تقويم الأسنان
| Occupation | |
|---|---|
| Names | Orthodontist |
Occupation type | Specialty |
Activity sectors | Dentistry |
| Description | |
Education required | dental degree |
Fields of employment | Hospitals, Private Practices |

تقويم الأسنان Orthodontics هو ذلك الفرع من طب الأسنان الذي يعدِّل من أوضاع الأسنان غير المنتظمة ويعمل على تصحيحها. فالأوضاع غير السليمة للأسنان تؤثر على المظهر الشخصي بالإضافة إلى أنها صعبة التنظيف. وبذلك تُصبح أكثر عُرضة للتآكل وانتشار أمراض اللثة. انظر : الأسنان. كما يمُكن أن تُسبب مشكلات تتعلق بالمضغ والكلام فضلاً عن المشكلات النفسية. ويُدعى عدم التناسق في وضع الأسنان بسوء الإطباق. وينشأ سوء الإطباق عادة أثناء الطفولة مع نمو الأسنان. وغالباً ما يحدث عندما تكون الأسنان أكبر من الفراغ الفكِّي القائم. ففي مثل هذه الأوضاع تزدحم الأسنان وتخرج عن موضعها. وفي بعض الحالات يكون أحد عظمي الفكين أكبر من الآخر، مما يخلق وضعاً بارزاً للفك العلوي أو السفلي.
ويمكن الوقاية من سوء الإطباق أحياناً بالقلع المبكر لأسنان ساقطة معينة (الأسنان اللبنية للأطفال). وتُعالج هذه العملية ـ التي تُدعى القلع التسلسلي أو توجيه البزوغ ـ الازدحام الذي يحدث عندما تَشُقّ سن جديدة طريقها داخل اللثة. فإذا كانت الأسنان خارج وضعها أصلاً، يلجأ مقومو الأسنان إلى صب أطواف فلزية أو بلاستيكية حول كل سن، ويربطون ما بين الأطواف بأسلاك. وعن طريق الشد التدريجي للأسلاك تقوم هذه بتحريك السّن نحو الوضع الملائم. وفي بعض الحالات تُقلع السن بحيث تتحرك الأسنان الأخرى لتشغل مكانها.
الأدوات

تبدأ المعالجة التقويمية المُثلَى للأسنان عندما يكون المرضى في عمر يتراوح بين 10- 16 سنوات، وتمتد إلى حوالي سنتين. وكثيراً ما يخضع البالغون أيضاً للمعالجة التقويمية، ولكن وقت المعالجة هنا يكون أطول عموماً.
أنواع تقويم الأسنان



يقسم حقل تقويم الأسنان عامة ثلاثة أقسام: التقويم الوقائي preventive orthodontics والتقويم الاعتراضي interceptive orthodontics والتقويم التصحيحي corrective orthodontics.
التقويم الوقائي

وهو العمل الواجب اتخاذه للإبقاء على صحة الإطباق وكماله الظاهر في وقت معين من العمر.
التقويم الاعتراضي

تكون الحالة السنية هنا غير طبيعية، ويبدو أن هناك إطباقاً سيئاً متوقعاً بدأ ولم يكتمل بعد، يتمثل في عدم انتظام أوضاع الأسنان أو المجموعة السنية الوجهية الآخذة في التطور.
التقويم التصحيحي

توجد هنا حالة مرضية مكتملة في الإطباق السني أو الفكي أو في كليهما معاً. ويبين هذا التقسيم مراحل تطور سوء الإطباق. وقد تتطور حالة ما من طور التقويم الوقائي إلى طور التقويم الاعتراضي أو التصحيحي، مما يؤكد أن الحالات التقويمية ليست مستقلة بذاتها، ويعتمد كثيراً في التشخيص على مدى ابتعاد الحالة عن الإطباق الطبيعي وعلى الزمن الذي شوهدت فيه الحالة وشخصت أول مرة. ومن المهم جداً قدرة الطبيب على كشف المركّب الوجهي القحفي باكراً قدر المستطاع.
