سليلة (طب)
السلائل القولونية Colon polyps | |
---|---|
![]() | |
Polyp of sigmoid colon as revealed by colonoscopy. Approximately 1 cm in diameter. The polyp was removed by snare cautery | |
التبويب والمصادر الخارجية | |
ICD-10 | K63.5 & various |
MedlinePlus | 000266 |
eMedicine | med/414 |
Patient UK | فشل عرض الخاصية P1461: لم يتم العثور على الخاصية P1461. سليلة (طب) |
MeSH | C23.300.825 |
السليلة أو الپوليپ polyp، هو نمو غير طبيعي لأنسجة البارزة من الأغشية المخاطية. لو كانت معلقة بالسطح بواسطة عنيقة مستطيلة ضيقة، يقال أنها معنقة. ولو لم يكن هناك عنيقة، يقال أنها لاطئة. عادة ما تجد السلائل في القولون، المعدة، الانف، الجيوب الأنفية، المثانة والرحم. توجد أيضاً في أماكن أخرى بالجسم يحتوي على أغشية مخاطية مثل عنق الرحم،[1] الأحبال الصوتية، والأمعاء الدقيقة.
التموضع
السلائل الهضمية
التصنيف
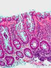
السليلة | الظهور النسيجي | خطورة الخباثة | صورة | المتلازمات |
---|---|---|---|---|
Hyperplastic | Serrated unbranched crypts | لا | Hyperplastic polyposis syndrome | |
Sessile serrated adenoma | Similar to hyperplastic with hyperserration, dilated/branched crypt base, prominent mucin cells at crypt base | نعم | ||
Inflammatory | Raised mucosa/submucosa with inflammation | If dysplasia develops | Inflammatory Bowel Disease, ulcers, infections, mucosal prolapse | |
Tubular Adenoma (Villous, Tubulovillous) | Tubular glands with elongated nuclei (at least low-grade atypia) | نعم | ||
Traditional Serrated Adenoma | Serrated crypts, often villous architecture, with cytologic atypia, eosinophilic cells | نعم | ||
متلازمة پويتز-جيگرز | Smooth muscle bundles between nonneoplastic epithelium, "Christmas tree" appearance | لا | متلازمة پويتز-جيگرز | |
سليلة الشباب | Cystically dilated glands with expanded lamina propria | Not inherently, may develop dysplasia | Juvenile polyposis syndrome, identical polyps in Cronkhite-Canada syndrome | |
Hamartomatous Polyp (Cowden Syndrome) | Variable; classical mildly fibrotic polyp with disorganized mucosa and splaying of muscularis mucosae; also inflammatory, juvenile, lipoma, ganglioneuroma, lymphoid | لا | متلازمة كاودن | |
Inflammatory fibroid polyp | Spindle cells with concentric arrangements of spindle cells around blood vessels and inflammation rich in eosinophils | لا |
السلائل القولونية
متلازمات السلائل الوراثية
- داء السلائل العائلي
- متلازمة پويتز-جيگرز
- متلازمة توركوت
- متلازمة سليلة الشباب
- داء كاودن
- متلازمة بانيان-ريلي-روڤالكابا (متلازمة بانيان-زونانا)
- متلازمة گاردنر
متلازمات السلائل الغير وراثية
أنواع السلائل القولونية
- البوليبات مفرطة التنسج: أورام صغيرة مخاطيتها متسمكة شائعة غير متسرطنة
- البويبات العابية: تنشآت غير ورمية يوجد فيها نسيج غير ضبيعي ضمن نسيج طبيعي, تشاهد في مرض السليلة الشبابية وپويتز-جيگرز
- البوليبات الالتهابية تنشأ من ارتكاس النسج بسبب حدثية التهابية ضمن مخاطية القولون، بوليبات كاذبة تشاهد في داء القولون القرحي، غير متسرطنة
- البوليبات الورمية: سليمة لكن قابلة للتسرطن, لها ثلاثة نماذج: أورام غدية انبوبية نسبتها 75% وأورام غدية زغابية نسبتها 10% وأورام غدية أنبوبية زغابية نسبتها 15%.
السلائل الغدية
الأنواع
المخاطر
المسح
سليلة بطانة الرحم
سليلة العنقية
السلائل الأنفية
الهوامش
- ^ Weschler, Toni (2002). Taking Charge of Your Fertility (Revised ed.). New York: HarperCollins. pp. 227–8, 330. ISBN 0-06-093764-5.
- ^ Fletcher's Diagnostic Histopathology of Tumors, Third Edition.
- ^ Sternberg's Diagnostic Surgical Pathology, Fifth Edition.
وصلات خارجية

مشاع المعرفة فيه ميديا متعلقة بموضوع Polyp (medicine).

- ASGE Website dedicated to colon cancer awareness and early detection.
- ASGE Website educating the public about endoscopy.
- National Institutes of Health polyp website
- Thorough review of polyposis syndromes by Dr. Ali Nawaz Khan with CME available
- Explanation of colon polyps and colon cancer in lay terms. Dead link as@16-11-13.
- "How I Do It" — Removing large or sessile colonic polyps. Dr. Brian Saunders MD FRCP; St. Mark’s Academic Institute; Harrow, Middlesex, UK. Retrieved April 9, 2008.
- FAP Patient Information Sheet
This article may include material from Wikimedia licensed under CC BY-SA 4.0. Please comply with the license terms.