تكبير الثدي

(تم التحويل من تكبير الصدر)
تكبير الثدي
Dr. Placik Breast Augmentation.jpg
قبل إجراء تكبير الثدي (يسار)، وبعد إجراء تكبير الثدي (يمين).
التخصصجراحة التجميل

تكبير الثدي (Breast augmentation، وaugmentation mammoplasty، تشتهر باسم boob job)، هي إحدى تقنيات جراحة التجميل التي تستخدم مزروعات الثدي لحشوها تحت النسيج الدهني للثدي من أجل تكبير حجمه، تغيير شكله، ورفع أنسجة الثدي لدى المرأة. تُجرى جراحات تكبير الثدي أيضاً لإصلاحا العيوب الخلقية في الثدي والقفص الصدري.[بحاجة لمصدر] كجراحة تجميلية اختيارية، تهدف عملية تكبير الثدي إلى تجميل حجم وشكل ونسيج الثديين بطريقة صحية.[بحاجة لمصدر]

يخلق نهج الانغراس (الزرع) الجراحي زيادة كروية في النص الكروي للثدي ، باستخدام زراعة الثدي المملوءة إما بمحلول ملحي أو هلام السيليكون ؛ يزيد نهج نقل ترقيع الدهون من حجم وتصحيح العيوب المحيطية للشكل الكروي للثدي مع ترقيع الأنسجة الدهنية للخلايا الدهنية ، المأخوذة من جسم الشخص.

في إجراء إعادة بناء الثدي ، يتم في بعض الأحيان وضع موسع الأنسجة (جهاز مؤقت لزرع الثدي) في مكانه وتضخيمه بمحلول ملحي لإعداد (تكوين وتوسيع) موقع المتلقي (جيب الزرع) لاستقبال واستيعاب جهاز زرع الثدي.

في معظم حالات تكبير الثدي بالطعم الدهني ، تكون الزيادة متواضعة ، وعادة ما يكون حجم لجف واحد فقط أو أقل من حمالة الصدر ، والذي يعتقد أنه الحد الفسيولوجي الذي يسمح به الاستقلاب لجسم الإنسان. .[1]

جراحة تكبير الثدي

مزروعات الثدي

توجد أربع أنواع من مزروعات الثدي:

  1. الزرع الملحي المملوء بمحلول ملحى معقم
  2. بزرع السيليكون المملوء بهلام السيليكون اللزج
  3. غرسات ذات تركيبة بديلة (لم تعد مصنعة) ، مليئة بمواد مالئة مختلفة مثل زيت الصويا أو خيط البولي بروبلين
  4. يزرع "هيكل" باستخدام حزمة سيليكون المطاطي المتداخل مع المحلول الملحي بين الاغلفة.[2]
تكبير الثدي: ثدي مملوء بمحلول ملحي ، نموذج كروي (يسار) ونموذج نصف كروي (يمين).

المزروعة الملحية

تم تصنيع غرسة الثدي المالحة ، المملوءة بمحلول ملحي ، لأول مرة من قبل شركة معامل أريون في فرنسا ، وتم تقديمها للاستخدام كجهاز طبي اصطناعي في عام 1964.يتم تصنيع الإصدارات الحديثة من غرسات الثدي المالحة بدرجة حرارة الغرفة الأكثر سمكًا بأغلفة مبركنة (RTV) مصنوعة من مطاط السيليكون. أفادت دراسة الانكماش في المختبر لزراعة الثدي المالحة المملوءة مسبقًا (2006) أن معدلات الانكماش (تسرب حشو) لزرع الثدي المالحة المعبأ مسبقًا جعلها خيارًا اصطناعيًا ثانيًا لـ "جراحة الثدي التصحيحية"".[مطلوب توضيح][3]ومع ذلك ، في التسعينات ، تم تكليف زراعة الثدي المالحة لتكون الطرف الاصطناعي المعتاد لجراحة تكبير الثدي ، نتيجة القيود المؤقتة التي تفرضها إدارة الغذاء والدواء الأمريكية على استيراد غرسات الثدي المليئة بالسيليكون.[بحاجة لمصدر]

كان الهدف التقني لتقنية زرع المحلول الملحي هو تقنية جراحية أقل توغلًا ، عن طريق إدخال غرسة ثدي فارغة ، من خلال شق جراحي أصغر .[4] في الممارسة الجراحية ، بعد تثبيت غرسات الثدي الفارغة في جيوب الزرع ، يقوم جراح التجميل بعد ذلك بملء كل جهاز بمحلول ملحي ، من خلال صمام أحادي الاتجاه ، ولأن شقوق الإدخال المطلوبة كانت قصيرة وصغيرة ، فإن ندوب الشق الناتجة ستكون أصغر وأقصر من الندبات الجراحية النموذجية لتقنية جراحة زرع هلام السيليكون المعبأة مسبقًا.

عند المقارنة بالنتائج التي تم تحقيقها باستخدام غرسات الثدي بهلام السيليكون اللزج، يمكن أن تحقق الغرسة المالحة نتائج "جيدة إلى ممتازة": في زيادة حجم الثدي ، ومحيط أكثر انسيابية في النص الكروي ، وتناسق واقعي ؛ ومع ذلك ، فمن المحتمل أن يسبب مشاكل تجميلية ، مثل تموج وتجعد جلد الثدي ، ومشاكل فنية ، مثل وجود الغرسة بشكل ملحوظ في العين واللمس. حدوث مثل هذه المشاكل التجميلية هو أكثر احتمالا في حالة شخص لديه القليل جدا من أنسجة الثدي ؛ في حالة الشخص الذي يحتاج إلى إعادة بناء الثدي بعد استئصال الثدي ، فإن زرع هلام السيليكون هو الجهاز الاصطناعي المتفوق تقنيًا لإعادة بناء الثدي . في حالة الشخص الذي يعاني من الكثير من أنسجة الثدي ، والذي يعتبر وضعه تحت العضلات هو النهج الجراحي الموصى به ، يمكن أن تعطي غرسات الثدي المالحة نتيجة جمالية تشبه إلى حد كبير تلك التي تنتجها غرسات سيليكون الثدي  –  : مظهر حجم الثدي المتناسق وكفاف سلس وتناسق واقعي.[5]

تكبير الثدي: نماذج من الجيل المتأخر لثدي هلام السيليكون ، ونموذج كروي (يسار) ، ونموذج على شكل (وسط) ، ونموذج نصف كروي (يمين).

مزروعة السليكون-الهلام

تم اختراع الثدي الاصطناعي الحديث في عام 1961 ، من قبل جراحي التجميل الأمريكيين توماس كرونين وفرانك جيرو ، وتم تصنيعه من قبل شركة داو كورنينج . في الوقت المناسب ، تم إجراء أول عملية تكبير للثدي في عام 1962. هناك خمسة أجيال من تكنولوجيا الأجهزة الطبية لنماذج زراعة الثدي مملوءة بهلام السيليكون ؛ يتم تعريف كل جيل من أعضاء الثدي الاصطناعي من خلال تقنيات تصنيع النماذج الشائعة.

المزروعات المركبة البديلة

يعد المحلول الملحي و هلام السيليكون أكثر أنواع زراعة الثدي شيوعًا المستخدمة في العالم اليوم. [6] تم إيقاف زراعة الغرسات البديلة إلى حد كبير. تتميز هذه الغرسات بحشوات مميزة مثل زيت الصويا وخيط البولي بروبلين. وتشمل المواد الأخرى المتوقفة غضروف الثور ، و "صوف" تريلين ، والمطاط الأرضي ، والمطاط السليكي ، والجهاز الصناعي المصنوعة من تفلون السليكون.[6]

المزروعات والرضاعة الطبيعية

الثدي عبارة عن غدد إفرازية تنتج الحليب لتغذية الأطفال الرضع ,[7]

الثدي الوظيفي: غدة ثديية تغذي طفلًا رضيعًا.

سمية مزروعات الثدي

تلوث الجهاز الهضمي والسمية الجهازية بسبب تسرب حشو الثدي إلى حليب الثدي هي الشواغل الرئيسية لصحة الرضع مع زراعة الثدي. حشوات الثدي تكون خاملة بيولوجيًا:  – حشو السيليكون غير قابل للهضم وحشو المالحة في الغالب ملح و ماء.  – – يجب أن تكون كل من هذه المواد خاملة كيميائياً وموجودة في البيئة .[بحاجة لمصدر]علاوة على ذلك ، ذكر الأطباء "المؤيدون" أنه "يجب ألا يكون هناك موانع مطلقة للرضاعة الطبيعية من قبل النساء اللاتي يزرعن ثدي سيليكون"[8] في أوائل التسعينات ، في بداية الذعر من مرض جل السيليكون لزراعة الثدي ، أشارت الدراسات الصغيرة غير العشوائية إلى مضاعفات الرضاعة الطبيعية المحتملة من غرسات السيليكون ؛ لم تتمكن أي دراسة من إثبات سبب المرض بسبب الغرسات .[9]


الحالة

علم النفس

لاعبات كمال الأجسام

تكبير الثدي هو ملاذ عرضي للنساء كمال الأجسام للاحتفاظ بالشكل الأنثوي المفقود عند تحقيق اللياقة البدنية الهزيلة والعضلية. (لاعب كمال اجسام محترف نيكي فولر )

الصحة العقلية

الإجراءات الجراحية

أسباب إجراء الجراحة

تكبير الثدي: جانب ما بعد الجراحة لاستئصال الثدي سرطان الثدي الأيمن. المرأة مرشحة لإعادة بناء الثدي الأولية عن طريق زرع الثدي.

عملية تكبير الثدي لزرع ثدي لها ثلاثة أغراض علاجية:

  1. إعادة البناء الأولية: لاستبدال أنسجة الثدي التي تضررت من الاصابة ( راضة ، اختراق ، انفجار ) ، مرض ( سرطان الثدي ) ، وفشل تشريحي ( تشوه درني في الثدي ).
  2. المراجعة وإعادة البناء: لمراجعة (تصحيح) نتائج جراحة إعادة بناء الثدي السابقة.
  3. تكبير أولي: لزيادة حجم الثدي وشكله ومظهره بشكل جمالي.

يتم تحديد وقت غرفة العمليات لإعادة بناء الثدي بعد استئصال الثدي ، وجراحة تكبير الثدي من خلال إجراء التموضع المستخدم ، ونوع التقنية الجراحية ، وزرع الثدي (النوع والمواد) ، والموضع الصدري لجيب الزرع .[10]

أنواع الجراحات

يتم وضع جهاز زرع الثدي باستخدام خمسة أنواع من الشقوق الجراحية :[11]

  1. اسفل الثدي : شق تحت الثدي ، في الطية تحت الثديية (IMF) ، مما يتيح الوصول الأقصى للتشريح الدقيق وزرع أجهزة زرع الثدي. إنها التقنية الجراحية المفضلة لزرع غرسات هلام السيليكون ، بسبب الشقوق الطويلة المطلوبة ؛ ومع ذلك ، يمكن أن ينتج عن زراعة الطية تحت الثديية ندوب جراحية أكثر سمكا وأكثر وضوحا.
  2. حول اللعوة (الهالة): شق يتم إجراؤه على طول محيط الهالة (الحدود) ، والذي يوفر نهجًا مثاليًا عند الحاجة إلى إجراء تعديلات على موضع الطية تحت الثديية، أو عندما يتم تضمين تثبيت الثدي (شد الثدي) في إجراء رأب الثدي الأساسي. في طريقة التموضع حول اللعوة ، يكون الشق حول النصف الإنسي (النصف السفلي) لمحيط الهالة. قد يكون من الصعب وضع غرسات هلام السيليكون مع هذا الشق ، بسبب طوله القصير البالغ خمسة سنتيمترات (~ 5.0   سم) من شق الوصول المطلوب. من الناحية الجمالية ، لأن الندوب على حدود الهالة ، عادة ما تكون أقل وضوحًا من ندوب شق الطية تحت الثديية للنساء المصابات بالهالة الخفيفة. علاوة على ذلك ، ينتج عن زرع محيط الهالة حدوث أكبر للتقلص الكبسولي، مما يؤدي إلى قطع قنوات الحليب و الأعصاب إلى الحلمة ، وبالتالي يتسبب في معظم المشاكل الوظيفية بعد الجراحة ، مثل إعاقة الرضاعة الطبيعية .
  3. عبر الابط: شق تم إجراؤه على الإبط (الإبط) ، الذي يتم من خلاله تشريح القنوات من الناحية الإنسية ، وبالتالي يسمح بزرع الغرسات دون إنتاج ندوب ظاهرة على الثدي الصحيح ؛ ومع ذلك ، فمن المحتمل أن ينتج عدم تناظر أدنى في موضع جهاز الغرسة. لذلك ، تتطلب المراجعة الجراحية لزراعة الثدي المزروعة عبر الأبط عادةً شقًا في الطية تحت الثديية أو شقًا محيطًا بالهالة. يمكن إجراء وضع الجرح عبر الابط بصراحة أو باستخدام منظار داخلي (ميكروكاميرا فيديو مضيئة).
  4. عبر السرة: تكبير الثدي عبر السرة (TUBA) هو تقنية إدخال جهاز زرع أقل شيوعًا حيث يكون الشق في السرة ، وأنفاق التشريح بشكل علوي. هذا النهج الجراحي يمكّن من زرع الثدي دون إحداث ندوب ظاهرة على الثدي. لكنه يجعل التشريح المناسب ووضع الجهاز أكثر صعوبة من الناحية التقنية. يتم تنفيذ إجراء TUBA بعنف  – بدون المساعدة البصرية للمنظار  – وهي غير مناسبة لزرع غرسات هلام السيليكون (المعبأة مسبقًا) ، بسبب الإمكانات الكبيرة لإتلاف غلاف سيليكون المطاط الصناعي لجهاز زرع الثدي أثناء إدخاله يدويًا خلال  – سنتمترين (~ 2.0   سم.)  – شق في السرة ، ولأن غرسات هلام السيليكون المعبأة مسبقًا غير قابلة للضغط ، ولا يمكن إدخالها من خلال شق صغير جدًا.[12]
  5. عبر البطن - كما هو الحال في إجراء TUBA ، في تكبير الثدي عبر البطن (TABA) ، يتم زرع الثدي بشكل علوي من الشق البطني إلى جيوب مزروعة بشكل عنيف، بينما يخضع المريض في الوقت نفسه لعملية شد البطن.[13]

