أوليات

الأوليات أو الحيوانات الأولية (Protozoa) (باليونانية: protos = أول و zoon = حيوان ) وهي متعضيات وحيدة الخلية حقيقية النوى تظهر خواص تترافق عادة مع الحيوانات ، أهمها الحركية mobility ، والتمايز heterotrophy. تصنف عادة ضمن مملكة الطلائعيات Protista سوية مع الطحالب الشبيهة بالنباتات plant-like algae. وتعيش الأوليات في الأوساط المائية كالماء المالح أو العذب أو سوائل أخرى كالدم ، حيث تستقر و تسبب ببعض الأمراض. تختلف الأوليات في الشكل والحجم ووسيلة الحركة.
والهدبيات Ciliata وهي ذات تنوع كبير من حيث الشكل والحياة في الأوساط المختلفة المائية العذبة والمالحة. وهي من أكثر وحيدات الخلية تعقداً بنية وتخصصاً، تعد - من حيث الحجم - من وحيدات الخلية الحيوانية الكبيرة، لكن تراوح أبعادها بين 10 ميكرون و3مم. تتحرك كلها بأهداب تتموج بحركات دورية متناسقة، لكن البالغ من بعضها يفتقر للأهداب. يعيش معظمها حياة حرة، لكن بعضها يعيش مشاركاً commensals حيوانات أخرى أو متطفلاً parasites عليها. تمتاز الهدبيات بحركتها، لكن بعضها متثبت، وبعضها الآخر يعيش في مستعمرات.
في بعض المخططات الحديثة السابقة كانت معظم الأشنيات تصنف مع النباتات Plantae المملكة النباتية و Chromista ، في هذه الحالة يمكن تسمية مملكة الطلائعيات بمملكة الأوليات kingdom Protozoa. مع هذا فكان يجب عدم اعتبارها حيوانات حقيقية لذلك نفضل تسميتها بالأوليات فقط وليس الاوليات الحيوانية.
أما حسب تصنيف 2009 في نظام المعلومات التصنيفي المتكامل، فإن الأوليات هي مجموعة شبه عرقية (أي أنها لا تضم كل الأقارب الجينيين للمجموعة). ويشكلون "مملكة" قائمة بذاتها.
الخصائص
الحيوانات الأولية هي أبسط أنواع الكائنات الحية المعروفة. وتوصف هه الحيوانات بأنها كائنات غير خلوية (A cellular) لأن جسم الفرد فيها غير مقسم إلى خلايا كما هو الحال في الاسفنج وعديدة الخلايا ، ولكنها كثيرا ما توصف باسم الحيوانات وحيدة الخلية باعتبار أن جسم الحيوان الأولي يشبه الخلية الواحدة في الحيوان عديدة الخلايا. ولكن يجب ألا يغيب عن بالنا أن الخلية في الحيوان عديد الخلايا هي جزء مخصص لوظيفة خاصة كالحركة أو الإحساس أو الإفراز ، أما المادة الحية لحيوان الأولي فوحدة كاملة تقوم بجميع العمليات الحيوية دون تخصص وهذا ما لا يمكن للخلية الواحدة في الحيوان العديد الخلايا أن تقوم به. كما أن تركيب الحيوان الأولي في كثير من الأنواع أكثر تعقيدا عن تركيب الخلية في الحيوان عديد الخلايا ولذا يحسن أن لا نسمي الحيوانات الأولية بوحيدة الخلية. وأغلب الحيوانات الأولية دقيقة الحجم يتراوح قطرها بين بضع ميكرونات (الميكرون 1/1000 مم) وبين ملليمتر واحد. إلا أن بعضها كبير الحجم نسبيا ولكن هذه الأنواع الكبيرة يتكون الجزء الأكبر من جسمها من هيكل صلب غير حي.
