كبد
| الكبد | |
|---|---|
يقع الكبد البشري في أعلى يمين البطن. | |
موقع الكبد البشري (بالأحمر) في الجسم. | |
| Details | |
| السلف | المعى الأمامي |
| الجهاز | الجهاز الهضمي |
| الشريان | الشريان الكبدي |
| الوريد | الوريد الكبدي والوريد البابي |
| العصب | العقد البطنية والعصب المبهم[1] |
| المُعرفات | |
| اللاتينية | jecur, iecur |
| اليونانية | hepar (ἧπαρ) root hepat- (ἡπατ-) |
| MeSH | D008099 |
| TA98 | A05.8.01.001 |
| TA2 | 3023 |
| FMA | 7197 |
| المصطلحات التشريحية | |
الكبد (liver)، هو عضو الأيض الرئيسي، ويوجود فقط في الحيوانات الفقارية. يؤدي الكبد العديد من الوظائف الحيوية الأساسية مثل إزالة السموم من الجسم، وتخليق الپروتينات والعديد من الوظائف الكيميائية الحيوية الأخرى الضرورية للهضم والنمو.[2][3][4] في البشر، يقع الكبد في الربع العلوي الأيمن من البطن، أسفل الحجاب الحاجز ويكون محمي في الغالب بواسطة القفص الصدري الأيمن السفلي. تشمل وظائفه الأيضية الأخرى أيض الكربوهيدرات، وإنتاج الهرمونات، وتحويل وتخزين العناصر الغذائية مثل الگلوكوز والگليكوجن، وتحلل خلايا الدم الحمراء.[4]
كما يعتبر الكبد عضو هضمي إضافي ينتج العصارة الصفراوية، وهي سائل قلوي يحتوي على الكوليسترول والأحماض الصفراوية، والتي تعمل على استحلاب الدهون الغذائية وتحللها. أما المرارة، وهي كيس مجوف صغير يقع أسفل الفص الأيمن من الكبد، فتخزن العصارة الصفراوية التي ينتجها الكبد وتركزها، والتي تفرز لاحقاً إلى الإثنى عشر للمساعدة في الهضم.[5] إن أنسجة الكبد شديدة التخصص، والتي تتكون في الغالب من خلايا الكبد، تنظم مجموعة واسعة من التفاعلات الكيميائية الحيوية عالية الحجم، بما في ذلك تخليق وتحلل الجزيئات العضوية الصغيرة والمعقدة، والتي يعتبر العديد منها ضروريًا للوظائف الحيوية الطبيعية.[6] تختلف التقديرات فيما يتعلق بالعدد الإجمالي لوظائف الكبد، لكن يُشار لها عموماً بأنها حوالي 500 وظيفة.[7] ولهذا السبب، يوصف الكبد في بعض الأحيان بأنه المصنع الكيميائي للجسم.[8][9]
لا يُعرف كيفية تعويض غياب وظائف الكبد على المدى الطويل، على الرغم من إمكانية استخدام تقنيات غسيل الكبد على المدى القصير. لم يتم تطوير الكبد الاصطناعي لتعزيز الاستبدال طويل الأمد في حالة غياب الكبد. اعتباراً من 2018،[10] كانت زراعة الكبد هي الخيار الوحيد للفشل الكبدي الكامل.
بُنية الكبد

الكبد هو عضو ذو لون بني محمر داكن مدبب، وله فصان غير متساويين في الحجم والشكل. يزن الكبد البشري عادة حوالي 1.5 كج[11] ويبلغ عرضه حوالي 14 سم.[12] هناك اختلاف كبير في وزن الكبد بين الأفراد، مع كون النطاق المرجعي القياسي للرجال هو 970-1860 كج[13] وللنساء 600-1770 كج.[14] ويعتبر الكبد أثقل عضو داخلي وأكبر غدة في الجسم البشري. يقع الكبد في الربع العلوي الأيمن من تجويف البطن، ويستقر أسفل الحجاب الحاجز مباشرة، على يمين المعدة، ويغطي المرارة.[5]
يرتبط الكبد بوعاءين دمويين كبيرين: الشريان الكبدي والوريد البابي. يحمل الشريان الكبدي الدم الغني بالأكسجين من الشريان الأورطي عبر الجذع البطني، بينما يحمل الوريد البابي الدم الغني بالعناصر الغذائية المهضومة من القناة الهضمية بأكملها وكذلك من الطحال والپنكرياس.[10] تنقسم هذه الأوعية الدموية إلى شعيرات دموية صغيرة تُعرف باسم أشباه الجيوب الكبدية، والتي تؤدي بعد ذلك إلى فصيصات الكبد.
الفصيصات الكبدية هي الوحدات الوظيفية في الكبد. يتكون كل فصيص من ملايين الخلايا الكبدية، وهي الخلايا الأيضية الأساسية. ترتبط الفصيصات معاً بواسطة طبقة من النسيج الضام الليفي المرن غير المنتظم، والكثيف، والدقيق، والممتد من الكبسولة الليفية التي تغطي الكبد بالكامل والمعروفة باسم كبسولة گليسون نسبة إلى الطبيب البريطاني فرانسيس گليسون.[4] يمتد هذا النسيج إلى داخل بنية الكبد عن طريق مرافقة الأوعية الدموية والقنوات والأعصاب عند تجويف الكبد. ويغطي سطح الكبد بالكامل، باستثناء الباحة العارية، غشاء مصلي مشتق من الغشاء البريتوني، ويلتصق هذ الغشاء بقوة بكبسولة گليسون الداخلية.
تشريح الكبد


يقع الكبد في القسم العلوي الأيمن من البطن، ويشغل كامل المنطقة التحت غضروفية اليمنى ويمتد إلى المنطقة الفوق معدية والمنطقة الفوق غضروفية اليسرى، وتحيط به محفظة تدعى محفظة گليسون. يبلغ متوسط وزن الكبد 1400 جراماً عند النساء و1800 جراماً عند الرجال. تُميز ثلاثة وجوه للكبد هي: الوجه العلوي (أو الأمامي العلوي)، والوجه السفلي (أو السفلي الخلفي)، والوجه الخلفي. يأخذ الوجه العلوي للكبد شكلاً محدباً منتظماً ينطبق على الوجه السفلي للحجاب الحاجز، وينقسم إلى قسمين أو فصين هما أيمن كبير وأيسر صغير يفصل بينهما الرباط المدور، والرباط المنجلي (أو الرباط المعلق) الذي يرتكز على الحجاب الحاجز. يمكن تمييز تلمين على الوجه السفلي للكبد هما الثلم السري الذي يتمادى مع الرباط المدور، والثلم المعترض (ويدعى أيضاً سرة الكبد أو باب الكبد) الذي يضم انقسام الوريد البابي والشريان الكبدي والقناة الجامعة إلى فروعهما اليمنى واليسرى. يأخذ هذا الوجه شكلاً غير منتظم إذ إنه يحمل انطباعات الأعضاء المجاورة التي تقع بتماس الكبد وهي المعدة والعفج والزاوية اليمنى للقولون والكلية اليمنى والمرارة التي تتوضع في حفيرة صغيرة على سطح الكبد تدعى المسكن المراري.
يقسم الكبد إلى فصين أيمن كبير وأيسر صغير يفصل بينهما الرباط المنجلي، يضاف اليهما فصان آخران صغيران هما الفص المذنب والفص المربع اللذان تتضح حدودهما على الوجه السفلي للكبد. إلا أن الدراسات الحديثة بينت أن الفصين المربع والمذنب يشكلان من الناحية الوظيفييتميز الكبد من باقي أعضاء البدن بأن ترويته الدموية تتم عن طريقين: طريق وريد الباب الذي يجلب نحو سبعين بالمئة من الدم الذي يدخل إلى الكبد، والشريان الكبدي الذي يجلب قرابة ثلاثين بالمئة من الدم. ينقسم وريد الباب في سرة الكبد إلى فرعين أيمن وأيسر يتفرعان بدورهما إلى فروع أصغر فأصغر تروي قطع الكبد الثمان. كما ينقسم الشريان الكبدي أيضاً في سرة الكبد إلى فرعين أيمن وأيسر يسيران بمحاذاة فروع وريد الباب حتى الشعب الانتهائية. يخرج الدم من الكبد بعد إروائه عن طريق الأوردة الكبدية وعددها ثلاث تصب كلها في الوريد الأجوف السفلي. تجمع الشعيراتُ الصفراوية الصفراءَ التي تفرزها الخلايا الكبدية، وتنضم هذه الشعيرات بعضها إلى بعض لتشكل قنيات صفراوية. تتحد هذه القنيات فيما بينها لتشكل قناتين صفراويتين يمنى ويسرى تلتقيان في سرة الكبد فتؤلفان القناة الكبدية الرئيسة. تسير هذه الأقنية الصفراوية جميعها داخل الكبد وخارجه بمحاذاة وريد الباب والشريان الكبدي وفروعهما. ة جزءاً من الفص الأيسر إذ إن توعيتهما الوريدية والشريانية والصفراوية تتم عن طريق الفروع اليسرى لوريد الباب والشريان الكبدي والقناة الصفراوية. يقسم الجراحون في الوقت الحاضر الكبد إلى ثماني قطع لكل منها تروية دموية وصفراوية مستقلة مما يسهل عملهم في أثناء قيامهم بقطع جزء من الكبد.
فصوص الكبد

ينقسم الكبد عيانياً إلى قسمين عند النظر إليه من الأعلى - فص أيمن وفص أيسر - وأربعة أجزاء عند النظر إليه من الأسفل (الفص الأيسر والأيمن والمذنب والمربع).[15]
يقوم الرباط المنجلي بتقسيم الكبد إلى فصين أيمن وأيسر من أسفل، ويقع الفصان الإضافيان بين الفصين الأيمن والأيسر، أحدهما أمام الآخر. ويمكن تصور خط يمتد من يسار الوريد الأجوف السفلي إلى الأمام لتقسيم الكبد والمرارة إلى نصفين.[16] يسمى هذا الخط [ط كانتلي]].[17]
تشمل المعالم التشريحية الأخرى الرباط الوريدي والرباط المدور، اللذين يقسمان الجانب الأيسر للكبد إلى قسمين. هناك معلم تشريحي هام، وهو باب الكبد، يقسم هذا الجزء الأيسر إلى أربعة أجزاء، يمكن ترقيمها بدءاً من الفص المذنب باعتباره الجزء (1) بطريقة عكس اتجاه عقارب الساعة. من هذا المنظر الجداري، يمكن رؤية سبعة أجزاء، لأن الجزء الثامن مرئي فقط في المنظر الحشوي.[18]
الأسطح

على سطح الحجاب الحاجز، وبصرف النظر عن المنطقة العارية المثلثية التي تتصل بالحجاب الحاجز، يكون الكبد مغطى بغشاء رقيق بطبقة مزدوجة، وهو الغشاء البريتوني، والذي يساعد على تقليل الاحتكاك بالأعضاء الأخرى.[19] يغطي هذا الوجه الشكل المحدب للفصين حيث يستوعب شكل الحجاب الحاجز. ينثني الغشاء البريتوني على نفسه ليشكل الرباط المنجلي والرباط المثلث الأيمن والأيسر.[20]
لا ترتبط هذه الأربطة البريتونية بالأربطة التشريحية في المفاصل، ولا توجد أهمية وظيفية معروفة للأربطة المثلثية اليمنى واليسرى، على الرغم من أنها تعمل كمعالم سطحية.[20] يعمل الرباط المنجلي على ربط الكبد بالجزء الخلفي من جدار الجسم الأمامي.