وضع المزروعة

المضاعفات الطبية

يمثل وضع الجراحة التجميلية لأجهزة زرع الثدي ، إما لإعادة بناء الثدي أو لغرض جمالي ، نفس المخاطر الصحية الشائعة للجراحة ، مثل رد الفعل الجانبي للتخدير ، الورم الدموي (النزيف بعد الجراحة) ، المصل (تراكم السوائل) ، الشق - تهتك موضع الشق (عدوى الجرح). تتضمن المضاعفات الخاصة بتكبير الثدي ألم الثدي ، والإحساس المتغير ، وعرقلة وظيفة الرضاعة الطبيعية ، والتجاعيد المرئية ، وعدم التماثل ، وترقيق أنسجة الثدي ، والسماثتيا ، و "تسكع الخبز" في الصدر النصفي الذي يقطع المستوى الطبيعي بين الثديين. علاجات محددة لمضاعفات زرع الثدي الساكن  – التقلص الكبسولي وتمزق الكبسولة  – هي مراقبة التصوير بالرنين المغناطيسي الدورية والفحوصات البدنية. علاوة على ذلك ، يمكن أن تتسبب المضاعفات وإعادة العمليات المتعلقة بجراحة الزرع ، وموسعات الأنسجة (العناصر النائبة للزرع أثناء الجراحة) في حدوث ندوب غير مواتية في حوالي 6-7٪ من المرضى [14][15][16] إحصائيا ، و 20٪ من النساء اللاتي خضعن لزرع تجميلي و 50٪ من النساء اللاتي خضعن زرع اعادة بناء الثدي، يتطلب تفسيرهم من عند علامة 10 عاما. [17] تاريخ الغرسات ليس طويلاً ، لذلك كلما تراكمت بيانات أكثر ، كان ذلك أفضل لفهم المخاطر. في عام 2019 بعد سنوات عديدة ، في الولايات المتحدة ، تم تحديد ارتباط مباشر بين Allergan BIOCELL المزروعة بالثدي من Allergan واللمفومة المرتبطة بزرع الثدي (BIA-ALCL) ، وهو سرطان في جهاز المناعة. استدعت إدارة الغذاء والدواء الأمريكية جميع غرسات Allergan BIOCELL. [18]

تمزق المزروعة

فشل زراعة الثدي: أجزاء زرع الثدي التي تم شرحها جراحيًا هي الكبسولة الليفية الحمراء (على اليسار) ، وغرز السيليكون الممزق (في الوسط) ، وهلام الحشو الشفاف الذي تسرب إلى أنسجة المرأة الصدرية (على اليمين).


التقلص الكبسولي

فشل زرع الثدي: إن انقباض الكبسولة هو أحد المضاعفات الطبية ، في هذه الحالة ، تقلص مقياس بيكر من الدرجة الرابعة ، لزرع سيليكون اسفل الغدة في الثدي الأيمن.

الاستجابة المناعية لجسم الإنسان لجسم غريب مثبت جراحيًا  – زراعة الثدي ، جهاز تنظيم ضربات القلب ،الاجهزة الصناعية الخاصة بالعظام  – هو تغليفه بكبسولات الأنسجة الندبية من ألياف الكولاجين المنسوجة بإحكام ، من أجل الحفاظ على سلامة الجسم عن طريق عزل الجسم الغريب ، وبالتالي تحمل وجوده. التقلص الكبسولي  – التي يجب تمييزها عن أنسجة الكبسولة العادية  – يحدث عندما تثخن كبسولة ألياف الكولاجين وتضغط على زراعة الثدي ؛ إنها مضاعفات مؤلمة قد تشوه إما زراعة الثدي أو الثدي أو كليهما.


الأمراض والآثار المترتبة

منذ تسعينيات القرن الماضي ، أفادت مراجعات الدراسات التي سعت إلى وجود روابط سببية بين غرسات الثدي بهلام السيليكون والأمراض الجهازية عدم وجود أي ارتباط بين الغرسات والأمراض الجهازية والمناعة الذاتية. [19][20][21][22] ومع ذلك ، خلال التسعينات ، ادعت آلاف النساء أن الأمراض التي يعتقدن أنها ناتجة عن زراعة الثدي ، بما في ذلك مشاكل الصحة العصبية والروماتيزمية.

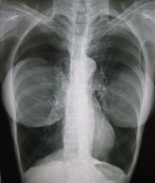
زراعة الثدي: تظهر صورة الصدر السينية لامرأة مزروعة ثديين أن الأطراف الاصطناعية غير شفافة من الناحية الإشعاعية ، وهي أشياء غريبة في جسمها ، ولكنها ليست من جسدها.

في دراسة الحالة الصحية على المدى الطويل للنساء الدنماركيات الذين قاموا بزراعة الثدي بالسيليكون (2004) ، أفاد نظام الرعاية الصحية الوطني في الدنمارك أن النساء المصابات بالزرع ليس لديهم خطر حدوث وتشخيص أكبر لأمراض المناعة الذاتية ، عند مقارنتهن بالنساء في نفس العمر في عامة السكان أن نسبة الإصابة بالمرض العضلي الهيكلي كانت أقل بين النساء اللواتي يزرعن الثدي مقارنة مع النساء اللواتي خضعن لأنواع أخرى من الجراحة التجميلية ؛ وأن معدل الإصابة لديهم أقل من النساء في عموم السكان..[23][24]

وأكدت الدراسات الطولية اللاحقة لمرضى زراعة الثدي هذه النتائج السابقة بشأن هذه المسألة .[25] أفادت دراسات أوروبا وأمريكا الشمالية أن النساء اللاتي خضعن لعملية تكبير الثدي وأي إجراء جراحي تجميل يميلون إلى أن يكونوا أكثر صحة وثراء من عموم السكان ، قبل وبعد الزرع ؛ أن مرضى الجراحة التجميلية لديهم نسبة وفيات موحدة أقل من المرضى في العمليات الجراحية الأخرى ؛ ومع ذلك واجهت خطر الموت بسبب سرطان الرئة أكثر من مرضى الجراحة التجميلية الأخرى. علاوة على ذلك ، نظرًا لأن هناك دراسة واحدة فقط ، وهي خطر الإصابة بالسرطان على المدى الطويل بين النساء السويديات اللاتي يملكن زراعة الثدي التجميلية: تحديث لدراسة على الصعيد الوطني (2006) ، يتم التحكم فيها للحصول على معلومات تدخين التبغ ، كانت البيانات غير كافية لإثبات الفروق الإحصائية القابلة للتحقق منها بين المدخنين و غير المدخنين التي قد تساهم في ارتفاع معدل وفيات سرطان الرئة لدى النساء مع زراعة الثدي.[26][27] أفادت الدراسة طويلة الأمد التي أجريت على 25000 امرأة ، معدل الوفيات بين النساء الكنديات اللاتي لديهن عمليات زرع ثدي تجميلية (2006) ، أن "النتائج تشير إلى أن غرسات الثدي لا تزيد بشكل مباشر من وفيات النساء". [28]

