ڤيتامين ب12 نقص
Vitamin B12 deficiency | |
---|---|
الأسماء الأخرى | Hypocobalaminemia, cobalamin deficiency |
![]() | |
Cyanocobalamin | |
التخصص | Neurology, hematology |
الأعراض | Decreased ability to think, depression, irritability, abnormal sensations, changes in reflexes[1] |
المضاعفات | Megaloblastic anemia[2] |
المسببات | Poor absorption, decreased intake, increased requirements[1] |
الطريقة التشخيصية | Blood levels below 120–180 pmol/L (170–250 pg/mL) in adults[2] |
الوقاية | Supplementation in those at high risk[2] |
العلاج | Supplementation by mouth or injection[3] |
التردد | 6% (<60 years old), 20% (>60 years old)[1] |
نقص ڤيتامين ب 12، المعروف أيضًا باسم نقص الكوبالامين، هو حالة طبية لانخفاض مستويات الدم والأنسجة من ڤيتامين ب 12.[4][5] في حالة النقص البسيط، قد يشعر الشخص بالتعب وانخفاض عدد خلايا الدم الحمراء (فقر الدم).[1] في حالة النقص المعتدل، قد يحدث تقرح في اللسان، قرح قلاعية، ضيق في التنفس، يرقان، تساقط الشعر وآلام شديدة في المفاصل (ألم مفصلي)، وبدء الأعراض العصبية، بما في ذلك الأحاسيس غير الطبيعية مثل الدبابيس والإبر، والتنميل وطنين الأذن.[1] Sقد يشمل النقص الحاد أعراض انخفاض وظائف القلب بالإضافة إلى أعراض عصبية أكثر حدة، بما في ذلك التغيرات في المنعكسات، وضعف وظيفة العضلات، ومشاكل الذاكرة، والتهيج، والرنح، وانخفاض حاسة الذوق، وانخفاض مستوى الوعي، والاكتئاب، والقلق، والشعور بالذنب والذهان ..[1] قد يحدث العقم .[1][6] في الأطفال الصغار، تشمل أعراض ضعف النمو، التاخر النمائي، و صعوبات في الحركة ..[2] بدون علاج مبكر، قد تكون بعض التغييرات دائمة.[7]
تُصنف الأسباب على أنها انخفاض امتصاص ڤيتامين ب 12 من المعدة أو الأمعاء، أو نقص المعوز، أو زيادة المتطلبات.[1] قد يرجع انخفاض الامتصاص إلى فقر الدم الخبيث، والإزالة الجراحية للمعدة، والتهاب البنكرياس المزمن، والطفيليات المعوية، وبعض الأدوية، وبعض الامراض الوراثية ..[1] تشمل الأدوية التي قد تقلل الامتصاص مثبطات مضخة البروتون وحاصرات مستقبلات الهيستامين 2 والميتفورمن.[8] قد يحدث انخفاض في تناول النباتيين والنباتيين والذين يعانون من سوء التغذية .[1][9] تحدث المتطلبات المتزايدة لدى الأشخاص المصابين بفيروس نقص المناعة البشرية / الإيدز، وأولئك الذين يعانون من قصر عمر خلايا الدم الحمراء.[1] يعتمد التشخيص عادةً على مستويات ڤيتامين ب 12 في الدم أقل من 120-180 ميكرولتر / لتر (170 إلى 250 بيكوغرام / مل) لدى البالغين.[2] قد تشير مستويات حمض الميثيل مالونيك المرتفعة أيضًا إلى نقص.[2] غالبًا ما يوجد نوع من فقر الدم يعرف باسم فقر الدم الضخم الأرومات ولكن ليس دائمًا..[2]
يتكون العلاج من استخدام ڤيتامين ب 12 عن طريق الفم أو عن طريق الحقن. في البداية بجرعات يومية عالية، تليها جرعات أقل تكرارًا مع تحسن الحالة.[3] إذا تم العثور على سبب قابل للعكس، فيجب تصحيح هذا السبب إن أمكن.[10] [11] إذا لم يتم العثور على سبب قابل للعكس - أو عندما وجد انه لا يمكن القضاء عليه - يوصى عادةً بإعطاء ڤيتامين ب 12 مدى الحياة..[12] نقص ڤيتامين ب 12 يمكن الوقاية منه مع المكملات الغذائية التي تحتوي على ڤيتامين: هذا ينصح في الحوامل النباتيين و الخضريين، وغير ضارة في مناطق أخرى.[2] خطر السمية بسبب ڤيتامين ب 12 منخفض.[2]
تشير التقديرات إلى أن نقص ڤيتامين ب 12 في الولايات المتحدة والمملكة المتحدة يحدث في حوالي 6 في المائة ممن تقل أعمارهم عن 60 عامًا، و 20 في المائة ممن تزيد أعمارهم عن 60 عامًا.[1] في أمريكا اللاتينية، تشير التقديرات إلى أن حوالي 40 في المائة متأثرين، وقد يصل هذا إلى 80 في المائة في أجزاء من إفريقيا وآسيا.[1]
العلامات والاعراض
يمكن أن يؤدي نقص ڤيتامين ب 12 إلى فقر الدم والاضطرابات العصبية.[13] قد لا يسبب النقص الخفيف أي أعراض ملحوظة، ولكن مع زيادة النقص بشكل ملحوظ، قد تظهر أعراض فقر الدم، مثل الضعف والتعب وخفة الرأس وسرعة ضربات القلب وسرعة التنفس وشحوب لون الجلد. قد يسبب أيضًا كدمات أو نزيفًا سهلًا، بما في ذلك نزيف اللثة، والآثار الجانبية المعدية المعوية بما في ذلك التهاب اللسان واضطراب المعدة وفقدان الوزن والإسهال أو الإمساك. إذا لم يتم تعويض النقص، فقد يؤدي ذلك إلى تلف الخلايا العصبية. إذا حدث هذا، فقد يؤدي نقص ڤيتامين ب 12 إلى وخز أو تنميل في أصابع اليدين والقدمين، وصعوبة في المشي، وتغيرات في المزاج، والاكتئاب، وفقدان الذاكرة، والارتباك، وفي الحالات الشديدة، الخرف. يؤدي نقص الأنسجة إلى تأثيرات سلبية في الخلايا العصبية ونخاع العظام والجلد.[4]
النوع الرئيسي من فقر الدم الناجم عن نقص ڤيتامين ب 12 هو فقر الدم الخبيث . يتميز بثلاثية الاعراض :
- فقر الدم مع داء الأرومة النخاعية ( فقر الدم الضخم الأرومات ). هذا بسبب تثبيط تخليق الحمض النووي (على وجه التحديد البيورينات والثيميدين).
- أعراض الجهاز الهضمي: تغير في حركة الأمعاء، مثل الإسهال الخفيف أو الإمساك، وفقدان السيطرة على المثانة أو الأمعاء.[14] يُعتقد أن هذه ناتجة عن خلل في تخليق الحمض النووي الذي يمنع التكاثر في موقع به معدل تحول مرتفع للخلايا. قد يكون هذا أيضًا بسبب هجوم المناعة الذاتية على الخلايا الجدارية للمعدة في فقر الدم الخبيث. هناك ارتباط بين متلازمة GAVE (تسمى عادة معدة البطيخ) وفقر الدم الخبيث.[15]
- الأعراض العصبية: قصور حسي أو حركي (انعكاسات غائبة، اهتزاز ضعيف أو إحساس بلمسة ناعمة)، تنكس مختلط دون الحاد في النخاع الشوكي، أو نوبات.[16][17] تشمل أعراض النقص لدى الأطفال تأخر النمو والتقهقر والتهيج والحركات اللاإرادية ونقص التوتر العضلي ..[18]
يشير وجود الأعراض الحركية المحيطية أو التنكس المشترك تحت الحاد للحبل الشوكي بقوة إلى وجود نقص في ڤيتامين ب 12 بدلاً من نقص حمض الفوليك. يظل حمض الميثيل مالونيك، إذا لم يتم التعامل معه بشكل صحيح بواسطة B 12، في غمد الميالين، مما يسبب الهشاشة. ارتبط الخرف والاكتئاب بهذا النقص أيضًا، ربما بسبب نقص إنتاج الميثيونين بسبب عدم القدرة على تحويل الهوموسيستايين إلى هذا المنتج. الميثيونين هو عامل مساعد ضروري في إنتاج العديد من الناقلات العصبية .
يمكن أن تحدث كل من هذه الأعراض إما بمفردها أو مع أعراض أخرى. يتكون المركب العصبي، المعرف باسم داء النخاع العظمي، من الأعراض التالية:
- ضعف إدراك اللمسة العميقة والضغط والاهتزاز وفقدان حاسة اللمس والمذل المزعج والمستمر
- ترنح نوع العمود الظهري
- تقليل أو فقدان المنعكسات العميقة للأوتار العضلية
- المنعكسات المرضية – بابينسكي، روسوليمو وآخرون، شلل جزئي شديد أيضًا
يمكن أن يسبب نقص ڤيتامين ب 12 ضررًا شديدًا لا يمكن إصلاحه، خاصةً للدماغ والجهاز العصبي. قد لا تنعكس أعراض تلف الخلايا العصبية بعد تصحيح خلل الدم، كما تقل فرصة الانعكاس التام مع طول الفترة الزمنية التي تظهر فيها الأعراض العصبية. يتعرض كبار السن لخطر أكبر لهذا النوع من الضرر.[19] يمكن أن يظهر عدد من الأعراض العصبية عند الأطفال بسبب سوء التغذية أو فقر الدم الخبيث لدى الأم. وتشمل هذه ضعف النمو، والتقهقر، وعدم الرغبة في الطعام، والتراجع في النمو. بينما يتم حل معظم الأعراض بالمكملات، قد تستمر بعض المشكلات التنموية والمعرفية[20][21]
تم العثور على مجموعة فرعية صغيرة فقط من حالات الخرف يمكن علاجها باستخدام علاج ڤيتامين ب 12.[22] [23] قد يترافق طنين الأذن مع نقص ڤيتامين ب 12.[24]
تأثير حمض الفوليك
كميات كبيرة من حمض الفوليك يمكن أن تصحح فقر الدم الضخم الأرومات الناجم عن نقص ڤيتامين ب 12 دون تصحيح الخلل العصبي، ويمكن أن يؤدي أيضًا إلى تفاقم فقر الدم والأعراض المعرفية المرتبطة بنقص ڤيتامين ب 12 .[2] نظرًا لحقيقة أن تشريعات الولايات المتحدة تتطلب دقيقًا مُخصبًا لاحتواء حمض الفوليك لتقليل حالات عيوب الأنبوب العصبي للجنين، فقد يتناول المستهلكون كمية من الفولات أكثر مما يدركون.[25] لتجنب هذه المشكلة المحتملة، توصي إدارة الغذاء والدواء الأمريكية بألا يتجاوز تناول حمض الفوليك من الأطعمة المدعمة والمكملات 1000 ميكروغرام يوميًا في البالغين الأصحاء.[2][26] راجعت هيئة سلامة الأغذية الأوروبية مسألة السلامة واتفقت مع الولايات المتحدة على أن مستويات المدخول الأعلى المسموح بها (UL) يجب أن تكون 1000 ميكروغرام.[27] حدد المعهد الوطني الياباني للصحة والتغذية UL البالغ عند 1300 أو 1400 ميكروغرام حسب العمر..[28]
الاسباب
المدخول الغير ملائم
