سرطان

(تم التحويل من سرطان (مرض))
السـرطـان Cancer
الأسماء الأخرىMalignant tumor, malignant neoplasm
Tumor Mesothelioma2 legend.jpg
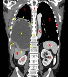
أشعة مقطعية إكليلية تظهر سرطان كيس الرئة الخبيث.
المفتاح: → ورم ←, ★ انصباب جنبي مركزي، 1&3 الرئتان، 2 العمود الفقري، 4 الضلوع، 5 الأورطى، 6 الطحال, 7&8 الكليتان، 9 الكبد.
النطق
التخصصOncology
الأعراضLump, abnormal bleeding, prolonged cough, unexplained weight loss, change in bowel movements[1]
عوامل الخطرExposure to carcinogens, tobacco, obesity, poor diet, lack of physical activity, excessive alcohol, certain infections[2][3]
العلاجRadiation therapy, surgery, chemotherapy, targeted therapy[2][4]
PrognosisAverage five-year survival 66% (USA)[5]
التردد24 million annually (2019)[6]
الوفيات10 million annually (2019)[6]

السرطان هو مجموعة من الأمراض التي تتميز خلاياها بالعدائية Aggressive ( وهو النمو و الانقسام من غير حدود)، و قدرة هذه الخلايا المنقسمة على غزو Invasion أنسجة مجاورة وتدميرها، أو الإنتقال إلى أنسجة بعيدة في عملية نطلق عليها اسم النقيلة. وهذه القدرات هي صفات الورم الخبيث على عكس الورم الحميد، والذي يتميز بنمو محدد وعدم القدرة على الغزو وليس لهُ القدرة على الأنتقال أو النقلية. كما يمكن تطور الورم الحميد إلى سرطان خبيث في بعض الأحيان.

يستطيع السرطان أن يصيب كل المراحل العمرية عند الإنسان حتى الأجنة، ولكنه تزيد مخاطر الإصابة به كلما تقدم الإنسان في العمر.[7]ويسبب السرطان الوفاة بنسبة 13% من جميع حالات الوفاة.[8]ويشير مجتمع السرطان الأمريكي ACS إلى موت 7.6 مليون شخص مريض بالسرطان في العالم في عام 2007.[9]كما يصيب السرطان الإنسان فإن أشكال منه تصيب الحيوان والنبات على حد سواء.


في الأغلب، يعزى تحول الخلايا السليمة إلى الخلايا سرطانية إلى حدوث تغييرات في المادة الجينية/المورثة. وقد يسبب هذه التغيرات عوامل مسرطنة مثل التدخين، أو الأشعة أو مواد كيميائية أو أمراض مُعدية (كالإصابة بالفيروسات). وهناك أيضا عوامل مشجعة لحدوث السرطان مثل حدوث خطأ عشوائي أو طفرة في نسخة الحمض النووي الدنا DNA عند انقسام الخلية، أو بسبب توريث هذا الخطأ أو الطفرة من الخلية الأم.

تحدث التغييرات أو الطفرات الجينية في نوعين من الجينات:

  • جينات ورمية: وهي جينات فاعلة في حالة الخلية السرطانية لإكساب الخلية خصائص جديدة، مثل الإفراط في النمو والإنقسام بكثرة، و تقدم الحماية ضد الإستماتة (الموت الخلوي المبرمج) Apoptosis، وتساعد الخلية السرطانية في النمو في ظروف غير عادية.

يتم تصنيف كل نوع من السرطانات حسب النسيج الذي ينشأ منه السرطان (مكان السرطان Location) و أقرب الخلية سليمة مشابهة للخلية السرطانية (هيستولوجية السرطان Histology). يحدد تشخيص الحالة المصابة نهائياً عن طريق فحص إخصائي الباثولوجيا لعينة أو خزعة Biopsy مأخوذة من الورم، على الرغم من إمكانية ظهور الأعراض الخبيثة للورم أو رؤيتها بواسطة التصوير الإشعاعي Radiographic.

في الوقت الحالي يتم معالجة معظم أمراض السرطان وقد يتم الشفاء منها، وهذا يعتمد على نوع السرطان، وموقعه، و مرحلته. وعند اكتشاف السرطان، تبدأ معالجته بالجراحة Surgery أو بالعلاج الكيماوي Chemotherapy و الإشعاعي Radiotherapy. بفضل التطورات البحثية، أمكن إنتاج أدوية قادرة على استهداف الخلايا السرطانية بتمييزها على المستوى الجزيئي، مما يقلل من احتمال استهداف الخلايا السليمة.

مراحل تدريجية لتحول الخلايا الطبيعية إلى خلايا سرطانية


مسميات

التسميات اللاحقة عادة تطلق لوصف أي نمو غير طبيعي

  • الورم Tumor: هو أي نمو أو تضخم غير طبيعي، أو ظهور كتلة غريبة في الجسم. ويعتبر الورم مرادف لكلمة تنشؤ Neoplasm. ولكن يقصد بالورم التنشؤ الصلب Hard Neoplasm، و توجد تنشؤات غير صلبة -مثل الليوكيميا- لا تنتج أوراماً.
  • التنشؤ Neoplasm: وهذه الكلمة بالإنجليزية هى أكثر دقة من كلمة ورم. و تعني تكاثر Proliferation الخلايا ذات الطفرات الجينية. و الخلايا المتنشئة نوعان:
    • تنشؤ/ورم خبيث Malignant: وهو مايقصد به السرطان Cancer.
    • تنشؤ/ورم حميد Begnin: وهو تنشؤ يتصف بأن نموه وتكاثره محدودSelf-Replicating، وغير غازي Non-Invasive، و لا يتميز بالنقلية Metastasis.
  • ورم غازي Invasive: وهذا اللفظ مرادف أخر لكلمة سرطان. حيث يشير إلى غزو الخلايا السرطانية للأنسجة المحيطة بالسرطان.
  • ورم محتمل الخباثة Pre-malignancy، ورم محتمل السرطنة Pre-cancer، ورم غير غازي Non-invasive tumor: هى مرادفات لتنشؤ غير غازي ولكن يوجد إحتمال كبير لتحولها إلى تنشؤات خبيثة إذا تركت بلا علاج.وتزداد إمكانية تحول الأفة Lesion إلى سرطان كلما تدرجت الخلايا من خلايا لانمطية Atypia، ثم إلى خلايا مختلة التنسج Dysplasia وتنتهى بخلايا سرطانية متموضعة Carcinoma in situ.

التسميات اللاحقة تستخدم من قبل الاطباء عن السرطان:

  • التحري Screening: هو اختبار لأشخاص أصحاء للكشف عن الأورام قبل ظهورها. ويعتبر أختبارالتصوير الإشعاعي للثديMammogram من الإختبارات التي تستخدم لتشخيص الحالات المصابة بمرض سرطان الثدي.
  • التشخيص: هو التأكد من طبيعة الكتلة السرطانية. وتتم بواسطة أخذ جراح لعينة من الورم أو إزالته للورم بالكامل ثم اختبارها من قبل أخصائي باثولوجي.
  • استئصال جراحي Surgical Excision: وهو إزالة الجراح للورم.
    • حواف الجراحةSurgical Margins: وهو تقييم أخصائي الباثولوجيا لحواف الورم المستئصل، لتحديد إذا ماتم إزالة الورم بالكامل (حواف سلبية) أو إذا تبقى جزء لم تتم إزالته (حواف إيجابية) Positive Margins.
  • درجة الورم Grade: وهو رقم (في الغالب من 1 إلى 3) يعطى من أخصائي الباثولوجيا ليصف درجة التشابه بين الخلايا السرطانية و الخلايا السليمة المحيطة بالسرطان.
  • مرحلة الورم Stage: وهو رقم (في الغالب من 1 إلى 4) يعطى من أخصائي الباثولوجيا ليصف درجة غزو السرطان للجسم الأنسان.
  • عودة الحدوث Recurrence: وهى الأورام الجديدة التي تظهر بنفس مكان الورم الأول.
  • النقيلة Metastasis: وهى الأورام الجديدة التي تظهر في أماكن تبعد عن الورم الأول.

التحول Transformation: وهو تحول ورم منخفض الدرجة Low-grade Tumor إلى ورم عالي الدرجة High-grade Tumor خلال وقت معين. مثال على ذلك تحول ريشتر Richter's transofrmation.

  • العلاج المساعد Adjuvant therapy: ويقصد به العلاج الكيميائي أو الإشعاعي الموصى به بعد العلاج الجراحي لقتل اي خلايا سرطانية باقية.
  • التكهن بمردود العلاج Prognosis: وهى احتمالية الشفاء بعد العلاج. وهى غالبا ما تقاس بإحتمالية البقاء على قيد الحياة أكثر من خمسة سنين كحد أدنى بعد التشخيص. أو هي المدة التي تكون فيها نسبة المرضى الأحياء 50%. وهذه الإحصائات يتم استيقائها من مئات الحالات المتشابهة لتعطى ما يسمى بمنحنى كبلان ميير Kaplan-Meier curve.

تصنف السرطانات بناءا على التشابه بين الخلية السرطانية و الخلية السليمة. أمثلة على أنواع السرطانات:

  • سرطانة Carcinoma: وهى سرطانات تنبع من الخلايا الظهارية Epithelial Cells. وهى تشكل أكبر مجموعة من السرطانات عامة، وخصوصاً في سرطان الثدي و البروستاتا و الرئة و البنكرياس.
  • ساركومة Sarcoma: وهى سرطانات تنبع من النسيج الضام Connective tissue أو من خلايا اللحمة المتوسطة Mesenchymal cells.
  • ليمفوماLymphoma و الليوكيميا Leukemia: وهما سرطانان ينبعان من الخلايا المكونة للدم Hemapoietic cells.
  • ورم الخلية المنتشئة Germ Cell: وهى أورام نابعة من خلايا شمولية الوسع Totipotent Cells. توجد في خصية و مبيض البالغين، كما توجد في الأجنة و الأطفال الرضع والأطفال الصغار.
  • ورم بلاستيكي/ارومي Blastic Tumor : وهو ورم (في الغالب خبيث) يشابه الأنسجة الغير ناضجة أو الأنسجة الجنينية. أغلب الحالات بهذا المرض هم صغار السن.


عند الإشارة إلى الأورام الخبيثة باللغة الإنجليزية، تستخدم نهايات مثل carcinoma و sarcoma و blastoma يسبقهم الإسم اليوناني للعضو الذي يظهر فيه هذا الورم. وتستخدم نهايةoma للتعبير عن الورم الحميد، ولكن توجد بعض السرطانات تحمل النهاية oma مثل ورم الميلانوما melanoma و ورم منوي seminoma.

سرطانات البالغين

بناءا على إحصائات المعهد القومي للأورام في مصر عام 2004. [10]

السرطانات الأكثر إصابة للذكور:

  1. سرطان المثانة (15%)
  2. سرطان الكبد (12%)
  3. الورم اللمفي (10%)
  4. ابيضاض الدم -ليوكيميا- (9%)
  5. سرطان الرئة (6%)
  6. سرطان القولون (5%)
  7. سرطانات أخرى (43%)

السرطانات الأكثر إصابة للإناث:

  1. سرطان الثدي (36%)
  2. الورم اللمفي (7%)
  3. ابيضاض الدم (6%)
  4. سرطان المثانة (5%)
  5. سرطان القولون (5%)
  6. سرطان الكبد (4%)
  7. سرطانات أخرى (37%)

في الولايات المتحدة الأمريكية، يتقدم سرطان الرئة في صدارة السرطانات اللتى تؤدي إلى وفاة المصاب ذكرا أو أنثى، ثم تليه سرطان البروستاتا عند المرضى الذكور و سرطان الثدي عند المرضى الإناث.[11]

سرطانات الأطفال

تزداد مخاطر الإصابة بالسرطانات لدى الأطفال الرضع وتقل كلما كبروا. ويعتبر مرض سرطان ابيضاض الدم من أكثر السرطانات الشائعة في الأطفال المصريين ثم تليها الليمفوما ثم سرطانات الدماغ والجهاز العصبي.[10]

أعراض وعلامات السرطان

تقريبا تُقسم الأعراض إلى ثلاثة أقسام:

  • أعراض موضعية: تكون كتلة أو ظهور ورم غير طبيعي، نزيف، ألالام و ظهور تقرحات. بعض السرطانات قد تؤدي إلى الصفراء وهي أصفرار العين والجلد كما في سرطان البنكرياس.
  • أعراض النقلية: تضخم العقد الليمفاوية، ظهور كحة و تنفيث في الدم Hemoptysis، و تضخم في الكبد Hepatomegaly، وجع في العظام.
  • أعراض تظهر بجميع الجسد: انخفاض الوزن، فقدان للشهية، تعب وإرهاق، التعرق خصوصا خلال الليل، حدوث فقر دم.

ملاحظة: لا يعني وجود عرض -أو مجموعة أعراض من القائمة السابقة- عند شخص أنه مصاب فعلا بالسرطان، قد تكون هناك أسباب أخرى. والأفضل مراجعة الطبيب دائما.

صورة أشعة لرئة مصاب بسرطان الرئة

التشخيص

يتم تشخيص Diagnosis المرض عن طريق أعراضه أو عن طريق عمل تحري Screening له. ولكن يبقى التشخيص النهائي عن طريق فحص الأخصائي الباثولوجي.


الاستقصاء عن المرض

يتم تقصى Investigation الإصابة بالسرطان عند الأشخاص الأكثر عرضة للسرطان عن طريق اختبارات طبية مثل اختبار الدم، التصوير المقطعي المحوسب Computed axial tomography، أو بـالتنظير الداخلي Endoscopy.

الخزعة أو العينة

تقدم الخزعة Biopsy أو الجراحة عينة للأخصائي الباثولوجي ليتم التعرف على درجة السرطان و مرحلته. بعض الخزعات ( كخزعة سرطان الجلد أو الثدي أو الكبد) يمكن أخذها بعيادة الدكتور، أما الخزعات من أعضاء داخلية تتطلب تخدير و تتم عن طريق الجراحة في غرفة العمليات. التوصيفات المقدمة من أخصائي الباثولوجيا عن درجة السرطان و مرحلته و معلومات أخرى تصبح في غاية الأهمية لأنها تحدد نوع العلاج لهذا المريض. علوم مثل علم الوراثات الخلوية Cytogenetics و علم الكيمياء الهستولوجيا المناعية Immunohistochemistry قد تقدم في المستقبل معلومات أكثر عن طبيعة السرطانات و أفضل مداواة لكل حالة مصابة.

طرق العلاج

تتم معالجة مرض السرطان بالجراحة Surgery، بالعلاج الكيميائي Chemotherapy أو بالعلاج الإشعاعي Radiotherapy، كما يوجد أيضا العلاج المناعي Immunotherapy والعلاج بأضداد وحيد النسلية Monoclonal Antibody therapy وعلاجات أخرى. يُختار علاج كل حالة حسب مكان السرطان ودرجته و مرحلته و حالة المريض.

يكون هدف العلاج هو إزالة السرطان من جسد المريض من غير تدمير الأعضاء السليمة. وأحيانا يتم هذا عن طريق الجراحة، ولكن ميل السرطان لغزو أنسجة أخرى والإنتقال إلى مناطق بعيدة تحد من فعالية هذا العلاج. أيضا العلاج الكيماوي محدود الإستخدام لما له من تأثير مضر و سام على الأعضاء السليمة في الجسم. كما يحدث هذا التأثير الضار في حالة العلاج الإشعاعي.

يعتبر مرض السرطان عبارة عن مجموعة من الأمراض، لذا فمن المؤكد سيكون العلاج عبارة عن مجموعة من العلاجات لمداواة هذا المرض.

العلاج الجراحي

نظريا، السرطانات الصلبة يمكن شفائها بإزالتها عن طريق الجراحة، ولكن ليس هذا ما يحدث واقعياً. عند انتشار السرطان وتنقله إلى أماكن أخرى في الجسم قبل إجراء العملية الجراحية، تنعدم فرص إزالة السرطان. يشرح نموذج هالستيدان Halstedian Model عن تقدم السرطان الصلب، فهي تنمو في موضعها ثم تنتقل إلى العقد الليمفاوية Lymph Nodes ثم إلى جميع أجزاء الجسم.[12]هذا ادى إلى البحث عن علاجات موضعية للسرطانات الصلبة قبل انتشارها ومنها العلاج الجراحي.

جراحات مثل جراحةاستئصال الثدي Mastectomy أو جراحة أستئصال البروستاتا Prostactomy يتم فيها إزالة الجزء المصاب بالسرطان أو قد تتم إزالة العضو كله. خلية سرطانية مجهرية واحدة تكفي لإنتاج سرطان جديد، وهو ما يطلق عليه الانتكاس Recurrence. لذا عند إجراء العملية الجراحية يتم يبعث الجراح عينة من حافة الجزء المزال إلى أخصائي الباثولوجيا الجراحية Surgical Pathologist ليتأكد من خلوها من أية خلايا مصابة، لتقليل فرص انتكاس المريض.

كما أن العملية الجراحية مهمة لإزالة السرطان، فهي أهم لتحديد مرحلة السرطان واستكشاف إذا تم غزو العقد الليمفوية من قبل الخلايا السرطانية. وهذا المعلومات لها تأثير كبير على اختيار العلاج المناسب و التكهن بالمردود العلاجي.

أحيانا تكون الجراحة مطلوبة للسيطرة وتسكين عوارض السرطان، مثل الضغط على الحبل الشوكي أو أنسداد الأمعاء وتسمى بالعلاج المسكنPalliative Treatment.

العلاج الإشعاعي

العلاج الإشعاعي إنگليزية: :Radiation therapy أو radiotherapy أو X-ray therapy هو استخدام قدرة الأشعة في تأين الخلايا السرطانية لقتلها أو لتقليص أعدادها. يتم تطبيقه على الجسم المريض من الخارج ويسمى بعلاج حزمة الأشعة الخارجي External beam radiotherapy EBRT أو يتم تطبيقه داخل جسم المريض عن طريق العلاج المتفرع Branchytheray. تأثير العلاج الإشعاعي تأثير موضعي و مقتصر على المنطقة المراد علاجها. العلاج الإشعاعي يؤذي و يدمر المادة المورثة في الخلايا، مما يأثر على انقسام تلك الخلايا. على الرغم أن هذا العلاج يؤثر على الخلايا السرطانية والسليمة ، لكن معظم الخلايا السليمة تستطيع أن تتعافى من الأثر الإشعاعي. يهدف العلاج الإشعاعي إلى تدمير معظم الخلايا السرطانية مع تقليل الأثر على الخلايا السليمة. لذا فيكون العلاج الإشعاعي مجزأ إلى عدة جرعات، لإعطاء الخلايا السليمة الوقت لاسترجاع عافيتها بين الجرعات الإشعاعية.

يستخدم العلاج الإشعاعي لجميع أنواع السرطانات الصلبة، كما يمكن استخدامه في حالة سرطان ابيضاض الدم أو الليوكيميا. جرعة الأشعة تحدد حسب مكان السرطان و حساسية السرطان للإشعاع Radiosensitivity و إذا كان هناك جزء سليم مجاور للسرطان يمكن تأثره بالإشعاع. ويعتبر تأثيره على الأنسجة المجاورة هو أهم أثر جانبي لهذا النوع من العلاجات.

العلاج الكيميائي

العلاج الكيميائي Chemotherapy هو علاج السرطانات بالأدوية الكيميائية (أدوية مضادة للسرطان Anticancer Drugs) قادرة على تدمير الخلايا السرطانية. يستخدم حاليا لفظ العلاج الكيميائي للتعبير عن أدوية سامة للخلايا Cytotoxic Drugs وهى تأثر على جميع الخلايا المتميزة بالانقسام السريع ، في المقابل يوجد علاج بأدوية مستهدفة. العلاج الكيميائي يتداخل مع انقسام الخلية في مناطق شتى، مثل التداخل عند مضاعفة Duplication الدنا أو عند تكوين الصبغيات Chromosomes. الأدوية السامة للخلايا تستهدف الخلايا سريعة الانقسام، ومن ثم فهي غير محددة الهدف فقد تستهدف الخلايا السرطانية والسليمة على حد سواء، ولكن الخلايا السليمة قادرة على إصلاح أي عطب في الدنا يحصل نتيجة العلاج. من الأنسجة التي تتأثر بالعلاج الكيميائي هي الأنسجة التي تتغير باستمرار مثل بطانة الأمعاء التي تصلح من نفسها بعد انتهاء العلاج الكيميائي.

أحيانايكون تقديم نوعين من الأدوية إلى المريض أفضل من دواء واحد، و يسمى هذا بتجميع الأدوية الكيميائية Combination chemotherapy.

بعض علاجات لسرطان ابيضاض الدم أو الليمفوما تتطلب جرعات عالية من العلاج الكيميائي و إشعاع كامل لجسم المريض Total Body Irradiation TBI لإستئصال نخاع العظم بكامله مما يعطى فرصة للجسم من إنتاج نخاع عظمي جديد ومن ثم اعطاء خلايا دم جديدة. لهذا السبب يتم التحفظ على النخاع العظمي أو الخلايا الجذعية للدم قبل العلاج تحسبا لعدم قدرة الجسم من انتاج نخاع جديد. ويسمى هذا بتكرار عملية زرع الخلايا الجذعية Autologus Stem Cell Transplantation. في المقابل يمكن زرع خلايا جذعية مكونة للدم Hemapoietic Stem Cells من متبرع أخر ملاءم Matched Unrelated Donor MUD.

العلاج المُستهدف

في أواخر عام 1990، كان استخدام العلاج المستهدف Targeted Therapy أثر كبير في علاج بعض السرطانات. والآن يعتبر من أهم المجالات التي تبحث لعلاج السرطان. يستخدم هذا العلاج أدوية دقيقة تستهدف بروتينات تظهر في الخلايا السرطانية. وتلك الأدوية هي عبارة عن جزيئات صغيرة تقوم بوقف بروتينات بها طفرات وتنتج بكثرة في الخلية السرطانية لأهميتها لتلك الخلية. مثال على ذلك أدوية تكبح بروتين تيروزين كيناز Tyrosine Kinase Inhibitors مثل دواء إماتينيب و دواء جيفيتينب.

صورة لجراح يسلط ليزر على سرطان ،إمتص السرطان دواءا حساسا للضوء -فوتوفرين-، لقتل الخلايا السرطانية

أدوية ضِد وحيد النسلية Monoclonal Antibody هي إستراتجية أخرى في العلاج المستهدف. ويكون الدواء عبارة عن ضد Antibody يقبض على بروتين موجود على جدار الخلية. أمثلة تشمل هذا النوع مثل دواء تراستوزوماب Trastuzumab وهو مستضد ضد HER2/neu ويعالج به سرطان الثدي، ويوجد أيضا دواء ريتوكسيماب Rituximab وهو مستضد ضد خلايا ذات تمايز عنقودي 20 (CD20) ويعالج به بعض السرطانات في الخلية الليمفاوية البائية B-cell. أيضاً من العلاجات المستهدفة، أدوية تحتوي على نوويات مشعة Radionuclides مرتبطة بـبيبتيدات صغيرة يمكن أن تلتصق بمستقبلات Receptor على سطح الخلية أو ترتبط بالمواد خارج الخلية Extracellular Matrix والتي تحيط بالورم. وعند ارتباط هذه البيبتيدات بسطح أو حول السرطان تقوم النوويات المشعة بالتحلل وتقتل الخلايا السرطانية.

العلاج بالتقو الضوئي Photodynamic therapy PDT هو علاج يشمل ثلاث متطلبات، وهم مادة حساسة للضوء و أكسجين من الأنسجة و الضوء (غالبا يكون ليزر).حيث يُعطى المريض مادة حساسة للضوء غير سامة للخلايا، بعدها تنتشر المادة في الجسم وتمتص من الخلايا السرطانية و على عكس ذلك لا تقوم الخلايا السليمة بامتصاصه. ثم يوجه الجراح ضوء أو ليزر إلى عضو السرطان، فتتحول بوجود الأكسجين المادة الحساسة من مادة غير سامة إلى مادة سامة داخل الخلايا السرطانية. ويستخدم في علاج سرطانة الخلية القاعدية Basal Cell Carcinoma أو سرطان الرئة. يفيد هذا العلاج أيضا في قتل الأنسجة الخبيثة المتبقية بعد الإزالة الجراحية للورم الكبير. [13]

العلاج المناعي

العلاج المناعي Immunotherapy يختلف عن العلاج المستهدف Targeted Therapy بأنه مصمم لتحفيز جهاز المناعة جسم المريض للقضاء على الخلايا السرطانية. تحث الطرق الحالية من توليد رد مناعي ضد السرطان، ومنها استخدام عصوية كالميت جيران Bacillus Calmette-Guérin BCG داخل المثانة لمنع سرطان المثانة أو استخدام الإنترفيرون أو السيتوكين لتحفيز الجهاز المناعي ضد سرطانة الخلية الكلوية Renal Cell Carcinoma أو سرطان الميلانوما. أيضاً، تستخدم اللقحات مثل لقاح سيبوليوسيل-تي Sipuleucel-T ويتم تكوينه عن طريق أخذ خلايا غصنية Denderitic Cell –خلايا محفزة للجهاز المناعي- من جسم المريض وتحميلها بفوسفتيز البروستاتا الحمضي Prostate Acid Phosphatase وإعادتها ثانيا للجسم. فتقوم بتحفيز للجهاز المناعي محدد ضد الخلايا السرطانية في البروستاتا.

في 2007، قام الباحث اللبناني د.ميشيل عبيد وزملائه باكتشاف مادة تحتوي على مجموعة الانتراسيكلين Anthracycline (مجموعة تتميز بمضادتها للسرطان). حيث أعطى عبيد هذه المادة للفئران مصابة بسرطان، فأرغمت هذه المادة الخلايا السرطانية على انتاج مادة تدعى الكاريتيكولين calreticulin ووضعها على الغشاء الخلوي للخلايا السرطانية فقط. وجود هذه المادة على سطح الخلية، تمكن الجهاز المناعي من التمييز بين الخلايا السرطانية التي تفرز الكالريتيكولين و الخلايا السليمة التي لا تفرزه. مما يؤدي إلى استنفار الجهاز المناعي فتقوم خلاياه بالتهام الخلايا السرطانية ودفع السرطان إلى الموت وتسمى العملية بأحداث الموت المناعيImmunogenic Cell Death. [14] لم يتم تجريب هذا الدواء على الإنسان.

يُعتبر زرع النخاع العظمي من متبرع أخر نوع من العلاج المناعي، بحيث الخلايا المناعية المنتجة من النخاع المزروع ستقوم بمهاجمة الخلايا السرطانية وتطلق على هذه العلاج "تأثير الزرع ضد الورم" graft-versus-tumor effect. وقد تحدث أضرار جانبية شديدة في هذا العلاج.

العلاج الهرموني

قد يوقف نمو بعض السرطانات عن طريق العلاج الهرموني Hormonal Therapy. سرطان كسرطان الثدي والبروستاتا قد تتأثر بهذا النوع من العلاج. يكون إزالة أو تعطيل الإستروجين أو التستيرون من الفوائد المضافة للعلاج.

العلاج الجيني

العلاج الجيني أو بالجينات من أهم الإستراتيجيات الجديدة في مكافحة مرض السرطان. وبرزت اهميته مع تعريف أمراض السرطانات كأمراض جينية، لتُغري الباحثين في البحث عن اصلاح الجينات المعطوبة. ويتم ذلك بصور عديدة منها وضع الجين السليم في غطاء فيروسي أو في جسيمات شحمية موجبة الشحنة Cataionic Liposomes أو عن طريق كهربة الخلايا السرطانية و إرغامها على فتح مسامها لتساعد على امتصاص الجين السليم داخل الخلية السرطانية ويطلق عليها اسم Electroporation. وظهر مؤخرا العلاج عن طريق رنا المتداخلة siRNA لوقف انتاج البروتينات السرطانية.

ولكن لم يثبت إلى الآن أي نوع من العلاج الجيني في علاج السرطان من قبل إدارة الدواء والغذاء الأمريكية. للمعرفة المزيد عن آراء إدارة الدواء والغذاء الأمريكية في العلاج الجيني أضغط علىhttp://www.fda.gov/cber/gene.htm.

السيطرة على أعراض السرطان

غالبا ما تكون السيطرة على أعراض السرطان غير مجدية لعلاج السرطان نفسه، ولكنه مهم جداً لتحسين نوعية حياة المريض، وقد تحدد أيضا إذا كان المريض يستطيع أن يخوض أنواع أخرى من العلاجات. رغم وجود الخبرة لدى الأطباء لمداواة الأعراض مثل الآلام و الغثيان والقيء والإسهال و النزيف و أعراض أخرى، إلا إنه قد ظهر نوع جديد من التخصص في العلاج المسكن Palliative Care لأعراض المرضى. تشمل إعطاء الأدوية المسكنة المورفين و أوكسيكودون و مضادات القيء.

الآلام المزمنة تُحس من المرضى بسبب تطور تدمير السرطان للأنسجة أو بسبب العلاج المستخدم (جراحة أو أشعة أو أدوية). وهى في الغالب تدل على قرب نهاية حياة المريض. وتجب عندها إراحة المريض و تسكين ألمه بالمورفينات. يكره المختصين إمداد مرضى السرطان بالمواد المخدرة خشية إدمان المريض لها أو حدوث توقف لتنفس المريض.

يظهر التعب كمشكلة غالبة عند مرضى السرطان، وهو يؤثر على نوعية حياة المريض. ومؤخرا، يتم علاج هذا العرض من قبل الأطباء.

العلاج المكمل و البديل

العلاج المكمل و البديل Complementary and Alternative medicine CAM هو نوع مختلف من العلاجات المتبعة. للأسف معظم هذا العلاج لم يتم اتباع طرق علمية فيه مثل إجراء تجارب إكلينيكية أو تجريبه على الحيوانات. وعند تجربة بعض المواد البديلة لم يتم وجود جدوى لها. وأخر مثال على ذلك، المنتدى السنوي عام 2007 للجمعية الأمريكية لعلم الأورام الإكلينيكي American Society of Clinical Oncology قد أورد فشل تجارب المرحلة الثالثة Phase III للمقارنة بين غضروف سمك القرش في علاج سرطان الرئة.[15] يقصد بالعلاج المكمل هي الطرق أو المواد المستخدمة مع العلاج المتبع. ويقصد بالعلاج البديل هى المواد المستخدمة لتكون بديلة للعلاجات المتبعة. أحصت مجلة علم السرطان الإكلينيكي 453 مريض بالسرطان، وقد قام 69% منهم بتجربة علاج مكمل أو بديل على الأقل لمرة واحدة على الأقل خلال رحلة علاجهم.

من العلاجات المكملة، العلاج بالأعشاب و توجد الآن تجربة لمعهد الصحة القومي الأمريكي لنبات الدبق Mistletoe مع العلاج الكيميائي لعلاج الأورام الصلبة. يستخدم الوخز بالإبر Acupuncture للسيطرة على الأعراض الجانبية للعلاج الكيميائي مثل الغثيان والقيء. العلاج النفسي، أيضا علاج مكمل، قد يحسن مزاج المريض.

العلاجات البديلة عديدة و مختلفة، وقد قوبلت باستحسان للخوف من الأعراض الجانبية للعلاج المتبع، وللتكلفة. ومع عدم إثبات كفاءة هذا العلاجات في الوقت الحالي، و يُعتبر بعض الأخصائيين الدعاية و الترويج لبعض المواد المدعى بكفاءتها في علاج السرطان من باب الدجل والشعوذة.[16]

التجارب العلاجية

التجارب الإكلينيكية Clinical Trials هي عبارة عن تجربة علاج جديد لعينية من المصابين بمرض السرطان. هدفه إيجاد الحل الأمثل لمعالجة المرضى ومساعدتهم في مواجهة المرض. التجارب الإكلينيكية تختبر أنواع جديدة مثل أدوية جديدة، طرق جديدة من العلاج الجراحي أو العلاج الإشعاعي أو الجمع بين العلاجات.

وتعد التجارب الإكلينيكية هي من المراحل الأخيرة الطويلة والحذرة أيضا لاختبار العلاج الجديد. يبدأ البحث عن علاج جديد في المعامل والمختبرات، عندها يقوم العلماء باكتشاف أو تطوير العلاج. وإن كان العلاج واعد، يُجرب على حيوانات مصابة بسرطانات لتحديد مدى قدرة على العلاج و تبين آثاره الجانبية. إذا أثبت جدوى هذا العلاج يتم تجربته على البشر. بالطبع ليس كل علاج مناسب للحيوانات يكون مناسبا للإنسان. ويطالب كل علاج بأن يكون ذو قوة علاجية و آمن.

يُراقب المرضى عند حصولهم على العلاج الجديد من قبل الأطباء. وهذا لعدم التأكد من آثار العلاج المجرب، وقد يحدث أعراض جانبية غير معروفة، وقد يكون العلاج فعال بحيث تستفيد هذه المجموعة من العلاج الجديد المجرب.

