جهاز عصبي

'
TE-Nervous system diagram.svg
The Human Nervous System.
Details
Identifiers
اللاتينيةsystema nervosum
MeSHD009420
TA98A14.0.00.000
FMA7157
المصطلحات التشريحية

الجهاز العصبي Nervous system شبكة اتصالات داخلية في جسم الحيوان، تساعده على التواؤم مع التغييرات البيئية المحيطة به. ويمتلك كل حيوان ـ ماعدا الحيوانات الأولية البسيطة ـ نوعًا من الأجهزة العصبية. تمتلك الحيوانات اللافقارية جهازًا عصبيًا يتراوح بين شبكات بسيطة من الأعصاب وجهاز عصبي منظم مرتبط بدماغ بدائي. أما في الإنسان والحيوانات الفقارية، فيتكون الجهاز العصبي من دماغ ونُخاغ شوكي وأعصاب. وتختص هذه المقالة بالجهاز العصبي في الإنسان. أعز الله سبحانه وتعالى الإنسان عن سائر المخلوقات وفضله وميزّه بامتلاك دماغ متطور جدًا يعمل بكفاءة لا يدانيها أي حاسوب ليساعده في النُّطق، وحل كل ما يلاقيه من صعاب، واستنباط الكثير من الأفكار الخلاقة البديعة. وللجهاز العصبي في الإنسان عدة سُبل تُسهِّل انتقال المعلومات والإحساسات من البيئة المحيطة بالإنسان إلى الدماغ، الذي يقوم بإرسال أوامر وتعليمات لعضلات الجسم المختلفة، لتتجاوب مع تلك المعلومات. وتسلك هذه الأوامر سُبُلاً غير التي سبرتها المعلومات الواصلة للدماغ. وكذلك يختص الجهاز العصبي بتنظيم العديد من وظائف الجسم الداخلية، مثل عمليات التنفس والهضم والنبض القلبي. فالجهاز العصبي مسؤول عن كل ما يقوم به الإنسان من حركات وأفكار وانفعالات وأحاسيس. يقوم الجهاز العصبي عند الحيوانات بتوجيه الفعاليات العضلية ، مراقبة العضاء التشريحية ، تركيب و معالجة معلومات الإدخال التي تلتقطها الحواس ليتم تفسيرها و من خلالها يتم التواصل مع الواقع ، من ثم مباشرة الفعل بناء على المعطيات التي ينقلها الواقع . كما يعتبر المسؤول عن عمليات التفكير و المحاكمة و الخيال و الذاكرة بالتالي فهو مرتبط بالعديد من الفعاليات التي توصف بالعقلية . المكونات الأساسية لهذا الجهاز هو العصبونات neuron (أو ما يدعى بالخلايا العصبية) و ما يتشكل عنها من أعصاب nerve التي تلعب دورا أساسيا في فعاليات الدماغ التنسيقية .

Diagram showing the major divisions of the vertebrate nervous system.

عندما تكون بعض الحيوانات مجردة من المكون الأساسي للجهاز العصبي و المسمى الدماغ brain ، يكون الجهاز العصبي عاجزا عن تشكيل أفكار أو إظهار مشاعر . بالتالي يتبر الدماغ بشكل خاص و الجهاز العصبي عامة المسؤول عن "إحياء" (بث الحياة) في الحيوانات (بكل ما يميز هذه الحياة من فعاليات) (تعتبر الإسفنجيات استثناء في هذا المجال) ، و لنفس السبب فإن المواد الكيميائية السمية التي تعطل عمل الجهاز العصبي تسبب سريعا الشلل من ثم الموت أحيانا كثيرة.

كيف يعمل الجهاز العصبي

كيفية عمل الجهاز العصبي يساعد الجهاز العصبي الإنسان للتكيف مع محيطه؛ إذ تقوم العصبونات (الخلايا العصبية) مثل المستقبلات في العين، بترجمة ما يصلها من معلومات إلى دفعات عصبية، تنقل عبر عصبونات حسية إلى عصبونات الترابط في الدماغ والنخاع الشوكي. وتقوم
حفر على الخشب من كتاب عن الجهاز العصبي، طبع في البندقية في 1495، يظهر المراجع على الرف للعلماء المسلمين ابن سينا والرازي وابن رشد بجانب أرسطوطل وأبوقراط.

والتي تتجمع في شكل حبال تُسمى الأعصاب، تسلك سُبلاً متعددة تساعد على نقل المعلومات سريعًا إلى كل مكان من الجسم. يشترك في إحداث رد فعل الإنسان لأي موقف، العديد من العمليات المعقّدة داخل الجهاز العصبي، والتي لاتستغرق سوى لحظة واحدة. فلنأخذ مثلاً ماذا يحدث في الجهاز العصبي للإنسان، عندما يُشاهد نمرًا مفترسًا، ثم في لحظة يُطلق ساقيه للريح؟. توجد في كل عضو من أعضاء الحواس، مثل العين والأذن وغيرها، عصبونات متخصصة تُسمى المستقبلات، تقوم بترجمة ما يحسه الإنسان،كرؤيته نمرًا مفترسًا، إلى إشارات عصبية، تُسمى الدُفعات العصبية، التي تنتقل في الألياف العصبية بسرعة 1 – 90م في الثانية. فعند رؤية النمر تستجيب مُسْتَقْبلات العينين للإشعاعات الضوئية، التي تعكس رؤيته وتترجمها إلى دفعات عصبية، تنتقل عبر عَصْبونات حسية من المستقبلات في أعضاء الحواس إلى عَصْبونات الترابط الموجودة في الدماغ والنخاع الشوكي.

