التهاب الكيس الدمعي

(تم التحويل من Dacryocystitis)
التهاب الكيس الدمعي
الأسماء الأخرىالمجال = طب العيون
Dacryocystitis2017.png
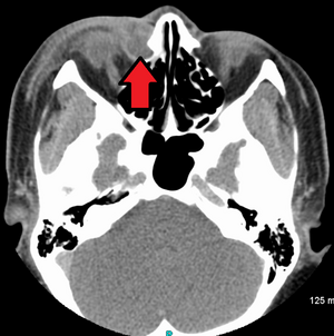
حالة التهاب الكيس الدمعي كما يظهر في التصوير الطبقي المحوسب
التخصصطب العيون Edit this on Marefadata

التهاب الكيس الدمعي هو العدوى من الكيس الدمعي وثانوي لانسداد القناة الأنفية الدمعية عند تقاطع الكيس الدمعي.[1] المصطلح مشتق من الكلمة اليونانية dákryon دموع ) و،[2] cysta (كيس) و -itis ( التهاب ). يسبب الألم والاحمرار والتورم على الجانب الداخلي للجفن السفلي والدماع . عندما يكون انسداد القناة الأنفية الدمعية ثانويًا بالنسبة للحاجز الخلقي ، يُشار إليه باسم قيلة الكيس الدمعي . هو الأكثر شيوعًا بسبب المكورات العنقودية الذهبية والمكورات العقدية الرئوية.[3] المضاعفات الأكثر شيوعًا هي تقرح القرنية ، وغالبًا ما تترافق مع العقدية الرئوية.[3] الدعائم الأساسية للعلاج هي المضادات الحيوية عن طريق الفم ، والكمادات الدافئة ، وتخفيف انسداد القناة الأنفية الدمعية عن طريق مفاغرة كيس الدمع بالانف.[3]

العلامات والاعراض

  • ألم ، تورم ، احمرار فوق الكيس الدمعي في موق العين [4]
  • دموع ، تقشر ، حمى
  • قد يؤدي الضغط بالاصابع على الكيس الدمعي إلى إخراج القيح من خلال منطقة النقطة
  • في الحالات المزمنة ، قد كون الدموع هي العرض الوحيد

الفيزيولوجيا المرضية

قد تؤدي مجموعة متنوعة من الأسباب إلى الإصابة بالتهاب الكيس الدمعي. وعلى الأخص ، فإن انسداد القناة الأنفية الدمعية يؤدي إلى ركود في السائل الأنفي الدمعي ، مما يهيئ للعدوى. المكورات العنقودية الذهبية هي أحد مسببات الأمراض البكتيرية الشائعة التي تسبب التهاب الكيس الدمعي المعدي.[5] في بعض الأحيان ، وخاصة عند النساء ، قد تتطور حصوات في الغدة الدمعية ، مما يتسبب في نوبات متكررة من التهاب الكيس الدمعي. وتسمى هذه الحالة "متلازمة احتباس الكيس الدمعي الحاد"."[5] أيضا بسبب المكورات الرئوية ، عدوى بسبب البنية المحيطة مثل الجيوب الأنفية..

المآل

حوالي 60 بالمائة من النوبات الأولية من التهاب الكيس الدمعي سوف تتكرر.[5] الأفراد الذين يعانون من ضعف في جهاز المناعة (نقص المناعة) قد يصابون بالتهاب الهلل المحجري ، مما قد يؤدي إلى التهاب العصب البصري ، أو جحوظ العينين ، أو تغيرات في حركة العين ، أو عمى.[5]

انظر ايضاً

المصادر

  1. ^ Durand, Marlene L. (2015-01-01). Periocular Infections. pp. 1432–1438.e2. doi:10.1016/B978-1-4557-4801-3.00118-1. ISBN 9781455748013. Retrieved 2020-05-08. Dacryocystitis, or inflammation of the lacrimal sac, is the most common infection of the lacrimal system. It arises because of obstruction of the lacrimal duct, pooling of tears in the lacrimal sac, and subsequent infection. Obstruction may be congenital or may result from trauma, tumors, infection, or inflammation of the duct. {{cite book}}: |website= ignored (help)
  2. ^ "Dacryo- definition". Retrieved 2009-05-18.
  3. ^ أ ب ت Oill PA; Montgomerie JZ; Cryan WS; Edwards JE (March 1977). "Specialty conference. Infectious disease emergencies. Part V: patients presenting with localized infections". The Western Journal of Medicine. 126 (3): 196–208. PMC 1237503. PMID 349885.
  4. ^ "Dacryocystitis". The Lecturio Medical Concept Library. Retrieved 11 July 2021.
  5. ^ أ ب ت ث Yanoff, Myron; Duker, Jay S. (2008). Ophthalmology (3rd ed.). Edinburgh: Mosby. pp. 1482–1485. ISBN 978-0323057516.

وصلات خارجية

Classification
V · T · D
External resources