ابيضاض الدم النقوي الحاد
![]() | |
|---|---|
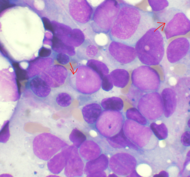
| صورة مجهرية لابيضاض الدم النقوي الحاد من نوع M3 | |
| ICD-10 | C92.0 |
| ICD-9 | 205.0 |
| DiseasesDB | 203 |
| eMedicine | med/34 |
ابيضاض الدم النقوي الحاد (بالإنجليزية Acute Myeloid Leukemia) عبارة عن مرض سرطاني خبيث ينتج بسبب تغير في الخصائص الجينية للخلايا الجِذعية (Stem Cells) مما يؤدي لعدم تميزها إلى خلايا مختلفة مثل كريات الدم البيضاء (Leucocytes) و كريات الدم الحمراء (Erythrocytes) والصفائح الدموية (Platelets) وإنما لخلايا بدائيه تعرف بالخلايا الأرومية (Blast Cells).[1]
يعد ابيضاض الدم النقوي من أكثر سرطانات الدم انتشارا بين البالغين, حيث يشكل ما بين 80% - 90% من حالات الإصابة بابيضاض الدم النقوي الحاد.[2] معدل الأعمار للمصابين بالمرض 68 عاما. و تزداد نسبة الإصابة سنويا من شخص واحد لكل 100000 شخص للذين أعمارهم تقل عن 30 عاما إلى 17 شخص لكل 100000 شخص للذين أعمارهم 75
عاما.[2] وينتشر المرض بين الذكور أكثر من الإناث.[2] يتم تشخيص 11000 حالة سنويا في الولايات المتحدة الأميركية وذلك بمعدل 3.4 لكل 100000 شخص.[2]
سبب الإصابة
تمت ملاحظة أن بعض الأمراض ممكن أن تجعل الشخص أكثر عرضة للإصابة بالمرض ومن هذه الأمراض متلازمة داون و متلازمة بلوم و متلازمة كوستمان و متلازمة ويسكوت ألدريتش ومتلازمة كلينفنتر وفقر دم فانكوني.[3][4]
الإشعاعات الناتجة عن القنبلة الذرية سببت العديد من حالات ابيضاض الدم الحاد للناجين و ذلك بعد 5-7 سنوات من التعرض للإشعاعات.[5][6] والعلاج بالأشعة ممكن أن يؤدي إلى الإصابة بالمرض خاصة إذا استخدم علاج كيميائي معه يحتوي على مواد بها مجموعة ألكيل Alkylating agents مثل ملفلان Melphalan و سايكلوفوسفمايد Cyclophosphamide.[7][8] أو إستخدام أدوية ممكن أن تسبب أية أضرار لإنزيم topoisomerase II المسؤول عن تصليح الدنا DNA repair مثل Etoposide و Teniposide.[9]
بعض الأدوية مثل Chloramphenicol و Phenylbutazone ممكن أن تسبب ضرر لنخاع العظم و بالتالي فرصة لنشوء المرض. و التعرض لبعض المركبات الكيميائية مثل البنزين و المبيدات الحشرية و التدخين تم ربطها كعوامل خطرة.[10][11]
تم ربط الإصابة بابيضاض الدم النقوي كمضاعفات لبعض الأمراض مثل ابيضاض الدم النقوي المزمن (Chronic Myeloid Leukemia) و كثرة الحُمر الحقيقية
(Polycythaemia Vera) والبيلة الهيموجلوبينية الليلية النوبية (Paroxysmal Nocturnal Haemoglobinuria).[12]
الأعراض
معظم الأعراض التي تصيب المريض تكون أعراض عامة كأعراض مرض الإنفلونزا مثل التعب والإرهاق وضيق النفس وفقدان الشهية وارتفاع الحرارة وفقدان الوزن وآلام في المفاصل والعظام، وفي بعض الأحيان يكون هناك تضخم للكبد والطحال وانتفاخ ونزيف من اللثة وظهور الحبرات (Petechia). وفي بعض الحالات لايظهر المريض أية أعلااض وإنما يتم الكشف عن المرض عند إجراء فحص دم روتيني.[12] معظم الأعراض التي تظهر على المريض تكون نتيجة لفقر الدم (Anemia) وانخفاض في أعداد الصفائح الدموية وكريات الدم البيضاء مما يجعل المريض عرضة للإصابة بمختلف الأمراض.
تصنيف المرض
تصنيف FAB
يعتمد الأطباء على تصنيف المرض للمحاولة بالتنبؤ وتوقع مسار المرض مما يساعد الطبيب على اختيار العلاج المناسب للمرض. في عام 1971 قام بعض العلماء الفرنسيين والأميركيين والبريطانيين بعمل تصنيف للمرض وذلك حسب شكل الخلايا المصابة ودرجة نموها وحسب تفاعلها مع بعض المواد الكيميائية، وعرف هذا التصنبف بتصنيف الفاب FAB. وبناءا عليه تم تصنيف ابيضاض الدم النقوي الحاد إلى ثمانية أصناف.[13]
| تصنيف ابيضاض الدم النقوي الحاد حسب FAB | |||
| النوع | الإسم | نسبة الإصابة | مسار المرض |
|---|---|---|---|
| M0 | ابيضاض دم نقوي حاد غير متميز (Undifferentiated AML) | 5% | سيئ |
| M1 | ابيضاض نقوي الأرومات، نمو أولي (Myeloblastic leukemia) | 15% | وسط |
| M2 | ابيضاض نقوي الأرومات، نمو كامل (Myeloblastic Leukemia) | 25% | جيد |
| M3 | ابيضاض السلائف النقوي (Promyelocytic Leukemia) | 10% | أفضل |
| M4 | ابيضاض وحيدي نقوي (Myelomonocytic Leukemia) | 20% | وسط |
| M4 eos | ابيضاض وحيدي نقوي مع كترة الأيوزينيات (Myelomonocytic Leukemia with Eosinophilia) | 5% | جيد |
| M5 | ابيضاض الوحيدات (Monocytic Leukemia) | 10% | وسط |
| M6 | ابيضاض متعلق بسلسلة الكريات الحمر (Erythroid Leukemia) | 5% | سيئ |
| M7 | ابيضاض الخلايا كبيرة النواة الأرومي (Megakaryoblastic Leukemia) | 5% | سيئ |
تصنيف منظمة الصحة العالمية WHO
قامت منظمة الصحة العالمية (WHO) بوضع تصنيف جديد يعتمد على عوامل إضافية للتي إعتمدها تصنيف الفاب (FAB) مثل النمط الظاهري المناعي (Immunophenotype) وبعض الخصائص الوراثية الخلوية (Cytogenetic).[14]
ويتم التصنيف على الشكل التالي:
- ابيضاض دم نقوي حاد يتصف بوجود خلل وراثي خلوي (Acute Myeloid Leukemia with Charecherstic genetic abnormalities) وعادة ما يكون هناك انتقال مكاني بين الكروموسومين 8 و21 والكروموسومين 15 و17، أو انقلاب في الكروموسوم 16. المصابين بهذا النوع لديهم فرصة جيدة للعلاج وتوقعات سير المرض تكون عادة جيدة.
- ابيضاض دم نقوي حاد يتصف بخلل التنسج متعدد السلالات (Acute Meyloid Leukemia with multilineage Dysplasia) ويصنف المرضى تحت هذا النوع إذا سبقت إصابتهم ب متلازمة خلل التنسج النقوي (Myelodysplastic Syndrome) أو متلازمة التكاثر النقوي (Myeloprofilitive Syndrome)، وعادة مسار المرض يكون سيئ.
- ابيضاض دم حاد نقوي نتيجة العلاج الكيميائي إما باستخدام مواد تحوي مجموعة الألكيل (Alkylating Agents) أو استخدام أدوية تعمل على تثبيط إنزيم (Topoisomerase II). ومسار المرض سيئ بالعادة.
- ابيضاض دم حاد نقوي غير محدد أو مصنف، ويتم الرجوع هنا لتصنيف الفاب FAB.
آلية حدوث المرض
وجدت الأبحاث العلمية بأن الفيسيولوجيا المرضية لابيضاض الدم النقوي الحاد ناتجة من الاضطرابات الوراثية الخلوية مثل الانتقال المكاني للكروموسومات، وتؤثر هذه الاضطرابات على عاملين رئيسين وهما:
- العوامل الناسخة (Transcription Factors) للخلايا النقوية وبالتالي عدم نموها بشكل وصحيح وعدم تمايزها.
- الطفرات المنشِطة في عمليات نقل الإشارة (Signal Transduction).
حيث وجد أن هنالك تغيرات في العوامل الناسخة في الخلايا النقوية أدت إلى تغير في مكونات نقل الإشارة مما يؤدي إلى إنتاج ناقل إشارة غير صحيح ويؤدي إلى عدم نقل الرسالة الصحيحة لعوامل ناسخة أخرى مسؤولة عن تمايز الخلايا. وبم أن عملية نقل الإشارة ممكن أن تأخذ أكثر من مسار (Pathway)، وجد أن بعض المسارات تعطي الخلايا المستهدفة خاصية التكاثر السريع، ومن هنا نجد تلك الأعداد الضخمة من الخلايا الغير متمايزة. [15]
تشخيص المرض
يتم استخدام عدة طرق لتشخيص المرض مخبريا، ومن أهمها:
- عد كامل لمكونات الدم (Complete Blood Count): حيث يتم ملاحظة هبوط كل من الهيموجلوبين والصفائح وارتفاع كريات الدم البيضاء، وفي بعض الأحيان يوجد هناك هبوط في أعداد الكريات البيض. يتم أخذ صورة للدم ويتم البحث فيها عن وجود خلايا أرومية (Blast Cells).