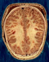
Horizontal bisection of the head of an adult man, showing skin, skull, and brain with grey matter (brown in this image) and underlying white matter

تستقبل العَصْبونات في الدماغ الدفعات العصبية وتقوم بتحليلها وترجمتها وتقرر ما يجب اتخاذه حيالها. فمثلاً تترجم رسالة رؤية النمر المفترس إلى الشعور بالخوف، ومن ثَمّ يرسل الدماغ دُفعات عصبية أخرى، تنتقل عبر عَصْبونات حركية إلى المستفعلات، مثل العضلات والغدد التي تستجيب لأوامر الدماغ. فمثلاً تستجيب عضلات الساقين، وتساعد الإنسان على العدو بعيدًا عن الخطر. وكذلك يرسل الدماغ رسالة إلى القلب ليسرع من نبضه ويزيد من انقباضاته، ليرسل مزيدًا من الدم إلى عضلات الساقين.

أقسام الجهاز العصبي

الجهاز العصبي البشري يتكون من ثلاثة أقسام هي: 1- الجهاز العصبي المركزي، 2- الجهاز العصبي المحيطي، 3- الجهاز العصبي التلقائي، والذي ينقسم إلى ودي وآخر لاودي. ويوضح الشكل المبسط أعلاه الأعصاب الرئيسية فقط. تظهر الأعصاب المحيطية في الجزء الأيسر من الشكل، بينما تظهر الأعصاب التلقائية في الجزء الأيمن منه.

يتكون الجهاز العصبي من ثلاثة أقسام رئيسية هي: الجهاز العصبي المركزي والجهاز العصبي المحيطي والجهاز العصبي التلقائي. ولكل قسم من هذه الأقسام وظائف معينة.

A rod-shaped body contains a digestive system running from the mouth at one end to the anus at the other. Alongside the digestive system is a nerve cord with a brain at the end, near to the mouth.
Nervous system of a bilaterian animal, in the form of a nerve cord with segmental enlargements, and a "brain" at the front

الجهاز العصبي المركزي

يتكون الجهاز العصبي المركزي من الدماغ والنخاع الشوكي ويقوم بتنظيم جميع أنشطة الجهاز العصبي والتحكم فيها. والدماغ عضو شديد التعقيد، يتكون من ثلاثة أجزاء أساسية هي: المخ والمخيخ وجذع الدماغ. وبهذه المقالة معلومات أساسية عن الدماغ. يعلو المخ كلاً من المخيخ وجذع الدماغ، ويلتف حولهما بدرجة ما، ويشكل نحو 85% من الدماغ، ويُعَدُّ الأكثر تعقيدًا. وللإنسان مخ متطور النمو، يقوم بتوجيه السمع والنظر واللمس والتفكير والإحساس والكلام والتعليم. يعلو المخيخ ـ والذي يقارب حجمه حجم البرتقالة ـ جذع الدماغ ويساعد الجسم في الاحتفاظ بتوازنه وينسق بين المعلومات الحسيّة وحركة العضلات. يشبه جذع الدماغ الساق، ويتصل بالنخاغ الشوكي في قاعدة الجمجمة. ويحتوي على العديد من العصبونات التي تتبادل المعلومات الواردة من الحواس. والكثير من العصبونات التي تنظم الوظائف التلقائية، مثل التنفس والنبض القلبي وتوازن الجسم وضغط الدم، توجد في جذع الدماغ. يتكون النخاع الشوكي من حبل من العصبونات التي تمتد من العنق وتتدلى حتى مايقرب من ثلثي العمود الفقاري، الذي يلتف حوله ويقوم بوقايته. ويحتوي النخاع الشوكي على السبل التي تنقل المعلومات الحسية للدماغ وتلك التي تتبادل أوامر الدماغ مع العصبونات الحركية.

الجهاز العصبي المحيطيّ

Area of the human body surface innervated by each spinal nerve

يعمل الجهاز العصبي المحيطيّ على نقل الإشارات والرسائل بين الجهاز العصبي المركزي وأعضاء الجسم المختلفة، ويتكون من اثني عشر زوجًا من الأعصاب تبدأ من الدماغ، وتُسمى الأعصاب القحْفِيَّة، بالإضافة إلى واحد وثلاثين زوجًا من الأعصاب التي تبدأ من النخاع الشوكي وتُسمى الأعصاب النُخَاعية. وتعمل هذه الأعصاب كأسلاك الهاتف، حيث تقوم بنقل الرسائل من كل عَصْبون مستقبل ومستفعل في الجسم وإليه.

الجهاز العصبي التلقائي

Earthworm nervous system. Top: side view of the front of the worm. Bottom: nervous system in isolation, viewed from above

يُعدُّ الجهاز العصبي التلقائي جزءًا خاصًا من الجهاز العصبي المحيطي، حيث يعمل على تنظيم كل الوظائف التلقائية في الجسم، مثل التنفس والهضم، دون أي تدخُّل أو تحكم من الدماغ، مما يساعد على الاحتفاظ ببيئة داخلية مستقرة. وينقسم الجهاز العصبي التلقائي إلى جز ئين هما: الجهاز الوُدِّي والجهاز اللاوُدِّي. يلبي الجهاز الودِّي كل احتياجات الجسم خلال حالات الطوارئ وازدياد النشاط. فهو يعمل على ازدياد سرعة ضربات القلب وسريان الدم للعضلات وتوسعة حدقتي العينين. أما الجهاز اللاوُدِّي فيقوم، بشكل عام، بإحداث تأثيرات مضادة للجهاز الودِّي. فمن تأثيراته مثلاً، إبطاء ضربات القلب وتوجيه سريان الدم من العضلات إلى المعدة والأمعاء، وتضييق حَدَقَتي العينين. أما الموازنة بين الجهازين، فيقوم بها الجهاز العصبي المركزي.

أجزاء العصبون

يتكون العصبون من ثلاثة أجزاء أساسية هي: الجسم الخَلَوي والمحوار (المحور العصبي) والتغصنات. ويغطي كل الخلية غشاء عصبي رقيق.

العصبونات والأعصاب يتكون العصبون (إلى اليمين) من ثلاثة أجزاء رئيسية وهي الجسم الخلوي ويعمل كمركز للتحكم في نشاطات الخلية، المحوار ويعتبر امتدادًا أسطوانيًا يساعد على انتقال الرسائل، والإشارات، والتغصنات وهي امتدادات قصيرة متخصصة في استقبال الرسائل.

الجسم الخلوي

يشبه الجسم الخلوي كرة صغيرة قطرها 0,25ملم، ويعمل على استقبال وإرسال الدفعات العصبية وتصنيع البُروُتينات واستخدام الطاقة للمحافظة على الخلية العصبية ونموها.

Internal anatomy of a spider, showing the nervous system in blue

تتمركز معظم الأجسام الخلوية للعصبونات داخل الجهاز العصبي المركزي، حيث تتحد الرسائل الواردة وتُبَث الرسائل الصادرة. أما تلك الموجودة خارج الجهاز العصبي المركزي، فتتجمع في حزم تسمى العقد، مثل تلك الخاصة بالجهاز العصبي التلقائي.

المحوار

ويسمى أيضًا الليف العصبي، ويشكل امتدادًا أنبوبيًا للجسم الخلوي للعصبون. وله العديد من التفرعات التي تمكنه من الاتصال بما يقرب من ألف عصبون آخر. وهو متخصص في نقل الرسائل. يبلغ طول المحوار داخل الجهاز العصبي المركزي أقل من مليمتر واحد، بـينما يزيد عن ذلك في الجهاز العصبي المحيطي، إذ يصل طول بعض المحاوير الممتدة من النُخاع الشوكي إلى عضلات القدمين إلى 75-100سم. أما الأعصاب فما هي إلا تجمعات لمحاوير عصبونات حركية أو حسية أو لكليهما معًا، التصقت مع بعضها مع بعض مكونة ذلك الشكل الحبلي. يغطي غمد مصنوع من مادة دهنية بيضاء تسمى الميلين بعض المحاوير، حيث تساعد على سرعة انتقال الدفعات العصبية عبرها، كما تساعد على التمييز بين المادة الرمادية والمادة البيضاء في الجهاز العصبي. وتتكون المادة الرمادية من محاوير غير مغطاة بالميلين وأجسام خلوية عصبونية، بينما تتكون المادة البيضاء من محاوير مغطاة بالميلين. وتصنع مادة الميلين في خلايا شفان في الجهاز العصبي المحيطي، بينما تقوم الخلايا الدبقية بتصنيعها في الجهاز العصبي المركزي.

التغصُنات

Major elements in synaptic transmission. An electrochemical wave called an action potential travels along the axon of a neuron. When the wave reaches a synapse, it provokes release of a puff of neurotransmitter molecules, which bind to chemical receptor molecules located in the membrane of the target cell.

تتفرع من كل جسم خَلَوي نحو ستة أفرع في شكل قنوات أسطوانية، تُسمى التغصنات. ويبلغ طولها نصف ملم وسُمكها ضعفي سُمك المحوار أو ثلاثة أضعافه. تُعَدُّ التغصنات أجسامًا متخصصة في استقبال الدُفعات الواردة من محاوير أخرى، ويفصل بينهما فراغ ضيق يُسمى الفَلُح المَشْبَكي الذي تعبر خلاله الدُفعات. وتسمى أماكن التقاء العصبونات المشابك.

