التهاب العنبية
التهاب العنبية Uveitis | |
---|---|
![]() | |
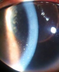
التهاب العين والرواسب القرنية بسبب التهاب القزحية | |
النطق |
|
التخصص | طب العيون |
الأعراض | الصداع، احمرار العين، عدم وضوح الرؤية ، رهاب الضوء ، حرقان واحمرار في العين |
المسببات | متلازمة بهجت، داء كرون، Fuchs heterochromic iridocyclitis, Granulomatosis with polyangiitis, HLA-B27 related uveitis, Juvenile idiopathic arthritis, Sarcoidosis, Spondyloarthritis, Sympathetic ophthalmia, Tubulointerstitial nephritis and uveitis syndrome, حمى البحر المتوسط، herpesviruses, leptospirosis, داء لايم، presumed ocular histoplasmosis syndrome, زهري، داء السهميات، toxoplasmic chorioretinitis، سل، حمى زيكا |
التهاب العنبية Uveitis هو التهاب يصيب العنبية ، وهي الطبقة المصطبغة التي تقع بين الشبكية الداخلية والطبقة الليفية الخارجية المكونة من الصلبة والقرنية . تتكون العنبية من الطبقة الوسطى من الهياكل الوعائية المصطبغة للعين وتشمل القزحية والجسم الهدبي والمشيمية. التهاب العنبية هو حالة طارئة في طب العيون ويتطلب فحصًا شاملاً من قبل طبيب عيون أو طبيب تصحيح البصر وعلاجًا عاجلاً للسيطرة على الالتهاب. غالبًا ما يرتبط بمشاكل بصرية أخرى.
العلامات والأعراض

التهاب العنبية الأمامي (التهاب القزحية)
- حرقة في العين
- احمرار العين
- رؤية مشوشة
- رهاب الضوء
- حدقة غير منتظمة
- تشمل علامات التهاب العنبية الأمامي اتساع الأوعية الهدبية، ووجود الخلايا والتوهج في الغرفة الأمامية، والرواسب القرنية ("KP") على السطح الخلفي للقرنية . في حالة الالتهاب الشديد قد يكون هناك دليل على وجود غمير قيحي . يتم التعرف على الحلقات القديمة من التهاب القزحية عن طريق ترسبات الصباغ على العدسة ، و الرواسب القرنية، والحدقة المتطرفة عند اتساع حدقة العين.
- عقيدات بوساكا، عقيدات التهابية تقع على سطح القزحية في أشكال حبيبية من التهاب العنبية الأمامي مثل التهاب القزحية والجسم الهدبي متغاير اللون من فوشس) FHI).[1]
- التصاق القزحية
التهاب العنبية المتوسط
الاكثر شيوعا
- العوائم ، وهي بقع داكنة تطفو في المجال البصري
- رؤية مشوشة
عادة ما يصيب التهاب القزحية الوسيط عين واحدة. أقل شيوعًا هو وجود الألم و رهبة الضوء.[2]
العنبية الخلفية
يتميز الالتهاب في مؤخرة العين عادة بما يلي:
- عوامات
- رؤية مشوشة
الاسباب
عادة ما يكون التهاب القزحية مرضًا منفردًا، ولكن يمكن أن يرتبط بالعديد من الحالات الطبية الأخرى.
