سرطان الخلية الحرشفية
| سرطان الخلية الحرشفية | |
|---|---|
| في الجلد، يميل سرطان الخلايا الحرشفية إلى التكون من آفات ما قبل الخبيثة، التقرن الشعاعي؛ وعادة ما يكون السطح متقشراً وغالباً ما يكون متقرحاً (كما هو موضح هنا). | |
| التبويب والمصادر الخارجية | |
| التخصص | طب الأمراض الجلدية، جراحة تجميل |
| ICD-10 | C44. |
| ICD-9-CM | 199 |
| ICD-O | M8070/3 |
| MedlinePlus | 000829 |
| eMedicine | الجلد/401 |
| Patient UK | فشل عرض الخاصية P1461: لم يتم العثور على الخاصية P1461. سرطان الخلية الحرشفية |
| MeSH | D002294 |
سرطان الخلية الحرشفية (Squamous-cell carcinoma، اختصاراً SCC)، ويُعرف أيضاً باسم السرطانة الجلدية، يتضمن عدداً من أنواع مختلفة من السرطان التي تبدأ في الخلايا الحرشفية.[1] تتشكل هذه الخلايا على سطح الجلد، وعلى بطانة الأعضاء المجوفة في الجسم، وعلى بطانة القنوات التنفسية والهضمية.[1]
بحسب موقعها في الجسم قد تُظهر سرطانات الخلايا الحرشفية اختلافاً في الأعراض، والتاريخ المرضي، والمآل، والاستجابة للعلاج.
حسب الموقع في الجسم

ترتبط عدوى ڤيروس الورم الحليمي البشري بسرطانات الخلايا الحرشفية في السرطان البلعوم الفموي، والرئة،[2] الأصابع،[3] والمنطقة الشرجية التناسلية.
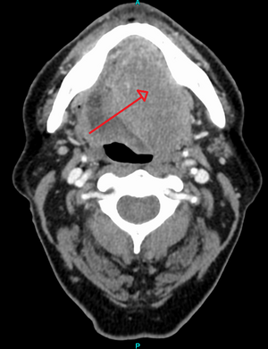
سرطان الرأس والعنق

حوالي 90%[4] من حالات سرطان الرأس والعنق (سرطان الفم، تجويف الأنف، البلعوم الأنفي، الحلق، والهياكل المرتبطة به) ترجع إلى سرطان الخلايا الحرشفية.
الجلد
سرطان الخلايا الحرشفية الجلدية هو ثاني أكثر أنواع سرطان الجلد شيوعاً، حيث يمثل أكثر من مليون حالة في الولايات المتحدة سنوياً.[5]
الغدة الدرقية
يُظهر سرطان الخلايا الحرشفية الأولي في الغدة الدرقية نمطاً بيولوجياً عدوانياً يؤدي إلى تشخيص سيئ للمرضى.[6]
المرئ
قد يكون سرطان المريء ناجماً عن سرطان الخلايا الحرشفية المريئي أو سرطان الخلايا الغدية. تميل سرطانات الخلايا الحرشفية المريئية إلى الظهور أقرب إلى الفم، بينما تظهر السرطانات الغدية أقرب إلى المعدة. من الأعراض الأولية الشائعة عسر البلع (صعوبة بلع المواد الصلبة عن من السوائل) وألم البلع. إذا كان المرض موضعياً، فقد يوفر استئصال المريء جراحياً إمكانية للشفاء. إذا انتشر المرض، يُستخدم العلاج الكيميائي والإشعاعي بشكل شائع.[7]
الرئة

عندما يرتبط سرطان الخلايا الحرشفية بالرئة، يكون عادة سرطاناً مركزياً كبير الخلايا (سرطان الرئة ذو الخلايا غير الصغيرة). غالباً ما يُصاحبه متلازمة الأباعد الورمية، التي تُسبب إنتاجاً غير طبيعي للپروتين المرتبط بالهرمون الجار درقي، مما يؤدي إلى فرط كالسيوم الدم. إلا أن متلازمة الأباعد الورمية ترتبط بشكل أكثر شيوعاً بسرطان الرئة ذو الخلايا الصغيرة. ويرجع ذلك أساساً إلى التدخين.[8]
القضيب
ڤيروس الورم الحليمي البشري، وخاصة ڤيروس الورم الحليمي البشري 16 و18، لهما دوراً كبيراً في تطور سرطان الخلايا الحرشفية في القضيب.
هناك ثلاثة أنواع من السرطانات "الموضعية" مرتبطة بسرطان الخلايا الحرشفية في القضيب:[citation needed]
- يظهر مرض بوين على شكل طلاوة بيضاء على جذع الخلية. يتطور حوالي ثلث الحالات إلى سرطان الخلايا الحرشفية.
- تنسج الكريات الحمراء، وهو أحد أشكال مرض بوين، يظهر على شكل تنسج الكريات الحمراء على الحشفة.
- مرض كثرة الحطاطات البوينويدي، الذي يشبه من الناحية النسيجية مرض بوين، يظهر على شكل حطاطات حمراء اللون.[9]
الپروستاتا
عندما يرتبط سرطان الخلايا الحرشفية بالپروستاتا، فإنه يكون عدوانياً جداً.[10] ومن الصعب اكتشاف سرطان الخلايا الحرشفية بالپروستاتا لأنه لا يُظهر أي زيادة في مستويات مستضد الپروستاتا النوعي، مما يعني أن السرطان غالباً ما يُشخص في مرحلة متقدمة.[11]
المهبل وعنق الرحم
ينتشر سرطان الخلايا الحرشفية المهبلي ببطء، وعادةً ما يبقى بالقرب من المهبل، لكنه قد ينتشر إلى الرئتين والكبد. وهو النوع الأكثر شيوعاً من سرطان المهبل.[12]
المبيض
سرطان الخلايا الحرشفية في المبيض أو سرطان المبيض الحرشفي هو ورم نادر يمثل 1% من حالات سرطان المبيض.[13]
المثانة
معظم سرطانات المثانة هي خلايا انتقالية، لكن سرطان المثانة المرتبط بمرض البلهارسيا أو حصوات المثانة الكبيرة غالباً ما يكون سرطان خلايا حرشفية.[citation needed]
العين
الورم الحرشفي السطحي للعين يشمل سرطان الخلايا الحرشفية في الملتحمة والورم الظهاري القرني.
التشخيص



قد يشير التاريخ الطبي والفحص السريري والتصوير الطبي إلى وجود سرطان الخلايا الحرشفية، لكن عادة ما يُحدد التشخيص عن طريق خزعة من أجل التشخيص النسيجي. تُعد صبغة TP63 العلامة النسيجية الرئيسية لسرطان الخلايا الحرشفية. بالإضافة إلى ذلك، تُعد TP63 عامل نسخ أساسي لتحديد هوية الخلايا الحرشفية.[18]
-
سرطان الخلايا الحرشفية شديد التمايز، الجزء العلوي الأيسر من الظهر حول النخاع مُعَلَّم لإجراء خزعة مع التقرن الشعاعي المجاور.
-
سرطان الخلايا الحرشفية، الزاوية الجانبية اليسرى محددة للخزعة.
-
سرطان الخلايا الحرشفية، الساعد البطني الأيسر.
التصنيف
يمكن اعتبار السرطان عائلة كبيرة للغاية من الأمراض الخبيثة، ومتمايزة بشكل استثنائي، حيث تشكل سرطانات الخلايا الحرشفية واحدة من أكبر المجموعات الفرعية.[19][20][21] يُعتقد أن جميع آفات سرطان الخلايا الحرشفية تبدأ من خلال الانقسام المتكرر وغير المنضبط لخلايا جذعية سرطانية من السلالة أو الخصائص الظهارية.[citation needed] تنشأ سرطانات الخلايا الحرشفية من الخلايا الحرشفية، وهي خلايا مسطحة تبطن مناطق عديدة من الجسم، بعضها من الخلايا الكيراتينية. يُسبب تراكم هذه الخلايا السرطانية بؤرة مجهرية من الخلايا الشاذة التي تكون، في البداية على الأقل، محصورة موضعياً داخل النسيج المحدد الذي كانت تتواجد فيه الخلية السلفية. تُسمى هذه الحالة سرطان الخلايا الحرشفية الموضعي، وتُشخص عندما لا يكون الورم قد اخترق الغشاء القاعدي أو أي بنية فاصلة أخرى للتوغل في الأنسجة المجاورة. بمجرد نمو الآفة وتطورها إلى الحد الذي تخترق فيه وتتسلل إلى الأنسجة المجاورة، يُشار إليها باسم "سرطان الخلايا الحرشفية المتوغل". بمجرد أن يصبح السرطان متوغلاً، يمكن أن ينتشر إلى أعضاء أخرى ويسبب تكوين ورم ثانوي.[citation needed]
نسيجي المنشأ
يسرد نظام التصنيف الدولي للأمراض المتعلقة بالأورام (ICD-O) عدداً من الأنواع الفرعية المورفولوجية والتنويعات من الأورام ذات الخلايا الحرشفية، بما في ذلك:[22]
- سرطان الغدة الدرقية الحليمي (الرمز 8050/3)
- سرطان الخلايا الحرشفية الثؤلولي (الرمز 8051/3)
- سرطان الخلايا الحرشفية الحليمي (الرمز 8052/3)
- سرطان الخلايا الحرشفية (الرمز 8070/3)
- سرطان الخلايا الحرشفية المتقرن كبير الخلايا (الرمز 8071/3)
- سرطان الخلايا الحرشفية غير المتقرن كبير الخلايا (الرمز 8072/3)
- سرطان الخلايا الحرشفية المتقرن صغير الخلايا (الرمز 8073/3)
- سرطان الخلايا الحرشفية المغزلي (الرمز 8074/3) ويعرف أيضاً بسرطان الخلايا المغزلية،[23] وهو نوع فرعي يتميز بخلايا غير نمطية مغزلية الشكل.[24]
- سرطان الخلايا الحرشفية الغدي/الغدي الكاذب (الرمز 8075/3)
- سرطان الخلايا الحرشفية داخل البشرة (الرمز 8081/3)
- سرطان الخلايا اللمفاوية الطلائية (الرمز 8082/3).
يتم التعرف على التنويعات الأخرى من سرطان الخلايا الحرشفية في ظل أنظمة أخرى، مثل الأورام الشائكية المتقرنة.
أنواع فرعية أخرى
- تنسج الكريات الحمراء في القضيب أو مرض الكريات
- قرحة مارجولين هي نوع من سرطان الخلايا الحرشفية ينشأ من قرحة غير قابلة للشفاء أو جرح ناتج عن حرق. ومع ذلك، تشير الأدلة الحديثة إلى وجود اختلافات وراثية بين سرطان الخلايا الحرشفية وقرحة مارجولين، والتي لم تُقدَّر حق قدرها سابقاً.[25]
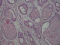
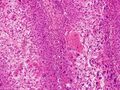
ويمكن تصنيف سرطانات الخلايا الحرشفية من خلال مظهرها تحت المجهر. قد تشمل الأنواع الفرعية ما يلي:
- سرطان الخلايا الحرشفية الغدي (المعروف أيضاً باسم سرطان الخلايا الحرشفية الغدي الكاذب) يتميز بنمط مجهري أنبوبي والانحلال الشوكي للخلايا الكيراتينية.[24]
- سرطان الخلايا الحرشفية القاعدية يوجد غالباً في اللسان أو بالقرب منه أو اللوزتين أو الحنجرة، ولكن قد يحدث أيضاً في الرئة أو في مكان آخر.[26]
- سرطان الخلايا الحرشفية ذو الخلايا الصافية (المعروف أيضاً بسرطان الخلايا الصافية في الجلد) يتميز بالخلايا الكيراتينية التي تبدو صافية نتيجة التورم الموهي (الاستسقاء الخلوي الداخلي في الخلايا الكيراتينية).[24]
- سرطان الخلايا الحرشفية ذو الخلايا الحلقية الختمية (يُشار إليه أحياناً بسرطان الخلايا الحرشفية ذو الخلايا الحلقية الختمية) هو نوع نسيجي يتميز بحلقات متحدة المركز مكونة من الكيراتين والفجوات العصارية الكبيرة المقابلة للشبكة الهيولية الباطنة المتوسعة بشكل ملحوظ.[24] تنمو هذه الفجوات العصارية إلى حد أنها تحل محل النواة جذرياً باتجاه غشاء الخلية، مما يعطي الخلية تشابهاً سطحياً مميزاً مع "شكل الختم" عند النظر إليه تحت المجهر.
-
سرطان الخلايا الحرشفية الغداني.
-
سرطان الخلايا الحرشفية القاعدي.
-
سرطان الخلايا الحرشفية ذو الخلايا الصافية.
-
سرطان الخلايا الحرشفية المغزلي.
الوقاية
أظهرت الدراسات وجود علاقة بين النظام الغذائي وسرطانات الجلد، بما في ذلك سرطان الخلايا الحرشفية. يزيد تناول منتجات الألبان عالية الدسم من خطر الإصابة بسرطان الخلايا الحرشفية لدى الأشخاص الذين سبق لهم الإصابة بسرطان الجلد. قد تساعد الخضراوات الورقية في منع تطور سرطان الخلايا الحرشفية لاحقاً، وقد وجدت دراسات متعددة أن الخضراوات والفواكه النيئة توفر حماية كبيرة من خطر الإصابة بسرطان الخلايا الحرشفية.[27][28] من ناحية أخرى، قد يؤدي تناول الحليب كامل الدسم والزبادي والجبن إلى زيادة خطر الإصابة بسرطان الخلايا الحرشفية لدى الأشخاص المعرضين لذلك.[29] بالإضافة إلى ذلك، يمكن أن يؤدي نمط النظام الغذائي القائم على اللحوم والدهون إلى زيادة خطر الإصابة بسرطان الخلايا الحرشفية لدى الأشخاص الذين ليس لديهم تاريخ من الإصابة بسرطان الخلايا الحرشفية، لكن الارتباط يكون أكثر وضوحاً مرة أخرى لدى الأشخاص الذين لديهم تاريخ من الإصابة بسرطان الجلد.[30] كما أن تدخين التبغ والنمط الغذائي الذي يتميز بتناول كميات كبيرة من الجعة والمشروبات الكحولية يزيدان من خطر الإصابة بسرطان الخلايا الحرشفية بشكل كبير.[31][27]
أنظر أيضاً
المصادر
- ^ أ ب "NCI Dictionary of Cancer Terms". National Cancer Institute. 2011-02-02. Retrieved 9 November 2016.
- ^ Yu Y, Yang A, Hu S, Yan H (June 2009). "Correlation of HPV-16/18 infection of human papillomavirus with lung squamous cell carcinomas in Western China". Oncology Reports. 21 (6): 1627–32. doi:10.3892/or_00000397. PMID 19424646.
- ^ "Recurrent Squamous Cell Carcinoma In Situ of the Finger". Retrieved 2010-09-22.
- ^ "Types of head and neck cancer - Understanding - Macmillan Cancer Support". Retrieved 15 March 2017.
- ^ Howell, Jesse Y.; Ramsey, Michael L. (2022), Squamous Cell Skin Cancer, Treasure Island (FL): StatPearls Publishing, PMID 28722968, https://www.ncbi.nlm.nih.gov/books/NBK441939/, retrieved on 2022-03-09
- ^ Syed MI, Stewart M, Syed S, Dahill S, Adams C, McLellan DR, Clark LJ (January 2011). "Squamous cell carcinoma of the thyroid gland: primary or secondary disease?". The Journal of Laryngology and Otology. 125 (1): 3–9. doi:10.1017/S0022215110002070. PMID 20950510. S2CID 28225556.
- ^ "Esophageal Cancer". The Lecturio Medical Concept Library. 26 October 2020. Retrieved 6 August 2021.
- ^ Pooler C, Hannon RA, Porth C, Matfin G (2010). Porth pathophysiology: concepts of altered health states (1st Canadian ed.). Philadelphia, PA: Wolters Kluwer Health/Lippincott Williams & Wilkins. p. 660. ISBN 978-1-60547-781-7.
- ^ Robbins S, Kumar V, Abbas A, Fausto N (2007). Robbins Basic Pathology (8th ed.). Philadelphia: Saunders/Elsevier. p. 688. ISBN 978-1-4160-2973-1.
- ^ Hanna K, Lele SM, McCormick G, McMahon A, Hill B, Boyle SL (January 2021). "Primary prostatic squamous cell carcinoma". Urology Case Reports. 34: 101478. doi:10.1016/j.eucr.2020.101478. PMC 7670195. PMID 33235827.
- ^ Lee J (April 2019). "Transformation of adenocarcinoma of prostate to squamous cell carcinoma following hormonal treatment: A case report and review of the literature". Radiology Case Reports. 14 (4): 483–489. doi:10.1016/j.radcr.2019.01.015. PMC 6374616. PMID 30805072.
- ^ "Squamous-cell Carcinoma of the Vagina". www.dynamed.com. Retrieved 2018-02-20.
- ^ [بحاجة لمصدر غير رئيسي] Srivastava, Himsweta; Shree, Sneha; Guleria, Kiran; Singh, Usha R (May 2017). "Pure Primary Squamous Cell Carcinoma of Ovary – A Rare Case Report". Journal of Clinical and Diagnostic Research (Case report). 11 (5): QD01–QD02. doi:10.7860/JCDR/2017/16899.9771. ISSN 2249-782X. PMC 5483757. PMID 28658855.
- ^ Dr Nicholas Turnbull, A/Prof Patrick Emanual (2014-05-03). "Squamous cell carcinoma pathology". DermNetz.
- ^ - Image annotated by Mikael Häggström
- Reference for entries: Gulisa Turashvili, M.D., Ph.D. "Cervix - Squamous cell carcinoma and variants". Pathology Outlines.{{cite web}}: CS1 maint: multiple names: authors list (link) Last author update: 24 September 2020. Last staff update: 4 April 2022.
- Source image from National Cancer Institute (Public Domain) - ^ - Image annotated by Mikael Häggström
- Reference for entries: Gulisa Turashvili, M.D., Ph.D. "Cervix - Squamous cell carcinoma and variants". Pathology Outlines.{{cite web}}: CS1 maint: multiple names: authors list (link) Last author update: 24 September 2020. Last staff update: 4 April 2022.
- Source image by Ravi Mehrotra, Anurag Gupta, Mamta Singh and Rahela Ibrahim (Creative Commons Attribution 2.0 Generic license.) - ^ Authors: Caroline I.M. Underwood, M.D., Alexis Musick, B.S., Carolyn Glass, M.D., Ph.D. "Adenocarcinoma overview". Pathology Outlines.
{{cite web}}: CS1 maint: multiple names: authors list (link) Last staff update: 19 July 2022 - ^ Prieto-Garcia C, Hartmann O, Reissland M, Braun F, Fischer T, Walz S, et al. (April 2020). "Maintaining protein stability of ∆Np63 via USP28 is required by squamous cancer cells". EMBO Molecular Medicine. 12 (4): e11101. doi:10.15252/emmm.201911101. PMC 7136964. PMID 32128997.
- ^ Berman JJ (November 2004). "Tumor taxonomy for the developmental lineage classification of neoplasms". BMC Cancer. 4 (1): 88. doi:10.1186/1471-2407-4-88. PMC 535937. PMID 15571625.
- ^ Berman JJ (March 2004). "Tumor classification: molecular analysis meets Aristotle". BMC Cancer. 4 (1): 10. doi:10.1186/1471-2407-4-10. PMC 415552. PMID 15113444.
- ^ Travis WD, Brambilla E, Muller-Hermelink HK, Harris CC, eds. (2004). Pathology and Genetics of Tumours of the Lung, Pleura, Thymus and Heart (PDF). World Health Organization Classification of Tumours. Lyon: IARC Press. ISBN 978-92-832-2418-1. Archived from the original (PDF) on 23 August 2009. Retrieved 27 March 2010.
- ^ Van Holten, Valerie; World Health Organization (1990). Muir, C.S.; Percy, C.L.; Van Holten, V. (eds.). International Classification of Diseases for Oncology: ICD-0 (2nd ed.). Geneva, Switzerland: World Health Organization. ISBN 9789241544146.
- ^ Rapini RP, Bolognia JL, Jorizzo JL (2007). Dermatology: 2-Volume Set. St. Louis: Mosby. ISBN 978-1-4160-2999-1.
- ^ أ ب ت ث Fitzpatrick TB, Freedberg IM, eds. (2003). Fitzpatrick's dermatology in general medicine (6th ed.). New York, NY: McGraw-Hill. p. 743. ISBN 978-0-07-138076-8.
- ^ Sinha S, Su S, Workentine M, Agabalyan N, Cheng M, Gabriel V, Biernaskie J (January 2017). "Transcriptional Analysis Reveals Evidence of Chronically Impeded ECM Turnover and Epithelium-to-Mesenchyme Transition in Scar Tissue Giving Rise to Marjolin's Ulcer". Journal of Burn Care & Research. 38 (1): e14–e22. doi:10.1097/BCR.0000000000000432. PMID 27679957. S2CID 3702018.
- ^ Radhi, Jasim (2012). "Basaloid Squamous Cell Carcinoma". In Li, Xiaoming (ed.). Squamous Cell Carcinoma. Rijeka, Croatia: InTech. p. 68. ISBN 978-953-51-0024-9.
- ^ أ ب De Stefani E, Deneo-Pellegrini H, Ronco AL, Boffetta P, Brennan P, Muñoz N, Castellsagué X, Correa P, Mendilaharsu M (October 2003). "Food groups and risk of squamous cell carcinoma of the oesophagus: a case-control study in Uruguay". British Journal of Cancer. 89 (7): 1209–14. doi:10.1038/sj.bjc.6601239. PMC 2394307. PMID 14520448.
- ^ Chen YK, Lee CH, Wu IC, Liu JS, Wu DC, Lee JM, Goan YG, Chou SH, Huang CT, Lee CY, Hung HC, Yang JF, Wu MT (July 2009). "Food intake and the occurrence of squamous cell carcinoma in different sections of the esophagus in Taiwanese men". Nutrition. 25 (7–8): 753–61. doi:10.1016/j.nut.2009.02.002. PMID 19394796.
- ^ Hughes MC, van der Pols JC, Marks GC, Green AC (October 2006). "Food intake and risk of squamous cell carcinoma of the skin in a community: the Nambour skin cancer cohort study". International Journal of Cancer. 119 (8): 1953–60. doi:10.1002/ijc.22061. PMID 16721782.
- ^ Ibiebele TI, van der Pols JC, Hughes MC, Marks GC, Williams GM, Green AC (May 2007). "Dietary pattern in association with squamous cell carcinoma of the skin: a prospective study". The American Journal of Clinical Nutrition. 85 (5): 1401–8. doi:10.1093/ajcn/85.5.1401. PMID 17490979.
- ^ Bahmanyar S, Ye W (2006). "Dietary patterns and risk of squamous-cell carcinoma and adenocarcinoma of the esophagus and adenocarcinoma of the gastric cardia: a population-based case-control study in Sweden". Nutrition and Cancer. 54 (2): 171–8. doi:10.1207/s15327914nc5402_3. PMID 16898861. S2CID 1959103.
- الصفحات بخصائص غير محلولة
- جميع الصفحات التي تحتاج تمحيص حقائق
- مقالات بالمعرفة تحتاج تمحيص الحقائق from December 2023
- Articles with contributors link
- Articles with hatnote templates targeting a nonexistent page
- Articles with unsourced statements from May 2021
- Articles with unsourced statements from September 2017
- أسباب معدية للسرطان
- أمراض جلدية
- أنواع السرطان
- سرطان الرئة
- سرطانات أمراض النساء
- سرطان الجهاز الهضمي
- سرطانة
- طب التشريح المرضي
- وحمات وأورام وتكيسات البشرة