التكهن العلاجي

يشتهر مرض السرطان بأنه مرض قاتل. ولكن ينطبق هذا على أنواع محددة من السرطانات. و توجد علاجات لبعض السرطانات أفضل من علاجات السكتة القلبية والجلطات. و لأول مرة في علم الأورام، يمكن المرضي بالسرطان عودتهم إلى أعمالهم وزيارتهم و ممارستهم للرياضة. ويعتبر مريض مثل لانس أرمسترونج، فاز بسباق دراجات فرنسا بعد انتقال سرطان الخصية للدماغ، من الملهمين لمرضي السرطان في كل مكان.

التأثير العاطفي

بعض الدراسات الأولية تقترح أن الأسرة والعلاقات الاجتماعية، وما لها من تأثير نفسي وعاطفي على المريض، قد تقلل من احتمالية وفاة المريض.[17] كما تساعد عوامل مثل الدين و التعلم في تقبل المريض لمرضه أو حتى تقبل قرب آجله.

كما برزت علوم جديدة مثل علم نفسية مريض الأورام Psycho-Oncology لترشد الأطباء والجراحين بتحسين التعامل مع المريض وإبداء التفهم والتعاطف مع كل حالة و مردود ذلك على صحة المريض النفسية والعاطفية. وترفض تلك الدراسات مبدأ "أضرب و أجري" Hit-and-Run ويتمثل في تعريف الحقيقة المؤلمة للمريض دون مواربة بإصابته بالسرطان أو بتردي حالته، و في المقابل تؤيد تقديم حالة المرض بصورة بطيئة غير مباشرة للمريض لعدم إصابة المريض و أهله بالذعر.[18]

و توجد منظمات تقدم العديد من المساعدات لمرض السرطان. وقد تتمثل في تقديم الإستشارة، النصيحة، المساعدة المالية، توفير أفلام أو وسائط للتعريف بالمرض. وتكون تلك المنظمات إما حكومية أو خيرية وعملها هو مساعدة المريض لتحدي و تخطي مرض السرطان.

أسباب السرطان

تشير كلمة السرطان إلى مجموعة من الأمراض المختلفة فيما بينها، ولكن يجمع ذلك حدوث تغييرات غير طبيعية في المادة المورثة للخلايا السرطانية. وتبحث الدراسات ثلاث مجالات، أولها دراسة الأسباب المسهلة أو المسببة لحدوث تلك التغييرات في المادة المورثة. ثانيها البحث في طبيعة الطفرات و مكان الجينات المطفرة. ثالثها تأثير تلك التغييرات على الخلية وكيفية تحويلها إلى خلية سرطانية مع تعريف خواص تلك الخلية السرطانية.

الكيماويات

يرتبط حدوث سرطان الرئة ارتباطًا كبيرًا بالتدخين.

تسمى المواد التي تحدث طفرات بالمواد المُطفِرة، وعند تراكم عدة طفرات في الخلية قد تصبح سرطانية وتسمى المواد التي تحدث سرطانات مواد مسرطنة. هناك مواد محددة مرتبطة بسرطانات محددة. مثل تدخين سيجارة مرتبط بسرطان الرئة وسرطان المثانة، والتعرض لحجر الأسبتوس قد يؤدي إلى حدوث أورام الـميزوثيليوما Mesothelioma.

تدخين التبغ، على سبيل المثال، يتسبب في 90% من حالات سرطان الرئة.[19] كما يسبب سرطان في الحنجرة، الرأس، العنق، المعدة، المثانة، الكلى، المريء والپنكرياس.[20] يحتوي دخان التبغ على أكثر من خمسين مادة مسرطنة معروفة، منها النيتروسامينات والهيدروكربونات العطرية متعددة الحلقات.[21]

التبغ مسئول عن حوالي خمس وفيات السرطان في العالم[21] وحوالي ثلاث حالات السرطان المتقدمة في العالم.[22] تعكس معدلات الوفيات بسرطان الرئة في الولايات المتحدة أنماط التدخين، حيث أن زيادة التدخين يعقبها زيادة كبيرة في معدلات الوفيات بسرطان الرئة، ومؤخراً، وجد أن زيادة معدلات التدخين في الخمسينيات تلاها زيادة في معدلات الوفيات بسرطان الرئة بين الرجال منذ عام 1990.[23][24]

في غرب أوروپا، ترجع 10% من حالات السرطان بين الذكور و3% منها بين الإناث إلى تناول المشروبات الكحولية، وخاصة سرطانات الكبر والقناة الهضمية.[25] السرطان المرتبط بالتعرض للمواد المرتبطة بالعمل قد يتسبب في 2-20% من الحالات،[26] مما يتسبب في ما لا يقل عن 200.000 حالة وفاة.[27] سرطانات مثل سرطان الرئة والميزوثيليوما قد تنتج من استنشاق دخان التبغ أو ألياف الإسبوستس، أو التعرض للبنزين الذي قد يسبب سرطان الدم.[27]

النظام الغذائي والسرطان

يرتبط النظام الغذائي، الخمول البدني، والبدانة بأكثر من 30-35% من وفيات السرطان.[3][28] في الولايات المتحدة، يرتبط وزن الجسم الزائد بتطور العديد من أنواع السرطان وهو عامل يشكل 14-20% من وفيات السرطان.[28] أظهرت دراسة بريطانية تضمنت بيانات من أكثر من 5 مليون شخص أن ارتفاع مؤشر كتلة الجسم ترتبط بما لا يقل عن 10 أنواع من السرطان وهي مسئولة عن حوالي 12.000 حالة سنوياً في المملكة المتحدة.[29] يعتقد أن الخمول البدني يساهم في خطر الإصابة بالسرطان، ليس فقط من خلال تأثيره على زيادة الوزن لكن أيضاً من خلال آثاره السلبية على الجهاز المناعي والغدد الصماء.[28] يرجع أكثر من نصف آثار النظام الغذائي لفرط التغذية (الأكل بكميات كبيرة)، وليس لتناول كميات قليلة من الخضروات أو الأغذية الصحية الأخرى.

ترتبط بعض أنواع الطعام بأنواع محددة من السرطان. يرتبط النظام الذي يحتوي على كميات كبيرة من الملح بسرطان المعدة.[30] أفلاتوكسين ب1، ملوث غذائي شائع، يسبب سرطان الكبد.[30] مضغ جوز الأركا قد يسبب سرطان الفم.[30] قد تفسر الاختلافات الوطنية في الممارسات الغذائية في معدلات الإصابة بالسرطان. على سبيل المثال، سرطان المعدة أكثر شيوعاً في اليابان بسبب النظام الغذائي الذي يحتوي على كميات كبيرة من الملح[31] بينما سرطان القولون أكثر شيوعاً في الولايات المتحدة. تعكس تعكس حالات السرطان لدى المهاجرين ملامح بلدهم الجديد، غالباً في غضون جيل واحد.[32]

الإشعاع

التعرض إلى الأشعة قد يسبب سرطانات. إشعاعات منبعثة من الرادون أو التعرض إلى الأشعة فوق البنفسجية من الشمس قد تعرض إلى حدوث سرطانات.

العدوى

قد تنبع بعض السرطانات من عدوى فيروسية، عادة ما يحدث بصورة أوضح في الحيوانات والطيور ، ولكن هناك 15% من السرطانات البشرية والتي تحدث بسبب عدوى فيروسية. ومن أهم الفيروسات المرتبطة بالسرطانات هي فيروس الورم الحليمي البشري و ألتهاب كبدي الوبائي ب و إلتهاب كبدي وبائي سي و فيروس إيبشتاين – بار و فَيْروسُ اللَّمْفومةِ وابْيِضَاضِ الدَّمِ البَشَرِيّ. تعد العدوى الفيروسية السبب الثاني ، بعد سبب التدخين، في الإصابة بالسرطانات الكبدية و سرطان عنق الرحم.[33]تنقسم السرطانات سببها عدوى فيروسية بحسب تغيير الفيروس الخلية السليمة إلى خلية سرطانية إلى قسمين، أولهما سرطانات فيروسية حادة التغير و ثانيهما سرطانات فيروسية بطيئة التغير. في السرطانات الفيروسية حادة أو سريعة التغير، يحمل الفيروس جين يحفز من إنتاج بروتين من جين ورمي وعندها تتحول الخلية السليمة إلى خلية سرطانية. وفي المقابل تتكون السرطانات الفيروسية بطيئة التغير عندما يلتحم جينوم الفيروس في مكان قريب من جين ورمي أولي في الخلية السليمة. وبما أن الفيروس يقوم بتشفير جيناته، فبسبب تجاور الجين الفيروسي و الجين الورمي يتم أيضا تشفير الجين الورمي. ولكن حدوث السرطانات الفيروسية البطيئة هي نادرة الحدوث لأن في الغالب يكون التحام الفيروس عشوائي مع جينوم الخلية المصابة.

