مسحة عنق الرحم
مسحة عنق الرحم | |
---|---|
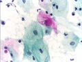
![]() آفة حرشفية عالية الدرجة داخل الظهارة. | |
التخصص | طب النساء |
ICD-9-CM | 795.00 |
MeSH | D014626 |
MedlinePlus | 003911 |
مسحة عنق الرحم (Pap smear، لطاخة پاپانيكولاو (إنگليزية: Papanicolaou test أو لطاخة عنق الرحم (إنگليزية: Pap test)، اختصاراً (AE)،[1] مسحة عنق الرحم (BE), فحص عنق الرحم (BE),[2] هي طريقة لفحص عنق الرحم تستخدم للكشف عن العمليات السرطانية التي يحتمل أن تكون سرطانية في عنق الرحم (فتحة الرحم أو الرحم) أو القولون (في كل من الرجال والنساء). غالبًا ما تتبع النتائج الغير طبيعية إجراءات تشخيصية أكثر حساسية ، وإذا لزم الأمر ، تدخلات تهدف إلى منع التقدم إلى سرطان عنق الرحم. اخترع جورجيوس بابانيكولاو وأوريل بابيتش الاختبار بشكل مستقل في عشرينيات القرن الماضي وسمي باسم بابانيكولاو. تم تقديم نسخة مبسطة من الاختبار بواسطة آنا ماريون هيليارد في عام 1957
.
يتم إجراء مسحة عنق الرحم عن طريق فتح القناة المهبلية بمنظار وجمع الخلايا عند الفتحة الخارجية لعنق الرحم في منطقة التحول (حيث تلتقي خلايا عنق الرحم الحرشفية الخارجية بخلايا غدية داخلية لعنق الرحم ) ، باستخدام ملعقة Ayre . يتم استخدام طريقة مماثلة لجمع الخلايا في فتحة الشرج لكل من النساء والرجال.[3] يتم فحص الخلايا التي تم جمعها تحت المجهر للبحث عن التشوهات. يهدف الاختبار إلى الكشف عن التغيرات التي قد تكون سرطانية (تسمى أورام عنق الرحم داخل الظهارة (CIN) أو خلل تنسج عنق الرحم ؛ كما يستخدم نظام الآفة الحرشفية داخل الظهارة (SIL) لوصف التشوهات) التي يسببها فيروس الورم الحليمي البشري ، وهو فيروس دي أن إيه ينتقل عن طريق الاتصال الجنسي. يظل الاختبار طريقة فعالة ومستخدمة على نطاق واسع للكشف المبكر عن السرطان المحتمل وسرطان عنق الرحم. في حين أن الاختبار قد يكتشف أيضًا العدوى والتشوهات في باطن عنق الرحم وبطانة الرحم ، إلا أنه غير مصمم للقيام بذلك..
في الولايات المتحدة ، يوصى بإجراء فحص مسحة عنق الرحم بدءًا من سن 21 عامًا حتى سن 65 عامًا.[4] ومع ذلك ، لا توصي دول أخرى بإجراء اختبار مسحة عنق الرحم للإناث غير الناشطات جنسيًا.[5] تختلف الإرشادات الخاصة بالتكرار من ثلاث إلى خمس سنوات.[4][6][7] إذا كانت النتائج غير طبيعية ، واعتمادًا على طبيعة الخلل ، فقد يلزم إعادة الاختبار في غضون ستة إلى اثني عشر شهرًا.[8] إذا كانت الحالة غير الطبيعية تتطلب فحصًا دقيقًا ، فقد تتم إحالة المريضة إلى فحص مفصل لعنق الرحم عن طريق التنظير المهبلي . يمكن أيضًا إحالة الشخص لإجراء اختبار الحمض النووي لفيروس الورم الحليمي البشري ، والذي يمكن أن يكون بمثابة مساعد لاختبار باب. تتطور المؤشرات الحيوية الإضافية التي يمكن تطبيقها كاختبارات ثانوية مع اختبار عنق الرحم.[9]
الاستخدامات الطبية
ملخص أسباب الفحص | ||
---|---|---|
صفة المريض | المؤشر | الأساس المنطقي |
لم يكن لديه اتصال جنسي | لا يوجد اختبار | ينتقل فيروس الورم الحليمي البشري عادةً عن طريق الاتصال الجنسي[10] |
تحت سن 21 ، بغض النظر عن التاريخ الجنسي | لا يوجد اختبار | أكثر ضررًا من الفوائد[11][12] |
سن 20-25 حتى سن 50-60 | اختبار كل 3-5 سنوات إذا كانت النتائج طبيعية | توصية عامة[10][13] |
فوق سن 65 تاريخ الاختبارات العادية | لا مزيد من الاختبارات | توصية من فرقة الخدمات الوقائية الأمريكية و الكلية الأمريكية لأطباء الأمراض النسائية والتوليد و جمعية السرطان الأمريكية و الجمعية الأمريكية لعلم الأمراض السريرية ؛;[6][10][14][15] |
كان لديها استئصال كامل للرحم لمرض غير سرطاني - استئصال عنق الرحم | لا مزيد من الاختبارات | أضرار الفحص بعد استئصال الرحم تفوق الفوائد[11][12] |
كان لديها استئصال جزئي للرحم - عنق الرحم مازال موجود | استمر في الاختبار كالمعتاد | |
تلقت لقاح فيروس الورم الحليمي البشري | استمر في الاختبار كالمعتاد | لا يغطي اللقاح جميع أنواع فيروس الورم الحليمي البشري المسببة للسرطان[13] |
تاريخ سرطان بطانة الرحم | وقف الاختبار الروتيني[16] | لم يعد الاختبار فعالاً ومن المحتمل أن يعطي نتائج إيجابية كاذبة[16] |
تختلف إرشادات الفحص من بلد إلى آخر. بشكل عام ، يبدأ الفحص في حوالي سن 20 أو 25 ويستمر حتى سن 50 أو 60 عامًا تقريبًا.[14] يوصى بالفحص عادة كل ثلاث إلى خمس سنوات ، طالما أن النتائج طبيعية.[10][13]
يجب أن تنتظر النساء بضع سنوات بعد الجماع لأول مرة قبل أن يبدأن الفحص ، ولا يجب أن يخضعن للفحص قبل سن 21. توصي الكلية الأمريكية لأطباء التوليد وأمراض النساء (ACOG) وآخرون ببدء الفحص في سن 21 (نظرًا لأن ذلك بعد بضع سنوات من الظهور الجنسي لأول مرة بالنسبة لمعظم النساء الأمريكيات)).[6][17] تنتظر العديد من البلدان الأخرى حتى سن 25 عامًا أو أكثر لبدء الفحص. على سبيل المثال ، تبدأ بعض أجزاء بريطانيا العظمى في الفحص في سن 25 عامًا. التوصية العامة لـ ACOG هي أن الأشخاص ذوي الأعضاء التناسلية الأنثوية الذين تتراوح أعمارهم بين 30 و 65 عامًا يخضعون للفحص الجيد للمرأة ، وأن لا يحصلوا على اختبارات عنق الرحم السنوية ، وأن يخضعوا لفحوصات مسحة عنق الرحم كل ثلاث سنوات.[18]
ينتقل فيروس الورم الحليمي البشري من خلال ملامسة الجلد للجلد ؛ لا يجب أن يحدث الجنس ، على الرغم من أنه طريقة شائعة لانتشاره.[19] يستغرق الجهاز المناعي للفرد للسيطرة على العدوى الأولية في المتوسط عام ، ولكن قد يستغرق ما يصل إلى أربع سنوات . قد يُظهر الفحص خلال هذه الفترة رد الفعل المناعي والإصلاح على أنه تشوهات خفيفة ، والتي لا ترتبط عادةً بسرطان عنق الرحم ، ولكنها قد تسبب إجهاد المريض وتؤدي إلى مزيد من الاختبارات والعلاج المحتمل. عادةً ما يستغرق سرطان عنق الرحم وقتًا للتطور ، لذا فإن تأخير بدء الفحص لعدة سنوات لا يشكل خطرًا كبيرًا لتفويت آفة محتملة التسرطن. على سبيل المثال ، لا يؤدي فحص الأشخاص الذين تقل أعمارهم عن 25 عامًا إلى تقليل معدلات الإصابة بالسرطان تحت سن 30.[20]
هناك فائدة قليلة أو معدومة لفحص الأشخاص الذين لم يسبق لهم الاتصال الجنسي. على سبيل المثال ، فرقة الخدمات الوقائية الأمريكية (USPSTF) بالانتظار لمدة ثلاث سنوات على الأقل بعد ممارسة الجنس لأول مرة.[10] يمكن أن ينتقل فيروس الورم الحليمي البشري عن طريق الجنس بين الإناث ، لذلك يجب فحص أولئك الذين مارسوا الجنس فقط مع إناث أخريات ، على الرغم من أنهم أقل عرضة للإصابة بسرطان عنق الرحم إلى حد ما.[21]
تختلف الإرشادات بشأن تكرار الفحص - عادة كل ثلاث إلى خمس سنوات لأولئك الذين لم يسبق لهم إجراء مسحات غير طبيعية.[10][13] اقترحت بعض التوصيات القديمة إجراء الفحص بشكل متكرر كل عام إلى عامين ، ولكن هناك القليل من الأدلة لدعم مثل هذا الفحص المتكرر ؛ الفحص السنوي له فائدة قليلة ولكنه يؤدي إلى زيادة كبيرة في التكلفة والعديد من الإجراءات والعلاجات غير الضرورية.[6] تم الاعتراف منذ ما قبل عام 1980 بأنه يمكن فحص معظم الأشخاص بمعدل أقل .[22] في بعض الإرشادات ، تعتمد عدد المرات على العمر ؛ على سبيل المثال في بريطانيا العظمى ، يوصى بالفحص كل ثلاث سنوات للنساء دون سن الخمسين ، وكل خمس سنوات لمن هم أكبر من ذلك.
يجب أن يتوقف الفحص عند حوالي 65 عامًا ما لم تكن هناك نتيجة اختبار غير طبيعية أو مرض حديث. ربما لا توجد فائدة في فحص الأشخاص الذين تبلغ أعمارهم 60 عامًا أو أكثر والذين كانت اختباراتهم السابقة سلبية.[15] إذا كانت نتائج مسحة عنق الرحم الثلاثة الأخيرة للمرأة طبيعية ، فيمكنها التوقف عن الاختبار في سن 65 ، وفقًا لفرقة الخدمات الوقائية الأمريكية و الكلية الأمريكية لأطباء الأمراض النسائية والتوليد و جمعية السرطان الأمريكية و الجمعية الأمريكية لعلم الأمراض السريرية ;[6][10] تخبر خدمة الصحة الوطنية في إنجلترا ذوي سن 64. ليست هناك حاجة لمواصلة الفحص بعد استئصال الرحم الكامل لمرض حميد.
لا يزال يوصى بفحص مسحة عنق الرحم لأولئك الذين تم تطعيمهم ضد فيروس الورم الحليمي البشري[13] لأن اللقاحات لا تغطي جميع أنواع فيروس الورم الحليمي البشري التي يمكن أن تسبب سرطان عنق الرحم. كما أن اللقاح لا يقي من التعرض لفيروس الورم الحليمي البشري قبل التطعيم.[بحاجة لمصدر]
يجب على أولئك الذين لديهم تاريخ من الإصابة بسرطان بطانة الرحم التوقف عن إجراء اختبارات عنق الرحم الروتينية بعد استئصال الرحم..[16][23] من غير المحتمل أن تكشف الاختبارات الإضافية عن تكرار الإصابة بالسرطان ، ولكنها تجلب خطر إعطاء نتائج إيجابية خاطئة ، مما قد يؤدي إلى مزيد من الاختبارات غير الضرورية.[16]
قد تكون هناك حاجة لمزيد من مسحات عنق الرحم للمتابعة بعد مسحة عنق الرحم الغير طبيعية ، أو بعد العلاج لنتائج غير طبيعية لسرطان عنق الرحم أو الخزعة ، أو بعد علاج السرطان.
الفعالية
يمكن أن يقلل اختبار عنق الرحم ، عندما يقترن ببرنامج منتظم للفحص والمتابعة المناسبة ، من وفيات سرطان عنق الرحم بنسبة تصل إلى 80٪.[13]
يمكن أن يحدث فشل الوقاية من السرطان عن طريق اختبار عنق الرحم لأسباب عديدة ، بما في ذلك عدم الحصول على الفحص المنتظم ، وعدم وجود متابعة مناسبة للنتائج الغير طبيعية ، وأخطاء أخذ العينات والتفسير..[24] في الولايات المتحدة ، أكثر من نصف السرطانات الغزوية تحدث في الإناث اللواتي لم يسبق لهن إجراء مسحة عنق الرحم. تحدث نسبة 10 إلى 20٪ إضافية من السرطانات لدى أولئك الذين لم يخضعوا لمسحة عنق الرحم في السنوات الخمس السابقة. كان حوالي ربع حالات سرطان عنق الرحم في الولايات المتحدة في الأشخاص الذين خضعوا لمسحة عنق الرحم الغير طبيعية ولكن لم يحصلوا على المتابعة المناسبة (لم تعد المريضة لتلقي الرعاية ، أو لم يقم الطبيب بإجراء الاختبارات أو العلاج الموصى به).).[بحاجة لمصدر]
لم يتم إثبات سرطان غدي في عنق الرحم عن طريق اختبارات عنق الرحم.[24] في المملكة المتحدة ، التي لديها برنامج فحص مسحة عنق الرحم ، يمثل السرطان الغدي حوالي 15٪ من جميع سرطانات عنق الرحم .[25]
تختلف تقديرات فعالية نظام الاتصال والاستدعاء في المملكة المتحدة على نطاق واسع ، ولكنها قد تمنع حوالي 700 حالة وفاة سنويًا في المملكة المتحدة..[26]
النتائج
عند فحص مجموعة عامة أو منخفضة الخطورة ، تكون معظم نتائج مسحة عنق الرحم طبيعية.
