تضيق الجفن

(تم التحويل من Blepharophimosis)
تضيق الجفن
Blepharophimosis.png
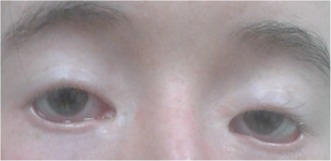
أنثى تبلغ من العمر 18 عامًا مصابة بتضيق الجفن نتيجة تضيق الجفن ، وتدلي الجفون ، ومتلازمة علاية الموق المعكوسة (BPES) من النوع 1
التخصصالجينات الطبية

تضيق الجفنين هو تشوه خلقي حيث تكون الجفون غير نامية بشكل تام بحيث لا يمكن فتحها بالقدر المعتاد وتغطية جزء من العين بشكل دائم. يتم تقصير كل من الشقوق الجفنية الرأسية والأفقية (فتحات الجفن) ؛ تظهر العيون أيضًا متباعدة على نطاق أوسع نتيجة لذلك ، والمعروفة باسم تباعد الموقين .

عرض

بالإضافة إلى الشقوق الجفنية الصغيرة ، يمكن أن تشمل الملامح علاية الموق المعكوسة (انحناء الطية في الاتجاه الأوسط الجانبي ، أدنى من الموق الداخلي) ، جسر الأنف السفلي ، تدلي الجفون وتباعد الموقين.

الحالات المرتبطة

تضيق الجفن ، تدلي الجفون ، متلازمة علاية الموق المعكوسة

يشكل تضيق الجفن جزءًا من تضيق الجفن ، وتدلي الجفون ، ومتلازمة علاية الموق المعكوسة (BPES) ، وتسمى أيضًا متلازمة تضيق الجفن ، وهي حالة صبغية جسمية سائدة تتميز بتضيق الجفن ، وتدلي الجفون (تدلي الجفن العلوي) ، و علاية الموق المعكوسة (ثنيات الجلد بجوار جسر الأنف ، أكثر بروزًا في الجفن السفلي من الجفن العلوي) و تباعد الموقين (اتساع المسافة بين الزوايا الداخلية للجفون). جسر الأنف مسطح وهناك حافة حجاجية ناقصة التنسج..[1] قد يترافق أيضًا مع آذان متدلية وشتر خارجي وفرط التباعد ..

قهناك نوعان معروفان ، النوع 1 والنوع 2. على الرغم من محدودية البحث ، فمن المعروف أن النوع 1 و 2 يظهران بنفس الأعراض المذكورة أعلاه ، ولكن النوع الأول له أيضًا خاصية فشل المبيض المبكر (POI) عند النساء ، مما يسبب أعراض انقطاع الطمث لدى المرضى الذين لا تتجاوز أعمارهم 15 عامًا عمر او قديم. هذا بسبب تقصير جينFOXL2[2][3]

التاريخ

ربما وصف فيجينز (1889) لأول مرة هذا الكيان ، خلل التنسج في الجفون..[2]

انظر ايضاً

المراجع

  1. ^ "blepharophimosis". www.mrcophth.com.
  2. ^ أ ب "OMIM Entry - # 110100 - BLEPHAROPHIMOSIS, PTOSIS, AND EPICANTHUS INVERSUS; BPES". omim.org. Retrieved 2019-12-27.
  3. ^ Grzechocińska, Barbara; Warzecha, Damian; Wypchło, Maria; Ploski, Rafal; Wielgoś, Mirosław (2019-07-31). "Premature ovarian insufficiency as a variable feature of blepharophimosis, ptosis, and epicanthus inversus syndrome associated with c.223C > T p.(Leu75Phe) FOXL2 mutation: a case report". BMC Medical Genetics (in الإنجليزية). 20 (1): 132. doi:10.1186/s12881-019-0865-0. ISSN 1471-2350. PMC 6670140. PMID 31366388.{{cite journal}}: CS1 maint: unflagged free DOI (link)

وصلات خارجية

Classification
V · T · D
External resources