مؤخراً، قد تم اكتشاف ارتباط بين سرطان المعدة و بكتيرية المَلْوِيَّة البَوَّابية helicobacter pylori والتي تُحدث التهاب في جدار المعدة وقد تؤدي إلى إصابتها بالسرطان.[34]


الوراثة

الوراثة، وهي انتقال جين يحمل طفرة من إحدى الأبويين إلى الأبن، تعد من أهم المسببات لمعظم السرطانات. ولكن حدوث السرطان غير خاضع إلى القواعد الوراثية. و من أمثلة السرطانات المرتبطة بطفرات مورثة:

العوامل الفيزيائية

قد تتسبب بعض المواد في الإصابة بالسرطان وخاصة بتأثيراتها الفيزيائية أكثر من الكيميائية.[35] ومن أبرز الأمثلة على ذلك التعرض المطول للأسبستوس، الذي يتواجد بشكل طبيعي في الألياف المعدنية الذي قد تكون سبباً رئيسياً للإصابة بالميزوثيليوما (سرطان الغشاء المصلي) وعادة ما يكون الغشاء المصلي المحيط بالرئتين.[35] ومن المواد الأخرى ضمن هذا التصنيف، والتي إما تكون موجودة في الطبيعة أو في الألياف الاصطناعية الشبيهة بالأسبستوس، مثل الوصفالولاستونيت، الأتاپولگيت، الصوف الزجاجي والصوف الصخري، والتي يعتقد بأن لها تأثيرات مشابهة.[35] تشمل المواد الجزيئية غير الليفية التي تسبب السرطان الكوبلت والنيكل والسيليكا البلورية المعدنية المسحوقة (الكوارتز، الكريستوباليت والتريديميت.).[35] لحدوث السرطان، عادة، يجب أن تدخل المسرطنات الفيزيائية داخل الجسم (عن طريق الاستنشاق مثلاً) والتعرض للتلك المواد على مدار سنوات.[35]

الصدمات الجسدية الناتجة عن السرطان نادرة نسبياً.[36] ولم تثبت على سبيل المثال، المزاعم بأن كسر العظام يؤدي إلى سرطان العظام.[36] وبالمثل، لا يتم قبول الصدمات الجسدية كسبب لسرطان عنق الرحم أو سرطان الثدي أو سرطان المخ.[36] المصدر الوحيد المقبول هو ملامسة الأشياء الساخنة على المدى الطويل للجسم. من المحتمل أن الحروق المتكررة على نفس الجزء من الجسم، مثل تلك الناتجة عن الكانگر أو مدفئات الكائيرو (مدفئات اليدين عن طريق الفحم)، قد تتسبب في الإصابة بسرطان الجلد، وخاصة عند وجود مواد كيميائية مسرطنة.[36] الاستهلاك المتكرر للشايء الساخن المغلي قد يسبب سرطان المريء.[36] بشكل عام، يُعتقد أن السرطان ينشأ، أو أن السرطان الموجود مسبقاً يحفز، أثناء عملية الشفاء، وليس بشكل مباشر عن طريق الصدمة.[36] ومع ذلك، فإن الإصابات المتكررة للأنسجة نفسها قد تعزز التكاثر المفرط للخلايا، مما قد يزيد من احتمالات حدوث طفرة سرطانية.

يفترض أن الالتهاب المزمن قد يكون سبباً مباشراً في حدوث طفرات.[36][37] قد يسهم الالتهاب في تكاثر الخلايا السرطانية وبقائها وتوالدها وهجرتها عن طريق التأثير على البيئة المكروية للورم.[38][39] تشكل الجينات الورمية بيئة مكروية التهابية معززة لها.[40]

الخلل الهرموني

قد يحدث الخلل الهرموني آثار تشابه آثار المسرطانات غير المطفرة. فهي تزيد من سرعة نمو الخلايا. زيادة الـإستروجين التي تعزز حدوث سرطان بطانة الرحم تعد من أحسن الأمثلة على ذلك.

في ديسمبر 2020، أفادت دراسة طبية نُشرت في دورية ساينس ترانسشنال مديسن، بأن التوتر يزيد من إفراز هرموني الأدرينالين والكورتيزول، التي تتسبب في إطلاق مُعدلات لپروتين S100A8/A9، الذي بتسبَّب في زيادة نسبة الجزيئات الدهنية التي تدفع الخلايا السرطانية إلى النشاط من جديد، فيؤدي لمعاودة السرطان للمرضى المتعافين.[41]

أمراض المناعة الذاتية

هناك ارتباط بين الأمراض الباطنية وزيادة خطر الإصابة بجميع أنواع السرطانات. الأشخاص الذين لا يعالجون من الأمراض الباطنية قد يكون لديهم خطر أكبر للإصابة بالسرطان، لكن هذا الخطر ينخفض بمرور الوقت بعد التشخيص والعلاج الدقيق، وقد يكون السبب في ذلك إلى اتباع الحمية الخالية من الگلوتين، والتي يبدو أن لها دوراً وقائياً من تطور الورم لدى الأشخاص المصابين بالأمراض الباطنية. ومع ذلك، فيبدو أن تأخر التشخيص وبدء الحمية الخالية من الگلوتين تزيد من خطر الإصابة بالأورام الخبيثة.[42] تزيد معدلات الإصابة بسرطانات الجهاز الهضمي لدى الأشخاص المصابين بداء كرون والتهاب القولون التقرحي، بسبب الالتهاب المزمن، كذلك، فإن استخدام منظمات المناعة والمضادات الحيوية لعلاج هذه الأمراض قد يعزز تطور الأورام الخبيثة خارج الجهاز الهضمي.[43]

سم العقرب لعلاج السرطان

تم انتاج شكل جديد من بروتين تم الحصول عليه من سم العقرب المسمى بالعقرب الأصفر واسمه العلمى leiurus quinquestriatusوهو نوع من العقارب السامة في فلسطين هذا البروتين تم الأضافة اليه اليود المشع لعلاج gliomaوقد أطلق على البروتين اسم 601TMحسب ما ذكر الدكتور ادم ماميلاك وهو جراح أعصاب قاد فريق البحث وتم نشر نتائجه في مجلة علم الأورام السريرى الصادرة من الجعية الأمريكية لعلم الأورام السريري JOURNAL OF CLINICAL ONCOLOGY[بحاجة لمصدر]

النحافة تقي من الإصابة بالسرطان

أظهرت دراسة شاملة جديدة أن إنقاص الوزن، حتى من جانب الذين لا يعانون من البدانة، يمكن أن يلعب دورا رئيسيا في الوقاية من الإصابة بالسرطان.

وقد أجريت هذه الدراسة الشاملة من طرف المعهد العالمي لأبحاث السرطان، وركزت أساسا على العلاقة بين طريقة الحياة (الطعام والشراب والتدخين.. إلخ) وبين الإصابة بالسرطان.

وخلصت الدراسة إلى بعض التوصيات، منها ضرورة تفادي زيادة الوزن بعد سن الـ 21، وتجنب تناول المشروبات التي تحتوي على السكر، وكذلك المشروبات الكحولية، وعدم تناول لحم الخنزير المجفف والمحفوظ.

وتقول الدراسة إنه يتعين على كل الناس الاقتراب من النحافة بقدر الإمكان دون أن يصبحوا أقل من الوزن الطبيعي.

وجاءت نتائج الدراسة بعد فحص 7 آلاف دراسة أخرى أجريت خلال السنوات الخمس الأخيرة.

وتعد هذه الدراسة أشمل ما أجرى من دراسات بشأن المخاطر التي تنتج عن بعض الممارسات الحياتية.

ويرى الباحثون أن الدهون الموجودة بالجسم تلعب دورا حاسما في نمو السرطان، وأن أهميتها أكبر كثيرا مما كان يعتقد في الماضي.

وقال الذين أجروا الدراسة إنهم نشروا قائمة من التوصيات، وليست الوصايا، التي يجب أن يتبعها كل من يرغب في تقليل مخاطر الإصابة بالسرطان.