في الولايات المتحدة ، يتم العثور على حوالي 2-3 مليون نتيجة غير طبيعية لمسحة عنق الرحم كل عام.[27] معظم النتائج الغير طبيعية تكون غير طبيعية بدرجة خفيفة ( ASC-US (عادة 2-5٪ من نتائج مسحة عنق الرحم) أو آفة حرشفية منخفضة درجة الخطورة داخل الظهارة ( LSIL ) (حوالي 2٪ من النتائج)) ، مما يشير إلى الإصابة بفيروس الورم الحليمي البشري.[بحاجة لمصدر] علي الرغم من أن معظم خلل التنسج العنقي منخفض درجة الخطورة يتقهقر تلقائيًا دون أن يؤدي أبدًا إلى الإصابة بسرطان عنق الرحم ، إلا أن خلل التنسج يمكن أن يكون بمثابة مؤشر على الحاجة إلى زيادة اليقظة.
في سيناريو نموذجي ، حوالي 0.5٪ من نتائج مسحة عنق الرحم هي SIL عالي درجة الخطورة ( HSIL ) ، وأقل من 0.5٪ من النتائج تشير إلى السرطان ؛ تشير 0.2 إلى 0.8٪ من النتائج إلى وجود خلايا غدية غير نمطية ذات أهمية غير محددة (AGC-NOS)).[بحاجة لمصدر]
نظرًا لأن المستحضرات ذات الأساس السائل (LBPs) أصبحت وسط شائع للاختبار ، فقد زادت معدلات النتائج غير النمطية. كان المعدل الوسطي لجميع المستحضرات ذات الآفات الحرشفية منخفضة الدرجة(منخفضة درجة الخطورة) داخل الظهارة باستخدام LBPs 2.9٪ مقارنة بمعدل متوسط عام 2003 قدره 2.1٪. تغيرت معدلات الآفات الحرشفية عالية الدرجة داخل الظهارة (المتوسط 0.5٪) والخلايا الحرشفية غير النمطية قليلاً..[28]
يتم الإبلاغ عن نتائج غير طبيعية وفقًا لنظام بيثيسدا.[29] يشملوا: :[بحاجة لمصدر]
- تشوهات الخلايا الحرشفية (SIL)
- الخلايا الحرشفية غير النمطية ذات الأهمية غير المحددة (ASC-US)
- الخلايا الحرشفية اللانمطية - لا يمكن استبعاد HSIL (ASC-H)
- آفة حرشفية منخفضة الدرجة داخل الظهارة (LGSIL أو LSIL)
- آفة حرشفية عالية الدرجة داخل الظهارة (HGSIL أو HSIL)
- سرطان الخلية الحرشفية
- تشوهات الخلايا الظهارية الغدية
- الخلايا الغدية اللانمطية غير المحددة (AGC أو AGC-NOS)
يمكن أيضًا الكشف عن تشوهات باطن عنق الرحم وبطانة الرحم ، وكذلك عدد من العمليات المعدية ، بما في ذلك الخميرة وفيروس الهربس البسيط وداء المشعرات . ومع ذلك ، فهي ليست حساسة للغاية في الكشف عن هذه العدوى ، لذا فإن عدم الكشف عن مسحة عنق الرحم لا يعني عدم وجود العدوى.
صورة مجهرية لمسحة عنق الرحم عادية
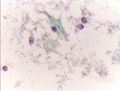
صورة مجهرية لاختبار عنق الرحم تُظهر آفة داخل الظهارة منخفضة الدرجة (LSIL) ومخاطية باطن عنق الرحم الحميد. صبغة عنق الرحم .
صورة مجهرية لاختبار عنق الرحم تظهر داء المشعرات . كائن المشعرات يظهر في أعلى اليمين. صبغة عنق الرحم .
لاختبار عنق الرحم تظهر التغيرات في فيروس الهربس البسيط . صبغة عنق الرحم .
سرطان غدي في باطن عنق الرحم في اختبار عنق الرحم.
كائنات المبيضات في اختبار عنق الرحم.
تأثير الاعتلال الخلوي الفيروسي المتسق مع فيروس الهربس البسيط في اختبار عنق الرحم.
الخلايا الظهارية الحرشفية الطبيعية في النساء قبل انقطاع الطمث
الخلايا الحرشفية الضامرة في النساء بعد سن اليأس
يجب أن تكون خلايا باطن عنق الرحم الطبيعية موجودة في الشريحة ، كدليل على أخذ عينات ذات نوعية جيدة
سيتوبلازم الخلايا الظهارية الحرشفية ذائب. يمكن رؤية العديد من عصيات Döderlein.
الإصابة بالمشعرة المهبلية
الحمل
يمكن إجراء اختبارات عنق الرحم عادةً أثناء الحمل حتى 24 أسبوعًا على الأقل من عمر الحمل.[30] لم ترتبط اختبارات عنق الرحم أثناء الحمل مع زيادة خطر الإجهاض.[30] يظهر عنصر التهابي بشكل شائع في مسحات عنق الرحم من النساء الحوامل [31]ولا يبدو أنه يمثل خطرًا للولادة المبكرة اللاحقة..[32]
بعد الولادة ، يُنصح بالانتظار لمدة 12 أسبوعًا قبل إجراء اختبار عنق الرحم لأن التهاب عنق الرحم الناجم عن الولادة يتعارض مع تفسير الاختبار.[33]
الإجراء

النوع 1: ظاهر عنق الرحم بالكامل.
النوع 2: مكون باطن عنق الرحم ولكنه مرئي بالكامل
النوع 3: مكون باطن عنق الرحم ، غير مرئي بالكامل..
للحصول على أفضل النتائج ، لا ينبغي إجراء اختبار عنق الرحم عندما تكون المرأة في فترة الحيض ، ويرجع ذلك جزئيًا إلى أن الخلايا الإضافية يمكن أن تحجب خلايا عنق الرحم وجزئيًا لأن هذا الجزء من الدورة الشهرية يحدث عندما تكون الأعضاء الأنثوية أكثر التهابًا.[35] ومع ذلك ، يمكن إجراء مسحة عنق الرحم أثناء فترة الحيض للمرأة ، خاصة إذا كان الطبيب يستخدم اختبارًا معتمد علي وسط سائلًا ؛ إذا كان النزيف غزيرًا للغاية ، يمكن لخلايا بطانة الرحم أن تحجب خلايا عنق الرحم ، وبالتالي لا ينصح بإجراء مسحة عنق الرحم إذا كان النزيف مفرطًا.[بحاجة لمصدر]
لا ينبغي أن يسبب الحصول على مسحة عنق الرحم الكثير من الألم,[36] ولكن يمكن أن يحدث ذلك إذا كانت المرأة تعاني من مشاكل مهبلية معينة لم تعالج مثل تضيق عنق الرحم أو التشنج المهبلي ، أو إذا كان الشخص الذي يقوم بإجراء المسحة قاسيًا جدًا أو يستخدم منظارًا خاطئًا..[بحاجة لمصدر]
ومع ذلك ، فهي غير مريحة لسببين: عنق الرحم مليء بمستقبلات الألم (أعصاب الألم)),[37] والفرشاة المستخدمة لجمع الخلايا يجب أن تكون ًصلبة بما يكفي لكشطها من الأنسجة المحيطة. لذلك قد يكون الأمر غير مريح ، ولكنه سريع بشكل عام ، وقد تكون المعلومات التي يتم الحصول عليها حاسمة
يجب على الأشخاص الذين يعانون من آلام أو أمراض الأنسجة التي يمكن أن تتفاعل مع كشط مستقبلات الألم أو البرودة المفرطة في الأغشية المخاطية اتخاذ الاحتياطات المناسبة ومناقشة العملية مسبقًا مع مقدمي خدماتهم ، كتابةً إذا لزم الأمر. يمكن أن يساهم المنظار الأصغر ، وهلام الليدوكائين ، وتسخين الأدوات والمُزَلِّق مسبقًا ، جنبًا إلى جنب مع الوقت الإضافي في غرفة الفحص والطريقة اللينة ، في تقليل المخاطر على المستويات التي يمكن التحكم فيها. هذه هي التجهيزات المعقولة التي يجب طلبها وتتوافق مع الممارسات الجيدة.
يعاني الكثير من الناس من بقع دم أو إسهال خفيف بعد ذلك. عادة ما يكون التبقع من خدش عنق الرحم ، وقد يكون الإسهال بسبب التحفيز غير المباشر للأمعاء السفلية أثناء الفحص. .[بحاجة لمصدر]
يوجد لدى العديد من مقدمي الرعاية الصحية انطباع خاطئ بأنه يجب استخدام الماء المعقم فقط ، أو عدم استخدام مواد التزليق على الإطلاق ، لتزليق المنظار. قد يؤدي هذا إلى إزعاج لا داعي له. أظهرت عدد من الدراسات أن استخدام كمية صغيرة من هلام التزليق المائي لا يتداخل مع مسحة عنق الرحم أو يحجبها أو يشوهها. علاوة على ذلك ، لا يتأثر علم الخلايا ، ولا بعض اختبارات الأمراض المنقولة بالاتصال الجنسي.[38]
يبدأ عامل الرعاية الصحية بإدخال منظار في مهبل المرأة ، مما يؤدي إلى فتح المهبل ويسمح بالوصول إلى عنق الرحم . يقوم مقدم الرعاية الصحية بعد ذلك بجمع عينة من الخلايا من الفتحة الخارجية أو فتحة عنق الرحم عن طريق كشطها بملعقة Aylesbury. يتم تدوير فرشاة باطن عنق الرحم في الفتحة المركزية لعنق الرحم. توضع الخلايا على شريحة زجاجية وتُنقل إلى المختبر لفحصها بحثًا عن أي تغيرات غير طبيعية.[بحاجة لمصدر]
تستخدم السمرة المكسوة بالبلاستيك أحيانًا بدلاً من الملعقة والفرشاة. السمرة ليست أداة تجميع جيدة ، لأنها أقل فاعلية في جمع مادة باطن عنق الرحم من الملعقة والفرشاة.[39] يتم استخدام السمرة بشكل متكرر مع ظهور السيتولوجيا السائلة ، على الرغم من أنه يمكن استخدام أي نوع من أجهزة الجمع مع أي نوع من السيتولوجيا..
يتم تلوين العينة باستخدام تقنية بابانيكولاو ، حيث يتم الاحتفاظ بالأصباغ والأحماض بشكل انتقائي بواسطة الخلايا. لا يمكن رؤية الخلايا غير المصبوغة بالمجهر الضوئي. اختار بابانيكولاو البقع التي سلطت الضوء على التقرن السيتوبلازمي ، والذي لا علاقة له في الواقع بالسمات النووية المستخدمة في التشخيص الآن.
في بعض الحالات ، قد يقوم نظام الكمبيوتر بفحص الشرائح مسبقًا ، للإشارة إلى الشرائح التي لا تحتاج إلى فحص من قبل شخص أو إبراز المناطق للحصول على اهتمام خاص. يتم بعد ذلك فحص العينة عادةً بواسطة أخصائي تقني خلوي مدرب ومؤهل خصيصًا باستخدام مجهر ضوئي . تختلف المصطلحات الخاصة بمن يفحص العينة حسب الدولة. في المملكة المتحدة ، يُعرف الموظفون باسم أجهزة فحص الخلايا وعلماء الطب الحيوي (BMS) والممارسين المتقدمين وعلماء الأمراض . يتحمل الاثنان الأخيران مسؤولية الإبلاغ عن العينة غير الطبيعية ، والتي قد تتطلب مزيدًا من التحقيق.
التحليل المؤتمت
في العقد الماضي ، كانت هناك محاولات ناجحة لتطوير أنظمة تحليل صور حاسوبية آلية للفحص.[40] على الرغم من أنه بناءً على الأدلة المتاحة لا يمكن التوصية بفحص عنق الرحم الآلي للتنفيذ في برنامج فحص وطني ، خلص تقييم حديث لتكنولوجيا الخدمة الصحية الوطنية إلى أن `` الحالة العامة لتحليل الصور الآلي ربما تم إجراؤها ''..[41] قد تؤدي الأتمتة إلى تحسين الحساسية وتقليل العينات غير المرضية.[42] تمت الموافقة على نظامين من قبل إدارة الغذاء والدواء الأمريكية ويعملان في مختبرات مرجعية كبيرة الحجم ، تحت إشراف الإنسان.[بحاجة لمصدر]
أنواع التَحَرٍّ
- مسحة عنق الرحم التقليدية - في مسحة عنق الرحم التقليدية ، يتم تلطيخ العينات مباشرة على شريحة مجهرية بعد جمعها.
- علم الخلايا السائل - يتم أخذ عينة من الخلايا (الظهارية) من المنطقة الانتقالية ، التقاطع الحرشفي العمودي لعنق الرحم ، بين عنق الرحم الخارجي وباطن عنق الرحم. غالبًا ما يستخدم علم الخلايا السائل باستخدام فرشاة على شكل سهم بدلاً من الملعقة التقليدية.[43] يتم تعليق الخلايا المأخوذة في زجاجة من مادة حافظة لنقلها إلى المختبر ، حيث يتم تحليلها باستخدام لطخات عنق الرحم.