يمكن أن يؤدي عدم كفاية المدخول الغذائي من المنتجات الحيوانية مثل البيض واللحوم والحليب والأسماك والطيور (وبعض أنواع الطحالب الصالحة للأكل) إلى حالة نقص.[29] يتعرض النباتيون، وبدرجة أقل، النباتيون لخطر الإصابة بنقص ڤيتامين ب 12 إذا لم يستهلكوا مكملات غذائية أو أطعمة مدعمة بالڤيتامينات. يتعرض الأطفال لخطر أكبر للإصابة بنقص ڤيتامين ب 12 بسبب عدم كفاية المدخول الغذائي، حيث يكون لديهم مخزون أقل من الڤيتامينات واحتياجًا أكبر نسبيًا من الڤيتامينات لكل سعر حراري من الطعام..[30]
الامتصاص الغير مناسب
- ضعف الامتصاص الانتقائي لڤيتامين ب 12 بسبب نقص العامل الداخلي . قد يكون هذا بسبب فقدان الخلايا الجدارية المعدية في التهاب المعدة الضموري المزمن (في هذه الحالة، يأخذ فقر الدم الضخم الأرومات الناتج اسم " فقر الدم الخبيث ")، أو قد ينتج عن استئصال جراحي واسع للمعدة (لأي سبب)، أو من أسباب وراثية نادرة لضعف تخليق العامل الداخلي. يعتبر نقص ڤيتامين ب 12 أكثر شيوعًا عند كبار السن لأن العامل الداخلي في المعدة، الضروري لامتصاص الڤيتامين، يكون ناقصًا بسبب التهاب المعدة الضموري.[31]
- ضعف امتصاص ڤيتامين ب 12 في حالة سوء الامتصاص الأكثر عمومية أو متلازمة سوء الهضم. وهذا يشمل أي شكل نتيجة لأضرار هيكلية أو استئصال الجراحي واسعة من نهاية الفائفي (الموقع الرئيسي لامتصاص لڤيتامين B 12).
- يمكن أن تسبب أشكال الكلورهيدريا (بما في ذلك تلك المستحثة صناعياً بواسطة الأدوية مثل مثبطات مضخة البروتون ومضادات مستقبلات الهيستامين 2 ) سوء امتصاص B 12 من الأطعمة، لأن الحمض ضروري لفصل B 12 عن بروتينات الطعام وبروتينات اللعاب[32] يُعتقد أن هذه العملية هي السبب الأكثر شيوعًا لانخفاض مستوى ڤيتامين ب 12 لدى كبار السن، والذين غالبًا ما يكون لديهم درجة معينة من الكلورهيدريا دون أن يكون العامل الداخلي منخفضًا بشكل رسمي. لا تؤثر هذه العملية على امتصاص كميات صغيرة من ڤيتامين ب 12 في المكملات الغذائية مثل الڤيتامينات المتعددة لأنها غير مرتبطة بالبروتينات كما هو الحال في ڤيتامين ب 12 في الأطعمة..[31]
- الاستئصال الجراحي للأمعاء الدقيقة (على سبيل المثال في داء كرون ) بحيث يصاب المريض بمتلازمة الأمعاء القصيرة ويكون غير قادر على امتصاص ڤيتامين ب 12 . يمكن علاج ذلك بالحقن المنتظمة من ڤيتامين ب 12
- قد يساهم الاستخدام طويل الأمد لهيدروكلوريد الرانيتيدين في نقص ڤيتامين ب 12.[33]
- قد يؤدي عدم علاج الداء البطني أيضًا إلى ضعف امتصاص هذا الڤيتامين، ربما بسبب تلف الغشاء المخاطي للأمعاء الدقيقة . في بعض الأشخاص، قد يستمر نقص ڤيتامين ب 12 على الرغم من العلاج بنظام غذائي خالٍ من الغلوتين ويتطلب مكملات..[34]
- بعض الإجراءات لجراحة البدانة، وخاصة تلك التي تنطوي على إزالة جزء من المعدة، مثل جراحة المجازة المعدية على شكل واي . (لا يبدو أن الإجراءات مثل نوع حزام المعدة القابل للتعديل تؤثر بشكل كبير على استقلاب ڤيتامين ب 12 ). .[بحاجة لمصدر]
- قد يؤدي النمو الزائد للبكتيريا داخل أجزاء من الأمعاء الدقيقة، كما قد يحدث في متلازمة العروة المقفلة، (حالة ناتجة عن تكوين حلقة في الأمعاء) إلى زيادة استهلاك ڤيتامين ب 12 المعوي بواسطة هذه البكتيريا.[35]
- قد يتداخل دواء السكري ميتفورمن مع امتصاص النظام الغذائي ب 12.[36]
- يمكن أن يكون مرض وراثي، نقص ناقل الكوبلامين II سببًا.[37]
- التعرض لأكسيد النيتروز والاستخدام الترفيهي.[38][37]
- الإصابة بالديدان الشريطية العوساء العريضة
- التعرض المزمن للقوالب السامة والسموم الفطرية الموجودة في المياه تضرر المباني.[39][40]
زيادة الاحتياج
يمكن أن تحدث زيادة احتياجات الجسم بسبب الإيدز وانحلال الدم (تكسر خلايا الدم الحمراء)، مما يحفز زيادة إنتاج الخلايا الحمراء.[1]
الية العمل

علم وظائف الاعضاء
الكمية الإجمالية لڤيتامين ب 12 المخزنة في الجسم ما بين 2 إلى 5 ملليغرام في البالغين. يتم تخزين ما يقرب من 50٪ في الكبد، ولكن يتم فقدان حوالي 0.1٪ يوميًا بسبب الإفرازات في الأمعاء - ولا يتم امتصاص كل الڤيتامينات الموجودة في الأمعاء. في حين أن العصارة المرارة هي الوسيلة الرئيسية لإفراز ڤيتامين ب 12، يتم إعادة تدوير معظمها عبر الدوران المعوي الكبدي . نظرًا للكفاءة القصوى لهذه الآلية، يمكن للكبد تخزين ڤيتامين ب 12 بما يعادل ثلاث إلى خمس سنوات في ظل ظروف طبيعية وعمل..[41] ومع ذلك، فإن المعدل الذي قد تتغير به مستويات ڤيتامين ب 12 عندما يكون المدخول الغذائي منخفضًا يعتمد على التوازن بين عدة متغيرات.[42]
الفيزيولوجيا المرضية
يسبب نقص ڤيتامين ب 12 تغيرات معينة في استقلاب مادتين سريريتين في البشر:
- هوموسيستاين (هوموسيستاين إلى ميثيونين، محفز بواسطة ميثيونين سينثيز) مما يؤدي إلى فرط الهوموسيستاين في الدم
- حمض الميثيل مالونيك ( methylmalonyl -CoA إلى succinyl-CoA، والذي يتكون منه methylmalonyl-CoA من حمض الميثيل مالونيك في تفاعل سابق)
يتم تنشيط الميثيونين إلى S-أدينوسيل الميثيونين، الذي يساعد في تخليق البيورين والثيميدين، وإنتاج المايلين، وإنتاج البروتين / الناقلات العصبية / الأحماض الدهنية / الفوسفوليبيد ومثيلة الحمض النووي. يوفر 5-ميثيل تتراهيدروفولات مجموعة ميثيل، والتي يتم إطلاقها للتفاعل مع الهوموسيستاين، مما يؤدي إلى الميثيونين. يتطلب هذا التفاعل الكوبالامين كعامل مساعد. إن إنتاج 5-ميثيل تتراهيدروفولات هو تفاعل لا رجوع فيه. في حالة عدم وجود B 12، لا يحدث رد فعل أمامي للهوموسيستين مع الميثيونين، وتزداد تركيزات الهوموسيستين، وتوقف تيتراهيدروفولات.[43] لأن ب 12 وحمض الفوليك يدخلان في استقلاب الهوموسيستين، فإن بيلة فرط الهوموسيستئين هي علامة غير محددة على النقص. يستخدم حمض الميثيل مالونيك كاختبار أكثر تحديدًا لنقص ڤيتامين ب 12 .
الجهاز العصبي
تشمل التغييرات المبكرة حالة إسفنجية من الأنسجة العصبية، إلى جانب وذمة في الألياف ونقص في الأنسجة. يتحلل الميالين، جنبًا إلى جنب مع الألياف المحورية. في المراحل اللاحقة، يحدث التصلب الليفي للأنسجة العصبية. تحدث هذه التغييرات في الأجزاء الظهرية من الحبل الشوكي والمسالك الهرمية في الحبال الجانبية وتسمى التنكس المشترك تحت الحاد للحبل الشوكي.[44] يمكن ملاحظة التغيرات المرضية أيضًا في الجذور الخلفية للحبل السري، وبدرجة أقل في الأعصاب الطرفية..
في الدماغ نفسها، التغييرات أقل حدة: تحدث عندما تتحلل مصادر صغيرة من الألياف العصبية وتراكم الخلايا النجمية، وعادة ما تكون تحت القشرة، وكذلك نزيف دائري مع طارة من الخلايا الدبقية.
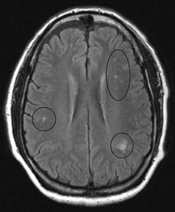
قد يُظهر التصوير بالرنين المغناطيسي للدماغ تشوهات في المادة البيضاء حول البطينات. قد يُظهر التصوير بالرنين المغناطيسي للحبل الشوكي كثافة في الشدة الخطية في الجزء الخلفي من المسالك العنقية للحبل الشوكي، مع مشاركة انتقائية للأعمدة الخلفية.
التشخيص
غالبًا ما يُشتبه في التشخيص أولاً عندما يُظهر تعداد الدم الكامل الروتيني فقر الدم مع MCV مرتفع. وبالإضافة إلى ذلك، على مسحة دم محيطي، كبر الكريات الكريات البيض النوى المفرطة التجزئة يمكن أن تري.
يتم تأكيد التشخيص عادةً بناءً على مستويات ڤيتامين ب 12 في الدم التي تقل عن 120-180 ميكرولتر / لتر (170-250 بيكوغرام / مل ) في البالغين.[2] يعتبر ارتفاع الهوموسيستاين في الدم (أكثر من 12 ميكرو مول / لتر) وحمض الميثيل مالونيك (أكثر من 0.4 ميكرومول / لتر) مؤشرات أكثر موثوقية لنقص ڤيتامين ب 12 من تركيز ڤيتامين ب 12 في الدم.[2][45] [46] إذا كان هناك تلف في الجهاز العصبي وكان اختبار الدم غير حاسم، فيمكن إجراء بزل قطني لقياس مستويات السائل الدماغي الشوكي .[47] عند شفط أو خزعة نخاع العظم، يمكن رؤية الأرومات الضخمة.[بحاجة لمصدر]
كان اختبار شيلينغ طريقة نظائر مشعة، عفا عليها الزمن الآن، لاختبار انخفاض ڤيتامين ب 12.[48]
العلاج
يمكن تكميل B12 عن طريق الحبوب أو الحقن ويبدو أنه فعال بنفس القدر في أولئك الذين لديهم مستويات منخفضة بسبب نقص امتصاص B12. عندما يتم إعطاء جرعات كبيرة عن طريق الفم، فإن امتصاصها لا يعتمد على وجود عامل داخلي أو دقاق سليم. بدلاً من ذلك، تؤدي هذه المكملات ذات الجرعات الكبيرة إلى امتصاص بنسبة 1٪ إلى 5٪ على طول الأمعاء بأكملها عن طريق الانتشار السلبي. عموما 1 إلى 2 ملغ يوميا مطلوب كجرعة كبيرة. حتى فقر الدم الخبيث يمكن علاجه بالكامل عن طريق الفم..[3][49][50]
علم الاوبئة
يعتبر نقص ڤيتامين ب 12 شائعًا ويحدث في جميع أنحاء العالم. في الولايات المتحدة والمملكة المتحدة، يعاني حوالي 6 في المائة من عامة السكان من هذا النقص. في أولئك الذين تزيد أعمارهم عن الستين، حوالي 20 بالمائة يعانون من نقص. بل إن المعدلات أعلى في البلدان النامية: 40 في المائة في أمريكا اللاتينية ناقصة ؛ في بعض أجزاء أفريقيا 70٪؛ وفي بعض أجزاء الهند، 70 إلى 80 بالمائة..[1]
التاريخ
بين عامي 1849 و 1887، وصف توماس أديسون حالة فقر الدم الخبيث، ووصف ويليام أوسلر وويليام جاردنر حالة اعتلال الأعصاب لأول مرة، ووصف هايم خلايا حمراء كبيرة في الدم المحيطي في هذه الحالة، والتي أطلق عليها اسم "كريات الدم العملاقة" (تسمى الآن كبر الكريات )، حدد پول إرليخ الأرومات الضخمة في نخاع العظم، ووصف Ludwig Lichtheim حالة من اعتلال النخاع.[51] خلال عشرينيات القرن الماضي، اكتشف جورج ويبل أن تناول كميات كبيرة من الكبد بدا أنه يعالج بسرعة فقر الدم الناجم عن فقدان الدم في الكلاب، وافترض أن تناول الكبد قد يعالج فقر الدم الخبيث.[52] أعد إدوين كوهن مستخلص الكبد الذي كان أقوى بنسبة 50 إلى 100 مرة في علاج فقر الدم الخبيث من منتجات الكبد الطبيعية. أوضح ويليام كاسل أن عصير المعدة يحتوي على "عامل داخلي" يؤدي عند دمجه مع تناول اللحوم إلى امتصاص الڤيتامين في هذه الحالة..[51] في عام 1934، شارك جورج ويبل عام 1934 في جائزة نوبل في الفيسيولوجيا أو الطب مع ويليام ب.مورفي وجورج مينوت لاكتشاف علاج فعال لفقر الدم الخبيث باستخدام تركيز الكبد، والذي وجد لاحقًا أنه يحتوي على كمية كبيرة من ڤيتامين ب 12 [51]
الحيوانات الاخري
تمتص المجترات، مثل الأبقار والأغنام، ڤيتامين ب 12 المركب بواسطة بكتيريا الأمعاء ..[53] يجب استهلاك كميات كافية من الكوبالت والنحاس حتى يحدث تخليق ڤيتامين ب 12 ..[54]
في أوائل القرن العشرين، أثناء تطوير الزراعة في هضبة الجزيرة الشمالية البركانية لنيوزيلندا، عانت الماشية مما أطلق عليه "مرض الأدغال". اكتشف في عام 1934 أن التربة البركانية تفتقر إلى أملاح الكوبالت الضرورية لتخليق ڤيتامين ب 12 بواسطة بكتيريا الأمعاء[55][54] وُجد أن " مرض الساحلي " الذي يصيب الأغنام في الكثبان الرملية الساحلية لجنوب أستراليا في ثلاثينيات القرن العشرين نشأ عن نقص التغذية في العناصر النزرة والكوبالت والنحاس. تم التغلب على نقص الكوبالت من خلال تطوير "طلقات الكوبالت"، وهي حبيبات كثيفة من أكسيد الكوبالت ممزوجة بالطين تعطى عن طريق الفم، ثم يتم الاحتفاظ بها في بطن الحيوان.[54][56]
المصادر
- ^ أ ب ت ث ج ح خ د ذ ر ز س ش ص ض Hunt, A; Harrington, D; Robinson, S (4 September 2014). "Vitamin B12 deficiency" (PDF). BMJ. 349. g5226. doi:10.1136/bmj.g5226. PMID 25189324. Archived from the original (PDF) on 12 March 2017.
- ^ أ ب ت ث ج ح خ د ذ ر ز س ش "Dietary Supplement Fact Sheet: Vitamin B12 – Health Professional Fact Sheet". National Institutes of Health: Office of Dietary Supplements. 2016-02-11. Archived from the original on 2016-07-27. Retrieved 2016-07-15.
