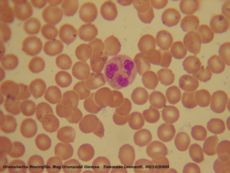
خلية عدلة


الخلايا الحبيبية المعتدلة إنگليزية: Neutrophil granulocytes، عادة يشار إليها بالعدلات إنگليزية: neutrophils هي أكثر أنواع كريات الدم البيضاء غزارة لدى الإنسان وتشكل قسماً رئيسيا من الجهاز المناعي.أتت التسمية من صفات تصبغها- أخذها للون- جراء عملية التحضير النسيجي والخلوي وذلك باستخدام الهيماتوكسيلين والإيوسين. حيث أن المكونات الخلوية المحبة للقواعد تأخذ اللون الأزرق الغامق، والمكونات المحبة للحمض تأخذ اللون الأحمر، أما المكونات المعتدلة تأخذ اللون الزهري. هذه الخلايا البالعة تتواجد في الحالات الطبيعية في مجرى الدم، أما وأثناء حدثية الالتهاب الحاد وتحديداً نتيجة الإصابة بعدوى جرثومية تغادر العدلات جهاز الدوران وتهاجر باتجاه موضع الالتهاب في عملية تدعى الجذب الكيميائي.تكون العدلات غزيرة وسائدة في القيح مما يفسر لونه الأبيض المصفر. تعمل العدلات خلال ساعة من الأذية النسيجية وتعد العلامة المحددة والواسمة للالتهاب الحاد..[1]
قياسات العدلات

للخلايا الحبيبية المعتلة حجم وسطي يعادل 330 فمتولتر وقطر يعادل 12_15 ميكرومتر وذلك في لطاخات الدم المحيطي. تشكل مع الحمضات والأسسات مجموعة الخلايا مفصصات النوى حيث تأتي هذه التسمية من صفة التفصص لنوى هذه الكريات (بالمقارنة مع المفاويات والوحيدات –الأنواع الأخرى للكريات البيض-). العدلات هي الكريات البيض الأكثر وفرة لدى الإنسان (تقريباً 10^11 تنتج يومياً) وتشكل 70% من جميع الكريات البيض.

المدى الطبيعي المحدد لتعداد كريات الدم يختلف بين المعامل، لكن تبلغ العدلات وكمدى طبيعي نظامي 2.5-7.5 x 109/L. قد ينخفض العدد عند سكان إفريقيا والشرق الأوسط ومع ذلك يعتبر طبيعياً.
قسّم أحد التقارير العدلات إلى عدلات مفصصة وأخرى مأطورة band cell.
فترة الحياة
يبلغ معدل نصف عمر العدلات غير المفعّلة في الدوران حوالي 4_10 ساعات. عند التنشيط، تتهمش (تتوضع بالقرب من بطانة الوعاء الدموي)، وتخضع لالتقاط معتمد على السلكتين selectin متبوعاً بالتصاق معتمد على الإنتگرين integrin في معظم الحالات، ثم تهاجر للنسج حيث تعبش ليوم أو يومين. عدد العدلات أكبر بكثير من الوحيدات / بلاعم التي تعيش فترة أطول من العدلات. أول البالعات مجابهة للعامل الممرض هي غالبًا العدلات. بعض الخبراء يعتقدون أن فترة الحياة القصيرة للعدلات هي تكيف تطوري لتقليل توالد العوامل الممرضة التي تتطفل على الخلايا البالعة. كلما قضت الطفيليات فتر أكبر خارج خلية مضيفة كلما كان احتمال تدميرها من قبل أحد المكونات الدفاعية للجسم أكبر. على أية حال، نظرا لأن منتجات العدلات المضادة للجراثيم تسبب ضرراً للنسج المضيفة، تميل بعض المصادر الأخرى للاعتقاد أن فترة الحياة القصيرة للعدلات هو تكيف للحد من الضرر للإنسان خلال الالتهاب. [بحاجة لمصدر]
الانجذاب الكيميائي
تخضع العدلات لعملية تسمى بالانجذاب الكيميائي مما يسمح لها بالهجرة تجاه مكان العدوى أو الالتهاب. المستقبلات السطحية للخلية قادرة على تحديد المدروج الكيميائي للجزيئات مثل: إنترلوكين-8 (IL-8)وإنترفيرون گاما (INF-gamma) وc5a وتستخدم الخلايا هذه الجزيئات لتحديد طريق هجرتها.
الوظيفة المضادة للجراثيم

تحتشد العدلات في مكان العدوى وذلك بسبب حركيتها العالية، وتنجذب بواسطة السيتوكينات الصادرة عن الخلايا البدينة والخلايا البطانية والبلاعم المفعلة.
البلعمة
العدلات هي خلايا بالعة، قادرة على بلع المتعضيات الصغيرة والجزئيات، وقادرة على أن تُدخِل الجراثيم وتقتلها, كل عملية بلعمة تنتهي بتشكيل الجسيم البلعمي الذي تفرز بداخله إنزيمات الحلمهة ومشتقات أكسيجينية ارتكاسية. إن استهلاك الأكسجين في توليد المشتقات الأكسيجينية الارتكاسية أعطي اسم الهبة التنفسية على الرغم من أن العملية لا علا قة لها بالتنفس أو إنتاج الطاقة. الهبة التنفسية تتضمن تفعيل أنزيم NADPH oxidase الذي ينتج كمية كبيرة من فوق الأكسيد أحد المشتقات الأكسجينية الارتكاسية. يتطافر فوق الأكسيد تلقائياً أو بواسطة تحفيز أنزيمي بواسطة أنزيمات تعرف بسوبر أوكسيد دسموتاز (Cu/ZnSOD and MnSOD) ويعطي ماء أكسجيني الذي يتحول بعدها إلى حمض هيبوكلوروز HOCL (معروف أيضاً بمبيض الكلور) بتواسط أنزيم الميلوبيروكسيداز myeloperoxidase. يعتقد أن الخاصية المبيدة للجراثيم التي يتمتع بها الـHOCL كافية للقضاء على الجراثيم المبتلعة من قبل الخلية المعتدلة، ولكن ذلك ما زال نظرية لم تثبت بشكل نهائي.
إزالة الحبيبات
العدلات أيضاً تطلق مجموعة من البروتينات توجد في ثلاثة أصناف من الحبيبات بواسطة عملية تسمى إزالة الحبيبات:
| نوع الحبيبة | الپروتين |
| الحبيبات النوعية (الحبيبات الثانوية) | Lactoferrin and Cathelicidin |
| حبيات لازوردية(الحبيبات الأولية) | ميلوبيروكسيداز, bactericidal/permeability increasing protein (BPI), دفنسين serine protease neutrophil elastase cathepsinكاثبسين G |
| الحبيبات الثالثية | كاثپسين, جيلاتيناز |
الشبكات الخارج خلوية
يوجد خلاف حول ما إذا كانت العدلات قادرة على إفراز شباك خارج خلوية، شبكة من الألياف مكونة من كروماتين وسرين بروتياز التي تحيط وتقتل الجراثيم وهي خارج الخلية. تم اقتراح أن الشباك الخارج خلوية توفر تركيز عال خارج خلوي موضعي للمواد المبيدة للجراثيم وترتبط وتجرد وتقتل الجراثيم بدون بلعمة. بالإضافة للخصائص المحتملة المضادة للجراثيم، الشباك خارج الخلوية يمكن أن تشكل حاجز فيزيائي يمنع انتشار العامل الممرض بشكل أكبر. حديثاً بدا أن الشباك الخارج الخلوية تلعب دوراً في الأمراض الالتهابية فهي تشاهد في مقدمات الارتعاج، اضطراب التهابي مرتبط بالحمل فيه تكون العدلات مفعّلة. [بحاجة لمصدر]
الوظيفة في المرض
يشار لقلة عدد العدلات "بقلة العدلات" ممكن لذلك أن يكون خلقي (اضطراب وراثي) أو من الممكن أن يتطور لاحقاً، كما في حالة فقر الدم اللا تصنعي أو في بعض حالات الأبيضاضات. كما يمكن أن يكون ذلك تأثيراً جانبياً لمعالجة دوائية، وبشكل ملحوظ في العلاج الكيميائي. قلة العدلات تؤهب بشدة للعدوى. أخيراً قلة العدلات من الممكن أن تكون نتيجة لنمو وتكاثر الطفيلي داخلها. الاضطرابات الوظيفية للعدلات غالباً ما تكون متوارثة. هي اضطرابات بالبلعمة أو عوز في الهبة التنفسية (كما في داء الورم الحبيبي المزمن، عوز مناعي نادر، عوز الميلوپيروكسيداز. في حالة عوز alpha-1-antitrypsin: أنزيم العدلات الهام الـ elastase لا يثبط بشكل كافي بواسطة alpha-1-antitrypsin مما يؤدي إلى ضرر نسيجي مفرط في حال وجود الالتهاب، -الأكثر وضوحاً هو النفاخ الرئوي-. في حمى البحر الأبيض المتوسط العائلية، تحدث طفرة في مورثة pyrin (أو marenostrin) التي يعبر عنها بشكل رئيسي في العدلات مما يؤدي وبشكل أساسي جواب طور حاد فعال وتسبب هجمات من الحمى، آلام مفصلية، التهاب صفاق، والداء النشواني.
وسائط
-
عدلات تتحرك بسرعة تشاهد وهي تبتلع عددا من الأبواغ (تصوير لمدة ساعتين وإطار واحد كل 30ثانية).
-
إحدى العدلات تشاهد وهي تبتلع بانتقائية خميرة المبيضة(مفلورة بالأخضر) على الرغم من عدة التقاءات مع أبواغ فطر الرشاشية (غير ظاهرة، بيضاء/ صافية).
[1] Neutrophils display highly directional amoeboid motility in infected footpad and phalanges. Intravital imaging was performed in the footpad path of LysM-eGFP mice 20 min after infection with LM.[2] Public Library of Science
صور إضافية
-
صورة لإحدى العدلات(صفراء) بالمجهر الالكتروني الماسح تبتلع جرثومة جمرة خبيثة (برتقالية).
-
سلالة خلية دموية
-
السلالة بشكل تام أكثر (كبيرة).
مصادر
- ^ Cohen, Stephen. Burns, Richard C. Pathways of the Pulp, 8th Edition. St. Louis: Mosby, Inc. 2002. page 465.
- ^ Graham, D.B., B.H. Zinselmeyer, F. Mascarenhas, R. Delgado, M.J. Miller, and W. Swat. 2009. ITAM signaling by Vav family Rho guanine nucleotide exchange factors regulates interstitial transit rates of neutrophils in vivo. PLoS ONE 4:e4652.