تعيش أغلب الأوليات كأفراد مستقلة ويكون بعضها مستعمرات يتكون كل منها من عدد من الأفراد يشبه الأفراد المستقلة وتتصل ببعضها بزوائد بروتوبلازمية فتكون من مجموعة الأفراد وحدة واحدة. والمعروف من الحيوانات الأولية يبلغ نحو 20.000 نوع منها البسيط التركيب كالأميبا ومنها ما هو معقد للتركيب كالهدبيات. والأوليات تختلف عن بعضها من حيث الشكل والعادات والموطن. وهي تعيش في المياه العذبة والمالحة والتربة الرطبة ويقاوم بعضها الجفاف لفترة طويلة. والكثير من الأوليات متطفل على الحيوانات والنباتات الأخرى ويسبب لبعضها أمراضا فتاكة. وتحوي بعض الأوليات مادة الكلوروفيل وتتغذى تغذية نباتية صرفة. وليس لبعضها شكل محدد بل يبرز من جسمها زوائد خيطية أو أنبوبية تتحرك بها وتحيط غداءها وللبعض الأخر شكل مغزلي أو بيضاوي أو مستدير ويحمل بعضها سياطاً أو أهداباً للحركة ومنها ما ليس له أعضاء للحركة وهذه أنواع متطفلة. وقد يمر الحيوان الأولي بعدة أشكال في تاريخ حياته: الشكل الأميبي أو السوطي أو الهدبي وغير ذلك ولبعض الأوليات هيكل خارجي جيري أو سيليسي. وللحيوان الأولي نواة واحدة منها ما له أكثر من نواة وتتكاثر الأوليات بالإنقسام الثنائي أو العديد وقد يتكاثر بعضها تكاثرا يشبه التكاثر الجنسي.
تاريخ التصنيف

الاكتشاف
لم تعرف الأوليات إلا بعد اكتشاف الميكروسكوب حيث قام ليڤنهوك بصنع ميكروسكوب قوة تكبيره 270 اكتشف به أوليات الماء العذب كالكاليوجلينا (1674) ثم الفورتسلا وكارشيزيام والبوليتوما والبراميسيوم (1674-1716). وفي سنة 1718 ظهر أول مؤلف عن الأوليات بقلم جوبلوت (Joblot) واكتشف روسل (Rosel) الأميبا (1755) وبعض الأوليات الأخرى. وكان گولدفوس (Goldfuss) أول من أطلق اسم الأوليات على هذه الحيوانات سنة 1817 ولكنه كان يضم معها بعض الجوفمعويات. وأغلب المؤلفات الحديثة عن الأوليات قام بها كالكنز (Calkins) الأمريكي ودوفلين (Doflin) الألماني.
التوزع النشوئي
Protistans are distributed across all major groups of eukaryotes, including those that contain multicellular algae, green plants, animals, and fungi. If photosynthetic and fungal protistans are distinguished from protozoa, they appear as shown in the phylogenetic tree of eukaryotic groups.[1][2]
| Eukaryotes |
| ||||||||||||||||||||||||||||||||||||||||||||||||||||||||||||||||||||||||||||||||||||||||||||||||||||||||||||||||||||||||||||||
صفاتها العامة
يحمل الهدبي عادة أكثر من نواة، واحدة منها على الأقل نواة كبيرة macronucleus، والأخرى صغيرة micronucleus، ويبدو أن النواة الكبيرة مسؤولة عن الفعاليات الغذائية والتنامي development والمحافظة على البنى الظاهرة للحيوان، وهي تختلف من الناحية الشكلية في الأنواع المختلفة. أما النواة الصغيرة فهي تشارك في التكاثر الجنسي.

