قائمة الاختصارات الطبية
Dr.DUDE ساهم بشكل رئيسي في تحرير هذا المقال
|
هذه هي الصفحة الرئيسية لعدة صفحات تحوي قوائم بالاختصارات الطبية الشائعة باللغة الإنجليزية. كل صفحة معنونة بالحرف الأول الذي يبدا به الاختصار (مثلا للبحث عن AAA عليك الضغط على حرف A بالأعلى). في كل صفحة ستجد ثلاثة أعمدة (من اليمين لليسار): الأول يحوي الاختصار الطبي والثاني يحوي مدلول الاختصار باللغة الإنجليزية والثالث يحوي الترجمة إلى العربية.
السيروتونين: 5HT : 5- Hydroxytryptamine;Serotonin
مقالة مفصلة: سيروتونين
السيروتونين، هو مقبض وعائي، يتحرر من الصفيحات، يثبط الإفراز المعدي ويحرض العضلات الملساء. يتواجد بكميات عالية نسبياً في بعض مناطق الجهاز العصبي المركزي(الوطاء، النوى القاعدية)، ويتواجد في العديد من الأنسجة والخلايا المحيطية وأورام الكارسينوئيد. أسماء أخرى له: إنترامين، ثرومبوسايتين، ثرومبوتونين.
الأدنيل سيكلاز(الحلقي): AC : Adenylate Cyclase
مقالة مفصلة: أدنيل سيكلاز
أنزيم يعمل على جزيئة الATP ليشكل منها 3 .5 AMP الحلقي بالإضافة للبيروفوسفات، وتعد هذه المرحلة حاسمة في تنظيم وتشكيل المرسال الثاني.
الأستيل كولين: ACh : Acetylcholine
مقالة مفصلة: أستيل كولين
هو الإستر الخلي للكولين، وهو المادة الناقلة العصبية في المشابك الكولينرجية. يتحلمه بسرعة إلى الكولين وحمض الخل بوساطة الأستيل كولين إستراز في الخلايا، وبواسطة الكولين إستراز الكاذب في الدم.
مستقبلات الأستيل كولين : AChR : Acetylcholine Receptor
الخميرة المحولة (أو القالبة) للأنجوتنسين : ACE : Angiotensin Converting Enzyme
مقالة مفصلة: خميرة محولة للأنجوتنسين
الخميرة المحولة للأنجيوتنسين تحول الأنجيوتنسين1 (AT I) إلى أنجيوتنسين 2 (AT II ) الفعال الذي له الدور المحوري في جملة رينين–أنجيوتنسين -ألدوسترون، فيؤدي إلى التأثيرات الهامة التالية: تقبض وعائي(تأثير مباشر)–اصطناع الألدوسترون(الهرمون الحابس للصوديوم وبالتالي الماء من الأنبوب الكلوي البعيد والطارح للبوتاسيوم )– وتحريض إفراز الكاتيكول أمينات (أدرينالين ونور أدرينالين ) وكل هذه التأثيرات تؤدي إلى رفع الضغط بشكل كبير، ومن هنا تأتي أهمية الزمرة الدوائية المثبطة لهذه الخميرة في خفض الضغط و هي : ACEI Angiotensin Converting Enzyme Inhibitors.
مثبطات الخميرة المحولة لأنجيوتنسين : ACEI : Angiotensin Converting Enzyme Inhibitor
المتلازمات الإكليلية الحادة : ACS : Acute Coronary Syndromes
هي عدة متلازمات تتضمن:احتشاء العضلة القلبية المرافق لارتفاع ST(على مخطط العضلة القلبية ECG)، واحتشاء العضلة القلبية غير المرافق لارتفع ST، إضافةً إلى الخناق الغير مستقر.
