سرطان الأوعية الصفراوية
| سرطان الأوعية الصفراوية | |
|---|---|
| الأسماء الأخرى | Bile duct cancer |
| التخصص | علم الأورام |
سرطان القنوات الصفراوية إنگليزية: cholangiocarcinoma، هو ورم متطور للنسيج الطلائي المبطن للقنوات المرارية. ويمكن أن يسبب انسداد القنوات الصفراوية، ويتسبب في ظهور ركود صفراوي ومن الأعراض السريرية لهذا السرطان حدوث خلل في وظيفة الكبد. وقد شهد هذا النوع من السرطانات النادرة نسبياً التي يصعب تشخيصها وتتميز بتطورها السريع، ارتفاعاً كبيراً في معدلات الإصابة في بداية الألفية الثانية منذ ظهوره في العقود الماضية دون إمكانية تحديد الأسباب[1]. وتتعدد المسببات وعوامل الخطورة لهذا النوع من السرطانات. فهناك أنواع شائعة مرتبطة بالأمراض الطفيلية في منطقة جنوب شرق آسيا. يتمثل العلاج التقليدي لسرطان قنوات الصفراء في الاستئصال الجراحي للورم، والعلاج الكيميائي المضاد للأورام، وأيضا باستخدام العلاج بالمسكنات.
العلامات والأعراض

من العلامات الأكثر شيوعاً لسرطان قنوات الصفراء، اضطراب في قياس نسبة الدم الكبدي الناتج عن خلل غير طبيعي في وظائف الكبد ( يمكن اكتشافه عند تناول البيليروبين أو انزيم أسبوتات أمنيو ترانسفيراز المعروف اختصاراً بASAT وانزيم الأنين أمينو ترانسفيراز المعروف ب جلوتاميل و انزيم جاما ALAT أو الفوسفاتيز القلوي) واليرقان( المعروف باسم الصفراء) مصحوباً بحكة (في حوالي 66% من الحالات)وآلام بالبطن( تتراوح ما بين 30% و 50% من الحالات). كما يلاحظ تغيراً في لون البراز نتيجة نقص إخراج الأملاح المرارية نحو القناة الهضمية. فيتم إخراج هذه الأملاح عبر البول الذي يتغير لونه فيصبح داكناً. ويصاحب العديد من الأورام مثل سرطان قنوات الصفراء حالة اعتلال عامة تتمثل في الإجهاد وفقدان الشهية وفقدان في الوزن (من %30 إلى 50% من الحالات). وفي بعض الحالات، تكون مصاحبة بحمى (في حوالي 20% من الحالات)[2] · [3].
وبخلاف هذه العلامات التقليدية، تختلف الأعراض وفقاً لموضع الورم: فالمرضى المصابون بسرطان قنوات الصفراء المرارية (خارج الكبد) معرضون أكثر لليرقان، بينما يعاني المصابون بأورام القنوات المرارية الكبدية (داخل الكبد) ألاماً عرضية في الجانب الأيمن من المعدة دون أي علامات دالة على الإصابة بالصفراء أو تغير في لون البراز[4].
تكشف قياس وظائف وإنزيمات الكبد (البيليروبين أو ASAT, ALAT ،الخ) دائماً عن ارتفاع معدلات البليروبين، والفوسفاتيز القلوي وإنزيم جاما، كما تكشف عن مستويات طبيعية نسبياً لإنزيمات الترانسفيراز (ALAT, ASAT)
مثل هذه النتائج تعد مؤشرًا على وجود انسداد بقنوات الصفراء (إضافة إلى وجود عدوى أو التهاب بالكبد) مما يُعد سببًا رئيسيًا لحدوث اليَرَقان كنتيجة لـركود عصارة الصفراء[5]. وهناك أيضًا مؤشر بيولوجي وهو المستضد CA19-9 (en) الذي تشير التحاليل إلى ارتفاع معدله بشكل كبير لدى غالبية الحالات.
علم الأوبئة
| البلد | IC (رجال/نساء) | EC (رجال/نساء) |
|---|---|---|
| الولايات المتحدة الأمريكية | 0.60 / 0.43 | 0.70 / 0.87 |
| اليابان | 0.23 / 0.10 | 5.87 / 5.20 |
| أستراليا | 0.70 / 0.53 | 0.90 / 1.23 |
| إنگلترة وويلز | 0.83 / 0.63 | 0.43 / 0.60 |
| اسكتلندا | 1.17 / 1.00 | 0.60 / 0.73 |
| فرنسا | 0.27 / 0.20 | 1.20 / 1.37 |
| إيطاليا | 0.13 / 0.13 | 2.10 / 2.60 |
سرطان قنوات الصفراء ورم سرطاني يزداد تعداد المصابين به بمعدل نحو 2000 حالة جديدة سنويًا في فرنسا [7](وهي زيادة كبيرة خلال هذه العقود الأخيرة) و 12000 حالة في الولايات المتحدة الأمريكية في عام 2009. يتركز هذا المرض في المرارة لدى نصف عدد المصابين به، بينما ينقسم لدى النصف الآخر ما بين الإصابة بالأورام السرطانية في القنوات الصفراوية داخل أو الإصابة بها خارج الكبد[8]. وتُعد نسبة انتشار المرض (ويقصد بها إجمالي عدد المرضى بين عموم سكان منطقة بعينها) مرتفعة في آسيا، لا سيما في هونغ كونغ وتايلاند، ويرجع ذلك إلى الأمراض الطفيلية المتوطنة في هذه المناطق. وقد أظهرت العديد من الدراسات زيادة في عدد الحالات على مدى السنوات على الرغم من أن السبب لا يزال مجهولًا[1]..
عوامل الخطورة

على الرغم من أنه لم يتم العثور، في معظم الحالات، على أي عامل خطورة لدى المرضى المصابين بسرطان قنوات الصفراء، إلا أنه بالإمكان تمييز العديد من العوامل المحفزة على ظهور هذا النوع من السرطان. ومن الشائع في الغرب[9] · [10] · [11] الربط بين هذا الورم وبين الْتِهابُ الأَوعيةِ المراريَّةِ المُتصَلِّب، وهو مرض نادر يصيب قنوات الصفراء؛ بينما توجد في الشرق[12] · [13] · [14] علاقة قوية بين هذا النوع من السرطانات والعديد من الأمراض الطفيلية التي تصيب الكبد كداء المثقوبات (الديستوماتوز الطفيلي) الذي يحدث نتيجة للإصابة بديدان مُتَأَخِّرُ الخُصْيَةِ الزَّبادِيّ أو مُتَفَرِّعُ الخُصْيَةِ الصِّينِيُّ الذي يُصاب فيه الإنسان بالعدوى عند تناوله للأسماك النيئة. وفي عام 2009، تم إبراز آلية الأثر المسرطن مع اكتشاف الجرانيولين Ov-GRN-1، وهو عامل نمو تنتجه الديدان الطفيلية القادرة على إحداث انتشار لخلايا المضيف.