السطح الحشوي أو السطح السفلي للكبد غير مستوي ومقعّر. وهو مغطى بالغشاء البريتوني باستثناء المكان الذي يتصل فيه بالمرارة وبوابة الكبد.[19] تقع فجوة المرارة على يمين الفص المربع، وتشغلها المرارة مع قناتها الكيسية بالقرب من الطرف الأيمن لبوابة الكبد.
الانطباعات

توجد عدة انطباعات على سطح الكبد تستوعب البنى والأعضاء المجاورة المختلفة. يوجد أسفل الفص الأيمن وعلى يمين حفرة المرارة انطباعان، أحدهما خلف الآخر ويفصل بينهما خط رفيع. الانطباع الموجود في الأمام هو انطباع قولوني ضحل، يتكون من ثنية الكبد والآخر في الخلف هو انطباع كلوي أعمق يستوعب جزءاً من الكلية اليمنى وجزءاً من الغدة فوق الكلوية.[21]
الانطباع فوق الكلوي هو منطقة صغيرة مثلثة الشكل منخفضة على الكبد. تقع بالقرب من يمين الحفرة، بين الباحة العارية والفص الذنبي، وفوق الانطباع الكلوي مباشرة. الجزء الأكبر من الانطباع فوق الكلوي خالي من الغشاء البريتوني ويستقر في الغدة فوق الكلوية اليمنى.[22]
يوجد انطباع ثالث ملحوظ قليلاً في المنتصف من الانطباع الكلوي، ويقع بينه وبين عنق المرارة. ويحدث هذا بسبب الجزء الهابط من الاثني عشر، ويُعرف باسم الانطباع الاثني عشري.[22]
يظهر السطح السفلي للفص الأيسر من الكبد خلف وإلى يسار الانطباع المعدي.[22] يتشكل هذا على السطح الأمامي العلوي للمعدة، وعلى يمينه يوجد بروز مستدير، وهو درنة الثرب، التي تتناسب مع تقعر الانحناء الأصغر للمعدة وتقع أمام الطبقة الأمامية من الثرب الأصغر.
التشريح المجهري

مجهرياً، يُرى أن كل فص كبدي يتكون من فصيصات. الفصيصات سداسية الشكل تقريباً، وتتكون من صفائح من الخلايا الكبدية، وجيوب كبدية تتشعب من الوريد المركزي نحو محيط وهمي من الثالوثات البوابية بين الفصيصات.[23] ينضم الوريد المركزي إلى الوريد الكبدي لنقل الدم من الكبد. أحد المكونات المميزة للفصيص هو الثالوث البابي، والذي يمكن العثور عليه على طول كل من زوايا الفصيص. يتكون الثالوث البابي من الشريان الكبدي والوريد البابي والقناة الصفراوية المشتركة.[24]
يمكن رؤية الثالوث في الموجات فوق الصوتية على الكبد، على شكل علامة ميكي ماوس حيث يكون الوريد البابي مثل الرأس، والشريان الكبدي، والقناة الصفراوية المشتركة كالأذنين.[25]
تظهر علم الأنسجة، نوعين رئيسيين من خلايا الكبد: الخلايا النسيجية الأرضية والخلايا غير النسيجية الأرضية. يشغل حوالي 70-85% من حجم الكبد الخلايا الكبدية النسيجية الأرضية. تشكل الخلايا غير النسيجية الأرضية 40% من العدد الإجمالي لخلايا الكبد ولكنها تشكل 6.5% فقط من حجمها.[26] تُبطَّن جيوب الكبد بنوعين من الخلايا، الخلايا البطانية الجيبية، وخلايا خلايا كوپفر البلعمية.[27] الخلايا النجمية الكبدية هي خلايا غير نسيجية توجد في الحيز حول الجيب، بين الجيب والخلية الكبدية.[26] بالإضافة إلى ذلك، غالباً ما توجد الخلايا الليمفاوية داخل الكبد في تجويف الجيب.[26]
-
التشريح المجهري للكبد.
-
أنواع الشعيرات- الجيوب الكبدية على اليمين
-
رسوم متحركة طبية ثلاثية الأبعاد تصور أجزاء من الكبد.
التشريح الوظيفي

تتضمن المنطقة المركزية أو النقير الكبدي، تتضمن الفتحة المعروفة باسم بوابة الكبد والتي تحمل القناة الصفراوية المشتركة والشريان الكبدي المشترك، والفتحة الخاصة بالوريد البابي. تنقسم القناة والوريد والشريان إلى فرعين أيسر وأيمن، وتشكل مناطق الكبد التي تغذيها هذه الفروع الفصين الأيمن والأيسر الوظيفيين. يتم فصل الفصين الوظيفيين بواسطة المستوى التخيلي، خط كانتلي، الذي يربط حفرة المرارة بالوريد الأجوف السفلي]. يفصل المستوى الكبد إلى فصين أيمن وأيسر حقيقيين. يحدد الوريد الكبدي الأوسط أيضًا الفصين الأيمن والأيسر الحقيقيين. ينقسم الفص الأيمن أيضًا إلى جزء أمامي وخلفي بواسطة الوريد الكبدي الأيمن. ينقسم الفص الأيسر إلى جزء أوسط وجانبي عن طريق الوريد الكبدي الأيسر.
يوصف نقير الكبد من حيث ثلاثة "صفائح" تحتوي على القنوات المرارية والأوعية الدموية. وتحيط غلاف بمحتويات نظام الصفائح بالكامل.[28] الصفائح الثلاث هي الصفيحة الهيلارية والصفيحة الكيسية والصفيحة السرية ونظام الصفائح هو موقع العديد من الاختلافات التشريحية الموجودة في الكبد.[28]
نظام تصنيف كوينو

في نظام كوينو المستخدم على نطاق واسع، تُقسم الفصوص الوظيفية إلى إجمالي ثمانية أجزاء فرعية بناءً على المستوى العرضي من خلال تشعب الوريد البابي الرئيسي.[29] الفص المذنب هو بنية منفصلة تتلقى تدفق الدم من الفروع الوعائية اليمنى واليسرى.[30][31] يقسم تصنيف كوينو الكبد إلى ثمانية أجزاء كبدية مستقلة وظيفياً. كل جزء له تدفق وعائي داخلي وخارجي وتصريف صفراوي خاص به. في وسط كل جزء توجد فروع من الوريد البابي والشريان الكبدي والقناة الصفراوية. في محيط كل جزء يوجد تدفق وعائي خارجي عبر الأوردة الكبدية.[32] يستخدم نظام التصنيف الإمداد الوعائي في الكبد لفصل الوحدات الوظيفية (المرقمة من I إلى VIII) مع الوحدة 1، الفص المذنب، الذي يتلقى إمداده من كل من الفرعين الأيمن والأيسر للوريد البابي. يحتوي على واحد أو أكثر من الأوردة الكبدية التي تصب مباشرة في الوريد الأجوف السفلي.[29] يتم ترقيم بقية الوحدات (II إلى VIII) بطريقة عقارب الساعة:[32]
التعبير الجيني والپروتيني
يتم التعبير عن حوالي 2000 جين ترميز الپروتين في الخلايا البشرية ويتم التعبير عن 60% من هذه الجينات في الكبد الطبيعي للبالغين.[33][34] يتم التعبير عن أكثر من 400 جين بشكل أكثر تحديداً في الكبد، مع حوالي 150 جيناً شديد التخصص لأنسجة الكبد. يتم التعبير عن جزء كبير من الپروتينات المقابلة الخاصة بالكبد بشكل أساسي في الخلايا الكبدية وتُفرز في الدم وتشكل پروتينات الپلازما والهپاتوكينات. تشمل الپروتينات الأخرى الخاصة بالكبد بعض إنزيمات الكبد مثل HAO1 وRDH16، والپروتينات المشاركة في تخليق الصفراء مثل BAAT وSLC27A5، وپروتينات النقل المشاركة في عملية التمثيل الغذائي للأدوية، مثل ABCB11 وSLC2A2. تشمل أمثلة الپروتينات عالية التخصص في الكبد أپوليپوپروتين A II، وعوامل التخثر F2 وF9، والپروتينات المرتبطة بالعامل المتمم، وسلسلة بيتا الفيبرينوجين.[35]
التطور

تحدث عملية تخلق الأعضاء من الأسبوع الثالث إلى الأسبوع الثامن أثناء عملية تكوين الأجنة البشرية. وينشأ الكبد في كل من الأديم الباطن من الأمعاء الأمامية (الأديم الباطن هو أحد الطبقات المنتشة الثلاثة للجنين) ومكونات الحاجز المستعرض المجاور للأديم الظاهر. في الجنين البشري، يكون الرتج الكبدي هو أنبوب الأديم الباطن الذي يمتد من الأمعاء الأمامية إلى الأديم الظاهر المحيط.
يحفز النسيج المتوسط للحاجز المستعرض هذا الأديم الباطن على التكاثر والتفرع وتكوين الظهارة الغدية للكبد. يستمر جزء من الرتج الكبدي (المنطقة الأقرب إلى الأنبوب الهضمي) في العمل كقناة تصريف للكبد، وينتج فرع من هذه القناة المرارة.[36]
بالإضافة إلى الإشارات الصادرة من النسيج المتوسط للحاجز المستعرض، يساهم عامل نمو الخلايا الليفية من القلب المتطور أيضاً في كفاءة الكبد، جنباً إلى جنب مع حمض الرتينويك المنبعث من الأديم المتوسط للصفيحة الجانبية. تخضع الخلايا البطانية الكبدية لانتقال مورفولوجي من الخلايا العمودية إلى الخلايا شبه الطبقية مما يؤدي إلى زيادة سمكها إلى برعم الكبد المبكر. يشكل توسعها مجموعة من الخلايا الكبدية ثنائية القدرة.[37] الخلايا النجمية الكبدية مشتقة من الخلايا المتوسطة.[38]
بعد هجرة الخلايا الكبدية إلى النسيج المتوسط للحاجز المستعرض، يبدأ تكون بنية الكبد، مع ظهور الجيوب الكبدية والقنوات الصفراوية. ينفصل برعم الكبد إلى فصوص. يصبح الوريد السري الأيسر القناة الوريدية ويصبح الوريد المحي الأيمن الوريد البابي. تستعمر الخلايا المكونة للدم برعم الكبد المتطور.تتمايز الخلايا الظهارية الصفراوية عن الخلايا الكبدية حول الأوردة البابية، فتنتج أولاً طبقة أحادية، ثم طبقة ثنائية من الخلايا المكعبة. وفي الصفيحة القنوية، تظهر التوسعات البؤرية عند نقاط في الطبقة الثنائية، وتحيط بها النسيج المتوسط البابي، وتخضع لتكوين الأنابيب إلى القنوات الصفراوية داخل الكبد. أما الخلايا الكبدية غير المجاورة للأوردة البابية فتتمايز بدلاً من ذلك إلى خلايا كبدية وتنتظم في حبال مبطنة بخلايا ظهارية جيبية وقنوات صفراوية. وبمجرد تحديد الخلايا الكبدية إلى خلايا كبدية وخضوعها لمزيد من التوسع، تبدأ في اكتساب وظائف الخلايا الكبدية الناضجة، وفي النهاية تظهر الخلايا الكبدية الناضجة كخلايا ظهارية شديدة الاستقطاب مع تراكم وفير للگليكوجن.
