متلازمة فيروس هانتا الرئوية
متلازمة فيروس هانتا الرئوية | |
---|---|
الأسماء الأخرى | مرض فور كورنرز |
![]() | |
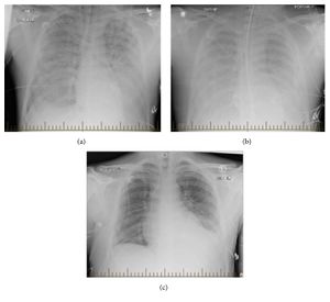
Progression of hantavirus pulmonary syndrome | |
التخصص | طب الصدر ![]() |
متلازمة فيروس هانتا الرئوية (اختصارًا HPS)،1 هي واحدةٍ من متلازمتين قاتلتين من أصلٍ حيوانيٍ تُسببها أنواعٌ من فيروس هانتا،[1] وتتضمن فيروس نيويورك وفيروس قناة بلاك كريك (en) وفيروس مونونغاهيلا (en) والفيروس اللااسم له (en)، بالإضافة لإنواعٍ أُخرى ضمن جنس فيروس هانتا المُتوطن في الولايات المتحدة وكندا.[2]
تُعتبر بعض القوارض العائل الرئيسي لفيروسات هانتا، وتتضمن جرذ القطن الزغبي في فلوريدا، والذي يُعتبر العائل الرئيسي لفيروس قناة بلاك كريك.[3][4] يُعتبر فأر الأيل (en) في كندا وغرب الولايات المتحدة العائل الرئيسي للفيروس اللااسم له.[5][6] أما الفأر أبيض القدمين (en) في شرق الولايات المتحدة فيُعتبر العائل الرئيسي لفيروس نيويورك.[7] وُثق في أمريكا الجنوبية أنَّ جرذ أرز القزم طويل الذيل (en) والأنواع الأخرى من جنس جرذان أرز القزم (en) تُعتبر عائلًا احتياطيًا لفيروس الأنديز (en).[8][9][10]
الأعراض والعلامات
تكونُ الأعراض الأولية للمرض مُشابهةً لأعراض الإنفلونزا، وتتضمن حمى وسُعال وألم عضلي وصداع وخُمول وضيق في التنفس، والتي تتدهور بسرعةٍ إلى فشلٍ تنفسيٍ حاد. يتميزُ المرض بحدوث ضيقٍ فجائيٍ في التنفس مع وذمةٍ رئوية سريعة الظهور، وغالبًا ما تكون قاتلةً على الرغم من التهوية الميكانيكية واستعمال مُدرات البول القوية. تبلغ نسبة الوفيات حوالي 36%.
الانتقال
يُعتبر انتقال الفيروس عن طريق فضلات القوارض الهوائية هو الطريقةُ الوحيدة المعروفة لانتقال الفيروس إلى البشر. عمومًا، لم يَظهر أنه يُمكن انتقال فيروسات هانتا في الأنواع الرئوية أو النزفية عبر الرذاذ و/أو أداة العدوى.[11][12]
التشخيص
وفقًا لكيفن ليتمان-نافارو فإنهُ يسهُل عدم الانتباه لمتلازمة فيروس هانتا الرئوية؛ وذلك لأنَّ أعراضه المبكرة تُشبه إلى حدٍ كبير الإنفلونزا، حيثُ يُعاني المصابون من التعب والحمى وآلام العضلات المصحوبة غالبًا بالصداع والدوخة ومشاكل الجهاز الهضمي في الأسابيع التالية للتعرض للعدوى، وبعد حوالي أسبوعٍ من اختفاء الأعراض الأولية، تبدأ المرحلة الثانية من المرض، حيثُ يعاني المرضى من سعالٍ شديدٍ وضيقٍ في التنفس مع امتلاء الرئتين بالسوائل. في المراحل المتأخرة من متلازمة فيروس هانتا الرئوية، تتضرر الرئتان بشدةٍ، مما يؤدي إلى معدل وفيات بحوالي 38%.[13]
الوقاية
تُعتبر مكافحة القوارض داخل وحول المنزل أو السكن الإستراتيجية الأساسية للوقاية من المرض، بالإضافة إلى القضاء على الاقتراب من القوارض في أماكن العمل والتخييم. غالبًا ما تكون غرف التخزين المُغلقة والكبائن مواقعًا مثاليةً لإصابة القوارض. يُوصى بتهوية هذه المناطق قبل استخدامها، كما يُنصح الأفراد بتجنب الاتصال المباشر بفضلات القوارض مع ارتداء قناعٍ أثناء تنظيف هذه المناطق؛ وذلك لتجنب استنشاق إفرازات القوارض الهوائية.[14]
العلاج
لا يوجد علاجٌ أو لقاحٌ لمتلازمة فيروس هانتا الرئوية. يشملُ العلاج استعمال علاجٍ داعم، ويتضمن التهوية الميكانيكية مع أكسجينٍ إضافي وذلك خلال مرحلة فشل الجهاز التنفسي الحرجة من المرض. يُساعد التشخيص المبكر لمتلازمة فيروس هانتا الرئوية مع إدخال المريض إلى وحدة العناية المركزة على مآلٍ أفضل للحالة.