ويرتبط أيضًا سرطان القنوات الصفراوية ببعض الأمراض المزمنة التي تصيب الكبد مثل التهاب الكبد الفيروسي[15] · [16] · [17] أو تَشَمُّعُ الكَبِد[18]، أو التَحْميلٌ المُفْرِطٌ بالحَديد(وهو ما يُعرَف بداءٌ هيموسيديرينيّ (en)). وقد أشارت إحدى الدراسات إلى احتمال كون فَيروسُ فقدان المَناعِة البشرية المكتسبة VIH (الإِيدز) مسئولًا عن الإصابة بسرطان قنوات الصفراء؛ بيد أنه، في الواقع، ربما يكون ازدياد عامل خطورة الإصابة بفيروس الالتهاب الكبدي C لدى المرضى الذين أظهروا تفاعلًا إيجابيًا مع الاختبارات المصلية هو ما يهيىء ظهور هذا النوع من السرطانات[19].. ومن الجدير بالذكر أن بعض الأمراض الخِلْقِيّة قد تتفاقم مما يزيد من فرص الإصابة بسرطان قنوات الصفراء. حيث ثبت وجود ارتباط بين مرض كارولي، وهو مرض وراثي نادر يتمثل في وجود تَوَسُّع بقنوات الصفراء داخل الكبد، أو وجود تكيسات خلقية محيطة بـقناة الصفراء ، وبين ارتفاع خطر الإصابة بهذا الورم[20] · [21] (بنسبة 15% على مدى حياة الفرد). كما تمت الإشارة إلى احتمالية أن تكون بعض التكيسات الأخرى مثل الأوَرَامٌ العابِيّة MHB (وهي عبارة عن عُقَدٌ من نسيج شبيه بالورم يختلف عن النسيج المحيط به ويُطلق عليها أيضًا عُقد von Meyenburg[22]) مسؤولة[23] عن تطوير هذا الورم.
ومن الأمراض المحفزة أيضاً للإصابة بسرطان قنوات الصفراء متلازمة لينش وتقرح الحليمات اللسانية للقنوات المرارية وهو من الأورام النادرة التي تسبب انسداداً متكرراً للقنوات المرارية[24] · [25]. كما أن حصوات الكبد – وهو من الأمراض النادرة في الشرق والشائعة في آسيا – يشتبه كذلك في كونها ضمن عوامل الخطورة المسببة للإصابة بسرطان قنوات الصفراء[26] · [27] · [28] . وقد تم تجريم التعرض لمادة الديوكسين[29] واستخدام عقار التوروتراست – منتج قديم مسرطن كان يستخدم في التشخيص الإشعاعى (بالأشعة السينية)- الذي ثبت تسببه في الإصابة بهذا النوع من السرطانات[30] · [31] .
الفسيولوجيا المرضية

قد يصيب سرطان قنوات الصفراء أي منطقة في القنوات المرارية سواء كانت داخل الكبد وهي القنوات المرارية الكبدية الداخلية أو خارج الكبد وهي القنوات المرارية الكبدية الخارجية. كما تظهر الأورام في المكان الذي تتشعب منه قنوات الصفراء ويطلق عليها الأورام السُريّة. وأحياناً يطلق على سرطان قنوات الصفراء الذي يقع عند نقطة التقاء القنوات الصفراوية الداخلية اليمنى واليسرى لكى تشكل القناة الكبدية الأصلية المشتركة، اسم ورم كلاتسكين[32] . وعلى الرغم من أن سرطان قنوات الصفراء معروف بكونه سرطان غُدّى يصيب الخلاياالظهارية للقنوات المرارية، إلا أن الخلايا التي يستمد منها مصدره غير معروفة. بيد أن الدلائل الحديثة تشير إلى الخلايا المحفزة (متعددة القدرات) للكبد[33] · [34] · [35] . وهناك اعتقاد بأن تطورهذا النوع من السرطانات يمر بسلسلة من المراحل – بدايةً من تضخم مبكر للنسيج الكبدي ثم تحول في طبيعة النسيج مروراً بخلل التنسج وصولاً إلى الورم السرطاني – وهوالمسار نفسه لسرطان القولون[36]. ويعتبر الالتهاب المزمن وانسداد القنوات المرارية وما ينتج عنه من تدفق لعصارة الصفراء من العوامل التي تلعب دوراً في هذا التطور [36] · [37] · [38]. وإذا تطرقنا للصفة التشريحية للأنسجة، فإن هذا النوع من الأورام قد يتنوع ما بين غير متاميزة ومتمايزة خلوياً.