مسارات الرسائل العصبية

السُبل البسيطة

Simplified schema of basic nervous system function: signals are picked up by sensory receptors and sent to the spinal cord and brain, where processing occurs that results in signals sent back to the spinal cord and then out to motor neurons

يعمل الجهاز العصبي عبر سُبل محددة وثابتة بين العصبونات تسمى الدارات العصبية. ومن أبسطها ما يسمى بالمُنْعَكس، وهي استجابة تلقائية لا إرادية لأحد المنبهات لا يتدخل فيها الدماغ. ويربط المنعكس بين عَصْبونات مُستَقْبلة ومستفعلة ويمر عبر النُّخاع الشوكي. ومن أبسط هذه المنعكسات مُنْعكَسُ الركبة الذي يمكن مشاهدته بعد طرق خفيف على الوتر تحت الرضَفَة. فالطّرْق يؤدي إلى تقلص العضلة هناك وتنبيه بعض المستقبلات وانبثاق دفعة عصبية، تنتقل عبر عَصْبون حسي من خلال محوار إلى النُخاع الشوكي، ومن ثَمّ ـ عبر مشبك ـ إلى حد العَصبونات الحركية، حيث يتم تكوين دُفعة عصبية أخرى تنتقل عبر المحوار لأحد العُصبونات الحركية ليتم إرجاعها للعضلة التي تنقبض خلاياها مُحدثة نفضًا للساق.

السُبل المعقدة

هنالك العديد من المنعكسات المعقدة، حيث تدخل إحدى عَصبونات الترابط بين العَصبونات الحسية والحركية. وقد يتصل عَصْبون الترابط بمجموعة من السبل العصبية المعقدة التي قد تصل إلى الدماغ. ومن هذه المنعكسات، الإنسحاب من أحد المنبهات المؤلمة، مثل ما يحدث عندما يضغط شخص ما بقدمه الحافية على جسم حادّ. ففي هذه الحالة نشاهد استجابة فورية برفع القدم، وفي نفس الوقت ينبِّه بعض عَصبونات الترابط عضلات الرِّجل الأخرى لتحافظ على توازن الجسم. وإضافة لهذا يتم تنبيه بعض السبل العصبية الواصلة للدماغ ليعي الإنسان ما حدث له. ولا تستطيع المنعكسات بمفردها احتواء كل أفعال الإنسان وتفسيرها، ويمكن للإنسان وبعض الحيوانات تعلَّم أنماط جديدة من السلوك. فمثلاً، تنتقل حركات العضلات الإرادية المطلوبة لاكتساب خبرات جديدة، عبر مجموعة من السبل العصبية المعقدة التي تمتد من الدماغ إلى جميع أعضاء الجسم. فبعض الأفعال المعقدة مثل قيادة الدراجة أو المشي يمكن التدرُّب عليها، وتعلمها، ومن ثم أداؤها دون أي تحكم واعٍ مستديم.

الجهاز العصبي عند الحيوانات

الحيوانات الفقـارية

تمتلك الحيوانات الفـقارية من ثدييات وأسماك وطيور وزواحف وبرمائيات عَصبوناتٍ وجهازًا عصبيًا، يشبه من حيث الشكل والحجم ذلك الذي لدى الإنسان. ويدل كبر حجم جزء ما من الدماغ على أهمية ذلك الجزء للحيوان. فمثلاً نلاحظ أن منطقة الشّم في الكلاب، تحتل مكانة أكبر من مثيلتها عند الإنسان، ولكن، ميّز الله سبحانه وتعالى الإنسان عن سائر المخلوقات بامتلاكه لقشرة مخ ـ الجزء الخارجي من الدماغ ـ كبيرة ومتطورة مسؤولة عن تنسيق المهارات المعقدة، مثل التحكم في حركة الجسم وتعلم اللغات. الجهاز العصبي للحيوانات الفقارية يقسم عادة إلى جهاز عصبي مركزي وجهاز عصبي محيطي. الجهاز العصبي المركزي يتألف من الدماغ والنخاع الشوكي. في حين يتألف الجهاز العصبي المحيطي من جميع العصاب و العصبونات التي لا تقع ضمن نطاق الجهاز العصبي المركزي. الغالبية العظمى مما يدعى الاعصاب (وهي الامتدادات المحورية للخلايا العصبية) تعتبر من ضمن الجهاز العصبي المحيطي . يمكن تقسيم الجهاز العصبي المحيطي يتم تقسيمه عادة إلى جهاز عصبي جسدي somatic nervous system و جهاز عصبي تلقائي autonomic nervous system

الجهاز العصبي الجسدي أو الطرفي هو المسؤول عن توجيه حركات الجسم و أيضا استقبال المنبهات الخارجية . أما التلقائي فهو جزء مستقل يعمل على تنظيم الوظائف الداخلية للجسم .

الحيوانات اللافقارية

تمتلك الحيوانات اللافقارية المتعددة نوعًا ما من الأجهزة العصبية ذات عصبونات كبيرة مقارنة بتلك التي عند الإنسان. فمثلاً تمتلك الحيوانات البسيطة، مثل الهَيْدرا جهازًا عصبيًا يتكون من شبكة عصبية تنتشر في كل خلايا الحيوان. ولا يمكن التمييز بين المحاوير والتغصنات، و لذلك تنتشر الدفعات العصبية بصورة شاملة في كل الحيوان عند بدئها من موضع التنبيه. ومن ناحية أخرى تمتلك الديدان والحشرات جهازًا عصبيًا مركزيًا معقدًا يتكون من عَصبونات كثيفة مُشكّلة ما يُسمى الحبل العصبي المليء بالعُقد ذات القدرة على تنظيم أنشطة هذه الحيوانات وتنسيقها. وإضافة لهذا نلاحظ في مقدمة الحيوان وجود تجمعات من العقد تمثل مايُسمى الدماغ البدائي. وللحشرات كذلك تجمعات عُقدية في الصدور مسؤولة عن تنسيق حركتها. ومن ناحية عامة تتشابه آليات حدوث الدُفعات العصبية والكوامن المشبكية في كل من الإنسان والأنواع المتقدمة من الحيوانات اللافقارية.

كيفية نقل العصبونات للدُفعات العصبية

سريان الدفعة العصبيــة يعتبر سريان الدفعة العصبية عملية كهروكيميائية. ويعتقد معظم العلماء بتحكم الغشاء العصبوني في هذه العملية، وذلك بسماحه الانتقائي لدخول وخروج بعض الأيونات من الخلية. توضح هذه الأشكال كيفية نقل أحد العصبونات الحركية لرسالة أو إشارة من أحد عصبونات الترابط إلى أحد المستفعلات.

في خلال القرن التاسع عشر الميلادي، اكتشف العلماء علاقة الشحنات الكهربائية بالدفعات العصبية، وظنوا أن الدفعة العصبية ماهي إلا تيار كهربائي يسري عبر الأعصاب. وفي بداية القرن العشرين عرف الباحثون قدرة بعض الأيونات داخل العصبونات وخارجها على إحداث شحنات كهربائية كامنة، وكذلك اكتشف وجود بعض المسام في أغشية الخلايا العصبية، تسمح بمرور بعض المواد المعينة من خلالها. ولذلك اعتقد العلماء بأن الدفعات العصبية عمليات كهروكيميائية تتحكم فيها أغشية الخلايا العصبية. وفي خلال الثلاثينيات من القرن العشرين، طَوّرَ العلماء بعض الطرق لاختبار نظرية الغشاء في التوصيل العصبي، وهي نظرية مقبولة لتفسير كيفية نقل العُصبونات للدفعات العصبية.

بدء الدُفعة العصبية

يحتوي غشاء الخلية العصبية على جُزيئات بروتينية خاصة تتحكم في فتح مسامه وإغلاقها. وخلال فترة سكونه يتم تخفيض مستوى أيونات الصوديوم وزيادة مستوى أيونات البوتاسيوم وبعض الأيونات العضوية السالبة داخل الخلية مقارنة بما يحيط بها من سوائل، ومن ثم تزداد سلبية داخل العصبون. ويطلق على الغشاء العصبوني في هذه الحالة اسم الغشاء المُستَقطب. ويسمى فرق الجهد عبر الغشاء اسم الكَامن الساكن . وعند تنبيه العَصبون بأحد المنبهات الكيميائية أو الكهربائية أو الآلية تتأثر مسامية الغشاء، ويتغير الجهد الساكن. فهذه المنبهات تفتح مسامات الغشاء وتزيد من دخول أيونات الصوديوم لداخل الخلية، حيث يزداد عدد الشحنات الموجبة ،ويحدث ما يسمى بزوال الاسْتِقْطاب. وعند إزالة استقطاب العَصبون بأحد المنبهات، يبدأ بالنبض ويزداد نشاطه، ومن ثم تبدأ الدفعة العصبية. ويجب أن تكون للمنبه شدة معينة تعرف باسم جهد العتبة. وتجدر الإشارة إلى أن لكل الدفعات العصبونية نفس الحجم والزمن، بغض النظر عن قوة المنبه للعصبون، وتسمى هذه الظاهرة باسم ظاهرة الكل ـ أو ـ العدم. ويحتمل أن ترجع قدرة إحساس الدماغ بقوة المنبه إلى عدد الألياف العصبية المنبهة وتردُّد الدفعات الناتجة عن المنبه.

التوصيل عبر المحوار

يوجد بداخل المحوار العصبي سائل ذو قدرة على توصيل الشحنات الكهربائية ونقلها في شكل تيار. فعند إزالة الاستقطاب من إحدى مناطق المحوار، تنتشر هذه الإزالة عبر هذا السائل إلى كل المناطق المجاورة في المحوار. وتسمى موجة إزالة الاستقطاب هذه باسم كامن الفعل. وتجب ملاحظة أنه لو كان العَصبون غير مُغطى بمادة المَيلين لأمكن للدفعات العصبية اكتساح المحوار كله مرة واحدة، كاكتساح النار لفاصمة الإنصهار الواقية. ولكن لوجود غطاء الميلين وتقطعه عبر المحوار في مناطق عُقد رانفير، فلا تحدث هذه الدُفعات العصبية إلا في هذه العقد حيث تقفز من عقدة إلى أخرى عبر المحوار.

