رخد
| الرخد Rickets | |
|---|---|
![]() | |
| تصوير بالأشعة لمريض بالرخد في الثانية من عمره، with a marked genu varum (bowing of the femurs) and decreased bone opacity, suggesting poor bone mineralization. | |
| التبويب والمصادر الخارجية | |
| التخصص | علم الغدد الصماء |
| ICD-10 | E55. |
| ICD-9-CM | 268 |
| DiseasesDB | 9351 |
| MedlinePlus | 000344 |
| eMedicine | ped/2014 |
| Patient UK | فشل عرض الخاصية P1461: لم يتم العثور على الخاصية P1461. رخد |
| MeSH | D012279 |
الرخد Rickets، هو لين العظام عند الأطفال لنقس أو ضعف أيض ڤيتامين د،[1] الفسفور أو الكالسيوم،[2] مما يؤدي إلى حدوث كسور أو تشوهات. وهو من أكثر أمراض الأطفال شيوعاً في البلدان النامية.
الأعراض والعلامات
يكون الطفل نزقاً، متأخر النمو، كثير التعرق في ناحية الرأس، يتأخر في الجلوس والحبو والمشي، ويصاب بفقر دم مع ازدياد الالتهابات القصبية الرئوية.
تشمل أعراض وعلامات الإصابة بالرخد:
- آلام وهشاشة العظام[3]
- مشكلات في الأسنان[3]
- ضعف العضلات (اعتلال عضلي رخدي أو "متلازمة الرضيع المترهل" أو "الطفل الفاتن" (يبدو الطفل متراخياً)[4]
- زيادة الميل لكسر العظام (إنكسار العظام بسهولة)، وخاصة كسور الغصن النضير
- التشوه الهيكلي[3]
- الأطفال الصغار: تقوس الساقين (ركبة فحجاء)[4]
- الأطفال الأكبر: إلتقاء الركبتين (ركبة روحاء)
- تشوهات في الجمجمة، الحوض، والعمود الفقري (مثل القعس القطني)
- اضطرابات النمو

Wrist X ray showing changes in rickets, mainly cupping is seen here. 
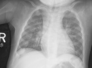
Chest X ray showing changes consistent with rickets, this changed is usually referred to as Rosary beads of rickets - نقص كالسيوم الدم (انخفاض مستويات الكالسيوم بالدم)
- التكزز (تشنجات عضلية غير إرادية في كل عضلات الجسم)
- تابس قحفي (الجمجمة المرنة)
- التورم الغضروفي
- منحنى هاريسون[3] (تشوه جدار الصدر)
- Double malleoli sign due to metaphyseal hyperplasia
- توسع المعصم[4] raises early suspicion, it is due to metaphysial cartilage hyperplasia.

توسع المعصم
An X-ray or radiograph of an advanced sufferer from rickets tends to present in a classic way: bow legs (outward curve of long bone of the legs) and a deformed chest. Changes in the skull also occur causing a distinctive "square headed" appearance (Caput Quadratum). These deformities persist into adult life if not treated. Long-term consequences include permanent bends or disfiguration of the long bones, and a curved back.[5]
الرأس
من العلامات الباكرة التابس القحفي، ويكشف بالضغط بقوة على العظم القفوي أو الجداري الخلفي فيحدث انخفاض يزول برفع الضغط، وهو ما يسمى علامة كرة الطاولة (البينگ بونگ)، قد يغيب التابس القحفي قبل نهاية السنة الأولى من العمر مع استمرار الرخد. يكون اليافوخ الأمامي أوسع من الطبيعي ويتأخر انغلاقه إلى ما بعد السنة الثانية من العمر، ويتبارز العظمان الجبهي والجداري فتتشكل حدبة جبهية فيأخذ الرأس شكل العلبة، ويكون حجمه أكبر من الطبيعي وقد يستمر ذلك مدى الحياة، كما يتأخر بزوغ الأسنان الدائمة مع حدوث خلل في الميناء ونخر سني واسع.
الصدر
تجس عقيدات كحبات السبحة ناجمة عن تضخم الغضاريف في مناطق الوصل القصي الضلعي، وقد تكون مرئية للعين أيضاً. يتبارز القص إلى الأمام ويسبب تشوهاً (صدر الحمامة) كما يحدث انخفاض للداخل على طول الحافة السفلية للأضلاع يدعى بتثلم هاريسون مع غؤور الحفرة الخنجرية (أسفل القص).
العمود الفقري
من الشائع حدوث درجة خفيفة إلى معتدلة من الجنف والحداب، وقد يظهر قعس في الناحية القطنية بوضعية الوقوف.
الحوض
يتضيق مدخل الحوض ومخرجه بسبب التشوهات العظمية التي قد تكون دائمة وتؤدي لاحقاً في النساء إلى عسرات الولادة.
الأطراف
يصبح اتساع المشاش في المعصمين وعنقي القدم (النهايات السفلية للزند والكعبرة وعظم الفخذ والشظية)، واضحاً للعيان باستمرار الحدثية الرخدية، ويؤدي نقص تكلس العظام خاصة بعد بدء الطفل بالوقوف والمشي إلى تقوسات بالطرفين السفليين وتبدلات في الركبتين فيحدث الروح والفحج.