الهرمون المضاد للإدرار; الفزوبرسين : ADH : Anti Diuretic Hormone ; Vasopressin
مقالة مفصلة: ڤزوپرسين
هرمون يفرز من الوطاء ويخزن في النخامى الخلفية، حابس للماء ومقلص للعضلات الملساء الوعائية وبالتالي يؤدي إلى زيادة حجم الدم والمقاومة الوعائية وبالتالي زيادة ضغط الدم.
الأدينوزين ثنائي الفوسفات : ADP : Adenosine 5-diphosphate
الرجفان الأذيني : AF : Atrial Fibrillation
مقالة مفصلة: رجفان أذيني
هو الرجفان الذي يتبدل فيه نظم التقلصات الأذينية الطبيعية إلى نفضات سريعة وغير منتظمة. أي تستجيب البطينات بشكل غير منتظم لخلل النظم القذفي القادم من الأذينات.
الرفرفة الأذينية : AFL : Atrial Flutter
هي تقلصات أذينية سريعة و منتظمة (تمييزاً لها عن الرجفان الأذيني التي تكون فيه التقلصات غير منتظمة)، تحدث عادة بمعدل 250- 330 ضربة بالدقيقة (و هو النمط الأول للرفرفة الأذينية) وعادة ينتج عنها موجات "أسنان المنشار" على مخطط كهربائية القلب وتحديداً في الإتجاهات القلبية: I وII وaVF. أما النمط الثاني للرفرة الأذينية فيكون بمعدل 330- 450 مرة بالدقيقة.
متلازمة نقص المناعة المكتسب (الإيدز): AIDS : Acquired Immune Deficiency Syndrome
مقالة مفصلة: متلازمة نقص المناعة المكتسب
الإبيضاض اللمفاوي الحاد : ALL : Acute Lymphoblastic Leukemia
مقالة مفصلة: الإبيضاض اللمفاوي الحاد
مجموعة من إبيضاضات الدم تتميز بتكاثر غير مضبوط و ضخامة واضحة بالنسج اللمفاوية في أماكن مختلفة من الجسم ( كالعقد اللمفاوية، الطحال، نقي العظم، الرئتين)، تترافق بحدوث زيادة بعدد الخلايا بالسلاسل اللمفاوية في الدوران الدموي وفي مختلف الأعضاء والأنسجة. تكون هذه الخلايا في المرض المزمن (الإبيضاض اللمفاوي المزمن) من نوع اللمفاويات الناضجة، بينما في المتلازمات الحادة (مثل الإبيضاض اللمفاوي الحاد) تكون أرومات الخلايا اللمفاوية هي التي تشاهد بأعداد واضحة.
الإبيضاض النقوي الحاد : AML: Acute Myeloid Leukemia
مقالة مفصلة: لإبيضاض النقوي الحاد
هو سرطان يصيب نقي العظام في مكان توالد كريات الدم البيضاء، يتصف بالتكاثر السريع لخلايا شاذة تتراكم في نخاع العظم وتتداخل مع إنتاج خلايا الدم الطبيعية. إبيضاض الدم النقوي الحاد هو أكثر أنواع اللوكيميا الحادة التي تصيب البالغين، ويزيد معدل الإصابة مع تقدم العمر.
الأدينوزين أحادي الفوسفات : AMP : Adenosine 5-monophosphate
مقالة مفصلة: أدينوسين أحادي الفوسفات
أضاد النوى : ANA : Antinuclear Antibodies
مقالة مفصلة: أضاد النوى
أضاد تُظهِر إلفة لمولدات الأضاد النووية بما فيها الDNA، وتوجد بنسب عالية في مصل مرضى: الذأب الحمامي الجهازي – إلتهاب المفاصل الرثياني – أنواع معينة من أمراض الكولاجين – وبعض أقارب هؤلاء المرضى السليمين. وأيضا توجد بنسبة 1 % عند جميع الناس.
حاصرات مستقبلات الأنجيوتنسين : ARB: Angiotensin Receptors Blockers
مقالة مفصلة: حاصرات مستقبلات الأنجيوتنسين
الأنجيوتنسين I (الغير الفعال): AT I : Angiotensin I
هو ناتج تحول الأنجيوتنسينوجين المنتج من الكبد إلى الأنجيوتنسين I الغير فعال بواسطة الرينين المنتج من الكلية.
=الأنجيوتنسين II (الفعال) : AT II : Angiotensin II
ببتيد ثُماني فعّال على الأوعية الدموية، ناتج عن تأثير الخميرة القالبة للأنجيوتنسين على الأنجيوتنسين I و تحرره منه. وظيفته: إثارة العضلات الملس الوعائية(و بالتالي تقبضها)، تعزيز إفراز الألدوستيرون، تفعيل الجهاز العصبي الودي(كل هذه التأثيرات تؤدي إلى رفع ضغط الدم ).
أضداد الترومبين 3 : AT III : Antithrombin III
گلوبولين مُنتج بالبلاسما، يثبط الترومبين و له تأثيرات مضادة للتخثر.
التنخر النبيبي الحاد : ATN: Acute Tubular Necrosis
مقالة مفصلة: التنخر النبيبي الحاد
التنخر النبيبي الحاد: حالة طبية تتضمن تموت الخلايا الأنبوبية المشكلة للأنبوب الذي ينقل البول إلى الحالبين أثناء إعادة امتصاص 99% من الماء. الخلايا الأنبوبية تبدل نفسها باستمرار وإذا أزيل سبب التنخر النبيبي الحاد يكون الشفاء محتملاً. يحدث التنخر النبيبي الحاد مع الفشل الكلوي الحاد وهو واحد من أكثر الأسباب شيوعاً لهذا الفشل.
الأدينوزين ثلاثي الفوسفات : ATP: Adenosintriphosphat
مقالة مفصلة: أدينوسين ثلاثي الفوسفات
أذيني - بطيني : AV : Atrioventricular
مصطلح متعلق بالأذينات والبطينات القلبية ( خاصة بالوصل الأذيني البطيني الكهربائي وناظمة الخطى الأذينية البطينية Atrio Ventricle Node )
الحاجز الدماغي الدموي : BBB: Blood-Brain Barrier
مقالة مفصلة: الحاجز الدماغي الدموي
حاجز مكون من خلايا متجاورة وبدون فلعات وصلية يحيط بالجهاز العصبي المركزي CNS (الدماغ والنخاع الشوكي) ويمنع المواد المتأينة والقطبية من عبوره والوصول إلى الـ CNS.
ضغط الدم : BP: Blood Pressure
مقالة مفصلة: ضغط الدم
الداء الشرياني الإكليلي : CAD: Coronary Artery Disease
مقالة مفصلة: الداء الشرياني الإكليلي
حاصرات أقنية الكالسيوم : CCB : Calcium Channel Blockers
مقالة مفصلة: حاصرات أقنية الكالسيوم
زمرة دوائية لها القدرة على منع شوارد الكالسيوم من العبور عبر الأغشية الحيوية. تستعمل هذه الزمر في علاج : ارتفاع الضغط الشرياني - الذبحة الصدرية - اضطراب النظم القلبي.
قصور القلب الاحتقاني : CHF : Congestive Heart Failure
مقالة مفصلة: قصور القلب الاحتقاني
هي الحالة التي يفشل فيها عمل القلب كمضخة بالحفاظ على الدوران الدموي، وكنيتجة لذلك يتطور احتقان وتوذم بالأنسجة.
الإبيضاض اللمفاوي المزمن : CLL : Chronic Lymphoblastic Leukemia
مقالة مفصلة: الإبيضاض اللمفاوي المزمن
مجموعة من إبيضاضات الدم تتميز بتكاثر غير مضبوط و ضخامة واضحة بالنسج اللمفاوية في أماكن مختلفة من الجسم ( كالعقد اللمفاوية، الطحال، نقي العظم، الرئتين)، تترافق بحدوث زيادة بعدد الخلايا بالسلاسل اللمفاوية في الدوران الدموي وفي مختلف الأعضاء والأنسجة. تكون هذه الخلايا في المرض المزمن (الإبيضاض اللمفاوي المزمن) من نوع اللمفاويات الناضجة، بينما في المتلازمات الحادة (مثل الإبيضاض اللمفاوي الحاد) تكون أرومات الخلايا اللمفاوية هي التي تشاهد بأعداد واضحة.
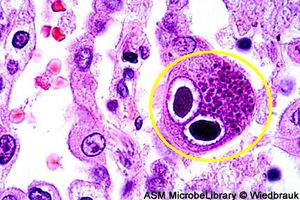
الفيروس المضخٍّم للخلايا : CMV : Cytomegalovirus
مقالة مفصلة: الفيروس المضخٍّم للخلايا
مجموعة فيروسات تنتمي لعائلة الفيروسات الحلئية (تتصف الفيروسات الحلئية بأن لجميعها DNA ثنائي الطاق)، تخمج الانسان والحيوان، للعديد من هذه الفيروسات إلفة خاصة للغدد اللعابية، تسبب تضخم بخلايا العديد من أعضاء الجسم مكونة في سيتوبلازماها أو نوياتها أجساماً اشتمالية لها شكل مميز (عين البومة). خمج المضغة بها ضمن الرحم قد يؤدي إلى تشوه و موت الجنين.
الجهاز العصبي المركزي : CNS : Central Nervous System
مقالة مفصلة: الجهاز العصبي المركزي
عبارة عن الدماغ و الحبل الشوكي.
النتاج القلبي : CO : Cardiac output
مقالة مفصلة: النتاج القلبي
كمية الدم التي يقذفها القلب بواحدة الزمن ( أي حجم الدقيقة). عادة يعبر عنها ب: لتر\الدقيقة. ( CO تعني أيضاً Carbon Monoxide أول أكسيد الكربون )
COMT : catechol-O-methyl transferase
خميرة لها دور هام في عملية تقويض الكاتيكول أمينات.
الداء الرئوي الساد المزمن : COPD: Chronic obstructive pulmonary disease
أوكسجيناز الحلقي : COX : Cyclooxygenase
الخميرة المسؤولة عن تحويل حمض الأراشادونيك Arachidonic Acid إلى مستقلباته الرئيسية بطرقين (COX I -COX II) فيتحول إلى: البروستاغدلاندين (المسؤول عن ظهور الحدثية الإلتهابية من ألم ووذمة وارتشاح بالبيض) - البروستاسيكين (موسع وعائي و مثبط تجمع صفيحي) - و الترومبوكسان (مقبض وعائي قوي و مفعل للصفيحات).
قلبي وعائي : CV : Cardiovascular
مصطلح متعلق بالقلب والأوعية الدموية أو الدوران الدموي.
حادث وعائي دماغي : CVA : Cerebrovascular Accident
السن التطوري : DA : Developmental Age
سن الشخص مقدراً من درجة النضج التشريحي والفيزيولوجي والعقلي والعاطفي.
ضغط الدم الإنبساطي : DBP : Diastolic Blood Pressure

الأنبوب الملتف البعيد : DCT : Distal Convoluted Tubule
التخثر المنتشر داخل الأوعية : DIC : Disseminated Intravascular Coagulation
متلازمة نزفية ناجمة عن التفعيل غير المضبوط لعوامل التخثر والأنزيمات الحالة للفبرين طوال الأوعية الدموية الصغيرة.
الحمض النووي الريبي منقوص الأكسجين : DNA: Deoxyribonucleic Acid
وهو حمض نووي يحتوي التعليمات الجينية المستخدمة في تطور ووظائف كل الأحياء المعروفة وبعض الفيروسات. إن الدور الأساسي للـ DNA هو التخزين طويل الأمد للمعلومات. كيميائياً: يحوي الـ DNA متماثرين (بوليميرين) طويلين مكونان من وحدات بسيطة تسمى نكليوتيدات، مع دعائم من السكاكر (الريبوز منقوص الأوكسجين) ومجموعات الفوسفات المرتبطة ببعضها بروابط استرية.
الخثار الوريدي العميق : DVT: Deep Vein Thrombosis
وهو تشكل لخثرة دموية في وريد عميق. وهو شكل من أشكال إلتهاب الوريد الخثاري (إلتهاب في وريد مع تشكل خثرة).عادة ما يصيب الأوردة الساقية (كالوريد الفخذي أو الوريد المأبضي ) أو الأوردة العميقة في الحوض. أحياناً تصاب الأوردة في الساعد. يمكن أن يظهر DVT بدون أعراض، لكن في حالات عديدة فإن الطرف المصاب سيكون مؤلماً، منتفخاً، أحمر، دافئاً وستكون الأوردة السطحية محتقنة. أكثر المضاعفات خطورة هو انزياح ووصول الخثرة إلى الرئتين وتسبيبها جلطة رئوية.
فيروس ابشتن بار : EBV : Epstein-Barr Virus
فيروس حلئي من جنس الفيروسات اللمفاوية المستخفية التي تسبب داء وحيدات النوى الخمجي (المعروف بداء القُبل kissing disease نظراً لشيوع انتقاله بهذه الطريقة)، و توجد أيضا في المزارع الخلوية للمفوما بوركت و التي تتواجد مع كارسينوما البلعوم الأنفي.
گلوكوز -6 فوسفات دي هيدروجيناز : G6PD : Glucose-6-Phosphate Dehydrogenase
انزيم معتمد على NADPH أساسي في تحويلة البنتوز. عوز هذا الأنزيم يمكن أن يؤدي إلى فقر دم انحلالي وفوال. (ينجم هذا العوز عن طفرة صبغية جنسية مقهورة).
گاما أمينو بيوترك أسيد : GABA : Gamma-Aminobutyric Acid
عنصر رئيسي في الجهاز العصبي المركزي، فهو المثبط المشبكي العصبي الأساسي. يستخدم في علاج العديد من الإضطرابات العصبية (مثل الصرع).
معدل الرشح الكبي : GFR : Glomerular Filtration Rate
حجم الماء المرتشح من البلازما عبر جدر الشعيرات الكبية إلى محفظة بومان بواحدة الزمن.
معدي معوي : GI : GastroIntestinal
الهرمون المطلق لموجهة الغدد التناسلية : GnRH : Gonadotropin Releasing Hormone
هرمون يفرز من الوطاء، يحرض الغدة النخامية على اصطناع هرموني الLH و الـFSH.
بولي تناسلي : GU : Genitourinary
فيروس إلتهاب الكبد ب : HBV : Hepatitis B Virus
فيروس إلتهاب الكبد سي : HCV : Hepatitis C Virus
البروتين الشحمي مرتفع الكثافة : HDL: High Density Lipopreotein
هو بروتين شحمي يتميز باحتوائه على تراكيز منخفضة من الكوليسترول و يقوم بنقل الكوليسترول إلى الكبد. لذلك يسمى الكوليسترول المفيد. وارتفاع منسوبه يحمي من أمراض التصلب العصيدي.
سرعة القلب : HR : Heart Rate
فيروس الحلأ البسيط : HSV : Herpes Simplex Virus
الگلوبولين المناعي : Ig: Immunoglobulin
مختصر بالعضل : IM : Intramuscular
مختصر بالوريد : IV : Intravenous
البروتين الشحمي منخفض الكثافة : البروتين الشحمي منخفض الكثافة
هو بروتين شحمي ينقل الكوليسترول في الدم، يتكون من كمية معتدلة من البروتين وكمية كبيرة من الكوليسترول، يُعتقد أن المستويات المرتفعة منه تترافق مع خطورة مرتفعة لحدوث الداء القلبي الإكليلي والتصلب العصيدي (حيث تترسب جزيئات الـ LDL على جدران الأوعية الدموية المرويّة للقلب مسببة تضيقها).
اختبارات وظيفة الكبد : LFT : Liver Function Tests
الهرمون الملوتن : LH: Luteinizing Hormone
هو هرمون موجه للغددالتناسلية، يفرز من الغدة النخامية ويحث على نضج البويضات وتطور الجسم الأصفر عند الإناث والنطاف عند الذكور.
الهيپارين منخفض الوزن الجزيئي : LMWH: Low-Molecular-Weight Heparin
هو نوع من الأدوية المستخدمة كمضاد تخثر في الأمراض التي تسبب الخثرات، كما يستخدم كوقاية في الحالات التي تؤدي إلى خطورة مرتفعة للخثار.
العقد اللمفاوية : LN : Lymph Nodes
كتل نسيجية صغيرة الحجم بشكل (حبة الفاصولياء) منتشرة على طول الجهاز اللمفاوي حيث تقوم بالعمل كمرشحات - مراقبة مناعية - إزالة السوائل والبكتريا أو حتى الخلايا السرطانية المنتقلة عبر الجهاز اللمفاوي. خلايا سرطان الثدي في العقد اللمفاوية الإبطية أو الصدرية هي إشارة إلى أن السرطان قد انتشر وأنه قابل للنكس.
مونو أمينو أوكسيداز : MAO : Monoaminoxidase
خميرة موجودة في الغشاء الخارجي للمتقدرات. اضطراب فعاليتها في خلايا الدماغ (زيادة أو نقصان) تؤدي لظهور العديد من الإضطرابات العصبية كالاكتئاب والفصام والصرع، و من هنا تأتي أهمية الزمر الدوائية المثبطة لهذه الزمرة.
الأدوية : MEDS : Medicines
احتشاء العضلة القلبية : MI : Myocardial Infarction
هو توقف تزويد جزء من القلب بالدم، مسبباً موت بعض خلايا القلب. ويكون في معظم الأحيان بسبب انسداد الشريان الإكليلي التالي لتمزق لويحة عصيدية، والتي هي تجمع غير ثابت من اللبيدات (حموض دسمة) والكريات الدموية البيضاء (خاصة البالعات الكبيرة) في جدر الشرايين. إذا بقي (توقف التزود بالدم) ونقص الأوكسجين غير معالجين لفترة مهمة من الزمن، يمكن أن تسبب تضرر أو تموت نسيج عضلة القلب.
لقاح الحصبة والنكاف والحصبة الألمانية : MMR : Measles,Mumps and Rubella
قلس الصمام التاجي : MR : Mitral Regurgitation
هو عودة الدم من البطين الأيسر إلى الأذينة اليسرى بسبب قصور تاجي ناجم عن انغلاق غير تام لهذا الصمام.
التصوير بالرنين المغناطيسي : MRI : Magnetic Resonance Imaging
تقنية تشخيصية تستخدم حقلاً مغناطيسياً وأشعة راديوية لتعطي صوراً محوسبة لنسج الجسم الداخلية.
التصلب المتعدد : MS : Multiple Sclerosis
مرض يتصف بوجود لويحات متصلبة على الدماغ أو النخاع الشوكي (ناتجة عن زوال الميلانين وهي مادة تحيط بالأعصاب). يمكن للتصلب المتعدد أن يسبب شلل، رعاش، واضطرابات في الكلام والرؤية. يظهر بشكل نموذجي في وقت مبكر من مرحلة البلوغ، ويتصف بفترات متناوبة من السورة والهدأة. يترافق التصلب المتعدد مع الإصابة بالفيروس الحلئي البشري6.
النور إبنفرين (النور أدرينالين) : NE : Norepinephrine
هرمون مفرز من نهايات عصبية معينة في الجهاز العصبي الودي وأيضاً من المنطقة اللبية للغدة الكظرية. وظيفته الرئيسية المساعدة بالحفاظ على ضغط دم مستقر من خلال تنبيه أوعية دموية معينة للتقبض عند هبوط ضغط الدم دون الحد الطبيعي.
مصطلح عصبي عضلي : NM : Neuromuscular
مضادات الالتهاب الغير ستيروئيدية : NSAIDs: Non-Steroidal Anti-Inflammatory Drugs
أدوية تقلل من إنتاج البروستاغلاندين (من خلال تثبيط الـ COX-1 و الـ COX-2) والوسائط الالتهابية. و تقوم هذه الأدوية بتفريج آلام الحالات الالتهابية الحادة والمزمنة كالتهاب المفاصل وأمراض روماتيزمية أخرى. كما تفرج آلام الجروح والإصابات والحروق والتهابات الأوتار بالإضافة لآلام الأسنان. بالإضافة لمساهمتها في تفريج ألم الحالات غير الالتهابية.
فصال عظمي : OA : Osteoarthritis
أحد أشكال التهاب المفاصل، يحدث بشكل رئيسي عند كبار السن، يتظاهر بتنكس مزمن في غضروف المفاصل. يعرف أيضاً بداء المفصل التنكسي.
حبوب منع الحمل الفموية : OCP : Oral Contraceptive Pill
الأدوية فوق الطاولة : OTC : Over The Counter
هي مجموعة الأدوية التي لا تحتاج لوصفة طبية.
بعد الوجبة : PC : Post Cibum
مصطلح لاتيني للاشارة لتناول الدواء بعد الطعام.
داء المبيض متعدد الكيسات : PCOD : Polycystic ovary Disease
يعرف أيضاً بمتلازمة المبيض متعدد الكيسات. هو خلل في الغدد الصم يصيب تقريباً 5% من النساء. يظهر بين كل العروق والقوميات، وهو الخلل الهرموني الأكثر شيوعاً بين النساء في سن الإنجاب (12 - 45 سنة)، وهو سبب رئيسي للعقم.
حَجْمُ الخَلاَيا المُكَدَّسَة: PCV: packed-cell volume
مقالة مفصلة: هيماتوكريت
يسمى أيضاً الهيماتوكريت وهو نسبة حجم الدم الذي تشغله الكريات الحمر. قيمته الطبيعية عند الرجال 48% وعند النساء 38%.
الصمة الرئوية: PE: Pulmonary embolism
مقالة مفصلة: صمة رئوية
الصمة الرئوي هي انسداد في الشريان الرئيسي في الرئة أو أحد فروعها بواسطة مادة انتقلت من أحد أنحاء الجسم عبر مجرى الدم.
تفاعل البوليميراز السلسلي :PCR: polymerase chain reaction
اختبار عالي الحساسية يمكن أن يكشف كميات قليلة من الدنا أو الرنا في عينات الدم أو النسيج باستخدام تقنية مضخمة تضاعف الدنا أو الرنا الموجود "في العينة" وبالتالي يمكن كشفها بسهولة. وهو اختبار عالي الحساسية لكشف وجود فيروس نقص المناعة المكتسب.
اختبارات وظائف الرئة : PFT : Pulmonary Function Test
هي مجموعة من الإجراءات التي تقيس وظيفة الرئتين، لتكشف المشاكل في الطريقة التي يتنفس بها المريض. تستطيع هذه الاختبارات أن تحدد سبب ضيق النفس وقد تساعد على تأكيد تشخيص الأمراض الرئوية كالربو والتهاب القصبات أو النفاخ الرئوي. وتجرى هذه الاختبارات أيضا قبل إجراء أي عملية جراحية رئوية رئيسية للتأكد من عدم حدوث عجز عند المريض ناجم عن نقص في السعة الرئوية.
الداء الحوضي الالتهابي : PID : Pelvic Inflammatory Disease
التهاب الأعضاء الحوضية عند الأنثى ( بخاصة قناتي فالوب)، ينجم عن خمج بأي من الكائنات الحية الدقيقة العديدة ( بشكل رئيسي المكورات البنية والكلاميديا)، الأعراض : ألم بطني، حرارة، إفرازات مهبلية كريهة الرائحة.
عن طريق الفم : PO : Per Os
مثبطات مضخة البروتون : PPIs : Proton Pump Inhibitors
عن طريق المستقيم : PR : Per Rectum
زمن البروترومبين : PT: Prothrombin Time
هو الزمن اللازم لتخثر الدم بعد إضافة الترومبوبلاستين والكالسيوم لعينة الدم الحاوية على مولد الليفين. يستخدم لتقييم سبيل الإرقاء الخارجي. زمنه الطبيعي 10 - 12 ثانية.
زمن الترومبوبلاستين الجزئي : PTT : Partial Thromboplastin Time
الزمن اللازم لتشكيل الخثرة الفبرينية بعد إضافة الكالسيوم وكاشف فوسفولبيدي. يستخدم لتقييم سبيل الإرقاء الداخلي. زمنه الطبيعي 30 - 40 ثانية.
هرمون غدد جارات الدرق : PTH: parathyroid hormone
هرمون ببتيدي يُفرز من الغدد جارات الدرق. يزيد التراكيز البلازمية للكالسيوم من خلال زيادة الارتشاف العظمي وزيادة الامتصاص المعوي للكالسيوم و إنقاص التصفية الكلوية له.
Orthographic styling
Periods (stops)
Periods (stops) are often used in styling abbreviations. Prevalent practice in medicine today is often to forgo them as unnecessary.
- Example:
- Less common: The diagnosis was C.O.P.D.
[chronic obstructive pulmonary disease] - More common: The diagnosis was COPD.
- Less common: The diagnosis was C.O.P.D.
Plurals
The prevalent way to represent plurals for medical acronyms is simply to affix a lowercase s (no apostrophe).
- Example: one OCP, two OCPs [oral contraceptive pills].
Possessives
Possessive forms are not often needed, but can be formed using apostrophe + s. Often the writer can also recast the sentence to avoid it.
- Example:
- BP's effect on risk of MI is multifaceted.
- The effect of BP on MI risk is multifaceted.
Conventions of this series
- This series of lists omits periods from acronyms and initialisms.
- It uses periods for certain abbreviations that traditionally often have them (mostly older Latin/Neo-Latin abbreviations). For example, both bid and b.i.d. may be found in the list.
- It generally uses the singular form of an abbreviation (not the plural) as the headword.
- Like any reference book of medical abbreviations, this list uses significant capitalization for headwords (the abbreviations) and their expansions.
For more information on styling
The short summaries above are all that most readers will need in using this list. Interested readers can find much more detail in the main articles on abbreviations and acronyms and initialisms. For more information, see:
انظر أيضا
- List of abbreviations used in medical prescriptions
- List of medical roots, suffixes and prefixes
- قاموس طبي
- عامية طبية
المصادر
- منتدى جامعة دمشق
- القاموس الطبي
- مصطلحات طبية
- القاموس الطبي الموحد
- Stedman Dictionary
قائمة المراجع
- Davis, Neil M. (2008). Medical Abbreviations: 30,000 Conveniences at the Expense of Communication and Safety (14th ed.). Warminster, PA, USA: Neil M Davis Associates. ISBN 978-0-931431-14-2. Available online (by subscription) at MedAbbrev.com.
- Jablonski, Stanley (2008). Jablonski's Dictionary of Medical Acronyms and Abbreviations with CD-ROM (6th ed.). Philadelphia: Saunders. ISBN 978-1-4160-5899-1.
- Sloane, Sheila B. (1997). Medical Abbreviations & Eponyms (2nd ed.). Philadelphia: Saunders. ISBN 978-0-7216-7088-1.