يغطي جسمَ الهدبيات قشيرة pellicle رقيقة مؤلفة من غشاء الخلية فقط، وقد يكون لبعض الأنواع قشيرة سميكة صلبة تشكّل درعاً حول الحيوان. أما الأهداب فهي قصيرة ومرتبة عادة في صفوف، قد تغطي سطح الحيوان بالكامل، وقد يقتصر وجودها على المنطقة الفموية منه، أو تصطف على شكل حزم. وتلتحم أهداب بعض الأنواع لتشكل صفيحة تسمى الغشاء المتموج undulating membrane، أو لتُكَوِّن مجموعةً من الأغشية الصغيرة، يستعمل كلا النوعين في دفع الغذاء في البلعوم الخلوي cytopharynx للهدبي. وقد تندمج الأهداب في بعض المجموعات لتشكل خصلاً تسمى الذؤابات cirri تستخدم غالباً في تحرك الهدبيات الزاحفة.
الحركة

يتألف الجهاز الحركي عند الهدبيات من الأهداب التي تنتهي قاعدة كل منها بجسيم حركي kinetosome يبقى تحت القشيرة، يبرز عن كل من الأهداب لييف fibril ينثني تحت القشيرة ليتصل بلييف مجاور من الصف نفسه، فيتشكل بذلك صف من قواعد الأهداب. وهكذا يتشكل من الأهداب والجسيمات الحركية واللييفات الأخرى التابعة لذلك الصف ما يسمى الجملة المحركة kinety. ويبدو أن للهدبيات جميعها- في مرحلة من مراحل حياتها - جمل محركة، حتى الأنواع التي تفتقر إلى الأهداب. كان يعتقد سابقاً أن هذه الجمل تنسق ضربات الأهداب، ويبدو اليوم أن الأمر ليس كذلك، إذ تتم الحركة بموجةٍ من زوالِ الاستقطاب depolarization تسير على طول غشاء الخلية للمتعضية بما يشبه مرور السيالة العصبية على طول العصب.
التغذية

معظم الهدبيات كلية التغذي holozoic، ولبعضها فم خلوي cytostome يتمثل بفتحة بسيطة فقط، وفي بعضها يسبق الفم الخلوي أخدود فموي oral groove مهدب، كما في البارامسيوم، تحمل تيارات مائية - تولدها أهداب هذا الأخدود - الجزيئات الغذائية المجهرية نحو الفم. وللهدبي الديدينيوم Didinium خرطوم يلتقط فرائسه من البارامسيوم. أما الممصيات Suctoria فتقوم بِشَلِّ فرائسها، ثم تلتهم محتوياتها بوساطة لوامسها الأنبوبية، كما في بودوفريا Podophrya .
Parasitic protozoa use a wide variety of feeding strategies, and some may change methods of feeding in different phases of their life cycle. For instance, the malaria parasite Plasmodium feeds by pinocytosis during its immature trophozoite stage of life (ring phase), but develops a dedicated feeding organelle (cytostome) as it matures within a host's red blood cell.[3]

Protozoa may also live as mixotrophs, combining a heterotrophic diet with some form of autotrophy. Some protozoa form close associations with symbiotic photosynthetic algae (zoochlorellae), which live and grow within the membranes of the larger cell and provide nutrients to the host. The algae are not digested, but reproduce and are distributed between division products. The organism may benefit at times by deriving some of its nutrients from the algal endosymbionts or by surviving anoxic conditions because of the oxygen produced by algal photosynthesis. Some protozoans practice kleptoplasty, stealing chloroplasts from prey organisms and maintaining them within their own cell bodies as they continue to produce nutrients through photosynthesis. The ciliate Mesodinium rubrum retains functioning plastids from the cryptophyte algae on which it feeds, using them to nourish themselves by autotrophy. The symbionts may be passed along to dinoflagellates of the genus Dinophysis, which prey on Mesodinium rubrum but keep the enslaved plastids for themselves. Within Dinophysis, these plastids can continue to function for months.[4]
الدفاع والحس

تحمل بعض الهدبيات جسيمات صغيرة في السيتوبلاسما تحت القشيرة بين قواعد الأهداب تسمى الأكياس اللاسعة trichocysts (الشكلان 2 و4) وأكياساً سامة toxicysts تُطْلِق - لدى إثارة الهدبي - بنيةً خيطيةً طويلةً ومادة سامة تشل بها حركة الفريسة أو الحيوان المهاجم.
التكاثر
تلفت الهدبيات النظر بتكاثرها. فالبارامسيوم مثلاً يتكاثر فقط بالانشطار الثنائي binary fission، لكن ثمة أشكالٌ تتكاثر - من فترة إلى أخرى -جنسياً بطريقة الاقتران conjugation وبالإلقاح الذاتي autogamy.

ففي الانشطار الثنائي تنقسم النواة الصغيرة انقساماً عادياً إلى نواتين صغيرتين، تنتقل كل منهما إلى إحدى نهايتي البارامسيوم، وتتطاول كذلك النواة الكبيرة، وتنقسم انقساماً عادياً أيضاً، يلي ذلك انشطار الحيوان إلى شطرين يحوي كل منهما نواة صغيرة وأخرى كبيرة.

أما الاقتران فيتم باقتران موقت لفردين يتبادلان مادة الصبغيات . وفي أثناء الاقتران تنقسم كل من النواتين الصغيرتين في الفردين المقترنين انقساماً منصفاً؛ لتعطي كل منهما أربع نوى صغيرة فردانية الصيغة الصبغية haploid، تتلاشى ثلاث منها وتنقسم الرابعة الباقية أيضاً إلى نواتين فردانيتين صغيرتين يتم تبادل إحداهما من قِبَل الحيوانين المقترنين. تندمج النواتان - الجديدة والقديمة - مع بعضهما ليعود العدد الضعفاني من الصبغيات إلى النواة «المُخْصَبَة». لايلبث أن ينفصل القرينان بعضهما عن بعض ليتابعا حياتهما العادية وكأن هذا التبادل في المادة النووية نَشَّط الحيوانين ليتابعا حياتهما بمجموع وراثي جديد.
أما الإلقاح الذاتي فيتم بإجراء إلقاح مشابه لما يحدث في الاقتران فيما عدا عدم التبادل النووي، إذ يتم اتحاد النواتين الصغيرتين الفردانيتين في الفرد نفسه بعضهما مع بعض ليتكون مدغم نووي synkaryon متشابه اللواقح homozygous.
الحجم
Protozoa, as traditionally defined, range in size from as little as 1 micrometre to several millimetres, or more.[5] Among the largest are the deep-sea–dwelling xenophyophores, single-celled foraminifera whose shells can reach 20 cm in diameter.[6]

| النوع | نوع الخلية | الحجم بالميكرومتر |
|---|---|---|
| Plasmodium falciparum | malaria parasite, trophozoite phase[7] | 1–2 |
| Massisteria voersi | free-living cercozoa cercomonad amoebo-flagellate[8] | 2.3–3 |
| Bodo saltans | free-living kinetoplastid flagellate[9] | 5–8 |
| Plasmodium falciparum | malaria parasite, gametocyte phase[10] | 7–14 |
| Trypanosoma cruzi | parasitic kinetoplastid, Chagas disease[11] | 14–24 |
| Entamoeba histolytica | parasitic amoeban[12] | 15–60 |
| Balantidium coli | parasitic ciliate[13] | 50–100 |
| Paramecium caudatum | free-living ciliate[14] | 120–330 |
| Amoeba proteus | free-living amoebozoan[15] | 220–760 |
| Noctiluca scintillans | free-living dinoflagellate[16] | 700–2000 |
| Syringammina fragilissima | foraminifera amoeba[6] | up to 200000 |
التصنيف
تجمع الأوليات الآن في تحت عالم الأوليات التي تضم شعبة واحدة هي شعبة الأوليات.
- شعبة الأوليات
- تحت شعبة البلازميات المتحركة A- Subphylum Plasmodroma.
- طائفة اللحميات Class Sarcodina.
- طائفة السوطيات Class Mastigophora.
- طائفة الجرثوميات أو الكيسيات Class Sporozoa.
- طائفة المتحولات أو الأميبات Class Amoeboids.
