مرض المثقبيات الأفريقي
![]() ساهم بشكل رئيسي في تحرير هذا المقال
|
مرض المثقبيات الأفريقي | |
---|---|
![]() | |
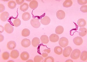
أشكال المثقبيات في لطخة دم. | |
التبويب والمصادر الخارجية | |
ICD-10 | B56. |
ICD-9-CM | 086.5 |
DiseasesDB | 29277 13400 |
MedlinePlus | 001362 |
eMedicine | med/2140 |
MeSH | D014353 |
مرض المثقبيات الأفريقي أو داء النوم الأفريقي Human African trypanosomiasis
الطفيلي المسبب
المثقبيات البروسية Trypanosoma brucei
التاريخ
الأعراض
التوزيع الجغرافي والوبائيات
دورة الحياة بجسم المضيف
- المرحلة الأولى: ينتقل الطفيلي الى دم المضيف عبر لدغة بعوضة النوم Tsetse ويجول فيه .
- المرحلة الثانية:
ينتقل عبر الدم الى الجملة العصبية المركزية CNS مجتازا الحاجز الدماغي الشوكي BBB ويصل الى مركز النوم محدثا اضطرابات لدى المصاب .
التشخيص المعملي

العلاج
الخط الأول، المرحلة الأولى
الخط الأول، المرحلة الثانية
يقول علماء بريطانيون:
إن توفر دواء فموي لداء النوم الإفريقي سيحسن حياة أكثر من 50 ألف مريض بهذا المرض.
طور الباحثون البريطانيون جزيئات تعمل على بروتين هدف جديد في هذا الطفيلي وتقتله حيث طور فريق Paul Wyatt من جامعة دندي مع زملاء له في جامعة يورك جزيئة تكبح أنزيم N.myristoyl Transferase ورمزه (NMT) في طفيلي المثقبيات البروسية.
عمل الأنزيم
يضيف 14 كربون ( حمض دسم ) إلى نهاية سلسلة 60 بروتين داخل الطفيلي والذي بدوره يؤثر على توضع البروتين وثباتيته وعمله. وذاك يجعل الـ NMT هدف جيد جداً, لأنه إذا كبحنا فقط أنزيم واحد فإننا نحصل على نتائج نهائية متعددة هذا ما يعطي فرصة كبيرة جدا لامتلاك هذا الهدف فعالية تسبب نشاط الطفيلي يمكن استغلالها في العلاج.
تشكل المرحلة الثانية من حياة الطفيلي بجسم المضيف مشكلة في الأدوية لهذا الداء حيث يجب أن يكون الدواء قادر على اختراق الـ CNS وهنا يشكل الحاجز الدماغي الشوكي BBB صعوبة بالإختراق، بالتالي صعوبة بالعلاج عند الوصول للمرحلة الثانية من الإصابة. كما يجب أن يكون الدواء انتقائي لنسخة NMT للطفيلي بكل أنماطه الخاصة بالإنسان.
Rob Leurs من جامعة أمستردام في هولندا (يترأس اتحاد الإئتلاف الاوروبي) يتحرى هذا المرض والأمراض المشابهة له المتعلقة بالإنسان مثل اللايشمانيا , يوافق على أن الـNMT هدف رائع وهناك نتائج حالية تظهر مجموعة ممتازة ( تؤثر حيويا و كيميائيا ) في مستوى الهدف في مزارع الخلايا خارج الجسم (in vitro ) وداخل الجسم (in vivo ) وهي النماذ المأخوذة ما قبل السريرية .
مازال هناك الكثير من العمل للحصول على دواء فعال خصوصا غير سام ويقاوم تطور ونمو الطفيلي. لكن كل هذه ماتزال معايير قياسية لاكتشاف هذا الدواء.
الدراسات على الفئران تؤكد امكانية استهداف ال NMT للطفيلي بشكل انتقائي .
الفائدة من هذه الدراسة
امكانية اعطاء الدواء فمويا حيث أن الأدوية المتوفرة حاليا كلها حقنية ولها مشاكل كثيرة مثل :
Melasoprol : مشتق زرنيخي قتل حوالي 20 مريض وآثاره الجانبية كثيرة .
Elfonithine : أقل سمية يتطلب حقن وريدي بجرعة four _ two hour aday مدة اسبوعين وهذا ليس مثالياً في البلاد النامية.
ومن المركبات الفعالة ضد هذا الطفيلي پيرازول سلفوناميد Pyrazole sulfonamid. وهذه دراسة جديدة نشرت في مصدرها بتاريخ 6/4/2010
المصادر
انظر أيضاً
- Human trypanosomiasis
- Drugs for Neglected Diseases Initiative
- David Bruce (microbiologist)
- Sleep disorder
- المرض المداري البشري المهم الآخر الناتج عن المثقبيات هو مرض تشاگاس، ويحدث في أمريكا.
- ناگانا (Animal African Trypanosomiasis)
- ذبابة تسي تسي
- G.D. Hale Carpenter joined the London School of Hygiene and Tropical Medicine, and took the DM in 1913 with a dissertation on the ذبابة تسي تسي (Glossina palpalis) and sleeping sickness. He published: A Naturalist on Lake Victoria, with an Account of Sleeping Sickness and the Tse-tse Fly; 1920. T.F. Unwin Ltd, London; Biodiversity Archive
الهامش
- ^ WHO mortality and health data and statistics, accessed Feb 10, 2009.
وصلات خارجية
- Sleeping sickness information page at Médecins Sans Frontières
- Drugs for Neglected Diseases Initiative
- Medecins Sans Frontieres' Eflornithine press release, 2001
- Links to pictures of Sleeping Sickness (Hardin MD/ University of Iowa)
- The Sandler Center for Basic Research in Parasitic Diseases, University of California, San Francisco.
- Kids For World Health
- Eflornithine 'safe as first-line sleeping sickness treatment'
- Science without Frontiers
- Functional and Structural Insights Revealed by Molecular Dynamics Simulations of an Essential RNA Editing Ligase in Trypanosoma