في التهاب العنبية الأمامي، لا توجد حالة أو متلازمة مرتبطة في نصف الحالات تقريبًا. ومع ذلك ، غالبًا ما يكون التهاب العنبية الأمامي أحد المتلازمات المرتبطة بـ HLA-B27 . وجود هذا النوع من أليل HLA ينطوي على خطر نسبي لتطور هذا المرض بحوالي 15٪..[3]
الشكل الأكثر شيوعًا لالتهاب العنبية هو التهاب العنبية الأمامي الحاد (AAU). يرتبط بشكل شائع بـ HLA-B27 ، والذي له ميزات مهمة: يمكن أن يترافق HLA-B27 AAU مع التهاب العين وحده أو مرتبطًا بأمراض جهازية. تتميز HLA-B27 AAU بسمات سريرية مميزة بما في ذلك كثرة الذكور ، وبداية حادة متناوبة أحادية الجانب ، ومظهر غير حبيبي ، وتكرار متكرر ، في حين أن HLA-B27 AAU لها ما يعادل ظهور الذكور للإناث ، ودورة مزمنة ثنائية ، ومظهر حبيبي أكثر تواتراً [4] التهاب المفاصل الروماتويدي ليس نادرًا في الدول الآسيوية باعتباره ارتباطًا مهمًا لالتهاب العنبية.[5]
أسباب غير معدية أو المناعة الذاتية
- داء بهجت
- داء كرون
- التهاب القزحية والجسم الهدبي متغاير اللون من فوكس
- ورم حبيبي والتهاب الاوعية
- التهاب القزحية المرتبط بـ HLA-B27
- التهاب المفاصل الرثياني الشبابي
- الساركويد
- التهاب مفاصل فقاري
- الرمد الودي
- التهاب الكلية الخلالي Tubulointerstitial ومتلازمة التهاب العنبية
الأسباب المعدية
قد يكون التهاب العنبية استجابة مناعية لمحاربة العدوى داخل العين. بينما تمثل الأقلية من مرضى التهاب العنبية ، تشمل هذه العدوى المحتملة ما يلي:
- حمى البحر المتوسط
- فيروسات الهربس ( الهربس النطاقي العيني - الهربس النطاقي للعين)
- داء البريميات
- داء لايم
- متلازمة داء النوسجات العينية المفترضة
- زهري
- داء السهميات
- التهاب المشيمة والشبكية التوكسوبلازمية
- سل
- حمي زيكا[6]
مرتبطة بامراض جهازية
تشمل الاضطرابات الجهازية التي يمكن أن تترافق مع التهاب العنبية:[7][8]
- التهاب الفقار المقسط
- داء بهجت
- داء الورم الحبيبي المزمن
- التهاب الارتكاز
- داء الامعاء الالتهابي
- التهاب المفاصل الرثياني
- داء كواساكي
- التصلب المتعدد
- التهاب الشرايين العقدي
- التهاب المفاصل الصدفية
- التهاب المفاصل التفاعلي
- الساركويد
- ذئبة حمامية مجموعية
- داء فوجت - كوياناجي - هارادا
- مرض هويبل
الآثار الجانبية المتعلقة بالدواء
- ثبت أن ريفابوتين ، وهو أحد مشتقات الريفامبين ، يسبب التهاب العنبية..[9]
- Sتشير العديد من التقارير إلى أن استخدام الكينولونات ، وخاصة موكسيفلوكساسين ، قد يؤدي إلى التهاب العنبية..[10]
متلازمات النقطة البيضاء
من حين لآخر ، لا يرتبط التهاب العنبية بحالة جهازية: يقتصر الالتهاب على العين وله سبب غير معروف. في بعض هذه الحالات ، يكون العرض في العين من سمات متلازمة موصوفة ، والتي تسمى متلازمات النقطة البيضاء ، وتشمل التشخيصات التالية:
- اعتلال ظهاري صبغي بلاكويد متعدد البؤر حاد
- اعتلال المشيمية والشبكية الخرطوشي
- التهاب المشيمية متعدد البؤر والتهاب العنبية الشامل
- متلازمة النقطة البيضاء المتعددة الزائلة
- التهاب المشيمية الداخلي المنقط
- التهاب المشيمية ساعٍ
- اعتلال الشبكية الخارجي الخفي النطاقي الحاد
المتلازمات الخفية
متلازمات الخفية هي تلك الحالات التي تتضمن وجود خلايا داخل العين ولكنها ليست ناتجة عن كيانات التهاب القزحية المناعي. يمكن تقسيمها إلى حالات أورام وغير ورمية.
- غير ورم:
- التهاب الشبكية الصباغي
- جسم غريب داخل العين
- الورم الأصفر الحبيبي الشبابي
- انفصال الشبكية
- ورمي:
الفيزيولوجيا المرضية
عوامل مناعية
يمكن وصف بداية التهاب العنبية على نطاق واسع على أنها فشل في الجهاز المناعي للعين وينتج المرض عن الالتهاب وتدمير الأنسجة. التهاب العنبية ناتج عن مجموعة فرعية من خلايا Th17 T تحمل مستقبلات الخلايا التائية الخاصة بالبروتينات الموجودة في العين[11] غالبًا لا يتم حذفها مركزيًا سواء كان ذلك بسبب عدم تقديم مستضد العين في الغدة الزعترية (وبالتالي لم يتم اختياره بشكل سلبي) أو بسبب حالة من الحساسية لمنع الاستهداف الذاتي.[12][13]
يجب عادةً أن يتم التحكم في الخلايا التائية ذاتية التفعيل من خلال البيئة القمعية التي تنتجها الخلايا الدبقية الصغيرة والخلايا التغصنية في العين.[14] تنتج هذه الخلايا كميات كبيرة من TGF beta وغيرها من السيتوكينات القمعية ، بما في ذلك IL-10 ، لمنع تلف العين عن طريق تقليل الالتهاب والتسبب في تمايز الخلايا التائية عن الخلايا التائية المنظمة المستحثة. عادةً ما يتم قمع التحفيز المناعي الفطري بواسطة البكتيريا والإجهاد الخلوي عن طريق قمع النخاع بينما تمنع الخلايا Treg المستحثة التنشيط والتوسع النسيلي لخلايا Th1 و Th17 النشطة التي تمتلك القدرة على التسبب في تلف العين.
سواء كان ذلك من خلال العدوى أو لأسباب أخرى ، يمكن أن يضطرب هذا التوازن ويسمح للخلايا التائية ذاتية التفعيل بالتكاثر والانتقال إلى العين. عند الدخول إلى العين ، يمكن إرجاع هذه الخلايا إلى حالة Treg المستحثة من خلال وجود IL-10 و TGF-beta من الخلايا الدبقية الصغيرة. يؤدي فشل هذه الآلية إلى تجنيد العدلات والكريات البيض الأخرى من الدم المحيطي من خلال إفراز IL-17 . يتم التحكم في تدمير الأنسجة عن طريق تنشيط البلاعم غير النوعي وشلالات السيتوكينات الناتجة.[15] يرتفع مصل عامل نخر الورم ألفا بشكل كبير في الحالات بينما يتواجد IL-6 و IL-8 بكميات أعلى بكثير في الخلط المائي في المرضى الذين يعانون من التهاب العنبية الهادئ والنشط..[16] هذه علامات التهابية لا تنشط على وجه التحديد الخلايا البلعمية المحلية التي تسبب تلف الأنسجة.
عوامل وراثية
سبب التهاب العنبية غير المعدي غير معروف ولكن هناك بعض العوامل الوراثية القوية التي تؤهب لظهور المرض بما في ذلك HLA-B27[17][18] والنمط الجيني PTPN22.[19]
عوامل معدية
أشارت الأدلة الحديثة إلى إعادة تنشيط الهربس البسيط و النطاقي الحماقي والفيروسات الأخرى كأسباب مهمة لتطوير ما كان يوصف سابقًا باسم التهاب العنبية الأمامي مجهول السبب[20]lتعد العدوى البكتيرية عاملاً مهمًا آخر يساهم في الإصابة بالتهاب العنبية.[21]
التشخيص
يشمل التشخيص فحص قاع العين التوسعي لاستبعاد التهاب القزحية الخلفي ، والذي يظهر على شكل بقع بيضاء عبر الشبكية مع التهاب الشبكية والتهاب الأوعية الدموية .
عادةً ما تُستخدم الاختبارات المعملية لتشخيص أمراض كامنة محددة ، بما في ذلك اختبارات الروماتويد (مثل الأجسام المضادة للنواة وعامل الروماتويد) والأمصال للأمراض المعدية (الزهري وداء المقوسات والسل).
يمكن إجراء اختبار معقد توافق الانسجة الرئيسي للتحقق من القابلية الوراثية لالتهاب العنبية. تشمل المستضدات الأكثر شيوعًا HLA-B27 و HLA-A29 (في اعتلال المشيمة والشبكية الخرطوشي) و HLA-B51 (في داء بهجت)[بحاجة لمصدر]
يمكن استخدام الأشعة السينية في الأشعة لإظهار التهاب المفاصل الموجود وقد تكون الأشعة السينية للصدر مفيدة في الساركويد.
التصنيف
يصنف التهاب العنبية تشريحيًا إلى أشكال أمامية ومتوسطة وخلفية وشاملة - بناءً على الجزء المصاب من العين في المقام الأول.[22] قبل القرن العشرين ، كان يُشار عادةً إلى التهاب العنبية في اللغة الإنجليزية باسم "الرمد"."[23]
- ويشمل التهاب العنبية الأمامي الجسم الهدبي والقزحية. التهاب القزحية هو التهاب الحجرة الأمامية والقزحية . التهاب القزحية والجسم الهدبي هو التهاب يصيب القزحية والجسم الهدبي مع التهاب في الغالب يقتصر على الجسم الهدبي. في أي مكان من ثلثي إلى 90٪ من حالات التهاب القزحية تكون أمامية في الموضع (التهاب قزحية العين). يمكن أن تحدث هذه الحالة كنوبة واحدة وتهدأ بالعلاج المناسب أو قد تأخذ طبيعة متكررة أو مزمنة.
- التهاب العنبية المتوسط، المعروف أيضا باسم التهاب الجزء الأملس، ويتألف من vitritis-وهو التهاب الخلايا في تجويف الجسم الزجاجي، وأحيانا مع snowbanking، أو ترسب المواد التحريضية على الجزء مسطح . هناك أيضًا "كرات الثلج" ، وهي خلايا التهابية في الجسم الزجاجي.
- التهاب العنبية الخلفي أو التهاب المشيمية والشبكية هو التهاب يصيب الشبكية والمشيمية .
- التهاب العنبية الشامل هو التهاب يصيب جميع طبقات العنبية (القزحية والجسم الهدبي والمشيمية).
العلاج
عادةً ما يُعالج التهاب العنبيةة بالستيرويدات القشرية السكرية ، إما كقطرات موضعية للعين (بريدنيزولون أسيتات) أو كعلاج عن طريق الفم.[24] قبل إعطاء الكورتيكوستيرويدات ، يجب استبعاد قرح القرنية . يتم ذلك عادةً باستخدام اختبار صبغة الفلورية..[25] بالإضافة إلى الكورتيكوستيرويدات ، يمكن استخدام شلل عضلي هدبي موضعي ، مثل الأتروبين أو الهوماتروبين . يزيد العلاج الناجح لالتهاب العنبية النشط الخلايا التائية التنظيمية في العين ، مما يساهم على الأرجح في تراجع المرض.[26] في الحالات الشديدة ، يمكن أيضًا إعطاء حقنة من مادة تينون تريامسينولون أسيتات لتقليل تورم العين [27]
غالبًا ما تستخدم الأدوية المضادة للأستقلاب ، مثل الميثوتريكسات ، في حالات التهاب العنبية الشديدة أو الأكثر عدوانية. قد تكون العلاجات التجريبية باستخدام إنفليكسيماب أو الحقن الأخرى المضادة لعامل نخر الورم مفيدة.
تم الإبلاغ عن عقار الميتفورمين المضاد لمرض السكري ليثبط العملية التي تسبب التهاب العنبية..[28]
في حالة التهاب العنبيةة الهربسي ، يمكن إعطاء الأدوية المضادة للفيروسات ، مثل فالاسيكلوفير أو أسيكلوفير ، لعلاج العدوى الفيروسية المسببة..[29]
المآل
يعد المآل جيدًا بشكل عام لأولئك الذين يتلقون تشخيصًا وعلاجًا سريعًا ، ولكن قد تحدث مضاعفات خطيرة بما في ذلك إعتام عدسة العين والزرق واعتلال القرنية الشريطي والوذمة البقعية وفقدان البصر الدائم إذا تركت دون علاج. إن نوع التهاب العنبية ، بالإضافة إلى شدته ومدته واستجابته للعلاج أو أي أمراض مرتبطة به ، كلها عوامل تؤثر على التوقعات.[30]
علم الأوبئة
يصيب التهاب العنبية شخصًا واحدًا تقريبًا من بين كل 4500 شخصًا وهو أكثر شيوعًا بين سن 20 إلى 60 عامًا مع إصابة الرجال والنساء بالتساوي.
في الدول الغربية ، يمثل التهاب العنبية الأمامي ما بين 50٪ و 90٪ من حالات التهاب العنبية. وتتراوح النسبة في الدول الآسيوية بين 28٪ و 50٪.[31]
يُقدر أن التهاب العنبية مسؤول عن حوالي 10٪ -20٪ من العمى في الولايات المتحدة.[32]
انظر ايضا
المراجع
- ^ Abdullah Al-Fawaz; Ralph D Levinson (25 Feb 2010). "Uveitis, Anterior, Granulomatous". eMedicine from WebMD. Archived from the original on 4 December 2010. Retrieved 15 December 2010.
