التهاب عضلة القلب
| التهاب العضلة القلبية Myocarditis | |
|---|---|
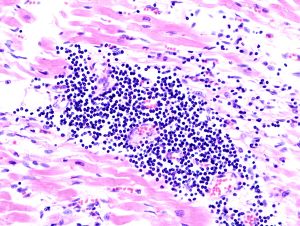
| صورة نسيجية لالتهاب فيروسي لعضلة القلب في عملية تشريح لمريض مصاب بالمرض. | |
| التبويب والمصادر الخارجية | |
| التخصص | طب القلب |
| ICD-10 | I09.0, I51.4 |
| ICD-9-CM | 391.2, 422, 429.0 |
| DiseasesDB | 8716 |
| MedlinePlus | 000149 |
| eMedicine | med/1569 emerg/326 |
| Patient UK | فشل عرض الخاصية P1461: لم يتم العثور على الخاصية P1461. التهاب عضلة القلب |
| MeSH | D009205 |
في الطب، التهاب العضلة القلبية (Myocarditis) هو حدوث التهاب في الجزء العضلي من القلب(Myocardiac). سببها بشكل عام هو الإصابة بالعدوى إما أن تكون بكتيرية أو فيروسية. قد تؤدي إلى أوجاع في الصدر، علامات سريعة لقصور القلب، أو الموت المفاجئ. وهو مرض يصيب العضلة التي تؤدي عملية ضخ الدم في القلب. وقد تبقى الحالات الخفيفة لالتهاب عضلة القلب غير مكتشفة، كما تؤدي الحالات العنيفة إلى قصور قلبي (هبوط القلب)، وهي حالة يعجز فيها القلب عن ضخ كميات دم تكفي لاحتياجات الجسم. ولالتهاب عضلة القلب أسباب كثيرة، لكن معظم الحالات تنتج عن أمراض أخرى. فالأحياء الدقيقة المُسببة لهذه الأمراض مثل التهاب الكبد، والأنفلونزا، والتهاب سنجابية النخاع، قد تنتقل عبر مجرى الدم إلى القلب، فتحدث التهابًا في عضلة القلب. وتشمل المُسببات الأخرى الحُمى الروماتيزمية، والتسمم الكحولي، والتفاعلات الدوائية.

وقد يكون التهاب عضلة القلب مصحوبًا بالكثير من أعراض الوهن، وضيق التنفس، وتجمع السوائل في الجسم. وأيضًا يُمكن أن يُصاحب التهاب عضلة القلب عدم انتظام دقات القلب وتضخّم القلب. ويستطيع الأطباء الكشف عن هذه الأعراض باستخدام الأشعة السينية، أو بمراسم كهربائية القلب التي تقيس نشاط القلب. وتبدأ معالجة التهاب عضلة القلب بمعالجة الأسباب، إذا كان تحديدها ممكنًا. وفي حالة القصور القلبي، يصف الأطباء الراحة التامة، والغذاء القليل الملح، إضافة إلى أدوية معينة. ويشفى كثيرٌ من المرضى تمامًا من مرض التهاب عضلة القلب. ويعيش آخرون سنوات مع المرض. كما يموت بعض مرضى التهاب القلب من جراء القصور القلبي أو من جراء أنواع أخرى من التلف القلبي.
الأعراض والعلامات
العلامات والأعراض التي تصاحب التهاب العضلة القلبية قد تكون متعددة، وتكون مرتبطة إما بعدوى لالتهاب العضلة أو بضعف في العضلة القلبية الذي يكون ثانوياً للالتهاب.
العلامات والأعراض تتضمن:
- أوجاع في الصدر (قد توصف أحياناً بالطعن بالسكين).
- قصور في القلب (وقد تقود إلى انقطاع النفس واضطراب نبض القلب).
- الموت المفاجئ (في البالغين الشباب، هناك نسبة 20% من الحالات التي تصاب بالموت المفاجئ).
- الحمى (خصوصاً مع الإصابة بالعدوى).
لأن التهاب العضلة القلبية يكون بسبب الإصابة بعدوى فيروسية، فإن المريض يكون معه أعراض تابعة للإصابة الفيروسية مثل الحمى، الإسهال، وأوجاع المفاصل.

التشخيص
يتم كشف التهاب العضلة القلبية عن طريق استخدام مخطط القلب الكهربائي(ECG)،وهناك أيضاً علامات للالتهاب من عدم انتظام تركيز الكرياتين (creatine)، والتروبونين (troponin). ويمكن كشفها أيضاً عن طريق عمل القسطرة، بحيث يتم عمل فحص لنسيج القلب، بحيث يتم أخذ عينة صغيرة من النسيج الداخلي والخارجي للقلب، ويتم فحصها من قبل مختص أمراض من خلال مجهر ضوئي. حديثاً، أصبح بالإمكان الكشف من خلال استخدام جهاز الأشعة المغناطيسية لمنطقة القلب (cMRI: Cardiac Magnetic Resonance Image)، وقد تبين أنها طريقة نافعة.
الأسباب
هناك أسباب كثيرة لهذا الالتهاب: العدوى:
- فيروسية (ومنها فيروس شلل الأطفال (polio virus)، التهاب الكبد الفيروسي ج (hepatitis C)، والحصبة الألمانية (rubella virus)).
- بكتيرية (ومنها بكتيريا الإنفلونزا (Infuenzae)، البروسيلا (brucella)، والكوليرا (cholera)).
- فطرية.
المناعة:
- الحساسية (ومنها المثبطات الكربونية اللاهيدروجينية)
- حساسية أوتوماتيكية
- رفض الجسم لقلب مزروع
السموم:
- الأدوية (ومنها الإيثانول ومضادات الذهان (antipsycotics))
- سموم (ومنها أول أكسيد الكربون وسموم الأفعى)
- المعادن الثقيلة (ومنها النحاس والحديد)
هناك أيضاً أسباب أخرى مثل الإصابة بصعقة كهربائية أو الإصابة بالإشعاعات.
العلاج
العدوى البكتيرية يتم علاجها من خلال المضادات الحيوية، معتمداً على نوع البكتيريا والحساسية ضد المضاد الحيوي. بالنسبة للعدوى الفيروسية، فلا يمكن علاجها بعلاج مباشر، ولكن يمكن علاجها من خلال علاج الأعراض فقط، مثبط الإنزيم المحول للأنجيوتنسين (ACE Inhibitor) قد يعتبر دواء للمساعدة في العلاج.
أشهر الوفيات
|
|