خلع
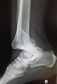
| An traumatic dislocation of the tibiotalar joint of the ankle with distal fibular fracture. Open arrow marks the tibia and the closed arrow marks the talus. | |
| ICD-10 | T14.3 |
| ICD-9 | 830-848 |
| MeSH | D004204 |
الخَلْع Joint dislocation يحدث عندما يتحرك أي عضو من الجسم من مكانه الطبيعي. وعندما يحدث الخلع في العظام، لا تلتقي في المفصل كما ينبغي، وينتج عن هذا في الغالب ألم وتورم.
وقد تخرج عظام مفصل مابشكل خفيف من مكانها، ويسمِّي الأطباء هذه الحالة ماتحت الخلع أو الخلع الجزئي. وفي حالات أخرى تصبح العظام منفصلة تماماً عن بعضها بعضًا. وهذا يسمى الخلع الكامل. يصحح الطبيب الخلع بتحريك العظام لإعادتها إلى موقعها الطبيعي، ويسمى هذا الإجراء رد الخلع، ويمكن لبعض المفاصل المخلوعة أن تعود إلى وضعها بشكل طبيعي. وفي الخلع البسيط، يشاهد لدى المريض جرح خارجي، أما الخلع المركب فهو الذي يصحبه جرح مفتوح على سطح الجسم. وعندما يتكرر الخلع في المفصل نفسه لمرات عديدة يسميه الأطباء الخلع الفطري.
بعض النماذج من الخلع تكون خَلقية، أو ولادية، ويمكن أن تكون وراثية أو بسبب عامل قبل الولادة أو أثناءها ومثال ذلك خلع الورك الولادي.
معرض الصور
-
Dislocated left index finger
-
X-ray of right little finger dislocation
-
X-ray of left index finger dislocation
-
Depiction of reduction of a dislocated spine, ca. 1300
انظر أيضا