ذكرت دراسة هلام السيليكون تمزق زراعة الثدي ، السيليكون خارج الكبسولة ، والحالة الصحية في عدد السكان من النساء (2001) ، زيادة في حالات الألم العضلي الليفي بين النساء اللواتي عانين من تسرب هلام السيليكون خارج الكبسولات من النساء اللاتي لم يتمزقزراعة الثدي أو تسرب.[29] تم انتقاد الدراسة في وقت لاحق على أنها معيبة بشكل منهجي بشكل كبير ، ولم يظهر عدد من دراسات المتابعة اللاحقة الكبيرة أي دليل على وجود علاقة سببية بين المرض. بعد التحقيق ، خلصت إدارة الغذاء والدواء الأمريكية "قيمة الأدلة الوبائية المنشورة في المنشورات لا يدعم وجود ارتباط بين الألم العضلي الليفي وزراعة الثدي."[30][31] أفادت دراسة المراجعة النظامية ، غرسات الثدي بالسيليكون وأمراض النسيج الضام: لا ترابط(2011) الاستنتاج الاستقصائي بأن "أي ادعاءات متبقية فيما يتعلق بالارتباط بين غرسات الثدي التجميلية و CTD لا تدعمها المؤلفات العلمية". .[32]

تسمم الپلاتين

يتطلب تصنيع غرسات الثدي بالسيليكون العنصر المعدني البلاتين (Pt.، 78) كعامل حفاز لتسريع تحويل زيت السيليكون إلى هلام السيليكون لصنع مطاط السيليكون المرنة ، ولصنع أجهزة سيليكون طبية أخرى .[33] تشير المنشورات إلى أن كميات ضئيلة من تسرب البلاتين من مثل هذه الأنواع من زرعة ثدي السيليكون. لذلك ، البلاتين موجود في الأنسجة الصدرية المحيطة. النتيجة المرضية النادرة هي تراكم البلاتين في النخاع العظمي ، حيث يمكن أن تنقله خلايا الدم إلى النهايات العصبية ، مما يتسبب في اضطرابات في الجهاز العصبي مثل العمى والصمم والتشنجات العصبية (تقلصات العضلات اللاإرادية)..[33]

زرع الثدي: كان العنصر المعدني الپلاتين(Pt.، 78) محفزًا في تصنيع ثدي السيليكون ، وكان سببًا مشتبهًا في حدوث تلوث سام (تأين الأنسجة) في أجسام النساء اللاتي لديهن مثل هذه الغرسات.

في عام 2002 ، قامت إدارة الغذاء والدواء الأمريكية (US FDA) بمراجعة الدراسات حول التأثيرات البيولوجية البشرية لزرعة البلاتين في الثدي ، وأبلغت عن القليل من الأدلة المسببة لسمية البلاتين للنساء مع زراعة الثدي. .[34] علاوة على ذلك ، في مجلة " الكيمياء التحليلية " ، أثبتت الدراسة أن تركيز البلاتين الكلي وأكسدة البلاتين في سوائل الجسم ، والأنسجة ، والزرعات من النساء المعرضات لزرعة الثدي السيليكوني والمحلول الملحي بواسطة IC-ICPMS (2006) ، كانت مثيرة للجدل لادعائها حددت حالات الأكسدة البلاتينية السامة غير موثقة سابقا في الجسم الحي.[35] في وقت لاحق ، في رسالة إلى القراء ، نشر محررو مجلة "الكيمياء التحليلية" مخاوفهم بشأن التصميم التجريبي الخاطئ للدراسة ، وحذروا القراء من "توخي الحذر في تقييم الاستنتاجات الواردة في الورقة" .”[36]

علاوة على ذلك ، بعد مراجعة البيانات البحثية لدراسة تركيز البلاتين الكلي وحالات أكسدة البلاتين في سوائل الجسم ، والأنسجة ، والزرعاات من النساء المعرضات لزرعات الثدي من السيليكون والمالحة بواسطة IC-ICPMS ، وغيرها من المؤلفات ذات الصلة ، ذكرت إدارة الغذاء والدواء الأمريكية أن البيانات لا تدعم النتائج المقدمة ؛ أن البلاتين المستخدم ، في أجهزة زرع الثدي ذات الطراز الجديد ، على الأرجح ليس متأينًا ، وبالتالي لا يمثل خطرًا كبيرًا على صحة النساء.[37]

التكبير بدون مزروعة

يشار إلى تكبير الثدي بدون غرس مع حقن ترقيع الدهون الذاتية (الأنسجة الشحمية) للنساء اللاتي يحتاجن إلى إعادة بناء الثدي ، وتصحيح العيوب ، وتجميل ثدي نصفي

  • إعادة بناء الثدي: إعادة تكوين الثدي (الثديين) بعد استئصال الثدي ؛ الأنسجة المتضررة من الصدمة (راضة ، مخترقة) ، المرض ( سرطان الثدي ) ، وتشوه الزرعة (جيب زرع الثدي الفارغ).
  • تصحيح العيوب الخلقية: الصغر الثدي ، تشوه الثدي الدرني ، متلازمة بولندا ، إلخ.
  • تكبير أولي: التحسين الجمالي (تحديد الخطوط) لحجم الثدي وشكله وشعوره.

يتم تحديد وقت غرفة العمليات (OR) لإعادة بناء الثدي وتصحيح العيوب الخلقية وإجراءات تكبير الثدي الأولية من خلال الحالات التي سيتم علاجها.

ساهمت ظهور تقنية شفط الدهون في التطبيقات الطبية للأنسجة الدهنية المحصودة شفط الدهون كمادة مالئة ذاتية للحقن لتصحيح العيوب الجسدية ولتكبير الثدي. قدم ملفين بيركول ممارسة تحديد الثدي وتصحيح العيوب الجسدية باستخدام ترقيع دهون ذاتي تم حصادها عن طريق شفط الدهون. وقدم طريقة حقن الدهون المستخدمة في ترقيع الدهون..[38][39] في عام 1987 ، زرع جراح التجميل الفنزويلي إدواردو كروليج ترقيعًا للدهون بإبرة حقنة غير حادة (حقن ليبو) ، واستخدم لاحقًا مصيدة دهون يمكن التخلص منها لتسهيل عملية التجميع وضمان عقم الأنسجة الدهنية المقطوعة..[40][41]

من أجل تطعيم ترقيع الأنسجة الدهنية الذاتية ، قام الأطباء J.Newman و J. Levin بتصميم مسدس حاقن ليبو مع مكبس يحركه التروس ، والذي سمح بحقن الأنسجة الدهنية الذاتية إلى المواقع المستقبلة المطلوبة. ساعد التحكم الذي توفره مسدسات حاقن الدهون جراح التجميل في التحكم في الضغط المفرط للدهون في انبوبة المحقنة ، وبالتالي تجنب الإفراط في ملء الموقع المستقبل.[42]أظهر مسدس الحقن الشحمي ذو التصميم الأخير عملية تروس السقاطة التي أعطت الجراح تحكمًا أكبر في زرع ترقيع الدهون الذاتية بدقة إلى الموقع المتلقي ؛ تأثيرالزناد حقن 0.1 سم3 من الحشو .[43] منذ عام 1989 ، تستخدم معظم عمليات تكبير الثدي الغير جراحية للتطعيم الدهني دهون الخلايا الشحمية من مواقع أخرى غير الثدي ، حتى 300 مل  يتم وضعهم من الدهون في ثلاث حقن متساوية في الحيز تحت الصدري والحيز داخل العضلة الصدرية الكبيرة ، بالإضافة إلى الحيز تحت الثديية ، لتحقيق نتيجة الثدي ذات المظهر والمحيط الطبيعي.[44]

التطعيم بالدهون الذاتية

يتم تطبيق تقنية حقن الطعم الدهني الذاتي على الثدي لتصحيح عدم تناسق الثدي ؛ تشوهات الثدي. لإعادة بناء الثدي بعد استئصال الثدي (كأسلوب أساسي وتقنية مساعدة) ؛ لتحسين تغطية الأنسجة الرخوة لزرعة الثدي ؛ وللتحسين الجمالي للصدر. يسمح الحصاد الدقيق والتنقية الطاردة المركزية للأنسجة الدهنية الناضجة (التي يتم حقنها في قسائم صغيرة) بأن تظل الأنسجة الدهنية المزروعة حيوية في الثدي ، حيث توفر البنية التشريحية والمحيط الخارجي نصف الكروي الذي لا يمكن تحقيقه فقط مع زراعة الثدي أو باستخدام التصحيح جراحة تجميلية.