في الكبد البالغ، لا تكون الخلايا الكبدية متكافئة، حيث يحدد الموضع على طول المحور الوريدي المركزي داخل فصيص الكبد التعبير عن الجينات الأيضية المشاركة في استقلاب الأدوية، وأيض الكربوهيدرات، وإزالة السموم من الأمونيا، وإنتاج الصفراء وإفرازها. وقد تم الآن تحديد مسار إشارات WNT/β-catenin ليلعب دوراً رئيسياً في هذه الظاهرة.

عند الولادة، يشكل الكبد ما يقرب من 4% من وزن الجسم ويزن في المتوسط حوالي 120 جراماً. بمرور الوقت، سيزداد وزنه إلى 1.4 – 1.6 كجم ولكنه لن يشكل سوى 2.5 – 3.5% من وزن الجسم.[39]
مؤشر الكبد الجسمي (HSI) هو نسبة وزن الكبد إلى وزن الجسم.[40]
إمدادات الدم الجنينية
في الجنين النامي، يعد الوريد السري مصدراً رئيسياً لإمدادات الدم إلى الكبد، حيث يمد الجنين النامي بالعناصر الغذائية. يدخل الوريد السري البطن عند السرة ويمر لأعلى على طول الحافة الحرة للرباط المنجلي للكبد إلى السطح السفلي للكبد. وهناك، ينضم إلى الفرع الأيسر من الوريد البابي. يحمل القناة الوريدية الدم من الوريد البابي الأيسر إلى الوريد الكبدي الأيسر ثم إلى الوريد الأجوف السفلي، مما يسمح للدم المشيمي بتجاوز الكبد. في الجنين، لا يقوم الكبد بعمليات الهضم والترشيح الطبيعية لكبد الرضيع لأن العناصر الغذائية يتم تلقيها مباشرة من الأم عبر المشيمة. يفرز كبد الجنين بعض الخلايا الجذعية الدموية التي تهاجر إلى الغدة الزعترية للجنين، مما يؤدي إلى تكوين الخلايا التائية (أو الخلايا اللمفاوية التائية). بعد الولادة، ينتقل تكوين الخلايا الجذعية الدموية إلى نخاع العظم الأحمر. بعد مرور 2-5 أيام، يتم محو الوريد السري والقناة الوريدية؛ يصبح الأول الرباط المدور للكبد ويصبح الأخير الرباط الوريدي. في اضطرابات تليف الكبد وارتفاع ضغط الدم البابي، يمكن أن ينفتح الوريد السري مرة أخرى.
على عكس الثدييات الوحشية، يظل الكبد في الجرابيات قادراً على تخليق الدم لفترة طويلة بعد الولادة.[41][42][43][44]
وظائف الكبد
يؤدي الكبد وظائفه المختلفة بواسطة الخلايا الكبدية. يُعتقد أن الكبد مسؤول عن ما يصل إلى 500 وظيفة منفصلة، عادةً بالاشتراك مع أجهزة وأعضاء أخرى. حالياً، لا يوجد عضو صناعي قادر على إعادة إنتاج جميع وظائف الكبد. يمكن تنفيذ بعض الوظائف بواسطة غسيل الكبد، وهو علاج تجريبي لفشل الكبد. كما يمثل الكبد حوالي 20% من إجمالي استهلاك الأكسجين في الجسم أثناء الراحة.
إمدادات الدم
يتلقى الكبد إمداداً مزدوجاً من الدم من الوريد البابي الكبدي والشرايين الكبدية. يوفر الوريد البابي الكبدي حوالي 75% من إمدادات الكبد بالدم ويحمل الدم الوريدي الذي يتم تصريفه من الطحال والجهاز الهضمي والأعضاء المرتبطة به. تزود الشرايين الكبدية الدم الشرياني للكبد، وهو ما يمثل الربع المتبقي من تدفق الدم. يتوافر الأكسجين من كلا المصدرين؛ حيث يتم تلبية حوالي نصف طلب الكبد على الأكسجين من الوريد البابي الكبدي، ويتم تلبية النصف الآخر من خلال الشرايين الكبدية.[45] يحتوي الشريان الكبدي أيضاً على مستقبلات ألفا وبيتا الأدرينالية؛ وبالتالي، يتم التحكم في التدفق عبر الشريان، جزئياً، بواسطة الأعصاب الحشوية للجهاز العصبي الذاتي.
يتدفق الدم عبر أشباه الجيوب الوريدية في الكبد ويصب في الوريد المركزي لكل فصيص. تتجمع الأوردة المركزية الكبدية لتشكل أوردة كبدية، والتي تغادر الكبد وتصب في الوريد الأجوف السفلي.[46]
التدفق الصفراوي

تتفرع القناة الصفراوية من فروع القنوات المرارية. القناة الصفراوية، المعروفة أيضاً باسم الشجرة الصفراوية، هي المسار الذي يفرز به الكبد الصفراء ثم تنقلها إلى الجزء الأول من الأمعاء الدقيقة، الاثني عشر. تتجمع الصفراء المنتجة في الكبد في القنوات الصفراوية، وهي أخاديد صغيرة بين أوجه الخلايا الكبدية المجاورة. تمتد القنوات الصفراوية إلى حافة فصيص الكبد، حيث تندمج لتكوين القنوات الصفراوية. داخل الكبد، تسمى هذه القنوات بالقنوات الصفراوية داخل الكبد، وبمجرد خروجها من الكبد، تعتبر خارج الكبد. تصب القنوات داخل الكبد في النهاية في القنوات الكبدية اليمنى واليسرى، والتي تخرج من الكبد عند الشق المستعرض، وتندمج لتكوين القناة الكبدية المشتركة. تنضم القناة الكيسية من المرارة إلى القناة الكبدية المشتركة لتكوين القناة الصفراوية المشتركة.[46] يتم إمداد الجهاز الصفراوي والنسيج الضام عن طريق الشريان الكبدي وحده.
تتدفق الصفراء إما إلى الاثني عشر مباشرة عبر القناة الصفراوية المشتركة، أو تُخزن مؤقتاً في المرارة عبر القناة الكيسية. تدخل القناة الصفراوية المشتركة والقناة الپنكرياسية الجزء الثاني من الاثني عشر معًا عند أمبولة الكبد الپنكرياسية، والمعروفة أيضاً باسم أمبولة ڤاتر.
الأيض
يلعب الكبد دوراً رئيسياً في عملية أيض الكربوهيدرات والپروتينات والأحماض الأمينية والدهون.
أيض الكربوهيدرات
يلعب الكبد عدة أدوار في أيض الكربوهيدرات:
- يقوم الكبد بتصنيع وتخزين حوالي 100 جرام من الگليكوجين عن طريق تخليق الگلوكوز، وتكوين الگليكوجين من الگلوكوز.
- عند الحاجة، يقوم الكبد بإطلاق الگلوكوز في الدم عن طريق إجراء تحليل الگليكوجين، وهي عملية تحلل الگليكوجين إلى گلوكوز.[47]
- الكبد مسؤول أيضاً عن تخليق الگلوكوز، وهو تخليق الگلوكوز من بعض الأحماض الأمينية، أو اللبنيك، أو الگليسرول. تنتج الخلايا الدهنية وخلايا الكبد الگليسرولية عن طريق تكسير الدهون، والتي يستخدمها الكبد في تخليق الگلوكوز.[47]
- يقوم الكبد أيضاً بتخليق الگليكوجين وهي عملية تخليق الگليكوجين من حمض اللبنيك.[48]
أيض الپروتين
الكبد هو المسؤول عن أيض الپروتينات وتخليقها وتحللها. تُخلق جميع پروتينات الپلازما باستثناء گلوبولينات گاما تُخلق في الكبد.[49] كما أنه مسؤول عن جزء كبير من تخليق الأحماض الأمينية. يلعب الكبد دوراً في إنتاج عوامل التخثر، وكذلك إنتاج خلايا الدم الحمراء. تشمل بعض الپروتينات التي يصنعها الكبد عوامل التخثر I (الفبرينوجين)، II (الپروثرومبين)، V، VII، VIII، IX، X، XI، XII، XIII، بالإضافة إلى پروتين سي، پروتين إس ومضاد الثرومبين. الكبد هو موقع رئيسي لإنتاج الثرومبوپويتين، وهو هرمون الگليكوپروتين ينظم إنتاج الصفائح الدموية بواسطة نخاع العظم.[50]
أيض الدهون
يلعب الكبد عدة أدوار في عملية أيض الدهون فهو يقوم بتخليق الكوليسترول، وتخليق الدهون، وإنتاج الدهون الثلاثية، ويُخلق في الكبد الجزء الأكبر من الپروتينات الدهنية في الجسم. يلعب الكبد دوراً رئيسياً في عملية الهضم، حيث ينتج ويفرز العصارة الصفراوية اللازمة لخلط الدهون والمساعدة في امتصاص ڤيتامين ك من النظام الغذائي. يتم تصريف بعض الصفراء مباشرة إلى الاثني عشر، ويُخزن البعض الآخر في المرارة. ينتج الكبد عامل النمو الشبيه بالأنسولين 1، وهو هرمون پروتيني عديد الپپتيد يلعب دوراً هاماً في نمو الأطفال ويستمر في إحداث تأثيرات الابتناء عند البالغين.
