التهاب الدماغ
التهاب الدماغ | |
---|---|
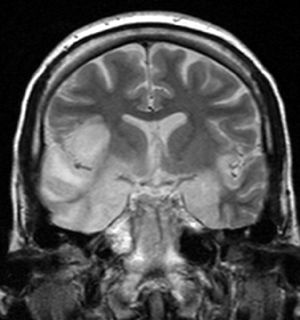
![]() | |
coronal T2-weighted MR image shows high signal in the temporal lobes including hippocampal formations and parahippogampal gyrae, insulae, and right inferior frontal gyrus. A brain biopsy was performed and the histology was consistent with encephalitis. PCR was repeated on the biopsy specimen and was positive for HSV | |
التبويب والمصادر الخارجية | |
التخصص | طب الجهاز العصبي |
ICD-10 | A83.-A86., B94.1, G05. |
ICD-9-CM | 323 |
DiseasesDB | 22543 |
eMedicine | emerg/163 |
Patient UK | فشل عرض الخاصية P1461: لم يتم العثور على الخاصية P1461. التهاب الدماغ |
التهاب الدماغ Encephalitis مرض يشكو مصابوه من ارتفاع قليل في درجة الحرارة ومن صداع يستمر عدة أيام. يمكن أن يسبب التهاب الدماغ الارتجاجات والغيبوبة، وقد يسبب الموت. وهناك عدة أنواع لالتهابات الدماغ، يتسبب في معظمها التلويث بالفيروسات والبكتيريا والمواد الكيميائية الضارة والطفيليات الدقيقة المختلفة.
الأعراض
ومن أعراض هذا المرض النعاس والحمى والصداع. وضعف العضلات. وقد يسبب المرض حركات تشنجية وتشويشاً ذهنيًّا، وشللاً وصعوبة في السمع والبصر والنطق والبلع. وقد يصاب بعض مرضى التهاب الدماغ بعطب دائمٍ في [الدماغ]، إلا أن ذلك ليس شائع الحدوث. ويعتمد العلاج على سبب المرض.
الأسباب
توجد بعض الفيروسات المسببة لمرض التهاب الدماغ في دم بعض أنواع الحيوانات بما في ذلك الطيور والخيول. وتنتقل إلى جسم الإنسان عن طريق لدغة الناموس الذي سبق أن لدغ حيواناً مصاباً. وفي بعض الحالات، تهاجم الفيروسات المسببة لبعض الأمراض، كالحصبة والنكاف، الدماغ وتسبب مرض التهاب الدماغ. يمكن أن يحدث هذا المرض أيضاً بسبب مضاعفات ناتجة عن التحصين. وتظهر أعراض عدة أنواع من التهاب الدماغ بعد شهور، أو سنين من دخول الفيروس المصاب جسم الإنسان. وتعرف هذه الفيروسات باسم الفيروسات البطيئة. والفيروسات التي تسبب مرض التهاب الدماغ في الإنسان، يمكن أن تسبب أمراضاً متصلة بهذا المرض لدى الحيوانات أيضًا. ففي عام 1971م، انتشر مرض الدماغ والنخاع الخيلي الفنزويلي، وهو التهاب في الدماغ والنخاع الشوكي، وأدى إلى موت مئات الخيول في الولايات المتحدة الأمريكية. يتصل مرض التهاب الدماغ اتصالاً قوياً بمرض الالتهاب السحائي، وهو التهاب الغشاء الذي يكسو الدماغ والنخاع الشوكي.ويسمى المرض الذي يصيب كلاً من الدماغ والغشاء الذي يلفه باسم التهاب السحايا والدماغ.
أنظر أيضاً
المصادر
www.ncbi.nlm.nih.gov 1: Neurology. 1991 Feb;41(2 ( Pt 1)):228-33. Related Articles, Links Hashimoto's encephalopathy: a steroid-responsive disorder associated with high anti-thyroid antibody titers--report of 5 cases. Shaw PJ, Walls TJ, Newman PK, Cleland PG, Cartlidge NE. Department of Neurology, University of Newcastle upon Tyne, UK.
وصلات خارجية
- Encephalitis.info resource providing evidence based support to people affected and professionals
- WHO: Viral Encephalitis
- eMedicine-1 and eMedicine-2 Information on the causes, symptoms, and treatment options for Encephalitis.
- Encephalitis Global, Inc. Website offering information and support to encephalitis survivors, caregivers and loved ones. Encephalitis Global Inc. is a USA 501(c)(3) public charity; annual FACES Encephalitis Conference information available at the website.
- A case study of a Limbic Encephalitis patient
- Meningitis and Encephalitis Information Page at NINDS
- Information on Encephalitis from Headway - the brain injury association UK based charity providing information and support