متلازمة الفوسفولبيد
Antiphospholipid syndrome | |
---|---|
الأسماء الأخرى | Hughes syndrome,[1] aCL syndrome, Anticardiolipin antibody syndrome, Antiphospholipid syndrome, Lupus anticoagulant syndrome[2] |
![]() | |
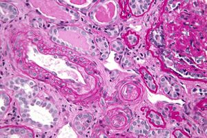
Micrograph showing an advanced thrombotic microangiopathy, as may be seen in APLA syndrome. Kidney biopsy. PAS stain. | |
التخصص | علم المناعة, Hematology, Rheumatology |
متلازمة مضاد الفوسفولبيد أو متلازمة الأجسام المضادة للفوسفولبيد عبارة عن اضطراب في تخثر الدم التي تسبب تجلط الدم (التخثر) في كل من الشرايين والأوردة فضلا عن المضاعفات المتصلة بالحمل مثل الإجهاض، ولادة جنين ميت، [الولادة المبكرة, تسمم الدم الحملي ، تحدث المتازمة نتيجة لإنتاج الأجسام المضادة الذاتية ضد الشحم الفسفوري وهي المادة المكونة لغشاء الخلية. وعلى وجه الخصوص، ويتميز هذا المرض عن طريق الأجسام المضادة ضد كارديوليبين (- مضادات الكارديوليبين) ووالبروتين السكريβ2}
ويستخدم مصطلح "متلازمة الفوسفولبيد الأولية" عندما يحدث في غياب أي مرض الأخرى ذات الصلة. غالبا ما يشاهد هذا المرض بالاقتران مع غيرها من أمراض المناعة الذاتية، ومصطلح "متلازمة الفوسفولبيد الثانوية" عندما يتم استخدام المتلازمة جنبا إلى جنب مع أمراض أخرى مثل الذئبة الحمراء (مرض الذئبة الحمراء). في حالات نادرة، تؤدي المتلازمة إلى فشل الاعضاء السريع بسبب نخثر عام في الجسد وارتفاع مخاطر الوفاة، ووصف هذا هو "متلازمة الفوسفولبيد الكارثية " (كابس).
أحيانا مضادات الدهون الفوسفورية يشار إليها كمتلازمة هيوز بعد أمراض الروماتيزم الدكتور غراهام هيوز.ر.ف ('مستشفى سانت توماس ، لندن، المملكة المتحدة) الذي يعمل في وحدة الذئبة لويز كوت في ' مستشفى سانت توماس في لندن.
العلامات والأعراض
وجود ' هذه الأجسام المضادة في حالة عدم وجود جلطات الدم أو المضاعفات المرتبطه بالحمل لا يشير إلى وجود المتلازمة (أنظر أدناه لتشخيص متلازمة مضادات الفوسفوليبد).
متلازمة مضادات الدهون الفوسفورية يمكن أن تتسبب تجلط الدم في كل من (الشرايين / الاوردة) (في اي جهاز في الجسم) أو المضاعفات ذات الصلة بالحمل. في مرضي المتلازمة ، فإن الحدث الوريدي الأكثر شيوعا هو تخثر الوريد العميق للاطراف السفلية (تجلط الدم في الأوردة العميقة في الساقين) والحدث الأكثر شيوعا في الشرايين هوالسكتة الدماغية. في النساء الحوامل المتضررين من المتلازمه، ويمكن أن يحدث الإجهاض قبل الأسبوع 20 من الحمل، في حين أن سجلت حالات من تسمم الحمل بعد ذلك الوقت. انسداد المشيمة، الولادة المبكرة وموت المواليد يمكن ان تحدث في النساءالمتاثرة بالمتلازمة. في بعض الحالات، يبدو أن المتلازمة هي السبب الرئيسي للتخلف العقلي وتأخر النمو في الأطفال حديثي الولادة، ويرجع ذلك إلى تثبيط تمايز الأديم الغاذي(الطبقة الخارجيه من الكيس الجرثومية التي تساعد في تمسك البويضه بالرحم وتغذية الجنين) عن طريق مضادات الشحوم الفسفورية
النتائج الأخرى المشتركة، وإن لم يكن جزءا من تصنيف المتلازمة، ونقص الصفيحات (انخفاض عدد الصفائح الدموية)، أمراض صمام القلب ، وتزرق شبكي (حالة جلدية). بعض المرضي يعانون مرضى الصداع الصداع النصفي وتذبذب في الابصار، و.[3]
عدد قليل جدا من المرضى الذين يعانون من المتلازمة الأولية في خطر حدوث مرض الذئبة الحمراء.
التشخيص
يتم اختبارمتلازمة الدهون الفوسفورية في المختبر باستخدام كل من المرحلة السائلة للتحليل التخثر(مضاد تخثر الذئبة)، والمرحلة الصلبة (مقايسة الممتز المناعي المرتبط بالإنزيم) (الأجسام المضادة للكارديوليبين).
