التسمم الفلوري للأسنان
![]() ساهم بشكل رئيسي في تحرير هذا المقال
|

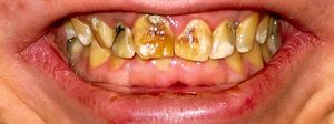
تسمم الأسنان بالفلور Dental Fluorosis هو حالة مرضية سببها تلقي الطفل كميات مفرطة من الفلوريد أثناء نمو الأسنان.
التبقع الفلوري Fluorosis pigmentation وترجمته: التسمم التصبغي بالفلور[1] هو تبقع mottling في مينا الأسنان Enamel بسبب مرض التسمم بالفلور Fluorosis.
مؤشر دين
H.T. Dean's fluorosis index was developed in 1942 and is currently the most universally accepted classification system. An individual's fluorosis score is based on the most severe form of fluorosis found on two or more teeth.[2]
Classification | Criteria – description of enamel |
---|---|
Normal | Smooth, glossy, pale creamy-white translucent surface |
Questionable | A few white flecks or white spots |
Very Mild | Small opaque, paper white areas covering less than 25% of the tooth surface |
Mild | Opaque white areas covering less than 50% of the tooth surface |
Moderate | All tooth surfaces affected; marked wear on biting surfaces; brown stain may be present |
Severe | All tooth surfaces affected; discrete or confluent pitting; brown stain present |
الانتشار
Deans Index | 1987 | 2002 |
---|---|---|
Questionable fluorosis | 17% | 11.8% |
Very mild fluorosis | 19% | |
Mild fluorosis | 4% | 5.83% |
Moderate fluorosis | 1% | 0.59% |
Severe fluorosis | 0.3% | |
Total | 22.3% | 37.2% |
المجموعة العمرية | Reference weight kg (lb) | Adequate intake (mg/day) | Tolerable upper intake (mg/day) |
---|---|---|---|
Infants 0-6 months | 7 (16) | 0.01 | 0.7 |
Infants 7-12 months | 9 (20) | 0.5 | 0.9 |
Children 1-3 years | 13 (29) | 0.7 | 1.3 |
Children 4-8 years | 22 (48) | 1.0 | 2.2 |
Children 9-13 years | 40 (88) | 2.0 | 10 |
Boys 14-18 years | 64 (142) | 3.0 | 10 |
Girls 14-18 years | 57 (125) | 3.0 | 10 |
Males 19 years and over | 76 (166) | 4.0 | 10 |
Females 19 years and over | 61 (133) | 3.0 | 10 |
العلاج
التبقع الفلوري في مشاريع الفلورة الملحية
انتشار الظلالية المرتبطة بالفلور fluoride-associated opacity ((FOP والظلالية غير المرتبطة بالفلور nonfluoride-associated opacities (non-FOP) تم تعيينها في مقاطعتين في سويسرا مع مشاريع فلورة ملحية مختلفة.
في كانتون زيوريخ 305 من اطفال المدارس من ثماني مجموعات للأعمار ( 9 إلى 10) تم فحصهم عام 1995 و900 طفل من مجموعة واحدة للعمر (9 إلى 10) في العام 2002 . في كانتون گلاروس 144 من أطفال المدارس في 14 مجموعة للعمر( 9 إلى 10 ) تم فحصهم للعام 1996 . في مقاطعة زيوريخ 84 % من الأطفال تناولوا ملح محلي مفلور بتركيز 250 جزء بالمليون في الخمس سنوات الأولى من حياتهم وذلك في استطلاع للأهالي عام 1995 . في كانتون گلاروس القيمة المطابقة كانت 87 %. بالإضافة لذلك, حوالي نصف عينات الخبز في مقاطعة غلاروس أظهرت زيادة في محتويات الفلور بتركيز أقل من 3جزءمن المليون. الصورة القياسية المأخوذة للقواطع جففت بالهواء المضغوط مدة 15 ثانية ودرست باستخدام مشعرThylstrup Fejerskov . انتشار الظلالية المرتبطة بالفلور ((FOP كان بمقدار 21% في ثماني مجموعات من مقاطعة زيوريخ 1995 و 22% في 14 مجموعة من مقاطعة غلاروس 1996 لم يكن هناك أي اختلاف بين هذين الموقعين بالرغم من أن الفلور المأخوذ في مقاطعة غلاروس أعلى لكون الملح المفلور استخدم في المخابز. الاختبارات الأخيرة في إحدى مجموعات مقاطعة زيوريخ أظهرت انتشارا اقل بنسبة 11 % انتشار الظلالية غير المرتبطة بالفلور non-FOP)) في كل الأماكن كان يتراوح بين 17 % إلى 23%. انتشار الظلالية المرتبطة بالفلور((FOP كان بمعدل منخفض في سويسرا مقارنة مع الدراسات الدولية المتبعة لنفس المشعر . معظم التفسيرات الممكنة لهذا الاختلاف هو الاستخدام واسع الانتشار لمعاجين الأسنان منخفضة الفلور بتركيز 250 جزء من المليون للأطفال تحت السادسة . معاجين الأسنان هذه كانت مقدمة عام 1986 والاستهلاك ازداد باطراد حتى عام 1992 . انخفاض المعالجة المرتبطة بالفلورFOP)) لا يمكن أن يعتبر مشكلة صحة عامة للسكان ولا يمكن إنهاؤها بخطة عمل . نختم: بان خطة المعالجة الفلورية في سويسرا للعقدين الماضيين كانت ملائمة, انتشار نخور الأسنان الدائمة- عند أطفال المدارس السويسريين- هو من بين الأقل عالمياً.
الهامش
- ^ "Fluorosis pigmentation". المعجم الطبي الموحد.
- ^ Fluoridation Facts (PDF). American Dental Association. 2005. pp. 28–29.
- ^ Fluoridation Facts (PDF). American Dental Association. 2005. p. 25.
وصلات خارجية
- What is fluorosis? has images of very mild, mild, and moderate dental fluorosis.