التصوير الطبي في الحمل

يمكن الاستطباب إلى التصوير الطبي أثناء الحمل بسبب مضاعفات الحمل أو الأمراض الواغلة في الحمل أو الرعاية الروتينية قبل الولادة.
خيارات
تشمل خيارات التصوير التشخيصي الطبي أثناء الحمل ما يلي:
- لا يرتبط التصوير بالرنين المغناطيسي بدون وسط التباين في التصوير بالرنين المغناطيسي وكذلك التصوير بالموجات فوق الصوتية التوليدية بأي خطر على الأم أو الجنين، وهي تقنيات التصوير المفضلة للنساء الحوامل.[1]
- ينتج التصوير الشعاعي والتصوير المقطعي المحوسب والطب النووي درجة من التعرض للإشعاع المؤين، ولكن مع بعض الاستثناءات بجرعات الطاقة الممتصة أقل بكثير من ما يرتبط بضرر الجنين.[1] يشار إليها عندما لا يكون التصوير بالموجات فوق الصوتية أو التصوير بالرنين المغناطيسي متاحًا بسهولة أو غير ممكن للسؤال التشخيصي في متناول اليد.[1]
- إن المادة المظللة، عندما يتم إعطاؤها عن طريق الفم، غير ضارة.[1] يمكن أن تعبر المعالجة الوريدية لعوامل التباين الشعاعي باليود المشيمة ويدخل الدورة الدموية للجنين، لكن الدراسات على الحيوانات لم تبلغ عن أي تأثيرات ماسخة أو مطفرة من استخدامه. كانت هناك مخاوف نظرية حول الضرر المحتمل لليود الحر على الغدة الدرقية الجنينية،[1] ولكن أظهرت دراسات متعددة أن جرعة واحدة من وسط التباين المعالج باليود إلى الأم الحامل ليس لها تأثير على وظيفة الغدة الدرقية الوليدية.[2] ومع ذلك، يوصى عمومًا بعدم استخدام التباين الراديوي إلا إذا كان ذلك مطلوبًا تمامًا للحصول على معلومات تشخيصية إضافية من شأنها تحسين رعاية الجنين أو الأم.
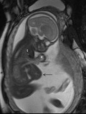
تصوير بالرنين المغناطيسي
التصوير بالرنين المغناطيسي، بدون وسط تباين في التصوير بالرنين المغناطيسي، لا يرتبط بأي خطر على الأم أو الجنين، وإلى جانب تخطيط الصدى الطبي هو الأسلوب المفضل للتصوير الطبي في الحمل.[1]
سلامة
في الثلث الأول من الحمل، لم يوثق أي أدب معروف آثارًا ضارة محددة في مراحل تطور الجنين البشري أو الأجنة المعرضة للتصوير بالرنين المغناطيسي غير المتناقض خلال الأشهر الثلاثة الأولى.[3] خلال الثلث الثاني والثالث، هناك بعض الأدلة لدعم غياب المخاطر، بما في ذلك دراسة بأثر رجعي لـ 1737 طفلاً مكشوفين قبل الولادة، تظهر عدم وجود فرق كبير في السمع، المهارات الحركية أو الإجراءات الوظيفية بعد فترة متابعة متوسطة تبلغ سنتين.[3]
يرتبط وسط التباين في التصوير بالرنين المغناطيسي في الأثلوث الأول بزيادة طفيفة في خطر تشخيص الطفولة للعديد من أشكال الروماتزم، أو الالتهابات، أو الأمراض الجلدية، وفقًا لدراسة استعادية تشمل 397 رضيعًا تعرضوا قبل الولادة إلى وسط التباين في التصوير بالرنين المغناطيسي.[3] في الأثلوثين الثاني والثالث، يرتبط وسط التباين في التصوير بالرنين المغناطيسي مع زيادة طفيفة في اختطار الإملاص أو وفيات حديثي الولادة، من خلال نفس الدراسة.[3] ومن ثم، يوصى بأن يكون وسط التباين في التصوير بالرنين المغناطيسي محدودًا، ويجب استخدامه فقط عندما يحسن بشكل كبير الأداء التشخيصي ويتوقع أن يحسن نتائج الجنين أو الأم.[1]
استخدامات شائعة
يستخدم التصوير بالرنين المغناطيسي عادة في النساء الحوامل المصابات بالألم البطني و / أو الألم الحوضي، أو في الاضطرابات العصبية المشتبه فيها، وأمراض المشيمة، والأورام، والعدوى، و / أو الأمراض القلبية الوعائية.[3] تعطي معايير الاستخدام المناسبة من قبل الكلية الأمريكية للأشعة تصنيف ≥7
(مناسب عادة) للتصوير بالرنين المغناطيسي غير المتباين للظروف التالية:
- ألم حاد غير موضعي في الربع العلوي الأيمن أو الربع السفلي الأيمن (في الحمى المتزامنة وكثرة الكريات البيض).[3]
- ألم حوضي عند الاشتباه في وجود سبب غير متعلق بالأمراض النسائية.[3]
- المرض الصفراوي المشتبه به مثل اليرقان.[3]
- يشتبه في مرض البنكرياس.[3]
- صداع شديد جديد يبدأ.[3]
- سرطان تم تشخيصه حديثًا.[3]
التصوير الشعاعي والطب النووي
آثار الجنين عن طريق جرعة الإشعاع
يمكن تجميع الآثار الصحية لعلم الأحياء الإشعاعي في فئتين عامتين:
- الآثار العشوائية، أي السرطان الناجم عن الإشعاع والآثار الموروثة التي تنطوي على تطور السرطان لدى الأفراد المعرضين بسبب طفرة الخلايا الجسدية أو المرض الوراثي في نسلهم بسبب طفرة الخلايا التناسلية (الجرثومية).[4] يكون خطر الإصابة بالسرطان الناجم عن الإشعاع في مرحلة ما من الحياة أكبر عند تعريض الجنين أكثر من البالغين، لأن الخلايا تكون أكثر ضعفًا عندما تنمو، ولأن هناك عمرًا أطول بكثير بعد الجرعة لتطور السرطان.
- التأثيرات القطعية (تفاعلات الأنسجة الضارة) التي ترجع في جزء كبير منها إلى قتل / عطل الخلايا بعد الجرعات العالية.
تمت دراسة التأثيرات الحتمية على سبيل المثال للناجين من القصف الذري على هيروشيما وناجازاكي وحالات حيث كان العلاج الإشعاعي ضروريًا أثناء الحمل:
العمر الحملي | الإخصاب البشري | تأثيرات | جرعة العتبة المقدرة (مللي جراي) |
---|---|---|---|
2 إلى 4 أسابيع | 0 إلى 2 أسبابيع | الإجهاض التلقائي أو لا شيء (الكل أو لا شيء) | 50 - 100[1] |
4 إلى 10 أسابيع | 2 إلى 8 أسابيع | العيوب الخلقية الهيكلية | 200[1] |
تحديد النمو داخل الرحم | 200 - 250[1] | ||
10 إلى 17 أسبوعًا | 8 إلى 15 أسبوعًا | التخلف العقلي الشديد | 60 - 310[1] |
18 إلى 27 أسبوعًا | 16 إلى 25 أسبوعًا | التخلف العقلي الشديد (مخاطر أقل) | 250 - 280[1] |
ويقدر العجز الفكري بحوالي 25 نقطة ذكاء لكل 1000 مللي جرام في عمر 10 إلى 17 أسبوعًا من عمر الحمل.
جرعات إشعاع الجنين بطريقة التصوير
طريقة التصوير | جرعة الطاقة الممتصة للجنين من الإشعاع المؤين (مللي جراي) |
---|---|
التصوير بالأشعة | |
العمود الفقري العنقي من خلال منظورين (الأمامي الخلفي والجانبي) | < 0.001[1] |
الأطراف | < 0.001[1] |
تصوير الثدي الشعاعي بواسطة مشاهدتين | 0.001 - 0.01[1] |
تصوير الصدر بالأشعة السينية | 0.0005 - 0.01[1] |
تصوير البطن بالأشعة السينية | 0.1 - 3.0[1] |
العمود الفقري القطني | 1.0 - 10[1] |
تصوير الحويضة الوريدي | 5 - 10[1] |
حقن الباريوم مزدوجة التباين | 1.0 - 20[1] |
تصوير مقطعي محوسب | |
الرأس أو العنق | 1.0 - 10[1] |
الصدر، بما في ذلك تصوير الأوعية الدموية الرئوية | 0.01 - 0.66[1] |
محدود قياس الحوض المقطعي المحوسب بواسطة شريحة محورية واحدة من خلال رؤوس الفخذ | < 1[1] |
البطني | 1.3 - 35[1] |
الحوض | 10 - 50[1] |
طب نووي | |
جرعة منخفضة من التروية | 0.1 - 0.5[1] |
أشعة ملونة مع تكنيشيوم-99m | 4 - 5[1] |
تصوير الأوعية الدموية بالطرح الرقمي الرئوي | 0.5[1] |
جسم كامل PET / CT مع 18F" | 10 - 15[1] |
سرطان الثدي الناجم عن الإشعاع
يبدو أن خطر إصابة الأم بسرطان الثدي الناجم عن الإشعاع مرتفع بشكل خاص بالنسبة للجرعات الإشعاعية أثناء الحمل.[5] [6]
هذا عامل مهم عند تحديد ما إذا كان على سبيل المثال تحديد ما إذا كان فحص التهوية / التروي أو الانصمام الرئوي هو التحقيق الأمثل في النساء الحوامل اللواتي يشتبه بانصمام رئوي. يمنح الفحص جرعة إشعاع أعلى للجنين، بينما يمنح تصوير الأوعية الدموية الرئوية جرعة إشعاع أعلى إلى ثدي الأم. اعتبرت مراجعة من المملكة المتحدة في عام 2005 أن تصوير الأوعية الدموية الرئوية أفضل بشكل عام في الانصمام الرئوي المشتبه به في الحمل بسبب الحساسية العالية والنوعية بالإضافة إلى التكلفة المتواضعة نسبيًا.[7]
انظر ايضا
مصادر
- ^ أ ب ت ث ج ح خ د ذ ر ز س ش ص ض ط ظ ع غ ف ق ك ل م ن هـ و ي أأ "Guidelines for Diagnostic Imaging During Pregnancy and Lactation". الكلية الأمريكية لأطباء الأمراض النسائية والتوليد. February 2016
- ^ "ACR Manual on Contrast Media. Version 10.3" (PDF). American College of Radiology Committee on Drugs and Contrast Media.
- ^ أ ب ت ث ج ح خ د ذ ر ز Mervak, Benjamin M.; Altun, Ersan; McGinty, Katrina A.; Hyslop, W. Brian; Semelka, Richard C.; Burke, Lauren M. (2019). "MRI in pregnancy: Indications and practical considerations". Journal of Magnetic Resonance Imaging. 49 (3): 621–631. doi:10.1002/jmri.26317. ISSN 1053-1807. PMID 30701610.
- ^ Paragrapgh 55 of "The 2007 Recommendations of the International Commission on Radiological Protection". Ann. ICRP 37 (2-4)
- ^ Ronckers, Cécile M; Erdmann, Christine A; Land, Charles E (2004). "Radiation and breast cancer: a review of current evidence". Breast Cancer Research. 7 (1): 21–32. doi:10.1186/bcr970. ISSN 1465-542X. PMC 1064116. PMID 15642178.
{{cite journal}}
: CS1 maint: unflagged free DOI (link) - ^ Mallick, Srikumar; Petkova, Dimitrina (2006). "Investigating suspected pulmonary embolism during pregnancy". Respiratory Medicine. 100 (10): 1682–1687. doi:10.1016/j.rmed.2006.02.005. ISSN 0954-6111.
- ^ خطأ استشهاد: وسم
<ref>
غير صحيح؛ لا نص تم توفيره للمراجع المسماةMallickPetkova20062