischemic stroke events: systematic review and dose-response meta-analysis for the Global Burden of Disease Study 2013". BMJ. 354: i3857. doi:10.1136/bmj.i3857. PMC 4979358. PMID 27510511.
- ^ Runowicz CD, Leach CR, Henry NL, Henry KS, Mackey HT, Cowens-Alvarado RL, et al. (January 2016). "American Cancer Society/American Society of Clinical Oncology Breast Cancer Survivorship Care Guideline". CA: A Cancer Journal for Clinicians. 66 (1): 43–73. doi:10.3322/caac.21319. PMID 26641959.
- ^ Song JK, Bae JM (March 2013). "Citrus fruit intake and breast cancer risk: a quantitative systematic review". Journal of Breast Cancer. 16 (1): 72–6. doi:10.4048/jbc.2013.16.1.72. PMC 3625773. PMID 23593085.
- ^ Zheng JS, Hu XJ, Zhao YM, Yang J, Li D (June 2013). "Intake of fish and marine n-3 polyunsaturated fatty acids and risk of breast cancer: meta-analysis of data from 21 independent prospective cohort studies". BMJ. 346: f3706. doi:10.1136/bmj.f3706. PMID 23814120.
- ^ Wu AH, Yu MC, Tseng CC, Pike MC (January 2008). "Epidemiology of soy exposures and breast cancer risk". British Journal of Cancer. 98 (1): 9–14. doi:10.1038/sj.bjc.6604145. PMC 2359677. PMID 18182974.
- ^ Hartmann LC, Schaid DJ, Woods JE, Crotty TP, Myers JL, Arnold PG, et al. (January 1999). "Efficacy of bilateral prophylactic mastectomy in women with a family history of breast cancer". The New England Journal of Medicine. 340 (2): 77–84. doi:10.1056/NEJM199901143400201. PMID 9887158.
- ^ Meijers-Heijboer H, van Geel B, van Putten WL, Henzen-Logmans SC, Seynaeve C, Menke-Pluymers MB, et al. (July 2001). "Breast cancer after prophylactic bilateral mastectomy in women with a BRCA1 or BRCA2 mutation" (PDF). The New England Journal of Medicine. 345 (3): 159–64. doi:10.1056/NEJM200107193450301. PMID 11463009.
- ^ أ ب Carbine NE, Lostumbo L, Wallace J, Ko H (April 2018). "Risk-reducing mastectomy for the prevention of primary breast cancer". The Cochrane Database of Systematic Reviews. 4: CD002748. doi:10.1002/14651858.cd002748.pub4. PMC 6494635. PMID 29620792.
- ^ أ ب Moyer VA (February 2014). "Risk assessment, genetic counseling, and genetic testing for BRCA-related cancer in women: U.S. Preventive Services Task Force recommendation statement". Annals of Internal Medicine. 160 (4): 271–81. doi:10.7326/M13-2747. PMID 24366376.
- ^ أ ب Nelson HD, Smith ME, Griffin JC, Fu R (April 2013). "Use of medications to reduce risk for primary breast cancer: a systematic review for the U.S. Preventive Services Task Force". Annals of Internal Medicine. 158 (8): 604–14. doi:10.7326/0003-4819-158-8-201304160-00005. PMID 23588749.
- ^ Cuzick J, Sestak I, Bonanni B, Costantino JP, Cummings S, DeCensi A, et al. (May 2013). "Selective oestrogen receptor modulators in prevention of breast cancer: an updated meta-analysis of individual participant data". Lancet. 381 (9880): 1827–34. doi:10.1016/S0140-6736(13)60140-3. PMC 3671272. PMID 23639488.
- ^ Owens DK, Davidson KW, Krist AH, Barry MJ, Cabana M, Caughey AB, et al. (September 2019). "Medication Use to Reduce Risk of Breast Cancer: US Preventive Services Task Force Recommendation Statement". JAMA. 322 (9): 857–867. doi:10.1001/jama.2019.11885. PMID 31479144.
