التسمم بالرصاص

(تم التحويل من تسمم بالرصاص)
تسمم الرصاص
Lead poisoning
مرادفاتPlumbism, colica pictorum, saturnism, Devon colic, painter's colic
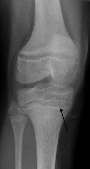
Lead PoisoningRadio.jpg
An X ray demonstrating the characteristic finding of lead poisoning, dense metaphyseal lines.
التبويب والمصادر الخارجية
التخصصToxicology
Patient UK

فشل عرض الخاصية P1461: لم يتم العثور على الخاصية P1461.

تسمم الرصاص
Lead poisoning

التسمم بالرصاص مرض ينجم عن زيادة الرصاص في الجسم. وقد ينشأ عن ابتلاع الأجسام التي تحوي الرصاص، أو عن استنشاق غبار أو دخان الرصاص. وقد يتم امتصاص بعض أشكال الرصاص عن طريق الجلد.

يصيب التسمم بالرصاص كثيراً من الأطفال الذين يأكلون قطعاً من الدهان الجاف الذي يحتوي على نسبة عالية من الرصاص. ويوجد مثل هذا الدهان في العديد من البيوت القديمة. ويصيب التسمم بالرصاص الكبار الذين يعملون في صهر المعادن وصناعة البطاريات والصناعات الأخرى التي تستخدم الرصاص. مثل هذه الصناعات يمكن أن تسبب تلوث البيئة بغبار الرصاص وغازاته التي يمكن أن تكون سبباً لتسمّم الناس المقيمين قريباً من المصانع. وثمة مصدر آخر للتلوث بالرصاص وهو الغازات المنطلقة من العربات التي تستعمل الوقود المعالج بالرصاص.

يعوق الرصاص إنتاج كريات الدم الحمراء، وقد يسبب تلفاً في المخ والكبد وأعضاء الجسم الأخرى. وتشمل أعراض التسمم بالرصاص فقر الدم، وحالات الصداع، والتهيُّج والضعف. كما يعاني العديد من المصابين من ألم البطن والقيء والإمساك وعدد من الأعراض التي تسمى أحيانًا المغص الرصاصي. وفي الحالات الحادة قد تعتري المصابين نوبات من التشنج والشلل. وقد تكون هذه الحالات قاتلة.

في أواخر لبسبعينيات وجد الباحثون أنه من الممكن أن يصاب الطفل بالأذى حتى بامتصاص جسده لكميّات قليلة من الرصاص عبر مدة طويلة. وعلى الرغم من أن مثل هذا الامتصاص لا يؤدّي إلى مرض جسدي، إلا أنه قد يصيب مخ الطفل بتلف ينتُج عنه صعوبات في التعلم.

طرق التعرض

الرصاص هو من أشهر التلوثات البيئية.[1] ومن أسباب التلوث البيئ للرصاص الاستخدامات الصناعية للرصاص , خاصة في الوحدات التي تصنع بطاريات الرصاص الحمضية أو التي تصنع أسلاك الرصاص أو الأنابيب, أو التي تقوم بإعادة تدوير المعادن والمسابك.[2] والأطفال الذين يعيشون بجوار أماكن تصنيع منتجات الرصاص , مثل المصاهر, وجد أنهم يعانون من ارتفاع مستوى الرصاص في الدم.[3] في أغسطس 2009, قام الأهالي بأعمال شغب في الصينبعد فضيحة تسمم الرصاص فقد اكتشفت حالات تسمم بالرصاص في حوالي 2000 طفل كانوا يعيشون بجوار مصاهر للزنك والمنجنيز.[4] التعرض للرصاص قد يحدث من ملامسة الرصاص في الهواء, في الغبار المنزلي, التربة, الماء, والمنتجات التجارية.[5]

التعرض المهني

A man in a hard hat with a clear face plate leans over a conveyor belt with a metal instrument. He is in a factory setting with heavy machinery in the background.
عمال تدوير البطاريات يعملون تحت خطر التعرض للرصاص.[6] هذا العامل يصب رصاص مصهور في قوالب في منشأة استخلاص بطاريات الرصاص-الحمض.