عملية التكسير
الكبد هو المسؤول عن تحلل الإنسولين والهرمونات الأخرى. يقوم الكبد بتكسير البيليروبين عن طريق عملية الگلكرنة، مما يسهل إفرازه في الصفراء. يعتبر الكبد مسؤولاً عن تكسير وإخراج العديد من الفضلات. يلعب دوراً رئيسياً في تكسير أو تعديل المواد السامة (على سبيل المثال، المثيلة) ومعظم المنتجات الطبية في عملية تسمى أيض الدواء. يؤدي هذا أحياناً إلى التسمم، عندما يكون المستقلب أكثر سمية من سلفه. ويفضل اقتران السموم لإتاحة الإخراج في الصفراء أو البول. يحول الكبد الأمونيا إلى اليوريا كجزء من دورة الأورنيثين أو دورة اليوريا، ويتم إفراز اليوريا في البول.[51]
خزان الدم
ولأن الكبد عضو قابل للتمدد، فإنه يمكن تخزين كميات كبيرة من الدم في أوعيته الدموية. ويبلغ حجم الدم الطبيعي فيه، بما في ذلك الدم الموجود في الأوردة الكبدية والجيوب الكبدية، نحو 450 مليلتراً، أو ما يقرب من 10% من إجمالي حجم الدم في الجسم. وعندما يتسبب ارتفاع الضغط في الأذين الأيمن في حدوث ضغط خلفي في الكبد، يتمدد الكبد، ويتم تخزين 0.5 إلى 1 لتر من الدم الزائد أحيانًا في الأوردة والجيوب الكبدية. ويحدث هذا بشكل خاص في حالات فشل القلب المصحوب باحتقان محيطي. وبالتالي، فإن الكبد عضو وريدي كبير وقابل للتمدد وقادر على العمل كمخزن قيم للدم في أوقات زيادة حجم الدم وقادر على توفير الدم الزائد في أوقات انخفاض حجم الدم.[52]
إنتاج اللمف
نظراً لأن المسام الموجودة في الجيوب الكبدية شديدة النفاذية وتسمح بمرور السوائل والپروتينات بسهولة إلى الحيز المحيط بالجيوب، فإن اللمف الذي يصرف من الكبد يحتوي عادةً على تركيز پروتين يبلغ حوالي 6 جرام/ديسيلتر، وهو أقل بقليل من تركيز الپروتين في الپلازما. كما أن النفاذية العالية لظهارة الجيوب الكبدية تسمح بتكوين كميات كبيرة من اللمف. لذلك، فإن حوالي نصف اللمف المتكون في الجسم في ظل ظروف الراحة ينشأ في الكبد.
أخرى
- يخزن الكبد عدداً كبيراً من المواد، بما في ذلك ڤيتامين أ (إمداد لمدة 1-2 سنة)، ڤيتامين د (إمداد لمدة 1-4 أشهر)،[53] ڤيتامين ب12 (إمدادات تكفي لمدة 3 إلى 5 سنوات)،[54] ڤيتامين ك، ڤيتامين هـ، الحديد، النحاس، الزنك، الكوبالت، الموليبدينوم، إلخ.
- تكون الدم - يُطلق على تكوين خلايا الدم تكوين الدم. في المرحلة الجنينية، تتكون خلايا الدم الحمراء وخلايا الدم البيضاء بواسطة الكبد. في الثلث الأول من الحمل، يكون الكبد هو الموقع الرئيسي لإنتاج خلايا الدم الحمراء. وبحلول الأسبوع الثاني والثلاثين من الحمل، يتولى نخاع العظم هذه المهمة بالكامل تقريباً.[55]
- يساعد الكبد في تنقية الدم، حيث أن خلايا كوفر في الكبد هي خلايا بلعمية، تساعد في بلعمة خلايا الدم الميتة والبكتيريا من الدم.[56]
- الكبد مسؤول عن التأثيرات المناعية - يحتوي نظام الخلايا البلعمية وحيدة النواة في الكبد على العديد من الخلايا النشطة مناعياً، والتي تعمل بمثابة "منخل" للمستضدات التي تنتقل إليه عبر نظام البوابة.
- ينتج الكبد الألبومين، وهو الپروتين الأكثر وفرة في مصل الدم. وهو ضروري للحفاظ على ضغط الدم، ويعمل كوسيلة نقل للأحماض الدهنية والهرمونات الستيرويدية.
- يقوم الكبد بتصنيع الأنجيوتنسين، وهو هرمون مسؤول عن رفع ضغط الدم عند تنشيطه بواسطة الرينن، وهو إنزيم يتم إطلاقه عندما تستشعر الكلى انخفاض ضغط الدم.
- ينتج الكبد إنزيم الكتالاز لتحليل پروكسيد الهيدروجين، وهو عامل مؤكسد سام، إلى ماء وأكسجين.
الأهمية السريرية
الأمراض
الكبد عضو حيوي ويدعم كل عضو آخر في الجسم تقريباً. وبسبب موقعه الاستراتيجي ووظائفه المتعددة الأبعاد، يكون الكبد عرضة للعديد من الأمراض.[57] المنطقة العارية من الكبد هي موقع معرض لانتقال العدوى من التجويف البطني إلى التجويف الصدري. يمكن تشخيص أمراض الكبد من خلال تحاليل وظائف الكبد - تحاليل الدم التي يمكنها تحديد العديد من العلامات. على سبيل المثال، ينتج الكبد مستجيبات المرحلة الحادة كاستجابة للإصابة أو الالتهاب.
أكثر أمراض الكبد المزمنة شيوعاً هو مرض الكبد الدهني غير الكحولي، والذي يؤثر على ما يقدر بنحو ثلث سكان العالم.[58]
التهاب الكبد هو حالة التهائب شائعة في الكبد. والسبب الأكثر شيوعاً لهذه الحالة هو التهاب الكبد الڤيروسي، وأكثر هذه العدوى شيوعاً هي التهاب الكبد الڤيروسي أ، بالتهاب الكبد الڤيروسي ب، ج، د، هـ. بعض هذه العدوى هي أمراض منقولة جنسياً. يمكن أن يحدث الالتهاب أيضاً بسبب ڤيروسات أخرى من عائلة الڤيروسات الهربسية مثل ڤيروس الهربس البسيط. العدوى المزمنة (وليس الحادة) بڤيروس التهاب الكبد ب أو ڤيروس التهاب الكبد ج هي السبب الرئيسي لسرطان الكبد.[59] عالمياً، هناك حوالي 248 مليون فرد مصابين بشكل مزمن بالتهاب الكبد ب (843.724 منهم في الولايات المتحدة)،[60] و142 مليون مصابون بالتهاب الكبد ج المزمن[61] (2.7 مليون في الولايات المتحدة).[62] عالمياً، هناك نحو 114 مليون حالة من التهاب الكبد أ[61] و20 مليون حالة من التهاب الكبد هـ[63] لكن هذه الأمراض تزول عادة ولا تتحول إلى أمراض مزمنة. التهاب الكبد الڤيروسي د هو "ساتل صناعي" لالتهاب الكبد الڤيروسي ب (لا يمكن أن يصيب إلا في وجود التهاب الكبد الڤيروسي ب)، ويصيب ما يقرب من 20 مليون شخص بالتهاب الكبد الڤيروسي ب، على مستوى العالم.[64]
يحدث الاعتلال الدماغي الكبدي نتيجة لتراكم السموم في مجرى الدم والتي يقوم الكبد عادة بإزالتها. يمكن أن تؤدي هذه الحالة إلى الغيبوبة وقد تكون قاتلة. متلازمة بود-كياري هي حالة ناجمة عن انسداد الأوردة الكبدية (بما في ذلك الجلطات) التي تستنزف الكبد. تظهر هذه الحالة مع الثالوث الكلاسيكي المتمثل في آلام البطن والاستسقاء وتضخم الكبد.[65]
العديد من أمراض الكبد تكون مصحوبة اليرقان الناتج عن ارتفاع مستويات البيليروبين في الجسم. وينتج البيليروبين عن تفكك الهيموگلوبين في خلايا الدم الحمراء الميتة؛ وعادةً ما يزيل الكبد البيليروبين من الدم ويطرحه عبر الصفراء.
تُصنف الاضطرابات الأخرى الناجمة عن الإفراط في تناول الكحول تحت أمراض الكبد الكحولية، وتشمل هذه الأمراض التهاب الكبد الكحولي، الكبد الدهني، وتليف الكبد. ولا تقتصر العوامل التي تساهم في تطور أمراض الكبد الكحولية على كمية وتكرار استهلاك الكحول، بل قد تشمل أيضاً الجنس والعوامل الوراثية وإصابات الكبد. كما يمكن أن يحدث تلف الكبد بسبب الأدوية، وخاصة الپاراستامول والأدوية المستخدمة لعلاج السرطان. ويمكن أن يحدث تمزق الكبد بسبب لكمة الكبد في الرياضات القتالية.
التهاب القناة الصفراوية الأولي هو مرض مناعة ذاتية يصيب الكبد.[66][67] يتميز هذا المرض بتدمير تدريجي بطيء للقنوات الصفراوية الصغيرة في الكبد، مع تأثر القنوات داخل الفصيصات (قنوات هرنگ) في مرحلة مبكرة من المرض.[68]
عندما تتلف هذه القنوات، تتراكم الصفراء والسموم الأخرى في الكبد (ركود صفراوي) وتؤدي بمرور الوقت إلى إتلاف أنسجة الكبد بالتزامن مع تلف مستمر متعلق بالمناعة. يمكن أن يؤدي هذا إلى تندب (تليف) وتليف الكبد. يزيد تليف الكبد من مقاومة تدفق الدم في الكبد، ويمكن أن يؤدي إلى ارتفاع ضغط الدم البابي. يمكن أن تكون المفاغرة المزدحمة بين النظام الوريدي البابي والدورة الدموية الجهازية حالة لاحقة.
هناك أيضًا العديد من أمراض الكبد التي تصيب الأطفال، بما في ذلك تضيق القناة الصفراوية، نقص ألفا-1 أنتيتريبسين، متلازمة ألاجيل، الركود الصفراوي داخل الكبد العائلي التدريجي، فرط الخلايا اللمفاوية لانغرهانس وورم وعائي كبدي ورم حميد هو النوع الأكثر شيوعًا من أورام الكبد، ويُعتقد أنه خلقي. الاضطراب الوراثي الذي يتسبب في تكوين أكياس متعددة في أنسجة الكبد، عادةً في وقت لاحق من العمر، وعادةً ما يكون بدون أعراض، هو مرض الكبد المتعدد التكيسات. ستؤدي الأمراض التي تتداخل مع وظائف الكبد إلى اختلال هذه العمليات. ومع ذلك، يتمتع الكبد بقدرة كبيرة على التجدد ولديه قدرة احتياطية كبيرة. في معظم الحالات، لا ينتج الكبد أعراضًا إلا بعد تلف واسع النطاق.
يشير مصطلح تضخم الكبد إلى تضخم في حجم الكبد وقد يكون ناتجاً عن أسباب عديدة. ويمكن جسه من خلال قياس حجم الكبد.
قد يساعد تناول الكافيين بانتظام في حماية الأشخاص من تليف الكبد.[69] بالإضافة إلى ذلك، فقد ثبت أنه يبطئ تقدم أمراض الكبد لدى المصابين بالفعل، ويقلل من خطر الإصابة بتليف الكبد، ويوفر فائدة وقائية ضد سرطان الكبد لمن يشربون القهوة باعتدال. كشفت دراسة أجريت عام 2017 أن التأثيرات الإيجابية للكافيين على الكبد كانت واضحة بغض النظر عن طريقة تحضير القهوة.[70]
الأعراض
تشمل الأعراض الكلاسيكية لتلف الكبد ما يلي:
- البراز الشاحب عندما لا يوجد الستركوبيلين، وهو صبغة بنية، في البراز. يتكون الستركوبيلين من نواتج أيض البيليروبين التي تُنتج في الكبد.
- البول الداكن عندما يختلط البيليروبين بالبول.