الانتقال عبر المَشابك

يتم انتقال الدفعات العصبية عبر المشابك بوساطة مواد كيميائية خاصة تسمى الناقلات العصبية. فعند وصول الدفعة للنهاية الطرفية للمحوار تقوم بحفز إفراز إحدى الناقلات العصبية في الفلح المشبكي، ومن ثم تتحرك الناقلة العصبية نحو تغصنات الخلية العصبية المجاورة، وتفتح مسامات غشائها لتتدفق بعض الأيونات إلى داخل الخلية، لتحدث تغييرًا في جهدها يسمى الكامن خلف المشبك. ينقسم الكامن خلف المشبك إلى نوعين: مُثير أو مُثَبِّط. ويعمل النوع المثير لإحداث فعل كامن آخر في محوار إحدى الخلايا العصبية، بينما يعمل النوع المثبِّط لمنع حدوثه. وتجدر الإشارة إلى عدم قدرة بعض الدفعات العصبية الواصلة إلى المشبك من الوصول إلى العُصبونات المجاورة، مما يعني أن المشابك تعمل على تنظيم مسار تدفقات الدفعات العصبية الثابتة في كل أجزاء الجهاز العصبي.

اضطرابات الجهاز العصبي

تضر بعض الأمراض والإصابات بالجهاز العصبي. ويصعب إصلاح محاوير الجهاز العصبي المركزي بعد تلفها الكبير. ولكن يمكن لبعض الأعصاب في الجهاز العصبي المحيطي استرداد وظيفتها إذا كان الضرر طفيفًا. تتجمع معظم العَصبونات التي تؤدِّي وظيفة محددة في منطقة واحدة من الدماغ. وبسبب هذا الانتظام التجميعي الذي يسمى توضيع الوظيفة، فإن العطب أو الضرر الجزئي في الدماغ، لا يؤدي إلا لفقدان تلك الوظائف المسؤول عنها ذلك الجزء. ولكن قد يصدف أن تتولى بعض الأجزاء السليمة من الدماغ عمل تلك الأجزاء التالفة مؤدية إلى ما يُسمى باستعادة الوظيفة.

السكتة الدماغية

من أخطر اضطرابات الجهاز العصبي، وتحدث عندما يتوقف سريان الدم إلى بعض أجزاء الدماغ، مما يؤدي لموت الخلايا العصبية وعدم القدرة ـ الدائمة أو المؤقتة ـ على أداء بعض الوظائف مثل الكلام أو تحريك الأطراف. وقد يموت الإنسان في حالة تلف مراكز التحكم في التنفس أو أية وظيفة حيوية أخرى. ومن أمراض الجهاز العصبي المعدية الشائعة بعض الإصابات الفيروسية البسيطة التي تستمر لأيام قليلة فقط مسببة الصداع أحيانًا. ولكن هنالك أيضًا بعض الأمراض الخطرة مثل التهاب الدماغ والالتهاب السحائي تسببها بعض البكتيريا، والفيروسات والميكروبات الأخرى. ومن أمراض الجهاز العصبي المعدية الشائعة بعض الإصابات الفيروسية البسيطة التي تستمر لأيام قليلة فقط مسببة الصداع أحيانًا. ولكن هنالك أيضًا بعض الأمراض الخطرة مثل التهاب الدماغ والالتهاب السحائي تسببها بعض البكتيريا، والفيروسات والميكروبات الأخرى. ويُصاب الجهاز العصبي أيضًا بمرض التصلب المتعدد وهو غير معروف السبب ويؤدي لفقدان الأغشية الميلينية للمحاوير في الجهاز العصبي المركزي، مما يُبطل قدرتها على توصيل الدفعات العصبية بصورة جيدة. وكذلك يصاب الجهاز العصبي المركزي بمرض الصَّرْع الذي تحدث فيه اختلاجات عضلية قد تكون مصحوبة بتغيير أو فقدان مؤقت للوعي. وتحدث النوبات الصرعية عند انبثاق عدد هائل من الدفعات العصبية من بعض العَصبونات في أحد مناطق الدماغ. ويصف الأطباء بعض الأدوية للتقليل من هذه النوبات أو منعها نهائيًا. وإضافة لهذا فقد يصاب الجهاز العصبي بمرض شلل الأطفال الذي يسببه فيروس شلل الأطفال. وهو يتلف العَصبونات الحركية في النخاع الشوكي وجذع الدماغ مؤدية بذلك إلى الشلل في بعض الأحيان. ولكن بعد اكتشاف لقاحات هذا المرض وتطويرها قلت الإصابة به. وتؤدي اضطرابات الجهاز العصبي إلى بعض الأمراض العقلية أو التخلف العقلي.