تكبير الثدي بدون غرس: الجوانب قبل الإجرائية (يسار) والجوانب ما بعد الإجرائية (يمين) من الثدي مكبرة ومحددة مع ترقيع دهني ذاتي

في إجراءات تكبير الثدي بالتطعيم الدهني ، هناك خطر من أن الأنسجة الدهنية المطعمة بالثدي يمكن أن تتعرض للنخر ، والتكلس النقيلي ، وتكون الكيسة ، والتجمع في كتل واضحة. على الرغم من أن سبب التكلس النقيلي غير معروف ، إلا أن التغييرات البيولوجية التي حدثت بعد الإجراء على أنسجة ترقيع الدهن تشبه التغيرات النسيجية المعتادة في إجراءات جراحة الثدي مثل تصغير الثدي . تشير الدراسة الفرنسية للتقييم الإشعاعي للثدي المعاد تشكيله بطراز ليبو (2005) إلى الفعالية العلاجية لإعادة بناء الثدي بالطعم الدهني في علاج تلف العلاج الإشعاعي في الصدر ، والانخفاض العرضي للتقلص الكبسولي، وتحسين تغطية الأنسجة الرخوة من زراعة الثدي.[45][46][47][48][49][50]

أشارت دراسة تطعيم الدهون إلى إعادة النظر في الثدي: السلامة والفعالية (2007) إلى نقل ناجح للدهون في الجسم إلى الثدي ، واقترحت تقنية حقن تطعيم الدهن كإجراء بديل (أي غير زرع) لعملية تكبير الثدي بدلاً من اجراءات الجراحة المعتادة لإحداث تكبير الثدي وتصحيح عيوب الثدي وإعادة بناء الثدي. تم إجراء ترقيع الدهون الهيكلي إما على ثدي واحد أو على ثديي 17 امرأة ؛ كان النطاق العمري للنساء 25-55 سنة ؛ كان متوسط العمر 38.2 سنة. كان متوسط حجم التطعيم الأنسجة 278.6   سم 3 من الدهون لكل عملية لكل ثدي. كانت صور الثدي الشعاعية قبل الإجراء سلبية للأورام خبيثة.في المجموعة المكونة من 17 مريضًا ، لوحظ أن امرأتين أصيبتا بسرطان الثدي (تم تشخيصهما عن طريق التصوير الشعاعي للثدي ) بعد الإجراء: إحداهما في 12 شهرًا ، والأخرى في 92 شهرًا . [51] Fعلاوة على ذلك ، فإن دراسة نقل الدهون بمساعدة الخلايا لتكبير الثدي التجميلي: الاستخدام الداعم للخلايا الجذعية / اللحمية المشتقة من الدهون (2007) ، أشارت مجموعة من 40 امرأة تقريبًا إلى أن إدراج الخلايا الجذعية الدهنية في ترقيع دهون الخلايا الدهنية يزيد من معدل النجاح التصحيحي لإجراءات تطعيم الدهون الذاتية.[52]

تقنيات التطعيم بالدهون

تكبير الثدي الطعم الدهني: جوانب ما قبل الجراحة (يسار) وجوانب ما بعد الجراحة (يمين) تكبير حجم غير جراحي متوسط الحجم


حقن التطعيم بالدهون

تكبير الثدي الطعم الدهني: جوانب ما قبل الجراحة (يسار) وجوانب ما بعد الجراحة (يمين) تكبير حجم غير جراحي متوسط الحجم



إجراءات ما بعد استئصال الثدي

تتطلب عملية إعادة بناء الثدي الجراحية بعد استئصال الثدي تخديرًا كلياً ، وتقطع عضلات الصدر ، وتنتج ندوبًا جديدة ، وتتطلب تعافيًا طويلًا بعد الجراحة للمريض. يدخل الوضع الجراحي لأجهزة زرع الثدي (المالحة أو السيليكون) جسمًا غريبًا إلى جسم المريض (انظر التقلص الكبسولي ). تعمل عمليةترام السديلة(المستقيم المستعرض البطني سديلة عضلي جلدي)على إعادة بناء الثدي باستخدام سديلة ذاتية من أنسجة البطن والجلد والعضلات . السديلة العضلية اللاذقية العريضة عضلة الجلد توظف دهون الجلد والعضلات المقطوعة من الظهر ، وزرع الثدي. تستخدم عملية DIEP flap (مثقب شرسوفي عميقة أدنى) سديلة ذاتية من جلد البطن والأنسجة الدهنية..[53]



الطرق الغير جراحية

في عام 2003 ، أقرت الحكومة التايلاندية نظامًا لتمارين التدليك الذاتي كبديل لتكبير الثدي الجراحي باستخدام غرسات الثدي . الحقت الحكومة التايلاندية أكثر من 20 امرأة في دورات ممولة من القطاع العام لتدريس التقنية. ومع ذلك ، خارج تايلاند ، لم يتم اعتماد هذه التقنية من قبل المجتمع الطبي السائد. على الرغم من النتائج الواعدة لدراسة استمرت ستة أشهر حول الفعالية العلاجية للتقنية ، أوصى طبيب البحث النساء المشاركات بأن يساهمن أيضًا في زيادة ثديهن عن طريق اكتساب الوزن.[54]

المضاعفات والقيود

المضاعفات الطبية

في كل إجراء جراحي وغير جراحي ، يوجد خطر حدوث مضاعفات طبية قبل الإجراء وأثناءه وبعده ، وبالنظر إلى الطبيعة البيولوجية الحساسة لأنسجة الثدي (الخلايا الشحمية والغدية) ، يكون هذا صحيحًا بشكل خاص في حالة تكبير الثدي عن طريق تطعيم الثدي. . على الرغم من بساطة التقنية النسبية ، فإن تقنية الحقن (التطعيم) لتكبير الثدي مصحوبة بمضاعفات ما بعد الإجراء – نخر الدهون والتكلس والعقيدات المتصلبة  – التي تؤثر بشكل مباشر على الفعالية التقنية للإجراء ، وتحقيق نتيجة ناجحة. ذكرت الدراسة الصينية تكبير الثدي عن طريق التطعيم الذاتي لحقن الدهون: الإدارة والتحليل السريري للمضاعفات (2009) ، أن حدوث المضاعفات الطبية يتم تقليله مع التحكم الصارم في معدل الحقن (سم 3 / دقيقة) لحشو الثدي يتم إعطاء الحجم ، ومن خلال نشر تطعيم الدهون في طبقات للسماح بتوزيعها المتساوي داخل مصفوفة أنسجة الثدي. تم تحديد المضاعفات التي حدثت لمجموعة 17 مريضًا وتم تحديدها باستخدام التصوير الطبقي المحوسب وتصوير بالرنين المغناطيسي ثلاثي الأبعاد لأنسجة الثدي وأي آفات متصلبة وكتل أنسجة غير طبيعية (الأورام الخبيثة). وفقًا لخصائص العيب أو الشذوذ ، تم استئصال الآفة المتصلبة وسحب الدهون المسالة ؛ أشارت العينات المأخوذة من التغيرات البيولوجية في تطعيم الدهون داخل الثدي – نخر الدهون ، التكلس ، التنكس الزجاجي ، التنسج الليفي.[55]

إن المضاعفات المرتبطة بحقن ترقيع(تطعيم) الدهون لزيادة الثدي تشبه ، ولكنها أقل حدة ، من المضاعفات الطبية المرتبطة بأنواع أخرى من إجراءات الثدي. من الناحية الفنية ، فإن استخدام شقوق صغيرة (2 ملم) وحقن قنية غير حادة يقلل بشكل كبير من حدوث تلف هياكل الثدي الأساسية (قنوات الحليب والأوعية الدموية والأعصاب). يمكن أن تموت ترقيع الأنسجة الدهنية المحقونة التي لا يتم ترطيبها بين الأنسجة ، وتؤدي إلى تكيسات نخرية وتكلسات في نهاية المطاف – المضاعفات الطبية الشائعة لعمليات الثدي. ومع ذلك ، فإن البطن المحدد للمريض هو فائدة إضافية مستمدة من حصاد شفط الدهون في الأنسجة الدهنية المحقونة في الثديين. (انظر رأب البطن )

القيود التقنية

عندما يكون جسم المريض غير كافي لأنسجة الخلايا الشحمية للحصاد كحشو الثدي عن طريق الحقن ، قد يوفر مزيج من ترقيع الدهون وزرع الثدي النتيجة المرجوة. على الرغم من أن تكبير الثدي غير الجراحي مع ترقيع الدهن لا يرتبط بالمضاعفات الطبية المتعلقة بالزرع (تسرب الحشو ، الانكماش ، الرؤية ، الملامسة ، التقلص الكبسولي ) ، فإن أحجام الثدي القابلة للتحقيق محدودة جسديًا ؛ إن عمليات تكبير الصدر الكبيرة الحجم والكروية التي تم تحقيقها باستخدام غرسات الثدي غير ممكنة باستخدام طريقة ترقيع الدهون الهيكلية. يتناقض تكبير الثدي الكروي مع تكبير الثدي المتحكم فيه لحقن ترقيع الدهون ، في درجة التحكم التي يتمتع بها جراح التجميل في تحقيق محيط وحجم الثدي المطلوبين. يتم تحقيق زيادة مضبوطة عن طريق الترشيح ونشر الطعوم الدهنية في جميع أنحاء الثدي. وهي ذات طبقات مثل الريش في المناطق الصدرية المجاورة حتى تحقق النتيجة المرجوة لحجم الثدي وكفافه. ومع ذلك ، فإن الامتلاء الجسدي للثدي الذي يتم تحقيقه باستخدام ترقيع الدهون المحقونة لا يُترجم بصريًا إلى نوع الامتلاء الذي تم تحقيقه بواسطة غرسات الثدي ؛ ومن ثم ، حقق المرضى الذين لديهم وفرة من الأنسجة الدهنية للحصاد زيادة كبيرة في الثدي بحجم كوب واحد في جلسة واحدة من ترقيع الدهون في الثدي..[51]

سرطان الثدي

كشف الحالات

احتمال إصابة المرأة بسرطان الثدي في العمر المعاصر هو واحد من كل سبعة. ;[56] ومع ذلك ، لا يوجد دليل سببي على أن تطعيم الثدي قد يكون أكثر نتيجة لسرطان الثدي من إجراءات الثدي الأخرى. لأن حدوث نخر للأنسجة الحيوية الدهنية والتكلس يحدث في كل إجراء من هذا القبيل: خزعة الثدي ، والزرع ، والعلاج الإشعاعي ، وتصغير الثدي ، وإعادة بناء الثدي ، وشفط الدهون من الثدي. ومع ذلك ، فإن الكشف عن سرطان الثدي هو أمر أساسي ، وحالات التكلس ثانوية ؛ وبالتالي ، ينصح المريض بتعلم الجس الذاتي للثدي والخضوع لفحوصات تصوير الثدي بشكل دوري. على الرغم من أن التصوير الشعاعي للثدي هو تقنية التشخيص الفائقة للتمييز بين الآفات السرطانية والحميدة للثدي ، يمكن رؤية أي آفة مشكوك فيها بالموجات فوق الصوتية والتصوير بالرنين المغناطيسي (MRI) ؛ خزعة تتبع أي آفة مشبوهة سريريًا أو تغيرغير محدد ظهر في التصوير الشعاعي.[51]

العلاج

تكبير الثدي عن طريق ترقيع الدهون الذاتية يسمح لجراح الأورام الثديية بالنظر في إجراءات جراحة الثدي المحافظة التي عادة ما يتم منعها من خلال وجود زرعة ثدي مرنة ، على سبيل المثال استئصال الكتلة الورمية ، إذا تم الكشف عن السرطان في ثدي مكبر بالزرعة. في المرضى الذين تم تتكبير ثديهم سابقًا ، لا يمكن ضمان النتائج الجمالية دون إزالة الغرسة وإجراء استئصال الثدي.[57][58] لاوة على ذلك ، يعد العلاج الإشعاعي أمرًا بالغ الأهمية للحد من تكرار السرطان والحفاظ على أنسجة الثدي إلى أقصى حد ؛ ومع ذلك ، فإن العلاج الإشعاعي لثدي مكبر مزروع يزيد من حدوث المضاعفات الطبية  – تقلص الكبسولة ، العدوى ، البثق، والنتيجة التجميلية السيئة. .[51]

إعادة بناء الثدي بعد السرطان

بعد استئصال الثدي ، يمكن أن ينتج عن إعادة بناء الثدي الجراحية مع السديلات الجلدية الذاتية وزراعة الثدي تشوهات دقيقة ونواقص ناتجة عن زيادة الثدي الكروية، وبالتالي فإن إعادة بناء الثدي غير مكتملة. في هذه الحالة ، يمكن أن يوفر حقن ترقيع الدهون المفقودة التغطية والامتلاء ، وقد يريح كبسولة الثدي . يمكن حقن الدهون إما كطعوم كبيرة أو كطعوم صغيرة ، كما هو مطلوب لتصحيح القصور الإبطي الصعب ، محيط الثدي غير الصحيح ، حواف الغرسات المرئية ، تقلص الكبسولة ، وتلف الأنسجة الناتج عن العلاج الإشعاعي.[51]

المصادر

  1. ^ Cell-assisted Lipotransfer for Cosmetic Breast Augmentation: Supportive Use of Adipose-Derived Stem/Stromal Cells (2007) Yoshimura, K.; Sato, K.; Aoi, N.; Kurita, M.; Hirohi, T.; Harii, K. (2007). "Cell-Assisted Lipotransfer for Cosmetic Breast Augmentation: Supportive Use of Adipose-Derived Stem/Stromal Cells". Aesthetic Plastic Surgery. 32 (1): 48–55, discussion 56–7. doi:10.1007/s00266-007-9019-4. PMC 2175019. PMID 17763894.
  2. ^ خطأ استشهاد: وسم <ref> غير صحيح؛ لا نص تم توفيره للمراجع المسماة PRSINichter
  3. ^ Stevens WG, Hirsch EM, Stoker DA, Cohen R (2006). "In vitro Deflation of Pre-filled Saline Breast Implants". Plastic and Reconstructive Surgery. 118 (2): 347–349. doi:10.1097/01.prs.0000227674.65284.80. PMID 16874200.
  4. ^ Arion HG (1965). "Retromammary Prosthesis". C R Societé Française de Gynécologie. 5.
  5. ^ Eisenberg, TS (2009). "Silicone Gel Implants Are Back—So What?". American Journal of Cosmetic Surgery. 26: 5–7. doi:10.1177/074880680902600103.
  6. ^ أ ب Zannis, John (2017). Tales for Tagliacozzi: An Inside Look at Modern-Day Plastic Surgery. ISBN 9781524659073. Retrieved 2 December 2017.
  7. ^ Tortora, Gerard J. Introduction to the Human Body, Fifth Edition. John Wiley & Sons, Inc.: New York, 2001. p. 560.
  8. ^ Berlin, C. M. (1994). "Silicone Breast Implants and Breast-feeding". Pediatrics. 94 (4 Pt 1): 546–549. PMID 7936870.
  9. ^ Berlin, Cheston M., Jr. Silicone Breast Implants and Breastfeeding Archived 2010-12-31 at the Wayback Machine, Hershey Medical Center, Hershey, Pennsylvania; from Breastfeeding Abstracts. February 1996, Volume 15, Number 3, pp. 17–18.
  10. ^ "Brustvergrösserung". plasticsurgerydubaiuae.com. Archived from the original on 19 August 2016. Retrieved 9 August 2016.
  11. ^ Kearney, Robert. "Breast Augmentation". Robert Kearney MD FACS. Retrieved 6 May 2012.
  12. ^ Johnson, G. W.; Christ, J. E. (1993). "The endoscopic breast augmentation: The transumbilical insertion of saline-filled breast implants". Plastic and Reconstructive Surgery. 92 (5): 801–808. doi:10.1097/00006534-199392050-00004. PMID 8415961.
  13. ^ Wallach, S. G. (2004). "Maximizing the Use of the Abdominoplasty Incision". Plastic and Reconstructive Surgery. 113 (1): 411–417, discussion 417. doi:10.1097/01.PRS.0000091422.11191.1A. PMID 14707667.
  14. ^ خطأ استشهاد: وسم <ref> غير صحيح؛ لا نص تم توفيره للمراجع المسماة AUG_2006
  15. ^ "Important Information for Augmentation Patients About Mentor MemoryGel Silicone Gel-Filled Breast Implants" (PDF). fda.gov. 2006-11-03. Archived from the original (PDF) on March 8, 2008. Retrieved 2007-05-04.
  16. ^ "Saline-Filled Breast Implant Surgery: Making An Informed Decision (Mentor Corporation)". FDA Breast Implant Consumer Handbook – 2004. 2004-01-13. Archived from the original on November 26, 2006. Retrieved 2007-05-04.
  17. ^ FDA provides updated safety data on silicone gel-filled breast implants. Fda.gov (2011-06-22). Retrieved on 2012-07-15.
  18. ^ Health, Center for Devices and Radiological (2019-12-20). "Allergan Recalls Natrelle Biocell Textured Breast Implants Due to Risk of BIA-ALCL Cancer". FDA (in الإنجليزية).
  19. ^ "Expert Advisory Panel on Breast Implants: Record of Proceedings". HealthCanada. 2005-09-29. Archived from the original on 2007-11-07. Retrieved 2007-05-04.
  20. ^ Therapeutic Goods Administration (2001). Breast Implant Information Booklet (PDF) (4th ed.). Australian Government. ISBN 978-0-642-73579-9. Archived from the original (PDF) on 2007-01-01. Retrieved 2011-03-18.
  21. ^ European Committee on Quality Assurance and Medical Devices in Plastic Surgery (2000-06-23). "Consensus Declaration on Breast Implants" (PDF). Archived from the original (PDF) on December 30, 2006. Retrieved 2007-05-04.
  22. ^ "Silicone Gel Breast Implant Report Launched - No Epidemiological Evidence For Link With Connective Tissue Disease - Independent Review Group". 1998-07-13. Retrieved 2007-05-04.
  23. ^ Breiting VB, Holmich LR, Brandt B, Fryzek JP, Wolthers MS, Kjoller K, McLaughlin JK, Wiik A, Friis S (2004). "Long-term Health Status of Danish Women with Silicone Breast Implants". Plastic and Reconstructive Surgery. 114 (1): 217–226. doi:10.1097/01.PRS.0000128823.77637.8A. PMID 15220596.
  24. ^ Kjoller K, Holmich LR, Fryzek JP, Jacobsen PH, Friis S, McLaughlin JK, Lipworth L, Henriksen TF, Hoier-Madsen M, Wiik A, Olsen JH (2004). "Self-reported musculoskeletal symptoms among Danish women with cosmetic breast implants". Annals of Plastic Surgery. 52 (1): 1–7. doi:10.1097/01.sap.0000101930.75241.55. PMID 14676691.
  25. ^ Fryzek JP, Holmich L, McLaughlin JK, Lipworth L, Tarone RE, Henriksen T, Kjoller K, Friis S (2007). "A Nationwide Study of Connective Tissue Disease and Other Rheumatic Conditions Among Danish Women With Long-Term Cosmetic Breast Implantation". Annals of Epidemiology. 17 (5): 374–379. doi:10.1016/j.annepidem.2006.11.001. PMID 17321754.
  26. ^ Brinton LA, Lubin JH, Murray MC, Colton T, Hoover RN (2006). "Mortality Rates Among Augmentation Mammoplasty patients: an update". Epidemiology. 17 (2): 162–9. doi:10.1097/01.ede.0000197056.84629.19. PMID 16477256.
  27. ^ McLaughlin JK, Lipworth L, Fryzek JP, Ye W, Tarone RE, Nyren O (2006). "Long-term Cancer Risk Among Swedish Women with Cosmetic Breast Implants: an Update of a Nationwide Study". J Natl Cancer Inst. 98 (8): 557–60. doi:10.1093/jnci/djj134. PMID 16622125.
  28. ^ Villenueve PJ; et al. (June 2006). "Mortality among Canadian Women with Cosmetic Breast Implants". American Journal of Epidemiology. 164 (4): 334–341. doi:10.1093/aje/kwj214. PMID 16777929. {{cite journal}}: Unknown parameter |name-list-format= ignored (|name-list-style= suggested) (help)
  29. ^ Brown SL, Pennello G, Berg WA, Soo MS, Middleton MS (2001). "Silicone gel Breast Implant Rupture, Extracapsular Silicone, and Health Status in a Population of Women". Journal of Rheumatology. 28 (5): 996–1003. PMID 11361228.
  30. ^ Lipworth L, Tarone RE, McLaughlin JK (2004). "Breast Implants and Fibromyalgia: a Review of the Epidemiologic Evidence". Annals of Plastic Surgery. 52 (3): 284–287. doi:10.1097/01.sap.0000116024.18713.28. PMID 15156983.
  31. ^ "Diseases". FDA Breast Implant Consumer Handbook - 2004. 2004-06-08. Archived from the original on 2007-06-09. Retrieved 2007-05-04.
  32. ^ Lipworth L, Holmich LR, McLaughlin JK (2011). "Silicone Breast implants and Connective tissue Disease: No Association". Semin Immunopathol. 33 (3): 287–294. doi:10.1007/s00281-010-0238-4. PMID 21369953.
  33. ^ أ ب Rinzler, Carol Ann (2009) The encyclopedia of Cosmetic and Plastic Surgery New York:Facts on File, p.23.
  34. ^ Arepelli S; et al. (2002). "Allergic reactions to platinum in silicone breast implants". Journal of Long-Term Effects of Medical Implants. 12 (4): 299–306. doi:10.1615/jlongtermeffmedimplants.v12.i4.80. PMID 12627791. {{cite journal}}: Unknown parameter |name-list-format= ignored (|name-list-style= suggested) (help)
  35. ^ Lykissa E.D.; Maharaj S.V.M. (April 2006). "Total Platinum Concentration and Platinum Oxidation States in Body Fluids, Tissue, and Explants from Women Exposed to Silicone and Saline Breast Implants by IC-ICPMS". Analytical Chemistry. 78 (9): 2925–2933. doi:10.1021/ac0514016. PMID 16642977. (due publication May 2006). Retrieved 2006-04-06.
  36. ^ "Dubious Breast Implant Study: Doubts now surround study claiming to have found high levels of platinum in women with silicone breast". July 31, 2006.
  37. ^ "FDA Backgrounder on Platinum in Silicone Breast Implants". Food and Drug Administration. Archived from the original on 2007-05-13.
  38. ^ Bircoll M. Autologous Fat Transplantation (presentation) The Asian Congress of Plastic Surgery, February 1982
  39. ^ Bircoll MJ (1984) New Frontiers in Suction Lipectomy (presentation) Second Asian Congress of Plastic Surgery, Pattiya, Thailand, February
  40. ^ Krulig, Eduardo (1987). "Lipo-injection". American Journal of Cosmetic Surgery. 4 (2): 123–9. doi:10.1177/074880688700400206.
  41. ^ Schiffman, p. 4.
  42. ^ Newman J, Levin J (1987). "Facial Lipo-transplant Surgery". American Journal of Cosmetic Surgery. 4 (2): 131–140. doi:10.1177/074880688700400207.
  43. ^ Agris J. (1987). "Autologous Fat Transplantation: A Three-year Study". American Journal of Cosmetic Surgery. 4 (2): 95–102. doi:10.1177/074880688700400203.
  44. ^ Schiffman, p. 226.
  45. ^ Pierrefeu-Lagrange A. C.; Delay E.; Guerin N.; et al. (2005). "Radiological Evaluation of Breasts Reconstructed with Lipo-modeling (in French)". Annales de Chirurgie Plastique et Esthétique. 51: 18. doi:10.1016/j.anplas.2005.10.001.
  46. ^ Zocchi, M. L., Zuliani, F., Nava, M., et al. Bicompartmental Breast Lipostructuring, presentation to the 7th International Congress of Aesthetic Medicine, Milan, 13–15 October 2005.
  47. ^ Rigotti G.; Marchi A.; Galiè M.; et al. (2007). "Clinical Treatment of Radiotherapy Tissue Damages by Lipoaspirates Transplant: A Healing Process Mediated by Adipose-derived Stem cells (ASCS)". Plastic and Reconstructive Surgery. 119 (5): 1409–22, discussion 1423–4. doi:10.1097/01.prs.0000256047.47909.71. PMID 17415234.
  48. ^ Holle, J. Lipofilling in Rhinoplasty and Breast Augmentation, a presentation to the American Alpine Workshop in Plastic Surgery, at the 17th Annual Meeting, Sun Valley, Idaho, 12–17 February 2006
  49. ^ Massiha H (2002). "Scar-tissue Flaps for the Correction of Post-implant Breast Rippling". Annals of Plastic Surgery. 48 (5): 505–7. doi:10.1097/00000637-200205000-00009. PMID 11981190.
  50. ^ Baruffaldi-Preis, F. La correzione delle depressioni: Esiti cicatriziali e rippling (presentation) 30th Anniversary Course of the Foundation of G. Sanvenero Rosselli, Milan, Italy, 16 September 2005
  51. ^ أ ب ت ث ج Coleman, S. R.; Saboeiro, A. P. (2007). "Fat Grafting to the Breast Revisited: Safety and Efficacy". Plastic and Reconstructive Surgery. 119 (3): 775–785, discussion 785–7. doi:10.1097/01.prs.0000252001.59162.c9. PMID 17312477.
  52. ^ Yoshimura, K.; Sato, K.; Aoi, N.; Kurita, M.; Hirohi, T.; Harii, K. (2007). "Cell-Assisted Lipotransfer for Cosmetic Breast Augmentation: Supportive Use of Adipose-Derived Stem/Stromal Cells". Aesthetic Plastic Surgery. 32 (1): 48–55, discussion 56–7. doi:10.1007/s00266-007-9019-4. PMC 2175019. PMID 17763894.
  53. ^ Khouri RK (2010) Non-surgical breast reconstruction with autologous fat-grafts
  54. ^ McGirk, Jan (2003-02-22). "Thailand sponsors slapping to enhance breast size". The Independent. London.
  55. ^ Mu, D. L.; Luan, J.; Mu, L.; Xin, M. Q. (2009). "Breast Augmentation by Autologous Fat Injection Grafting". Annals of Plastic Surgery. 63 (2): 124–127. doi:10.1097/SAP.0b013e318189a98a. PMID 19574890.
  56. ^ Gloeckler Ries, L. A.; Reichman, M. E.; Lewis, D. R.; Hankey, B. F.; Edwards, B. K. (2003). "Cancer survival and incidence from the Surveillance, Epidemiology, and End Results (SEER) program". The Oncologist. 8 (6): 541–552. doi:10.1634/theoncologist.8-6-541. PMID 14657533.
  57. ^ Karanas, Y. L.; Leong, D. S.; Da Lio, A.; Waldron, K.; Watson, J. P.; Chang, H.; Shaw, W. W. (2003). "Surgical Treatment of Breast Cancer in Previously Augmented Patients". Plastic and Reconstructive Surgery. 111 (3): 1078–1083, discussion 1083–6. doi:10.1097/01.PRS.0000046667.56931.E1. PMID 12621177.
  58. ^ Handel, N.; Lewinsky, B.; Jensen, J. A.; Silverstein, M. J. (1996). "Breast conservation therapy after augmentation mammaplasty: Is it appropriate?". Plastic and Reconstructive Surgery. 98 (7): 1216–1224. doi:10.1097/00006534-199612000-00015. PMID 8942907.

المراجع

الكلمات الدالة: