مرفق
| ' | |
|---|---|
![]() Left elbow-joint, showing anterior and ulnar collateral ligaments. | |
| Details | |
| المُعرفات | |
| اللاتينية | articulatio cubiti |
| MeSH | D004550 |
| TA98 | A01.1.00.023 |
| TA2 | 145 |
| FMA | 24901 |
| المصطلحات التشريحية | |

المرفق إنگليزية: Elbow هي عظمة مفصلية تربط عظمة العضد مع عظمتي الزند و الكعبرة. وتكون أماكن الالتقاء الثلاثة، ثلاثة مفاصل أصغر وتسمح هذه المفاصل الصغيرة بحركات معينة، حيث يسمح مفصلا العضد ـ الزند والعضد ـ الكعبرة للشخص بثني الساعد إلى أعلى وأسفل، بينما يسمح مفصلا الكعبرة ـ الزند والعضد ـ الكعبرة بدوران الساعد وكذلك راحة اليد أعلى وأسفل.
يحيط بمفصل الكوع كبسولة من نسيج متين. وتقوم هذه الكبسولة مع عدد من الأنسجة القوية الحبلية الشكل التي تُعرف بالأربطة بالمحافظة على العظام في أماكنها. ويعمل السائل الزيلي بمثابة مزلق لتقليل الاحتكاك عند الكوع.
يتسبب الالتواء الزائد أو العنيف للساعد في إصابة أربطة الكوع، أو السائل الزليلي. تسمى هذه الإصابة كوع التنس لأنها كثيرًا ما تحدث في لعبة التنس. وقد تحدث زحزحة للكوع إذا ما سقط شخص ما على ذراعه الممتدة.
أجزاء مشتركة
| Joint | From | To | Description |
| humeroulnar joint | trochlear notch of the ulna | trochlea of humerus | Is a simple hinge-joint, and allows of movements of flexion and extension only. |
| humeroradial joint | head of the radius | capitulum of the humerus | Is a hinge-joint joint. |
| proximal radioulnar joint | head of the radius | radial notch of the ulna | In any position of flexion or extension, the radius, carrying the hand with it, can be rotated in it. This movement includes pronation and supination. |
زاوية حمل
الإزاحة


معرض الصور
-
Medial Humerus Radius Ulna Articulated
-
Left Human Posterior Distal Humerus Extended
-
Left Human Posterior Distal Humerus Flexed
-
Left elbow-joint, showing posterior and radial collateral ligaments.
-
Capsule of elbow-joint (distended). Anterior aspect.
-
Capsule of elbow-joint (distended). Posterior aspect.
-
The Supinator. Posterior view.
-
Diagram of the anastomosis around the elbow-joint.
-
Back of right upper extremity.
-
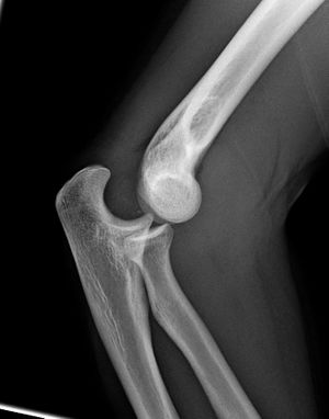
Close-up radiograph, right elbow-joint
-
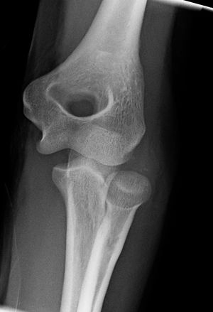
Left male elbow
-
Pathological fusion of three bones at elbow.
-
Elbow
المصادر
'هذه المقالة تَعتمد على مَواد وَمعلومات ذات ملكية عامة، من للطبعة العِشرين لكتاب تشريح گرايز لعام 1918. .
الرأس: جمجمة - جبهة – عين – أذن – أنف – فم – لسان – أسنان – فك – فك سفلي – وجه – خد – ذقن

الرقبة: حلق - حنجرة – تفاحة آدم
جذع: كتف – عمود فقري – ثدي – حلمة – صدر – قفص صدري – بطن – سرة
أطراف: ذراع – مرفق – ساعد – رسغ – يد – اصبع (إبهام - سبابة - وسطى - بنصر - خنصر) – رجل – حـِجر Lap – فخذ – ركبة – رَبـْلة الساق Calf muscle – كعب – كاحل – قدم – اصبع قدم (إبهام القدم Hallux)