عادةً ما تبحث اختبارات عنق الرحم عن تشوهات في الظهارة / حؤول / خلل التنسج / تغيرات حدودية ، وكلها قد تشير إلى CIN. النوى سوف تلطخ باللون الأزرق الداكن ، والخلايا الحرشفية سوف تلطخ باللون الأخضر والخلايا الكيراتينية سوف تلطخ باللون الوردي / البرتقالي. يمكن ملاحظة الخلايا الكويلية حيث يوجد بعض خلل التنسج (في الظهارة). عادة ما تكون نواة الخلايا الكويلية غير منتظمة ، مما يشير إلى سبب محتمل للقلق ؛ تتطلب المزيد من التَحَرٍّ والاختبارات التأكيدية.[بحاجة لمصدر]
بالإضافة إلى ذلك ، يمكن إجراء اختبار فيروس الورم الحليمي البشري (HPV) إما كما هو موضح لنتائج مسحة عنق الرحم غير الطبيعية ، أو في بعض الحالات ، يتم إجراء اختبار مزدوج ، حيث يتم إجراء اختبار عنق الرحم واختبار فيروس الورم الحليمي البشري في نفس الوقت (يسمى أيضًا Pap co -اختبارات)).[بحاجة لمصدر]
الجوانب العملية
قد يتم أخذ عينات من باطن عنق الرحم جزئيًا باستخدام الجهاز المستخدم للحصول على عينة من عنق الرحم ، ولكن نظرًا لتشريح هذه المنطقة ، لا يمكن ضمان أخذ عينات متسقة وموثوق بها. نظرًا لأنه قد يتم أخذ عينات من خلايا باطن عنق الرحم غير الطبيعية ، يتم تعليم أولئك الذين يفحصونها للتعرف عليها.
لا يتم أخذ عينات من بطانة الرحم مباشرة مع الجهاز المستخدم لأخذ عينة من عنق الرحم. قد تتقشر الخلايا على عنق الرحم ويتم جمعها من هناك ، كما هو الحال مع خلايا باطن عنق الرحم ، يمكن التعرف على الخلايا غير الطبيعية إذا كانت موجودة ولكن لا ينبغي استخدام اختبار مسحة عنق الرحم كأداة فحص للأورام الخبيثة في بطانة الرحم.
في الولايات المتحدة ، يكلف اختبار مسحة عنق الرحم بحد ذاته 20 دولارًا إلى 30 دولارًا ، لكن تكاليف زيارات اختبار مسحة عنق الرحم يمكن أن تكلف أكثر من 1000 دولار ، ويرجع ذلك إلى حد كبير إلى إضافة اختبارات إضافية قد تكون أو لا تكون ضرورية.[44]
التاريخ
اخترع الاختبار وأطلق عليه اسم الطبيب اليوناني جورجيوس بابانيكولاو ، الذي بدأ بحثه في عام 1923. قام أوريل بابيتش من رومانيا بشكل مستقل باكتشافات مماثلة في عام1972 [45] ومع ذلك ، كانت طريقة Babeș مختلفة جذريًا عن طريقة بابانيكولاو.[46]
تم تقديم اسم بابانيكولاو مرارًا وتكرارًا إلى لجنة نوبل ورُفض في كل مرة. فوضت لجنة نوبل التحقيق المتعمق في مزايا وعيوب بابانيكولاو إلى البروفيسور سانتيسون ، الذي كان في ذلك الوقت رئيس قسم علم الأمراض في معهد ستوكهولم للسرطان ( Radiumhemmet ). اكتشف سانتيسون مساهمات Babeș التي لم يستشهد بها بابانيكولاو وأبلغ اللجنة بهذه الحقيقة على النحو الواجب ، ثم رفضت جائزة نوبل لبابانيكولاو.[47]
التقنيات التجريبية
في العالم المتقدم ، تعتبر خزعة عنق الرحم الموجهة بواسطة التنظير المهبلي " المعيار الذهبي " لتشخيص تشوهات عنق الرحم بعد مسحة عنق الرحم غير الطبيعية. كما يتم إجراء تقنيات أخرى مثل المسحة الثلاثية بعد إجراء مسحة عنق الرحم غير الطبيعية.[48] يتطلب الإجراء أخصائي تنظير مهبلي مدرب ويمكن أن يكون مكلفًا. ومع ذلك ، فإن مسحات عنق الرحم حساسة للغاية وقد تمثل بعض نتائج الخزعة السلبية أخذ عينة أقل من الآفة في الخزعة ، لذا فإن الخزعة السلبية مع علم الخلايا الإيجابي تتطلب متابعة دقيقة.[49]
تقنيات التصوير التجريبية استخدام ضوء اسع النطاق (على سبيل المثال، والتصور المباشر، سونار المهبل ، تنظير مهبلي ، الفحص البصري مع حمض الخليك أو مع لغول، والتنظير المهبلي) وطرق الكشف الالكترونية (على سبيل المثال، Polarprobe و المطيافية في الخلايا الحية ). هذه التقنيات أقل تكلفة ويمكن إجراؤها بتدريب أقل بشكل ملحوظ. إنهم لا يؤدون أداءً جيدًا مثل فحص مسحة عنق الرحم والتنظير المهبلي. في هذه المرحلة ، لم يتم التحقق من صحة هذه التقنيات من خلال تجارب واسعة النطاق وليست في الاستخدام العام.
التوافر
أستراليا
استخدمت أستراليا اختبار مسحة عنق الرحم كجزء من برنامج فحص عنق الرحم منذ تنفيذه في عام 1991 والذي تطلب من النساء فوق سن 18 أن يتم اختبارهن كل عامين.[50] في ديسمبر 2017 ، أوقفت أستراليا استخدامها لاختبار عنق الرحم واستبدلت به اختبار فيروس الورم الحليمي البشري الجديد الذي لا يلزم إجراؤه إلا مرة واحدة كل خمس سنوات بدءًا من سن 25.[51] يغطي برنامج Medicare تكاليف الاختبار ، ومع ذلك ، إذا كان طبيبك لا يسمح بالفواتير المجمعة ، فقد تضطر إلى دفع تكاليف الموعد ثم المطالبة بخصم Medicare.[52]
تايوان
تم تقديم اختبارات عنق الرحم المجانية من عام 1974 إلى 84 قبل أن يتم استبدالها بنظام يمكن من خلاله لجميع النساء فوق سن الثلاثين سداد تكاليف اختبار مسحة عنق الرحم من قبل التأمين الصحي الوطني في عام 1995.[53] كانت هذه السياسة لا تزال مستمرة في عام 2018 وشجعت النساء على إجراء الفحص كل ثلاث سنوات على الأقل.[54]
على الرغم من ذلك ، لا يزال عدد الأشخاص الذين يخضعون لاختبارات عنق الرحم أقل من دول مثل أستراليا. يعتقد البعض أن هذا يرجع إلى نقص الوعي بشأن الاختبار وتوافره. وقد وجد أيضًا أن النساء المصابات بأمراض مزمنة أو أمراض تناسلية أخرى أقل عرضة للخضوع للاختبار.[55][56][57]
إنگلترة
اعتبارًا من عام 2020 ، تحتفظ الخدمة الصحية الوطنية ببرنامج فحص عنق الرحم حيث تتم دعوة النساء بين سن 25-49 لإجراء اختبار مسحة كل ثلاث سنوات ، والنساء فوق سن الخمسين عامًا كل خمس سنوات. تستخدم إنجلترا ، مثلها مثل أستراليا ، اختبار فيروس الورم الحليمي البشري قبل فحص الخلايا التي تكون نتيجة اختبار عنق الرحم إيجابية.[58] الاختبار مجاني كجزء من البرنامج الوطني لفحص عنق الرحم .[59]
المكورات
إن اكتشاف بكتيريا المكورات في اختبار عنق الرحم ليس له أي تأثير مع نتائج الاختبار الطبيعية ولا توجد أعراض معدية. ومع ذلك ، إذا كان هناك التهاب كاف لحجب اكتشاف العمليات محتملة التسرطن والسرطانية ، فقد يشير ذلك إلى العلاج بمضاد حيوي واسع الطيف للمكورات العقدية والبكتيريا اللاهوائية (مثل ميترونيدازول وأموكسيسيلين ) قبل تكرار اللطاخة. بدلاً من ذلك ، سيتم تكرار الاختبار في وقت أبكر مما لو كان الأمر كذلك[60] إذا كانت هناك أعراض إفرازات مهبلية أو رائحة كريهة أو تهيج ، فإن وجود بكتيريا المكورات قد يشير أيضًا إلى العلاج بالمضادات الحيوية كما هو مذكور أعلاه.[60]
المصادر
- الهوامش
- ^ "Pap Smear: MedlinePlus Lab Test Information". medlineplus.gov (in الإنجليزية). Retrieved 2018-11-07.
