تمدد الأوعية الدموية
تمدد الأوعية الدموية | |
---|---|
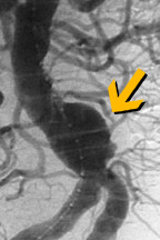
![]() | |
شريان مصاب بالتمدد | |
التبويب والمصادر الخارجية | |
التخصص | جراحة أوعية دموية[*] |
ICD-10 | I72. |
ICD-9-CM | 442 |
DiseasesDB | 15088 |
MedlinePlus | 001122 |
Patient UK | فشل عرض الخاصية P1461: لم يتم العثور على الخاصية P1461. تمدد الأوعية الدموية |
تمدد الأوعية الدموية Aneurysms هو إنتفاخ يشبه البالون في الشرايين، و يمكن أَن يتشكل في الشرايين بمختلف أحجامها. يحدث تمدد الأوعية الدموية عندما يجبر ضغط الدم، الذي يعبر جزء ضعيف من شريان ما، الجدران على الإنتفاخ للخارج. لا تعتبر كلّ حالات تمدد الأوعية الدموية خطرة. لكن إذا مدّت هذه الإنتفاخات الشريان بصورة ضخمة، فإن الجدران قد تنفجر، تاركة الشخص المصاب ينزف إلى الموت. تمدد الأوعية الدموية الذي يؤدي إلى نزيف في تجويف الدماغ يمكن أن يؤدي إلى الجلطة الدماغية أو الموت.
مكان إصابة تمدد الأوعية الدموية
- في الشرايينِ التي تمد الدم إلى الدماغ. و هذا يدعى تمدد أوعية دموية مخي.
- في أجزاء الشريان الأبهر. الشريان الأبهر يحمل الدم من القلب إلى أجزاء أخرى من الجسم. تمدد الأوعية الدموية الأبهري يمكن أنْ يحدث في المنطقة أسفل المعدة (تمدد أوعية دموية بطني) أو في الصدر (تمدد أوعية دموية صدري). تمدد الأوعية الدموية البطني الأبهري يقع عادة تحت الكلى.
- في غرفة ضخ القلب الرئيسية (البطين الأيسر). إذا تضرر قسم من جدار القلب بعد نوبة قلبية، فهذا قد يؤدي إلى تخديش الجدار و سينمو الجدار بصورة أنحف وأضعف. هذا بدوره يساهم في تمدد أوعية دموية بطيني. المنطقة الضعيفة من تمدد الأوعية الدموية لن تعمل بصورة جيدة، مما يجعل القلب يعمل بجهد أكبر لضخ الدم إلى بقيّة الجسم. تمدد الأوعية الدموية البطيني قد يسبّب ضيق التنفّس، ألم الصدر، أَو نبض شاذ للقلب (إضطراب نبضات القلب). إذا أدى تمدد الأوعية الدموية البطيني إلى عجز قلب إزدحامي، عجز قلب بطيني أيسر، أو إضطراب نبضات القلب، فقد يتم اللجوء إلى الجراحة.
كيفية تمدد الأوعية الدموية
أي حالة تسبّب إضعاف جدران الشرايين يمكن أن تؤدّي إلى تمدد الأوعية الدموية. العوامل التالية تزيد من خطر تمدد الأوعية الدموية:
- تصلب الشرايين Atherosclerosis (ترسب الدهون على الشرايين المتصلبة).
- ضغط الدم العالي.
- التدخين.
- الجروح العميقة، الإصابات، أَو إلتهاب الأوعية الدموية.
- الأمراض الوراثية. مرض وراثي مثل متلازمة مارفان، و التي تؤثّر على نسيج الجسم الرابط، تجعل عظام الأفراد أكثر طولا ومفاصلهم مرنة جداً. الأفراد المصابون بهذه المتلازمة يصابون بتمدد الأوعية الدموية في أغلب الأحيان.
الكشف عن تمدد الأوعية الدموية
تمدد الأوعية الدموية يمكن أَنْ يكتشف بالفحص، بإستخدام صور الأشعة السينية للصدر أو للمعدة ، أَو بإستعمال التصوير بإستخدام النظائر المشعة أو الموجات فوق السمعية. يمكن أيضا أستعمال تصوير الرنين المغناطيسي، أو سي تي سكان tomographycomputed tomography (CT) scanning.
