ابيضاض الدم

(تم التحويل من لوكيميا)
ابيضاض الدم
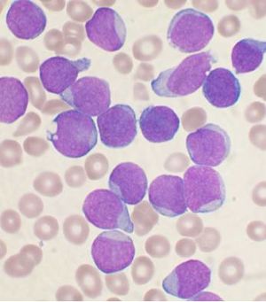
Acute leukemia-ALL.jpg
A Wright's stained bone marrow aspirate smear of patient with precursor B-cell acute lymphoblastic leukemia.
التبويب والمصادر الخارجية
التخصصعلم الدم
ICD-10C91.-C95.
ICD-9-CM208.9
ICD-O9800-9940
DiseasesDB7431
Patient UK

فشل عرض الخاصية P1461: لم يتم العثور على الخاصية P1461.

ابيضاض الدم
MeSHD007938
خلايا مصابة بمرض ابيضاض الدم
مرض ابيضاض الدم الحاد

ابيضاض الدم أو سرطان الدم (

الإنگليزية
النطق [][1]
تـُستخدم في (انظر أدناه)
إجمالي المتكلمين لغة أولى: 309–400 مليون
لغة ثانية: 199–1,400 مليون [2][3]
إجمالي: 500 مليون–1.8 بليون[4][3]
الترتيب 3 (الناطقون كلغة أولى)[5]
الإجمالي: 1 أو 2 [6]
عائلة لغات هندو-أوروبية
نظام الكتابة اللاتينية (التنويعة الإنگليزية)
الوضع الرسمي
لغة رسمية في 53 بلد
الأمم المتحدة
الاتحاد الاوروپي
كومنولث الأمم
مجلس اوروپا
الناتو
NAFTA
OAS
OIC
PIF
UKUSA
ينظمها لا تنظيم رسمي
أكواد اللغة
ISO 639-1 en
ISO 639-2 eng
ISO 639-3 eng
Anglospeak.svg
البلدان حيث الإنگليزية لغة أغلبية أزرق غامق؛ البلدان حيث تكون لغة رسمية ولكنها ليست لغة أغلبية بالأزرق الفاتح. الإنگليزية هي أيضاً واحدة من اللغات الرسمية للاتحاد الاوروبي.

Leukemia/Leukaemia ، من الكلمتين اليونانيتين leukos λευκός تعني "أبيض"; وكلمة aima αίμα تعني "دم") هو عبارة عن مرض خبيث في الخلايا المكونة للدم ويتصف بزيادة عدد الكرات البيضاء الغير ناضجة في الدم ونخاع العظم.

في دراسة أجرتها مجموعة الشرق الأوسط لأبحاث السرطان (Middle East Cancer Consortium) أظهرت إصابة 515 شخص في مصر ما بين العامين 1999-2001 و 1354 شخص في الأردن بإبيضاض الدم ما بين عامي 1996-2001. [7]

تصنيفات المرض

حسب الخلية المصابة بالمرض

تعليق

حسب شدة المرض:

  • ابيضاض الدم الحاد (Acute Leukemia) : ويتصف بسرعة إنتاج الخلايا الغير ناضجة في نخاع العظم والدم.
  • ابيضاض الدم المزمن (Chronic Leukemia): و يتميز هذا النوع بإنتاج خلايا ناضجة جزئيا ولكنها غير فعّالة وظيفيا.

الأعراض و العلامات

من أهم الأعراض التي تظهر على المصاب هي

  • التعب وفقدان الشهيه.
  • إرتفاع حرارة المريض.
  • ألام في العظام و المفاصل.
  • إنتفاخ ونزف من اللثة وظهور بقع زرقاء صغيره تحت الجلد تعرف بإسم الحَبَرات (Petechia).

أما العلامات فتكون

  • هبوط في جميع مكونات الدم (Pancytopenia): في أعداد كريات الدم الحمراء (Erythrocytes) مما يسبب التعب والإرهاق, وهبوط في أعداد الصفائح الدمويه (Platelets) مما يسبب نزف اللثه و ظهور الحبرات ويجعل الشخص المصاب عرضة للنزيف بكثرة و بشكل مطول. و هبوط في أعداد الكريات الدم البيضاء الناضجة (Leucocytes) مما يجعل المريض عرضة للإصابة بمختلف الأمراض نتيجة الضعف المناعي.
  • تضخم في الكبد و الطحال.