يكون التعرض المهني هو السبب الرئيسي في البالغين للاصابة بتسمم الرصاص.[7]الأشخاص تتعرض حين تعمل في الأماكن التي تصنع منتجات تحتوي على الرصاص; والتي تحتوي على دروع اشعاعية، ذخيرة، معدات جراحية معينة، أجهزة مراقبة الجنين، مواسير مياه، دوائر كهربائية، المحركات النفاثة، صقل السيراميك.[8] وبالاضافة لهذا، مناجم ومصاهر الرصاص، العاملون بالسباكة وميكانيكا السيارات، صناعة الزجاج، العاملون بالانشاءات، صناعة البطاريات وإعادة التدوير، مدربي اطلاق النار، ومصانع البلاستيك كل هؤلاء معرضون لمخاطر تسمم الرصاص.[3] هناك مهن أخرى تسبب مخاطر التعرض للرصاص مثل اللحام وصناعات المطاط، والطابعات، مصاهر الزنك والنحاس، صناعة المواد الخام، إحراق النفايات الصلبة، وصناعة الدهانات والأصباغ.[9] الآباء الذين تعرضوا للرصاص خلال عملهم قد يحملوا في ملابسهم غبار الرصاص مما يعرض أولادهم لهذا الغبار.[9]

الدهان

تكون بعض مركبات الرصاص ملونة وتستعمل على نطاق واسع في الدهانات,[10] .[11] وتستطيع دهانات الرصاص الرديئةأن ترفع من مستوى الرصاص في غبار المنزل وفي التربة بدرجة خطيرة .[12] وهذه الهانات الرصاصية الرديئة والغبار المنزلي المحتوي على الرصاص aيعتبرا السبب الرئيسئ في التسمم المزمن للرصاص.[13] يعاني كثير من الاطفال من إضطرابات بيكا pica, متمثلة في أكل ما ليس طعام.حتى في وجود نسبة ضئيلة من الرصاص في بعض المركبات مثل رقائق الدهانات أو لحس السيراميك قد يحتوي على عشرات أو مئات الميلليجرامات من الرصاص.[14] إن أكل رقائق الدهان لدى الأطفال يمثل خطورة شديدة,غالبًا ما يكون شديد السمية من هذا الذي يحدث عن طريق الغبار المنزلي .[15] عامة فإن إزالةدهانات الرصاص من المنازل,عن طريق الترميل أو الحرق , قد يؤدي إلى تكوين غبار يحتوي على غبار وأدخنة الرصاص.[16] وعلى هذا, يجب أخذ الحذر عند إزالة دهانات الرصاص.[16]

التربة

a closeup of a red gas pump with a warning label that reads, "for use as a motor fuel only" (بخط أكبر) "تحتوي رصاص" (وبخط أصغر) "(tetraethyl)"
تحذير من الرصاص على مضخة بنزين. رصاص الإثيل الرباعي، الذي كان يضاف إلى الگازولين، أدى إلى تلوث التربة.

إن بقايا الرصاص الموجودة في التربة تشارك في تعرض الناس للرصاص في المناطق الحضرية.[17] مكونات الرصاص في التربة قد تنتج عن تكسير دهانات الرصاص في التربة، بقايا الجازولين المحتوي على الرصاص أو المبيدات الحشرية والتي كانت تستعمل في الماضي، كمقالب ملوثة، أو من مصانع قريبة أو مصاهر.[18] بالرغم من أن التربة التي تحتوي على الرصاص تكون قليلة المشاكل في البلدان التي لا يوجد بها جازولين مرصص، إلا أنه يظل سائدًا فيها الاهتمام بمعدلات الأمان في الحضر؛[19] إن أكل طعام مزروع في تربة ملوثة بالرصاص يمثل خطورة شديدة.[20]

