ورم المستقتمات
| ورم المستقتمات | |
|---|---|
| الأسماء الأخرى | ورم المستقبلات الكيميائية ، ورم المستقتمات ، ورم الجسم السباتي ، ورم الخلايا الكبيبة |
| صورة مجهرية لـ "جسم الشريان السباتي ورم" (نوع من ورم المستقتمات). | |
| التخصص | علم الأورام |
ورم المستقتمات،paraganglioma هو ورم غدي عصبي نادر قد ينمو في مواقع مختلفة من الجسم (بما في ذلك الرأس والرقبة والصدر والبطن). عندما يتم العثور على نفس النوع من الورم في الغدة الكظرية ، يشار إليها باسم ورم القواتم. إنها أورام نادرة ، ويقدر إجمالي حدوثها بـ 1/300000.[1]علي عكس الانواع الاخري من السرطان، لا يوجد اختبار يحدد الأورام الحميدة من الخبيثة. لذلك يوصى بالمتابعة طويلة المدى لجميع الأفراد المصابين بورم المستقتمات.[2]
العلامات والاعراض
معظم أورام المستقتمات غير مصحوبة بأعراض ، تظهر ككتلة غير مؤلمة ، أو تخلق أعراضًا مثل فرط ضغط الدم ، وتسرع القلب ، والصداع ، والخفقان. في حين أن جميعها تحتوي على حبيبات إفراز عصبي ، إلا أنه في 1-3٪ فقط من الحالات يكون إفراز الهرمونات مثل الكاتيكولامينات وفيرًا بما يكفي ليكون مهمًا سريريًا ؛ غالبًا ما تشبه المظاهر في هذه الحالة أعراض ورم القواتم (ورم المستقتمات داخل النخاع)).[citation needed]
الجينات
حوالي 75٪ من أورام المستقتمات تكون فرادي. نسبة الـ 25٪ المتبقية وراثية (ولديهم احتمالية متزايدة للتكاثر والتطور في سن مبكرة). تم التعرف على طفرات جينات نازعة هيدروجين السكسينات و SDHD (المعروف سابقًا باسم PGL1 ) و SDHA و SDHC (سابقًا PGL3) و SDHB على أنها تسبب أورام المستقتمات العائلية في الرأس والرقبة. تلعب طفرات SDHB دورًا مهمًا في ورم القواتم الكظرية العائلي وورم المستقتمات الكظرية خارج الغدة الكظرية (في البطن والصدر) ، على الرغم من وجود تداخل كبير في أنواع الأورام المرتبطة بالطفرات الجينية SDHB و SDHD. قد تحدث أورام المستقتمات أيضًا في تكون الأورام الصماوية المتعددة 2A و 2B. الجينات الأخرى المرتبطة بورم المستقتمات العائلي هي،[3] VHL، NF1، TMEM127،[4] MAX[5] و SLC25A11.[6]
علم الأمراض


تظهر أورام المستقتمات بشكل كبير على شكل كتل سليلة الشكل متحددة بشدة ولديها اتساق مطاطي متماسك. وهي أورام وعائية شديدة وقد يكون لها لون أحمر غامق.[citation needed]
عند الفحص المجهري ، يتم التعرف على الخلايا السرطانية بسهولة. الخلايا السرطانية الفردية هي متعددة الأضلاع إلى بيضاوية ويتم ترتيبها في كرات خلوية مميزة تسمى زيلبالين.[7] يتم فصل كرات الخلايا هذه بواسطة سدى ليفي وعائي وتحيط بها الخلايا المعلقة .
عن طريق الفحص المجهري الضوئي ، يشمل التشخيص التفريقي أورام الغدد الصم العصبية ذات الصلة ، مثل الورم السرطاوي ، وسرطان الغدد الصم العصبية ، و سرطان الغدة الدرقية النخاعي
بواسطة كيمياء الأنسجة المناعية ، تكون الخلايا الرئيسية الموجودة في كرات الخلية موجبة للكروموجرانين ، سينابتوفيزين ، إنولاز محدد الخلايا العصبية ،سروتونين ، الخيوط العصبية و جزيء التصاق الخلايا العصبية ؛ هم بروتين S-100 سلبي. الخلايا المعلقة هي S-100 موجبة وإيجابية بؤريًا للحمض البروتيني الدبقي الليفي . عن طريق الكيمياء النسيجية ، تكون خلايا ورم المستقتمات عبارة عن خلايا أليفة الفضة ، وسلبية لحمض الشيف الدوري ، و سلبية لمليوسيكارمين ، و سلبية لأليف الفضة.[citation needed]
مواقع المنشأ
About 8حوالي 85٪ من ورم المستقتمات تظهر في البطن. ينمو 12٪ فقط في الصدر و 3٪ في منطقة الرأس والرقبة (وهذه الأخيرة هي الأكثر احتمالاً أن تكون لها أعراضًا مصاحبة). في حين أن معظم الحالات فردية ، تحدث حالات متعددة نادرة (عادة في متلازمة وراثية). يتم وصف أورام المستقتمات حسب موقعها الأصلي وغالبًا ما يتم إعطاؤها أسماء خاصة:
- ورم المستقتمات في الرأس والرقبة (HNPGL): هناك أنواع مختلفة من ورم المستقتمات في الرأس والرقبة. قد يكون لديهم أسماء متخصصة اعتمادًا على الموقع الدقيق.[8]
- ورم المستقتمات السباتي ( ورم الجسم السباتي ): هو أكثر أورام المستقتمات في الرأس والعنق شيوعًا. تظهر عادة ككتلة في الرقبة غير مؤلمة ، لكن الأورام الكبيرة قد تسبب شلل عصبي قحفي ، عادة في العصب المبهم والعصب تحت اللسان .
- الكبة الطبلية و الكبة وداجي ، المعروف أيضا باسم ورم المستقتمات الوداجي الطبلي: كلاهما موجود بشكل شائع على شكل كتلة في الأذن الوسطى مما يؤدي إلى طنين الأذن (80٪) وفقدان السمع (60٪). قد يتم ضغط الأعصاب القحفية في الثقبة الوداجية ، مما يؤدي إلى صعوبة في البلع ، أو ضعف مماثل في العضلة شبه المنحرفة العلوية والعضلات القصية الترقوية الخشائية (من انضغاط العصب الشوكي الإضافي) يظهر هؤلاء المرضى مع انتفاخ يميل للحمرة خلف طبلة الأذن السليمة. تُعرف هذه الحالة أيضًا باسم "الطبلة الحمراء". عند الضغط على قناة الأذن الخارجية بمساعدة منظار الأذن الهوائية ، يمكن رؤية الكتلة وهي لونها يصبح شاحب. تُعرف هذه العلامة باسم "علامة براون". الصفيحة العظمية الناقصة على طول الجزء الطبلي من الشريان السباتي الداخلي (الشريان السباتي الداخلي الهارب) هي متغير طبيعي ويمكن الخلط بينها وبين الكبة الوداجية.[9]
- عضو زوكركاندل : مجموعة من المستقتمات بالقرب من تشعب الأبهر ، تتكون من كتلة صغيرة من خلايا أليفة الكروم المشتقة من القمة العصبية. jعمل كأصل مشترك لأورام المستقتمات البطنية.
- ورم المستقتمات المبهمي : وهو الأقل شيوعًا في ورم المستقتمات في الرأس والرقبة. عادة ما يظهر على شكل كتلة غير مؤلمة في الرقبة ، ولكنها قد تؤدي إلى عسر البلع وبحة في الصوت.
- ورم المستقتمات الرئوية : يحدث هذا في الرئة وقد يكون مفرد أو متعدد.[10]
- مواقع أخرى : الأماكن النادرة للإصابة هي الحنجرة ، تجويف الأنف ، الجيوب الأنفية ، الغدة الدرقية ، ومدخل الصدر ، وكذلك المثانة في حالات نادرة للغاية.
التشخيص
التصنيف
تنشأ أورام المستقتمات من مستقتمات في خلايا الكبيبة السلبية للكرومافين المشتقة من القمة العصبية الجنينية، تعمل كجزء من الجهاز العصبي الودي (فرع من الجهاز العصبي اللاإرادي ). تعمل هذه الخلايا عادةً كمستقبلات كيميائية خاصة تقع على طول الأوعية الدموية ، لا سيما في أجسام الشريان السباتي (عند تشعب الشريان السباتي المشترك في الرقبة) وفي أجسام الأبهر (بالقرب من قوس الأبهر)[citation needed]
وفقًا لذلك ، يتم تصنيف أورام المستقتمات على أنها تنشأ من خط الخلايا العصبية في تصنيف منظمة الصحة العالمية لأورام الغدد الصم العصبية . في التصنيف الذي اقترحه ويك ، تنتمي أورام المستقتمات إلى المجموعة الثانية.[11] بالنظر إلى حقيقة أنها تنشأ من خلايا الجهاز السمبتاوي ، فإن أورام المستقتمات ترتبط ارتباطًا وثيقًا بورم القواتم ، ومع ذلك فهي إيجابية الكرومافين
العلاج
طرق العلاج الرئيسية هي الجراحة والانصمام[12] والعلاج الإشعاعي.[13]
الصور الأضافية
-
صورة مجهرية لورم الجسم السباتي
-
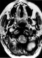
ورم المستقتمات الوظيفية خارج الرحم (الكبي الدبقي) في مريض مصاب بداء فون هيبل لينداو. يوضح التصوير بالرنين المغناطيسي T2 الموزون في نفس الموقع كتلة إشارة عالية تتوافق مع ورم المستقتمات. يمكن العثور على ورم المستقتمات الكظرية الزائدة في داء فون هيبل لينداو (السهم).
-
S100 الصبغة المناعية يسلط الضوء على الخلايا الداعمة في ورم المستقتمات
-
مخطط الشرايين الطرح الرقمي لورم الجسم السباتي وورم المستقتمات الوداجية
انظر ايضا
مراجع
- ^ Martins, Rute; Bugalho, Maria João (2014). "Paragangliomas/Pheochromocytomas: Clinically Oriented Genetic Testing". International Journal of Endocrinology. 2014: 794187. doi:10.1155/2014/794187. ISSN 1687-8337. PMC 4037125. PMID 24899893.