{{cite journal}}
: Cite journal requires|journal=
(help) - ^ Babu BM, Rathinam SR (Jan–Feb 2010). "Intermediate uveitis". Indian Journal of Ophthalmology. 58 (1): 21–7. doi:10.4103/0301-4738.58469. PMC 2841370. PMID 20029143.
{{cite journal}}
: CS1 maint: unflagged free DOI (link) - ^ Table 5-7 in: Mitchell RS, Kumar V, Abbas AK, Fausto N (2007). Robbins Basic Pathology (8th ed.). Philadelphia: Saunders. ISBN 978-1-4160-2973-1.
- ^ Larson T, Nussenblatt RB, Sen HN (June 2011). "Emerging drugs for uveitis". Expert Opinion on Emerging Drugs. 16 (2): 309–22. doi:10.1517/14728214.2011.537824. PMC 3102121. PMID 21210752.
- ^ Shah IA, Zuberi BF, Sangi SA, Abbasi SA (1999). "Systemic Manifestations of Iridocyclitis". Pak J Ophthalmol. 15 (2): 61–64.
- ^ "Zika Can Also Strike Eyes of Adults: Report". Consumer HealthDay. Archived from the original on 20 August 2016. Retrieved 2 May 2018.
- ^ White G. "Uveitis." Archived 2013-08-23 at the Wayback Machine AllAboutVision.com. Retrieved August 20, 2006.
- ^ McGonagle D, McDermott MF (August 2006). "A proposed classification of the immunological diseases". PLoS Medicine. 3 (8): e297. doi:10.1371/journal.pmed.0030297. PMC 1564298. PMID 16942393.
{{cite journal}}
: CS1 maint: unflagged free DOI (link) - ^ CDC: Department of Human Services (9 September 1994). "Uveitis Associated with Rifabutin Therapy". 43(35);658: Morbidity and Mortality Weekly Report. Archived from the original on 18 October 2011. Retrieved 5 May 2013.
{{cite web}}
: CS1 maint: location (link) - ^ Eadie B, Etminan M, Mikelberg FS (January 2015). "Risk for uveitis with oral moxifloxacin: a comparative safety study". JAMA Ophthalmology. 133 (1): 81–4. doi:10.1001/jamaophthalmol.2014.3598. PMID 25275293.
- ^ Nian H, Liang D, Zuo A, Wei R, Shao H, Born WK, Kaplan HJ, Sun D (February 2012). "Characterization of autoreactive and bystander IL-17+ T cells induced in immunized C57BL/6 mice". Investigative Ophthalmology & Visual Science. 53 (2): 897–905. doi:10.1167/iovs.11-8297. PMC 3317428. PMID 22247477.
- ^ Lambe T, Leung JC, Ferry H, Bouriez-Jones T, Makinen K, Crockford TL, Jiang HR, Nickerson JM, Peltonen L, Forrester JV, Cornall RJ, et al. (April 2007). "Limited peripheral T cell anergy predisposes to retinal autoimmunity". Journal of Immunology. 178 (7): 4276–83. doi:10.4049/jimmunol.178.7.4276. PMID 17371984.
- ^ Avichezer D, Grajewski RS, Chan CC, Mattapallil MJ, Silver PB, Raber JA, Liou GI, Wiggert B, Lewis GM, Donoso LA, Caspi RR, et al. (December 2003). "An immunologically privileged retinal antigen elicits tolerance: major role for central selection mechanisms". The Journal of Experimental Medicine. 198 (11): 1665–76. doi:10.1084/jem.20030413. PMC 2194140. PMID 14657219.
- ^ Forrester JV, Xu H, Kuffová L, Dick AD, McMenamin PG (March 2010). "Dendritic cell physiology and function in the eye". Immunological Reviews. 234 (1): 282–304. doi:10.1111/j.0105-2896.2009.00873.x. PMID 20193026.
- ^ Khera TK, Copland DA, Boldison J, Lait PJ, Szymkowski DE, Dick AD, Nicholson LB (May 2012). "Tumour necrosis factor-mediated macrophage activation in the target organ is critical for clinical manifestation of uveitis". Clinical and Experimental Immunology. 168 (2): 165–77. doi:10.1111/j.1365-2249.2012.04567.x. PMC 3390517. PMID 22471277.
- ^ Valentincic NV, de Groot-Mijnes JD, Kraut A, Korosec P, Hawlina M, Rothova A (2011). "Intraocular and serum cytokine profiles in patients with intermediate uveitis". Molecular Vision. 17: 2003–10. PMC 3154134. PMID 21850175.
- ^ Wakefield D, Chang JH, Amjadi S, Maconochie Z, Abu El-Asrar A, McCluskey P (April 2011). "What is new HLA-B27 acute anterior uveitis?". Ocular Immunology and Inflammation. 19 (2): 139–44. doi:10.3109/09273948.2010.542269. PMID 21428757.
- ^ Caspi RR (September 2010). "A look at autoimmunity and inflammation in the eye". The Journal of Clinical Investigation. 120 (9): 3073–83. doi:10.1172/JCI42440. PMC 2929721. PMID 20811163.
- ^ Burn GL, Svensson L, Sanchez-Blanco C, Saini M, Cope AP (December 2011). "Why is PTPN22 a good candidate susceptibility gene for autoimmune disease?". FEBS Letters. 585 (23): 3689–98. doi:10.1016/j.febslet.2011.04.032. PMID 21515266.
- ^ Jap A, Chee SP (November 2011). "Viral anterior uveitis". Current Opinion in Ophthalmology. 22 (6): 483–8. doi:10.1097/ICU.0b013e32834be021. PMID 21918442.
- ^ Dick AD (1 January 2012). "Road to fulfilment: taming the immune response to restore vision". Ophthalmic Research. 48 (1): 43–9. doi:10.1159/000335982. PMID 22398563.
- ^ Jabs DA, Nussenblatt RB, Rosenbaum JT. Standardization of Uveitis Nomenclature (SUN) Working Group. Standardization of uveitis nomenclature for reporting clinical data. Results of the First International Workshop. Am J Ophthalmol 2005;140:509-516.
- ^ Leffler CT, Schwartz SG, Stackhouse R, Davenport B, Spetzler K (December 2013). "Evolution and impact of eye and vision terms in written English". JAMA Ophthalmology. 131 (12): 1625–31. doi:10.1001/jamaophthalmol.2013.917. PMID 24337558. Archived from the original on 2014-12-23.
- ^ Pato E, Muñoz-Fernández S, Francisco F, Abad MA, Maese J, Ortiz A, Carmona L (February 2011). "Systematic review on the effectiveness of immunosuppressants and biological therapies in the treatment of autoimmune posterior uveitis". Seminars in Arthritis and Rheumatism. 40 (4): 314–23. doi:10.1016/j.semarthrit.2010.05.008. PMID 20656330.
- ^ "Fluorescein eye stain". NIH. Archived from the original on 20 May 2012. Retrieved 15 May 2012.
- ^ Ruggieri S, Frassanito MA, Dammacco R, Guerriero S (August 2012). "Treg lymphocytes in autoimmune uveitis". Ocular Immunology and Inflammation. 20 (4): 255–61. doi:10.3109/09273948.2012.681830. PMID 22564107.
- ^ BNF 45 March 2003
- ^ "Diabetes drug could treat leading cause of blindness". May 8, 2012. Archived from the original on June 16, 2012.
- ^ Inkling. "Unsupported Browser". Inkling. Retrieved 2 May 2018.
- ^ "Uveitis from intelihealth". Archived from the original on 2007-10-18.
- ^ Chang JH, Wakefield D (December 2002). "Uveitis: a global perspective". Ocular Immunology and Inflammation. 10 (4): 263–79. doi:10.1076/ocii.10.4.263.15592. PMID 12854035.
- ^ Gritz DC, Wong IG (March 2004). "Incidence and prevalence of uveitis in Northern California; the Northern California Epidemiology of Uveitis Study". Ophthalmology. 111 (3): 491–500, discussion 500. doi:10.1016/j.ophtha.2003.06.014. PMID 15019324.
وصلات خارجية
Classification | |
---|---|
External resources |