مسمار نخاعي
(تم التحويل من Intramedullary rod)


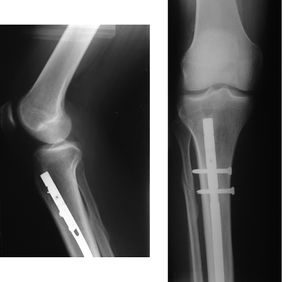
المسمار النخاعي intramedullary rod، هو مسمار معدني يزرع في تجويف نخاع العظام. ويستخدم المسمار النخاعي لعلاج كسور العظام الطويلة في الجسم. استخدمه لأول مرة گرهارد كنتشر عام 1939,[1][2] أثناء الحرب العالمية الثانية، لعلاج الجنود المصابين بكسر في عظمة الفخذ.
التصميم
المصادر
- ^ "Gerhard Küntscher:A surgical giant" (PDF). AO Foundation. Retrieved 2008-12-19.
- ^ Witzigreuter, Timothy. "The Origin, History and Use of the Intramedullary Nail". National Association of Orthopaedic Technologists. Retrieved 2008-12-19.
وصلات خارجية
- Cluett, Jonathan (M.D.). "Intramedullary Rod". About.com. Retrieved 2008-12-19.
| Stub icon | هذا medical treatment–related article هو بذرة. بإمكانك مساعدة المعرفة بأن تنمـِّـيـه. |
الكلمات الدالة: