مشيمة
| مشيمة Placenta | |
|---|---|
المشيمة | |
| Details | |
| السلف | decidua basalis, chorion frondosum |
| المُعرفات | |
| MeSH | D010920 |
| TE | E5.11.3.1.1.0.5 |
| المصطلحات التشريحية | |

المشيمة Placenta، عضو دائري مسطح الشكل يتصل بالجنين عن طريق الحبل السري في الرحم ويتم خروج المشيمة من جسم الأم بعد الولادة مباشرة. يصل قطر المشيمة في نهاية الحمل نحو 16 سم وثخنها 1.5-3 سم في الوسط و4-6 ملم في المحيط، يتراوح وزنها بين 600 و700 گرام ما يعادل سبع وزن الجنين أو سدسه.
التعريف
المشيمة عضو شبه أسطواني ينمو متصلاً بباطن جدار الرحم عند معظم الثدييات. تمد المشيمة الجنين بالطعام والأكسجين، وتسحب نتاج نفايات الجنين. كما أن العضو ينتج كيميائيات تُسمى هورمونات تحافظ على الحمل وتنظم نمو الجنين.
تتكون المشيمة من أنسجة من الأم ومن الجنين. وبعد الأسبوع الأول من الحمل، يلصق الجنين نفسه بجدار الرحم (العضو الذي ينمو فيه الجنين). وتتكون المشيمة كأعمدة من الخلايا من المشيماء (غطاء يشبه الكيس يحوي الجنين) تخترق وتنفذ خلال البطانة الرحمية. وفي داخل الأعمدة، توجد أوعية دموية تتفرع إلى نتوءات صغيرة تشبه الأصابع تُسمى الزغابات. والزغابات التي تحتوي على دم الجنين محاطة بدم الأم. ولا يختلط دم الجنين بدم الأم.
ويمر الدم والأكسجين من دم الأم خلال الجدران الضعيفة للزغابات ويدخل إلى دم الجنين. وهذا الدم الغني بالغذاء والأكسجين يصل إلى الجنين خلال وريد في الحبل السري، وهو أنبوب مرن يربط الطفل بالمشيمة. ويُحمل نتاج النفايات من الجنين خلال الشرايين في الحبل السري ويعبر خلال الزغابات. ويتخلص نظام الدورة الدموية للأم من هذه النفايات. وبعد دقائق من ولادة الطفل تنفصل المشيمة ـ التي تسمى أحيانًا الخَلاص ـ من الجسم.
الوظيفة
للمشيمة ثلاث وظائف رئيسية وهي:
- تغذية الجنين[1]
- التنفس إذ ان المشيمة تقوم بوظيفة الرئتين فيحصل الجنين بواسطتها علي الأكسجين ويطرح ثاني أكسيد الكربون.
- تثبيت الحمل و ذلك بفرزها هرمون الپروجسترون الذي يساعد علي استمرار الحمل.
النشأة والتركيب

حين تعشيش البيضة الملقحة في الرحم تكون مؤلفة من طبقتين:
الطبقة المغذية trophoblast في المحيط، والمضغة embryo في الوسط.
تنشأ من خلايا الطبقة المغذية استطالات شعاعية صغيرة تشكل الزغابات villus تظهر بينها أجواف صغيرة متفرقة. ولهذه الزغابات قدرة حالة للبروتين فتفتح الأوعية الوالدية وينصب محتواها في الأجواف بين الزغابات ويبدأ بذلك الدوران الوالدي - المشيمي.
تختلط الأجواف بين الزغابات بعضها ببعض مشكلة في وسط الطبقة المغذية حجيرة متمادية كبحيرة دموية محصورة بين الطبقة الخلوية المماسة لغشاء الرحم من جهة (الصفيحة القاعدية decidua basalis) والطبقة الخلوية المماسة للمضغة (الصفيحة الكوريونية chorial) من جهة أخرى. وتلتصق الصفيحتان القاعدية والكوريونية في محيط المشيمة التصاقاً وثيقاً. وفي هذه الحجيرة الدموية ينصب الدم الآتي من غشاء الرحم من جهة، وتسبح فيها الزغابات الكوريونية الجنينية المنشأ من الجهة المقابلة.
تحدث كل هذه التشكلات حتى نهاية الشهر الثالث من الحمل، وفي الشهر الرابع تنشأ من الصفيحة القاعدية حواجز خلوية تبرز في المسافات بين الزغابات من دون أن تصل إلى الصفيحة الكوريونية. تقسم هذه الحواجز المسافة بين الزغابات إلى عدد من الأجواف الفلقية يراوح عددها بين 15 و30 يحوي كل منها شجرة زغابية كاملة.
تحافظ المشيمة من الشهر الخامس حتى نهاية الحمل على هذا البناء، ويزداد حجمها وتتضاعف فيها الزغابات، وتتألف من عنصرين أحدهما والدي هو الغشاء الساقط الرحمي المشيمي والثاني جنيني هو المشيمة بالخاصة:
ـ الغشاء الساقط الرحمي: هو بطانة الرحم التي تطورت في أثناء الحمل بما يناسـب تعشيش البيضة الملقحة ونموها، ويتألف من طبقتين: عميقة إسفنجية مؤلفة من الأنابيب الغدية المفرطة النمو والغزيرة التوعية، وسطحية كثيفة تجتازها الأوعية الرحمية المشيمية التي تنفتح في الحجيرة بين الزغابات، وهذه الطبقة السطحية هي التي تنفصل عن جدار الرحم وتنطرح مع المشيمة بالخاصة بعد الولادة.
ـ المشيمة بالخاصة: تتألف من الصفيحتين الكوريونية والقاعدية الملتصقتين في المحيط وبينهما الحجرة بين الزغابات والزغابات التي تشغلها. يأتي الدم الشرياني للحجرة بين الزغابات من مئات الشرايين الرحمية المشيمية التي تجتاز الصفيحة القاعدية وتتفتح في مراكز الأجواف الفلقية، وينصب الدم منها بضغط مرتفع (70 -80 ملم من الزئبق). ويمتص الدم من الحجرة بوساطة فتحات كثيرة على الصفيحة القاعدية في محيط الفلق حيث لا يتجاوز الضغط فيها 7 - 8 ملم من الزئبق.
أما الزغابات التي تحمل تفرعات الشرايين والأوردة السرية فتبرز في الحجرة بين الزغابات بحالة انتعاظ حقيقي لفرق الضغط في داخل الزغابة (48 ملم من الزئبق) وفي الحجرة بين الزغابات (10 ملم). فالدوران الوالدي إذن يبلغ الحجرة بين الزغابات، في حين يفصل الدوران الجنيني عن الحجرة جدران الزغابات المحيطة بأوعيتها، ومن خلال هذه الجدران تحدث المبادلات المختلفة بين الدمين. وعلى الرغم من هذا فقد ثبت وجود بعض عناصر دم الجنين في دم الأم بكميات قليلة جداً، والعكس صحيح.
التشريح
للمشيمة وجهان ومحيط: وجه رحمي محدب أحمر مدمى مزغب لامع عليه أثلام تقسمه فصوصاً تدعى فلق المشيمة cotyledon عددها 15-30 فلقة، ووجه جنيني أملس يستره غشاء شفاف يسمى الغشاء الأمينوسي amnion يرتكز السرر على هذا الوجه وترى عليه تشعباته وتوزعها بين الفلق المشيمية.
أما محيط المشيمة فتتمادى فيه المشيمة مع الأغشية التي تحيط بالجنين مشكلة جيباً يحوي السائل الأمينوسي، الذي يتحرك فيه الجنين.[2]
فيسيولوجيا المشيمة
تقوم المشيمة بالمبادلات المختلفة بين دم الجنين ودم الحامل، وتقوم في سبيل ذلك بالنقل والتحليل والتركيب حتى تشبه أفعالها أفعال أجهزة الهضم والتنفس والدوران والبول عند الكهل، كما تقوم بإفراز عدد من الهرمونات والخمائر. والغاية من قيام المشيمة بكل أعمالها تثبيت الجنين وصيانته واستمرار بقائه ونموه في الرحم وضمان حياته حتى بعد ولادته بتهيئة أثداء الأم لوظيفة الإرضاع.
المبادلات الوالدية الجنينية
تتم هذه المبادلات بآليات مختلفة:
- تمر بعض المواد بالانتشار البسيط بحسب اختلاف كثافتها في إحدى الجهتين عن الأخرى، وهكذا يمر الأكسجين من دم الحامل إلى دم الجنين ويمر غاز أكسيد الفحم من دم الجنين إلى دم الحامـل، كما تمر إلى الجنين الغازات السامة والمخدرات والكحول، وبعض الأملاح المنحلة وبعض الأدوية.
- وتمر بعض المواد بوساطة الذرات الحاملة، فتدخل المادة في تركيب أحد المركبات في أحد طرفي الغشاء وتتحرر على طرفه الثاني. وهكذا تمر السكريات والكلسيوم والكلور وبعض الأدوية.
- وتمر بعض المواد بآليات معقدة من تحليل وتركيب في طرفي الغشاء، وهكذا تنتقل بعض الذرات الكبيرة من دوران الوالدة إلى دوران الجنين كالدسم والبروتينات وغيرها.
وتتوقف أنواع المواد التي تجتاز الزغابات المشيمية وكمياتها وسرعة مرورها - عدا تركيبها - على عدة عوامل منها:
- سعة سطح الزغابات الذي يراوح بين 7 و12 متراً مربعاً.
- ثخن جدار الزغابة الذي لا يتعدى الميكرونين في نهاية الحمل.
- ضغط السوائل الموجودة في الطرفين وهو 10ملم من الزئبق في المسافة بين الزغابات، و30 - 35 ملم من الزئبق في الشعريات الجنينية.
- الضغط الحلولي الأكثر ارتفاعاً في الدوران الجنيني.
- سرعة دوران الدم الوالدي والجنيني في المشيمة، ويقدر بـ 60مل/د في الدوران الوالدي و 70 - 200 مل/د في الدوران الجنيني.
المشيمة مصفاة وسد مناعي
تسمح المشيمة بمرور الفيروسات من الوالدة إلى الجنين حتى الشهر الخامس من الحمل، وهو الزمن الذي يبدأ فيه الجنين بصنع أضداده antibodies الخاصة، ولكنها في الوقت نفسه تمنع مرور كثير من الجراثيم.
وتجتاز الأضداد الوالدية المشيمة فتمنِّع الجنين ضد كثير من الأمراض حتى الولادة ولعدة أشهر بعد الولادة حين يبدأ جهاز الوليد المناعي بالعمل.
ولكن المشيمة لا تحول دون دخول بعض السموم لدم الجنين كالكحول والنيكوتين التي تبلغ جملة الجنين العصبية بسرعة وتعرضه للتشوهات أو الأمراض. ولذلك يجب الانتباه للآفات التي تحملها الحامل أو تصيبها في أثناء الحمل، ولكل مادة تتناولها من غذاء أو دواء قد يكون لها أثر سيئ في الجنين إذا بلغته، ومعالجة الأمراض إن أمكن والنصح بالامتناع عن تناول المواد الضارة بالجنين وتناول الأغذية أو الأدوية المشتبه بها.
المشيمة غدة داخلية الإفراز
تفرز المشيمة منذ الأيام الأولى لتكونها وطوال مدة الحمل بعض الهرمونات ذات الشأن الكبير في سير الحمل وحياة الجنين.
موجهات القند الكوريونية
موجهات القند الكوريونية chorionic gonadotrophins، يُفرز هذا الهرمون في الأسبوع الرابع من بدء الحمل ويُعدّ كشفه في البول أو في مصل الدم (ومقاديرها فيهما متساوية) دليلاً على وجود الحمل.
تكون مقادير هذا الهرمون ضئيلة جداً في بدء الحمل (وحدة أممية واحدة/مل) وترتفع تدريجياً حتى تبلغ 100وحدة/مل بين اليومين 60 و70 من الحمل ثم تتناقص تدريجياً حتى تبلغ 25 وحدة/مل بين اليومين 100 و150 وتستقر مقاديرها بعد ذلك حتى نهاية الحمل.
ترتفع مقادير هذا الهرمون في الحمل التوءمي والرحى العدارية hydatiform mole وترتفع كثيراً في الورم الكوريوني البشري choriocarcinoma ويعد كشف هذا الارتفاع أحد عناصر تشخيص هذه الحالات.
الهرمون منمي الأثداء الكوريوني
الهرمون منمي الأثداء الكوريوني chorionic somatomammotropin، يُكشف في مصل المرأة الحامل منذ الأسبوع السادس للحمل، وتزداد مقاديره باستمرار من الصفر في البدء إلى 0.4 ميكروغرام/مل في نهاية الثلث الأول من الحمل حتى 4 ميكروغرام/مل في نهاية الثلث الثاني، ويستمر الارتفاع بعد ذلك بمقادير تختلف باختلاف الحوامل.
لهذا الهرمون شأن في بعض أعمال الاستقلاب؛ كتحريض انحلال الشحوم وارتفاع مقدار الحموض الدسمة الحرة في الدوران وتثبيط تمثل كل من الغلوكوز glucose ومولد الغلوكوز glycogen، تتناقص كمية هذا الهرمون بعد الأسبوع الأربعين من الحمل، ونقصها حتى النصف يدل على تألم الجنين مما يجب معه إنهاء الحمل.
الإستروجينات
تزداد كمية الإستروجينات في دوران المرأة الحامل باطراد من بداية الحمل حتى نهايته ثم تتراجع بعد الولادة. وأكثر من نصف كمية الإستروجينات الجائلة في دم الحامل منذ الأسبوع السابع من الحمل يأتي من المشيمة.
وأكثر أنواع الإستروجينات وجوداً هو الإستريول Estriol الذي ترتفع كميته من 2ملغ/مل من المصورة في أول الحمل إلى 12 ملغ/مل في نهايته ثم تزول فجأة بعد الولادة.
تركِّب المشيمة الإستريول من عناصر تأتيها من قشر الكظر في كل من الحامل والجنين، ويؤدي موت الجنين إلى هبوط كمية الإستريول بشدة.
الپروجسترون
تفرز المشيمة الپروجسترون طوال مدة الحمل، وتزداد كمية البريغنانديول pregnandiol - الذي هو المستقلب الرئيس للبروجسترون - في المصورة، منذ بدء الحمل تدريجياً حتى يستقر على نحو ثابت بعد الأسبوع الثاني والثلاثين من الحمل ويكون المقدار اليومي المفرز من البروجسترون نحو 250 ملغ.
ومصدر الپروجسترون كولسترول مصورة الحامل ويبدو أن الجنين لا يشترك في صنعه.
نهاية المشيمة
تنتهي مهمة المشيمة بانتهاء الحمل؛ لذلك تنفك عن جدار الرحم بعد الولادة ببضع دقائق بفعل تقلصات الرحم التي تدفعها كذلك إلى المهبل ثم إلى خارج الأعضاء التناسلية بمساعدة المولِّد.
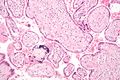
الباثولوجيا

عند غير البشر

الممارسات والمعتقدات الثقافية

معرض الصور
-
جنين عمره نحو ثماني أسابيع، مغلف في amnion. الصورة مكبرة بمقدار أكثر قليلاً من مقدار قطرين.
-
Picture of freshly delivered placenta and umbillical cord wrapped around Kelly clamps
-
Fresh human placenta
-
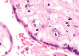
Micrograph of CMV placentitis.
انظر أيضاً
المصادر
- ^ الموسوعة المعرفية الشاملة
- ^ ابراهيم حقي. "المشيمة". الموسوعة العربية. Retrieved 2012-03-01.
المراجع
وصلات خارجية
- Additional Human placenta photography
- The Placenta, gynob.com, with quotes from Williams Obstetrics, 18th Edition, F. Gary Cunningham, M.D., Paul C. MacDonald, M.D., Norman F. Grant, M.D., Appleton & Lange, Publishers.