ومع ما لتداخل الحدبات السنية من شأن في تقرير الإطباق الطبيعي، فإنه جزء من المعلومات الكاملة التي تجب معرفتها لتقرير مفهوم «الطبيعي» الذي يشمل سير النمو والتطور والآلية الوظيفية للجهاز الفموي وانحرافاتها.
ومن جهة أخرى فإن سوء الإطباق وسوء العلاقات الوجهية الفكية ليسا مشكلة بيولوجية موضعية تتطلب تطبيق القوى الميكانيكية للحصول على التغييرات المرغوب فيها وحسب، بل على مقوِّم الأسنان أن يتفهم وظيفة الأسنان العملية الأساسية، وأن ينظر فيما وراء الجهاز المستعمل لإنجاح المعالجة. ويُعدُّ من الأمور المهمة جداً الانتباه إلى صفات العظم الفيزيائية والحيوية والفيزيولوجية، وتأثيرات وظائف العضلات في النمو والتطور، واضطرابات النمو والوظائف الخاطئة وتأثيرها في تطور الفكين والأسنان كما تعد ذات شأن كبير معالجة بعض الحالات، كالإصابة بشق الشفة وقبة الحنك وتأثيراتها في النمو والتطور، والناحية الفيزيولوجية للجهاز الفموي.
ومن الأمور المهمة كذلك تقدير الجمال الوجهي وعلاقة الأجزاء الوجهية بعضها ببعض. وللوجه ومكان الأسنان منه، وتأثير هذا المكان في المنظر الجانبي والمنظر الأمامي الخلفي، شأن كبير أيضاً، كما هو الحال في التوازن الوجهي في حالتي الإطباق والراحة rest position.
وإذا أمكن تعرف المظاهر الإطباقية بسهولة، فإن المظاهر الجمالية التي تزداد أهميتها باستمرار لا يمكن إرجاعها إلى مقاييس أو قياسات رياضية، لأنها تعتمد بقدر كبير على مفهوم الانسجام والتوازن الوجهي. ومع ازدياد أهمية التعقيدات الاجتماعية والنفسية من سوء الإطباق والتشوهات الوجهية فمن الضروري تقويم هذه المظاهر والانتباه لشأنها حين إجراء المعالجات التقويمية السنية.
سوء الإطباق

ظهر من بعض الدراسات أن نسبة سوء الإطباق تبلغ 20% من الأطفال في مرحلة الإطباق المؤقت (الأسنان اللبنية) و39% من الأطفال في مرحلة الإطباق المختلط (حين توجد أسنان مؤقتة ودائمة معاً في الفم) و58% من الأشخاص في مرحلة الإطباق الدائم (أسنان دائمة فقط في الفم). وقد تصل نسبة سوء الإطباق في دراسات أخرى إلى 95.4%، علماً بأن هذه النسب تختلف باختلاف الشعوب وأنها على أقلها في الشعوب البدائية، مثل شعب الأسكيمو.
ولما كان الوجه يتألف من العظام والعضلات والأسنان إضافة إلى النسج المرافقة، فإن سوء الإطباق يتظاهر سريرياً في أحد هذه النسج المختلفة أو فيها مجتمعة، وذلك من ناحية علاقة هذه النسج بعضها ببعض، أو علاقتها بالوجه تشريحياً أو وظيفياً أو تشريحياً ووظيفياً في آن واحد.
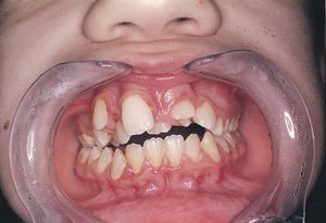
يقسم سوء الإطباق ثلاثة أصناف بحسب تصنيف أنغل: ففي الصنف الأول تطبق الحدبة الإنسية الدهليزية للرحى الأولى الدائمة العلوية على الميزاب الإنسي الدهليزي للرحى الأولى السفلية الدائمة، وعند الإطباق تكون أجزاء المركّب الوجهي منسجمة بعضها مع بعض ومتوازنة، ويكون سوء الإطباق في علاقة حجوم الأسنان مع حجوم القواعد العظمية لكل فك على حدة، أو في توضع الأسنان الخاطئ حيال الأسنان المجاورة أو المقابلة (الشكل 2).
وفي الصنف الثاني يبرز الفك العلوي: وفي هذه الحال تكون القوس السنية السفلى وحشي القوس السنية العلوية أو خلفها، أي إن الحدبة الإنسية الدهليزية للرحى الأولى العلوية الدائمة لا تطبق على الميزاب الإنسي الدهليزي للرحى الأولى الدائمة السفلية، بل تمس الميزاب الدهليزي الوحشي عادة أو تكون خلف ذلك أيضاً، أما بقية الأسنان فإنها تعكس هذه العلاقة عند الإطباق. ويكون الوجه في هذا الصنف محدباً بشدة والفك الأعلى أمام مكانه الطبيعي كما هو في الصنف الأول. وتظهر بحوث النمو والتطور ودراسات القياسات الرأسية التأثير الوراثي القوي المعدّل بالعوامل الوظيفية المعاوضة، وتجعله أساساً لهذا الصنف.
ولهذا الصنف نموذجان ويرافق كلاً منهما أعراض سنية وعضلية ووظيفية وإطباقية، وتجب معالجة هذا الصنف في مرحلة النمو، ولاسيما النموذج الثاني قبيل البلوغ الجنسي للمريض وفي حينه، وذلك بالتأثير في نمو المركب الفكي العلوي وإعاقته بالوسائل الميكانيكية.
وفي الصنف الثالث يبرز الفك الأسفل: وفي هذه الحالة تكون الرحى الأولى السفلية الدائمة إلى الأنسي من مكانها في الإطباق الطبيعي حيال الرحى الأولى العلوية الدائمة، وتعكس بقية الأسنان الدائمة هذه العلاقة حين الإطباق، وقد تكون الأسنان الأمامية الدائمة السفلية إلى الوجه الدهليزي من الأسنان المماثلة العلوية في عضة معكوسة cross - bite (حيث يكون الفك السفلي بارزاً عن الفك العلوي) وفي أغلب الأحيان تكون مائلة نحو الوجه الحنكي، وفي بعض الحالات الأقل شدة، تكون الأسنان الأمامية في علاقة حد لحد، أو قد تكون السفلية إلى الوجه اللساني من العلوية. ويكون الوجه في هذا الصنف من سوء الإطباق، مقعراً وتكون القاعدة العظمية للفك الأسفل أمام مكانها في الإطباق الطبيعي، وترجع أسبابه إلى التأثير الوراثي. ويجب أن تتم معالجة هذا الصنف في أثناء النمو، كما في الصنف الثاني، ولاسيما قبيل مدة البلوغ الجنسي وفي حينها حتى نهايتها، وذلك بالتأثير في نمو الفك السفلي وإعاقته بالوسائل الميكانيكية (تقويم عظمي) علماً بأن معالجته من أصعب المعالجات التقويمية منالاً.
وفيما يتصل بأسباب سوء الإطباق فيجب الاعتراف بأن أي تقسيم للأسباب المؤدية إلى سوء الإطباق تقسيم اعتباطي، ولا يلجأ إليه إلا لسهولة التحليل، فمن المؤكد أن تبادل العلاقة بين الشكل والوظيفة وقابلية تكيف هذه العلاقة عفوياً باختلاف الحالات يؤدي إلى عوامل عدة معدلة تنتج منها الحالة الحاضرة. وهناك محاولات كثيرة لتصنيف الأسباب المرضية، منها تقسيمها إلى أسباب عامة وأسباب موضعية.
أما الأسباب العامة فهي تؤثر في الإطباق من بعيد وليس لها علاقة مباشرة بالإطباق. من هذه الأسباب: الوراثة، والعيوب الخلقية والبيئة، ما قبل الولادة وبعدها، والشروط الاستقلابية المرضية، والأمراض العامة، والمشاكل الغذائية، والعادات الضاغطة غير الطبيعية، والوظائف الخاطئة، والرضاعة الاصطناعية الخاطئة، ومص الإصبع أو اللسان، والوضع اللساني، وعض الشفة والأظافر والبلع غير الطبيعي، وبعض الآلات الموسيقية النفخية، والعيوب الكلامية، والتنفس الخاطئ (الفموي) والضزز trismus والانفعال العضلي الخاطئ لعضلات الوجه والمضغ. (والضزز هو تقلص شديد يصيب العضلات الماضغة، وهو العلامة الأولى للكزاز لكنه كثيراً ما يظهر بعد خمج من منشأ سني أو من التهاب يصيب اللوزتين).
أما الأسباب الموضعية، فلها علاقة مباشرة بالإطباق، من هذه الأسباب.. عدد الأسنان، زيادة أو نقصاً، وشذوذات فجوم الأسنان وشكلها، واللجام الشفوي وفقد الأسنان المؤقتة باكراً، أو بقاؤها مدة أكثر من المدة الطبيعية، وتأخر بزوغ الأسنان الدائمة، أو بزوغها الخاطئ، والتصاق المفصل السنخي السني والتسوس السني والمعالجات السنية الخاطئة.
ويجب أن لا يغرب عن البال احتمال تداخل العوامل العامة والموضعية أحياناً.
التشخيص
إن معرفة نماذج سوء الإطباق وتصانيفها وأسبابها المحتملة ضروري جداً لإيجاد تصور إجمالي لحقل تقويم الأسنان. ويتطلب ذلك اتباع أسلوب تشخيص مناسب للحصول على المعلومات المفيدة، واستغلال هذه المعلومات، وترجمتها التحليلية العقلانية البارعة. علماً بأن المشكلات التقويمية لا يمكن إرجاعها دائماً إلى قواعد بسيطة ومعادلات حيوية. ويجب التأكد من أن التشخيص مؤقت دائماً، وإجراء مستمر، وعرضة للتغيير عندما تتوافر معلومات تشخيصية جديدة توجب ذلك.
وفي نطاق الوسائل التشخيصية يمكن الحصول على المعلومات التشخيصية باستعمال الوسائل التالية مجتمعة، فلا فائدة من الاعتماد على وسيلة واحدة فقط. من هذه الوسائل ما هو سريري، ومنها ما هو مخبري تحليلي. علماً بأن أي تحليل أو قياس لا يعطي نتائج مطلقة بل قريبة من الصحة.
أما الفحوص السريرية فتشمل: تاريخ الحالة المرضية العامة والخاصة، والفحص السريري للوجه والإطباق.
وأما الفحوص المخبرية فتشمل: دراسة الأمثلة الجبسية، ودراسة الصور الشعاعية السنية، ودراسة الصور الشمسية لوجه المريض، ودراسة الصور الشعاعية الخاصة بمقاييس الرأس بالأوضاع المختلفة، ودراسة الصور الشعاعية المختلفة. ولاسيما في أثناء التصويت، ودراسة صور شعاعية إطباقية وصور يمنى ويسرى مع ميل 45ْ وصور فكية جانبية، وتخطيط النشاط العضلي، ودراسة صور شعاعية لرسغ المريض لتقدير عمره، واختبار معدل الاستقلاب والفحوص الهرمونية الأخرى.
عواقب سوء الإطباق ـ مسوِّغات إجراء المعالجة التقويمية
يهدف معظم الناس من المعالجة التقويمية إلى جمال المظهر الذي له شأنه الكبير بين دواعي المعالجة، ولأهميته للمريض ووالديه. أما مقوِّم الأسنان والجرَّاح فيتعاملان مع العلاقة المهمة بين الجمال والصورة الذاتية المنشودة والتعديل النفسي. ويستعملان أسلوباً واحداً للمعالجة هو تعديل الشكل لتحسين الواقع. ولكن الجمال عامل واحد بين الكثير من الفوائد التي يحصل عليها بتصحيح سوء الإطباق. فهنالك الصحة السنية، ووظيفة الجهاز الفموي، والمحافظة على الأسنان والنسج الداعمة لمدة طويلة، والصحة النفسية وغيرها... وعلى العموم يجب حين معالجة سوء الإطباق معالجة الأمور التالية: العيوب النفسية والاجتماعية، وسوء المظهر، وسوء النمو والتطور، والوظيفة العضلية غير الطبيعية أو الخاطئة، والبلع الخاطئ، والتنفس الفموي، والمضغ الخاطئ، والعيوب الكلامية، ولاسيما في حالات شق الشفة وقبة الحنك الكامل في الجانب الواحد أو في الجانبين، وزيادة حوادث النخر، والتعرض للأمراض اللثوية، واضطرابات المفصل الفكي ـ الصدغي، والتعرض للحوادث أو الاصطدامات، وعدم بزوغ الأسنان وإمكان إحداثها خرّاجات وغيرها، ومشاكل التعويضات الصناعية [ر. الأسنان (تعويضات ـ)].
الاستجابة النسيجية للحركة السنية التقويمية
الأسنان أصلب عضو في جسم الإنسان وهي مثبتة في العظم، تنسحل سطوحها الطاحنة والإنسية والوحشية حين استعمالها بمرور الزمن، تتحرك فيزيولوجياً في أسناخها مدى الحياة، حتى إنها تخرج منها كلما تقلص القلب، وتعود إليها عندما ينبسط، فيها القدرة على البزوغ المستمر والانسلال نحو الأنسي (الخط المتوسط) مادامت باقية في الفم، وذلك بفعل الرباط السنخي ـ السني الذي يحوي النسج الرباطية الضامة، من خلايا متميزة وغير متميزة، وشبكات وعائية دموية ولمفاوية، وأعصاب وألياف داعمة، وسائل خلوي مالئ بين هذه العناصر. يشكل ذلك الرباط غلافاً حول جذر السن سماكته بالمتوسط 0.2 مم يربطه إلى العظم السنخي.
وسواء كانت الأسنان في إطباق طبيعي أو في سوء إطباق فهي متوازنة بيئياً، ثابتة فيزيولوجياً في أمكنتها عندما يكون مجموع القوى الداخلية والخارجية المؤثرة فيها صفراً. وتتحرك بفعل استجابة النسج ما حول السنية للمؤثرات الخارجية (القوة). وقد مكَّن هذا من إجراء الحركة السنية التقويمية وجعلها أمراً ممكناً. فعندما تطبق القوة على تاج السن، تنتقل إلى جذره، ومنه إلى الرباط السنخي السني، فتنفعل النسج الرباطية والسنخية، ويحدث تميز وتوضع معين في الخلايا وتنشط الدورة الدموية، وتتغير المسافة الرباطية، فتتكون مناطق انضغاط فيها أمام السن باتجاه القوة، وتوسع وشد فيها خلف السن. تتوضع الخلايا ناقضة العظم والعناصر المسؤولة عن الارتشاف العظمي في مناطق الضغط من الرباط فيمتص العظم وتسير السن باتجاه القوة، ومن جهة أخرى تتوضع الخلايا المولدة للعظم والعناصر المسؤولة عن البناء العظمي والترميم في مناطق الشد على العظم، فيحدث البناء العظمي خلف السن، وهكذا تنتقل السن والعظم السنخي المحيط بها باتجاه القوة التقويمية المطبقة.
ومن أهم الأمور التي تجعل الحركة السنية التقويمية أمراً ممكناً أن الملاط المحيط بالجذر السني أشد مقاومة للارتشاف من العظم. ولو كان الأمر عكس ذلك لفقدت جذور الأسنان وبالتالي الأسنان، ولما كان مستطاعاً إجراء الحركة السنية التقويمية.
قد تصاب بعض جذور الأسنان بالارتشاف في أثناء إجراء الحركة التقويمية، وترتشف الجذور أحياناً من دون إجراء الحركة التقويمية، لكن ارتشافها مع الحركة التقويمية أكثر حدوثاً وأوسع شمولاً، ولاسيما عند بعض الناس المهيئين لذلك. ويعمل الرباط والعظم السنخي على ترميم النسج المتأثرة بالحركة التقويمية، فيعيد الرباط السنخي والعظم السنخي ترتيب وضعهما بحسب الأبعاد المقررة وراثياً لكل منهما في مكانه الجديد، ويحدث الأمر نفسه أيضاً في الجذر السني إذا كان تطبيق القوة المحرضة ضمن إمكانات العضوية الحيوية ويؤدي إغفال هذه الإمكانات أو تجاوزها إلى تأذي النسج المتأثرة بالحركات التقويمية أو إلى موتها أحياناً، فالحركة السنية التقويمية هي ذلك النهج المرضي الذي تشفى منه النسج أو لا تشفى.
الأجهزة التقويمية
مادام العظم مرناً حيوياً، متكيفاً مع القوى الوظيفية والمتطورة مستجيباً للضغط بالارتشاف، وللشد بالتشكل العظمي، ومادامت الأسنان تتحرك وتعكس المؤثرات الموضعية المختلفة فيها بتغيير أمكنتها وتعديلها مدى الحياة، فمقوم الأسنان يستغل هذا النهج الحيوي. ولقد وصف العظم السنخي بأنه خادم مقوم الأسنان، إذ إن العمليات الأساسية الحيوية تأخذ مجراها، وتقوم بعملها المطلوب من الجسم قبل أن يتدخل مقوم الأسنان وفي أثناء الحركة التقويمية المنجزة بالأجهزة التقويمية، وبعد الانتهاء من هذه الحركة. قال أنغل: «كل ما نستطيع عمله هو الدفع أو الشد، أو تدوير السن». وقال واينستين Weinstein باختصار: «يوجد مرض واحد فقط هو سوء الإطباق، وعلاج واحد هو القوة. وهناك الكثير من الطرائق لتطبيق تلك القوة». فالعلاج المستعمل في تقويم الأسنان هو القوة الخارجية، أو الضغط على السن أو الأسنان بوساطة الأجهزة التقويمية داخل الفم، فتدفع السن في سنخها بحسب اتجاهها، ويؤدي ذلك إلى ضغط النسج الرباطية أمام السن وشد هذه النسج خلفها. وقد تطبق القوة بوساطة الأجهزة التقويمية من خارج الفم على الأسنان أو على الفك، أو عليهما معاً، فتؤثر في نمو الفك أو في اتجاهه أو في كليهما.
يوجد الكثير من أشكال الأجهزة التقويمية المستعملة وتصاميمها منها: الأجهزة التي تحرك الأسنان فقط، والأجهزة التي لاتحرك الأسنان ولكنها أجهزة مساعدة، والأجهزة التي تتدخل في نمو الفكين وتطورهما.
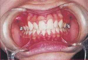
أما الأجهزة التي تحرك الأسنان فتطبق داخل الفم وهي: ـ أجهزة ثابتة على الأسنان سواء ثبتت على سطوحها الدهليزية أو اللسانية، أو كانت محيطة بالأسنان، تبقى ثابتة في الفم حتى الانتهاء من الطور الفعال للمعالجة التقويمية (الشكلان 3-4).
ـ أجهزة متحركة تطبق على الأسنان والنسج الفموية داخل الفم، ويستطيع المريض رفعها في أثناء المعالجة وإعادتها إلى أمكنتها متى أراد (الشكل 5).
ـ أجهزة ثابتة ومتحركة في الوقت نفسه (مشتركة). أقسام منها ثابتة وأخرى متحركة. ويعد الجهاز الموافق لحالة المريض هو الأصلح والأفضل. ويجب تطبيق الجهاز المناسب للحالة المناسبة ولكل من هذه الأجهزة مكان واستطباب معينان ولكل منها حسناته وسيئاته. تطبق هذه الأجهزة على السن أو مجموعة الأسنان القوة المختارة المقدار والاتجاه لتتم الأمور وفقاً لما هو مقترح في خطة المعالجة.
قد تلحق بهذه الأجهزة وسائل أخرى مساعدة من أزرار أو دبابيس أو حلقات مطاطية أو خيوط مرنة أو نوابض أو موسعات أو غيرها، لتساعد في تحقيق أهداف المعالجة. وأما الأجهزة التي لا تحرك الأسنان فقد تطبق إما قبل المعالجة وقائياً مثل حافظات المسافة أو كابح اللسان وغير ذلك، وإما في أثنائها أو بعد الانتهاء من طور المعالجة الفعال أي في مدة التثبيت. وقد تكون هذه الأجهزة من النوع الثابت أو المتحرك أو المشترك.
وأما الأجهزة التي تتدخل في نمو الفكين وتطورهما فهي تطبق خارج الفم على الرقبة أو الرأس أو عليهما. فجهاز حزام الرأس headgrear يطبق على الفك العلوي، وجهاز حزام الذقن chincap يطبق على الفك السفلي. وقد يطبق الجهاز داخل الفم على الفك العلوي فقط لفتح الدرز المتوسط ودرز قبة الحنك. يعمل حزام الرأس على إعاقة النمو كمياً أو يغير اتجاهه في المركب الفكي العلوي، وقد يستعمل نادراً على الفك السفلي. فيعيق نمو المركب الفكي العلوي في حالات بروز هذا المركب، كما في حالات الصنف الثاني في سوء الإطباق، وذلك بالمشاركة مع الأجهزة التي تطبق على الأسنان. وقد يستعمل حزام الرأس لدفع الأرحاء الدائمة العلوية نحو الوحشي (الخلف) أو لتثبيتها في أمكنتها، وعندها يكون جهازاً مساعداً. وقد يستعمل للمساعدة في إغلاق العضة المفتوحة أو فتح العضة المغلقة.
أما حزام الذقن فيطبق على الفك السفلي لإعاقة نموه أو لتغيير اتجاه هذا النمو. يستعمل في حالات بروز الفك السفلي أو حالات العضة المفتوحة الهيكلية ليساعد في إغلاقها. يستعمل كل من حزام الذقن وحزام الرأس عادة بالمشاركة مع الأجهزة داخل الفم، وقد تستعمل هذه الأجهزة وحدها أحياناً. تطبق هذه الأجهزة في مرحلة النمو المناسبة لإجراء التقويم، أي قبيل مرحلة البلوغ الجنسي وقبلها بنحو سنة أو سنتين وفي حينها، وفي مرحلة بعدها قد تطول أو تقصر بحسب الحالة المرضية.
أما جهاز فتح درز قبة الحنك فيستعمل في حالات خاصة للتغلب على قصور نمو الوجه المتوسط (مركب الفك العلوي)، وتكون باقي أجزاء الوجه منسجمة. يطبق في الأعمار المبكرة ولاسيما في أثناء مرحلة النمو المناسبة، وبالمشاركة مع الأجهزة داخل الفم، وأحياناً مع الأجهزة خارج الفم (حزام الذقن)، أما جهاز الغطاء الوجهي facial mask فهو نوع معدل من جهاز حزام الذقن، ويستعمل للغرض نفسه كحزام الذقن ولكن في الحالات الشديدة جداً من بروز الفك السفلي.
انظر أيضاً
المصادر
الهامش
|
|
وصلات خارجية
- Interview of Dr. Raymond Begg in the Journal of Clinical Orthodontics (September 1967)
- Begg technique
- http://orthofree.com/default.asp