القشرة الحزامية
القشرة الحزامية | |
---|---|
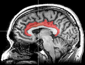
![]() السطح الإنسي لنصف الكرة المخية الأيسر، موضح عليه التفيف الحزامي والقشرة الحزامية. | |
Details | |
جزء من | القشرة المخية |
الشريان | الشريان الأمامي |
الوريد | الجيب السهمي العلوي |
Identifiers | |
اللاتينية | Cortex cingularis |
الاختصارات | Cg |
MeSH | D006179 |
NeuroNames | 159 |
NeuroLex ID | birnlex_798 |
TA98 | A14.1.09.231 |
TA2 | 5513 |
FMA | 62434 |
المصطلحات التشريحية |

القشرة الحزامية cingulate cortex، تعرف أيضاً بالقشرة الحوفية، هي جزء من المخ يقع في الجانب الإنسي من القشرة المخية. القشرة الحزامية تشمل التلفيف الحزامي بأكمله، والذي يقع فوق الجسم السفني مباشرة، ويستمر حتى التلم الحزامي. القشرة الحزامية عادة ما تعتبر جزءاً من الفص الحوفي.
تستقبل القشرة المخية الإشارات العصبية من المهاد والقشرة الجديدة، وترسلها إلى القشرة الشمية الداخلية عن طريق الحزام. وهي تعتبر جزءاً مدمجاً في الجهاز الحوفي، المسئول عن تشكيل ومعالجة المشاعر،[1] التعلم،[2] والذاكرة.[3][4] الجمع بين هذه الوظائف الثلاثة يجعل للقشرة الحزامية تأثير كبير في ربط المخرجات السلوكية بالمشاعر (على سبيل المثال، إجراء ما يتطلب استجابة عاطفية إيجابية، والذي يظهر أثره في التعلم).[5] هذا الدور يجعل القشرة الحزامية بالغة الأهمية في بعض الاضطرابات مثل الإكتئاب[6] وإنفصام الشخصية.[7] ويلعب أيضاً دوراً في الوظائف التنفيذية والتحكم في التنفس.
التكوين
القشرة الحزامية الأمامية
القشرة الحزامية الخلفية
مدخلات التلفيف المخي الأمامي
مخرجات التلفيف المخي الأمامي
مدخلات التلفيف المخي الخلفي
ارتباطات أخرى
الأهمية السريرية
إنفصام الشخصية
ملخص
التاريخ
صور إضافية
وصلات خارجية
- Four Regions of Cingulate Cortex and Disease Vulnerability, Brent A. Vogt.
- قالب:BrainMaps
- Mapping 'self' and 'other' in the brain
- A nice picture of the cingulate cortex and its parts
المصادر
- ^ Hadland, K. A.; Rushworth M.F.; et al. (2003). "The effect of cingulate lesions on social behaviour and emotion". Neuropsychologia. 41 (8): 919–931. doi:10.1016/s0028-3932(02)00325-1. PMID 12667528. Retrieved 24 December 2013.
- ^ "Cingulate binds learning". Trends Cogn Sci. 1 (1): 2. 1997. doi:10.1016/s1364-6613(97)85002-4. PMID 21223838.
- ^ Kozlovskiy, S.; Vartanov A.; Pyasik M.; Nikonova E.; Velichkovsky B. (10 October 2013). "Anatomical Characteristics of Cingulate Cortex and Neuropsychological Memory Tests Performance". Procedia - Social and Behavioral Sciences. 86: 128–133. doi:10.1016/j.sbspro.2013.08.537.
{{cite journal}}
:|access-date=
requires|url=
(help) - ^ Kozlovskiy, S.A.; Vartanov A.V.; Nikonova E.Y.; Pyasik M.M.; Velichkovsky B.M. (2012). "The Cingulate Cortex and Human Memory Processes". Psychology in Russia: State of the Art. 5: 231–243. doi:10.11621/pir.2012.0014.
{{cite journal}}
:|access-date=
requires|url=
(help) - ^ Hayden, B. Y.; Platt, M. L. (2010). "Neurons in Anterior Cingulate Cortex Multiplex Information about Reward and Action". Journal of Neuroscience. 30 (9): 3339–3346. doi:10.1523/JNEUROSCI.4874-09.2010. PMC 2847481. PMID 20203193.
- ^ Drevets, W. C.; Savitz, J.; Trimble, M. (2008). "The subgenual anterior cingulate cortex in mood disorders". CNS spectrums. 13 (8): 663–681. PMC 2729429. PMID 18704022.
- ^ Adams, R.; David, A. S. (2007). "Patterns of anterior cingulate activation in schizophrenia: A selective review". Neuropsychiatric disease and treatment. 3 (1): 87–101. doi:10.2147/nedt.2007.3.1.87. PMC 2654525. PMID 19300540.
{{cite journal}}
: CS1 maint: unflagged free DOI (link)