كبيبة (كلوية)

'
Gray1130.svg
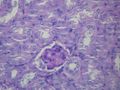
الكبيبة Glomerulus.
Gray1129.png
توزيع الأوعية الدموية في قشرة الكلى.
Details
Precursorمأرمة الكوة الجنينية التالية
Metanephric blastema
Identifiers
اللاتينيةglomerulus renis
MeSHD007678
FMA15624
المصطلحات التشريحية

الكبيبة glomerulus هي خصل شعرية تقوم بأول خطوة في ترشيح الدم لتشكـِّل البول.

وتحيط بها كبسولة باومان في نفرونات كلى الفقاريات. وتستقبل امدادها من الدم من شرين وارد من الدورة الكلوية. وعلى العكس من معظم أسرة الشعيرات الأخرى، فإن الكبيبة تصرِّف في شرين وارد بدلاً من وُريـْد. وينتج عن مقاومة الشرينات ضغط عالٍ في الكبيبة، مما يساعد في عملية الترشيح المستدق ultrafiltration، حيث تـُطرَد السوائل والمواد القابلة للذوبان من الدم إلى كبسولة باومان.

وتشكل الكبيبة وكبسولة باومان المحيطة بها جسيم كلوي renal corpuscle، وهو الوحدة الأساسية للترشيح في الكلى. ومعدل ترشح الدم عبر كل الكبيبات، وبذلك مقياس الوظيفة الكلوية العا، هو معدل الرشاحة الكبيبي (GFR).

الدوران الوارد

المعالجة المُبْكِرة للرشاحة Early Filtrate Processing، بعد تشكل الرشاحة مباشرةً، تعمل الأجزاء الدانية من النفرون على امتصاص بعض الذوائب والماء منها وإعادتها إلى الدم للمحافظة على حجمة وتكوينه، كما أنه يتم إزالة بعض المواد من الدم وطرحها في الرشاحة. وهذا ما يدعى بالمعالجة الأنبوبية للرشاحة، وأما المعالجة المبكرة : فهي القسم الذي يتناول الأحداث التي تجري في القسم الأول من المعالجة الأنبوبية، وتشمل الأنبوب الداني، وعروة هنلي.

الطبقات

إذا كان بإمكان مادة أن تنفذ عبر الخلايا البطانية، والغشاء القاعدي الكبيبي، والخلايا الرجلاء podocyte، فغنها تـُعرف بإسم رشاحة كبيبية، وتدخل لومن نبيب داني proximal tubule. وإلا، فإنه يعود بواسطة الدوران الوارد، المشروح أدناه.

مخطط لحاجز الرشح (دم-بول) في الكلى. A. الخلايا البطانية للكبيبة؛ 1. فجوة (نافذة).
B. الغشاء القاعدي الكبيبي: 1. lamina rara externa 2. lamina densa 3. lamina rara interna
C. الخلايا الرجلاء: 1. بروتين إنزيمي وبنيوي 2. فلعة الترشيح 3. حجاب

الأهداف

  1. تدارس آليات الإفراز وإعادة الامتصاص الفاعلة والمنفعلة.
  2. مناقشة الأساليب المختلفة المتبعة في معاملة الرشاحة في الأجزاء الأولى (الدانية) من النفرون.
  3. دراسة دور آلية التضاعف بواسطة التيارين المتعاكسين في خلق مدروج أسمولي في لب الكلية.

مفاهيم أساسية

  1. البنية التشريحية للنفرون
  2. تعريف النقل المنفعل : آلية لا تحتاج إلى طاقة خلوية لنقل المركبات عبر غشاء الخلية، مثل التناضح الذي يؤمن عود امتصاص الماء.
  3. تعريف النقل الفعال البدئي أو الأولي : هو النقل المقرون مباشرةً بمصدر للطاقة كحلمة الأدينوزين ثلاثي الفوسفات ATP، كمثال لهذا مضخة صوديوم ـ بوتاسيوم ATPase الموجودة في معظم أجزاء الأنبوب الكليوي.
  4. تعريف النقل الفعّال الثانوي : هو النقل المقرون بشكل غير مباشر لمصدر طاقة كذلك الناتج عن المدروج الشاردي، إعادة امتصاص الكلوكوز بواسطة الأنابيب الكلوية هو مثال النقل الفعال الثانوي، ومن أمثلتها النقل التكافلي للصوديوم/الهيدروجين، والصوديوم/غلوكوز والتي سترد فيما بعد.
  5. تعريف الأسموليرية : هي الضغط التناضحي الناتج عن فرق مدروج التركيز الكيميائي الكهربائي.

مقدمة عن تشكل البول

عندما تدخل الرشاحة الكبيبية الأنابيب الكلوية فإنها تسير بالتتابع عبر الأجزاء المتعاقبة للأنبوب ـ الأنبوب القريب، عروة هانله، الأنبوب البعيد، الأنبوب الجامع، وأخيراً القناة الجامعة ـ وذلك قبل طرحها على شكل بول على طول هذا المسار.

يعاد امتصاص بعض المواد بشكل انتقائي من الأنابيب لتعود ثانيةً إلى الدم، بينما تفرز مواد أخرى من الدم إلى لمعة الأنبوب، وهكذا وفي النهاية يتشكل البول وجميع المواد الموجودة فيه مجموع ثلاث عمليات كلوية أساسية ـ الرشح الكبي، عود الامتصاص الأنبوبي، الإفراز الأنبوبي ـ كالتالي : الطرح البولي = الرشح الكبي – عود الامتصاص الأنبوبي + الإفراز الأنبوبي.

إعادة الامتصاص

تلعب عملية عود الامتصاص بالنسبة لكثير من المواد دوراً أكثر أهمية من الإفراز في تحديد معدل الطرح النهائي للبول، لكن الإفراز يشكل نسبة هامة من شوارد البوتاسيوم والهدروجين وبضع مواد أخرى والتي تظهر في البول.

عود الامتصاص الأنبوبي هو عملية انتقائية وكبيرة كمياً، وتعتمد الكلية آليات معينة تتيح لها إعادة الامتصاص بشكل انتقائي وبمعدلات مختلفة، وتحدث إعادة امتصاص المواد في النبيبات بطريقة فاعلة أو منفعلة، وبينما تعتمد آلية إعادة الامتصاص المنفعلة على مدروج التركيز أو المدروج الكهربائي الكيميائي، فإن إلية إعادة الامتصاص الفاعلة تسمح بانتقال بالاتجاه المعاكس لمدروج التركيز، كذلك تتطلب إنفاقاً للطاقة ووجود أجهزة متخصصة بالنقل في الخلايا النبيبية.

استعادة المواد المفيدة من الرشاحة

يمكن توضيح العلاقة بين الترشيح الكبيبي وإعادة الامتصاص النبيبي من خلال تشبيهها بما يحدث عند ترتيب الأم لغرفة طفلها، وجمع محتويات الغرفة المبعثرة في صندوق، ثم عودة الطفل إلى الغرفة واستعادته للأشياء التي يعتقد أنها مفيدة له قبل رميها في القمامة.

يشبه العمل الذي قامت به الأم إلى حد ما عملية الترشيح الكبيبي التي تحدث في الكلية، في حين يشبه تصرف الطفل إعادة الامتصاص الذي يحدث في النبيب، أما ما يرمى في القمامة فهو فضلات يجب التخلص منها.

طرق إعادة الامتصاص

بعض المسميات والتوضيحات

تعبر المواد التي يُعاد امتصاصها من الرشاحة إلى الخلال حاجز الخلايا المكونة لجدار النبيب، وتسلك الطريقين التاليين :

  • الطريق عبر الخلوي Transcellular Pathway :هو طريق إعادة الامتصاص في الأنابيب البولية الذي يسمح للماء والمواد المذابة بالعبور عبر الأغشية والعصارة الخلوية ومن الجدير بالذكر وجود غشائين هما الغشاء اللمعي للخلايا، والغشاء القاعدي الجانبي وهو الجزء من الغشاء الخلوي للخلية الكلوية، والذي يكون على اتصال مع الحيز الخلالي [الذي هو المنطقة ما بين الخلايا].
  • الطريق بين الخلوي Paracellular Pathway : هو طريق إعادة الامتصاص في الأنابيب البولية الذي يسمح بمرور وانتشار الماء وبعض الأيونات بين الخلايا عن طريق المواصل المحكمة Tight Junction عوضاً عن مرورها بالأغشية الخلوية.

