همود الرئة
| همود الرئة Atelectasis | |
|---|---|
| الأسماء الأخرى | انهيار الرئة[1] |
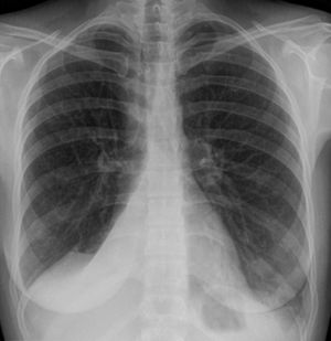
| همود في الرئة اليمنى لمريض. | |
| النطق | |
| التخصص | طب الرئة |
همود الرئة أو انخماص الرئة Atelectasis، هو انهيار أو فشل في الرئة ناتج عن انخفاض أو غياب تبادل الغازات. قد يؤثر همود الرئة على الرئة بالكامل أو جزء منها.[2] عادة ما يحدث في إحدى الرئتين. حيث تكون فيه الحويصلات الهوائية فارغه من الهواء. و ما يميزه عن التصلب الرئوي هو أن انخماص الرئة تكون فيه الحويصلات الهوائية منكمشة.
من أهم أسبابه انسداد الحويصلات الهوائية بسبب تجمع المخاط الأمر الذي يلاحظ في الغالب بعد العمليات الجراحية حيث يظهر الانخماص خلال 48 ساعة والسبب الآخر هو وجود ضغط خارجي على الرئتين من تجمع سوائل حول الرئة.
من الشائع جداً اكتشاف الانخماص في صور الأشعة السينية للصدر وطرق إشعاعية أخرى، وقد يكون سببه الزفير الطبيعي أو العديد من الحالات الطبية، وعلى الرغم من كثرة وصفه على أنه انهيار أنسجة الرئة، فإن انخماص الرئة ليس مرادفاً لاسترواح الصدر وهي حالة أكثر تحديداً يظهر الانخماص كأحد اعراضها. الانخماص الرئوي الحاد ممكن أن يحدث بسبب مضاعفات ما بعد العمليات الجراحية أو نتيجة لنقص فاعل السطح الرئوي الذي يقلل من التوتر السطحي للرئة، وفي الاطفال حديثي الولادة هذا النقص يؤدي إلى متلازمة الضائقة التنفسية للرضع.
الأعراض والعلامات

قد لا توجد أية أعراض وعلامات أو قد تشمل التالي:[3]
- سعال (ليس بارز)
- ألم في الصدر (غير شائع)
- صعوبة في التنفس ( سريع وسطحي)
- انخفاض نسبة تشبع الأكسجين
- تجمع سوائل في الغشاء الذي يغلف الرئة (سائل منخفض البروتين)
- الازرقاق (علامة متأخرة)
- زيادة معدل ضربات القلب
- ارتفاع في درجات الحرارة
- انصباب جنبي
يوجد فكرة خاطئة شائعة مفادها أن همود الرئة يسبب الحمى، ولكن هناك دراسة شملت 100 مريض قامت بسلسلة من الإشعات السينية للصدر وقياسات درجات الحرارة ما بعد العمليات الجراحية أظهرت أن نسبة حدوث الحمى انخفضت بزيادة حدوث الإصابة بانخماص الرئة.[4] كما قامت مقالة حديثة بمراجعة و تلخيص الأدلة المنشورة المتاحة على الارتباط بين انخماص الرئة وحمى ما بعد العمليات الجراحية، و استنتجت أنه ليس هناك دليل طبي يدعم هذا المبدأ.[5]
الأسباب
السبب الأكثر شيوعاً هو الهمود الذي يحدث ما بعد العمليات الجراحية خلال 48 ساعة، ويتميز هذا النوع من الهمود بالتجبير، بمعنى أن يكون التنفس محدود بعد عملية جراحية في البطن، و يكون المدخنون وكبار السن أكثر عرضة للخطر. و خارج هذا السياق، فإن انخماص الرئة يشير إلى انسداد الشعيبة أو الشعب الهوائية، والذي يمكن أن يكون ضمن مجرى الهواء (جسم غريب، كتلة من المخاط) أو من ضمن الجدار نفسه (ورم، عادةً سرطان الخلايا الحرشفية) أو ضغط من الخارج (ورم، عقدة لمفاوية، تدرنات)، سبب آخر هو نقص فاعل السطح الرئوي أثناء الشهيق مما يجعل التوتر السطحي في أعلى مستوياته مسبباً طي (انهيار) الحويصلات الهوائية الصغيرة، كما قد يحدث الانخماص أيضاً أثناء شفط البصاق (اللعاب) فيتم سحب الهواء من الرئتين. و يتم تصنيف الأنواع المتعددة من انخماص الرئة وفقا لآليتها الكامنة أو توزيع انهيار الحويصلات الهوائية إلى الانخماص: الامتصاصي، الانضغاطي، الميكروسكوبي، الانقباضي.