- يحدث اليرقان (اصفرار الجلد و/أو بياض العينين) عندما يترسب البيليروبين في الجلد، مما يسبب حكة شديدة. الحكة هي الشكوى الأكثر شيوعاً لدى الأشخاص الذين يعانون من فشل الكبد. غالباً لا يمكن تخفيف هذه الحكة بالأدوية.
- يحدث تورم البطن، وتورم الكاحلين والقدمين بسبب فشل الكبد في إنتاج الألبومين.
- يحدث التعب المفرط نتيجة لنقص عام في العناصر الغذائية والمعادن والڤيتامينات.
- الكدمات والنزيف اللين من السمات الأخرى لأمراض الكبد. ينتج الكبد عوامل التخثر، وهي مواد تساعد في منع النزيف. عندما يحدث تلف الكبد، لم تعد هذه العوامل موجودة وقد يحدث نزيف حاد.[71]
- قد ينتج الألم في الربع العلوي الأيمن من البطن نيتجة تمدد محفظة گليسون في حالات التهاب الكبد وما قبل الإرجاج.
التشخيص
تُشخص أمراض الكبد من خلال تحاليل وظائف الكبد، وهي عبارة عن مجموعات من تحاليل الدم، والتي يمكنها أن تظهر بسهولة مدى تلف الكبد. إذا كان هناك اشتباه في عدوى، سُتجرى تحاليل مصلية أخرى. لا يمكن للفحص البدني للكبد أن يكشف إلا عن حجمه وأي ألم، وقد تكون هناك حاجة أيضاً إلى بعض أشكال التصوير مثل الموجات فوق الصوتية أو التصوير المقطعي المحوسب.
في بعض الأحيان قد يكون من الضروري إجراء خزعة من الكبد، وتؤخذ أخذ عينة من الأنسجة من خلال إبرة يتم إدخالها في الجلد أسفل القفص الصدري مباشرة. يمكن المساعدة في هذا الإجراء من خلال تقديم أخصائي الموجات فوق الصوتية لإرشادات الأشعة التداخلية.[72]
-
صورة مقطعية محورية تظهر أوردة كبدية شاذة تنتشر على السطح الأمامي تحت المحفظة للكبد.[73]
-
صورة مقطعية محوسبة بإسقاط الشدة القصوى (MIP) كما تبدو من الأمام تظهر الأوردة الكبدية الشاذة التي تمتد على السطح الأمامي للكبد.
-
منظر جانبي بإسقاط الشدة القصوى لنفس المريض كما في الصورة السابقة.
-
فحص بالتصوير المقطعي المحوسب يظهر فيه الكبد والوريد البابي.
تجدد الكبد
الكبد هو العضو الداخلي الوحيد في جسم الإنسان القادر على التجديد الطبيعي للأنسجة المفقودة؛ حيث يمكن لما يصل إلى 25% من الكبد أن يتجدد إلى كبد كامل.[74] ومع ذلك، لا يعتبر هذا تجديداً حقيقياً بل هو بالأحرى نمو تعويضي في الثدييات.[75] إن الفصوص التي يتم إزالتها لا تنمو مرة أخرى، ونمو الكبد هو استعادة للوظيفة وليس الشكل الأصلي. وهذا يتناقض مع التجدد الحقيقي حيث تستعاد الوظيفة والشكل الأصليين. في بعض الأنواع الأخرى، مثل سمك الزرد، يخضع الكبد للتجدد الحقيقي من خلال استعادة كل من شكل وحجم العضو.[76] في الكبد تتكون مساحات كبيرة من الأنسجة، لكن لتكوين خلايا جديدة يجب أن تكون هناك كمية كافية من المواد حتى يصبح دوران الدم أكثر نشاطاً.[77]
يرجع هذا في المقام الأول إلى عودة الخلايا الكبدية إلى دورة الخلية. أي أن الخلايا الكبدية تنتقل من طور G0 الساكن إلى طور G1 وتخضع للانقسام الخلوي. تُنشط هذه العملية بواسطة مستقبلات p75.[78] هناك أيضاً بعض الأدلة على وجود خلايا جذعية ثنائية القدرة، تسمى الخلايا البيضاوية الكبدية أو الخلايا البيضاوية (لا ينبغي الخلط بينها وبين مرض الكريات البيضاوية)، والتي يُعتقد أنها توجد في قنوات هرنگ. يمكن لهذه الخلايا أن تتمايز إلى خلايا كبدية أو خلايا صفراوية. الخلايا الصفراوية هي الخلايا الظهارية للقنوات الصفراوية.[79] وهي خلايا ظهارية مكعبة الشكل في القنوات الصفراوية الصغيرة بين الفصيصات، لكنها تصبح عمودية وتفرز المخاط في القنوات الصفراوية الأكبر حجماً التي تقترب من بوابة الكبد والقنوات خارج الكبد. تُجرى البحوث حول استخدام الخلايا الجذعية لتخليق كبد صناعي.
غالباً ما تشير الأعمال العلمية والطبية حول تجدد الكبد إلى التيتان اليوناني پرومثيوس الذي تم تقييده إلى صخرة في القوقاز حيث كان النسر يلتهم كبده كل يوم، ثم ينمو مرة أخرى كل ليلة. تشير الأسطورة إلى أن اليونانيين القدماء ربما كانوا يعرفون عن قدرة الكبد المذهلة على إصلاح نفسه.[80]
زراعة الكبد
Human liver transplants were first performed by Thomas Starzl in the United States and Roy Calne in Cambridge, England in 1963 and 1967, respectively.
Liver transplantation is the only option for those with irreversible liver failure. Most transplants are done for chronic liver diseases leading to cirrhosis, such as chronic hepatitis C, alcoholism, and autoimmune hepatitis. Less commonly, liver transplantation is done for fulminant hepatic failure, in which liver failure occurs rapidly over a period of days or weeks.
Liver allografts for transplant usually come from donors who have died from fatal brain injury. Living donor liver transplantation is a technique in which a portion of a living person's liver is removed (hepatectomy) and used to replace the entire liver of the recipient. This was first performed in 1989 for pediatric liver transplantation. Only 20 percent of an adult's liver (Couinaud segments 2 and 3) is needed to serve as a liver allograft for an infant or small child.
More recently,[when?] adult-to-adult liver transplantation has been done using the donor's right hepatic lobe, which amounts to 60 percent of the liver. Due to the ability of the liver to regenerate, both the donor and recipient end up with normal liver function if all goes well. This procedure is more controversial, as it entails performing a much larger operation on the donor, and indeed there were at least two donor deaths out of the first several hundred cases. A 2006 publication addressed the problem of donor mortality and found at least fourteen cases.[81] The risk of postoperative complications (and death) is far greater in right-sided operations than that in left-sided operations.
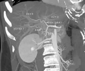
With the recent advances of noninvasive imaging, living liver donors usually have to undergo imaging examinations for liver anatomy to decide if the anatomy is feasible for donation. The evaluation is usually performed by multidetector row computed tomography (MDCT) and magnetic resonance imaging (MRI). MDCT is good in vascular anatomy and volumetry. MRI is used for biliary tree anatomy. Donors with very unusual vascular anatomy, which makes them unsuitable for donation, could be screened out to avoid unnecessary operations.
-
MDCT image. Arterial anatomy contraindicated for liver donation
-
MDCT image. Portal venous anatomy contraindicated for liver donation
-
MDCT image. 3D image created by MDCT can clearly visualize the liver, measure the liver volume, and plan the dissection plane to facilitate the liver transplantation procedure.
-
Phase contrast CT image. Contrast is perfusing the right liver but not the left due to a left portal vein thrombus.
المجتمع والثقافة
Some cultures regard the liver as the seat of the soul.[82] In Greek mythology, the gods punished Prometheus for revealing fire to humans by chaining him to a rock where a vulture (or an eagle) would peck out his liver, which would regenerate overnight (the liver is the only human internal organ that actually can regenerate itself to a significant extent). Many ancient peoples of the Near East and Mediterranean areas practiced a type of divination called haruspicy or hepatomancy, where they tried to obtain information by examining the livers of sheep and other animals.
In Plato, and in later physiology, the liver was thought to be the seat of the darkest emotions (specifically wrath, jealousy and greed) which drive men to action.[83] The Talmud (tractate Berakhot 61b) refers to the liver as the seat of anger, with the gallbladder counteracting this. The Persian, Urdu, and Hindi languages (جگر or जिगर or jigar) refer to the liver in figurative speech to indicate courage and strong feelings, or "their best"; e.g., "This Mecca has thrown to you the pieces of its liver!".[84] The term jan e jigar, literally "the strength (power) of my liver", is a term of endearment in Urdu. In Persian slang, jigar is used as an adjective for any object which is desirable, especially women. In the Zulu language, the word for liver (isibindi) is the same as the word for courage. In English the term 'lily-livered' is used to indicate cowardice from the medieval belief that the liver was the seat of courage. Spanish hígados also means "courage".[85] However the secondary meaning of Basque gibel is "indolence".[86]
In biblical Hebrew, the word for liver, כבד (Kauved, stemmed KBD or KVD, similar to Arabic الكبد), also means heavy and is used to describe the rich ("heavy" with possessions) and honor (presumably for the same reason). In the Book of Lamentations (2:11) it is used to describe the physiological responses to sadness by "my liver spilled to earth" along with the flow of tears and the overturning in bitterness of the intestines.[87] On several occasions in the book of Psalms (most notably 16:9), the word is used to describe happiness in the liver, along with the heart (which beats rapidly) and the flesh (which appears red under the skin). Further usage as the self (similar to "your honor") is widely available throughout the old testament, sometimes compared to the breathing soul (Genesis 49:6, Psalms 7:6, etc.). An honorable hat was also referred to with this word (Job 19:9, etc.) and under that definition appears many times along with פאר Pe'er - grandeur.[88]
These four meanings were used in preceding ancient Afro-Asiatic languages such as Akkadian and Ancient Egyptian preserved in classical Ethiopic Ge'ez language.[89]
الكبد كغذاء
يتناول البشر عادةً أكباد الثدييات والدواجن والأسماك كغذاء. كما تتوفر أكباد الخنازير والثيران والضأن والعجل والدجاج والأوز على نطاق واسع لدى الجزارين ومحلات السوبر ماركت. وفي اللغات الرومانسية، لا تشتق الكلمة التشريحية التي تعني "كبد" (foie بالفرنسية، و hígado بالإسپانية، إلخ) من المصطلح التشريحي اللاتيني jecur، بل من مصطلح الطهي ficatum، والذي يعني حرفياً "محشو بالتين"، في إشارة إلى أكباد الأوز التي تم تسمينها بالتين.[90] تعتبر أكباد الحيوانات غنية بالحديد وفيتامين أ وپيتامين بي12؛ ويستخدم زيت كبد سمك القد بشكل شائع كمكمل غذائي.
يمكن تناول الكبد مخبوزاً أو مسلوقاً أو مشوياً أو مقلياً أو حتى نئياً (العصبة النية أو السودة النية في المطبخ اللبناني، أو ساشيمي الكبد في المطبخ الياباني). في العديد من الأطباق، يتم دمج قطع الكبد مع قطع من اللحم أو الكلى، كما هو الحال في الأشكال المختلفة من المشاوي المختلطة في الشرق الأوسط (على سبيل المثال "موراڤ يروشالمي"). تشمل الأمثلة المعروفة باتيه الكبد، كبد الأوز، الكبد المفروم، ومعجون الكبد. كما تعد نقانق الكبد، مثل براونشڤايگر، وجبة ذات قيمة أيضاً. كما يمكن استخدام نقانق الكبد كدهن. يعد طبق السكيلپادجي من الأطعمة الشهية التقليدية في جنوب أفريقيا، وهو مصنوع من كبد لحم الضأن المفروم ملفوفًا في "النتڤيت" (دهن الأمعاء)، ومشوياً على نار مفتوحة. تقليدياً، كانت أكباد بعض الأسماك وجبة غذائية قيمة، وخاصة كبد أسماك الشفنين البحري. وكان يستخدم في تحضير الأطعمة الشهية، مثل كبد سمك القد المسلوق على الخبز المحمص في إنگلترة، وكذلك فطائر كبد الشفنين البحري وفطيرة الراعي بكبد الشفنين البحري في المطبخ الفرنسي.[91]
Giraffe liver

The Humr are one of the tribes in the Baggara ethnic group, native to southwestern Kordofan in Sudan who speak Shuwa (Chadian Arabic), make a non-alcoholic drink from the liver and bone marrow of the giraffe, which they call umm nyolokh. They claim it is intoxicating (Arabic سكران sakran), causing dreams and even waking hallucinations.[92] Anthropologist Ian Cunnison accompanied the Humr on one of their giraffe-hunting expeditions in the late 1950s, and noted that:
- It is said that a person, once he has drunk umm nyolokh, will return to giraffe again and again. Humr, being Mahdists, are strict abstainers [from alcohol] and a Humrawi is never drunk (sakran) on liquor or beer. But he uses this word to describe the effects which umm nyolokh has upon him.[93]
Cunnison's remarkable account of an apparently psychoactive mammal found its way from a somewhat obscure scientific paper into more mainstream literature through a conversation between W. James of the Institute of Social and Cultural Anthropology at the University of Oxford and specialist on the use of hallucinogens and intoxicants in society, and R. Rudgley, who discussed it in a book on psychoactive drugs for general readers.[92] He speculated that a hallucinogenic compound N,N-Dimethyltryptamine in the giraffe liver might account for the intoxicating properties claimed for umm nyolokh.[92]
Cunnison, on the other hand, writing in 1958 found it hard to believe in the literal truth of the Humr's assertion that the drink was intoxicating:
- I can only assume that there is no intoxicating substance in the drink, and that the effect it produces is simply a matter of convention, although it may be brought about subconsciously.[93]
The study of entheogens in general – including entheogens of animal origin (e.g. hallucinogenic fish and toad venom) – has, however, made considerable progress in the sixty-odd years since Cunnison's report; the idea that some intoxicating substance might reside in giraffe livers may no longer be as far-fetched as it seemed to Cunnison. However, to date, proof (or disproof) still waits on detailed analyses of the organ and the beverage made from it.[92]
سم السهام/الطلقات
كانت بعض الشعوب التنگوسية في شمال شرق آسيا يعدون في السابق نوعاً من سم السهام من أكباد الحيوانات المتعفنة، والذي استخدم لاحقاً أيضاً على الطلقات، وقد كتب عالم الأنثروبولوجيا الروسي س. م. شيروكوگوروگ ما يلي:
- في السابق كان استخدام السهام المسمومة أمراً شائعاً. على سبيل المثال، بين شعب الكومارسين، [وهي مجموعة فرعية من شعب الأورتشن]، حتى في الأوقات الأخيرة، كان يستخدم سم يتم تحضيره من الكبد المتعفن.
- [ملاحظة] لقد أكد الكومارسين ذلك. لست مؤهلاً للحكم على الظروف الكيميائية لإنتاج السم الذي لا تدمره حرارة الانفجار. ومع ذلك، فإن التنگوسيون أنفسهم يقارنون هذه الطريقة [تسميم الذخيرة] بتسميم السهام.[94]
حيوانات أخرى

يوجد الكبد في جميع الفقاريات وهو عادةً أكبر عضو داخلي. البنية الداخلية للكبد متشابهة إلى حد كبير في جميع الفقاريات، على الرغم من أن شكله يختلف بشكل كبير في الأنواع المختلفة، ويتم تحديده إلى حد كبير من خلال شكل وترتيب الأعضاء المحيطة. ومع ذلك، في معظم الأنواع، ينقسم الكبد إلى فصين أيمن وأيسر؛ تشمل الاستثناءات لهذه القاعدة العامة الثعابين، حيث يتطلب شكل الجسم شكلاً بسيطاً للكبد يشبه السيجار.[95]
في الجرابيات حديثي الولادة، يكون الكبد مسؤولاً عن إنتاج خلايا الدم.[41][44][96][43]
هناك عضو يُشار إليه أحياناً باسم الكبد مرتبطاً بالجهاز الهضمي لإحدى الحبليات البدائية المسماة السهيمات. وعلى الرغم من أنه يؤدي العديد من وظائف الكبد، إلا أنه لا يُعتبر كبداً "حقيقياً" بل هو تنادد لكبد الفقاريات.[97][98][99] ينتج الأعور الكبدي لدى السهيمات الپروتينات الخاصة بالكبد مثل الڤيتلوگنين، الأنتيثرومبين، الپلازميننوجين، الألانين أمينوترانسفيراز، والإنسولين/عامل النمو المشابه للإنسولين.[100]
انظر أيضاً
- پورفيريا
- يوهان جوسف دوملينگ (نشر هل الكبد عضو منقي؟ عام 1798)
المصادر
- ^ Nosek, Thomas M. "Section 6/6ch2/s6ch2_30". Essentials of Human Physiology. Archived from the original on 2016-03-24.
- ^ Elias, H.; Bengelsdorf, H. (1 July 1952). "The Structure of the Liver in Vertebrates". Cells Tissues Organs. 14 (4): 297–337. doi:10.1159/000140715. PMID 14943381.
- ^ Abdel-Misih, Sherif R.Z.; Bloomston, Mark (2010). "Liver Anatomy". Surgical Clinics of North America. 90 (4): 643–653. doi:10.1016/j.suc.2010.04.017. PMC 4038911. PMID 20637938.
- ^ أ ب ت "Anatomy and physiology of the liver – Canadian Cancer Society". Cancer.ca. Archived from the original on 2015-06-26. Retrieved 2015-06-26.
- ^ أ ب Tortora, Gerard J.; Derrickson, Bryan H. (2008). Principles of Anatomy and Physiology (12th ed.). John Wiley & Sons. p. 945. ISBN 978-0-470-08471-7.
- ^ Maton, Anthea; Jean Hopkins; Charles William McLaughlin; Susan Johnson; Maryanna Quon Warner; David LaHart; Jill D. Wright (1993). Human Biology and Health. Englewood Cliffs, New Jersey, USA: Prentice Hall. ISBN 978-0-13-981176-0. OCLC 32308337.
- ^ Zakim, David; Boyer, Thomas D. (2002). Hepatology: A Textbook of Liver Disease (4th ed.). ISBN 9780721690513.
- ^ Basics, Liver. "VA.gov | Veterans Affairs". www.hepatitis.va.gov (in الإنجليزية). Retrieved 2024-07-15.
- ^ "Function of the Liver". UPMC | Life Changing Medicine (in الإنجليزية). Retrieved 2024-07-15.
- ^ أ ب Liver Anatomy at eMedicine
- ^ Cotran, Ramzi S.; Kumar, Vinay; Fausto, Nelson; Nelso Fausto; Robbins, Stanley L.; Abbas, Abul K. (2005). Robbins and Cotran pathologic basis of disease (7th ed.). St. Louis, MO: Elsevier Saunders. p. 878. ISBN 978-0-7216-0187-8.
- ^ "Enlarged liver". Mayo Clinic. Archived from the original on 2017-03-21. Retrieved 2017-03-29.
- ^ Molina, D. Kimberley; DiMaio, Vincent J.M. (2012). "Normal Organ Weights in Men". The American Journal of Forensic Medicine and Pathology. 33 (4): 368–372. doi:10.1097/PAF.0b013e31823d29ad. ISSN 0195-7910. PMID 22182984. S2CID 32174574.
- ^ Molina, D. Kimberley; DiMaio, Vincent J. M. (2015). "Normal Organ Weights in Women". The American Journal of Forensic Medicine and Pathology. 36 (3): 182–187. doi:10.1097/PAF.0000000000000175. ISSN 0195-7910. PMID 26108038. S2CID 25319215.
- ^ "Anatomy of the Liver". Liver.co.uk. Archived from the original on 2015-06-27. Retrieved 2015-06-26.
- ^ Renz, John F.; Kinkhabwala, Milan (2014). "Surgical Anatomy of the Liver". In Busuttil, Ronald W.; Klintmalm, Göran B. (eds.). Transplantation of the Liver. Elsevier. pp. 23–39. ISBN 978-1-4557-5383-3.
- ^ "Cantlie's line | Radiology Reference Article". Radiopaedia.org. Archived from the original on 2015-06-27. Retrieved 2015-06-26.
- ^ Kuntz, Erwin; Kuntz, Hans-Dieter (2009). "Liver resection". Hepatology: Textbook and Atlas (3rd ed.). Springer. pp. 900–903. ISBN 978-3-540-76839-5.
- ^ أ ب Singh, Inderbir (2008). "The Liver Pancreas and Spleen". Textbook of Anatomy with Colour Atlas. Jaypee Brothers. pp. 592–606. ISBN 978-81-8061-833-8.[dead link]
- ^ أ ب McMinn, R.M.H. (2003). "Liver and Biliary Tract". Last's Anatomy: Regional and Applied. Elsevier. pp. 342–351. ISBN 978-0-7295-3752-0.
- ^ Skandalakis, Lee J.; Skandalakis, John E.; Skandalakis, Panajiotis N. (2009). "Liver". Surgical Anatomy and Technique. pp. 497–531. doi:10.1007/978-0-387-09515-8_13. ISBN 978-0-387-09515-8.
- ^ أ ب ت Dorland's illustrated medical dictionary 2012, p. 925.
- ^ Moore, K (2018). Clinically oriented anatomy (Eighth ed.). Wolters Kluwer. p. 501. ISBN 9781496347213.
- ^ Moore, K (2018). Clinically oriented anatomy (Eighth ed.). Wolters Kluwer. p. 494. ISBN 9781496347213.
- ^ "Mickey Mouse sign". Retrieved 31 July 2020.
- ^ أ ب ت Kmieć Z (2001). "Introduction — Morphology of the Liver Lobule". Cooperation of Liver Cells in Health and Disease. Advances in Anatomy Embryology and Cell Biology. Vol. 161. pp. iii–xiii, 1–151. doi:10.1007/978-3-642-56553-3_1. ISBN 978-3-540-41887-0. PMID 11729749.
- ^ Pocock, Gillian (2006). Human Physiology (Third ed.). Oxford University Press. p. 404. ISBN 978-0-19-856878-0.