- عمل فحوصات خلوية كيميائية (Cytochemistry) على عينة من نخاع العظم وإجراء بعض الفحوصات الكيمائية مثل صبغ العينة بأنواع خاصة من الصبغات مثل (MPO, PAS, nonspecific esterase) لتميز و تحديد صنف المرض. وكما هو الحال مع الدم يتم أخذ صورة لنخاع العظم وتقرأ باستخدام المجهر.[12]
- عمل فحوصات النمط الظاهري المناعي (immonophenotyping) باستخدام جهاز عداد الخلايا (Flow Cytometry). وظيفة هذا الجهاز عد خلايا الدم التي تحوي على علامات معينة تسمى عناقيد التميز (Clusters of Differentiation) للتميز بين أنواع الخلايا السرطانية وتحديد صنف المرض.[12]
- الفحوصات الخلوية المناعية (Immunocytochemistry) مبدأ التشخيص يعتمد على عناقيد التميز ولكن باستخدام طرق مناعية بدلا من استخدان أشعة الليزر والحاسوب في جهاز عداد الخلايا.[12]
- الفحوصات الوراثية الخلوية وذلك بدراسة النمط النووي (Karyotype) للخلية باستخدام التهجين الموضعي المتألق (Fluorescent in situ Hybridization) وملاحظة وجود أية اضطرابات خلوية مثل إنقلاب الكروموسومات أو تبديل أماكنها أو حذف جزء منها.[12]
- استخدام فحص مصفوفات الدنا الدقيقة (Microarrays) وهو فحص متقدم جدا ويعمل على إظهار نشاط الجينات في عينة الحامض النووي. وأظهرت بعض التقارير أن هذه التقنية صحيحة بنسبة 100% في الكشف عن بعض الأنواع السرطاناية الناتجة من الاضطرابات ال وراثية الخلوية وبنسبة 90% في تحديد الأنواع الأخرى.[16]
توقع مسار المرض
توقع مسار المرض عامل مهم جدا لتحديد استراجية العلاج، ومن أهم هذه العوامل المحددة لمسار المرض هي دراسة الكروموسومات و تشخيص الإضطرابات الوراثية الخلوية. وجدت الأبحاث أن المرضى المصابين بالاضطربات الوراثية الخلوية من نوع الإنتقال المكاني بين الكروموسومين 8 و 21 و الكروموسومين 15 و 17 و انقلاب الكروموسوم 16 أن مسار المرض يكون جيد و هناك احتمال كبير بأن يتم علاج المرض . بينما الاضطربات الوراثية الخلوية من نوع الانقلاب في الكروموسوم 3 و الإنتقال المكاني بين الكروموسومين 6 و 9 و الكروموسومين 9 و 22 تؤشر إلى أن المرض مساره سيئ.[17]
العلاج
يتم استخدام عدة طرق لمحاولة علاج المرض ومن أهمها و أكثرها شيوعا هو العلاج الكيميائي، و يتم استخدام العلاج بالأشعة للمحاولة للسيطرة على المرض و عدم انتقاله للأعضاء الأخرى و العلاج المناعي لدعم المريض مناعيا وجعله مقاوما للأمراض المعدية و مرض السرطان.
العلاج الكيميائي
يعطى المريض العلاج الكيمائي عى شكل مرحلتين: الأولى للمحاولة للوصول إلى مرحلة الشفاء التام ( بوجود أقل من 5% من الخلايا الأرومية في نخاع العظم) والمرحلة الثانية ما بعد الشفاء ويتم فيها معالجة المريض لفترة من الزمن لمنع انتكاسة المريض و عودة المرض له. الهدف الرئيسي للعلاج الكيميائي هم إما تدمير الخلايا السرطانية أو إعطابها لتأخير سير المرض، ويتم ذلك بتفاعل المواد الكيميائية مع الدنا أو الرنا للخلية السرطانية مما يمنعها من التكاثر و النمو. ومن الأمثلة على العلاج الكيميائي و التي أثبتت جدواها استخدام (Cytrabine (Ara-C في 7 جرعات يومية في الوريد مع Anthracycline على شكل 3 جرعات يومية وبشفاء كامل من المرض و بنسبة 65%-80% للمرضى تحت سن 60 عام.[18] يتسبب العلاج الكيمائي ببعض الأعراض الناتجة من سُمية المواد المستخدمة في العلاج مما يؤدي إلى إسهال و تقيأ و غثيان و التهاب الغشاء المخاطي للفم
العلاج بالأشعة
في بعض الحالات و خاصة الأمراض من نوعي M4 ، M5 نسبة ضئيلة من المرضى بإمكان المرض أن ينتقل إلى السحايا و إلى سائل النخاع الشوكي. ولعدم إمكانية العلاج الكيميائي للعلاج في تلك الأماكن يتم استخدام العلاج بالأشعة للسيطرة على المرض. ويتم اسخدام العلاج بالأشعة أيضا عند تكوين بعض الأورام.