- أهم الاسباب
- التخدير في العمليات الجراحية.
- وجود جسم غريب في مجرى الهواء (الأكثر شيوعا عند الأطفال).
- امراض الرئة.
- المخاط الذي يسد مجرى الهواء.
- الضغط على الرئة الناجمة عن تراكم السوائل بين الأضلاع والرئتين (ويسمى هذا الانصباب الجنبي).
- الراحة في الفراش لفترات طويلة مع بعض التغييرات في وضعية الجسم.
- التنفس الضحل (قد يكون ناجم عن تنفس مؤلم).
- الأورام التي تعرقل مجرى الهواء.
التشخيص

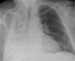
- الأشعة السينية للصدر (الانخماص ما بعد العمليات الجراحية يظهر في الجزء الأدنى من الرئتين)
- التصوير المقطعي
- منظار الشعب الهوائية
التصنيف

انخماص الرئة قد يكون حالة حادة أو مزمنة؛ في الحالات الحادة تكون الرئة قد حدث لها طي (انهارت) مؤخراً و يكون فقدان الهواء فقط هو الخاصية المميزة. وفي الحالات المزمنة غالباً ما تتميز المنطقة المتضررة بخليط معقد من فقدان الهواء و العدوى و توسع الشعب الهوائية وتدمر وتليّف الرئة.
الهمود المزمن
الانخماص المزمن قد يتخذ واحداً من الشكلين: إما متلازمة الفص الأوسط أو انخماص مدوّر. في متلازمة الفص الأوسط الأيمن، الفص الأوسط للرئة اليمنى ينقبض عادة بسبب الضغط على الشعب الهوائية من الغدد اللمفاوية المتضخمة أو وجود ورم أحياناً، و من الممكن أن تصاب الرئة المقبوضة المسدودة بالتهاب رئوي يفشل في التحلل تماماً ويؤدي إلى التهاب مزمن وتليف وتوسع الشعب الهوائية.
في الانخماص المدوّر (متلازمة الرئة المطوية) ينهار الجزء الخارجي من الرئة ببطء نتيجة لتليّف وتقلّص طبقات الأغشية التي تغلف الرئة، وهذا ينتج مظهر مدوّر على الأشعة السينية قد يجعل الأطباء يخطئون ويعتقدون أنه ورم. الانخماص المدوّر عادة ما يكون من مضاعفات مرض يصيب الغشاء المغلف للرئة بسبب مادة الأسبستوس (الحرير الصخري)، و يمكن أن ينتج ايضاً من أنواع أخرى من التليف المزمن وتغلّظ أغشية الرئة.
الهمود الامتصاصي
الغلاف الجوي يتكون من 78% نيتروجين و21% أكسجين، و بما أنه يتم تبادل الأكسجين في أغشية الشعيرات الدموية للحويصلات الهوائية، فإن النيتروجين هو العنصر الرئيسي الذي يحافظ على انتفاخ الحويصلات الهوائية، و بالتالي فإذا تم استبدال كمية كبيرة من النيتروجين في الرئتين بالأكسجين، سيتم امتصاص الأكسجين للدم ويتقلص حجم الحويصلات الهوائية، مما يؤدي إلى شكل من أشكال طي (انهيار) الحويصلات الهوائية المعروف بالانخماص الامتصاصي.[6]
الوقاية
- تشجيع الحركة والتنفس العميق في كل من هو طريح الفراش لفترات طويلة.
- إبقاء الأشياء الصغيرة بعيدا عن متناول الأطفال الصغار.
- الحفاظ على التنفس العميق بعد التخدير.
المضاعفات
- الالتهاب الرئوي الحاد
- توسع القصبات -نقص الأكسجة وفشل في الجهاز التنفسي
- انتان -انصباب جنبي ودبيلة
العلاج
يتم توجيه العلاج إلى تصحيح السبب الكامن وراء المرض؛ فيعالج الانخماص الرئوي الذي يحدث ما بعد العمليات الجراحية بواسطة العلاج الطبيعي (الفسيولوجي) من خلال التركيز على التنفس العميق والحث على السعال، كما يستخدم مقياس التنفس الحثي، وهي أداة تقيس مقدار حجم الهواء الذي يدخل ويخرج من الرئتين، غالباً كجزء من تمارين التنفس، و يُشجع أيضاً على المشي لتحسين انتفاخ الرئة. و قد يستفيد الأشخاص الذي يعانون من تشوهات صدرية أو حالات عصبية تسبب تنفس سطحي لفترات طويلة من الأجهزة الميكانيكية التي تساعد تنفسهم، مثل أقنعة الضغط الهوائي الايجابي المستمر، التي توصل الهواء المضغوط أو الأكسجين للأنف للمساعدة على ضمان عدم انهيار الحويصلات الهوائية حتى في نهاية أخذ النفس، وهذا مفيد لأن الحويصلة الهوائية الممتلئة جزئياً بالهواء يمكن توسيعها بسهولة أكثر من الحويصلة الهوائية المنكمشة، وأحياناً هناك حاجة إلى دعم إضافي للتنفس من خلال جهاز تنفس اصطناعي ميكانيكي.
إن العلاج الأساسي للانخماص الرئوي الحاد والضخم هو تصحيح السبب الكامن وراءه، و الانسداد الذي لا يمكن إزالته عن طريق السعال أو شفط المجاري الهوائية يمكن إزالته من خلال منظار الشعب الهوائية، و يتم إعطاء المضادات الحيوية غالباً في حالات الانخماص الرئوي المزمن؛ لأن الإصابة بالعدوى أمر لا مفر منه تقريباً، و في بعض الحالات قد يتم إزالة الجزء المصاب من الرئة جراحياً عندما تصبح الالتهابات المتكررة أو المزمنة المصاحبة للانخماص مضعفة للجسم، أو يصبح النزيف كبيراً. و إذا كان هناك ورم يحجب المجرى الهوائي فإن إزالته بواسطة الجراحة أو العلاج الاشعاعي أو العلاج الكيميائي أو العلاج بالليزر قد يمنع زيادة نطاق الانخماص و حدته و يمنع حدوث الاتهاب الرئوي الانسدادي المتكرر.
تشمل الأدوية المستخدمة لعلاج همود الرئة الأدوية الموسعة للقصبات الهوائية (Bronchodilators):[7] يعمل على التقليل من توتر العضلات في المجاري التنفسية على حد سواء الصغيرة والكبيرة في الرئتين، وبالتالي زيادة التهوية، من الامثلة على هذه الادوية: ألبوتيرول (Albuterol), ميتابروتيرينول (Metaproterenol). -ادوية المضادات الحيوية (Antibiotics): يعمل على علاج التهاب القصباب والعدوى الكامنة ما بعد الانسداد، من الامثلة على هذه الادوية: سيفوروكسيم (Cefuroxime)، سيفاكلور(Cefaclor). -الادوية الحال للميوسين (Mucolytic agents): يعمل على إزالة البلغم والانسدادات المخاطية السميكة، من الامثلة على هذه الادوية: ن-أستيل سيستئين (N-acetylcysteine)، دُورناز ألفا(Dornase alfa).
مآل المرض
في الكبار، فأن الانخماص في منطقة صغيرة من الرئة ,عادة لا تهدد الحياة. وبالتالي يمكن لبقية الرئة التعويض عن المنطقة المنخمصة، وبذلك تزويد وظائف الجسم ما يكفي من الأوكسجين. وأذا كان الانخماص في مناطق واسعة من الرئة فذلك يشكل تهديد الحياة، وخاصة في الطفل الرضيع أو الصغير، أو شخص لديه أمراض رئة أو امراض اخرى. إذا تمت إزالة انسداد مجرى الهواء من الرئة المنخمصة ببطء، فأن الندوب او الاضرار قد تبقى ولا تزول.
انظر أيضاً
- خلل التنسج السنخي الخلقي، نوع نادر جداً من الاضطرابات الخلقية في الرئة.
- Tympanic membrane atelectasis: تراجع طبلة الأذن داخل الأذن الوسطى والذي يشار إليه أيضاً بالهمود أو الانخماص.
المصادر
- ^ خطأ استشهاد: وسم
<ref>غير صحيح؛ لا نص تم توفيره للمراجع المسماةcollapsed lung - ^ Wedding, Mary Ellen; Gylys, Barbara A. (2005). Medical Terminology Systems: A Body Systems Approach: A Body Systems Approach. Philadelphia, Pa: F. A. Davis Company. ISBN 0-8036-1289-3.
- ^ Atelectasis Symptoms - Mayo Clinic Archived 2017-07-25 at the Wayback Machine
- ^ Chest. 107 (1). doi:10.1378/chest.107.1.81. PMID 7813318.
{{cite journal}}: Missing or empty|title=(help); Unknown parameter|التاريخ=ignored (help); Unknown parameter|الصفحات=ignored (help); Unknown parameter|العنوان=ignored (help); Unknown parameter|المؤلف=ignored (help); Unknown parameter|المسار=ignored (help) - ^ Chest. 140 (2). doi:10.1378/chest.11-0127. PMID 21527508.
{{cite journal}}: Missing or empty|title=(help); Unknown parameter|الأخير=ignored (help); Unknown parameter|السنة=ignored (help); Unknown parameter|الصفحات=ignored (help); Unknown parameter|العنوان=ignored (help) - ^
Basic Clinical Lab Competencies for Respiratory Care, 4th ed. Delmar Cengage Learning. 2002. p. 230.
{{cite book}}: Cite has empty unknown parameters:|lay-date=,|subscription=,|nopp=,|last-author-amp=,|name-list-format=,|lay-source=,|registration=, and|lay-summary=(help) - ^ انخماص الرئة، الطبي
وصلات خارجية
| Classification | |
|---|---|
| External resources |