- ^ أ ب Kawarada, Y; Das, BC; Taoka, H (2000). "Anatomy of the hepatic hilar area: the plate system". Journal of Hepato-Biliary-Pancreatic Surgery. 7 (6): 580–586. doi:10.1007/s005340070007. PMID 11180890.
- ^ أ ب "Couinaud classification | Radiology Reference Article". Radiopaedia.org. Archived from the original on 2015-06-26. Retrieved 2015-06-26.
- ^ "Three-dimensional Anatomy of the Couinaud Liver Segments". Archived from the original on 2009-02-09. Retrieved 2009-02-17.
- ^ Strunk, H.; Stuckmann, G.; Textor, J.; Willinek, W. (2003). "Limitations and pitfalls of Couinaud's segmentation of the liver in transaxial Imaging". European Radiology. 13 (11): 2472–2482. doi:10.1007/s00330-003-1885-9. PMID 12728331. S2CID 34879763.
- ^ أ ب "The Radiology Assistant : Anatomy of the liver segments". Radiologyassistant.nl. 2006-05-07. Archived from the original on 2015-06-26. Retrieved 2015-06-26.
- ^ "The human proteome in liver – The Human Protein Atlas". www.proteinatlas.org. Archived from the original on 2017-09-21. Retrieved 2017-09-21.
- ^ Uhlén, Mathias; Fagerberg, Linn; Hallström, Björn M.; Lindskog, Cecilia; Oksvold, Per; Mardinoglu, Adil; Sivertsson, Åsa; Kampf, Caroline; Sjöstedt, Evelina (2015-01-23). "Tissue-based map of the human proteome". Science (in الإنجليزية). 347 (6220): 1260419. doi:10.1126/science.1260419. ISSN 0036-8075. PMID 25613900. S2CID 802377.
- ^ Kampf, Caroline; Mardinoglu, Adil; Fagerberg, Linn; Hallström, Björn M.; Edlund, Karolina; Lundberg, Emma; Pontén, Fredrik; Nielsen, Jens; Uhlen, Mathias (2014-07-01). "The human liver-specific proteome defined by transcriptomics and antibody-based profiling". The FASEB Journal (in الإنجليزية). 28 (7): 2901–2914. doi:10.1096/fj.14-250555. ISSN 0892-6638. PMID 24648543. S2CID 5297255.
- ^ Gilbert SF (2000). Developmental Biology (6th ed.). Sunderland (MA): Sinauer Associates. Archived from the original on 2017-12-18. Retrieved 2017-09-04.
- ^ Lade AG, Monga SP (2011). "Beta-catenin signaling in hepatic development and progenitors: which way does the WNT blow?". Dev Dyn. 240 (3): 486–500. doi:10.1002/dvdy.22522. PMC 4444432. PMID 21337461.
- ^ Berg T, DeLanghe S, Al Alam D, Utley S, Estrada J, Wang KS (2010). "β-catenin regulates mesenchymal progenitor cell differentiation during hepatogenesis". J Surg Res. 164 (2): 276–285. doi:10.1016/j.jss.2009.10.033. PMC 2904820. PMID 20381814.
- ^ Clemente, Carmin D. (2011). Anatomy a Regional Atlas of the Human Body. Philadelphia: Lippincott Williams & Wilkins. p. 243. ISBN 978-1-58255-889-9.
- ^ Egerton, S.; Wan, A.; Murphy, K.; Collins, F.; Ahern, G.; Sugrue, I.; Busca, K.; Egan, F.; Muller, N.; Whooley, J.; McGinnity, P.; Culloty, S.; Ross, R. P.; Stanton, C. (6 March 2020). "Replacing fishmeal with plant protein in Atlantic salmon (Salmo salar) diets by supplementation with fish protein hydrolysate". Scientific Reports. 10 (1): 4194. Bibcode:2020NatSR..10.4194E. doi:10.1038/s41598-020-60325-7. PMC 7060232. PMID 32144276.
- ^ أ ب Old, J.M.; Deane, E.M. (July 2000). "Development of the immune system and immunological protection in marsupial pouch young". Developmental & Comparative Immunology. 24 (5): 445–454. doi:10.1016/S0145-305X(00)00008-2. PMID 10785270.
- ^ Old, Julie M. (May 2016). "Haematopoiesis in Marsupials". Developmental & Comparative Immunology. 58: 40–46. doi:10.1016/j.dci.2015.11.009. PMID 26592963.
- ^ أ ب Old, J.M; Selwood, L; Deane, E.M (April 2004). "A developmental investigation of the liver, bone marrow and spleen of the stripe-faced dunnart (Sminthopsis macroura)". Developmental & Comparative Immunology. 28 (4): 347–355. doi:10.1016/j.dci.2003.08.004. PMID 14698220.
- ^ أ ب Old, J. M.; Deane, E. M. (February 2003). "The lymphoid and immunohaematopoietic tissues of the embryonic brushtail possum (Trichosurus vulpecula)". Anatomy and Embryology. 206 (3): 193–197. doi:10.1007/s00429-002-0285-2. PMID 12592570.
- ^ Shneider, Benjamin L.; Sherman, Philip M. (2008). Pediatric Gastrointestinal Disease. Connecticut: PMPH-USA. p. 751. ISBN 978-1-55009-364-3.
- ^ أ ب Human Anatomy & Physiology + New Masteringa&p With Pearson Etext. Benjamin-Cummings Pub Co. 2012. p. 881. ISBN 9780321852120.
- ^ أ ب Human Anatomy & Physiology + New Masteringa&p With Pearson Etext. Benjamin-Cummings Pub Co. 2012. p. 939. ISBN 9780321852120.
- ^ Rocha Leão, M.H.M. (2003). "Glycogen". Encyclopedia of Food Sciences and Nutrition. pp. 2930–2937. doi:10.1016/B0-12-227055-X/00563-0. ISBN 978-0-12-227055-0.
- ^ Miller, L. L.; Bale, W. F. (February 1954). "Synthesis of all plasma protein fractions except gamma globulins by the liver; the use of zone electrophoresis and lysine-epsilon-C14 to define the plasma proteins synthesized by the isolated perfused liver". The Journal of Experimental Medicine. 99 (2): 125–132. doi:10.1084/jem.99.2.125. ISSN 0022-1007. PMC 2180344. PMID 13130789.
- ^ Jelkmann, Wolfgang (2001). "The role of the liver in the production of thrombopoietin compared with erythropoietin". European Journal of Gastroenterology & Hepatology. 13 (7): 791–801. doi:10.1097/00042737-200107000-00006. PMID 11474308.
- ^ Human Anatomy & Physiology + New Masteringa&p With Pearson Etext. Benjamin-Cummings Pub Co. 2012. ISBN 9780321852120.
- ^ Lautt, WW; Greenway, CV (August 1976). "Hepatic venous compliance and role of liver as a blood reservoir". American Journal of Physiology. Legacy Content. 231 (2): 292–295. doi:10.1152/ajplegacy.1976.231.2.292. PMID 961879.
- ^ "Liver". The Lecturio Medical Concept Library. 9 September 2020. Retrieved 2021-06-23.
- ^ "If a person stops consuming the vitamin, the body's stores of this vitamin usually take about 3 to 5 years to exhaust". Retrieved 2022-08-21.
- ^ Timens, Wim; Kamps, Willem A.; Rozeboom-Uiterwijk, Thea; Poppema, Sibrand (September 1990). "Haemopoiesis in human fetal and embryonic liver: Immunohistochemical determination in B5-fixed paraffin-embedded tissues". Virchows Archiv a Pathological Anatomy and Histopathology. 416 (5): 429–436. doi:10.1007/BF01605149. PMID 2107630. S2CID 10436627.
- ^ Nguyen-Lefebvre, Anh Thu; Horuzsko, Anatolij (2015). "Kupffer Cell Metabolism and Function". Journal of Enzymology and Metabolism. 1 (1). PMC 4771376. PMID 26937490.
- ^ Cirrhosis Overview Archived 2011-10-30 at the Wayback Machine National Digestive Diseases Information Clearinghouse. Retrieved 2010-01-22
- ^ Younossi, Zobair M.; Golabi, Pegah; Paik, James M.; Henry, Austin; Van Dongen, Catherine; Henry, Linda (1 April 2023). "The global epidemiology of nonalcoholic fatty liver disease (NAFLD) and nonalcoholic steatohepatitis (NASH): a systematic review". Hepatology. 77 (4): 1335–1347. doi:10.1097/HEP.0000000000000004. ISSN 1527-3350. PMC 10026948. PMID 36626630.
- ^ Hepatitis A, B, and C Center: Symptoms, Causes, Tests, Transmission, and Treatments Archived 2016-01-31 at the Wayback Machine. Webmd.com (2005-08-19). Retrieved on 2016-05-10.
- ^ Schweitzer A, Horn J, Mikolajczyk RT, Krause G, Ott JJ (2015). "Estimations of worldwide prevalence of chronic hepatitis B virus infection: a systematic review of data published between 1965 and 2013". Lancet. 386 (10003): 1546–1555. doi:10.1016/S0140-6736(15)61412-X. PMID 26231459. S2CID 41847645.
- ^ أ ب Vos, Theo; Allen, Christine; Arora, Megha; Barber, Ryan M.; Bhutta, Zulfiqar A.; Brown, Alexandria; Carter, Austin; Casey, Daniel C.; Charlson, Fiona J.; Chen, Alan Z.; Coggeshall, Megan; Cornaby, Leslie; Dandona, Lalit; Dicker, Daniel J.; Dilegge, Tina; Erskine, Holly E.; Ferrari, Alize J.; Fitzmaurice, Christina; Fleming, Tom; Forouzanfar, Mohammad H.; Fullman, Nancy; Gething, Peter W.; Goldberg, Ellen M.; Graetz, Nicholas; Haagsma, Juanita A.; Hay, Simon I.; Johnson, Catherine O.; Kassebaum, Nicholas J.; Kawashima, Toana; et al. (2016). "Global, regional, and national incidence, prevalence, and years lived with disability for 310 diseases and injuries, 1990-2015: a systematic analysis for the Global Burden of Disease Study 2015". Lancet. 388 (10053): 1545–1602. doi:10.1016/S0140-6736(16)31678-6. PMC 5055577. PMID 27733282.
- ^ "www.hepatitisc.uw.edu". Archived from the original on 2017-08-25.
- ^ "WHO | Hepatitis E". Archived from the original on 2016-03-12.
- ^ Dény, P. (2006). "Hepatitis Delta Virus Genetic Variability: From Genotypes I, II, III to Eight Major Clades?". Hepatitis Delta Virus. Current Topics in Microbiology and Immunology. Vol. 307. pp. 151–171. doi:10.1007/3-540-29802-9_8. ISBN 978-3-540-29801-4. PMID 16903225.
- ^ Rajani R, Melin T, Björnsson E, Broomé U, Sangfelt P, Danielsson A, Gustavsson A, Grip O, Svensson H, Lööf L, Wallerstedt S, Almer SH (Feb 2009). "Budd-Chiari syndrome in Sweden: epidemiology, clinical characteristics and survival – an 18-year experience". Liver International. 29 (2): 253–259. doi:10.1111/j.1478-3231.2008.01838.x. PMID 18694401. S2CID 36353033.
- ^ Hirschfield, GM; Gershwin, ME (Jan 24, 2013). "The immunobiology and pathophysiology of primary biliary cirrhosis". Annual Review of Pathology. 8: 303–330. doi:10.1146/annurev-pathol-020712-164014. PMID 23347352.
- ^ Dancygier, Henryk (2010). Clinical Hepatology Principles and Practice of. Springer. pp. 895–. ISBN 978-3-642-04509-7. Retrieved 29 June 2010.
- ^ Saxena, Romil; Theise, Neil (2004). "Canals of Hering: Recent Insights and Current Knowledge". Seminars in Liver Disease. 24 (1): 43–48. doi:10.1055/s-2004-823100. PMID 15085485. S2CID 260317971.
- ^ Muriel, Pablo; Arauz, Jonathan (2010-07-01). "Coffee and liver diseases". Fitoterapia. 81 (5): 297–305. doi:10.1016/j.fitote.2009.10.003. ISSN 0367-326X.
- ^ "Coffee and your liver FAQs". British Liver Trust. February 2024. Retrieved 23 September 2024.
- ^ Extraintestinal Complications: Liver Disease Archived 2010-11-21 at the Wayback Machine Crohn's & Colitis Foundation of America. Retrieved 2010-01-22
- ^ Ghent, Cam N (2009). "Who should be performing liver biopsies?". Canadian Journal of Gastroenterology. 23 (6): 437–438. doi:10.1155/2009/756584. PMC 2721812. PMID 19543575.
- ^ Sheporaitis, L; Freeny, PC (1998). "Hepatic and portal surface veins: A new anatomic variant revealed during abdominal CT". AJR. American Journal of Roentgenology. 171 (6): 1559–1564. doi:10.2214/ajr.171.6.9843288. PMID 9843288.
- ^ Defrances, Marie C.; Michalopoulos, George K. (2011). "Liver Regeneration and Partial Hepatectomy: Process and Prototype". Liver Regeneration. pp. 1–16. doi:10.1515/9783110250794.1. ISBN 978-3-11-025078-7.
- ^ Kumar, Vinay; Abbas, Abul K.; Fausto, Nelson (1999). Robbins and Cotran Pathologic Basis of Disease (7th ed.). p. 101. ISBN 978-0-8089-2302-2.
- ^ Chu, Jaime; Sadler, Kirsten C. (2009). "New school in liver development: Lessons from zebrafish". Hepatology. 50 (5): 1656–1663. doi:10.1002/hep.23157. PMC 3093159. PMID 19693947.
- ^ W.T. Councilman (1913). "Two". Disease and Its Causes. New York Henry Holt and Company London Williams and Norgate The University Press, Cambridge, MA.
- ^ Suzuki K, Tanaka M, Watanabe N, Saito S, Nonaka H, Miyajima A (2008). "p75 Neurotrophin receptor is a marker for precursors of stellate cells and portal fibroblasts in mouse fetal liver". Gastroenterology. 135 (1): 270–281.e3. doi:10.1053/j.gastro.2008.03.075. PMID 18515089.
- ^ Tietz PS, Larusso NF (May 2006). "Cholangiocyte biology". Current Opinion in Gastroenterology. 22 (3): 279–287. doi:10.1097/01.mog.0000218965.78558.bc. PMID 16550043. S2CID 38944986.
- ^ An argument for the ancient Greek’s knowing about liver regeneration is provided by Chen, T.S.; Chen, P.S. (1994). "The myth of Prometheus and the liver". Journal of the Royal Society of Medicine. 87 (12): 754–755. PMC 1294986. PMID 7853302. Counterarguments are provided by Tiniakos, D.G.; Kandilis, A.; Geller, S.A. (2010). "Tityus: A forgotten myth of liver regeneration". Journal of Hepatology. 53 (2): 357–361. doi:10.1016/j.jhep.2010.02.032. PMID 20472318. and by Power, C.; Rasko, J.E. (2008). "Whither prometheus' liver? Greek myth and the science of regeneration". Annals of Internal Medicine. 149 (6): 421–426. CiteSeerX 10.1.1.689.8218. doi:10.7326/0003-4819-149-6-200809160-00009. PMID 18794562. S2CID 27637081.
- ^ Bramstedt K (2006). "Living liver donor mortality: where do we stand?". Am. J. Gastroenterol. 101 (4): 755–759. doi:10.1111/j.1572-0241.2006.00421.x. PMID 16494593. S2CID 205786066.
- ^ Spence, Lewis (2010). Myths and Legends of Babylonia and Assyria. Cosimo. p. 281. ISBN 978-1-61640-464-2.
Now among people in a primitive state of culture the soul is almost invariably supposed to reside in the liver instead of in the heart or brain.
- ^ Krishna, Gopi; Hillman, James (1970). Kundalini – the evolutionary energy in man. London: Stuart & Watkins. p. 77. ISBN 978-1-57062-280-9. Archived from the original on 2016-03-05.
- ^ The Great Battle Of Badar (Yaum-E-Furqan) Archived 2014-06-30 at the Wayback Machine. Shawuniversitymosque.org (2006-07-08). Retrieved 2013-03-19.
- ^ "hígado". Diccionario de la lengua española (in الإسبانية) (23.4 ed.). ASALE-RAE. 2020. Retrieved 29 July 2021.
Ánimo, valentía. U. m. en pl.
- ^ Azkue, Resurrección María de (1905). "gibel". Diccionario vasco-español-francés ... Dictionnaire basque-espagnol-français . (in الإسبانية and الفرنسية). Bilbao, Dirección del autor. p. 345. Retrieved 29 July 2021.
(Bc, BN-s, R) cachaza, calme
- ^ כלו בדמעות עיני חמרמרו מעי נשפך לארץ כבדי על שבר בת עמי בעטף עולל ויונק ברחבות קריה "My eyes terminated with tears, my intestines overturned with bitterness, my liver spilled to the earth on the breaking of my nation's daughter when a suckling baby lies in the town squares" (Lamentations 2:11) this could be interpreted to be read as my honor spilled, or myself being spilled).
- ^ Kavod - Honor (in Hebrew, Israeli Linguist Ruvik Rosenthal's website). Rosenthal hypothesized that the term's usage to describe heaviness comes perhaps from the liver being the heaviest of all body parts in some farm animals or in humans.
- ^ See Kabadu in Akkadian, (From online dictionary at Association Assyrophile de France organization website)
- ^ "Foie". Larousse.fr. Archived from the original on 2018-06-12. Retrieved 2019-04-16.
- ^ Schwabe, Calvin W. (1979). Unmentionable Cuisine. University of Virginia Press. pp. 313–. ISBN 978-0-8139-1162-5. Archived from the original on 2015-10-26. Retrieved 2015-06-27.
- ^ أ ب ت ث Rudgley, R. (1998). The Encyclopedia of Psychoactive Substances. Abacus. pp. 20–21. ISBN 0-349-11127-8.
- ^ أ ب Cunnison, Ian (1958). "Giraffe hunting among the Humr tribe". SNR. 39: 49–60.
- ^ Shirokogoroff, S.M. (1935). Psychomental Complex of the Tungus. Kegan Paul, Trench, Trubner & Co. p. 89.
- ^ Romer, Alfred Sherwood; Parsons, Thomas S. (1977). The Vertebrate Body. Philadelphia, PA: Holt-Saunders International. pp. 354–355. ISBN 978-0-03-910284-5.
- ^ Old, J.M.; Selwood, L.; Deane, E.M. (2003). "A Histological Investigation of the Lymphoid and Immunohaematopoietic Tissues of the Adult Stripe-Faced Dunnart (Sminthopsis macroura)". Cells Tissues Organs. 173 (2): 115–121. doi:10.1159/000068946. PMID 12649589.
- ^ Yuan, Shaochun; Ruan, Jie; Huang, Shengfeng; Chen, Shangwu; Xu, Anlong (February 2015). "Amphioxus as a model for investigating evolution of the vertebrate immune system". Developmental & Comparative Immunology. 48 (2): 297–305. doi:10.1016/j.dci.2014.05.004. PMID 24877655.
- ^ Yu, Jr-Kai Sky; Lecroisey, Claire; Le Pétillon, Yann; Escriva, Hector; Lammert, Eckhard; Laudet, Vincent (2015). "Identification, evolution and expression of an insulin-like peptide in the cephalochordate Branchiostoma lanceolatum". PLOS ONE. 10 (3): e0119461. Bibcode:2015PLoSO..1019461L. doi:10.1371/journal.pone.0119461. PMC 4361685. PMID 25774519.
- ^ Escriva, Hector; Chao, Yeqing; Fan, Chunxin; Liang, Yujun; Gao, Bei; Zhang, Shicui (2012). "A novel serpin with antithrombin-like activity in Branchiostoma japonicum: Implications for the presence of a primitive coagulation system". PLOS ONE. 7 (3): e32392. Bibcode:2012PLoSO...732392C. doi:10.1371/journal.pone.0032392. PMC 3299649. PMID 22427833.
- ^ Guo, Bin; Zhang, Shicui; Wang, Shaohui; Liang, Yujun (2009). "Expression, mitogenic activity and regulation by growth hormone of growth hormone / insulin-like growth factor in Branchiostoma belcheri". Cell and Tissue Research. 338 (1): 67–77. doi:10.1007/s00441-009-0824-8. PMID 19657677. S2CID 21261162.
المراجع
- Dorland's illustrated medical dictionary (32nd ed.). Philadelphia, PA: Elsevier / Saunders. 2012. ISBN 978-1-4557-0985-4.
- Young, Barbara; O'Dowd, Geraldine; Woodford, Phillip (4 November 2013). Wheater's Functional Histology: A text and colour atlas (6th ed.). Philadelphia, PA: Elsevier. ISBN 978-0-7020-4747-3.
External links
- Liver at the Human Protein Atlas
- VIRTUAL Liver – online learning resource
- Liver enzymes
Chisholm, Hugh, ed. (1911). . دائرة المعارف البريطانية. Vol. 16 (eleventh ed.). Cambridge University Press. pp. 801–803. {{cite encyclopedia}}: Cite has empty unknown parameter:|coauthors=(help) with several diagrams.- Rizi, Farid (14 January 2022). "Beaver tail liver". Radiopaedia.org. doi:10.53347/rID-96561.
- Articles with dead external links from August 2023
- Articles containing إسپانية-language text
- CS1 الإسبانية-language sources (es)
- Articles containing فرنسية-language text
- CS1 الفرنسية-language sources (fr)
- Articles containing العبرية التوراتية-language text
- Short description is different from Wikidata
- Articles with hatnote templates targeting a nonexistent page
- Vague or ambiguous time from August 2018
- Articles containing أردو-language text
- Articles containing هندي-language text
- Articles containing زولو-language text
- Articles containing باسكية-language text
- Articles containing explicitly cited عربية-language text
- مقالات المعرفة المحتوية على معلومات من دائرة المعارف البريطانية طبعة 1911
- كبد
- أعضاء (تشريح)