التشخيص

يتم تشخيص سرطان قنوات الصفراء تشريحياً عن طريق فحص الأنسجة المأخوذة أثناء عملية جراحية أو بعد إجراء عملية بذل لعينة من الورم. ويمكن أن يشتبه في وجوده لدى المريض المصاب بيرقان البيليروبين المزدوج الذي يتسبب في انسداد القنوات المرارية (اليرقان الانسدادى). ومن الصعب اعتباره كأحد عوامل التشخيص في حالة الإصابة بإلتهاب الأوعية المرارية المتصلب (أو التهاب الأوعية المرارية المتصلب البدائي) وذلك لأنه إذا كان هؤلاء المرضى لديهم عوامل خطورة للإصابة بسرطان قنوات الصفراء، سيكون هناك صعوبة في التمييز بين أعراض المرضيّن (الالتهاب والسرطان). بالإضافة إلى ذلك، فإن الدلائل التشخيصية لدى هؤلاء المرضى (ظهور كتلة واضحة في التصوير الإشعاعي أو تمدد في القنوات المرارية) قد تكون غير واضحة. ومن المتوقع أن يكون علم دراسة بنية البروتينات ووظائفها في الأنسجة ومصل الدم (بروتيوميات) – إضافة إلى إمكانية تطبيق تقنية مصفوفة الامتزاز الأيوني باستخدام الليزر– تفنية واعدة في تحديد المؤشرات الحيوية الجزئية المحتملة الخاصة بسرطان قنوات الصفراء وربما يكون عاملاً مساعداً في تحسين التشخيص[39].
اختبارات الدم
لا يوجد اختبار دم محدد بإمكانه وحده تشخيص الإصابة بسرطان قنوات الصفراء. فمستويات المستضد الجنيني في الدم والمستضد السرطاني الجنيني 19.9 تكون مرتفعة بصفة عامة، ولكنها ليست أداة محددة وحساسة لقياس دلالات الأورام ليتم استخدامها كأداة فحص. ففي الواقع، يتم قياس مستويات عالية من هذه الدلالات في أمراض أخرى تصيب الجهاز الهضمي، كما أن كل أنواع سرطان قنوات الصفراء لا تقترن بارتفاع في معدلات هذه الدلالات. إلا أن قياس مستويات المستضد الجنيني و المستضد السرطاني 19.9 يمكن أن تأتي كمكمل لتقنيات التصوير الإشعاعي لدعم تشخيص سرطان قنوات الصفراء [40] والمساعدة في المتابعة العلاجية.
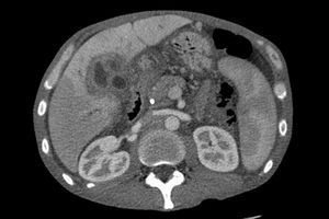
التصوير الباطني
كثيرا ما يستخدم الكشف بالموجات فوق الصوتية على الكبد والقنوات المرارية كطريقة أولية لإجراء التصوير الباطني للمرضى الذين يشتبه في إصابتهم باليرقان (نتج عنه انسداد بقنوات الصفراء)[41] · [42] . ويمكن لهذا النوع من التصوير تحديد وجود انسداد و / أو تمدد بالمرارة ، الأمر الذي قد يكون- في بعض الحالات- كافيا لتشخيص سرطان قنوات الصفراء [43]. كما أن الأشعة المقطعية قد تساعد كذلك في توفير معلومات تشخيصية عن هذا النوع من السرطانات [44] · [45] · [46].وتعتبر درجة دقة التشخيص بالأشعة المقطعية كافية، و لكنها ربما تؤدي إلي عدم تقدير حقيقي لمدى انتشار الورم في القنوات المرارية[47].