{{cite journal}}: CS1 maint: unflagged free DOI (link) - ^ Pheochromocytoma and Paraganglioma Treatment (PDQ®)—Patient Version - National Cancer Institute
- ^ Bayley JP, Kunst HP, Cascon A, Sampietro ML, Gaal J, Korpershoek E, Hinojar-Gutierrez A, Timmers HJ, Hoefsloot LH, Hermsen MA, Suárez C, Hussain AK, Vriends AH, Hes FJ, Jansen JC, Tops CM, Corssmit EP, de Knijff P, Lenders JW, Cremers CW, Devilee P, Dinjens WN, de Krijger RR, Robledo M (April 2010). "SDHAF2 mutations in familial and sporadic paraganglioma and phaeochromocytoma". The Lancet. Oncology. 11 (4): 366–72. doi:10.1016/S1470-2045(10)70007-3. PMID 20071235.
- ^ Qin Y, Yao L, King EE, Buddavarapu K, Lenci RE, Chocron ES, Lechleiter JD, Sass M, Aronin N, Schiavi F, Boaretto F, Opocher G, Toledo RA, Toledo SP, Stiles C, Aguiar RC, Dahia PL (March 2010). "Germline mutations in TMEM127 confer susceptibility to pheochromocytoma". Nature Genetics. 42 (3): 229–33. doi:10.1038/ng.533. PMC 2998199. PMID 20154675.
- ^ Comino-Méndez I, Gracia-Aznárez FJ, Schiavi F, Landa I, Leandro-García LJ, Letón R, Honrado E, Ramos-Medina R, Caronia D, Pita G, Gómez-Graña A, de Cubas AA, Inglada-Pérez L, Maliszewska A, Taschin E, Bobisse S, Pica G, Loli P, Hernández-Lavado R, Díaz JA, Gómez-Morales M, González-Neira A, Roncador G, Rodríguez-Antona C, Benítez J, Mannelli M, Opocher G, Robledo M, Cascón A (June 2011). "Exome sequencing identifies MAX mutations as a cause of hereditary pheochromocytoma". Nature Genetics. 43 (7): 663–7. doi:10.1038/ng.861. PMID 21685915. S2CID 205357831.
- ^ Buffet A, Morin A, Castro-Vega LJ, Habarou F, Lussey-Lepoutre C, Letouzé E, Lefebvre H, Guilhem I, Magalie H, Raingeard I, Padilla-Girola M, Tran T, Tchara L, Bertherat J, Amar L, Ottolenghi C, Burnichon N, Gimenez-Roqueplo AP, Favier J (February 2018). "Germline mutations in the mitochondrial 2-oxoglutarate/malate carrier SLC25A11 gene confer a predisposition to metastatic paragangliomas". Cancer Research. 78 (8): 1914–1922. doi:10.1158/0008-5472.CAN-17-2463. PMID 29431636.
- ^ Kairi-Vassilatou E, Argeitis J, Nika H, Grapsa D, Smyrniotis V, Kondi-Pafiti A (2007). "Malignant paraganglioma of the urinary bladder in a 44-year-old female: clinicopathological and immunohistochemical study of a rare entity and literature review". European Journal of Gynaecological Oncology. 28 (2): 149–51. PMID 17479683.
- ^ Sciacovelli, Marco; Schmidt, Christina; Maher, Eamonn R.; Frezza, Christian (2020). "Metabolic Drivers in Hereditary Cancer Syndromes". Annual Review of Cancer Biology. 4: 77–97. doi:10.1146/annurev-cancerbio-030419-033612.
- ^ Feky, Mostafa Mahmoud El. "Aberrant internal carotid artery | Radiology Case | Radiopaedia.org". radiopaedia.org (in الإنجليزية). Retrieved 2017-05-02.
- ^ da Silva RA, Gross JL, Haddad FJ, Toledo CA, Younes RN (February 2006). "Primary pulmonary paraganglioma: case report and literature review". Clinics. 61 (1): 83–6. doi:10.1590/S1807-59322006000100015. PMID 16532231.
- ^ Wick MR (March 2000). "Neuroendocrine neoplasia. Current concepts". American Journal of Clinical Pathology. 113 (3): 331–5. doi:10.1309/ETJ3-QBUK-13QD-J8FP. PMID 10705811.
- ^ Carlsen CS, Godballe C, Krogdahl AS, Edal AL (December 2003). "Malignant vagal paraganglioma: report of a case treated with embolization and surgery". Auris, Nasus, Larynx. 30 (4): 443–6. doi:10.1016/S0385-8146(03)00066-X. PMID 14656575.
- ^ Pitiakoudis M, Koukourakis M, Tsaroucha A, Manavis J, Polychronidis A, Simopoulos C (December 2004). "Malignant retroperitoneal paraganglioma treated with concurrent radiotherapy and chemotherapy". Clinical Oncology. 16 (8): 580–1. doi:10.1016/j.clon.2004.08.002. PMID 15630855.
وصلات خارجية
| Classification | |
|---|---|
| External resources |