- ^ Cuzick J, Sestak I, Bonanni B, Costantino JP, Cummings S, DeCensi A, et al. (May 2013). "Selective oestrogen receptor modulators in prevention of breast cancer: an updated meta-analysis of individual participant data". Lancet. 381 (9880): 1827–34. doi:10.1016/S0140-6736(13)60140-3. PMC 3671272. PMID 23639488.
- ^ Mocellin S, Goodwin A, Pasquali S (April 2019). "Risk-reducing medications for primary breast cancer: a network meta-analysis". The Cochrane Database of Systematic Reviews. 4: CD012191. doi:10.1002/14651858.cd012191.pub2. PMC 6487387. PMID 31032883.
- ^ Saini KS, Taylor C, Ramirez AJ, Palmieri C, Gunnarsson U, Schmoll HJ, et al. (April 2012). "Role of the multidisciplinary team in breast cancer management: results from a large international survey involving 39 countries". Annals of Oncology. 23 (4): 853–9. doi:10.1093/annonc/mdr352. PMID 21821551.
- ^ Khalil DN, Smith EL, Brentjens RJ, Wolchok JD (May 2016). "The future of cancer treatment: immunomodulation, CARs and combination immunotherapy". Nature Reviews. Clinical Oncology. 13 (5): 273–90. doi:10.1038/nrclinonc.2016.25. PMC 5551685. PMID 26977780.
- ^ Leite AM, Macedo AV, Jorge AJ, Martins WA (August 2018). "Antiplatelet Therapy in Breast Cancer Patients Using Hormonal Therapy: Myths, Evidence and Potentialities – Systematic Review". Arquivos Brasileiros de Cardiologia. 111 (2): 205–212. doi:10.5935/abc.20180138. PMC 6122903. PMID 30183988.
- ^ Holmes MD, Chen WY, Li L, Hertzmark E, Spiegelman D, Hankinson SE (March 2010). "Aspirin intake and survival after breast cancer". Journal of Clinical Oncology. 28 (9): 1467–72. doi:10.1200/JCO.2009.22.7918. PMC 2849768. PMID 20159825.
- ^ Bao T, Rudek MA (2011). "The Clinical Pharmacology of Anastrozole". European Oncology & Haematology. 7 (2): 106–8. doi:10.17925/EOH.2011.07.02.106. S2CID 1802863.
- ^ Burstein HJ, Temin S, Anderson H, Buchholz TA, Davidson NE, Gelmon KE, et al. (July 2014). "Adjuvant endocrine therapy for women with hormone receptor-positive breast cancer: american society of clinical oncology clinical practice guideline focused update". Journal of Clinical Oncology. 32 (21): 2255–69. doi:10.1200/JCO.2013.54.2258. PMC 4876310. PMID 24868023.
- ^ Romero SA, Young K, Hickey M, Su HI (21 December 2020). "Levonorgestrel intrauterine system for endometrial protection in women with breast cancer on adjuvant tamoxifen". Cochrane Database Syst Rev. 12 (2): CD007245. doi:10.1002/14651858.CD007245.pub4. PMC 8092675. PMID 33348436.
- ^ Early Breast Cancer Trialists' Collaborative Group (EBCTCG) (October 2015). "Aromatase inhibitors versus tamoxifen in early breast cancer: patient-level meta-analysis of the randomised trials". Lancet. 386 (10001): 1341–1352. doi:10.1016/S0140-6736(15)61074-1. PMID 26211827.
- ^ Petit T, Dufour P, Tannock I (June 2011). "A critical evaluation of the role of aromatase inhibitors as adjuvant therapy for postmenopausal women with breast cancer". Endocrine-Related Cancer. 18 (3): R79-89. doi:10.1530/ERC-10-0162. PMID 21502311.
- ^ "Treatment of metastatic breast cancer". www.uptodate.com. Archived from the original on 4 سبتمبر 2017. Retrieved 4 سبتمبر 2017.
- ^ "Combination of Ribociclib and Letrozole Is a Home Run in Advanced Breast Cancer – The ASCO Post". ascopost.com. Retrieved 31 January 2019.
- ^ Jahanzeb M (August 2008). "Adjuvant trastuzumab therapy for HER2-positive breast cancer". Clinical Breast Cancer. 8 (4): 324–33. doi:10.3816/CBC.2008.n.037. PMID 18757259.
- ^ "Entrez Gene: ERBB2 v-erb-b2 erythroblastic leukemia viral oncogene homolog 2, neuro/glioblastoma derived oncogene homolog (avian)". Archived from the original on 26 أكتوبر 2009. Retrieved 17 نوفمبر 2015.
- ^ "Herceptin (trastuzumab) Adjuvant HER2+ Breast Cancer Therapy Pivotal Studies and Efficacy Data". Herceptin.com. Archived from the original on 6 أبريل 2010. Retrieved 8 مايو 2010.
- ^ "New ASCO Guidelines on Treating Advanced-Stage HER2-Positive Breast Cancer". Breastcancer.org. 4 October 2016. Retrieved 31 January 2019.
- ^ Slamon DJ, Leyland-Jones B, Shak S, Fuchs H, Paton V, Bajamonde A, et al. (March 2001). "Use of chemotherapy plus a monoclonal antibody against HER2 for metastatic breast cancer that overexpresses HER2". The New England Journal of Medicine. 344 (11): 783–92. doi:10.1056/NEJM200103153441101. PMID 11248153.
- ^ Massarut S, Baldassare G, Belleti B, Reccanello S, D'Andrea S, Ezio C, Perin T, Roncadin M, Vaidya JS (2006). "Intraoperative radiotherapy impairs breast cancer cell motility induced by surgical wound fluid". J Clin Oncol. 24 (18S): 10611. doi:10.1200/jco.2006.24.18_suppl.10611. Archived from the original on 12 يناير 2012. Retrieved 9 يونيو 2010.
- ^ Belletti B, Vaidya JS, D'Andrea S, Entschladen F, Roncadin M, Lovat F, et al. (March 2008). "Targeted intraoperative radiotherapy impairs the stimulation of breast cancer cell proliferation and invasion caused by surgical wounding". Clinical Cancer Research. 14 (5): 1325–32. doi:10.1158/1078-0432.CCR-07-4453. PMID 18316551.
- ^ "Radiation Therapy". Breastcancer.org. Archived from the original on 17 نوفمبر 2015. Retrieved 17 نوفمبر 2015.
- ^ Hickey BE, Lehman M (August 30, 2021). "Partial breast irradiation versus whole breast radiotherapy for early breast cancer". The Cochrane Database of Systematic Reviews. 2021 (8): CD007077. doi:10.1002/14651858.CD007077.pub4. PMC 8406917. PMID 34459500.
{{cite journal}}: CS1 maint: PMC embargo expired (link) - ^ Moschetti I, Cinquini M, Lambertini M, Levaggi A, Liberati A (May 2016). "Follow-up strategies for women treated for early breast cancer". The Cochrane Database of Systematic Reviews. 2016 (5): CD001768. doi:10.1002/14651858.cd001768.pub3. PMC 7073405. PMID 27230946.
- ^ Khan F, Amatya B, Ng L, Demetrios M, Zhang NY, Turner-Stokes L (December 2012). "Multidisciplinary rehabilitation for follow-up of women treated for breast cancer". The Cochrane Database of Systematic Reviews. 12 (3): CD009553. doi:10.1002/14651858.cd009553.pub2. PMC 8078577. PMID 23235677.
- ^ "Breast Cancer: Breast Disorders: Merck Manual Professional". Merck.com. Archived from the original on 10 نوفمبر 2011. Retrieved 8 مايو 2010.
- ^ "Surgery Choices for Women with Early Stage Breast Cancer" (PDF). National Cancer Institute and the National Research Center for Women & Families. August 2004. Archived from the original (PDF) on 13 August 2013.
- ^ "Breast Cancer: Breast Disorders: Merck Manual Professional". Merck.com. Archived from the original on 10 نوفمبر 2011. Retrieved 14 نوفمبر 2010.
- ^ Elston CW, Ellis IO (November 1991). "Pathological prognostic factors in breast cancer. I. The value of histological grade in breast cancer: experience from a large study with long-term follow-up". Histopathology. 19 (5): 403–10. doi:10.1111/j.1365-2559.1991.tb00229.x. PMID 1757079. S2CID 17622089.
- ^ Peppercorn J (2009). "Breast Cancer in Women Under 40". Oncology. 23 (6): 465–74. PMID 19544685. Archived from the original on 16 يونيو 2009.
- ^ Pritchard KI (2009). "Ovarian Suppression/Ablation in Premenopausal ER-Positive Breast Cancer Patients". Oncology. 23 (1). Archived from the original on 5 يوليو 2009.
- ^ Jassim GA, Whitford DL, Hickey A, Carter B (May 2015). "Psychological interventions for women with non-metastatic breast cancer". The Cochrane Database of Systematic Reviews (5): CD008729. doi:10.1002/14651858.cd008729.pub2. PMID 26017383.
- ^ Lahart IM, Metsios GS, Nevill AM, Carmichael AR (January 2018). "Physical activity for women with breast cancer after adjuvant therapy". The Cochrane Database of Systematic Reviews. 1: CD011292. doi:10.1002/14651858.cd011292.pub2. PMC 6491330. PMID 29376559.
- ^ "WHO Disease and injury country estimates". World Health Organization. 2009. Archived from the original on 11 November 2009. Retrieved 11 November 2009.
- ^ أ ب McGuire A, Brown JA, Malone C, McLaughlin R, Kerin MJ (May 2015). "Effects of age on the detection and management of breast cancer". Cancers. 7 (2): 908–29. doi:10.3390/cancers7020815. PMC 4491690. PMID 26010605.
- ^ "Cancer". World Health Organization. 12 September 2018. Retrieved 16 July 2020.
- ^ Balasubramanian R, Rolph R, Morgan C, Hamed H (2019). "Genetics of breast cancer: management strategies and risk-reducing surgery". Br J Hosp Med (Lond). 80 (12): 720–725. doi:10.12968/hmed.2019.80.12.720. PMID 31822191. S2CID 209314404.
- ^ أ ب ت "World Cancer Report". International Agency for Research on Cancer. 2008. Archived from the original on 31 ديسمبر 2011. Retrieved 26 فبراير 2011. (cancer statistics often exclude non-melanoma skin cancers such as basal-cell carcinoma, which are common but rarely fatal)
- ^ "Breast cancer: prevention and control". World Health Organization. Archived from the original on 6 September 2015.
- ^ World Cancer Report 2014. International Agency for Research on Cancer, World Health Organization. 2014. ISBN 978-92-832-0432-9.
- ^ "Stewart B. W. and Kleihues P. (Eds): World Cancer Report. IARCPress. Lyon 2003". Archived from the original on 20 October 2008.
- ^ Wyld (2018). Breast cancer management for surgeons : a European multidisciplinary textbook. Springer. p. 580. ISBN 978-3-319-56671-9.
- ^ Laurance J (29 September 2006). "Breast cancer cases rise 80% since Seventies". The Independent. London. Archived from the original on 25 April 2008. Retrieved 9 October 2006.
- ^ "Breast Cancer: Statistics on Incidence, Survival, and Screening". Imaginis Corporation. 2006. Archived from the original on 24 أكتوبر 2006. Retrieved 9 أكتوبر 2006.
- ^ Breast Cancer: Breast Cancer in Young Women Archived 10 سبتمبر 2009 at the Wayback Machine WebMD. Retrieved 9 September 2009
- ^ Nearly 85% of women diagnosed with breast cancer now survive for 5 year or more Archived 5 نوفمبر 2013 at the Wayback Machine Office for National Statistics, 2013
- ^ Cancer Stat Facts: Female Breast Cancer, U.S. National Cancer Institute, accessed 16 February 2018
- ^ أ ب ت Olson, James Stuart (2002). Bathsheba's breast: women, cancer & history. The Johns Hopkins University Press. pp. 9–13. ISBN 978-0-8018-6936-5.