الأعراض
الأعراض تختلف إعتماد على نوع وموقع الأوعية الدموية المتمددة. تنتج الأعراض من ضغط الأوعية الدموية المتمددة على الأعضاء، الأعصاب، و الأوعية الدموية الأخرى القريبة. و أمثلة على ذلك:
- تمدد الأوعية الدموية الأبهري الصدري قد يسبّب ضيق التنفّس ، حجرشة صوت الشخص أو تحوله إلى الأجش ، ألم في الظهر، أو ألم في الكتف اليسار أَو بين عظام الكتف. أحياناً، تمدد الأوعية الدموية الأبهري يمكن أنْ يتمزق. عندما يحدث هذا، يكون الألم مفاجئ وحاد. يشعر المرضى و كأن شيئا يتمزق داخلهم.
- تمدد الأوعية الدموية الأبهري البطني قَدْ يُسبّبُ ألمَ أسفل المعدة، و يجعل المصاب أقل جوعا، أَو يصيبه بإضطراب المعدة.
- تمدد الأوعية الدموية المخّي (دماغ) قد لا يعطي أية أعراض، مع أنه قد يصاب الشخص بالصداع، أو بألم في رقبته ووجهه، أَو يصاب بمشاكل في الرؤية أو الكلام.
المعالجة
تعتمد المعالجة على حجم وموقع التمدد وصحة المصاب العامة. تمدد الأوعية الدموية في قسم الصدر الأعلى (الشريان الأبهر الصاعد) يخضع للجراحة فورا. تمدد الأوعية الدموية في القسم الصدري الأوطأ والمنطقة أسفل المعدة (أجزاء صدرية وبطنية من الشريان الأبهر) قد لا يشكل خطر يهدد حياة المصاب. التمدد في هذه المواقع يتم مراقبته بإنتظام. إذا وصل إلى قطر 5 سنتيمترات (تقريبا بوصتان)، أو واصل النمو، أو بدأ بالتسبّب بأعراض مزعجة، فيمكن اللجوء أيضا للجراحة لإيقاف تمدد الأوعية الدموية قبل إنفجارها.
في حالة تمدد الأوعية القلبية أَو الأبهرية التي تمد الدم إلى الذراعين، الساقين، أو الرأس ، تتضمّن الجراحة إسْتبدال القسم الضعيف للشريان بإنبوب إصطناعي.
المرضى المصلبون بتمدد بسيط أَو مستقر في الشريان الأبهر المنحدر أو الأجزاء البطنية من الشريان الأبهر — تلك الأبعد عن القلب، يطلب منهم الخضوع للفحص بشكل منتظم. إذا لم يحدث التمدد بصورة مقلقة، فيمكن التعايش معه لسنوات طويلة. بعض العقاقير قد يتم وصفها مثل، حاجز بيتا الذي يخفض ضغط الدم، للتخفيف الإجهاد في جدران الشرايين الأبهرية. العقاقير الخافضة للضغط مفيدة للمرضى الذين تشكل الجراحة عندهم خطر أكبر من تمدد الأوعية الدموية.
الإجراء غير الجراحي
حديثا بدأ الأخصائيون بإستعمال تقنية غير جراحية لمعالجة المرضى ذوي الحالات الخطرة جداً لتمدد الأوعية الدموية الأبهري البطني. هذه التقنية مفيدة للمرضى الذين لا يمكن لم الخضوع للجراحة بسبب وضعه الصحي.
الإجراء يتضمن إستعمال قسطرة لإدخال أداة تسمى وصلة حلقة فاتحة Stent Graft. الحلقة الفاتحة توضع داخل الشريان في موقع التمدد. يجرى الدم خلال الحلقة الفاتحة، مما يؤدي إلى خفض الضغط على جدار الشريان الضعيف. هذا الإنخفاض في الضغط يمكنه أن يمنع التمدد من تفجير الشريان.
مزايا الإجراء
- لا يتضمّن أي تخدير عام
- إقامة مستشفى أقصر (حوالي 24 ساعةَ)
- تحسّن أسرع
- لا يترك ندب كبيرة.
يجب ملاحظة أن أنه لم تظهر نتائج علمية قوية تدعم هذا الإجراء لحد الأن كون الدراسات تستغرق عدة عقود من الزمن.
انظر أيضاً
- تمدد الأورطى Aortic aneurysm
- تشريح الأورطى Aortic dissection
- تمدد الأوعية الدموية بالمخ Brain aneurysm
- Charcot-Bouchard aneurysms
- Rasmussen's aneurysm
- Aneurysm of sinus of Valsalva
المصادر
وصلات خارجية
- Diagram showing what an aneurysm looks like
- Addressing the Challenges Faced as a Result of Brain Haemorrhage
- Brain Blood Vessel Disorder Help & Info Site
- @neurIST - Integrated Biomedical Informatics for the Management of Cerebral Aneurysms
- Story of Aneurysm Survival
- Division of Vascular Surgery and Endovascular Therapy at the Baylor College of Medicine