علم الأوبئةة
حُددت متلازمة فيروس هانتا الرئوية للمرة الأولى خلال تفشي عام 1993 في منطقة الزوايا الأربع في جنوب غرب الولايات المتحدة، حيثُ حدده الطبيب بروس تيمبست. كانت المتلازمة تُسمى في البداية بمرض الزوايا الأربع، ولكن غُيرَّ الاسم إلى الفيروس اللاسم له بعد شكاوٍى من الأمريكيين الأصليين بأنَّ اسم "الزوايا الأربع" يُسبب وصمةً للمنطقة.[15] منذ ذلك الوقت كان المرض قد حدد في جميع أنحاء الولايات المتحدة.
أنظر أيضا
المصادر
- ^ Koster FT. Levy H. "Hantavirus cardiopulmonary syndrome: a new twist to an established pathogen", In: Fong IW, editor; Alibek K, editor. New and Evolving Infections of the 21st Century, New York: Springer-Verlag New York, Inc.; 2006. pp. 151–170.
- ^ Nichol ST. Beaty BJ. Elliott RM. Goldbach R, et al. Family Bunyaviridae. In: Fauquet CM, editor; Mayo MA, editor; Maniloff J, editor; Desselberger U, et al., editors. Virus Taxonomy: 8th Report of the International Committee on Taxonomy of Viruses. San Diego, CA: Elsevier Academic Press;
- ^ Rollin PE. Ksiazek TG. Elliott LH. Ravkov EV, et al. "Isolation of Black Creek Canal virus, a new hantavirus from Sigmodon hispidus in Florida", J Med Virol. 1995;46:35–39. [PubMed]
- ^ Glass GE. Livingstone W. Mills JN. Hlady WG, et al. "Black Creek Canal virus infection in Sigmodon hispidus in southern Florida", Am J Trop Med Hyg. 1998;59:699–703. ببمد
- ^ قالب:استشهاد بدورية أكاديمية
- ^ Drebot MA. Gavrilovskaya I. Mackow ER. Chen Z, et al. "Genetic and serotypic characterization of Sin Nombre-like viruses in Canadian Peromyscus maniculatus mice", Virus Res. 2001;75:75–86. [PubMed]
- ^ Hjelle B. Lee SW. Song W. Torrez-Martinez N, et al. "Molecular linkage of hantavirus pulmonary syndrome to the white-footed mouse, Peromyscus leucopus: genetic characterization of the M genome of New York virus", J Virol. 1995;69:8137–8141. [PMC free article] [PubMed]
- ^ قالب:استشهاد بدورية أكاديمية
- ^ قالب:استشهاد بدورية أكاديمية
- ^ قالب:استشهاد بدورية أكاديمية
- ^ قالب:استشهاد بدورية أكاديمية
- ^ Crowley, J.; Crusberg, T. "Ebola and Marburg Virus Genomic Structure, Comparative and Molecular Biology". Dept. of Biology & Biotechnology, Worcester Polytechnic Institute. Archived from the original on 2013-10-15.
- ^ Litman-Navarro, Kevin. "U.S. Woman Dies From Hantavirus, a Flu-Like Disease Spread by Rodents". Inverse.com.
- ^ "CDC - Hantavirus Pulmonary Syndrome (HPS) - Hantavirus". Cdc.gov. 2013-02-06. Retrieved 2013-07-07.
- ^ "Death at the Corners". Discover Magazine. 1993-12-01. Retrieved 2013-03-25.
وصلات خارجية
- Muerto Canyon by Jen Peel, 29 minutes, Sloan Science and Film
- "Hantaviruses, with emphasis on Four Corners Hantavirus" by Brian Hjelle, M.D., 2001, Department of Pathology, School of Medicine, University of New Mexico
- Hantavirus Technical Information Index page, US Center for Disease Control
- Viralzone: Hantavirus
- Virus Pathogen Database and Analysis Resource (ViPR): Bunyaviridae
- Hantavirus - Occurrences and deaths in North and South America, 1993-2004, PAHO