مسببات المرض

حتى اليوم لا يعرف ماهو المسبب الرئيسي للمرض. ولكن هناك عدة عوامل يمكنها أن تجعل الشخص عرضة للإصابة بابيضاض الدم أكثر من غيره و هي

  • التعرض للإشعاعات. حيث تم ملاحظة أن العاملين في اللأشعه من أطباء و فنيين والمرضى الذين تم علاجهم من مرض إلتهاب الفقار المُقَسِط (Ankylosing Spondylitis) باستخدام الأشعة مقارنة بالمرضى الذين أُستخدم معهم علاجات غير العلاج بالأشعة والناجين من القنبلة الذريه في هيروشيما وناكازاكي في اليبان جميعهم أظهروا نسبة أعلى للإصابة بابيضاض الدم.
  • التعرض لبعض المركبات الكيميائية مثل الكلورمفينيكول (Chloramphenicol) والبنزين وبعض المضادات الحشرية. وهناك بعض الأدوية التي تستخدم في علاج السرطانات مثل فينيل الانين الخل الذي يستخدم في علاج الورم النِقَوي المتعدد (Multiple Myeloma) وبعض المواد القاعدية التي تستخدم في علاج مرض هودجكين (Hodgkin Disease) وبعض الأدوية المثبطة مناعيا.
  • بعض الأمراض الوراثية مثل متلازمة داون و متلازمة بلووم.
  • بعض الفيروسات مثل Human T-Lymphocyte بنوعيه الأول HTLV-1 و الثاني HTLV-2 وذلك عن طريق إدخال جين ورمي (Oncogene) لخلايا الإنسان مما يجعلها سرطانية.

تشخيص المرض

يتم تشخيص المرض مخبريا و ذلك بإجراء عدة فحوصات و من أهمها

  • عد كامل لمكونات الدم (Complete Blood Count CBC) ومن خلال هذا الفحص يمكن إعطاء إشارات أولية بإحتمال الإصابة بابيضاض الدم
  • خزعة من نخاع العظم وذلك بفحص تلك الخزعة تحت المجهر بعد صبغها ببعض الصبغات الخاصة التي تشير إلى وجود ابيضاض في الدم.

العلاج

هناك عدة طرق مستخدمة لعلاج ابيضاض الدم. بناءا على حالة المريض وحدة المرض ونوع المرض يتم اتخاذ العلاج المناسب. ومن أكثر العلاجات إستخداما:

  • العلاج الكيميائي (Chemotherapy): ويتم فيه إعطاء المريض أدوية مثل (hydroxyurea, busulfan, etoposide, daunorubicin) وغيرها للقضاء على الخلايا السرطانية.
  • العلاج بالأشعة (Radiotherapy): تعريض المريض للأشعة للقضاء على الخلايا السرطانية.
  • زراعة نخاع العظم (Bone Marrow Transplantation)

علاج مساعد

  • نقل دم: وذلك لمعالجه فقر الدم وعلاج النزيف.
  • مضادات حيويه (Antibiotics) وإنترفيرون (Interferon): ليتم دعم الجسم مناعيا ويجعله مقاوما للأمراض.

مواضيع ذات صلة

المراجع

  1. ^ "English, a. and n." The Oxford English Dictionary. 2nd ed. 1989. OED Online. Oxford University Press. 6 September 2007 http://dictionary.oed.com/cgi/entry/50075365
  2. ^ انظر: Ethnologue (1984 estimate); The Triumph of English, The Economist, Dec. 20, 2001; Ethnologue (1999 estimate); "20,000 Teaching Jobs" (in English). Oxford Seminars. Retrieved 2007-02-18.{{cite web}}: CS1 maint: unrecognized language (link);
  3. ^ أ ب "Lecture 7: World-Wide English". EHistLing. Retrieved 2007-03-26.
  4. ^ Ethnologue (تقدير 1999);
  5. ^ Ethnologue, 2009
  6. ^ Languages of the World (Charts), Comrie (1998), Weber (1997), and the Summer Institute for Linguistics (SIL) 1999 Ethnologue Survey. Available at The World's Most Widely Spoken Languages
  7. ^ [1]

ويكيبديا

الكلمات الدالة: