ورم نقوي متعدد
| Multiple myeloma | |
|---|---|
| الأسماء الأخرى | Plasma cell myeloma, myelomatosis, Kahler's disease |
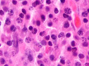
| Micrograph of a plasmacytoma. H&E stain | |
| التخصص | Hematology and oncology |
| الأعراض | Bone pain, bleeding, frequent infections, anemia[1] |
| المضاعفات | Amyloidosis, kidney problems, overly thick blood[1][2] |
| المدة | Long term[2] |
| المسببات | Unknown[3] |
| عوامل الخطر | Obesity[4] |
| الطريقة التشخيصية | Blood or urine tests, bone marrow biopsy, medical imaging[5] |
| العلاج | Steroids, chemotherapy, thalidomide, stem cell transplant, bisphosphonates, radiation therapy[2][5] |
| Prognosis | Five-year survival rate 49% (USA)[6] |
| التردد | 488,200 (affected during 2015)[7] |
| الوفيات | 101,100 (2015)[8] |
ورم نقوي متعدد إنگليزية: Multiple Myeloma هو مرض سرطاني يصيب الخلايا البلازمية من نوع B مما يؤدي إلى تكاثر هذه الخلايا بشكل غير طبيعي و تكدسها في نخاع العظم. يشكل ما نسبته 1% من الأمراض السرطانية بشكل عام و 10% من الأصابات بسرطان الدم. معدل عمر المريض عند تشخيص المرض يتراوح مابين 60-65 عاما. ينتشر المرض بين الأشخاص ذوي الأصول الإفريقية أكثر من البيض و الآسيويون.
مسببات المرض
كبقية أمراض الدم السرطانية، لا يعرف ماهو المسبب الرئيسي للمرض. بعض الدراسات تشير إلى التعرض للإشعاعات سواء كانت علاجية أو تشخيصية تزيد من نسبة الإصابة بالمرض. التعرض ليعض المركبات الكيميائية كالبنزين و الرصاص و المبيدات و صبغات الشعر.
الفيسيولوجيا المرضية
وجد الباحثون عدة اضطرابات جزيئية في الخلابا السرطانية تؤدي إلى حدوث مشاكل في عملية استموات الخلايا و نقل الإشارة و دورة حياة الخلية. مثلا إنترلوكين 6 وهو عبارة عن سايتوكاين يتم إفرازه من الخلايا الموجودة في نخاع العظم. زيادة إفراز هذا المركب يعمل على تنشيط مسارين لنقل الإشارة JAK-STAT و Ras-MAP و كلاهما يعمل على زيادة معدل التكاثر للخلايا و تثبيط عملية استموات الخلايا. و من الجدير بالذكر أن الخلايا السرطانية نفسها تقوم أيضا بإفراز هذا السايتوكاين. بعض العوامل الأخرى التي تساعد على استمرارية المرض، زيادة التعبير الجيني D1 المسؤول عن تكاثر الخلايا و كذلك تثبيط كل من p15 و p16 المسؤولان عن ضبط عمليات انقسام الخلايا.
العلامات و الأعراض
يظهر المرضى المصابين بالمرض عدة أعراض من أهمها:
- آلام و كسور في العظام نتيجة النشاط المرتفع للخلايا هادمة العظم.
- فقر دم عام و ضعف الجهاز المناعي لعدم فعالية الخلايا المسؤولة عن تصنيع مكونات الدم و الأضداد.
- اضطرابات في الجهاز البولي نتيجة زيادة الكالسيوم في الدم.
ألم العظام

تشخيص المرض
يُشخص المرض مخبريا بعمل عدة فحوصات و تشمل الفحوصات الوظيفية للكلية و قياس كمية الكالسيوم في الدم و عد مكونات الدم. و يستخدم الترحيل الكهربائي للبروتينات للتحري عن بعض البروتينات الغير طبيعية التي يتم إنتاجها بواسطة الخلايا السرطانية. للتحري عن أية كسور في العظام يتم تصوير المريض إشعاعيا بواسطة الجهاز الطبقي أو جهاز الرنين المغناطيسي.
فحوص الدم

-
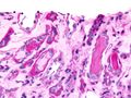
Bone marrow aspirate showing the histologic correlate of multiple myeloma under the microscope. H&E stain.
-
Plasmacytoma. H&E stain.
-
Micrograph showing myeloma cast nephropathy in a kidney biopsy. Hyaline casts are PAS positive (dark pink/red - right of image). Myelomatous casts are PAS negative (pale pink - left of image). PAS stain.
-
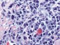
Atypical plasma cell infiltrate with both Russell (cytoplasmic) and Dutcher (nuclear) bodies (H&E, 50x).
Histopathology
-
X-ray of the forearm, with lytic lesions.
-
Skull X-ray showing multiple lucencies due to multiple myeloma
-
Pathological fracture of the lumbar spine due to multiple myeloma
-
A CT of the brain revealed a lytic lesion in the left temporal bone (right side of image), and petrous temporal bones involving the mastoid segment of the facial nerve canal. Red arrows: lesion; green arrow: normal contralateral facial nerve canal. The lesions are consistent with a myeloma deposit.
-
CT scan of the lower vertebral column in a man with multiple myeloma, showing multiple osteoblastic lesions. These are more radiodense (brighter in this image) than the surrounding cancellous bone, in contrast to osteolytic lesions which are less radiodense.
-
Femur with multiple myeloma lesions.
-
Same femur before myeloma lesions for comparison
-
Humerus with multiple myeloma lesions.
-
Same humerus before, with just subtle lesions
Staging
- International Staging System
The International Staging System (ISS) for myeloma was published by the International Myeloma Working Group in 2005:[9]
- Stage I: β2 microglobulin (β2M) < 3.5 mg/L, albumin ≥ 3.5 g/dL
- Stage II: β2M < 3.5 mg/L and albumin < 3.5 g/dL; or β2M 3.5–5.5 mg/L irrespective of the serum albumin
- Stage III: β2M ≥ 5.5 mg/L
العلاج
يتم علاج المرض باستخدام عدة أساليب و حسب حالة المريض و مرحلة المرض. من أهم طرق العلاج المتبعة هي
- العلاج الكيميائي و ذلك بإعطاء المريض جرعات من دواء أو عدة أدوية إما عن طريق الوريد أو عن طريق الفم. من أهم الأدوية التي تستخدم الملفلان و بريدنيسولون (Melphalan and Prednisolone).
- زراعة نخاع العظم: في بعض الحالات و عند عدم نجاح العلاج باستخدام العلاج الكيميائي يلجأ الأطباء إلى زيادة تركيز جرعات العلاج الكيميائي و من ثم إجراء عملية زراعة نخاع العظم الذاتي. يتم أيضا استخدام زراعة نخاع العظم الخيفي في الحالات المرضية التي تسمح و تحقق شروط معينة مثل عمر المريض و وجود متبرع يطابق المستقبل بنسبة عالية.
- العلاج الإشعاعي و يستخدم إما مع العلاج الكيميائي لتدمير الخلايا السرطانية أو لتهيئة المريض لعملية زراعة نخاع العظم أو يستخدم كمسكن للألم وذلك بعلاج كسور العظام.
- الأدوية المنظِّمة للمناعة: مثل الثالومايد (Thalomid) و رڤليميد (Revlimid) و كلاهما يعملان على تحفيز استموات الخلايا و تثبيط نمو الخلايا السرطانية و ضبط و تنظيم إنتاج السايتوكاينات و تثبيط تولد الأوعية الدموية.
علاج الصيانة
Most people, including those treated with ASCT, will relapse after initial treatment. Maintenance therapy using a prolonged course of low toxicity medications is often used to prevent relapse. A 2017 meta-analysis showed that post ASCT maintenance therapy with lenalidomide improved progression free survival and overall survival in people at standard risk.[10] A 2012 clinical trial showed that people with intermediate and high risk disease benefit from a bortezomib based maintenance regimen.[11]
Relapse
The natural history of myeloma is of relapse following treatment. This may be attributed to tumor heterogeneity. Depending on the patient's condition, the prior treatment modalities used and the duration of remission, options for relapsed disease include re-treatment with the original agent, use of other agents (such as melphalan, cyclophosphamide, thalidomide or dexamethasone, alone or in combination), and a second autologous stem cell transplant.
Later in the course of the disease, it becomes refractory (resistant) to formerly effective treatment. This stage is referred to as relapsed/refractory multiple myeloma (RRMM). Treatment modalities that are commonly use to treat RRMM include dexamethasone, proteasome inhibitors (e.g. bortezomib and carfilzomib), immunomodulatory imide drugs (e.g. thalidomide, lenalidomide and pomalidomide), and certain monoclonal antibodies (e.g. against CD38 and CD319). Survival expectancy has risen in recent years
This article needs additional citations for verification. (May 2015) (Learn how and when to remove this template message) |
, and new treatments are under development.
This article needs additional citations for verification. (May 2015) (Learn how and when to remove this template message) |
Epidemiology


Globally, multiple myeloma affected 488,000 people and resulted in 101,100 deaths in 2015.[7][8] This is up from 49,000 in 1990.[13]
التاريخ
The alternative name Kahler's disease is after Otto Kahler.
Other animals
Multiple myeloma affects many other species. The disease has been diagnosed in dogs,[14] cats, and horses.[15]
In dogs, multiple myeloma accounts for around 8% of all haemopoietic tumors. Multiple myeloma occurs in older dogs, and is not particularly associated with either males or females. No breeds appear overrepresented in case reviews that have been conducted.[16] Diagnosis in dogs is usually delayed due to the initial non specificity and range of clinical signs possible. Diagnosis usually involves bone marrow studies, X-rays, and plasma protein studies. In dogs, protein studies usually reveal the monoclonal gammaglobulin elevation to be IgA or IgG in equal incidence.[16] In rare cases the globulin elevation is IgM, which is referred to as Waldenström's macroglobulinemia.[17] The prognosis for initial control and return to good quality of life in dogs is good. 43% of dogs started on a combination chemotherapeutic protocol achieved complete remission. Long-term survival is normal, with a median of 540 days reported.[16] The disease eventually recurs, becoming resistant to available therapies. The complications of kidney failure, sepsis, or pain can lead to an animal's death, frequently by euthanasia.
See also
- Plasma cell dyscrasia, the spectrum of plasma cell disorders which evolve from benign to malignant conditions
- Development of analogs of thalidomide
- International Myeloma Foundation
- Multiple Myeloma Research Consortium
- Multiple Myeloma Research Foundation
- Plasma cell leukemia, an aggressive form of MM
- Virtual karyotype
- Waldenström macroglobulinemia
الهامش
- ^ أ ب خطأ استشهاد: وسم
<ref>غير صحيح؛ لا نص تم توفيره للمراجع المسماةNIH2016Pt - ^ أ ب ت خطأ استشهاد: وسم
<ref>غير صحيح؛ لا نص تم توفيره للمراجع المسماةNIH2016Pro - ^ خطأ استشهاد: وسم
<ref>غير صحيح؛ لا نص تم توفيره للمراجع المسماةWCR2014Cp513 - ^ World Cancer Report 2014. World Health Organization. 2014. pp. Chapter 2.3 and 2.6. ISBN 9283204298.
- ^ أ ب خطأ استشهاد: وسم
<ref>غير صحيح؛ لا نص تم توفيره للمراجع المسماةRaab2009 - ^ خطأ استشهاد: وسم
<ref>غير صحيح؛ لا نص تم توفيره للمراجع المسماةSEER2016 - ^ أ ب GBD 2015 Disease and Injury Incidence and Prevalence, Collaborators. (8 October 2016). "Global, regional, and national incidence, prevalence, and years lived with disability for 310 diseases and injuries, 1990-2015: a systematic analysis for the Global Burden of Disease Study 2015". Lancet. 388 (10053): 1545–1602. doi:10.1016/S0140-6736(16)31678-6. PMC 5055577. PMID 27733282.
{{cite journal}}:|first1=has generic name (help)CS1 maint: numeric names: authors list (link) - ^ أ ب GBD 2015 Mortality and Causes of Death, Collaborators. (8 October 2016). "Global, regional, and national life expectancy, all-cause mortality, and cause-specific mortality for 249 causes of death, 1980-2015: a systematic analysis for the Global Burden of Disease Study 2015". Lancet. 388 (10053): 1459–1544. doi:10.1016/s0140-6736(16)31012-1. PMC 5388903. PMID 27733281.
{{cite journal}}:|first1=has generic name (help)CS1 maint: numeric names: authors list (link) - ^ Greipp PR, San Miguel J, Durie BG, et al. (2005). "International staging system for multiple myeloma". J. Clin. Oncol. 23 (15): 3412–20. doi:10.1200/JCO.2005.04.242. PMID 15809451. Archived from the original on 2010-08-23.
{{cite journal}}: Unknown parameter|deadurl=ignored (|url-status=suggested) (help) - ^ McCarthy, P. L; Holstein, S. A; Petrucci, M. T; Richardson, P. G; Hulin, C; Tosi, P; Bringhen, S; Musto, P; Anderson, K. C; Caillot, D; Gay, F; Moreau, P; Marit, G; Jung, S. H; Yu, Z; Winograd, B; Knight, R. D; Palumbo, A; Attal, M (July 27, 2017). "Lenalidomide Maintenance After Autologous Stem Cell Transplant in Newly Diagnosed Multiple Myeloma: a Meta-Analysis". J Clin Oncol. 35 (29): 3279–3289. doi:10.1200/JCO.2017.72.6679. PMC 5652871. PMID 28742454.
- ^ Sonneveld, P (July 16, 2012). "Bortezomib induction and maintenance treatment in patients with newly diagnosed multiple myeloma". J Clin Oncol. 30 (24): 2946–55. doi:10.1200/JCO.2011.39.6820. PMID 22802322.
- ^ "WHO Disease and injury country estimates". World Health Organization. 2009. Archived from the original on 2009-11-11. Retrieved Nov 11, 2009.
{{cite web}}: Unknown parameter|deadurl=ignored (|url-status=suggested) (help) - ^ GBD 2013 Mortality and Causes of Death, Collaborators (10 January 2015). "Global, regional, and national age-sex specific all-cause and cause-specific mortality for 240 causes of death, 1990-2013: a systematic analysis for the Global Burden of Disease Study 2013". Lancet. 385 (9963): 117–71. doi:10.1016/s0140-6736(14)61682-2. PMC 4340604. PMID 25530442.
{{cite journal}}:|first1=has generic name (help)CS1 maint: numeric names: authors list (link) - ^ Ettinger, Stephen J.; Feldman, Edward C. (1 June 2000). Textbook of Veterinary Internal Medicine: Diseases of the Dog and Cat. Vol. 1. W.B. Saunders. pp. 516–9. ISBN 978-0-7216-7257-1.
- ^ MacAllister C, Qualls C, Tyler R, Root CR (August 1987). "Multiple myeloma in a horse". J. Am. Vet. Med. Assoc. 191 (3): 337–9. PMID 3654300.
- ^ أ ب ت Matus, R.E.; Leifer, C.E.; MacEwen, E.G.; Hurvitz, A.I. (1986). "Prognostic factors for multiple myeloma in the dog". J. Am. Vet. Med. Assoc. 188 (11): 1288–92. PMID 3721983.
- ^ MacEwan, E.G.; Hurvitz, A.I. (1977). "Diagnosis and Management of Monoclonal Gammopathies". Veterinary Clinics of North America. 7: 119. doi:10.1016/S0091-0279(77)50010-X.
المصادر
وصلات خارجية
| Classification | |
|---|---|
| External resources |
- CS1 errors: generic name
- CS1 maint: numeric names: authors list
- CS1 errors: unsupported parameter
- الصفحات بخصائص غير محلولة
- Short description is different from Wikidata
- Articles containing إنگليزية-language text
- Pages using Lang-xx templates
- Articles needing additional references from May 2015
- All articles needing additional references
- Multiple myeloma
- RTT
- Medical mnemonics
- اضطرابات الدم
- أمراض سرطانية