انتفاخ الرئة
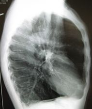
A lateral chest x-ray of a person with emphysema. Note the barrel chest and flat diaphragm. | |
ICD-10 | J43. |
ICD-9 | 492 |
DiseasesDB | 4190 |
MedlinePlus | 000136 |
eMedicine | med/654 |
MeSH | D011656 |
انتفاخ الرئة Emphysema، مرض رئوي يجد المصابون به صعوبة في التنفس خصوصًا عند الزفير. وهو أحد شكلين رئيسيين من الأمراض الرئوية الانسدادية المزمنة والثاني الالتهاب الشُّعبي المزمن. يعاني معظم المصابين بالأمراض الرئوية الانسدادية المزمنة من انتفاخ الرئة والالتهاب الشُّعبي المزمن؛ وتتميز هذه الأمراض بازدياد ضيق القصبات التي تصل الرئتين بالفم والأنف. وًيُعَدُّ سببًا أساسيًا للوفاة في البلدان الصناعية.
يتعرض المدخنون للإصابة بهذا المرض بنسبة أعلى عشرة أضعاف في الأقل مِن غير المدخنين. وتظهر أعراض هذا المرض في نحو عمر الخمسين، ويكون معظم المصابين به من الرجال.
تأثير انتفاخ الرئة على التنفس
عندما يتم استنشاق الهواء النقي، فإنه يمر عبر الممرات الهوائية باتجاه الحويصلات الهوائية الصغيرة بالرئة والمسماة الأسناخ، وتحتوي جدران هذه الحويصلات على شبكة من الأوعية الدموية الدقيقة التي تسمى الشعيرات الرئوية. ويقوم الدم الذي يمر داخل تلك الشعيرات الرئوية بأخذ الأكسجين من الهواء المستنشق وترك ثاني أكسيد الكربون في الأسناخ ليخرج مع هواء الزفير. ويوزع الدم الأكسجين إلى أنسجة الجسم كافة عن طريق الشرايين، بينما يسلك هواء الزفير المحمّل بثانى أكسيد الكربون طريقه عبر الممرات الهوائية في الأنف والفم إلى خارج الجسم.
يدمر الانتفاخ الرئوي جدران الحويصلات الهوائية بما فيها الشعيرات الرئوية. وبما أن جسم الإنسان البالغ به مئات الملايين من الحويصلات الهوائية، فإن هذا التدمير قد يستمر عدة سنوات، قبل أن يشعر المصاب بالانتفاخ وبصعوبة في التنفس. ومع تقدم المرض يستمر تدمير الجدران السنخية مع شعيراتها الدموية، مما يؤدي إلى سد الممرات الهوائية؛ لأن دور الجدران السنخية هو المساعدة على إبقاء الطرق الهوائية الصغيرة مفتوحة. كما يؤدي إلى تكون فراغات كبيرة تحبس الهواء الفاسد المحمل بثاني أكسيد الكربون داخل الرئة، ثم تبدأ الرئة بفقدان مرونتها. وتتضخم كثيرًا بسبب استنشاق كمية أكبر من الهواء واحتباسه في الفراغات، وهكذا يُعطل الانتفاخ خروج ثاني أكسيد الكربون من الجسم، ويمنع وصول الأكسجين اللازم إلى أنسجة الجسم.
أعراض مرض انتفاخ الرئة
شعر المريض بصعوبة في التنفس وخصوصًا في أثناء الزفير (التنفس السطحي) وتوسّع في الصدر وزرقة الجلد بسبب نقص الأكسجين. يشكو المصابون بهذا المرض من نزلات البرد المتتابعة ومن التهاب الرئة. كما يتسبب في نشوء أمراض القلب عند بعضهم.
المسببات
لم تعرف أسباب انتفاخ الرئة بشكل تام، إلا أن هناك عدة عوامل تهيئ لظهوره مثل التدخين والهواء الملّوث والتلوث البيئي والالتهابات المتكررة والعوامل الوراثية.
ويعتقد الأطباء أن هناك إنزيمات معينة تقوم بتدمير الجدران السنخية. وتساهم العوامل المسببة للمرض التي سبق ذكرها ـ في الحد من القدرة على التحكم في الإنزيمات.
التدخين
ينجم المرض في معظم الحالات عن التدخين ، حيث يشل الدخان حركة الاهداب إنگليزية: cilia التي تنظف الرئة من الملوثات مما يؤدي إلى تراكمها و إحداث غلتهابت ضمن غرف الجيوب الهوائية الصغيرة. هذه الالتهابات تقضي على مرونة الجيوب الهوائية و بالتالي تققل من قدرتها على التمدد و الانكماش لإخراج الهواء و ثاني أكسيد الكربون. مع مرور الوقت تنهار هذه الجيوب بشكل كامل
نقص انزيم ألفا 1-أنتي تريبسين
من النادر أن تنتج الاصابة عن عوز البروتين ألفا 1-أنتي تريبسين الوراثي إنگليزية: alpha-1-antitrypsin (AAt) و الذي يحمي مرونة المكونات ضمن الرئة و الكبد[1].
يشابه المرض في مظاهره السريرية والتدبير والإنذار لتلك في التهاب القصبات المزمن.
المنتفخون الزرق والمنتفخون الورديون
المنتفخون الزرق والمنتفخون الورديون هما نهايتان لطيف واحد. يملك بعض الناس حافزاً تنفسياً منخفضاً في الإستجابة لارتفاع Paco2 انخفاض Pao2، فإذا كانوا يعانون من نفاخ رئوي والتهاب قصبات مزمن لا يحدث عندهم زلة تنفسية، ويهبط Pao2 وتتطور الحالة إلى قلب رئوي ويصبحون زرق ومنتفخين.
بينما يملك آخرون حافزاً تنفسياً مرتفعاً في الاستجابة لمثل هذه الظروف، فيحدث لديهم زلة تنفسية ويبقون ورديين ولكن يمكن ان يتطورا إلى قصور تنفسي من النمط I.
العلاج
لا يمكن الشفاء من هذا المرض، ولكن قد يساعد العلاج في الحد من ازدياد التدمير في الرئة، ويجب على المصابين تجنب التدخين والهواء الملّوث، وأن يسرعوا في معالجة نزلات البرد المتكررة والالتهابات. ومن أنواع العلاج الذي يقدَّم للمصابين العقاقير والعلاج الطبيعي واستنشاق الهواء الغني بالأكسجين والاعتماد على تقنيات خاصة بالتنفس.
مصادر
معرض الصور
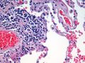
H&E (haematoxylin and eosin) stained lung tissue sample from an end-stage emphysema patient. RBCs are red, nuclei are blue-purple, other cellular and extracellular material is pink, and air spaces are white.
Micrograph demonstrating emphysema (left of image - large empty spaces) and lung tissue with relative preservation of the alveoli (right of image). H&E stain.