غير أنه يعتقد أن ثلثي حالات الاصابة بالسرطان لا صلة لها بطريقة الحياة، كما أن من الصعب أن يقتنع الكثيرون بتغيير أنماط حياتهم لمنع إصابتهم بالسرطان.

ورغم هذا يمكن منع إصابة 3 ملايين شخص بالسرطان سنويا إذا اتبعت تلك التوصيات حسبما يقول البروفيسور مارتن وايزمان.

في بريطانيا وحدها هناك 200 ألف إصابة بالسرطان سنويا.

العلاقة بين السرطان والأطعمه

ومن أكثر أمراض السرطان شيوعا سرطان القولون والثدي، وتقول الدراسة إن هناك دليلا مقنعا على وجود علاقة بين زيادة نسبة الدهون في الجسم وبين الاصابة بهذين النوعين من الأورام.

وتوضح الدراسة أيضا أن هناك علاقة بين نوعية الأطعمة التي يتناولها الناس وبين الاصابة بسرطان القولون والمستقيم.

بوجه خاص يقول الباحثون إنه يجب عدم تناول اللحوم المحفوظة والمجففة مثل فخذ الخنزير والبيكون والسلامي، وتقليل تناول اللحوم الحمراء إلى 500 جرام في الأسبوع، رغم أن هذا يعني أن بوسع المرء تناول 5 من قطع الهمبورجر أسبوعيا.

ويتعين أيضا الامتناع عن شرب الخمور بكل أنواعها. ويتعين أيضا عدم تناول المشروبات السكرية لأنها تتسبب في زيادة الوزن، كما يجب تقليل تناول عصير الفاكهة.

ويعد التقرير الصادر نتيجة للدراسة التي أجريت، الأول الذي يشجع على الرضاعة من الثدي، التي يرى أنها تقلل من مخاطر الإصابة بسرطان الثدي عند الأم، كما تمنع من اصابة الطفل بالسمنة رغم عدم وجود دليل على ذلك.1111

تنويع الأطعمة يساعد على تجنب السرطان

أعلن باحثون أن التنويع في تناول أطعمة معينة كالخلط بين الدجاج والقرنبيط وسمك السلمون والبقلة المائية قد يساعد في مكافحة السرطان.

ويقول العلماء إن الجمع بين نوعين من مكونات الطعام تدعى "سولفورافان" و "سلنومي" يزيد من القدرة على مكافحة مرض السرطان بنحو 13 مرة عن تناول أيهما بشكل منفرد.

وقد يعني هذا الاكتشاف أنه قد يصبح من الممكن تحديد نظام غذائي معين يساعد في القضاء على السرطان.

وتوجد السولفورافان، وهي مادة كيمائية مستخلصة من النباتات وتستخدم لمنع ومعالجة السرطان، بكميات كبيرة مركزة في القرنبيط والكرنب والملفوف والبقلة المائية.

وتحتوي المكسرات والدواجن والأسماك والبيض وبذور دوار الشمس والفطر على كميات غنية من مادة السلنومي.

ويرتبط نقص السلنومي بالإصابة بأنواع كثيرة من السرطان ومن ضمنها سرطان البروستاتا. غير أن الحمية الغذائية تتضمن نصف معدلات السلنومي المعدني.

وركز باحثون من معهد الأبحاث الغذائية على الجينات او المورثات التي تلعب دورا هاما في تكوين وتطوير الأورام وانتشار خلاياه.

وعندما تم الجمع بين تناول السولفورافان والسلنومي كان هناك أثر أكبر على الجينات من تناول أيهما منفردا.

ويقول الباحثون إنه قد يمكن تطوير أطعمة خاصة أو إصدار نصائح جديدة بشأن الأطعمة الصحية.

وقد يطلب أيضا من الطباخين إعداد وصفات لمكافحة الإصابة السرطان كصحن الدجاج مع الكرنب والملفوف الأحمر وبإضافة المكسرات.

وقال الدكتور يونغ بينغ الباحث البارز بالمركز إن "نتيجة لهذا البحث نأمل في أن نبدأ التجارب على البشر للوقاية من السرطان العام القادم".