- ^ أ ب ت Wang, H; Li, L; Qin, LL; Song, Y; Vidal-Alaball, V; Liu, TH (March 2018). "Oral vitamin B12 versus intramuscular vitamin B12 for vitamin B12 deficiency". Cochrane Database of Systematic Reviews. 3. CD004655. doi:10.1002/14651858.CD004655.pub3. PMC 5112015. PMID 29543316.
- ^ أ ب Herrmann, Wolfgang (2011). Vitamins in the prevention of human diseases. Berlin: Walter de Gruyter. p. 245. ISBN 978-3110214482.
- ^
{{cite book}}
: Empty citation (help) - ^ "Complications". nhs.uk. 2017-10-20.
- ^ Lachner, C; Steinle, NI; Regenold, WT (2012). "The neuropsychiatry of vitamin B12 deficiency in elderly patients". The Journal of Neuropsychiatry and Clinical Neurosciences. 24 (1): 5–15. doi:10.1176/appi.neuropsych.11020052. PMID 22450609.
- ^ Miller, JW (1 July 2018). "Proton Pump Inhibitors, H2-Receptor Antagonists, Metformin, and Vitamin B-12 Deficiency: Clinical Implications". Advances in Nutrition (Bethesda, Md.). 9 (4): 511S–518S. doi:10.1093/advances/nmy023. PMC 6054240. PMID 30032223.
- ^ Pawlak, R; Parrott, SJ; Raj, S; Cullum-Dugan, D; Lucus, D (February 2013). "How prevalent is vitamin B(12) deficiency among vegetarians?". Nutrition Reviews. 71 (2): 110–17. doi:10.1111/nure.12001. PMID 23356638.
- ^ Hankey, Graeme J.; Wardlaw, Joanna M. (2008). Clinical neurology. London: Manson. p. 466. ISBN 978-1840765182.
- ^
{{cite book}}
: Empty citation (help) - ^ Schwartz, William (2012). The 5-minute pediatric consult (6th ed.). Philadelphia: Wolters Kluwer Health/Lippincott Williams & Wilkins. p. 535. ISBN 9781451116564.
- ^ Reynolds, E.H. (2014). "The neurology of folic acid deficiency". In Biller, José; Ferro, José M. (eds.). Neurologic aspects of systemic disease. Handbook of Clinical Neurology. Vol. 120. pp. 927–43. doi:10.1016/B978-0-7020-4087-0.00061-9. ISBN 9780702040870. PMID 24365361.
- ^ Briani C, Dalla Torre C, Citton V, Manara R, Pompanin S, Binotto G, Adami F (2013). "Cobalamin Deficiency: Clinical Picture and Radiological Findings". Nutrients. 5 (11): 4521–39. doi:10.3390/nu5114521. ISSN 2072-6643. PMC 3847746. PMID 24248213.
{{cite journal}}
: CS1 maint: unflagged free DOI (link) - ^ Amarapurka DN, Patel ND (September 2004). "Gastric Antral Vascular Ectasia (GAVE) Syndrome" (PDF). Journal of the Association of Physicians of India. 52: 757. Archived (PDF) from the original on 2016-03-04.
- ^ Matsumoto A, Shiga Y, Shimizu H, Kimura I, Hisanaga K (Apr 2009). "[Encephalomyelopathy due to vitamin B12 deficiency with seizures as a predominant symptom]". Rinsho Shinkeigaku. 49 (4): 179–85. doi:10.5692/clinicalneurol.49.179. PMID 19462816.
- ^ Kumar S (Mar 2004). "Recurrent seizures: an unusual manifestation of vitamin B12 deficiency". Neurology India. 52 (1): 122–23. PMID 15069260. Archived from the original on 2011-01-23.
- ^ Kliegman, Robert M.; Stanton, Bonita; St. Geme, Joseph; Schor, Nina F, eds. (2016). Nelson Textbook of Pediatrics (20th ed.). pp. 2319–26. ISBN 978-1-4557-7566-8.
- ^ Stabler SP, Lindenbaum J, Allen RH (1997-10-01). "Vitamin B-12 deficiency in the elderly: current dilemmas". The American Journal of Clinical Nutrition (in الإنجليزية). 66 (4): 741–49. doi:10.1093/ajcn/66.4.741. ISSN 0002-9165. PMID 9322547.
- ^ Dror DK, Allen LH (May 2008). "Effect of vitamin B12 deficiency on neurodevelopment in infants: current knowledge and possible mechanisms". Nutrition Reviews. 66 (5): 250–55. doi:10.1111/j.1753-4887.2008.00031.x. PMID 18454811.
- ^ Black MM (Jun 2008). "Effects of vitamin B12 and folate deficiency on brain development in children". Food and Nutrition Bulletin. 29 (2 Suppl): S126–31. doi:10.1177/15648265080292S117. PMC 3137939. PMID 18709887.
- ^ Moore E, Mander A, Ames D, Carne R, Sanders K, Watters D (April 2012). "Cognitive impairment and vitamin B12: a review". International Psychogeriatrics. 24 (4): 541–56. doi:10.1017/S1041610211002511. PMID 22221769.
- ^ "Cognitive impairment and vitamin B12: a review". International Psychogeriatrics. 24 (4): 541–56. April 2012. doi:10.1017/S1041610211002511. PMID 22221769.
- ^ Janos Zempleni; John W. Suttie; Jesse F. Gregory III; Patrick J. Stover, eds. (2014). Handbook of vitamins (Fifth ed.). Hoboken: CRC Press. p. 477. ISBN 9781466515574. Archived from the original on 2016-08-17.
- ^ Melinda Beck (January 18, 2011). "Sluggish? Confused? Vitamin B12 May Be Low". Wall Street Journal. Archived from the original on September 8, 2017.
- ^ Institute of Medicine (1998). "Folate". Dietary Reference Intakes for Thiamin, Riboflavin, Niacin, Vitamin B6, Folate, Vitamin B12, Pantothenic Acid, Biotin, and Choline. Washington, DC: The National Academies Press. pp. 196–305. ISBN 978-0-309-06554-2. Retrieved 25 September 2019.
- ^ "Tolerable Upper Intake Levels For Vitamins And Minerals" (PDF). European Food Safety Authority. 2006.
- ^ Shibata K, Fukuwatari T, Imai E, Hayakawa T, Watanabe F, Takimoto H, Watanabe T, Umegaki K (2013). "Dietary Reference Intakes for Japanese 2010: Water-Soluble Vitamins". Journal of Nutritional Science and Vitaminology. 2013 (59): S67–S82.
- ^ Croft MT, Lawrence AD, Raux-Deery E, Warren MJ, Smith AG (Nov 2005). "Algae acquire vitamin B12 through a symbiotic relationship with bacteria". Nature. 438 (7064): 90–93. Bibcode:2005Natur.438...90C. doi:10.1038/nature04056. PMID 16267554. S2CID 4328049.
- ^ Rasmussen, SA; Fernhoff, PM; Scanlon, KS (January 2001). "Vitamin B12 deficiency in children and adolescents". The Journal of Pediatrics. 138 (1): 10–17. doi:10.1067/mpd.2001.112160. PMID 11148506.
- ^ أ ب Baik HW, Russell RM (1999). "Vitamin B12 deficiency in the elderly". Annual Review of Nutrition. 19: 357–77. doi:10.1146/annurev.nutr.19.1.357. PMID 10448529.
- ^ Lam JR, Schneider JL, Zhao W, Corley DA (Dec 2013). "Proton pump inhibitor and histamine 2 receptor antagonist use and vitamin B12 deficiency". JAMA: The Journal of the American Medical Association. 310 (22): 2435–42. doi:10.1001/jama.2013.280490. PMID 24327038.
- ^ Yeomans ND, Hanson RG, Smallwood RA, Mihaly GW, Louis WJ (1982). "Effect of chronic ranitidine treatment on secretion of intrinsic factor". British Medical Journal (Clinical Research Ed.). 285 (6337): 264. doi:10.1136/bmj.285.6337.264. PMC 1499627. PMID 6124297.
- ^ Caruso R, Pallone F, Stasi E, Romeo S, Monteleone G (2013). "Appropriate nutrient supplementation in celiac disease". Annals of Medicine (Review). 45 (8): 522–31. doi:10.3109/07853890.2013.849383. PMID 24195595. S2CID 11093737.
- ^ "Blind loop syndrome - Diagnosis and treatment - Mayo Clinic". www.mayoclinic.org (in الإنجليزية). Archived from the original on 2018-05-09.
- ^ Ting RZ, Szeto CC, Chan MH, Ma KK, Chow KM (Oct 2006). "Risk factors of vitamin B(12) deficiency in patients receiving metformin". Archives of Internal Medicine. 166 (18): 1975–79. doi:10.1001/archinte.166.18.1975. PMID 17030830.
- ^ أ ب Nagao, T; Hirokawa, M (October 2017). "Diagnosis and treatment of macrocytic anemias in adults". Journal of General and Family Medicine. 18 (5): 200–04. doi:10.1002/jgf2.31. PMC 5689413. PMID 29264027.
- ^ Kondo H, Osborne ML, Kolhouse JF, Binder MJ, Podell ER, Utley CS, Abrams RS, Allen RH (May 1981). "Nitrous oxide has multiple deleterious effects on cobalamin metabolism and causes decreases in activities of both mammalian cobalamin-dependent enzymes in rats". Journal of Clinical Investigation. 67 (5): 1270–83. doi:10.1172/JCI110155. PMC 370693. PMID 6112240.
- ^ Anyanwu, EC; Morad, M; Campbell, AW (26 August 2004). "Metabolism of mycotoxins, intracellular functions of vitamin B12, and neurological manifestations in patients with chronic toxigenic mold exposures. A review". TheScientificWorldJournal. 4: 736–45. doi:10.1100/tsw.2004.133. PMC 5956359. PMID 15349513.
{{cite journal}}
: CS1 maint: unflagged free DOI (link) - ^ Anyanwu, EC; Kanu, I (12 October 2007). "Biochemical impedance on intracellular functions of vitamin B12 in chronic toxigenic mold exposures". The Scientific World Journal. 7: 1649–57. doi:10.1100/tsw.2007.113. ISSN 1537-744X. PMC 5900526. PMID 17982599.
{{cite journal}}
: CS1 maint: unflagged free DOI (link) - ^ Voet, Donald; Voet, Judith G. (2010). Biochemistry. New York: J. Wiley & Sons. p. 957. ISBN 978-0470-57095-1.
{{cite book}}
: Unknown parameter|name-list-format=
ignored (|name-list-style=
suggested) (help) - ^ Yamada, Kazuhiro (2013). "Chapter 9. Cobalt: Its Role in Health and Disease". In Astrid Sigel, Helmut Sigel and Roland K. O. Sigel (ed.). Interrelations between Essential Metal Ions and Human Diseases. Metal Ions in Life Sciences. Vol. 13. Springer. pp. 295–320. doi:10.1007/978-94-007-7500-8_9. ISBN 978-94-007-7499-5. PMID 24470095.
{{cite book}}
: Unknown parameter|name-list-format=
ignored (|name-list-style=
suggested) (help) - ^ Shane B, Stokstad EL (1985). "Vitamin B12-folate interrelationships". Annual Review of Nutrition. 5: 115–41. doi:10.1146/annurev.nu.05.070185.000555. PMID 3927946.
- ^ "Vitamin B12 / Pathophysiology Text". LifeSave.org. p. 215. Archived from the original on 2013-02-06. Retrieved 2013-12-31.
- ^ "Test used to diagnose B12 deficiency may be inadequate". news-medical.net. October 28, 2004. Archived from the original on September 29, 2007. Retrieved 2007-12-04.
- ^ "Test used to diagnose B12 deficiency may be inadequate". news-medical.net. October 28, 2004. Archived from the original on September 29, 2007. https://web.archive.org/web/20070929131314/http://www.news-medical.net/?id=5908. Retrieved on 2007-12-04.
- ^ Devalia V (Aug 2006). "Diagnosing vitamin B-12 deficiency on the basis of serum B-12 assay". BMJ. 333 (7564): 385–86. doi:10.1136/bmj.333.7564.385. PMC 1550477. PMID 16916826.
- ^ Nickoloff E (1988). "Schilling test: physiologic basis for and use as a diagnostic test". Crit Rev Clin Lab Sci. 26 (4): 263–76. doi:10.3109/10408368809105892. PMID 3077032.
- ^ Lane, LA; Rojas-Fernandez, C (2002). "Treatment of vitamin b(12)-deficiency anemia: oral versus parenteral therapy". Annals of Pharmacotherapy. 36 (7–8): 1268–72. doi:10.1345/aph.1A122. PMID 12086562. S2CID 919401.
- ^ Butler, CC; Vidal-Alaball, J; Cannings-John, R; McCaddon, A; Hood, K; Papaioannou, A; McDowell, I; Goringe, A (2006). "Oral vitamin B12 versus intramuscular vitamin B12 for vitamin B12 deficiency: A systematic review of randomized controlled trials". Family Practice. 23 (3): 279–85. doi:10.1093/fampra/cml008. PMID 16585128.
- ^ أ ب ت Greer, John P. (2014). Wintrobe's Clinical Hematology Thirteenth Edition. Philadelphia, PA: Wolters Kluwer/Lippincott Williams & Wilkins. ISBN 978-1-4511-7268-3.
{{cite book}}
: Unknown parameter|name-list-format=
ignored (|name-list-style=
suggested) (help) Chapter 36: Megaloblastic anemias: disorders of impaired DNA synthesis by Ralph Carmel - ^ "George H. Whipple – Biographical". www.nobelprize.org. Retrieved 2017-10-10.
- ^ Gille, D; Schmid, A (February 2015). "Vitamin B12 in meat and dairy products". Nutrition Reviews. 73 (2): 106–15. doi:10.1093/nutrit/nuu011. PMID 26024497.
- ^ أ ب ت McDowell, Lee Russell (2008). Vitamins in Animal and Human Nutrition (2nd ed.). Hoboken: John Wiley & Sons. p. 525. ISBN 9780470376683. Archived from the original on 2017-09-08.
- ^ "Soils". Waikato University. Archived from the original on 2012-01-25. Retrieved 2012-01-16.
- ^ "Hedley Ralph Marston 1900–1965". Biographical Memoirs of Deceased Fellows. Australian Academy of Science. Archived from the original on 2006-12-06. Retrieved 12 May 2013.
قراءات إضافية
- Greer, John P. (2014). Wintrobe's Clinical Hematology Thirteenth Edition. Philadelphia, PA: Wolters Kluwer/Lippincott Williams & Wilkins. ISBN 978-1-4511-7268-3.
{{cite book}}
: Unknown parameter|name-list-format=
ignored (|name-list-style=
suggested) (help) Chapter 36: Megaloblastic anemias: disorders of impaired DNA synthesis by Ralph Carmel. The gold standard of clinical hematology textbooks since 1942. - Hunt, A.; Harrington, D.; Robinson, S. (4 September 2014). "Vitamin B12 deficiency". BMJ. 349. g5226. doi:10.1136/bmj.g5226. PMID 25189324.
- Pacholok, Sally M.; Stuart, Jeffrey J. (2011). Could It Be B12?: An Epidemic of Misdiagnoses. Fresno, CA: Linden Publishing. ISBN 978-1-61035-065-5.
{{cite book}}
: Unknown parameter|name-list-format=
ignored (|name-list-style=
suggested) (help) - Hooper, M. (2012). Pernicious Anaemia: The Forgotten Disease – the causes and consequences of Vitamin B12 Deficiency. London: Hammersmith Press. ISBN 978-1-78161-004-6.
{{cite book}}
: Unknown parameter|name-list-format=
ignored (|name-list-style=
suggested) (help)
وصلات خارجية
Classification | |
---|---|
External resources |
- https://www.webmd.com/a-to-z-guides/vitamin-b12-deficiency-anemia-topic-overview WebMD overview
- Vitamin B12 and Folate at Lab Tests Online
- CS1 errors: empty citation
- CS1 maint: unflagged free DOI
- CS1 errors: unsupported parameter
- Short description with empty Wikidata description
- Medical condition not in Wikidata
- Articles with unsourced statements from April 2012
- مقالات ذات عبارات بحاجة لمصادر
- نقص ڤيتامينات
- علم أحياء الاضطراب ثنائي القطب
- ڤيتامين ب12
- RTT
- RTTEM