تصوير قنوات الصفراء


على الرغم من أن التصوير باستخدام الأشعة السينية غير الغازية في منطقة البطن يمكن أن يكون مفيداً في التشخيص، إلا أن التصوير الموضعي للقنوات الصفراوية غالباً ما يكون ضروريا. ومن بين أنواع الفحوص التي تستخدم على نطاق واسع في تشخيص أورام قنوات الصفراء تصوير البنكرياس بالتنظير الباطني بالطريق الراجع (ERCP بالإنجليزية) وهو إجراء من شأنه أن يجمع بين التنظير الخارجي والتنظير الداخلي ويقوم بهما طبيب الجهاز الهضمي أو الجراح. وعلى الرغم من أنها من الجراحات الغازية، ومحفوفة بالمخاطر أثناء وبعد العملية (زيادة التهاب البنكرياس في 5٪ من الحالات، فضلاً على الأخطار التقليدية للتنظير الداخلي)، إلا أنها تسمح بعمل مسح للخلايا بهدف بذل عينة أو وضع دعامة لأي تدخل جراحي آخر لتسليك انسداد قنوات الصفراء (توسع القنوات المرارية أو تحليل أي حصوات محتملة). ويمكن أيضا إجراء الكشف بالموجات فوق الصوتية بالمنظار في ذات الوقت[48].[49] · [50] · [51]. كما أن التصوير بالرنين المغناطيسي للبنكرياس والمرارة يعد تشخيصاً بديلاً غير غازي مقارنة بعملية التنظير الباطني بالطريق الراجع[49] · [50] · [51] . وقد اقترح بعض الباحثين أن يحل التصوير بالرنين المغناطيسي محل التنظير الباطني بالطريق الراجع في تشخيص سرطان القنوات المرارية[52] · [53] · [54] · [55] .
الجراحة الاستكشافية


يمكن استخدام الجراحة الاستكشافية كإجراء تنظيري باطني لتحديد مرحلة تطور الورم (مما يتيح تجنب المزيد من التقنيات الجراحية الغازية مثل الاستكشاف الباطني[56] · [57]) . فاللجوء للجراحة لعلاج المراحل المبكرة من الورم، يكون السبيل الوحيد الذي يؤدي إلي الشفاء أو الحد من انتشار المرض.
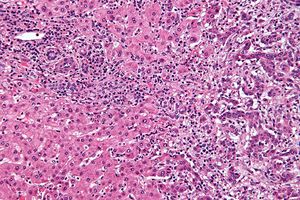
علم الأنسجة
ربما نجد اختلافات كبيرة بين أنواع سرطانات قنوات الصفراء أو ربما تكون الاختلافات طفيفة. وهنا قد يكون علم الكيمياء النسيجية المناعية مفيداً إبان مرحلة التشخيص للتمييز بين الأورام في مراحلها البدائية والأورام التنقلية التي انتشرت من أورام بالكبد والأمعاء[58]. وتعد مستقبلات الإنتجرين αvβ6 من دلالات الأورام الجيدة المستخدمة في علم الكيمياء النسيجية المناعية للتأكد من التشخيص الدال على الإصابة بسرطان قنوات الصفراء مقارنة بدلالات الأورام المستخدمة في الكشف عن سرطان الخلايا الكبدية أو أية أنواع أخرى من السرطانات[59]، هذا لأن نوعية ودرجة حساسية هذا النوع من دلالات الأورام تصل إلى 100% ودقته 86% وهو أفضل من الأنواع الأخرى مثل CK7 و CK 20 و HepPar1.
العلاج
وتختلف سبل علاج سرطان قنوات الصفراء ما بين التدخل الجراحي أو الطبي و لا نستبعد أيضا اللجوء إلى استخدام المسكنات أمام التطور السريع والقاتل للمرض.
بزل المرارة
كثيرا ما يعد سرطان قنوات الصفراء مسؤولا عن إنسداد القنوات المرارية ومن ثم زيادة مادة الصفراء. ويتمثل العلاج عادة في وضع درنقة للمرارة باستخدام المنظار لإزالة عصارة الصفراء من المرارة وتركيب دعامات البنكرياس.
الجراحة
تعد الجراحة من الوسائل التشخيصية القاسية في علاج سرطان قنوات الصفراء إذا ما لم يتم استئصال الورم تماما. كما أنه من الصعوبة التكهن[60] بنسبة نجاح عمليات الأورام خاصة إذا ما وضعنا في الإعتبار تضخم المرارة(تصنيف بيسموث)[61]). ويجب أن يكون لإستئصال الورم أولوية على أية علاج للأعراض لا سيما في حالة زيادة اليرقان، إذ أن علاج الأعراض الذي يهدف تقليل اليرقان يجب ألا يكون سببا في تأخر التدخل الجراحي.وكقاعدة عامة يكون استئصال الورم ممكنا بصفة أساسية حالما كان موضع الورم هو المرارة أو على القنوات المرارية الكبدية الخارجية. ولكن يندر اللجوء للجراحة في حالة أورام القنوات المرارية الكبدية الداخلية في حالة أورام القنوات المرارية الكبدية الداخلية، يكون الإجراء الغالب هو استئصال جزء من الكبد بالجراحة المفتوحة. ويتعين بعد الجراحة أن يكون حجم الكبد كافياً (أي يجب أن يكون أكثر من 0.5%من وزن الكبد السليم[62] ) وذلك حتى يستطيع أن يتجدد ذاتياً مع الإزالة الكلية للورم[63] · [64]. وهناك عدة موانع طبية تحول دون اللجوء إلى مثل هذه الجراحة المعقدة. ولا تزال نتائج مثل هذا التدخل وكذلك العناصر التي تؤثر عليه محل دراسة و لكنها تزيد في نسبة البقاء على قيد الحياة إلى سنة أو ثلاث أو خمس سنوات[65].
العلاج الكيميائي والعلاج الإشعاعي بعد الجراحة

إذا كان ممكنا استئصال الورم من خلال الجراحة ، فإن المريض يمكن أن يتلقى علاجا كيميائيا مساعدا أو علاجا إشعاعيا لتحسين فرص الشفاء. ومثل هذا العلاج غير مؤكد النتائج في أدبيات الطب إذ أنه ثبت أن له آثاراً إيجابية[66] · [67] وأخرى سلبية[4] · [68] · [69] · [70].
زرع الكبد
على الرغم من أن عملية زرع الكبد كانت طالما مثاراً للجدل حيث الدراسات الأولية أثبتت عودة المرض بنسبة 100%، إلا أنها فيما يبدو واعدة وهناك العديد من الفرق الطبية الجراحية استطاعت الوصول إلى إبقاء المريض على قيد الحياة لمدة خمس سنوات في 30% و 40% من حالات أورام قنوات الصفراء بالنقير الكبدي[71]. ونظراً لنقص الأنسجة المستخدمة في زراعة الأعضاء، يعتبر بعض الباحثين في هذا المجال أن هذه النسبة منخفضة للغاية لللجوء إلى هذا الخيار العلاجى[72].
علاج الحالات في مراحل متأخرة
يستخدم العلاج الكيميائى -في هذه الحالات- لتحسين نوعية الحياة للمرضى[73]. ولا يوجد بروتوكول كيميائى عام في هذه المرحلة (العقاقير المستخدمة: فلورويوراسيل – حمض الفوليك 5 [74] أو الجيمسيتابين[75] أو جيمسيتابين مع مزيد من السيسبلاتين[76] والايرينوتيكان[77] أو الكابيسيتابين[78].. وفي دراسة مصغرة تم الاقتراح بإمكانية الاستفادة من الارلوتينيب وهو مانع للتيروزين كيناز لدى المرضى الذين يعانون من سرطان قنوات الصفراء في مرحلة متقدمة[79]). كما أظهرت دراسة بريطانية أًجريت عام 2010 أهمية الجمع بين عقارين مثل السيسبلاتين والجيمسيتابين كخطوة أولى في حالات سرطان قنوات الصفراوء التي لا تتحمل إجراء عملية جراحية[80].
مآل المرض
يصعب تشخيص هذا النوع من السرطانات من بين أورام الكبد، وعلاجه من خلال استئصال الورم يعد الفرصة الوحيدة للشفاء التام (ولكن دون ضمانات[81]). وفي حالة الأورام التي يستحيل فيها الجراحة، يعد معدل البقاء على قيد الحياة لخمس سنوات غير مشجع لاسيما في حالات ظهور المرض في العقد اللمفاوية[82]. وتنخفض النسبة لتصل إلى 5% في حالة الأورام التنقلية المنتشرة[83]. وفي حالة عدم وجود علاج، ينخفض معدل توقعات الحياة إلى ستة أشهر فقط[84]. وفى الحالات التي يمكن أن تخضع لعملية جراحية، يعتمد احتمال الشفاء الكامل على مكان الورم وصعوبة استئصاله. أما بالنسبة لسرطان قنوات الصفراوء الذي يمكن استئصاله، تكمن عوامل صعوبة التشخيص في النقاط التالية:
- انخفاض الألبومين قبل الجراحة
- وجود بقايا للورم في الموضع الذي تم منه استئصال الورم (لم يتم استئصال الورم إلا بشكل جزئى)
- تصنيف الورم والعقد والنقائل (مرحلة "تى" : حجم الورم الأولى)
المراحل المختلفة
على الرغم من وجود ما لا يقل عن ثلاث مراحل في تطور سرطان قنوات الصفراء، إلا أنه لا يمكن لأحد منها توقع فرص البقاء على قيد الحياة للمريض. فالمعطيات الأكثر أهمية المرتبطة بجميع هذه المراحل هى إمكانية استئصال الورم بواسطة عملية جراحية من عدمه. وغالباً لا يتم الحصول على هذه المعلومة إلا خلال العملية الجراحية نفسها. تشمل التوجيهات العامة لإجراء عملية جراحية العوامل التالية:
- عدم انتشار المرض في العقدة الليمفاوية أو ظهور أورام تنقلية منتشرة من الكبد
- عدم إصابة الوريد البوابى بالمرض
- عدم انتشار للمرض في الأعضاء المجاورة
- عدم انتشار المرض بصورة واسعة.
في عام 2009، أظهرت العديد من الدراسات أن نسبة البقاء على قيد الحياة لخمس سنوات قد بلغ 20% لدى المرضى الذين خضعوا لعملية جراحية[85] (بينما كانت النسبة تصل إلى 32% في دراسة لعام 2007 عن سرطان قنوات الصفراء المحيطى الذي يمكن استئصاله بالجراحة[86]).
الهوامش
- ^ أ ب Études indépendantes ayant observé une augmentation ininterrompue de l'incidence du cholangiocarcinome dans le monde :
- (إنگليزية) BMC Cancer. 2. doi:10.1186/1471-2407-2-10. PMID 11991810.
{{cite journal}}: Missing or empty|title=(help); Unknown parameter|السنة=ignored (help); Unknown parameter|الصفحات=ignored (help); Unknown parameter|العنوان=ignored (help); Unknown parameter|المؤلف=ignored (help)CS1 maint: unflagged free DOI (link) - (إنگليزية) Hepatology. 33 (6). doi:10.1053/jhep.2001.25087. PMID 11391522.
{{cite journal}}: Missing or empty|title=(help); Unknown parameter|السنة=ignored (help); Unknown parameter|الصفحات=ignored (help); Unknown parameter|العنوان=ignored (help); Unknown parameter|المؤلف=ignored (help) - (إنگليزية) J Hepatol. 40 (3). doi:10.1016/j.jhep.2003.11.030. PMID 15123362.