كتب

ملف:كتاب عن مرض السرطان.pdf

الهوامش

  1. ^ خطأ استشهاد: وسم <ref> غير صحيح؛ لا نص تم توفيره للمراجع المسماة NHS2012
  2. ^ أ ب خطأ استشهاد: وسم <ref> غير صحيح؛ لا نص تم توفيره للمراجع المسماة WHO2018
  3. ^ أ ب خطأ استشهاد: وسم <ref> غير صحيح؛ لا نص تم توفيره للمراجع المسماة Enviro2008
  4. ^ خطأ استشهاد: وسم <ref> غير صحيح؛ لا نص تم توفيره للمراجع المسماة TCT2018
  5. ^ خطأ استشهاد: وسم <ref> غير صحيح؛ لا نص تم توفيره للمراجع المسماة Seer2014
  6. ^ أ ب Kocarnik JM, Compton K, Dean FE, Fu W, Gaw BL, Harvey JD, et al. (March 2022). "Cancer Incidence, Mortality, Years of Life Lost, Years Lived With Disability, and Disability-Adjusted Life Years for 29 Cancer Groups From 2010 to 2019: A Systematic Analysis for the Global Burden of Disease Study 2019". JAMA Oncology. 8 (3): 420–444. doi:10.1001/jamaoncol.2021.6987. ISSN 2374-2437. PMC 8719276. PMID 34967848.
  7. ^ Cancer Research UK (Jan 2007). "UK cancer incidence statistics by age". Retrieved 2007-06-25. {{cite web}}: Cite has empty unknown parameter: |coauthors= (help)
  8. ^ WHO (February 2006). "Cancer". World Health Organization. Retrieved 2007-06-25. {{cite web}}: Cite has empty unknown parameter: |coauthors= (help)
  9. ^ American Cancer Society (December 2007). "Report sees 7.6 million global 2007 cancer deaths". Reuters. Retrieved 2007-12-17. {{cite web}}: Cite has empty unknown parameter: |coauthors= (help)
  10. ^ أ ب إحصائات المعهد القومي للأورام في مصر، 2004،http://www.nci.edu.eg/lectures/NCI2004.ppt
  11. ^ Jemal A, Murray T, Ward E, Samuels A, Tiwari RC, Ghafoor A, Feuer EJ, Thun MJ (2005). "Cancer statistics, 2005". CA Cancer J Clin. 55 (1): 10–30. PMID 15661684.{{cite journal}}: CS1 maint: multiple names: authors list (link)
  12. ^ Fisher B (1999). "From Halsted to prevention and beyond: advances in the management of breast cancer during the twentieth century". Eur J Cancer. 35 (14): 1963–73. PMID 10711239. {{cite journal}}: line feed character in |title= at position 76 (help)
  13. ^ Dolmans, DE (2003). "Photodynamic therapy for cancer". Nat Rev Cancer. 3 (5): 380–7. PMID 12724736. {{cite journal}}: Unknown parameter |coauthors= ignored (|author= suggested) (help); Unknown parameter |month= ignored (help)
  14. ^ Obeid M; et al. (2007). "Molecular determinants of immunogenic cell death: surface exposure of calreticulin makes the difference". J Mol Med. 85 (10): 1069–76. PMID 17891368. {{cite journal}}: Cite has empty unknown parameter: |1= (help); Explicit use of et al. in: |author= (help); line feed character in |title= at position 70 (help)
  15. ^ "ScienceDaily: Shark Cartilage Shows No Benefit As A Therapeutic Agent For Lung Cancer". Retrieved 2007-06-04.
  16. ^ "A Special Message to Cancer Patients Seeking "Alternative" Treatments". Retrieved 2005-12-16.
  17. ^ Weihs KL, Enright TM, Simmens SJ (2008). "Close relationships and emotional processing predict decreased mortality in women with breast cancer: preliminary evidence". Psychosom Med. 70 (1): 117–24. PMID 18158376. {{cite journal}}: line feed character in |title= at position 82 (help)CS1 maint: multiple names: authors list (link)
  18. ^ Helft PR, Petronio S (2007). "Communication pitfalls with cancer patients: "hit-and-run" deliveries of bad news". J Am Coll Surg. 205 (6): 807–11. PMID 18035266. {{cite journal}}: line feed character in |title= at position 77 (help)
  19. ^ Biesalski HK, Bueno de Mesquita B, Chesson A, Chytil F, Grimble R, Hermus RJ, Köhrle J, Lotan R, Norpoth K, Pastorino U, Thurnham D (1998). "European Consensus Statement on Lung Cancer: risk factors and prevention. Lung Cancer Panel". Ca. 48 (3): 167–76, discussion 164–66. doi:10.3322/canjclin.48.3.167. PMID 9594919.
  20. ^ Kuper H, Boffetta P, Adami HO (September 2002). "Tobacco use and cancer causation: association by tumour type". Journal of Internal Medicine. 252 (3): 206–24. doi:10.1046/j.1365-2796.2002.01022.x. PMID 12270001.
  21. ^ أ ب Kuper H, Adami HO, Boffetta P (June 2002). "Tobacco use, cancer causation and public health impact". Journal of Internal Medicine. 251 (6): 455–66. doi:10.1046/j.1365-2796.2002.00993.x. PMID 12028500.
  22. ^ Sasco AJ, Secretan MB, Straif K (August 2004). "Tobacco smoking and cancer: a brief review of recent epidemiological evidence". Lung Cancer. 45 Suppl 2: S3–9. doi:10.1016/j.lungcan.2004.07.998. PMID 15552776.
  23. ^ Thun MJ, Jemal A (October 2006). "How much of the decrease in cancer death rates in the United States is attributable to reductions in tobacco smoking?". Tobacco Control. 15 (5): 345–47. doi:10.1136/tc.2006.017749. PMC 2563648. PMID 16998161.
  24. ^ Dubey S, Powell CA (May 2008). "Update in lung cancer 2007". American Journal of Respiratory and Critical Care Medicine. 177 (9): 941–46. doi:10.1164/rccm.200801-107UP. PMC 2720127. PMID 18434333.
  25. ^ Schütze M, Boeing H, Pischon T, Rehm J, Kehoe T, Gmel G, Olsen A, Tjønneland AM, Dahm CC, Overvad K, Clavel-Chapelon F, Boutron-Ruault MC, Trichopoulou A, Benetou V, Zylis D, Kaaks R, Rohrmann S, Palli D, Berrino F, Tumino R, Vineis P, Rodríguez L, Agudo A, Sánchez MJ, Dorronsoro M, Chirlaque MD, Barricarte A, Peeters PH, van Gils CH, Khaw KT, Wareham N, Allen NE, Key TJ, Boffetta P, Slimani N, Jenab M, Romaguera D, Wark PA, Riboli E, Bergmann MM (April 2011). "Alcohol attributable burden of incidence of cancer in eight European countries based on results from prospective cohort study". BMJ. 342: d1584. doi:10.1136/bmj.d1584. PMC 3072472. PMID 21474525.
  26. ^ Irigaray P, Newby JA, Clapp R, Hardell L, Howard V, Montagnier L, Epstein S, Belpomme D (December 2007). "Lifestyle-related factors and environmental agents causing cancer: an overview". Biomedicine & Pharmacotherapy. 61 (10): 640–58. doi:10.1016/j.biopha.2007.10.006. PMID 18055160.
  27. ^ أ ب "WHO calls for prevention of cancer through healthy workplaces" (Press release). World Health Organization. 27 أبريل 2007. Archived from the original on 12 أكتوبر 2007. Retrieved 13 أكتوبر 2007.
  28. ^ أ ب ت Kushi LH, Byers T, Doyle C, Bandera EV, McCullough M, McTiernan A, Gansler T, Andrews KS, Thun MJ (2006). "American Cancer Society Guidelines on Nutrition and Physical Activity for cancer prevention: reducing the risk of cancer with healthy food choices and physical activity". Ca. 56 (5): 254–81, quiz 313–14. doi:10.3322/canjclin.56.5.254. PMID 17005596.
  29. ^ Bhaskaran K, Douglas I, Forbes H, dos-Santos-Silva I, Leon DA, Smeeth L (August 2014). "Body-mass index and risk of 22 specific cancers: a population-based cohort study of 5·24 million UK adults". Lancet. 384 (9945): 755–65. doi:10.1016/S0140-6736(14)60892-8. PMC 4151483. PMID 25129328.
  30. ^ أ ب ت Park S, Bae J, Nam BH, Yoo KY (2008). "Aetiology of cancer in Asia". Asian Pacific Journal of Cancer Prevention. 9 (3): 371–80. PMID 18990005. Archived from the original (PDF) on 4 سبتمبر 2011.
  31. ^ Brenner H, Rothenbacher D, Arndt V (2009). Epidemiology of stomach cancer. Methods in Molecular Biology. Vol. 472. pp. 467–77. doi:10.1007/978-1-60327-492-0_23. ISBN 978-1-60327-491-3. PMC 2166976. PMID 19107449. {{cite book}}: |journal= ignored (help)
  32. ^ Buell P, Dunn JE (May 1965). "Cancer Mortality Among Japanese Issei and Nisei of California". Cancer. 18 (5): 656–64. doi:10.1002/1097-0142(196505)18:5<656::AID-CNCR2820180515>3.0.CO;2-3. PMID 14278899.
  33. ^ zur Hausen H (1991). "Viruses in human cancers". Science. 254 (5035): 1167–73. PMID 1659743.
  34. ^ Peter S, Beglinger C (2007). "Helicobacter pylori and gastric cancer: the causal relationship". Digestion. 75 (1): 25–35. PMID 17429205.
  35. ^ أ ب ت ث ج Maltoni CF, Holland JF (2000). "Chapter 16: Physical Carcinogens". In Bast RC, Kufe DW, Pollock RE, et al. (eds.). Holland-Frei Cancer Medicine (5th ed.). Hamilton, Ontario: B.C. Decker. ISBN 978-1-55009-113-7. Archived from the original on 4 سبتمبر 2015. Retrieved 31 يناير 2011.
  36. ^ أ ب ت ث ج ح خ Gaeta JF (2000). "Chapter 17: Trauma and Inflammation". In Bast RC, Kufe DW, Pollock RE, et al. (eds.). Holland-Frei Cancer Medicine (5th ed.). Hamilton, Ontario: B.C. Decker. ISBN 978-1-55009-113-7. Archived from the original on 4 سبتمبر 2015. Retrieved 27 يناير 2011. {{cite book}}: Unknown parameter |name-list-format= ignored (|name-list-style= suggested) (help)
  37. ^ Colotta F, Allavena P, Sica A, Garlanda C, Mantovani A (July 2009). "Cancer-related inflammation, the seventh hallmark of cancer: links to genetic instability". Carcinogenesis (review). 30 (7): 1073–81. doi:10.1093/carcin/bgp127. PMID 19468060.
  38. ^ Ungefroren H, Sebens S, Seidl D, Lehnert H, Hass R (سبتمبر 2011). "Interaction of tumor cells with the microenvironment". Cell Communication and Signaling. 9 (18): 18. doi:10.1186/1478-811X-9-18. PMC 3180438. PMID 21914164.{{cite journal}}: CS1 maint: unflagged free DOI (link)
  39. ^ Mantovani A (June 2010). "Molecular pathways linking inflammation and cancer". Current Molecular Medicine (review). 10 (4): 369–73. doi:10.2174/156652410791316968. PMID 20455855.
  40. ^ Borrello MG, Degl'Innocenti D, Pierotti MA (August 2008). "Inflammation and cancer: the oncogene-driven connection". Cancer Letters (review). 267 (2): 262–70. doi:10.1016/j.canlet.2008.03.060. PMID 18502035.
  41. ^ "هرمونات التوتر توقظ خلايا السرطان النائمة". ساينتفك أمريكان. 2020-12-09. Retrieved 2020-12-09.
  42. ^ Han Y, Chen W, Li P, Ye J (September 2015). "Association Between Coeliac Disease and Risk of Any Malignancy and Gastrointestinal Malignancy: A Meta-Analysis". Medicine. 94 (38): e1612. doi:10.1097/MD.0000000000001612. PMC 4635766. PMID 26402826.
  43. ^ Axelrad JE, Lichtiger S, Yajnik V (May 2016). "Inflammatory bowel disease and cancer: The role of inflammation, immunosuppression, and cancer treatment". World Journal of Gastroenterology. 22 (20): 4794–801. doi:10.3748/wjg.v22.i20.4794. PMC 4873872. PMID 27239106.{{cite journal}}: CS1 maint: unflagged free DOI (link)

قراءات إضافية

وصلات خارجية

Wikiversity
At Wikiversity, you can learn about: Cell biology/Cancer

قالب:Commons cats

Classification
V · T · D
External resources


قالب:Disease groups