فيروس مضخم للخلايا

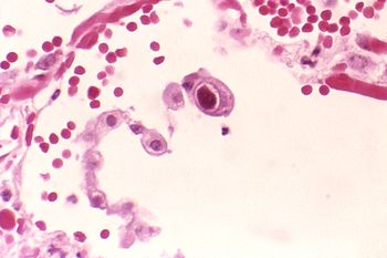
هو جنس فيروسي ينتمي لمجموعة الفيروسات الهربسية (الحلأ). يتوزع وجوده في كافة المناطق الجغرافية و يصيب جميع الفئات العمرية. يمكن للأمراض التي يسببها أن تكون قاتلة. كما يتضح من الاسم فإن الفيروس يقوم بتضخيم الخلية المصابة مما يعطيها شكلها المميز. يتكاثر الفيروس ببطء داخل الخلية مسببا إنتفاخها و ظهور أجسام ضمنية داخل نواة الخلية المصابة (أنظر الصورة).
الفسيولوجيا المرضية
معظم حالات الإصابة بالفيروس المضخم للخلايا غير واضحة (لا تظهر أعراض مرضية) و يمكنها البقاء داخل الجسم المصاب لفترات طويلة. في معظم الحالات يصاب الأصحاء بالفيروس بعد الولادة و لا تبدو عليهم أية أعراض. يتم طرح الفيروس بشكل مستمر عبر اللعاب و البول و معظم السوائل الجسدية، كما ينتقل الفيروس من الأم إلى الجنين عبر المشيمة مسببا إنتانات خلقية. غالبا ما تظهر أعراض المرض عند ضعاف المناعة و كبار السن.
أمراض مرتبطة بالفيروس
- بعض المصابين تبدو عليهم إشارات داء وحيدات النواة الخمجي، عادة ما ينتج داء وحيدات النواة الخمجي عن الإصابة بفيروس إيشتاين بار و لكن بعض الحالات اللانموذجية يسببها الفيروس المضخم للخلايا. تتمثل أعراض داء وحيدات النواة الخمجي بالحمى و التهاب الحلق و التهاب الكبد.
- يؤدي انتقال الفيروس المضخم للخلايا من الأم إلى الجنين عبر المشيمة حدوث إنتانات خلقية تنتهي في كثير من الحالات لتشوه الجنين ووفاته بعد الولادة. بعض الخدج يبقون على قيد الحياة ولكن بعاهات و تشوهات خطيرة. إن الفيروس المضخم للخلايا هو حاليا المسبب الأول للطرش (صمم) الولادي.
- كما يلعب الفيروس المضخم للخلايا دورا هاما في التسبب بالإنتانات اللاحقة لنقل الدم و الإنتانات اللاحقة لنقل الأعضاء. يشاهد هذا النوع من الإصابة لدى الأشخاص الذين لم يتعرضوا قبلا لهذا الفيروس و الذين يعانون من ضعف في المناعة الجسدية.
انتقال الفيروس
يتم انتقال الفيروس من شخص إلى آخر عبر الإتصال المباشر و عبر السوائل الجسدية (انتقال الفيروس و ليس المرض). من ناحية أخرى فإن أكثر طرق انتقال الأمراض التي يسببها الفيروس المضخم للخلايا شيوعاً هي:
- عبر الجماع.
- عبر المشيمة من الأم إلى الجنين.
- من خلال نقل الدم أو نقل الأعضاء.
تشخيص الإصابة
إن التشخيص السريري في أغلب الأحيان شديد الصعوبة و ذلك لغياب الأعراض المرضية. يتم الكشف عن وجود الفيروس عبر الوسائل التالية:
- التحقق من وجود المولدات المضادة للفيروس في الدم.
- أخذ خزعة (عينة) من الخلايا المصابة و مشاهدة الخلايا الكبيرة ذات أجسام ضمنية داخل النواة.
- التحقق من وجود الدنا الخاص بالفيروس أصبح ممكناً.
العلاج
لم يوجد حتى الآن عقار ذو تأثير شفائي على المصابين بالفيروس المضخم للخلايا. ولكن عقار سايتوغام (en) له تأثير وقائي على المرضى المعرضين للإصابة. عقار سايتوغام هو عبارة عن أجسام مضادة للفيروس المضخم للخلايا يعطى عن طريق الحقن في الوريد للمرضى المعرضين للإصابة كحالات زرع الكلية و الضعف المناعي و المصابين بالإيدز.
مراجع
- Sherris Medical Microbiology, 3rd edition, page 151 - 153
- [1] - فيروس مضخم للخلايا
- [2] - أنواع العدوى الفيروسية الشائعة
وصلات خارجية
- [3] - فيروس مضخم للخلايا
- [4] - دراسة متعددة التقنيات لحركية فيروس المضخم للخلايا في الأشخاص ذوي الكفاءة المناعية وذوي النقص المناعي
- [5] - أنواع العدوى الفيروسية الشائعة
- CDC information on cytomegalovirus
- CMV Seronegative vs. Leucodepleted blood components for at risk recipients.
- [ttp://www.aabb.org/Content/About_Blood/Facts_About_Blood_and_Blood_Banking/fabloodtrans.htm#6 Cytomegalovirus (CMV)]
- Learn about CMV prophylaxis and high risk transplants at Cytogam.com