- تحت شعبة حاملة الأهداب B- Subphylum Ciliophora.
- طائفة الهدبيات Class Ciliata
- طائفة الهدبيات الماصة Class Suctoria
- تحت شعبة البلازميات المتحركة A- Subphylum Plasmodroma.
وصنف العلماء الأوليات تبعا لوسيلة الحركة إلى أربع مجموعات رئيسة وهي أوليات تتحرك بوساطة:
- الأقدام الكاذبة مثل الأميبا.
- الأهداب مثل البراميسيوم.
- الأسواط مثل التريبانوسوما.
- الإنزلاق مثل الپلازموديوم.
البيئة
الحياة الحرة
Free-living protozoa are found in almost all ecosystems that contain free water, permanently or temporarily. They have a critical role in the mobilization of nutrients in ecosystems. Within the microbial food web they include the most important bacterivores.[17] In part, they facilitate the transfer of bacterial and algal production to successive trophic levels, but also they solubilize the nutrients within microbial biomass, allowing stimulation of microbial growth. As consumers, protozoa prey upon unicellular or filamentous algae, bacteria, microfungi, and micro-carrion. In the context of older ecological models of the micro- and meiofauna, protozoa may be a food source for microinvertebrates.
Most species of free-living protozoa live in similar habitats in all parts of the world.[18][19][20]
التطفل
Many protozoan pathogens are human parasites, causing serious diseases such as malaria, giardiasis, toxoplasmosis, and sleeping sickness. Some of these protozoa have two-phase life cycles, alternating between proliferative stages (e.g., trophozoites) and resting cysts, enabling them to survive harsh conditions.[21]
Commensalism
A wide range of protozoa live commensally in the rumens of ruminant animals, such as cattle and sheep. These include flagellates, such as Trichomonas, and ciliated protozoa, such as Isotricha and Entodinium.[22] The ciliate subclass Astomatia is composed entirely of mouthless symbionts adapted for life in the guts of annelid worms.[23]
التبادل
Association between protozoan symbionts and their host organisms can be mutually beneficial. Flagellated protozoa such as Trichonympha and Pyrsonympha inhabit the guts of termites, where they enable their insect host to digest wood by helping to break down complex sugars into smaller, more easily digested molecules.[24]
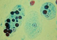
-
Trophozoites of Entamoeba histolytica, a disease-causing parasite with engulfed red blood cells (dark circles)
التنوع
من الأشكال الغريبة في الهدبيات يُذْكَر الستانتور Stentor ذو الشكل القمعي والنواة الكبيرة سبحية الشكل، والفورتيسِلا Vorticella ذو الشكل الجرسي والذي يتثبت على مرتكز بسويقة متقلصة، والأوبلوتِس Euplotes ذو الجسم المسطح الذي يتحرك بفضل ذؤاباته (الأهداب الملتحمة).
الهدبيات المتعايشة symbiotic

يعيش كثير من الهدبيات حياة تعايش مع أنواع أخرى من المتعضيات، لكن بعضها يتطفل على متعضيات أخرى ويسبب لها المرض. فالبالانتيديوم المعوية Balantidium coli تعيش في الأمعاء الغليظة للإنسان والخنزير والجرذ وكثير من الثدييات الأخرى .
ويبدو أنه توجد منها سلالات تنتقي مضيفها، كما يصعب انتقال الهدبي من مضيف إلى آخر، الأمر الذي يتم عن طريق تلوث الغذاء أو الماء. فالهدبي عادة غير مُمْرِض nonpathogenic، لكنه في الإنسان يجتاح أحياناً مخاطية الأمعاء، ويسبب إسهالاً مشابهاً لما يُحْدِثُه المتحول الحال للنسج Entamoeba histolytica، وقد تصبح الإصابة خطرة وأحياناً مميتة. والإصابة بهذا الهدبي منتشرة في آسيا وإفريقيا وبعض أجزاء من أوربا، لكنها نادرة في أمريكا.
يذكر من الأنواع المتعايشة الأخرى من الهدبيات الأونتودينيوم Entodinium الذي يعيش في أمعاء المجترات ونيكتوثيروس Nyctotherus الذي يعيش في أمعاء الضفادع وشراغيفها. ويسبب الهدبي إكثيوفثيريوس Ichthyophthirius في أحواض تربية الأحياء المائية وعند أسماك المياه العذبة مرضاً خطيراً يعرفه مربو الأسماك باسم Ick الذي يسبب - في حال عدم معالجته - خسارة كبيرة لهم.
الممصيات Suctoria
الممصيات هدبيات تعيش صغارها- بفضل أهدابها- حياة سابحة حرة، لكن الأفراد البالغة منها تفقد أهدابها فتتثبت بوساطة سويقة متحولةً بذلك إلى الحياة المستقرة. إنها هدبيات من دون فم خلوي، لكنها تتغذى بلوامسها الطويلة الرفيعة التي تشبه الخيوط. يلتقط الممصي فريسته الحية - وهي عادة أحد الهدبيات - برأسِ واحدٍ من ممصاته أو بعدة ممصات، ويشلها. ثم تسيل سيتوبلاسما الفريسة عبر الممص الملتصق (الشكل 3). وأفضل موقع للحصول على الممصيات هي الطحالب التي تعيش على أصداف السلاحف المائية، وأكثر الأنواع شيوعاً البودوفريا Podophrya (الشكل 3). ومن الممصيات الطفيلية يذكر التريكوفريا Trichophrya الذي يعيش في أمعاء عدد من اللافقاريات وفي أسماك المياه العذبة.
الأوليات والإنسان
تسبب بعض الأوليات أمراضا عدة تؤثر في حياتنا، وتؤدي الي خسائر بشرية ومادية، ومنها على سبيل المثال مرض الملاريا الذي يسببه الپلازموديوم ، وكذلك مرض الزحار الأميبي الذي يسببه نوع خاص من الأميبيا تسمى الأميبيا الطفيلية (الانتاميبا هستوليتيكا)..[25]
المصادر
- محمود, عبد العزيز (2008). اللافقاريات. القاهرة، مصر: مكتبة الأنجلو المصرية.
{{cite book}}: Unknown parameter|coauthors=ignored (|author=suggested) (help)
- ^ Burki, F. (May 2014). "The eukaryotic tree of life from a global phylogenomic perspective". Cold Spring Harbor Perspectives in Biology. 6 (5): a016147. doi:10.1101/cshperspect.a016147. PMC 3996474. PMID 24789819.
- ^ Burki, F. (January 2016). "Untangling the early diversification of eukaryotes: a phylogenomic study of the evolutionary origins of Centrohelida, Haptophyta and Cryptista". Proceedings: Biological Sciences. 283 (1823): 20152802. doi:10.1098/rspb.2015.2802. PMC 4795036. PMID 26817772.
- ^ Wiser, Mark F. "Biochemistry of Plasmodium". The Wiser Page. Archived from the original on 2017-07-04. Retrieved 2018-03-22.
- ^ Nishitani, Goh; Nagai, Satoshi; Baba, Katsuhisa; et al. (May 2010). "High-Level Congruence of Myrionecta rubra Prey and Dinophysis Species Plastid Identities as Revealed by Genetic Analyses of Isolates from Japanese Coastal Waters". Applied and Environmental Microbiology. 76 (9): 2791–2798. Bibcode:2010ApEnM..76.2791N. doi:10.1128/AEM.02566-09. PMC 2863437. PMID 20305031.
- ^ Singleton, Paul; Sainsbury, Diana (2001). Dictionary of microbiology and molecular biology. Wiley. ISBN 9780471941507.
- ^ أ ب Gooday, A.J.; Aranda da Silva, A. P.; Pawlowski, J. (1 December 2011). "Xenophyophores (Rhizaria, Foraminifera) from the Nazaré Canyon (Portuguese margin, NE Atlantic)". Deep-Sea Research Part II: Topical Studies in Oceanography. 58 (24–25): 2401–2419. Bibcode:2011DSRII..58.2401G. doi:10.1016/j.dsr2.2011.04.005.
- ^ Ghaffar, Abdul. "Blood and Tissue Protozoa". Microbiology and Immunology On-Line. Retrieved 2018-03-23.
- ^ Mylnikov, Alexander P.; Weber, Felix; Jürgens, Klaus; Wylezich, Claudia (August 2015). "Massisteria marina has a sister: Massisteria voersi sp. nov., a rare species isolated from coastal waters of the Baltic Sea". European Journal of Protistology. 51 (4): 299–310. doi:10.1016/j.ejop.2015.05.002. PMID 26163290.
- ^ Mitchell, Gary C.; Baker, J. H.; Sleigh, M. A. (1 May 1988). "Feeding of a freshwater flagellate, Bodo saltans, on diverse bacteria". The Journal of Protozoology. 35 (2): 219–222. doi:10.1111/j.1550-7408.1988.tb04327.x.
- ^ Ghaffar, Abdul. "Blood and tissue Protozoa". Microbiology and Immunology On-Line. Retrieved 2018-03-23.
- ^ "Trypanosoma brucei". parasite.org.au. Retrieved 2018-03-23.
- ^ "Microscopy of Entamoeba histolytica". msu.edu. Retrieved 2016-08-21.
- ^ Lehman, Don. "Diagnostic parasitology". University of Delaware. Retrieved 2018-03-23.
- ^ Taylor, Bruce. "Paramecium caudatum". Encyclopedia of Life. Retrieved 2018-03-23.
- ^ "Amoeba proteus | Microworld". www.arcella.nl. Retrieved 2016-08-21.
- ^ "Noctiluca scintillans". University of Tasmania, Australia. 2011-11-30. Retrieved 2018-03-23.
- ^ خطأ استشهاد: وسم
<ref>غير صحيح؛ لا نص تم توفيره للمراجع المسماةFenchel, T 1987 - ^ Fenchel, T.; Finlay, B.J. (2004). "The ubiquity of small species: Patterns of local and global diversity". BioScience. 54 (8): 777–784. doi:10.1641/0006-3568(2004)054[0777:TUOSSP]2.0.CO;2. S2CID 85884588.
- ^ Lee, W. J. & Patterson, D. J. 1999. Are communities of heterotrophic flagellates determined by their geography? In Ponder, W. and Lunney, D. The other 99%. The conservation and biodiversity of Invertebrates. Trans. R. Soc. New South Wales, Mosman, Sydney, pp 232-235
- ^ Lee, W. J. & Patterson, D.J. 1998. Diversity and geographic distribution of free-living heterotrophic flagellates - analysis by PRIMER. Protist, 149: 229-243
- ^ Yaeger, Robert G. (1996). "Chapter 77Protozoa: Structure, Classification, Growth, and Development". In Baron, S (ed.). Medical Microbiology (4th ed.). Galveston, Texas: University of Texas Medical Branch at Galveston. ISBN 9780963117212. PMID 21413323.
- ^ Williams, A. G.; Coleman, G. S. (1997). The Rumen Microbial Ecosystem. Springer, Dordrecht. pp. 73–139. doi:10.1007/978-94-009-1453-7_3. ISBN 9789401071499.
- ^ Lee, John J.; Leedale, Gordon F.; Bradbury, Phyllis Clarke (25 May 2000). An illustrated guide to the protozoa: organisms traditionally referred to as protozoa, or newly discovered groups. Society of Protozoologists. p. 634. ISBN 9781891276231.
- ^ "Termite gut microbes | NOLL LAB". www.kennethnoll.uconn.edu. Archived from the original on 2018-03-21. Retrieved 2018-03-21.
- ^ [http://www.arab-ency.com/index.php?module=pnEncyclopedia&func=display_term&id=888&m=1الهدبيات , الموسوعة العربية