مواضيع ذات صلة
المصادر
- ^ Brunning RDME, Harris NL, Flandrin G, Vardiman J, Bennett J, Head D. Acute myeloid leukemia. In: Jaffe ES, Harris NL, Stein H, Vardiman JW, editors. World Health Organization Classification of Tumours: Pathology and Genetics of Tumors of Haematopoietic and Lymphoid Tissues. Lyon7 ARC Press; 2000. p. 75- 107.
- ^ أ ب ت ث Ries LAG, Eisner MKC. SEER Cancer statistics review, 1973-1999. Bethesda (Md): National Cancer Institute; 2002.
- ^ Wertelecki W, Shapiro JR. 45,XO Turner’s syndrome and leukaemia. Lancet 1970;1:789- 90.
- ^ Schwartz CL, Cohen HJ. Preleukemic syndromes and other syndromes predisposing to leukemia. Pediatr Clin North Am 1988;35:853- 71.
- ^ Kato H, Brown CC, Hoel DG, et al. Studies of the mortality of Abomb survivors. Report 7. Mortality, 1950-1978: Part II. Mortality from causes other than cancer and mortality in early entrants. Radiat Res 1982;91:243- 64.
- ^ Kodama K, Mabuchi K, Shigematsu I. A long-term cohort study of the atomic-bomb survivors. J Epidemiol 1996;6:S95-S105.
- ^ Ellis M, Ravid M, Lishner M. A comparative analysis of alkylating agent and epipodophyllotoxin-related leukemias. Leuk Lymphoma 1993;11:9 - 13.
- ^ Michels SD, McKenna RW, Arthur DC, et al. Therapy-related acute myeloid leukemia and myelodysplastic syndrome: a clinical and morphologic study of 65 cases. Blood 1985;65:1364- 72.
- ^ Pui CH, Relling MV, Rivera GK, et al. Epipodophyllotoxin-related acute myeloid leukemia: a study of 35 cases. Leukemia 1995;9: 1990- 6.
- ^ Mills PK, Newell GR, Beeson WL, et al. History of cigarette smoking and risk of leukemia and myeloma: results from the Adventist health study. J Natl Cancer Inst 1990;82:1832- 6.
- ^ Sullivan A. Classification, pathogenesis, and etiology of neoplastic diseases of the hematopoietic system. In: Lee GR, Bithell TC, Foerster J, et al., editors. Wintrobe’s clinical hematology. Philadelphia: Lea & Febiger; 1993. p. 1725-91.
- ^ أ ب ت ث ج ح Sergej Konoplev,Carlos E. Bueso-Ramos,Advances in the pathologic diagnosis and biology of acute myeloid leukemia. Annals of Diagnostic Pathology 10 (2006) 39– 65
- ^ Bennett J, Catovsky D, Daniel M, Flandrin G, Galton D, Gralnick H, Sultan C (1976). "Proposals for the classification of the acute leukaemias. French-American-British (FAB) co-operative group". Br J Haematol 33 (4): 451-8.
- ^ Vardiman J, Harris N, Brunning R (2002). "The World Health Organization (WHO) classification of the myeloid neoplasms". Blood 100 (7): 2292-302.
- ^ Bj¨orn Steffen, Carsten M¨uller-Tidow, Joachim Schw¨able, Wolfgang E. Berdel, Hubert Serve.The molecular pathogenesis of acute myeloid leukemia.Critical Reviews in Oncology/Hematology 56 (2005) 195–221
- ^ Haferlach T, Kohlmann A, Schnittger S, et al. Global approach to the diagnosis of leukemia using gene expression profiling. Blood 2005;106:1189- 98.
- ^ Grimwade D, Walker H, Harrison G, et al.: The predictive value of hierarchical cytogenetic classification in older adults with acute myeloid leukemia (AML): analysis of 1065 patients entered into the United Kingdom Medical Research Council AML11 trial. Blood 98 (5): 1312-20, 2001.
- ^ Dillman, R.O., Davis, R.B., Green, M.R., Weiss, R.B., Gottlieb, A.J., Caplan, S., Kopel, S., Preisler, H., McIntyre, O.R. & Schiffer, C. (1991) A comparative study of two different doses of cytarabine for acute myeloid leukemia: a phase III trial of Cancer and Leukemia Group B. Blood, 78, 2520–2526.