الميل للتخثر الوراثي ه, جزء من التشخيص التفريقي للمتلازمة، ويمكن أن تواجد في بعض المرضى. الفحص الجيني وهكذا الميل للتخثر الجيني يمكن أن تتكون من :
- المزيد من الدراسات لمتغير عامل لايدن الخامس وتحور البروثرومبين، وطفرة العامل الثامن.وطفرة MTHFR
- مستويات من البروتين ج، ومجموع البروتين والبرووتين الحر س، العامل الثامن، ومضاد الثرومبين، البلاسمينوجين منشط البلاسمينوجين النسيجي، وتثبيط المنشط للبلاسمينوجين - 1 (بي أي آي - 1)
اختبار الأجسام المضادة لافراد ممكنة ومتاحة من الفسفوليبد مثل بروتين سكري β2 (1) {2 ومضاد فوسفاتيديل سيرين {/2} ويجري حاليا مناقشة واختبار لمضاد الكارديوليبين يبدو أن تراعي في الوقت الراهن وتكون محددة لتشخيص متلازمة الفوسفوليبيد على الرغم من اعتبار كارديوليبين ليست هدفا داخل الجسم للأجسام المضادة للفوسفولبيد.
مضاد التخثر للذئبة
يمكن ان يختبر هذا المرض باستخدام الحد الادني من اثنين من اختبارات التخثر الحساسة للشحوم الفوسفورية ، نظرا للطبيعة غير المتجانسة للأجسام المضادة لتخثر الذئبة. الفحص الأولي وعادة للمريض تم العثور على أن يكون لها APTT المطول الذي لا يصحح في خليط 80:20 البلازما مع الإنسان العادي (50:50اختلاط بالبلازما الطبيعية غير حساسة للجميع ولكن لأعلى مستويات الأجسام المضادة). وAPTT (بالإضافة إلى مزيج 80:20)، وتمييع الوقت أفعى السم راسل (DRVVT)، والوقت اللازم لتخثر الكاولين ، الوقت اللازم لتجلط الثرومبوبلاستين الخفف (TDT / DTT) أو وقت اللازم لتجلط البروثرومبين (باستخدام ثرومبوبلاستين حساس للذئبة هي الاختبارات الرئيسية المستخدمة لاكتشاف تخثر الذئبة. يجب أن تتم هذه الاختبارات على ما لا يقل عن مرتين 6 أسابيع بين كل تجربة وتكون ايجابيا في كل مرة مما يدل الإيجابية المستمرة للسماح لتشخيص متلازمة الفوسفولبيد. وهذا لمنع المرضى الذين يعانون من التجارب الايجابية لفترة مؤقته (بسبب الإصابة الخ) يمن أن يتم تشخيص حالتهم كموجبه.
التمييز بين مضادات الذئبة من مثبط لعامل تخثر محدد (مثل : العامل الثامن). ويتحقق هذا عادة من التمييز بين الآثار المترتبة على مضاد تخثر الذئبة على تحليل العامل من تأثير مضاد عامل تخثر محدد. مضاد تخثر الذئبة سوف تمنع كل مسار تنشيط اتصال الأجسام المضادة تفعيل المسار (العامل الثامن والعامل التاسع ، العامل الحادي عشر والثاني عشر). ومضاد تخثر الذئبة أيضا نادرا ما تتسبب في فحص عامل لإعطاء نتيجة أقل من (35 ٪) حيث االجسم المضاد لعامل محدد نادرا ما يعطي نتيجة أعلى من (10٪). رصد علاج مضاد االتخثر الرابع عن طريق نسبة APTT ناقص بسبب الآثار المترتبة على تخثر الذئبة وفي هذه الحالات عموما أفضل أداء باستخدام التحليل اللوني على أساس تثبيط عامل عشرة عن طريق مضاد الثرومبين في حضور الهيبارين.
الأجسام المضادة لمضاد الكارديوليبين
الكشف عن هذه يمكن أن تكون مرتبطة باستخدام تحليل مناعي باستخدام الانزيم ا ، الذي يظهر عن وجود مضادات للكارديوليبين معتمد علي بروتين سكري 2 β 1.
انخفاض عدد الصفائح الدموية والإيجابية للأجسام المضادة ضد بروتين سكري β 2 1 - أو السيرين الفوسفاتي /2} أيضا أن لوحظ في التشخيص الإيجابي.
الأهمية المتعلقة بالعيادات
البحث الذي اجري في عام 2009 تشير إلى ارتفاع معيار الأجسام المضادة للبروتين السكري β2والذي قد يتم تحديد المرضى الذين لديهم ميزات إضافيه طبيه للمتلازمه ولكن الذين لا يستوفون معايير التشخيص الحالية، وبالتالي اختبار للأضداد البروتين السكريβ2 عندما الاختبارات الأخرى سلبية والمتلازمة مشتبه في وجودها.[4]
المعايير
يتم تشخيص المتلازمة في حالة وجود حالة مرضيه(تخثر الأوعية الدموية أو حدث أثناء ء الحمل) وتكرار التجارب الإيجابية لتنفيذ الألغام المضادة للأفراد 12 أسبوعا باستثناء (تكرار مضادات الشحوزم الفوسفوريه أمر ضروري نظرا لوجود الاجسام المضاد للشحوم الفوسفوريه بصورة مؤقته وبمستوي قليل بعد الاصابه
معايير التصنيف للمتلازمة حدثت في سابورو (1998، التي نشرت في 1999) وتستخدم عادة لأغراض تشخيص للمتلازمة.[5] واستنادا إلى هذه المعايير، التشخيص للمتلازمة يتطلب :
- أ) التخثر في الاوعيه الدموية (تجلط الدم) في أي جهاز أو نسيج أو حدث أثناء الحمل (واحد أو أكثر من حالات الإجهاض بعد الأسبوع 10 من الحمل، وثلاثة أو أكثر من حالات الإجهاض قبل الأسبوع 10 من الحمل، أو واحد أو أكثر من الولادة المبكرة لطفل غير مكتمل النمو قبل 34 أسبوع من الحمل بسبب تسمم الحمل) ، و
- ب) النتائج الايجابيه للاجسام المضادة للشحوم الفوسفورية (6 أسابيع بين كل تجربة) (اختبار تخثر الذئبة، ارتفاع معتدل إلى عالي من معيار الأجسام المضادة للمضاد الكارديوليبين، أو متوسطة إلى عالية في معيار أضداد بروتين سكري β2).
عادة يستخدم بيان الاجماع الدولي لتشخيص لمتلازمة الكارثية .[6] على أساس هذا البيان، لتاكيد تشخيص المتلازمة يتطلب :
- أ) تخثر في الأوعية الدموية ثلاثة أو أكثر من الأعضاء أو الأنسجة و
- ب) وتطور الاعراض في نفس الوقت أو في اقل من اسبوع''
- ج) ودليل علي تخثر الد في الاوعيه الصغيرة في عضو أو أكثر و
- د)وتاكيد المعمل علي صحة النتائج في وجود الشحم الفسفوري.
قد تكون بعض الاختبارات المصلية للزهري إيجابية في المرضى الايجابيون لمضادات الشحوم الفوسفورية (ربط امضادات الشحوم الفسفورية إلى الدهون في الاختبار وجعله يخرج إيجابية) على الرغم من أن اختبارات أكثر تحديدا عن الزهري هي استخدام المضادات المؤتلف سيكون سلبيا.
المسببات وكيفية الاصابة
متلازمة مضادات الفوسفولبيد i هو عبارة عن مرض من امراض المناعة الذاتية، حيث " (الأجسام المضادة لمضاد الكارديو ليبين وتخثر الذئبة) اتتفاعل مع البروتينات التي تربط بالشحوم الفوسفورية الأنيونية على غشاء البلازما. مثل العديد من أمراض المناعة الذاتية، المرض أكثر شيوعا في النساء أكثر من الرجال. لا يعرف بالضبط سبب، ولكن تفعيل لنظام التخثر ربما يكون دليل . كذلك مما هو جدير بالذكر طبيا ان الأجسام المضادة الفوسفولبيد (تلك التي تنشأ نتيجة لعملية المناعة الذاتية) تقترن مع الجلطة وأمراض الأوعية الدموية. ويمكن تقسيم المتلازمة اوليا (بدون وجود امراض كامنه) وثانويا (في وجود امراض كامنه اخري).
مضاد ApoH ومجموعة فرعية من الاجسام المضادة للكارديوليبين ارتبط مع ApoH، وهذا بدوره يمنع البروتين سي، وهو بروتين سكري مع الوظيفة التنظيمية على الطريق الشائع للتخثر (عن طريق تحليل العامل الخامس أ).
مضادات LAC ارتبط مع البروثرومبين، وبالتالي زيادة الانقسام في ثرومبين، في شكل فعال.
في المتلازمة هناك أيضا الأجسام المضادة المرتبطة بما يلي : بروتين S، وهو أحد العوامل المشاركة البروتين C ,وبالتالي الاجسام المضادة لمضاد البروتين Sالذي يقلل من كفاءة البروتينC ؛
Annexin A5، الذي يشكل درعا حول جزيئات فوسفورية مشحونة ، سلبا، وبالتالي تقليل توافرها لتخثر الدم. وهكذا، الأجسام المضادة لمضاد الannexin A5 يزيد من خطوات تخثر الدم المعتمدة علي الشحوم الفوسفورية(الفوسفوليبد).
الأجسام المضادة للتخثر الذئبة هي تلك التي تظهر أقرب ارتباط مع التخثر، تلك التي تستهدف β 2 1 بروتين سكري لديها ارتباط اقوي مع التخثر من اولئك الذين تستهدف البروثرومبين. ترتبط الأجسام المضادة لمضادات الكارديوليبين مع التخثر بدرجة معتدلة إلى عالية في المقياس (> 40 GPLU أو MPLU). المرضى الذين يعانون من كل من الأجسام المضادة للتخثر الذئبة ومعتدل / ارتفاع عيار أضداد مضادات الكطارديوليبين تبدي قدرا أكبر من خطر الاصابة بتجلط من واحد وحده.
العلاج
في كثير من الأحيان، يتم معاملة هذا المرض عن طريق إعطاء الاسبرين لمنع تنشيط الصفائح الدموية، و/ أو الوارفارين بوصفها مضادة للتخثر. الهدف من هذا العلاج الوقائي هو الحفاظ علي معدلات تخثر الدم الطبيعيه بين 2.0و3.0 انها لم تحدث عادة في المرضى الذين لم يتلقوا أي أعراض لتخثر خلال فترة الحمل، والهيبارين منخفض الوزن الجزيئي1} والجرعه المنخفضة من الأسبرين وتستخدم بدلا من الوارفارين بسبب احتمالية تشوه الاجنه بسبب الوارفارين. المرأة التي تعاني من اجهاض متكرر تنصح في كثير من الأحيان بـأخذ الاسبرين والهيبارين وبدء علاج الهيبارين ذو الوزن الجزيئي بعد غياب الدورة الشهرية. في بعض الحالات تستخدم طرق عزل البلازما[بحاجة لمصدر]
المراجع
- ^ Hughes, Graham; Khamashta, Munther A. (2013-07-01). Hughes Syndrome: Highways and Byways (in الإنجليزية). Springer Science & Business Media. ISBN 9781447151616. Archived from the original on 2017-03-31.
- ^ "Antiphospholipid syndrome". Autoimmune Registry Inc. Retrieved 14 June 2022.
- ^ Rinne T, Bronstein AM, Rudge P, Gresty MA, Luxon LM (1998). "Bilateral loss of vestibular function: clinical findings in 53 patients". J. Neurol. 245 (6–7): 314–21. doi:10.1007/s004150050225. PMID 9669481.
{{cite journal}}
: CS1 maint: multiple names: authors list (link) - ^ رينان فالنزويلا وآخرون، أغيلار، عرض 1275، معزولة، من ارتفاع مستويات ايغا مكافحة Beta2glycoprotein أنا المرتبطة بها الأجسام المضادة مع المظاهر السريرية لمتلازمة الدهون الفوسفورية ، إيه سي آر / ARHP الاجتماع العلمي السنوي، 2009/10/20.
- ^ Miyakis S, Lockshin MD, Atsumi T; et al. (2006). "International consensus statement on an update of the classification criteria for definite antiphospholipid syndrome (APS)". J. Thromb. Haemost. 4 (2): 295–306. doi:10.1111/j.1538-7836.2006.01753.x. PMID 16420554.
{{cite journal}}
: Explicit use of et al. in:|author=
(help)CS1 maint: multiple names: authors list (link) - ^ Asherson RA, Cervera R, de Groot PG; et al. (2003). "Catastrophic antiphospholipid syndrome: international consensus statement on classification criteria and treatment guidelines". Lupus. 12 (7): 530–4. doi:10.1191/0961203303lu394oa. PMID 12892393.
{{cite journal}}
: Explicit use of et al. in:|author=
(help)CS1 maint: multiple names: authors list (link)
ثبت المراجع
- Triona Holden (2003). Positive Options for Antiphospholipid Syndrome (APS): Self-Help and Treatment. Hunter House (CA). ISBN 0-89793-409-1.
- Kay Thackray (2003). Sticky Blood Explained. Braiswick. ISBN 1-898030-77-4. حساب شخصي في التعامل مع الحالة.
- Graham R V Hughes (2009). Understanding Hughes Syndrome: Case Studies for Patients. Springer. ISBN 1-848003-75-7. 50 دراسات حالة لمساعدتك على عمل ما إذا كان لديك.
وصلات خارجية
- متلازمة مضاد الفوسفوليبيد. المؤسسة الأمريكية المحدودة
- متلازمة مؤسسة هيوز
- مقابلة مع هيوز صحيفة الديلي تلغراف 2 فبراير 2009. تم ادخله في 3 فبراير.