الماء

إن الرصاص الأتي من الهواء المحيط او التربة قد ينتهي به المطاف في المياه الجوفية أو المياه السطحية .[21] ويحتمل أن يوجد في مياه الشرب, مثال:عمليات السباكة والإصلاحات والتي تصنع من الرصاص و لحامات الرصاص.[15][22] عند يحلل الماء الحمضي الرصاص الموجود في الأنابيب فإنه وبسهولة شديدة, يكون الكيماويات والتي يمكن أن تضاف إلى الماء الذي توفره البلدية لزيادةpH مما ينتج عنه تقليل تأكل امدادات الماء.[15] كلورامين, والذي اعتمد على أنه aأحد بدائلالمطهراتنظرًا لقلة مشاكله الصحية,إلا أنه يزيد من التأكل.[23] في الولايات المتحدة الأمريمية يرجع 14-20% من حالات التعرض للرصاص إلى ماء الشرب.[23] وفي عام 2004, تكون فريق من سبعة مراسلين من جريدة الواشنطن بوست واكتشفوا [[تلوث رصاصي في ماء الشرب بواشنطن,وفازوا بجائزة [[سلسلة التحقيقات عن التلوث.[24][25]

في أستراليا, فإن تجميع ماء المطر من الجريان السطحي يستعمل كماء صالح للشرب وقد يحتوي على رصاص إذا كان الماء ملوث من هذه الاسطح أو في خزانات المياه .[5] إن المبادئ التوجيهية لمياه الشرب في أستراليا تسمح بان يكون الحد الاقصى .01 mg/L رصاص في الماء.[5]

المنتجات التي تحتوي على الرصاص

قد يوجد الرصاص في مركبات عديدة مثل: kohl, المواد التجميلية في جنوب أسيا, وفي بعض ألعاب الاطفال.[17] في عام 2007, تم استرجاع ملايين من الالعاب التي صنعت في الصينمن عدة بلاد بسبب مخاطر أمنية بسبب دهانات الرصاص بهذه الالعاب.[26] الستائر الرأسية المصنوعة من الفينيل,والموجودة في البيوت القديمة قد تحتوي على مادة الرصاص.

عادة ما يدرج الرصاص ضمن الأعشاب الطبية مثل الايورفيداالهندية مستحضرات وعلاجات صينية المنشأ.[5][27][8] هناك أيضًا مخاطر من ارتفاع نسبة الرصاص بالدم بسبب أعشاب شعبية مثلأزاركون و جريتا, والتي تحتوي كل منها على نسبة 95% من الرصاص.[27] إن ابتلاع الرصاص المعدني, مثل خداعات الصيد, يرفع من نسبة الرصاص بالدم وقد يكون مميت.[28][29][30][31]ابتلاع طعام ملوث بالرصاص يشكل هو الاخر تهديد . لمعان السيراميك غالبا ما يحتوي على رصاص, والأطباق التي لم تحرق جيدًا قد ترشح المعدن في الطعام , مما يؤدي إلى تسمم شديد.[32] في بعض الأماكن, فإن لحام العلب المستخدمة للطعام قد يحتوي على مادة الرصاص.[8] الأشخاص الذين يأكلون الحيوانات التي تم صيدها بطلقات رصاصية فإنهم معرضون لتسمم الرصاص .[33]الرصاصات التي استقرت في الجسم نادرًا ما تسبب ارتفاع ملحوظ في مستوى الرصاص ,[34][35] بينما الطلقات الرصاصية التي تستقر في المفاصل تستثنى من هذا حيث تؤدي إلى تدهور الحالة بغفراز مادة الرصاص في الجسم بمرور الوقت .[36]

علم وظائف الأعضاء المرضي

Two chemical diagrams of tetra-ethyl lead, or (CH3CH2)4Pb. On the left one, carbon and hydrogen are labeled, on the right they are shown as lines only.
Tetra-ethyl lead, still used as an additive in some fuels, can be absorbed through the skin.[8]


Two chemical diagrams of tetra-ethyl lead, or (CH3CH2)4Pb. On the left one, carbon and hydrogen are labeled, on the right they are shown as lines only.
Tetraethyllead, still used as an additive in some fuels, can be absorbed through the skin.[8]