الأربطة والعضلات
تظهر الحدبة الرخدية في الناحية الظهرية والقطنية عند الجلوس وتزول بالاضطجاع بسبب رخاوة العضلات والأربطة، كما يتبارز البطن بسبب وهن عضلات الجدار وتتسع حركة المفاصل.
التكزز الرخدي
قد يترافق الرخد الشديد بتكزز نقص الكلس الذي يظهر سريرياً بتشنج في اليدين والقدمين والحبال الصوتية، وقد تحدث نوب اختلاجية تالية لنقص الكلس أيضاً.
الأنواع
- رخد غذائي[6]
- رخد مقاوم لڤيتامين د[6]
- رخد العوز لڤيتامين د[6]
- النوع 1
- النوع 2
- رخد خلقي
- رخد حديثي الولادة
- الرخد ناقص الفوسفات: وهو خلل وراثي في عَوْد امتصاص الفوسفات من الأنابيب الكلوية.
- الخلل الوراثي في خميرة 1-ألفا هيدروكسيلاز، وهو الرخد المرتبط بفيتامين د نمط I.
- مقاومة الأعضاء النهائية لـ 1-25 ديهيدروكسي فيتامين د، وهو الرخد المرتبط بفيتامين د نمط II.
- العوز الوراثي للفوسفاتاز القلوية.
الأسباب
يحدث الرخد إما لعدم التعرض المباشر الكافي لضوء الشمس، أو لنقص الوارد من فيتامين د في الغذاء، أو لكليهما، أو للإصابة بعلل تتداخل في استقلاب فيتامين د وتحويله وتفعيله كالأمراض الكلوية والكبدية وأسواء الامتصاص وبعض الأدوية.
- دور أشعة الشمس: تؤثر عوامل عديدة في كمية فيتامين د الداخلي المتشكلة، منها: سمت الشمس وخط العرض والفصل السنوي والتلوث الجوي والغبار وطبقات الغيوم... إلى غير ذلك، لهذا يصادف الرخد بكثرة في الأطفال الذين يعيشون في أماكن مظلمة، وفي المدن أكثر من الريف، وفي البلاد الباردة أكثر من الحارة، ومع ذلك فهو غير نادر في المناطق المدارية حيث تسعى النساء والأطفال إلى البقاء داخل البيوت بعيداً عن حر الشمس وأشعتها. وتتداخل مساحة سطح الجلد المعرض للشمس في كمية الأشعة النافذة، ولهذا تكثر مصادفة الرخد في المجتمعات التي يرتدي فيها الناس ملابس ساترة للبدن كله. يحتاج الرضيع إلى 30 دقيقة في الأسبوع لتعرض كامل الجسم للشمس أو ساعتين في الأسبوع لتعرض الرأس وحده للمحافظة على نسبة جيدة لفيتامين د.[7]
- الغذاء: معظم الحالات المشاهدة للرخد حالياً هي عند الرضع ذوي الإرضاع الوالدي غير المضاف إلى تغذيتهم فيتامين د، ومحدودي التعرض هم وأمهاتهم للشمس.
- العِرق: يصيب الرخد العروق كلها إلا أن أبناء العرق الأسود (أي ذوي البشرة الداكنة) أكثر عرضة للإصابة ولاسيما حينما يعيشون في الأماكن الباردة حيث يخفف الميلانين الموجود في الجلد من امتصاص الأشعة فوق البنفسجية.
الإصابة
تظهر التبدلات العظمية في الرخد بعد عدة أشهر من عوز فيتامين د، وخلال شهرين إذا كان الطفل يرضع من أم مصابة بتلين العظام، لذا، تندر مصادفة هذه الآفة منذ الولادة. تبدأ الأعراض عادة في الفترة الواقعة بين الشهر الرابع والسنة الثانية، ولاسيما بحدود نهاية السنة الأولى وخلال السنة الثانية. ويكون الظهور باكراً كلما نقص وزن الولادة. ويندر حدوث مظاهر الرخد في الطفولة المتأخرة.
عند عوز أملاح الكلس والفوسفور اللازمة للتمعدن في المصل، تفشل خلايا الغضاريف في إكمال دورتها الطبيعية للتكاثر والتنكس كما تفشل في التمعدن، فيتشكل عظم جديد غير متكلس طري يتسع عرضاً ويكون هشاً وغير منتظم، ينضغط وينتفخ من الجوانب مؤدياً إلى تبارز نهايات العظم، وإذا استمر ذلك أصبح جسم العظم طرياً يتأثر بسهولة بالضغط، فتحدث التشوهات والكسور.
التشخيص
يعتمد التشخيص على قصة عدم تناول كمية كافية من الفيتامين د، أو نقص التعرض للشمس كما يعتمد على المظاهر السريرية. ويتم تأكيدها مخبرياً وشعاعياً.
- مخبرياً: يكون كلس المصل طبيعياً أو ناقصاً، وينقص فوسفور المصل، وترتفع الفوسفاتاز القلوية، كما ينقص 25 هيدروكسي فيتامين د في المصل.
- شعاعياً: يكون التشخيص الباكر للرخد الفعال أفضل ما يكون في المعصم، لأن التبدلات المميزة في نهاية الزند والكعبرة تحدث في المراحل الباكرة. تتسمك المنطقة الغضروفية ويزداد عرض النهاية البعيدة لجسم العظم، فتبدو متسعة ومقعرة ومهترئة وتنقص كثافة جسم العظم.
الوقاية والعلاج
الوقاية
تكون الوقاية بالتعرض للأشعة فوق البنفسجية بشكل كافٍ، وبالمحافظة على غذاء يحوي مشتقات الحليب واللحم، أو بإعطاء فيتامين د. والحاجة اليومية هي 10 مكج = 400 وحدة. يجب إعطاء فيتامين د يومياً لكل الولدان الخُدَّج أو للذين يرضعون من أمهات لا يتعرضن للشمس، كما يجب إعطاؤه للحوامل والمرضعات.
إن معظم أنواع حليب البقر وأشكال حليب الأطفال المتوافرة تجارياً مقواة بفيتامين د.
العلاج
النظام الغذائي والتعرض للشمس


المكملات
تكون المعالجة بإعطاء فيتامين د بجرعة 50 إلى 150 مكج فيتامين د3 يومياً أو 0.5 إلى 2 مكج من 1 إلى 25 ديهيدروكسي فيتامين د يومياً. يمكن استخدام جرعة عالية وحيدة = 15.000 مكج. تخفض الجرعة بعد الشفاء إلى 10مكغ في اليوم كجرعة داعمة. يستجيب المرضى بسرعة ويبدأ ظهور الشفاء خلال 2 إلى 4 أسابيع على الأشعة. فيتحسن المظهر الشعاعي، ويتجلى ذلك بظهور خط التعظم البدئي الذي ينفصل عن النهاية البعيدة للعظم بمنطقة ناقصة الكثافة هي منطقة النسيج المشبه بالعظم، ومع تطور الشفاء وتكلس هذا الأخير ينمو الجسم نحو خط التكلس إلى أن يتحد به.
يعود الكلس والفوسفور إلى حدهما السويين بسرعة وتنخفض الفوسفاتاز القلوية عند شفاء العظم، ويمكن عندها إيقاف فيتامين د أو إنقاصه إلى المستوى الداعم الوقائي. قد يحتاج المرضى المصابون برخد تالٍ لسوء الامتصاص أو أمراض كبدية مزمنة إلى جرعات أعلى من فيتامين د أو مستقلباته الفعالة.
علم الأوبئة
يبدأ الشفاء خلال أيام من استعمال كمية كافية من فيتامين د، ويتطور ببطء حتى يعود التعظم إلى حالة سوية، وفي حالات عديدة يختفي تشوه الأطراف والأضلاع واتساع المشاش والجمجمة بعد أشهر أو سنوات، حتى إن تقوس الساقين قد يزول خلال سنوات بدون جراحة. لكن قد تكون التبدلات دائمة في الحالات المتقدمة.
ليس الرخد مميتاً بحد ذاته، ولكن المضاعفات والأخماج كذات الرئة والتهاب الأمعاء قد تكون سبب الوفاة.
الإساءة للأطفال بالخطأ
انظر أيضاً
المصادر
- ^ Magnesium and vitamin D's co-factors, by John Jacob Cannell, M.D. citing The Lancet; The Vitamin D Council "Two interesting cases of Mg dependent Vitamin D-resistant rickets appeared in the Lancet in 1974. Two children, one age two and the other age five, presented with classic rickets. 600,000 IU of Vitamin D daily for ten days did not result in any improvement in six weeks—in either x-rays or alkaline phosphatase—and the doctors diagnosed Vitamin D-resistant rickets. Almost by accident, serum Mg levels were then obtained, which were low in both children. After the treatment with Mg, the rickets rapidly resolved."
- ^ TheFreeDictionary > rickets In turn citing:
- The American Heritage Medical Dictionary Copyright 2007 (mentioning vitamin D and phosphates)
- Mosby's Dental Dictionary, 2nd edition. Copyright 2008 (mentioning vitamin D and calcium)
- ^ أ ب ت ث Medical News – Symptoms of Rickets
- ^ أ ب ت Mayo Clinic – Signs and Symptoms of Rickets
- ^ Pharmacologyonline. "Rickets and its Management: A Review" (PDF). Retrieved 2 June 2012.
- ^ أ ب ت Rickets: Not a Disease of the Past
- ^ نسمة كراوي. "الرخد". الموسوعة العربية.
{{cite web}}:|access-date=requires|url=(help); Missing or empty|url=(help); Unknown parameter|url http://arab-ency.com/index.php?module=ignored (help)
- Rickets vs. abuse: a national and international epidemic Kathy A. Keller & Patrick D. Barnes Received: 4 November 2007 / Revised: 28 July 2008 / Accepted: 18 August 2008 - Springer-Verlag 2008