يمكن نقل الذوائب عبر الخلايا الظهارية أو بين الخلايا : حيث ترتبط الخلايا الظهارية الكلوية بشكل مشابه لخلايا الظهارية الأخرى مع بعضها بوصلات محكمة، تتوضع الفراغات ما بين الخلوية الجانبية خلف المواصل المحكمة وتفصل بين الخلايا الظهارية للأنابيب.

يمكن أن يعاد امتصاص الذوائب وإفرازها عبر الخلايا بواسطة الطريق عبر الخلوي بالانتقال والطريق بين الخلوي عبر المواصل(الوصلات) المحكمة والفراغات ما بين الخلوية.

ومع أن معظم المذابات التي يعاد امتصاصها تستخدم الطريق عبر الخلوي، إلا أن الماء وبعض الأيونات(الشوارد) تسلك الطريقين معاً في عبورها نحو الحيّز الخلالي، وذلك لأن المواد التي تسلك الطريق بين الخلوي تخترق المواصل المحكمة الموجودة بين الخلايا في طريقها إلى الأحياز الخلالية، وهذا بسبب كون المواصل المحكمة لخلايا النبيب المفف الداني ضعيفة الإحكام خلافاً لما توحي به تسميتها، وبذلك تسمح بوجود طريق نقل بين خلوي في هذه المنطقة من النبيب، خلافاً للمواصل المحكمة الأخرى الموجودة مثلاً بين خلايا القطعة الثخينة لعروة هنلي، والتي تكون كتيمة جداً.

ينقل الصوديوم عبر كلا الطريقين رغم أن معظمه ينقل بالطريق عبر الخلوي، وأيضاً في بعض الأجزاء النفرونية خاصة الأنبوب القريب يعاد امتصاص الماء بالطريق بين الخلوي وتحمل المواد المنحلة في الماء خاصة البوتاسيوم والمغنزيوم والكلور مع السائل لتمر بين الخلايا.

تمر المواد الممتصة بعد ذلك من الخلال عبر بطانة الشعيرات الدموية حول النبيبية بطريقة الانتشار إلى مجرى الدم.

انتشار الماء

انتشار الماء

يعد الماء أحد المواد الرئيسية التي يجب إعادة امتصاصها من الرشاحة البولية، وذلك لأهميته في الجسم البشري، وهذا ما يفسر إعادة امتصاصها بنسبة تعادل 70 – 75 % في مستوى النبيبات الملففة الدانية، وكما ذكرنا سابقاً أن الماء يسلك الطريقين الذين تتبعمها المواد في عود الامتصاص النبيبي، وبحسب المسلمة الفيزيائية والتي تقول بانتشار الماء من الأماكن التي يكون فيها تركيز جزيئاته مرتفعاً (أي من المناطق المنخفضة التركيز بالمواد الأخرى) وهي الرشاحة إلى الأماكن التي يكون فيها تركيز جزيئاته منخفضاً (أي المناطق المرتفعة التركيز بالمواد الأخرى أي أن الأسموليرية مرتفعة [وتنشأ هذه الأسموليرية المرتفعة بسبب ضخ أيونات الصوديوم من الخلايا النبيبية إلى الخلال مما يؤدي إلى هبوط تركيزها داخل الخلايا النبيبية، وهذا يساعد على انتشار الماء]) وهذه المنطقة هي خلال اللب الكلوي، ويتم هذا الانتشار عبر كل من المواصل المحكمة، وأغشية الخلايا النفوذة للماء، وأيضاً فإن انخفاض تركيز أيونات الصوديوم في الخلايا، يعمل على نشوء مدروج تركيز يؤدي إلى تحريك أيونات الصوديوم من الرشاحة إلى الخلية، تمهيداً لضخها إلى الخلال مرة أخرى عن طريق الغشاء القاعدي الجانبي.

الغشاء القاعدي الجانبي لخلايا النبيب الملفف الداني

الغشاء القاعدي الجانبي/توضيح

سنستعرض وظائف ودور الغشاء القاعدي الجانبي في عملية إعادة الامتصاص وضبط الرشاحة البولية

  • النقل الفعال Active Transport : يحوي هذا الغشاء العديد من الخلايا المتخصصة لضبط معالجة الرشاحة، وإن معظم المواد المفيدة للجسم تتم استعادتها في مستوى النبيب الملفف الداني، وأحد الآليات التي تسهم في عملية إعادة الامتصاص هي مضخة صوديوم ـ بوتاسيوم ATPase (إنزيم خلوي يرتبط إلى الـ ATP ويحوله إلى ADP وجذر فوسفات Pi محرراً طاقة عالية)، حيث تقوم بنقل شوارد الصوديوم من الخلايا إلى الخلال بصروة متزامنة مع نقل شوراد البوتاسيوم بالاتجاه المعاكس، وذلك باستهلاك طاقة تأتي من حلمة ATP إلى ADP.

وبما أن انتشار الماء يتم بسرعة كبيرة نسبياً، فإن عملية نقل الصوديوم واستمرارها هامة جداً في المحافظة على فروق التركيز والأسموليرية المرتفعة في الخلال وبالتالي استمرار عملية إعادة الامتصاص، ويلعب النقل الفعال لأيونات الصوديوم هذا الدور.

  • الانتشار Diffusion : يحوي الغشاء القاعدي الجانبي أيضاً نمطين من البروتينات هما : القنوات الغشائية الخاصة بالبوتاسيوم والتي تسمح بعودة أيونات البوتاسيوم التي أدخلتها مضخة الصوديوم/البوتاسيوم إلى الخلايا من جديد إلى الخلال، وذلك كي لا تستنزف شوارد البوتاسيوم الموجودة خارج الخلايا، وأيضاً تلافياً لتراكمها المفرط داخلها، والنمط الثاني هو بروتينات ناقلة أو حمّالة للغلوكوز، والتي تنقل جزئيات الغلوكوز عبر الغشاء القاعدي الجانبي بشكل منفعل دون استهلاك طاقة وفقاً لتركيزه.

الأغشية اللمعية لخلايا النبيب الملفف الداني

بروتينات النقل في الغشاء اللمعي للخلية الكبيبية

يحتوي العديد من البروتينات الناقلة، والتي تقوم بدور هام جداً في عملية عود الامتصاص، ونذكر منها :

  1. البروتين الذي يشكل قنوات أيونات الصوديوم (قنوات الصوديوم Sodium Channels) : يؤدي عمل مضخة صوديوم/بوتاسيوم إلى هبوط تركيز أيونات الصوديوم في العصارة الخلوية للخلايا النبيبية مما يؤدي إلى انتشار الصوديوم نحو الخلايا من الرشاحة عبر هذه القنوات الشاردية الموجودة في الغشاء اللمعي.
  2. البروتينات التي تنقل أيونات الصوديوم مع جزيئات أو أيونات أخرى، ومنها :
  • صوديوم/هدروجين : حيث تنقلهما باتجاهين متعاكسين، حيث تدخل أيونات الصوديوم إلى داخل الخلايا، والهدروجين يُفرز إلى الرشاحة، وذلك اعتماداً على مدروج التركيز المحقق بعمل مضخة صوديوم/بوتاسيوم.
  • صوديوم/غلوكوز : حيث تنقلهما باتجاه واحد، ومن الواضح أن إعادة امتصاص الغلوكوز بهذه العملية يعتمد على نقل أيونات الصوديوم وفقاً لمدروج تركيزها، ولا يظهر الغلوكوز في بول الأسوياء سوى كمية زهيدة منه في بعض الأوقات.

وكما ذكرنا في البداية، تعد هذه الطرق في النقل أمثلة عن النقل الفعال الثانوي المقرون بشكل غير مباشر إلى مصدر طاقة.

ولا بد من الإشارة أيضاً إلى أنه كثير من المذابات الأخرى يمكنها عبور الغشاء بهذه الطريقة نفسها، وأيضاً ننوه إلى مفهوم النقل الأعظمي حيث تخضع عملية إعادة امتصاص معظم المذابات لمفهوم الإشباع (العتبة الكلوية)، وهي قدرة الكلية على نقل المادة في المستوى الأعظمي عند تفعيل جميع حمالاتها الموجودة في الغشاء، وكمثال على تعذر امتصاص بعض المواد نأخذ العتبة السكرية، فعند مرضى السكري ترتفع نسبة الغلوكوز في الدم وبالتالي نسبته في الرشاحة، ونتيجة لذلك يظهر الغلوكوز الفائض ـ الذي لم يعاد امتصاصه ـ في البول وتسمى البيلة السكرية(الغلوكوزية).

إعادة الامتصاص في عروة هنلي والقسم الأول من النبيب الملفف القاصي

بروتينات النقل في النبيب الملفف القاصي من عروة هنلي

تطرأ تغيرات على البشرة في هذه المنطقة، وبشكل عام تتألف العروة من قسم رفيع (يشمل الذراع النازلة وجزء من الذراع الصاعدة) وقسم ثخين (باقي الذراع الصاعدة).

ويملك القسم الرفيع أغشية ظهارية رقيقة خلاياها مسطحة حرشفية(رصفية) بسيطة، وهذه الخلايا ذات نفوذية عالية للماء وبالتالي تسمح بانتشاره نحو الخارج استجابة للقوى الأسمولية(الضغط التناضحي) العالية للخلال اللبي.

ويعاد امتصاص حوالي 20% من الماء الراشح في عروة هنلي معظمها في هذه المنطقة، وهذا له دور كبير في لتشكيل بول مركز.

بينما تملك القطعة الثخينة من عروة هنلي ظهارة ثخينة ذات نشاط استقلابي عالي وتحوي زغيبات مجهرية قصيرة وقليلة العدد، وتكون غنية بالقنوات الأيونية وجزيئات النقل الفعّال الثانوي الأخرى.

للقطعة الثخينة القدرة على إعادة امتصاص الصوديوم والبوتاسيوم والكلور، وبكميات أقل الكالسيوم والبيكربونات والمغنزيوم.

يعاد امتصاص حوالي 25% من الصوديوم والكلور والبوتاسيوم في عروة هنلي معظمها في المنطقة الثخينة.

التضاعف بواسطة التيارين المتعاكسين

  • عند مرور الرشاحة بالذراع النازلة لعروة هنلي فإنه يعاد امتصاص الماء من الرشاحة بشكل كبيرمن جهة، وأيضاً لا يترافق هذا العود بانتشار المذابات إلى خارج النبيب، وبالنتيجة تصل الرشاحة مركزة بشوارد الكلور والصوديوم إلى الذارع الصاعدة للعروة التي تنقلهما نقلاً فعّالاً إلى الخلال اللبي دون أن يرافق ذلك تحرك مواكب للماء.
  • وبالتالي تصبح أسموليرية الخلال اللبي أعلى من أسموليرية الرشاحة، وتصبح الرشاحة مخففة أكثر وأكثر أثناء سيرها نحو القشر الكلوي.
  • نلاحظ أن فرق الأسموليرية بين الخلال والرشاحة في أي مستوى من مستويات العروة مقداره نحو 200 ميلي أسمول.
  • تكون النتيجة للفعالية السابقة مضاعفة تركيز مذابات السائل الخلالي وأسموليريته أربع مرات، من القيمة السوية 300 ميلي أسمول في القشر الكلوي إلى 1200 ميلي أسمول في اللب الكلوي.

الخلايا المجاورة للكبيبة Juxtaglomerular

The walls of the afferent arteriole contain specialized smooth muscle cells that synthesize renin. These juxtaglomerular cells play a major role in the renin-angiotensin system, which helps regulate blood volume and pressure.


صور توضيحية

آلية عمل مضخة الصوديوم/البوتاسيوم

المصادر

  • غايتون، المرجع في الفيزيولوجيا، النسخة العربية.
  • مختصر الفيزيولوجيا البشرية، ترجمة الأستاذ الدكتور حسين أبو حامد.
  • مبادئ الفيزيولوجيا الطبية، ترجم بإشراف الدكتور مفيد جوخدار.
  • مبادئ الفيزيولوجيا البشرية، تأليف الدكتور حسين أبو حامد والدكتور ابراهيم حداد، من منشورات جامعة دمشق 2008
  • Medical Physiology 6th edition
  • Human Physiology from cells to Systems 6th edition

وصلات خارجية