يحدث التعرض للرصاص من خلال استنشاق, ابتلاع أو عن طريق ملامسة الجلد.قد يحدث احتكاك مباشر مع مادة الرصاص عن طريق الفم, أو الانف, أو العين (الغشاء المخاطي), وأيضا من خلال تشققات الجلد. ايثيلات الرصاص الرباعية, وهي من ضمن ما يضاف للجازولين ولا يزال يستعمل في الوقود مثل وقود الطائرات, يمر من خلال الجلد; بينما الرصاص اللا عضوي والموجود في الطلاء, والطعام, وكذلك فإن معظم مسخدمي المنتجات التي تحتوي على مادة الرصاص-يتم امتصاصه بكمية ضئيلة عن طريق الجلد.[8] من المصادر الرئيسية لامتصاص الرصاص اللاعضوي هي الابتلاع والاستنشاق .[37] عند البالغين, حوالي 35–40% من الرصاص المستنشق يترسب في الرئتين, وحوالي 95% من هذه الكمية تذهب إلى مجرى الدم.[37] هناك حوالي15% من الرصاص الذي تم ابتلاعه يتم امتصاصه, وترتفع هذه النسبة أكثر في الأطفال, والنساء الحوامل,و من لديهم نقص في مستوى الكالسيوم في الدم, أو زنك أو حديد.[27] قد يمتص الأطفال والرضع حوالي50% من الرصاص المبتلع ولكن القليل هم من يعلمون بمعدل الإمتصاص عند الأطفال .[38]

يعتبر الدم من أهم الأماكن المخصصة لتخزين الرصاص في الجسم, والأنسجة الرقيقة وكذلك العظام; the half-life of lead in these tissues is measured in weeks for blood, months for soft tissues, and years for bone.[27] Lead in the bones, teeth, hair and nails is bound tightly and not available to other tissues, and is generally thought not to be harmful.[39] In adults, 94% of absorbed lead is deposited in the bones and teeth, but children only store 70% in this manner, a fact which may partially account for the more serious health effects on children.[40] The estimated half-life of lead in bone is 20–30 years, and bone can introduce lead into the bloodstream long after the initial exposure is gone.[8] The half-life of lead in the blood in men is about 40 days, but it may be longer in children and pregnant women, whose bones are undergoing remodeling, which allows the lead to be continuously re-introduced into the bloodstream.[40] Also, if lead exposure takes place over years, clearance is much slower, partly due to the re-release of lead from bone.[41] Many other tissues store lead, but those with the highest concentrations (other than blood, bone, and teeth) are the brain, spleen, kidneys, liver, and lungs.[42] It is removed from the body very slowly, mainly through urine.[43] Smaller amounts of lead are also eliminated through the feces, and very small amounts in hair, nails, and sweat.[44]

Lead has no known physiologically relevant role in the body,[2][45] and its harmful effects are myriad. Lead and other heavy metals create reactive radicals which damage cell structures including DNA and cell membranes.[46] Lead also interferes with DNA transcription, enzymes that help in the synthesis of vitamin D, and enzymes that maintain the integrity of the cell membrane.[42] Anemia may result when the cell membranes of red blood cells become more fragile as the result of damage to their membranes.[47] Lead interferes with metabolism of bones and teeth[48] and alters the permeability of blood vessels and collagen synthesis.[7] Lead may also be harmful to the developing immune system, causing production of excessive inflammatory proteins; this mechanism may mean that lead exposure is a risk factor for asthma in children.[48] Lead exposure has also been associated with a decrease in activity of immune cells such as polymorphonuclear leukocytes.[48] Lead also interferes with the normal metabolism of calcium in cells and causes it to build up within them.[15]



الإنزيمات

النيورونات

Two black and white photos; one shows dark, fairly regular rings on a lighter background, and the other shows irregular, smaller, and not as dark clusters.
Lead exposure damages cells in the hippocampus, a part of the brain involved in memory. Hippocampi of lead-exposed rats (bottom) show structural damage such as irregular nuclei (IN) and denaturation of myelin (DNS) compared to controls (top).[49]


الأعراض

Symptoms of lead poisoning.

تسمم الرصاص قد يؤدي إلى أعراض مختلفة تعتمد على الشخص المصاب والمدة التي تعرض[27][50] تكون الأعراض عامة وقد تكون خفيفة وقد يكون هناك شخص لديه نسبة عالية من الرصاص وليس لديه أي أعراض.[51] الأعراض غالبًا ما تظهر بعد أسابيع الى شهور حيث يتم بناء الرصاص بالجسم أثناء التعرض المزمن له ولكن الأعراض الحادة تنتج من التعرض القصير الاجل والحاد[42] إن الأعراض الناتجة من التعرض للرصاص العضوي, والتي غالبا ماتكون أكثر سمية من الغير عضوي نتيجة ذوبانه في الدهون تحدث بسرعة.> التسمم بالمركبات العضوية للرصاص غالبًا ما يؤدي الى أعراض في الجهاز العصبي المركزي, مثل الأرق والهذيان العجز المعرفي, الارتعاش, الهلوسة, والتشنجات.