- ^ "Cervical Screening". NHS. 2017-10-20. Retrieved 2018-09-04.
- ^ "HPV and Anal PAP Testing (Anal Papanicolaou Smear)" (PDF). UW Health. Retrieved 10 May 2020.
- ^ أ ب Moyer, VA; U.S. Preventive Services Task, Force (Jun 19, 2012). "Screening for cervical cancer: U.S. Preventive Services Task Force recommendation statement". Annals of Internal Medicine. 156 (12): 880–91, W312. doi:10.7326/0003-4819-156-12-201206190-00424. PMID 22711081. S2CID 36965456.
- ^ "Pap Test". Cancer.Net (in الإنجليزية). 2011-02-23. Retrieved 2020-06-26.
- ^ أ ب ت ث ج Saslow, D; et al. (2012). "American Cancer Society, American Society for Colposcopy and Cervical Pathology, and American Society for Clinical Pathology Screening Guidelines for the Prevention and Early Detection of Cervical Cancer". Journal of Lower Genital Tract Disease. 16 (3): 175–204. doi:10.1097/LGT.0b013e31824ca9d5. PMC 3915715. PMID 22418039.
- ^ American Cancer Society. (2010). Detailed Guide: Cervical Cancer. Can cervical cancer be prevented? Retrieved August 8, 2011.
- ^ The American College of Obstetricians and Gynecologists (2009). "ACOG Education Pamphlet AP085 – The Pap Test". Washington, DC. Archived from the original on June 15, 2010. Retrieved June 5, 2010.
- ^ Shidham, VinodB; Mehrotra, Ravi; Varsegi, George; D′Amore, KristaL; Hunt, Bryan; Narayan, Raj (2011-01-01). "p16 INK4a immunocytochemistry on cell blocks as an adjunct to cervical cytology: Potential reflex testing on specially prepared cell blocks from residual liquid-based cytology specimens". CytoJournal (in الإنجليزية). 8 (1): 1. doi:10.4103/1742-6413.76379. PMC 45765. PMID 21369522.
{{cite journal}}
: CS1 maint: unflagged free DOI (link) - ^ أ ب ت ث ج ح خ U.S. Preventive Services Task Force (2003). "Screening for Cervical Cancer: Recommendations and Rationale. AHRQ Publication No. 03-515A". Rockville, MD.: Agency for Healthcare Research and Quality. Retrieved June 5, 2010.
- ^ أ ب U.S. Preventive Services Task Force (March 2012). "Screening for Cervical Cancer: Clinical Summary of USPSTF Recommendation". uspreventiveservicestaskforce.org. Archived from the original on 7 August 2012. Retrieved 31 July 2012.
- ^ أ ب American Academy of Family Physicians. "Five Things Physicians and Patients Should Question" (PDF). Choosing Wisely: An Initiative of the ABIM Foundation. Archived from the original (PDF) on November 11, 2017. Retrieved August 14, 2012{{inconsistent citations}}
{{cite journal}}
: CS1 maint: postscript (link) - ^ أ ب ت ث ج ح Arbyn M, Anttila A, Jordan J, Ronco G, Schenck U, Segnan N, Wiener H, Herbert A, von Karsa L (2010). "European Guidelines for Quality Assurance in Cervical Cancer Screening. Second Edition—Summary Document". Annals of Oncology. 21 (3): 448–458. doi:10.1093/annonc/mdp471. PMC 2826099. PMID 20176693.
- ^ أ ب Strander B (2009). "At what age should cervical screening stop?". Br Med J. 338: 1022–23. doi:10.1136/bmj.b809. PMID 19395422. S2CID 37206485.
- ^ أ ب Sasieni P, Adams J, Cuzick J (2003). "Benefit of cervical screening at different ages: evidence from the UK audit of screening histories". Br J Cancer. 89 (1): 88–93. doi:10.1038/sj.bjc.6600974. PMC 2394236. PMID 12838306.
- ^ أ ب ت ث Society of Gynecologic Oncology (February 2014). "Five Things Physicians and Patients Should Question". Choosing Wisely: An Initiative of the ABIM Foundation. Retrieved 19 February 2013{{inconsistent citations}}
{{cite journal}}
: CS1 maint: postscript (link), which cites- Salani R, Backes FJ, Fung MF, Holschneider CH, Parker LP, Bristow RE, Goff BA (2011). "Posttreatment surveillance and diagnosis of recurrence in women with gynecologic malignancies: Society of Gynecologic Oncologists recommendations". American Journal of Obstetrics and Gynecology. 204 (6): 466–78. doi:10.1016/j.ajog.2011.03.008. PMID 21752752.
- Salani R, Nagel CI, Drennen E, Bristow RE (2011). "Recurrence patterns and surveillance for patients with early stage endometrial cancer". Gynecologic Oncology. 123 (2): 205–7. doi:10.1016/j.ygyno.2011.07.014. PMID 21820709.
- Bristow RE, Purinton SC, Santillan A, Diaz-Montes TP, Gardner GJ, Giuntoli RL (2006). "Cost-effectiveness of routine vaginal cytology for endometrial cancer surveillance". Gynecologic Oncology. 103 (2): 709–13. doi:10.1016/j.ygyno.2006.05.013. PMID 16797686.
- ^ ACOG Committee on Gynecological Practice (2009). "ACOG Committee on Gynecologic Practice; Routine Pelvic Examination and Cervical Cytology Screening, Opinion #413". Obstetrics and Gynecology. 113 (5): 1190–1193. doi:10.1097/AOG.0b013e3181a6d022. PMID 19384150.
- ^ American Congress of Obstetricians and Gynecologists. "Five Things Physicians and Patients Should Question". Choosing Wisely: An Initiative of the ABIM Foundation. Retrieved August 1, 2013., which cites
- Boulware LE, Marinopoulos S, Phillips KA, Hwang CW, Maynor K, Merenstein D, Wilson RF, Barnes GJ, Bass EB, Powe NR, Daumit GL (2007). "Systematic review: The value of the periodic health evaluation". Annals of Internal Medicine. 146 (4): 289–300. doi:10.7326/0003-4819-146-4-200702200-00008. PMID 17310053. S2CID 1683342.
- Saslow D, Solomon D, Lawson HW, Killackey M, Kulasingam SL, Cain J, Garcia FA, Moriarty AT, Waxman AG, Wilbur DC, Wentzensen N, Downs LS, Spitzer M, Moscicki AB, Franco EL, Stoler MH, Schiffman M, Castle PE, Myers ER (2012). "American Cancer Society, American Society for Colposcopy and Cervical Pathology, and American Society for Clinical Pathology screening guidelines for the prevention and early detection of cervical cancer". CA Cancer J Clin. 62 (3): 147–72. doi:10.3322/caac.21139. PMC 3801360. PMID 22422631.
- Committee on Gynecologic Practice (2012). "Committee Opinion No. 534". Obstetrics & Gynecology. 120 (2, Part 1): 421–424. doi:10.1097/AOG.0b013e3182680517. PMID 22825111.
- Committee on Practice Bulletins—Gynecology (2012). "ACOG Practice Bulletin Number 131: Screening for cervical cancer". Obstetrics and Gynecology. 120 (5): 1222–1238. doi:10.1097/AOG.0b013e318277c92a. PMID 23090560.
- ^ "Can Cervical Cancer Be Prevented?". www.cancer.org (in الإنجليزية). Retrieved 2018-11-07.
- ^ Sasieni, P; Castanon, A; Cuzick, J; Snow, J (2009). "Effectiveness of Cervical Screening with Age: Population based Case-Control Study of Prospectively Recorded Data". BMJ. 339: 2968–2974. doi:10.1136/bmj.b2968. PMC 2718082. PMID 19638651.
- ^ Marrazzo JM, Koutsky LA, Kiviat NB, Kuypers JM, Stine K (2001). "Papanicolaou test screening and prevalence of genital human papillomavirus among women who have sex with women". American Journal of Public Health. 91 (6): 947–952. doi:10.2105/AJPH.91.6.947. PMC 1446473. PMID 11392939.
- ^ Smith, RA; et al. (2002). "American Cancer Society Guideline for the Early Detection of Cervical Neoplasia and Cancer". CA: A Cancer Journal for Clinicians. 52 (1): 8–22. doi:10.3322/canjclin.52.6.342. PMID 12469763. S2CID 19919545.
ACS and others have recommended, since before 1980, that conventional cytology can be safely performed up to every three years for most women.
- ^ Salani, R (2017). "An update on post-treatment surveillance and diagnosis of recurrence in women with gynecologic malignancies: Society of Gynecologic Oncology (SGO) recommendations" (PDF). Gynecologic Oncology. 146 (1): 3–10. doi:10.1016/j.ygyno.2017.03.022. PMID 28372871.
- ^ أ ب DeMay, M. (2007). Practical principles of cytopathology. Revised edition. Chicago, IL: American Society for Clinical Pathology Press. ISBN 978-0-89189-549-7.
- ^ "Cancer Research UK website". Archived from the original on 2009-01-16. Retrieved 2009-01-03.
- ^ Raffle AE, Alden B, Quinn M, Babb PJ, Brett MT (2003). "Outcomes of screening to prevent cancer: analysis of cumulative incidence of cervical abnormality and modelling of cases and deaths prevented". BMJ. 326 (7395): 901. doi:10.1136/bmj.326.7395.901. PMC 153831. PMID 12714468.
- ^ "Pap Smear". Retrieved 2008-12-27.
- ^ Eversole GM, Moriarty AT, Schwartz MR, Clayton AC, Souers R, Fatheree LA, Chmara BA, Tench WD, Henry MR, Wilbur DC (2010). "Practices of participants in the college of american pathologists interlaboratory comparison program in cervicovaginal cytology, 2006". Archives of Pathology & Laboratory Medicine. 134 (3): 331–5. doi:10.5858/134.3.331. PMID 20196659.
- ^ Nayar, Ritu; Solomon, Diane (2004-01-01). "Second edition of 'The Bethesda System for reporting cervical cytology' - Atlas, website, and Bethesda interobserver reproducibility project". CytoJournal (in الإنجليزية). 1 (1): 4. doi:10.1186/1742-6413-1-4. PMC 526759. PMID 15504231.
{{cite journal}}
: CS1 maint: unflagged free DOI (link) - ^ أ ب PapScreen Victoria > Pregnant women Archived 2014-02-01 at the Wayback Machine from Cancer Council Victoria 2014
- ^ [1] Michael CW (1999). "The Papanicolaou Smear and the Obstetric Patient: A Simple Test with Great Benefits". Diagnostic Cytopathology. 21 (1): 1–3. doi:10.1002/(SICI)1097-0339(199907)21:1<1::AID-DC1>3.0.CO;2-0. hdl:2027.42/35304. PMID 10405797.
- ^ Lanouette JM, Puder KS, Berry SM, Bryant DR, Dombrowski MP (1997). "Is inflammation on Papanicolaou smear a risk factor for preterm delivery?". Fetal Diagnosis and Therapy. 12 (4): 244–247. doi:10.1159/000264477. PMID 9354886.
- ^ "Pregnant women". papscreen.org. Cancer Council Victoria. Archived from the original on 2015-01-08. Retrieved 2015-01-16.
- ^ International Federation for Cervical Pathology and Colposcopy (IFCPC) classification. References:
-"Transformation zone (TZ) and cervical excision types". Royal College of Pathologists of Australasia.
- Jordan, J.; Arbyn, M.; Martin-Hirsch, P.; Schenck, U.; Baldauf, J-J.; Da Silva, D.; Anttila, A.; Nieminen, P.; Prendiville, W. (2008). "European guidelines for quality assurance in cervical cancer screening: recommendations for clinical management of abnormal cervical cytology, part 1". Cytopathology. 19 (6): 342–354. doi:10.1111/j.1365-2303.2008.00623.x. ISSN 0956-5507. PMID 19040546. S2CID 16462929. - ^ Projectstore (2020-07-06). "Comprehensive Knowledge About Pap Test". Free Student Project Topics (in الإنجليزية الأمريكية). Retrieved 2020-07-30.
A Pap test can be done during your menstrual period, but for good results it is better to schedule the test at another time because the additional cells can obscure cervical cells and partly because this part of the menstrual cycle is when the female organs are most inflamed
- ^ "Excerpts from Changing Bodies, Changing Lives". Our Bodies Ourselves. Archived from the original on 2013-12-18. Retrieved 2013-07-02.
- ^ Tingåker, Berith K; Irestedt, Lars (2010). "Changes in uterine innervation in pregnancy and during labour". Current Opinion in Anesthesiology. 23 (3): 300–303. doi:10.1097/aco.0b013e328337c881. PMID 20216064. S2CID 35342557.
- ^ Wright, Jessica L. (2010). "The Effect of Using Water-based Gel Lubricant During a Speculum Exam On Pap Smear Results". School of Physician Assistant Studies. Archived from the original on 24 May 2013. Retrieved 4 February 2012.
- ^ Martin-Hirsch P, Lilford R, Jarvis G, Kitchener HC (1999). "Efficacy of cervical-smear collection devices: a systematic review and meta-analysis". Lancet. 354 (9192): 1763–1770. doi:10.1016/S0140-6736(99)02353-3. PMID 10577637. S2CID 22733963.
- ^ Biscotti CV, Dawson AE, Dziura B, Galup L, Darragh T, Rahemtulla A, Wills-Frank L (2005). "Assisted primary screening using the automated ThinPrep Imaging System". Am. J. Clin. Pathol. 123 (2): 281–7. doi:10.1309/AGB1MJ9H5N43MEGX. PMID 15842055.
- ^ Willis BH, Barton P, Pearmain P, Bryan S, Hyde C, "Cervical screening programmes: can automation help? Evidence from systematic reviews, an economic analysis and a simulation modelling exercise applied to the UK". Health Technol Assess 2005 9(13).[2] Archived 2008-09-10 at the Wayback Machine
- ^ Davey E, d'Assuncao J, Irwig L, Macaskill P, Chan SF, Richards A, Farnsworth A (2007). "Accuracy of reading liquid based cytology slides using the ThinPrep Imager compared with conventional cytology: prospective study". BMJ. 335 (7609): 31. doi:10.1136/bmj.39219.645475.55. PMC 1910624. PMID 17604301.
- ^ "Pap and HPV Testing". 2014-09-15.
- ^ Bettigole C (2013). "The Thousand-Dollar Pap Smear". New England Journal of Medicine. 369 (16): 1486–1487. doi:10.1056/NEJMp1307295. PMID 24131176.
- ^ M.J. O'Dowd, E.E. Philipp, The History of Obstetrics & Gynaecology, London, Parthenon Publishing Group, 1994, p. 547.
- ^ Diamantis A, Magiorkinis E, Androutsos G (Jul 2010). "What's in a name? Evidence that Papanicolaou, not Babeș, deserves credit for the Pap test". Diagnostic Cytopathology. 38 (7): 473–6. doi:10.1002/dc.21226. PMID 19813255. S2CID 37757448.
- ^ Koss, Leopold G. (2003-01-01). "Aurel Babeş". International Journal of Gynecological Pathology. 22 (1): 101–102. doi:10.1097/00004347-200301000-00020. ISSN 0277-1691. PMID 12496707.
- ^ Krunger, TF; Botha, MH (2007). Clinical gynaecology (3 ed.). South Africa: Juta. p. 23. ISBN 9780702173059. Retrieved 7 December 2016.
- ^ Bewtra, Chhanda; Pathan, Muhammad; Hashish, Hisham (2003-10-01). "Abnormal Pap smears with negative follow-up biopsies: Improving cytohistologic correlations". Diagnostic Cytopathology (in الإنجليزية). 29 (4): 200–202. doi:10.1002/dc.10329. ISSN 1097-0339. PMID 14506671. S2CID 40202036.
- ^ "Cervical cancer screening". www.cancer.org.au (in الإنجليزية). Retrieved 2020-08-13.
- ^ Health, Australian Government Department of (in en), Cervical Screening, Australian Government Department of Health, http://www.cancerscreening.gov.au/internet/screening/publishing.nsf/Content/cervical-screening-1, retrieved on 2020-08-13
- ^ Cancer Institute of NSW. "Do I need to pay for my cervical screen". Cancer Institute NSW.
- ^ Chen, Y-Y; You, S-L; Chen, C-A; Shih, L-Y; Koong, S-L; Chao, K-Y; Hsiao, M-L; Hsieh, C-Y; Chen, C-J (2009-07-07). "Effectiveness of national cervical cancer screening programme in Taiwan: 12-year experiences". British Journal of Cancer. 101 (1): 174–177. doi:10.1038/sj.bjc.6605139. ISSN 0007-0920. PMC 2713714. PMID 19536091.
- ^ Chen, M.-J.; Wu, C.-Y.; Chen, R.; Wang, Y.-W. (2018-10-01). "HPV Vaccination and Cervical Cancer Screening in Taiwan". Journal of Global Oncology (in الإنجليزية). 4 (Supplement 2): 235s. doi:10.1200/jgo.18.94300. ISSN 2378-9506.
- ^ Fang-Hsin Leea; Chung-Yi Lic; Hsiu-Hung Wanga; Yung-Mei Yang (2013). "The utilization of Pap tests among different female medical personnel: A nationwide study in Taiwan". Preventive Medicine. 56 (6): 406–409. doi:10.1016/j.ypmed.2013.03.001. PMID 23524115.
- ^ "Knowledge of Cervical Cancer Screening among Women". iprojectmaster.com (in الإنجليزية). Retrieved 2020-02-10.
- ^ NB Peterson; HJ Murff; Y Cui; M Hargreaves; JH Fowke (Jul–Aug 2008). "Papanicolaou testing among women in the southern United States". Journal of Women's Health. 17 (6): 939–46. doi:10.1089/jwh.2007.0576. PMC 2942751. PMID 18582173. Retrieved October 15, 2013.
- ^ "Cervical screening (smear testing) | Health Information | Bupa UK". www.bupa.co.uk (in الإنجليزية البريطانية). Retrieved 2020-08-14.
- ^ admin (2013-08-30). "About cervical screening". Jo's Cervical Cancer Trust (in الإنجليزية). Retrieved 2020-08-14.
- ^ أ ب OB-GYN 101: Introductory Obstetrics & Gynecology > Coccoid Bacteria Archived 2014-02-22 at the Wayback Machine by Michael Hughey Hughey at Texas Tech University Health Sciences Center. Retrieved Feb 2014.
وصلات خارجية
تعريفات قاموسية في ويكاموس
كتب من معرفة الكتب
اقتباسات من معرفة الاقتباس
نصوص مصدرية من معرفة المصادر
صور و ملفات صوتية من كومونز
أخبار من معرفة الأخبار.
- The Pap Test: Questions and Answers — from the U.S.'s National Cancer Institute
- MedlinePlus: Cervical Cancer Prevention/Screening — from MedlinePlus
- NHS Cervical Screening Programme — from the UK's National Health Service
- Cervical cancer screening information – from Cancer Research UK
- Pap Smear – from Lab Tests Online
- Pap Smear — from eMedicineHealth
- PapScreen – Australian information about Pap tests (or Pap smears)
- Canadian Guidelines for Cervical Cancer Screening – Society of Obstetricians and Gynaecologists of Canada
- CS1 maint: unflagged free DOI
- CS1 maint: postscript
- CS1 الإنجليزية الأمريكية-language sources (en-us)
- CS1 الإنجليزية البريطانية-language sources (en-gb)
- Short description is different from Wikidata
- Articles containing إنگليزية-language text
- Pages using Lang-xx templates
- مقالات ذات عبارات بحاجة لمصادر
- Articles with unsourced statements from January 2009
- Articles with unsourced statements from July 2007
- سرطانات نسائية
- فحوصات طبية
- أمراض مرتبطة بڤيروس الورم الحليمي البشري
- علم الأمراض الخلوي
- الأسباب المعدية للسرطان
- اختراعات يونانية