ردف
| ' | |
|---|---|
![]() Bones of the hip | |
| Details | |
| المُعرفات | |
| اللاتينية | coxa |
| المصطلحات التشريحية | |
الردف أو الورك Hip منطقة من الجسم تقع بين الجذع والفخذ. ويتشكل مفصل الردف من عظم الردف الذي يتكون من ثلاثة عظام: عظم الحرقفة وعظم الإسك وعظم العانة، ومقدمة عظم الفخذ. وتتكيف مقدمة عظم الفخذ داخل الحُق، وهو تجويف في عظم الورك. ويشكل هذا النسق مفصلاً كرويًا حُقيًا، مما يعطي متانة كبيرة، ويسمح بمدى واسعٍ من الحركة في جميع الاتجاهات. وتحيط عضلات قوية عديدة بالمفصل، تتضمن العضلة الألوية الطرفية، وتكون عريضة ومستديرة في الخلف، والعضلة الألوية الوسطى في الجنب، والعضلة المستقيمة الفخذية الطويلة الشريطية في المقدمة. وتجعل هذه العضلات المفصل ثابتًا قويًا، بحيث يستطيع المرء أن يقف. وهي أيضًا تنقل الأرجل أثناء المشي والجري.

ويُولد العديد من الأطفال، وتجويفهم الوركي قليل العمق. ويطلق على هذه الحالة خلع الورك الولادي. وفي الأعمار المتقدمة، يُصبح عنق عظم الفخذ الذي يوجد أسفل مقدمة عظم الفخذ مباشرة، ضعيفًا، بحيث يسهل كسره. ويمكن إصلاح الكسر، بتثبيت رأس عظم الفخذ على العنق، بمسمار من الصلب المقاوم للصدأ. ويعاني كثير من ضحايا التهاب المفاصل، من ألم مُعجِز في مفصل الردف. وفي هذه الحالات، يمكن استبداله بحُق بلاستيكي وكرة معدنية بالمفصل.


إزدواج الشكل الجنسي والأهمية الثقافية

المصادر
[* http://mousou3a.educdz.com/%D8%A7%D9%84%D8%B1%D8%AF%D9%81/ الموسوعة المعرفية الشاملة]
- ^ خطأ استشهاد: وسم
<ref>غير صحيح؛ لا نص تم توفيره للمراجع المسماةThieme-Atlas-367
انظر أيضا
- ورك
- Hip examination
- استبدال الردف
- Snapping hip syndrome
- قوام الجسم
- Waist-hip ratio
- Hip dysplasia (human)
- Sexual dimorphism
- Femoral Acetabular Impingement
معرض الصور
-
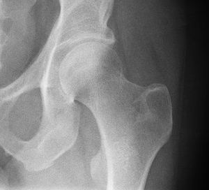
Radiograph of a healthy human hip joint
ملاحظات
المراجع
- Clemente, Carmine D. (2006). Clemente's Anatomy Dissector. Lippincott Williams & Wilkins. ISBN 0781763398.
- Faller, Adolf (2004). The Human Body: An Introduction to Structure and Function. Thieme. ISBN 3-13-129271-7.
{{cite book}}: Unknown parameter|coauthors=ignored (|author=suggested) (help) - Platzer, Werner (2004). Color Atlas of Human Anatomy, Vol. 1: Locomotor System (5th ed.). Thieme. ISBN 3-13-533305-1.
- Thieme Atlas of Anatomy: General Anatomy and Musculoskeletal System. Thieme. 2006. ISBN 1-58890-419-9.
وصلات خارجية
الرأس: جمجمة - جبهة – عين – أذن – أنف – فم – لسان – أسنان – فك – فك سفلي – وجه – خد – ذقن

الرقبة: حلق - حنجرة – تفاحة آدم
جذع: كتف – عمود فقري – ثدي – حلمة – صدر – قفص صدري – بطن – سرة
أطراف: ذراع – مرفق – ساعد – رسغ – يد – اصبع (إبهام - سبابة - وسطى - بنصر - خنصر) – رجل – حـِجر Lap – فخذ – ركبة – رَبـْلة الساق Calf muscle – كعب – كاحل – قدم – اصبع قدم (إبهام القدم Hallux)