الجهاز العصبي

يمكن الجهاز العصبي الكائن الحي من التفاعل مع بيئته الخارجية والداخلية ويضم مكونات حسية ترصد ما يحدث في البيئة, ومكونات تعالج وتخزن البيانات الحسية ومكونات حركية تولد الحركة وافراز الغدد

ويتكون الجهاز العصبي من تجمعات خلايا عالية التعقيد يسمى بعضها بالخلايا العصبية nerve cells or neurons,التي تكون الشبكات الموصلة وتقوم باستقبال الاشارات ونقلها الى الخلايا العصبية المنفذة.

وهناك خلايا اخرى مدعمة تعرف بخلايا الغراء العصبي neurogliaتساعد على حفظ البيئة المناسبة للخلايا العصبية

وتعتبر الخلية العصبية هي وحدة التركيب للجهاز العصبي


انظر أيضا

المصادر

[1]

[2]

[3]

[4]

[5]

[6]

[7]

[8]

[9]

[10]

[11]

[12]

[13]

[14]

[15]

[16]

[17]

[18]

[19]

[20]

[21]

[22]

[23]

[24]

[25]

[26]

[27]

[28]

[29]

[30]

[31]

[32]

[33]

[34]


وصلات خارجية

  1. ^ Afifi AK (1994). "Basal ganglia: functional anatomy and physiology. Part 1". J. Child Neurol. 9 (3): 249–60. PMID 7930403. {{cite journal}}: Unknown parameter |month= ignored (help)
  2. ^ Allen NJ, Barres BA (2009). "Neuroscience: Glia - more than just brain glue". Nature. 457 (7230): 675–7. doi:10.1038/457675a. PMID 19194443.
  3. ^ Azevedo FA, Carvalho LR, Grinberg LT; et al. (2009). "Equal numbers of neuronal and nonneuronal cells make the human brain an isometrically scaled-up primate brain". J. Comp. Neurol. 513 (5): 532–41. doi:10.1002/cne.21974. PMID 19226510. {{cite journal}}: Explicit use of et al. in: |author= (help)CS1 maint: multiple names: authors list (link)
  4. ^ "Nervous System". Columbia Encyclopedia. Columbia University Press. {{cite encyclopedia}}: |access-date= requires |url= (help); Check date values in: |accessdate= (help)
  5. ^ Balavoine G (2003). "The segmented Urbilateria: A testable scenario". Int Comp Biology. 43: 137–47. doi:10.1093/icb/43.1.137.
  6. ^ Bourlat SJ, Juliusdottir T, Lowe CJ; et al. (2006). "Deuterostome phylogeny reveals monophyletic chordates and the new phylum Xenoturbellida". Nature. 444 (7115): 85–8. doi:10.1038/nature05241. PMID 17051155. {{cite journal}}: Explicit use of et al. in: |author= (help); Unknown parameter |month= ignored (help)CS1 maint: multiple names: authors list (link)
  7. ^ "ganglion" في قاموس دورلاند الطبي
  8. ^ Erwin DH, Davidson EH (2002). "The last common bilaterian ancestor". Development. 129 (13): 3021–32. PMID 12070079. {{cite journal}}: Unknown parameter |month= ignored (help)
  9. ^ Standring, Susan (Editor-in-chief) (2005). Gray's Anatomy (39th ed.). Elsevier Churchill Livingstone. pp. 233–234. ISBN 9780443071683. {{cite book}}: |author= has generic name (help)
  10. ^ Jacobs DK1, Nakanishi N, Yuan D; et al. (2007). "Evolution of sensory structures in basal metazoa". Integr Comp Biol. 47: 712–723. doi:10.1093/icb/icm094. {{cite journal}}: Explicit use of et al. in: |author= (help)CS1 maint: multiple names: authors list (link) CS1 maint: numeric names: authors list (link)
  11. ^ "Ch. 2: Nerve cells and behavior". Principles of Neural Science. McGraw-Hill Professional. 2000. ISBN 9780838577011. {{cite book}}: Unknown parameter |editors= ignored (|editor= suggested) (help)
  12. ^ "Ch. 4: The cytology of neurons". Principles of Neural Science. McGraw-Hill Professional. 2000. ISBN 9780838577011. {{cite book}}: Unknown parameter |editors= ignored (|editor= suggested) (help)
  13. ^ "Ch. 9: Propagated signaling: the action potential". Principles of Neural Science. McGraw-Hill Professional. 2000. ISBN 9780838577011. {{cite book}}: Unknown parameter |editors= ignored (|editor= suggested) (help)
  14. ^ "Ch. 10: Overview of synaptic transmission". Principles of Neural Science. McGraw-Hill Professional. 2000. ISBN 9780838577011. {{cite book}}: Unknown parameter |editors= ignored (|editor= suggested) (help)
  15. ^ "Ch. 11: Signaling at the nerve-muscle synapse". Principles of Neural Science. McGraw-Hill Professional. 2000. ISBN 9780838577011. {{cite book}}: Unknown parameter |editors= ignored (|editor= suggested) (help)
  16. ^ "Ch. 15: Neurotransmitters". Principles of Neural Science. McGraw-Hill Professional. 2000. ISBN 9780838577011. {{cite book}}: Unknown parameter |editors= ignored (|editor= suggested) (help)
  17. ^ "Ch. 17: The anatomical organization of the central nervous system". Principles of Neural Science. McGraw-Hill Professional. 2000. ISBN 9780838577011. {{cite book}}: Unknown parameter |editors= ignored (|editor= suggested) (help)
  18. ^ "Ch. 21: Coding of sensory information". Principles of Neural Science. McGraw-Hill Professional. 2000. ISBN 9780838577011. {{cite book}}: Unknown parameter |editors= ignored (|editor= suggested) (help)
  19. ^ "Ch. 25: Constructing the visual image". Principles of Neural Science. McGraw-Hill Professional. 2000. ISBN 9780838577011. {{cite book}}: Unknown parameter |editors= ignored (|editor= suggested) (help)
  20. ^ "Ch. 36: Spinal reflexes". Principles of Neural Science. McGraw-Hill Professional. 2000. ISBN 9780838577011. {{cite book}}: Unknown parameter |editors= ignored (|editor= suggested) (help)
  21. ^ "Ch. 38: Voluntary movement". Principles of Neural Science. McGraw-Hill Professional. 2000. ISBN 9780838577011. {{cite book}}: Unknown parameter |editors= ignored (|editor= suggested) (help)
  22. ^ "Ch. 39: The control of gaze". Principles of Neural Science. McGraw-Hill Professional. 2000. ISBN 9780838577011. {{cite book}}: Unknown parameter |editors= ignored (|editor= suggested) (help)
  23. ^ "Ch. 52: The induction and patterning of the nervous system". Principles of Neural Science. McGraw-Hill Professional. 2000. ISBN 9780838577011. {{cite book}}: Unknown parameter |editors= ignored (|editor= suggested) (help)
  24. ^ "Ch. 53: The formation and survival of nerve cells". Principles of Neural Science. McGraw-Hill Professional. 2000. ISBN 9780838577011. {{cite book}}: Unknown parameter |editors= ignored (|editor= suggested) (help)
  25. ^ Hormuzdi SG, Filippov MA, Mitropoulou G; et al. (2004). "Electrical synapses: a dynamic signaling system that shapes the activity of neuronal networks". Biochim. Biophys. Acta. 1662 (1–2): 113–37. doi:10.1016/j.bbamem.2003.10.023. PMID 15033583. {{cite journal}}: Explicit use of et al. in: |author= (help)CS1 maint: multiple names: authors list (link)
  26. ^ Lichtneckert R, Reichert H (2005). "Insights into the urbilaterian brain: conserved genetic patterning mechanisms in insect and vertebrate brain development". Heredity. 94 (5): 465–77. doi:10.1038/sj.hdy.6800664. PMID 15770230. {{cite journal}}: Unknown parameter |month= ignored (help)
  27. ^ McCulloch WS, Pitts W (1943). "A logical calculus of the ideas immanent in nervous activity". Bull. Math. Biophys. 5: 115–133.
  28. ^ Purves D, Augustine GJ, Fitzpatrick D, Hall WC, LaMantia A-S, McNamara JO, White LE (2008). Neuroscience. 4th ed. Sinauer Associates. pp. 15–16.{{cite book}}: CS1 maint: multiple names: authors list (link)
  29. ^ Ruppert EE, Fox RS, Barnes RD (2004). Invertebrate Zoology (7 ed.). Brooks / Cole. pp. 111–124. ISBN 0030259827.{{cite book}}: CS1 maint: multiple names: authors list (link)
  30. ^ Sakarya O, Armstrong KA, Adamska M; et al. (2007). "A post-synaptic scaffold at the origin of the animal kingdom". PLoS ONE. 2 (6): e506. doi:10.1371/journal.pone.0000506. PMC 1876816. PMID 17551586. {{cite journal}}: Explicit use of et al. in: |author= (help)CS1 maint: multiple names: authors list (link) CS1 maint: unflagged free DOI (link)
  31. ^ Sanes DH, Reh TH, Harris WA (2006). "Ch. 1, Neural induction". Development of the Nervous System. Elsevier Academic Press. ISBN 9780126186215.{{cite book}}: CS1 maint: multiple names: authors list (link)
  32. ^ Strata P, Harvey R (1999). "Dale's principle". Brain Res. Bull. 50 (5–6): 349–50. doi:10.1016/S0361-9230(99)00100-8. PMID 10643431.
  33. ^ "Wormbook: Specification of the nervous system".
  34. ^ Zhu B, Pennack JA, McQuilton P, Forero MG, Mizuguchi K, Sutcliffe B, Gu CJ, Fenton JC, Hidalgo A (2008). "Drosophila neurotrophins reveal a common mechanism for nervous system formation". PLoS Biol. 6 (11): e284. doi:10.1371/journal.pbio.0060284. PMC 2586362. PMID 19018662. {{cite journal}}: Unknown parameter |month= ignored (help)CS1 maint: multiple names: authors list (link) CS1 maint: unflagged free DOI (link)
الكلمات الدالة: