مرض هنتنگتون

(تم التحويل من مرض هنتنجتون)
مرض هنتنگتون
Neuron with mHtt inclusion.jpg
Medium spiny neurons (yellow) with nuclear inclusions, which occur as part of the disease process, stained orange
التبويب والمصادر الخارجية
التخصصطب الجهاز العصبي
ICD-10G10., F02.2
ICD-9-CM333.4, 294.1
OMIM143100
DiseasesDB6060
MedlinePlus000770
eMedicinearticle/1150165 article/792600 article/289706
Patient UK

فشل عرض الخاصية P1461: لم يتم العثور على الخاصية P1461.

مرض هنتنگتون
MeSHD006816

مرض هنتنجتونHuntington's disease هو اضطراب وراثي شديد في الجهاز العصبي. ويتسبب هذا المرض في تدمير خلايا الدماغ، كما يتسبب في حدوث حركات لا إرادية للجسم إلى جانب اضطراب عقلي تعقبه الوفاة. وهذا الاضطراب يصيب الناس من كلا الجنسين بصرف النظر عن العرق البشري. وأخذ هذا المرض اسمه من اسم أول من اكتشفه وهو جورج هنتنجتون الطبيب الأمريكي الذي كان أول من وصف هذا المرض في عام 1872م. وكانت هذه الحالة أصلا تسمى رَقَاص هنتنجتون.

وتبدأ الأعراض في معظم حالات هذا المرض عند الأشخاص الذين يتراوح أعمارهم مابين 35 إلى 50 عاماً، وإن كانت هناك بعض الحالات التي يمكن أن تبدأ في مرحلة الطفولة أو في عمر متأخر. ويعيش المرضى المصابون بهذا المرض بمعدل 15 سنة تقريبا بعد أن تظهر أعراضه الأولى عليهم.

العلامات والأعراض

وقد يكون أول الأعراض الجسمانية لهذا المرض تثاقلاً في الحركة أو عدم الحركة مطلقاً. ثم تبدأ بعد ذلك عضلات الوجه والأيدي في الارتعاش. وكلما زادت شدة المرض ازداد الانقباض العضلي اللا إرادي، وقد يصيب هذا الانقباض عضلات الجسم كلها. وبذلك يرتعش الرأس والكتفان والذراعان والساقان بطريقة غير إرادية. وعندما يسير المريض تتداخل الحركات الإرادية وغير الإرادية للجسم لينتج عنها ترنح في الجسم وخطوات تشبه إيقاع الرقص. وتشمل الأعراض العقلية المبكرة لهذا المرض الغباء، وتبلد الحسّ، وسرعة التهيج والتأثر، والإهمال في الهندام والمظهر الشخصي. ثم يعمل المرض على التدمير التدريجي لذكاء المريض ولذاكرته. وعندئذ قد يزداد المرض العقلي شدة.

وقد يفقد المريض أخيراً كل تحكم في العضلات وفي القدرة العقلية. وقد تحدث الوفاة نتيجة الالتهاب الرئوي أو الأزمة القلبية أو أي مضاعفات لهذا المرض.

الغـَلـَبة المبلغ عنها للأعراض السلوكية والنفسية في مرض هنتنگتن[1]
مزاج مكتئب  33–69%
قلق  34–61%
حدة الطبع  38–73%
عدم اكتراث 34–76%
استحواذي ومـُلزم 10–52%
مضطرب العقل 3–11%

التحور الجيني

ويسبب مرضَ هنتنجتون مورث (جين) شاذ موجود على واحد من زوج من الكروموزومات يسمى الكروموزوم 4. وأي شخص يرث هذا المورث يصيبه الاضطراب، كما أن كل طفل ينجبه أي مريض مصاب بهذا المرض تكون لديه فرصة وراثة هذا المورث بنسبة 50%.

Classification of the trinucleotide repeat and the disease status of the person depending on the number of CAG repeats[2]
مرات التكرار التصنيف حالة المرض
<27 Normal Unaffected
27–35 Intermediate Unaffected
36–39 Reduced Penetrance +/- Affected
>39 Full Penetrance Affected

ويقدر الخبراء أنّ من بين كل مائة ألف شخص هناك عدد من الأشخاص يتراوح بين 4-7 أشخاص يحملون المورث لمرض هنتنجتون. وقد طور الباحثون وسيلة لتحديد الشخص الذي قد يحمل هذا المورث. ولكن هذا الابتكار العلمي لايزال في طور التجربة.

الوراثة

HD is inherited in an autosomal dominant fashion. The probability of offspring inheriting an affected gene is 50% independent of gender, and the gene does not skip generations.

الآلية

التغيرات الخلوية بسبب mHTT

Neuron with inclusion (stained orange) caused by HD


التغيرات الكبرى بسبب mHTT

Area of the brain damaged by Huntington's disease - striatum (shown in pink).

التشخيص

الإكلينيكي

Coronal brain section from a patient with HD showing dilatation of the ventricles (blue arrows) and atrophy of caudate nucleus (red arrows)


الجيني

Expression pattern of the Huntingtin gene

الإدارة

Chemical structure of tetrabenazine, an approved compound for the management of chorea in HD

تطور المرض

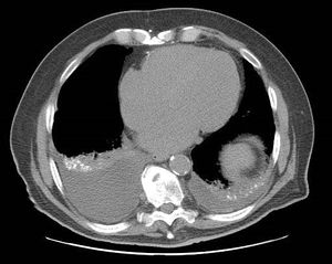
A CT image of aspiration pneumonia, a common cause of death in HD


وهذا المرض ليس له علاج، وإن كان كثير من أعراضه يمكن تخفيفها عن طريق الأدوية والطرق العلاجية الأخرى.


التاريخ

In 1872 George Huntington described the disorder in his paper "On Chorea".[3]

جمعيات المساندة

The death of Woody Guthrie led his wife to found the Committee to Combat Huntington's Disease.


المصادر

  1. ^ خطأ استشهاد: وسم <ref> غير صحيح؛ لا نص تم توفيره للمراجع المسماة pmid18070848
  2. ^ خطأ استشهاد: وسم <ref> غير صحيح؛ لا نص تم توفيره للمراجع المسماة lancetseminar
  3. ^ خطأ استشهاد: وسم <ref> غير صحيح؛ لا نص تم توفيره للمراجع المسماة onchorea

وصلات خارجية

اقرأ نصاً ذا علاقة في

On Chorea