- ^ أ ب "Oldest evidence of breast cancer found in Egyptian skeleton". Reuters. 24 مارس 2015. Archived from the original on 27 مارس 2015. Retrieved 25 مارس 2015.
- ^ "The History of Cancer". American Cancer Society. 25 مارس 2002. Archived from the original on 9 أكتوبر 2006. Retrieved 9 أكتوبر 2006.
- ^ Olson, James Stuart (2002). Bathsheba's breast: women, cancer & history. The Johns Hopkins University Press. pp. 32–33. ISBN 978-0-8018-6936-5.
- ^ Yalom, Marilyn (1997). A history of the breast. New York: Alfred A. Knopf. p. 234. ISBN 978-0-679-43459-7.
- ^ Faguet G (2015). "Chapter 2: An Historical Overview: From Prehistory to WWII. From Medieval Europe to World War II". The Conquest of Cancer: A Distant Goal. p. 24. ISBN 9789401791656.
- ^ Kaartinen M (2013). "Chapter 2: "But Sad Resources": Treating Cancer in the Eighteenth Century". Breast cancer in the eighteenth century. London: Pickering & Chatto. p. 53. ISBN 978-1-84893-364-4.
- ^ أ ب Winchester, David J.; Winchester, David P.; Hudis, Clifford A.; Norton, Larry (2006). Breast Cancer. PMPH-USA. p. 6. ISBN 9781550092721.
- ^ de Moulin, D. (2013). A short history of breast cancer. Springer Science & Business Media. p. 24. ISBN 9789401706018.
- ^ de Moulin, D. (2013). A short history of breast cancer. Springer Science & Business Media. p. 25. ISBN 9789401706018.
- ^ de Moulin, D. (2013). A short history of breast cancer. Springer Science & Business Media. p. 26. ISBN 9789401706018.
- ^ Boddice, Robert Gregory (2014). Pain and Emotion in Modern History. Springer. p. 24. ISBN 9781137372437.
- ^ Winchester, David J.; Winchester, David P.; Hudis, Clifford A.; Norton, Larry (2006). Breast Cancer. PMPH-USA. p. 5. ISBN 9781550092721.
- ^ Macintyre IM (June 2011). "Scientific surgeon of the Enlightenment or 'plagiarist in everything': a reappraisal of Benjamin Bell (1749–1806)". The Journal of the Royal College of Physicians of Edinburgh. 41 (2): 174–81. doi:10.4997/JRCPE.2011.211. PMID 21677925.
- ^ Aronowitz, Robert A. (2007). Unnatural history: breast cancer and American society. Cambridge, UK: Cambridge University Press. pp. 22–24. ISBN 978-0-521-82249-7.
- ^ Scientific American, "The Treatment of Cancer by Pressure" (in الإنجليزية). Munn & Company. 10 August 1878. p. 86.
- ^ أ ب ت ث Olson, James Stuart (2002). Bathsheba's breast: women, cancer & history. The Johns Hopkins University Press. pp. 102–106. ISBN 978-0-8018-6936-5.
- ^ Olson, James Stuart (2002). Bathsheba's breast: women, cancer & history. The Johns Hopkins University Press. p. 1. ISBN 978-0-8018-6936-5.
- ^ Alfredo Morabia (2004). A History of Epidemiologic Methods and Concepts. Boston: Birkhauser. pp. 301–302. ISBN 978-3-7643-6818-0. Retrieved 31 December 2007.
- ^ Knopf-Newman, Marcy Jane (2004). Beyond Slash, Burn, and Poison: Transforming Breast Cancer Stories Into Action. Rutgers University Press. pp. 39–40. ISBN 9780813534718.
- ^ Knopf-Newman, Marcy Jane (2004). Beyond Slash, Burn, and Poison: Transforming Breast Cancer Stories Into Action. Rutgers University Press. p. 58. ISBN 9780813534718.
- ^ Marc Lacroix (2011). A Concise History of Breast Cancer. USA: Nova Science Publishers. pp. 59–68. ISBN 978-1-61122-305-7.
- ^ أ ب Sulik, Gayle A. (2010). Pink Ribbon Blues: How Breast Cancer Culture Undermines Women's Health. USA: Oxford University Press. pp. 200–203. ISBN 978-0-19-974045-1. OCLC 535493589.
- ^ Sulik, Gayle A. (2010). Pink Ribbon Blues: How Breast Cancer Culture Undermines Women's Health. USA: Oxford University Press. pp. 37–38. ISBN 978-0-19-974045-1. OCLC 535493589.
- ^ Sulik, Gayle A. (2010). Pink Ribbon Blues: How Breast Cancer Culture Undermines Women's Health. USA: Oxford University Press. p. 4. ISBN 978-0-19-974045-1. OCLC 535493589.
- ^ Bob Riter. "History of Breast Cancer Advocacy". Cancer Resource Center of the Finger Lakes. Archived from the original on 23 يونيو 2013. Retrieved 29 يونيو 2013.
- ^ Sulik, Gayle A. (2010). Pink Ribbon Blues: How Breast Cancer Culture Undermines Women's Health. USA: Oxford University Press. pp. 27–72. ISBN 978-0-19-974045-1. OCLC 535493589.
- ^ Klawiter, Maren (2008). The Biopolitics of Breast Cancer: Changing Cultures of Disease and Activism. U of Minnesota Press. pp. 132–133. ISBN 9780816651078.
- ^ Klawiter, Maren (2008). The Biopolitics of Breast Cancer: Changing Cultures of Disease and Activism. University of Minnesota Press. pp. 135–136. ISBN 9780816651078.
- ^ Sulik, Gayle A. (2010). Pink Ribbon Blues: How Breast Cancer Culture Undermines Women's Health. USA: Oxford University Press. pp. 366–368. ISBN 978-0-19-974045-1. OCLC 535493589.
- ^ Landeman, Anne (11 يونيو 2008). "Pinkwashing: Can Shopping Cure Breast Cancer?". Center for Media and Democracy. Archived from the original on 5 يونيو 2011.
- ^ Sulik, Gayle A. (2010). Pink Ribbon Blues: How Breast Cancer Culture Undermines Women's Health. USA: Oxford University Press. pp. 365–366. ISBN 978-0-19-974045-1. OCLC 535493589.
- ^ Sulik, Gayle A. (2010). Pink Ribbon Blues: How Breast Cancer Culture Undermines Women's Health. USA: Oxford University Press. pp. 372–374. ISBN 978-0-19-974045-1. OCLC 535493589.
- ^ Breast cancer month overshadowed by 'pinkwashing' Archived 12 أكتوبر 2010 at the Wayback Machine 9 October 2010, Angela Mulholland, CTV.ca News
- ^ Samantha King (2006). Pink ribbons, inc.: breast cancer and the politics of philanthropy. Minneapolis: University of Minnesota Press. ISBN 0-8166-4898-0.
- ^ Sulik, Gayle A. (2010). Pink Ribbon Blues: How Breast Cancer Culture Undermines Women's Health. USA: Oxford University Press. p. 57. ISBN 978-0-19-974045-1. OCLC 535493589.
- ^ Ehrenreich, Barbara (November 2001). "Welcome to Cancerland". Harper's Magazine. Archived from the original on 20 November 2010.
- ^ أ ب Aschwanden, Christie (17 أغسطس 2009). "The Trouble with Mammograms". Los Angeles Times. Archived from the original on 4 ديسمبر 2010.
- ^ Olson, James Stuart (2002). Bathsheba's breast: women, cancer & history. The Johns Hopkins University Press. pp. 199–200. ISBN 978-0-8018-6936-5.
- ^ Olopade, Olufunmilayo I.; Falkson, Carla I. (2010). Breast Cancer in Women of African Descent. Springer Science & Business Media. p. 5. ISBN 9781402036644.
- ^ أ ب ت ث Yedjou CG, Sims JN, Miele L, Noubissi F, Lowe L, Fonseca DD, et al. (3 January 2020). "Health and Racial Disparity in Breast Cancer". Advances in Experimental Medicine and Biology. 1152: 31–49. doi:10.1007/978-3-030-20301-6_3. ISBN 978-3-030-20300-9. PMC 6941147. PMID 31456178.
- ^ أ ب "Reproductive History and Cancer Risk". National Cancer Institute. 30 November 2016. Retrieved 22 August 2019.
- ^ Azim HA, Santoro L, Russell-Edu W, Pentheroudakis G, Pavlidis N, Peccatori FA (November 2012). "Prognosis of pregnancy-associated breast cancer: a meta-analysis of 30 studies". Cancer Treatment Reviews. 38 (7): 834–42. doi:10.1016/j.ctrv.2012.06.004. PMID 22785217.
- ^ Schedin P (April 2006). "Pregnancy-associated breast cancer and metastasis". Nature Reviews. Cancer. 6 (4): 281–91. doi:10.1038/nrc1839. PMID 16557280. S2CID 9085879.
- ^ أ ب ت ث ج ح خ Yarbro CH, Wujcik D, Gobel BH, eds. (2011). Cancer nursing: principles and practice (7th ed.). Jones & Bartlett Publishers. pp. 901–905. ISBN 978-1-4496-1829-2.
- ^ أ ب Gonçalves V, Sehovic I, Quinn G (2013). "Childbearing attitudes and decisions of young breast cancer survivors: a systematic review". Human Reproduction Update. 20 (2): 279–92. doi:10.1093/humupd/dmt039. PMC 3922144. PMID 24077938.
- ^ Patel A, Schwarz EB (September 2012). "Cancer and contraception. Release date May 2012. SFP Guideline #20121". Contraception (in الإنجليزية). 86 (3): 191–8. doi:10.1016/j.contraception.2012.05.008. PMID 22682881.
- ^ McNaught J, Reid RL (July 2006). "Progesterone-only and non-hormonal contraception in the breast cancer survivor: Joint Review and Committee Opinion of the Society of Obstetricians and Gynaecologists of Canada and the Society of Gynecologic Oncologists of Canada". Journal of Obstetrics and Gynaecology Canada. 28 (7): 616–626. doi:10.1016/S1701-2163(16)32195-8. PMID 16924781.
- ^ Management of the menopause after breast cancer, from the Royal Australian and New Zealand College of Obstetricians and Gynaecologists. College Statement C-Gyn 15. 1st Endorsed: February 2003. Current: November 2011. Review: November 2014
- ^ Venur VA, Leone JP (سبتمبر 2016). "Targeted Therapies for Brain Metastases from Breast Cancer". International Journal of Molecular Sciences. 17 (9): 1543. doi:10.3390/ijms17091543. PMC 5037817. PMID 27649142.
- ^ Suryawanshi YR, Zhang T, Essani K (March 2017). "Oncolytic viruses: emerging options for the treatment of breast cancer". Medical Oncology. 34 (3): 43. doi:10.1007/s12032-017-0899-0. PMID 28185165. S2CID 44562857.
- ^ Obermiller PS, Tait DL, Holt JT (1999). "Gene therapy for carcinoma of the breast: Therapeutic genetic correction strategies". Breast Cancer Research. 2 (1): 28–31. doi:10.1186/bcr26. PMC 521211. PMID 11250690.
{{cite journal}}: CS1 maint: unflagged free DOI (link) - ^ Roth JA, Swisher SG, Meyn RE (October 1999). "p53 tumor suppressor gene therapy for cancer". Oncology. 13 (10 Suppl 5): 148–54. PMID 10550840.
- ^ Yu LY, Tang J, Zhang CM, Zeng WJ, Yan H, Li MP, Chen XP (يناير 2017). "New Immunotherapy Strategies in Breast Cancer". International Journal of Environmental Research and Public Health. 14 (1): 68. doi:10.3390/ijerph14010068. PMC 5295319. PMID 28085094.
- ^ San Antonio Breast Cancer Symposium Archived 16 مايو 2010 at the Wayback Machine Abstracts, newsletters, and other reports of the meeting.
- ^ Goldhirsch A, Ingle JN, Gelber RD, Coates AS, Thürlimann B, Senn HJ (August 2009). "Thresholds for therapies: highlights of the St Gallen International Expert Consensus on the primary therapy of early breast cancer 2009". Annals of Oncology. 20 (8): 1319–29. doi:10.1093/annonc/mdp322. PMC 2720818. PMID 19535820.
- ^ "What's new in breast cancer research and treatment?". Cancer. Archived from the original on 12 نوفمبر 2015. Retrieved 17 نوفمبر 2015.
- ^ "Fenretinide (4-HPR): A Preventive Chance for Women at Genetic and Familial Risk?". hindawi. Archived from the original on 17 نوفمبر 2015. Retrieved 17 نوفمبر 2015.
- ^ Burris HA (March 2018). "Ribociclib for the treatment of hormone receptor-positive, human epidermal growth factor receptor 2-negative advanced breast cancer". Expert Review of Anticancer Therapy. 18 (3): 201–213. doi:10.1080/14737140.2018.1435275. PMID 29457921. S2CID 3425945.
- ^ Gallagher M, Jones DJ, Bell-Syer SV, et al. (Cochrane Wounds Group) (September 2019). "Prophylactic antibiotics to prevent surgical site infection after breast cancer surgery". The Cochrane Database of Systematic Reviews. 9: CD005360. doi:10.1002/14651858.CD005360.pub5. PMC 6953223. PMID 31557310.
- ^ Sabel MS (July 2014). "Nonsurgical ablation of breast cancer: future options for small breast tumors". Surgical Oncology Clinics of North America. 23 (3): 593–608. doi:10.1016/j.soc.2014.03.009. PMID 24882353.
- ^ أ ب Roubidoux MA, Yang W, Stafford RJ (March 2014). "Image-guided ablation in breast cancer treatment". Techniques in Vascular and Interventional Radiology. 17 (1): 49–54. doi:10.1053/j.tvir.2013.12.008. PMID 24636331.
- ^ Fornage BD, Hwang RF (August 2014). "Current status of imaging-guided percutaneous ablation of breast cancer". AJR. American Journal of Roentgenology. 203 (2): 442–8. doi:10.2214/AJR.13.11600. PMID 25055283.
- ^ Duffy MJ (July 2001). "Biochemical markers in breast cancer: which ones are clinically useful?". Clinical Biochemistry. 34 (5): 347–52. doi:10.1016/s0009-9120(00)00201-0. PMID 11522269.
- ^ المركز الخبري الوطني (2022-08-08). ""FDA" توافق على اول دواء موجه لعلاج نوع جديد من سرطان الثدي".
- ^ د. أسامة أبو الرُّب (2022-08-10). "أميركا توافق على علاج جديد لسرطان الثدي.. خبير أورام يكشف التفاصيل للجزيرة نت". www.aljazeera.net.
وصلات خارجية
- صفحات ذات رسوم بيانية قديمة فيغا
- صفحات بها مخططات
- CS1 maint: unflagged free DOI
- CS1 maint: PMC embargo expired
- CS1: Julian–Gregorian uncertainty
- Short description is different from Wikidata
- Articles containing إنگليزية-language text
- Pages using Lang-xx templates
- Articles with hatnote templates targeting a nonexistent page
- جميع الصفحات التي تحتاج تمحيص حقائق
- مقالات بالمعرفة تحتاج تمحيص الحقائق from July 2020
- Articles with unsourced statements from March 2020
- Articles with unsourced statements from May 2018
- Articles with unsourced statements from June 2022
- جميع الصفحات التي تحتاج تنظيف
- مقالات بالمعرفة تحتاج توضيح from January 2022
- Articles with unsourced statements from January 2022
- Articles with Curlie links
- أمراض سرطانية
- أنواع السرطان
- سرطان الثدي
- أمراض وراثية
- جهاز الغدد الصماء الأنثوي البشري