قد تختلف الاعراض في الاطفال عن الكبار ويكون العرض الرئيسي في الكبار هو الصداع, ألم بالبطن, فقدان في الذاكرة, فشل كلوي , مشاكل في الخصوبة لدى الرجال, ضعف عام, وتكون الأعراض التقليدية عند الاطفال فقدان الشهية , ألم بالبطن, قئ وفقدان في الوزن, إمساك, أنيميا, فشل كلوي, توتر, بلادة, صعوبات في التعلم, وتغيرات سلوكية. يعاني الاطفال من فقدان السمع, تأخر في النمو, دوار, حماقة, عدم القدرة على تعلم المهارات الجديدة, خاصة مهارات الكلام. وهذا يظهر في الاطفال عند مستوى منخفض للرصاص في الدم اكثر منه في الكبار .

التسمم الحاد

في حالات التسمم الحادة,تظهر علامات عصبية محددة مثل الالم, ضعف في العضلات, تنميل, ونادرًا, الأعراض التي تصاحب التهاب السحايا.[13] ألم بالبطن, غثيان, قئ, اسهال, والأمساك هي أعراض أخرى للتسمم الحاد.[52] للرصاص تأثيرات على الفم قبض الأوعية طعم معدني في الفم.[52] مشاكل الجهاز الهضميl الامساك, اسهال, نقص الشهية, نقص الوزن, تظهر بوضوح في التسمم الحاد. Aإن امتصاص كمية كبيرة من الرصاص في وقت قليل قد يؤدي إلى صدمة صحية(k (نقص في سوائل الجهاز الدوري) نتيجة فقد الماء من الجهاز الهضمي.[52] [[]] (انفجار كرات الدم الحمراء) نتيجة التسمم الحاد قد تؤدي إلى انيميا و زيادة الهيموجلوبين في البول .[52] تدمير للكلى قد يؤدي إلى تغيير في عملية التبول نقص في كمية البول .[52] الأشخاص الناجين من التسمم الحاد قد يتعرضوا لأعراض التسمم المزمن .[52]

التسمم المزمن

يظهر التسمم المزمن عادة على شكل أعراض تصيب أجهزة مختلفة في الجسم,[53] وتتكون من ثلاثة أنواع من الاعراض: هضمي, عصبي عضلي, و عصبي.[13] الجهاز العصبي المركزي والاعراض العضلية عصبيةعادة ما تنتج من تعرض شديد , بينما الاعراض الهضمية عادة ما تنتج من التعرض للرصاص لفترات طويلة .[52] علامات التعرض المزمن تتكون من فقدان الذاكرةقصيرة الأجل أو التركيز, إكتئاب, غثيان وألم بالبطن, عدم القدرة على التحكم, وتنميل فيالأطراف.[8] الإجهاد, مشاكل النوم, الصداع, العند, الخطاب المدغم, وكذلك الانيمياتظهر في التسمم المزمن بالرصاص poisoning.[13] "رصاص الهو" يحدث في الجلدشحوب .[54] إن وجود خط أزرق في اللثة, مع وجود حواف زرقاء حول الأسنان هو علامة الإصابة بتسمم الرصاص.[55] الأطفال المصابين بتسمم الرصاص يرفضون اللعب أو لديهم فرط حركة أو سلوك عدواني نحو الأخرين.[13]

الجهاز البولي

الجهاز الدوري

الجهاز التناسلي

الجهاز العصبي

Eight MRI views of a brain in black and white, with yellow, orange, and red areas overlaid in spots mainly toward the front.
The brains of adults who were exposed to lead as children show decreased volume, especially in the prefrontal cortex, on MRI. Areas of volume loss are shown in color over a template of a normal brain.[56]


التشخيص

ويستطيع الأطباء اكتشاف التسمّم بالرصاص عن طريق اختبار عينات من بول الشخص أو دمه وأخذ صور بالأشعة السينية للعظام. فإذا تم اكتشاف المرض في مرحلة مبكرة، فإن ذلك يؤدِّي إلى الحيلولة دون حدوث ضرر دائم. ويوصي الأطباء في بعض الدول بفحص الأطفال الذين تتراوح أعمارهم بين السنة والست سنوات مرة على الأقل كل عام للاطمئنان على عدم إصابتهم بالتسمّم الرصاصي.

الوقاية

A box of cigarette-like white cylinders on the left, in the middle a white cylinder with a pink tip, on the right a paper with four circles, two blank and two pink
Testing kits are commercially available for detecting lead. These swabs, when wiped on a surface, turn pink in the presence of lead.


العلاج

يعالج الأطباء التسمّم بالرصاص بالأدوية التي تساعد الجسم على التخلص من الرصاص عن طريق البول. وقد يستمر العلاج عدة أشهر. ومن الممكن الوقاية من التسمّم بالرصاص عن طريق تخفيض كمية الرصاص في البيئة. تقوم بعض الحكومات بفرض قيود على نسبة الرصاص في الدهان وبعض المنتجات الأخرى، وتنظم الاستخدامات الصناعية للرصاص. وتضع هذه الحكومات أيضًا ضوابط قياسية تحدد كمية الرصاص التي يمكن إطلاقها في الهواء. أضف إلى ذلك أن العديد من الدول تقوم بخفض مستويات الرصاص في وقود السيارات (البنزين) وتشجع استخدام البنزين الخالي من الرصاص.

التوجيهات الادارية من مراكز التحكم في الأمراض للأطفال ذوي مستويات مرتفعة من الرصاص في الدم[57]
مستوى الرصاص
في الدم (μg/dL)
العلاج
10–14 التعليم,
كرر الفحص المسحي
15–19 كرر الفحص المسحي، case
management to abate sources
20–44 Medical evaluation,
case management
45–69 Medical evaluation,
chelation, case management
>69 Hospitalization, immediate
chelation, case management
a chemical diagram of [CH2N(CH2CO2-)2]2 (shown in black) with the four O- tails binding a metal ion (shown in red).
EDTA, a chelating agent, binds a heavy metal, sequestering it.



الوبائيات

التاريخ

an ancient Greek black-and-white woodcut print of a middle aged bearded man. His left hand rests on a book and in his right he holds a plant.
Dioscorides noted lead's effect on the mind in the first century A.D.
a block with two dull, dark gray metal spouts coming from the top. The spouts are chipped and very old-looking.
Roman lead water pipes with taps


في الأنواع الأخرى

الحياة البرية

A large tan bird of prey with dark brown neck feathers and a bare red head sits on a dead cow in a desert with dead grass and scrub
Critically endangered California Condor can be poisoned when they eat carcasses of animals shot with lead pellets.

انظر أيضاً

المصادر

  1. ^ Ragan, P; Turner, T (2009). "Working to prevent lead poisoning in children: getting the lead out". JAAPA : official journal of the American Academy of Physician Assistants. 22 (7): 40–5. PMID 19697571.
  2. ^ أ ب Ma�ay, N; Cousillas, AZ; Alvarez, C; Heller, T (2008). "Lead contamination in Uruguay: the "La Teja" neighborhood case". Reviews of environmental contamination and toxicology. 195: 93–115. PMID 18418955. {{cite journal}}: replacement character in |last1= at position 3 (help)
  3. ^ أ ب خطأ استشهاد: وسم <ref> غير صحيح؛ لا نص تم توفيره للمراجع المسماة Sanborn
  4. ^ Watts, J (2009). "Lead poisoning cases spark riots in China". Lancet. 374 (9693): 868. PMID 19757511.
  5. ^ أ ب ت ث Rossi, E (2008). "Low level environmental lead exposure--a continuing challenge". The Clinical biochemist. Reviews / Australian Association of Clinical Biochemists. 29 (2): 63–70. PMC 2533151. PMID 18787644.
  6. ^ Brodkin, E; Copes, R; Mattman, A; Kennedy, J; Kling, R; Yassi, A (2007). "Lead and mercury exposures: interpretation and action". CMAJ : Canadian Medical Association journal = journal de l'Association medicale canadienne. 176 (1): 59–63. doi:10.1503/cmaj.060790. PMC 1764574. PMID 17200393. {{cite journal}}: Missing pipe in: |journal= (help)
  7. ^ أ ب خطأ استشهاد: وسم <ref> غير صحيح؛ لا نص تم توفيره للمراجع المسماة Needleman04-AnnRev
  8. ^ أ ب ت ث ج ح خ د خطأ استشهاد: وسم <ref> غير صحيح؛ لا نص تم توفيره للمراجع المسماة Patrick06
  9. ^ أ ب Dart, Hurlbut, Boyer-Hassen (2004) p. 1424
  10. ^ Henretig (2006) p. 1310
  11. ^ Gilbert, SG; Weiss, B (2006). "A rationale for lowering the blood lead action level from 10 to 2 microg/dL". Neurotoxicology. 27 (5): 693–701. doi:10.1016/j.neuro.2006.06.008. PMC 2212280. PMID 16889836.
  12. ^ Dart, Hurlbut, Boyer-Hassen (2004) p. 1423
  13. ^ أ ب ت ث ج خطأ استشهاد: وسم <ref> غير صحيح؛ لا نص تم توفيره للمراجع المسماة Pearce07-EurNeurol
  14. ^ خطأ استشهاد: وسم <ref> غير صحيح؛ لا نص تم توفيره للمراجع المسماة Kosnett06-241
  15. ^ أ ب ت ث Chisolm (2004) pp. 221–22
  16. ^ أ ب Salvato (2003) p.116
  17. ^ أ ب خطأ استشهاد: وسم <ref> غير صحيح؛ لا نص تم توفيره للمراجع المسماة Guidotti07-PedClin
  18. ^ خطأ استشهاد: وسم <ref> غير صحيح؛ لا نص تم توفيره للمراجع المسماة Woolf07-PedClin
  19. ^ Murphy, K. (May 13, 2009). "For urban gardeners, lead is a concern". New York Times. Retrieved September 18, 2009.
  20. ^ Yu (2005) p.188
  21. ^ Yu (2005) p.187
  22. ^ Menkes (2006) p.703
  23. ^ أ ب Maas, RP; Patch, SC; Morgan, DM; Pandolfo, TJ (2005). "Reducing lead exposure from drinking water: recent history and current status". Public health reports (Washington, D.C. : 1974). 120 (3): 316–21. PMC 1497727. PMID 16134575.
  24. ^ "Alum Wins Investigative Reporting Award with Post Team". University of Maryland. February 25, 2005. Archived from the original on September 12, 2006. Retrieved 2007-11-07.
  25. ^ "HONORS". The Washington Post. February 23, 2005. {{cite news}}: Invalid |ref=harv (help)
  26. ^ "Mattel CEO: 'Rigorous standards' after massive toy recall". CNN. November 15, 2007. Retrieved September 26, 2009.
  27. ^ أ ب ت ث ج خطأ استشهاد: وسم <ref> غير صحيح؛ لا نص تم توفيره للمراجع المسماة Karri08
  28. ^ Schep, LJ; Fountain, JS; Cox, WM; Pesola, GR (2006). "Lead shot in the appendix". The New England journal of medicine. 354 (16): 1757, author reply 1757. doi:10.1056/NEJMc060133. PMID 16625019.
  29. ^ Madsen, HH; Skj�dt, T; J�rgensen, PJ; Grandjean, P (1988). "Blood lead levels in patients with lead shot retained in the appendix". Acta radiologica (Stockholm, Sweden : 1987). 29 (6): 745–6. PMID 3190952. {{cite journal}}: replacement character in |last2= at position 4 (help); replacement character in |last3= at position 2 (help)
  30. ^ Durlach, V; Lisovoski, F; Gross, A; Ostermann, G; Leutenegger, M (1986). "Appendicectomy in an unusual case of lead poisoning". Lancet. 1 (8482): 687–8. PMID 2869380.
  31. ^ Centers for Disease Control and Prevention (CDC) (2006). "Death of a child after ingestion of a metallic charm--Minnesota, 2006". MMWR. Morbidity and mortality weekly report. 55 (12): 340–1. PMID 16572103.
  32. ^ خطأ استشهاد: وسم <ref> غير صحيح؛ لا نص تم توفيره للمراجع المسماة Salvato03-117
  33. ^ Hunt, WG; Watson, RT; Oaks, JL; Parish, CN; Burnham, KK; Tucker, RL; Belthoff, JR; Hart, G; Zhang, Baohong (2009). "Lead bullet fragments in venison from rifle-killed deer: potential for human dietary exposure". PloS one. 4 (4): e5330. doi:10.1371/journal.pone.0005330. PMC 2669501. PMID 19390698.{{cite journal}}: CS1 maint: unflagged free DOI (link)
  34. ^ Spitz, M; Lucato, LT; Haddad, MS; Barbosa, ER (2008). "Choreoathetosis secondary to lead toxicity". Arquivos de neuro-psiquiatria. 66 (3A): 575–7. PMID 18813727.
  35. ^ Dimaio, VJ; Dimaio, SM; Garriott, JC; Simpson, P (1983). "A fatal case of lead poisoning due to a retained bullet". The American journal of forensic medicine and pathology : official publication of the National Association of Medical Examiners. 4 (2): 165–9. PMID 6859004.
  36. ^ Fiorica, V; Brinker, JE (1989). "Increased lead absorption and lead poisoning from a retained bullet". The Journal of the Oklahoma State Medical Association. 82 (2): 63–7. PMID 2926538.
  37. ^ أ ب Merrill, Morton, Soileau (2007) p. 860
  38. ^ Grant (2009) p. 767
  39. ^ Rubin, Strayer (2008) p. 266
  40. ^ أ ب خطأ استشهاد: وسم <ref> غير صحيح؛ لا نص تم توفيره للمراجع المسماة Barbosa
  41. ^ خطأ استشهاد: وسم <ref> غير صحيح؛ لا نص تم توفيره للمراجع المسماة Hu07
  42. ^ أ ب ت Dart, Hurlbut, Boyer-Hassen (2004) p. 1426
  43. ^ خطأ استشهاد: وسم <ref> غير صحيح؛ لا نص تم توفيره للمراجع المسماة Pearson03
  44. ^ خطأ استشهاد: وسم <ref> غير صحيح؛ لا نص تم توفيره للمراجع المسماة Kosnett06-238
  45. ^ White, LD; Cory-Slechta, DA; Gilbert, ME; Tiffany-Castiglioni, E; Zawia, NH; Virgolini, M; Rossi-George, A; Lasley, SM; Qian, YC (2007). "New and evolving concepts in the neurotoxicology of lead". Toxicology and applied pharmacology. 225 (1): 1–27. doi:10.1016/j.taap.2007.08.001. PMID 17904601.
  46. ^ Flora, SJ; Mittal, M; Mehta, A (2008). "Heavy metal induced oxidative stress & its possible reversal by chelation therapy". The Indian journal of medical research. 128 (4): 501–23. PMID 19106443.
  47. ^ Yu (2005) p.193
  48. ^ أ ب ت Casarett, Klaassen, Doull (2007) p. 946
  49. ^ خطأ استشهاد: وسم <ref> غير صحيح؛ لا نص تم توفيره للمراجع المسماة Xu09
  50. ^ خطأ استشهاد: وسم <ref> غير صحيح؛ لا نص تم توفيره للمراجع المسماة Kosnett05-825
  51. ^ خطأ استشهاد: وسم <ref> غير صحيح؛ لا نص تم توفيره للمراجع المسماة Mycyk05-463
  52. ^ أ ب ت ث ج ح خ خطأ استشهاد: وسم <ref> غير صحيح؛ لا نص تم توفيره للمراجع المسماة Brunton07-31
  53. ^ خطأ استشهاد: وسم <ref> غير صحيح؛ لا نص تم توفيره للمراجع المسماة Katzung07-948
  54. ^ James, William; Berger, Timothy; Elston, Dirk (2005). Andrews' Diseases of the Skin: Clinical Dermatology. (10th ed.). Saunders. ISBN 0721629210. :859
  55. ^ Rambousek (2008) p.177
  56. ^ خطأ استشهاد: وسم <ref> غير صحيح؛ لا نص تم توفيره للمراجع المسماة Cecil08
  57. ^ Kosnett (2006) pp.242

وصلات خارجية

الكلمات الدالة: