متلازمة القلب المنكسر
| متلازمة القلب المنكسر Takotsubo cardiomyopathy | |
|---|---|
| الأسماء الأخرى | متلازمة الانتفاخ القمي العابرة،[1] اعتلال عضلة القلب المنتفخ القمي،[2] اعتلال عضلة القلب الناجم عن الإجهاد، متلازمة گبرتشونز-هرز، متلازمة القلب المنكسر |
| تخطيط قلب يوضح حالة القلب المنكسر (A) مقارنة بالقلب الطبيع (B) | |
| التخصص | طب القلب |
متلازمة القلب المنكسر، تُعرف أيضاً باعتلال القلب المجهد stress cardiomyopathy، هي حالة اعتلال عضلة القلب لا إقفارية تنتج عن ضعف مفاجئ في الجزء العضلي من القلب.[3] قد يحدث هذا الضعف نتيجة ضغط عاطفي، مثل وفاة أحد المقربين، انكسار القلب، رفض الشريك أو القلق الدائم. يؤدي هذا إلى تسمية الحالة باسمها الشائع متلازمة القلب المنكسر broken heart syndrome.[4] اعتلال القلب المجهد هي إحدى الأسباب المعروفة حالياً لقصور القلب، اضطراب نظم القلب البطيني القاتل، والتمزق البطيني.[5]
إن متلازمة القلب المنكسر هي حالة قلبية مؤقتة تحدث غالبًا نتيجة التعرض لموقف محزن، كوفاة أحد الأحباء. كذلك يمكن تحفيز هذه الحالة من خلال مرض بدني خطير أو عملية جراحية. من الممكن أن يشعر الأشخاص المصابون بمتلازمة القلب المنكسر بألم في الصدر أو يظنون أنهم يتعرضون لأزمة قلبية.[6]
في متلازمة القلب المنكسر، هناك اضطراب مؤقت في وظيفة الضخ الطبيعية لقلبك في منطقة واحدة من القلب. ويؤدي الجزء المتبقي من القلب وظائفه بشكل طبيعي أو مع انقباضات أكثر قوة. وقد تحدث متلازمة القلب المنكسر بسبب تفاعل القلب مع ارتفاع هرمونات الإجهاد.
قد يسمي أيضًا بعض الأطباء هذه الحالة باسم باعتلال تاكوتسيبو للقلب، أو متلازمة التضخم القِمِّيّ أو اعتلال عضلة القلب من الإجهاد. تكون أعراض متلازمة القلب المنكسر قابلة للعلاج، وعادة ما تعكس الحالة نفسها في غضون أيام أو أسابيع.
سجلت أكثر من 90 في المائة من حالات الإصابة بهذا الاعتلال بين النساء من أعمار تراوحت بين 58 و75 سنة. وتفترض الأبحاث أن 6 في المائة على الأقل من النساء اللاتي تم اعتبار حالاتهن بنوبة قلبية كن في الواقع مصابات بهذا الاعتلال، الذي ظل غير مشخص في الولايات المتحدة والذي لم يتم الاعتراف به حتى زمن يسير.
ومن حسن الحظ فإن أغلبية المصابات يشفين بسرعة من دون حدوث إضرار بعيدة المدى على القلب، يتم تشخيص متلازمة القلب المكسور خطئأ على أنها نوبه قلبيه بسبب تشابه الأعراض ونتائج الفحوصات ولكنها وعلى العكس من النوبة القلبيه تبدو الشرايين التاجيه سليمه تماماً لا ضيق فيها ولا معالم جلطة ولكن رغم ذلك فإن الملاحظة الدقيقة الموثقة بالأبحاث الطبية المعملية المختلفة تؤكد أن هناك مؤشرات حقيقية للمعاناة والألم وأن هناك فترة تعانى فيها عضلة القلب من نقص في الدم الوارد اليها، الأمر الذى يحدث تلفاً في خلاياها ويقودها إلى فشل مؤقت في اداء مهامها، وعلى الرغم من أن الأمر يبدو محيراً للغاية في وجود شرايين سليمة لا أثر فيها لضيق واختناق لكن في كل الأحوال، الثابت أن كل تلك التداعيات تحدث إثر التعرض لوقت عصيب او المعاناة من ألم نفسى أو توتر بالغ، تعددت النظريات والتكنهات عن أسباب النقص في الدم الوارد إلى القلب، ومنها أن ذلك ينجم عن بروتينات تفرز في الدم تسبب تقلصا في الشرايين، يحدث ذلك الأثر من نقص الدم الوارد لعضلة القلب سرعان ما يزول كما جاء فجأه.
الأعراض والعلامات
يمكن أن تماثل أعراض متلازمة القلب المنكسر أعراض الأزمة القلبية. وتشمل الأعراض الشائعة:
- ألم الصدر
- ضيق النفس
- يمكن أن يكون طول بقاء أو استمرار ألم القلب علامة على حدوث أزمة قلبية، ومن الأهمية التعامل مع الموقف بجدية والاتصال بالطوارئ في حالة الإصابة بألم الصدر.
الأسباب
حتى اليوم لا يُعرف السبب الحقيقي لمتلازمة القلب المنكسر. يُعتقد أن حدوث تدفق مفاجئ لهرمونات الضغط النفسي ـ مثل الأدرينالين ـ بإمكانها أن تؤدي إلى إيذاء القلب لدى بعض الأشخاص مؤقتًا.
لكن غير معروف بالمرة كيفية تسبب هذه الهرمونات في إيذاء القلب أو هل هناك شيء آخر يتسبب في ذلك. يشتبه أن الضيق المؤقت بشرايين القلب الكبيرة أو الصغيرة له دور.
غالبًا ما يسبق متلازمة القلب المنكسر حدث عاطفي أو جسدي شديد. فيما يلي بعض المحفزات المحتملة لمتلازمة القلب المنكسر:
- أخبار عن وفاة غير متوقعة لأحد الأحباء
- تشخيص طبي مخيف
- العنف المنزلي
- خسارة، أو حتى كسب، الكثير من المال
- المشادات الحادة
- حفلة مفاجئة
- الاضطرار إلى إلقاء كلمة أمام جمهور
- فقدان الوظيفة
- الطلاق
- الضغوط الجسدية مثل نوبة الربو أو حادث سيارة أو جراحة كبرى
من المحتمل أيضًا، أن تتسبب بعض العقاقير في حالات نادرة في حدوث متلازمة القلب المنكسر لتسببها في حدوث تدفق مفاجئ لهرمونات الضغط النفسي. من العقاقير التي يمكن أن تساهم في حدوث متلازمة القلب المنكسر ما يلي:
- الإپينفرين، الذي يُستخدم لعلاج حالات الحساسية الحادة أو نوبات الربو الحادة
- الدولوكستين (سيمبالتا) علاج يُعطى لمعالجة مشاكل الأعصاب لدى الأشخاص المصابين بداء السكري، أو كعلاج للاكتئاب
- الفينلافاكسين (إيفكسور إكس آر)، وهو علاج للاكتئاب
- ليفوثيروكسين (سنثرويد، ليفوكسيل)، وهو دواء يُعطى للمريض الذين لا تعمل غدته الدرقية بشكل سليم.
التشخيص
إذا اشتبه الطبيب في إصابة حالة بمتلازمة القلب المنكسر، فسيستخدم الاختبارات والفحوصات التالية للقيام بالتشخيص:
- التاريخ المرضي الشخصي والفحص البدني: بالإضافة إلى الفحص الجسدي التقليدي، سيحتاج طبيبك معرفة تاريخك المرضي، خاصة إن كنت عانيت من أعراض مرض في القلب من قبل. في الغالب لا يعاني الأشخاص المصابون بمتلازمة القلب المنكسر بأي أعراض لمرض في القلب قبل تشخيصهم بمتلازمة القلب المنكسر. كما سيحتاج طبيبك أيضًا إلى معرفة إذا كنت عانيت من ضغوط نفسية كبيرة مؤخرًا، مثل وفاة أحد الأحباء.
-
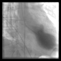
Left ventriculography during systole showing apical ballooning akinesis with basal hyperkinesis in a characteristic takotsubo ventricle
-
Left ventriculogram during systole displaying the characteristic apical ballooning with apical motionlessness in a patient with takotsubo cardiomyopathy
-
(A) Echocardiogram showing dilatation of the left ventricle in the acute phase (B) Resolution of left ventricular function on repeat echocardiogram six days later
-
ECG showing sinus tachycardia and non-specific ST and T wave changes from a person with confirmed takotsubo cardiomyopathy
-
Echocardiogram showing the effects of the disease[7]
- مخطط كهربائية القلب (ECG): في هذا الاختبار غير الباضع، يضع الفني أسلاكًا على صدرك تُسجل النبضات الكهربائية التي تجعل قلبك ينبض. يسجل مخطط كهربائية القلب الإشارات الكهربائية، والتي يمكن أن تساعد الطبيب في معرفة عدم الانتظام في ضربات القلب وبنيته.
- صوير الصدر بالأشعة السينية: يحتمل أن يطلب طبيبك تصويرًا للصدر بالأشعة السينية لرؤية ما إذا كان قلبك متضخمًا أو هل يتخذ الشكل الذي يمثل متلازمة القلب المنكسر نموذجيًا، أو لرؤية ما إذا كان هناك أي مشكلات في رئتيك قد تسبب الأعراض التي لديك.
- مخطط صدى القلب: كما يمكن أن يطلب طبيبك أيضًا مخطط صدى القلب لرؤية ما إذا كان قلبك تضخم أو ذا شكل غير طبيعي، يمثل علامة متلازمة القلب المنكسر. يُظهر هذا الاختبار غير الباضع، الذي يتضمن إجراء تصوير بالموجات فوق الصوتية على الصدر، صورًا تفصيلية لهيكل القلب ووظيفته. وتنتقل الموجات فوق الصوتية، ويتم تسجيل صداها بجهاز يسمى الترجام يُحمل خارج الجسم. يستخدم جهاز الكمبيوتر المعلومات الواردة من الترجام لإعداد صور متحركة على شاشة فيديو.
- اختبارات الدم: إن معظم الأشخاص المصابين بمتلازمة القلب المنكسر يكون لديهم كمية مرتفعة من إنزيمات معينة في دمهم. قد يطلب طبيبك إجراء اختبارات دم لفحص هذه الإنزيمات مما يساعد في تشخيص متلازمة القلب المنكسر.
- تصوير الوعاء التاجي: خلال تصوير الأوعية التاجية، يتم حقن نوع من الصبغة – التي يكتشفها جهاز تصوير الأشعة السينية – في الأوعية الدموية بالقلب. ثم بعد ذلك يأخذ جهاز الأشعة السينية سلسلة من الصور (تصوير الأوعية) مما يعطي طبيبك رؤية مفصلة داخل أوعيتك الدموية. عادة لا يوجد لدى الأشخاص المصابين بمتلازمة القلب المنكسر انسداد في الأوعية الدموية، بينما يعاني الأشخاص المصابون بأزمة قلبية دائمًا بانسداد يظهر مرئيًا في تصوير الأوعية.
الاختلاف عن النوبة القلبية
عادة ما تكون النوبات القلبية بسبب انسداد كلي أو شبه كلي لشريان بالقلب. ويرجع هذا الانسداد إلى تجلط دموي يتشكل في موقع تضييق ناتج من تراكم الدهون (تصلب الشرايين) في جدار الشريان. في متلازمة القلب المنكسر، لا تُسد شرايين القلب، على الرغم من احتمالية خفض تدفق الدم في شرايين القلب.
العلاج
ليست هناك إرشادات تقليدية في علاج متلازمة القلب المنكسر. لكن العلاج المتبع يشبه علاج الأزمة القلبية إلى أن تتضح نتيجة التشخيص. يبقى أغلبية الأشخاص في المستشفى أثناء تعافيهم.[8]
بمجرد وضوح التشخيص وأن متلازمة القلب المنكسر هي سبب الأعراض التي تعاني منها، قد يصف لك طبيبك أدوية للقلب لتتناولها أثناء وجودك في المستشفى، مثل مثبطات الإنزيم المحول للأنجيوتنسين (ACE)، أو حاصرات بيتا أو مدرات البول. حيث إن تلك الأدوية تساعد القلب من خلال تقليل العبء عليه أثناء فترة التعافي كما من المحتمل أن تساعد في الوقاية من أزماتٍ أخرى. يتعافى العديد من المرضى بالكامل في غضون شهر إلى شهرين. أسأل طبيبك إلى متى ستحتاج إلى الاستمرار في تناول تلك الأدوية بمجرد أن تتعافى، حيث إن العديد منها يمكن إيقافه بعد مدة قصيرة.
لا تساعد الإجراءات التي تُستخدم عادةً لعلاج أزمة قلبية، مثل: وضع البالونات والدعامات، أو حتى الجراحة، في علاج متلازمة القلب المنكسر. فتلك الإجراءات تعالج الشرايين المسدودة، والتي لا تعد سبب متلازمة القلب المنكسر. ومع ذلك، يُستخدم تصوير الأوعية التاجية عادةً لتشخيص السبب وراء ألم الصدر بالضبط.
المضاعفات
في حالات نادرة، قد تؤدي متلازمة القلب المنكسر إلى الوفاة. ومع ذلك، فإن معظم مَن عانى من متلازمة القلب المنكسر سرعان ما يتعافون، ولا تظهر عليهم آثار طويلة الأمد.
من بين المضاعفات الأخرى لمتلازمة القلب المنكسر ما يلي:
- ارتداد السوائل إلى رئتيك (الوذمة الرئوية).
- انخفاض ضغط الدم.
- اضطرابات في ضربات القلب.
- من المحتمل أيضًا أن تصاب بمتلازمة القلب المنكسر مرة أخرى إذا واجهت حدثًا آخر يصيبك بالتوتر والضغط النفسي. ومع ذلك، فإن احتمالات حدوث هذا ضعيفة.
الوقاية
هناك احتمال بسيط لتكرار حدوث متلازمة القلب المنكسر مرة أخرى بعد أول نوبة. ليس هناك علاج أكيد للوقاية من حدوث مزيد من النوبات الإضافية; ومع ذلك، يوصي العديد من الأطباء بالعلاج طويل الأمد بحاصرات بيتا أو أدوية مشابهة تمنع الآثار الخطرة المحتملة التي تسببها هرمونات الضغط النفسي على القلب. من الهام لك أيضًا أن تتعرف على الضغوط النفسية التي تقابلك في حياتك وتعمل على إدارتها.
الانتشار
سجلت أكثر من 90 في المائة من حالات الإصابة بهذا الاعتلال بين النساء من أعمار تراوحت بين 58 و75 سنة. وتفترض الأبحاث أن 6 في المائة على الأقل من النساء اللاتي تم اعتبار حالاتهن بنوبة قلبية كن في الواقع مصابات بهذا الاعتلال، الذي ظل غير مشخص في الولايات المتحدة والذي لم يتم الاعتراف به حتى زمن يسير.
- هذه المتلازمة نادرة الحدوث، ونسبتها تتراوح بين 1.2-2.2٪ في اليابان، و 2-3٪ في الدول الغربية بين الذين لايوجد لديهم عوامل اختطار قلبية.
أما بين الذين لديهم تضخم في عضلة القلب أو الذين يعانون من متلازمة الشريان التاجي فترتفع إلى 1.7٪، ويبلغ متوسط أعمار المرضى الذين يتعرضون لها عادة لأول مرة ما بين 58-75 عاما.
- نسبتها بين من هم دون الخمسين عاما لا تزيد عن 3٪ من مجمل الحالات، كما أنها تؤثر على نسبة من النساء أكثر بكثير من الرجال (نسبة 90٪ من الحالات تكون من النساء)، خاصة في فترة ما بعد انقطاع الطمث(سن اليأس)؛ مما يجعل الاعتقاد بأن هرمون الاستروجين يسبب الإفراج عن الكاتيكول-امين والاستيرويد ردا على الإجهاد العقلي والجسدي.
عوامل الخطر
هناك العديد من عوامل الخطر المعروفة للإصابة بمتلازمة القلب المنكسر وتتضمن ما يلي:
- الجنس: تصيب هذه الحالة المرضية النساء بشكل كبير عن الرجال.
- العمر: ويبدو أن معظم الأشخاص المصابين بمتلازمة القلب المنكسر تزيد أعمارهم عن 50 عامًا.
- تاريخ مرضي من الإصابة بحالة عصبية: يصبح الأشخاص المصابون بالاضطرابات العصبية، مثل إصابة الرأس أو اضطراب النوبات (الصرع)، أكثر عرضة لخطر الإصابة بمتلازمة القلب المنكسر.
- الاضطرابات النفسية الحالية أو السابقة: إذا كنت تعاني من اضطرابات، مثل القلق أو الاكتئاب، فمن المحتمل أن تصبح أكثر عرضة لخطر الإصابة بمتلازمة القلب المنكسر.
كوڤيد-19
في 9 فبراير 2022، حددت الأبحاث الرائدة التي أجرتها العديد من المراكز الطبية الأمريكية الكبرى عن حالة جديدة تصيب النساء تدعى متلازمة القلب المكسور تنجم عن تزايد انتشار ڤيروس كورونا. فقد كشفت الأبحاث أن هذه المتلازمة عبارة عن حالة قلبية ناجمة عن الإجهاد، والتي يقول الأطباء إنها تؤثر بشكل خاص على النساء، بحسب شبكة "إيه بي سي نيوز".[9]
وقالت ماري كاي أبرامسون، 63 عاماً، من بروكفيل بولاية ماريلاند، والتي شخصت حالتها عام 2021 إنها "شعرت وكأن قلبها ينبض من صدرها، وأضافت "شعرت أن الدم لا يمكن أن يمر عبر القلب بالسرعة الكافية". كما أشارت إلى أن أطباءها سألوها عما إذا كانت تعاني من ضغط شديد، وأشاروا إلى أن شرايينها بدت على ما يرام. وأوضحت أنها كانت تشعر بتوتر شديد، ويرجع ذلك في الغالب إلى المضاعفات الناجمة عن وباء ڤيروس كورونا.
إلى ذلك، بيّن الأطباء أنها حالة كلاسيكية من اعتلال عضلة القلب في متلازمة القلب المكسور، وهي الشكل النادر والخطير من أمراض القلب الناجم عن الإجهاد العاطفي أو البدني الشديد حيث إن التدفق المفاجئ للهرمونات يفاجئ القلب ويكون الضخ بشكل أقل كفاءة. بدوره، قال الدكتور نويل بيري ميرز، مدير مركز باربرا سترايسند للقلب في سيدار "لا أعرف إلى أي مدى يمكننا إلقاء اللوم على كورونا". وأضاف "لكن أمراض القلب هي السبب الرئيسي لوفاة النساء ومن جميع الأعمار، بما في ذلك المراهقات والنساء في منتصف العمر والنساء الأكبر سناً".
كذلك، أوضح أن حالات متلازمة القلب المنكسر ارتفعت بمعدل 10 مرات بين النساء في منتصف العمر وكبار السن من النساء والرجال الأصغر سناً خلال العقد الماضي، مشيراً إلى أن المرض هو الأكثر شيوعاً في هذه المجموعة أيضاً.
المضاعفات
في حالات نادرة، تصبح متلازمة توقف القلب قاتلة. إلا أن معظم من يتعرضون لمتلازمة توقف القلب يتعافون بسرعة ولا تكون لديهم آثار طويلة المدى.
تشمل المضاعفات الأخرى لمتلازمة توقف القلب:
- رجوع سائل إلى رئتيك (الوذمة الرئوية)
- انخفاض ضغط الدم
- توقف نبض قلبك
- فشل القلب
كما أنه من المحتمل أنك قد تتعرض للإصابة بمتلازمة توقف القلب مرة أخرى إذا تعرضت لحادث آخر يسبب ضغطًا نفسيًا. إلا أن احتمالات حدوث هذا منخفضة.
الوقاية
توجد احتمالية ضئيلة بأن تحدث متلازمة القلب المنكسر مجددًا بعد النوبة الأولى. ولا يوجد علاج مثبت لمنع النوبات الإضافية.
يوصي العديد من الأطباء بالعلاج طويل الأمد باستخدام حاصرات مستقبلات بيتا أو الأدوية المشابهة التي تمنع احتمالية التأثيرات المدمرة لهرمونات الضغط النفسي في القلب. قد يكون أيضًا التعرف على الضغط النفسي في حياتك وإدارته أمرًا هامًا في المساعدة على منع الإصابة بمتلازمة القلب المنكسر بالرغم من أنه لا يوجد دليل لإثبات ذلك حاليًا.
التاريخ

مع أن الحالة الأولى لم ترصد قبل 1990 إلا أن سيبلين وهيرش كانوا قد أشاروا إلى اعتلال عضلة القلب بعد الإجهاد في عام 1980.[10]
بعد حدوث جرائم قتل كانت قد حدثت خلال اعتداءات في مقاطعة كوياهوگا، أوهايو، واستناداً إلى نتائج التشريح لجثامين إحدى عشر من أصل خمسة عشر جثة لمن قُتلوا في الاعتداء المذكور لم تكن هناك أي اصابة داخلية ولكن الوفيات حدثت جراء الاعتداء الجسدي، حيث كان هناك تَنَكُّس في الألياف العضلية مماثل لما يشاهد في حالات الإجهاد عند الحيوان. مما يدعم نظرية توسط الكاتيكول-امين في حدوث هذه التغييرات في عضلة قلب البشر، وفي اليابان كانت أول حالة قد درست عام 1991 من قبل ساتو وآخرون، و ظهر المزيد من الحالات خلال العقد اللاحق، على الرغم من أن الطب الغربي لم يكن قد سمع بها.
إلا أنه في عام 1997 عندما بافين وآخرون كانوا قد كتبوا عن حالتي خَلَل وَظيفِيّ عابر للبطين الأيسر نجمتا عن الإجهاد العاطفي الحاد، واليابانين في في تقاريرهم الطبية إلى الغرب في عام 2001 كانوا قد استخدموا مصطلح خَلَل وَظيفِيّ عابر لقمة البطين الأيسر، لكنها لم تصل إلى وسائل الإعلام إلا في عام 2005 عندما كتبت المجلة الطبية البريطانية (نيو انغلاند جورنال اوف ميديسين) حول المتلازمة.
المصادر
- ^ Eshtehardi P, Koestner SC, Adorjan P, Windecker S, Meier B, Hess OM, Wahl A, Cook S (July 2009). "Transient apical ballooning syndrome--clinical characteristics, ballooning pattern, and long-term follow-up in a Swiss population". Int. J. Cardiol. 135 (3): 370–5. doi:10.1016/j.ijcard.2008.03.088. PMID 18599137.
- ^ Bergman BR, Reynolds HR, Skolnick AH, Castillo D (August 2008). "A case of apical ballooning cardiomyopathy associated with duloxetine". Ann. Intern. Med. 149 (3): 218–9. doi:10.7326/0003-4819-149-3-200808050-00021. PMID 18678857.
- ^ Zamir, M (2005). The Physics of Coronary Blood Flow. Springer Science and Business Media. p. 387. ISBN 978-0387-25297-1.
- ^ "Mayo Clinic Research Reveals 'Broken Heart Syndrome' Recurs In 1 Of 10 Patients". Medical News Today, MediLexicon International Ltd.
- ^ أ ب Akashi YJ, Nef HM, Möllmann H, Ueyama T (2010). "Stress cardiomyopathy". Annu. Rev. Med. 61: 271–86. doi:10.1146/annurev.med.041908.191750. PMID 19686084.
- ^ متلازمة القلب المنكسر، مايو كلينيك
- ^ "UOTW #74 - Ultrasound of the Week". Ultrasound of the Week. 20 September 2016. Retrieved 27 May 2017.
- ^ "متلازمة القلب المنكسر: الأسباب، الأعراض، طرق العلاج!". البوابة. 2018-12-26. Retrieved 2018-12-27.
- ^ "تحذير للنساء.. "القلب المحطم" آخر صيحات كورونا". العربية نت. 2022-02-09. Retrieved 2022-02-09.
- ^ "ما هي متلازمة القلب المنكسر؟". الطبي. 2016-02-07. Retrieved 2018-12-27.
وصلات خارجية
- Takotsubo website
- Lakshmi Krishnan, Daniel Marchalik. Understanding heartbreak: from Takotsubo to Wuthering Heights. Perspectives|From literature to medicine. The Lancet. Volume 392, ISSUE 10150, P812, September 8, 2018. DOI:https://doi.org/10.1016/S0140-6736(18)32061-0
| Classification | |
|---|---|
| External resources |