{{cite journal}}: Missing or empty|title=(help); Unknown parameter|السنة=ignored (help); Unknown parameter|الصفحات=ignored (help); Unknown parameter|العنوان=ignored (help); Unknown parameter|المؤلف=ignored (help) - (إنگليزية) British Journal of Cancer. 94 (11). doi:10.1038/sj.bjc.6603127. PMID 16736026.
{{cite journal}}: Missing or empty|title=(help); Unknown parameter|السنة=ignored (help); Unknown parameter|الصفحات=ignored (help); Unknown parameter|العنوان=ignored (help); Unknown parameter|المؤلف=ignored (help) - (إنگليزية) J Hepatol. 37 (6). doi:10.1016/S0168-8278(02)00297-0. PMID 12445422.
{{cite journal}}: Missing or empty|title=(help); Unknown parameter|السنة=ignored (help); Unknown parameter|الصفحات=ignored (help); Unknown parameter|العنوان=ignored (help); Unknown parameter|المؤلف=ignored (help) - (إنگليزية) J Natl Cancer Inst. 98 (12). PMID 16788161.
{{cite journal}}: Missing or empty|title=(help); Unknown parameter|السنة=ignored (help); Unknown parameter|الصفحات=ignored (help); Unknown parameter|العنوان=ignored (help); Unknown parameter|المؤلف=ignored (help)
- (إنگليزية) BMC Cancer. 2. doi:10.1186/1471-2407-2-10. PMID 11991810.
- ^ (إنگليزية) Arch Surg. 128 (8). PMID 8393652.
{{cite journal}}: Missing or empty|title=(help); Unknown parameter|السنة=ignored (help); Unknown parameter|الصفحات=ignored (help); Unknown parameter|العنوان=ignored (help); Unknown parameter|المؤلف=ignored (help) - ^ (إنگليزية) Bile duct cancer: cause and treatment
- ^ أ ب (إنگليزية) Ann Surg. 224 (4). doi:10.1097/00000658-199610000-00005. PMID 8857851.
{{cite journal}}: Missing or empty|title=(help); Unknown parameter|السنة=ignored (help); Unknown parameter|الصفحات=ignored (help); Unknown parameter|العنوان=ignored (help); Unknown parameter|المؤلف=ignored (help) - ^ (en) Sleisenger and Fordtran's Gastrointestinal and Liver Disease, Saunders, édité chez Elsevier, 21 juillet 2006 (ISBN 978-1-4160-0245-1), p. 1493–1496
- ^ (إنگليزية) J Hepatol. 37 (6). doi:10.1016/S0168-8278(02)00297-0. PMID 12445422.
{{cite journal}}: Missing or empty|title=(help); Unknown parameter|السنة=ignored (help); Unknown parameter|الصفحات=ignored (help); Unknown parameter|العنوان=ignored (help); Unknown parameter|المؤلف=ignored (help) - ^ C. Housset, Épidémiologie, facteurs de risque et mécanismes de la carcinogenèse biliaire, La Lettre de l'hépato-gastroentérologue; 2007;10(8):181-4. Archived 2015-07-05 at the Wayback Machine
- ^ (إنگليزية)A. Jemal, R. Siegel, E. Ward, Y. Hao, J. Xu, M. J. Thun, Cancer statistics, 2009, CA Cancer J Clin, 2009;59:225-49.
- ^ (إنگليزية) Ann Oncol. 10 Suppl 4. PMID 10436847.
{{cite journal}}: Missing or empty|title=(help); Unknown parameter|السنة=ignored (help); Unknown parameter|الصفحات=ignored (help); Unknown parameter|العنوان=ignored (help); Unknown parameter|المؤلف=ignored (help) - ^ Études épidémiologiques portant sur l'incidence du cholangiocarcinome chez les personnes avec une cholangite sclérosante primitive :
- (إنگليزية) J Hepatol. 36 (3). doi:10.1016/S0168-8278(01)00288-4. PMID 11867174.
{{cite journal}}: Missing or empty|title=(help); Unknown parameter|السنة=ignored (help); Unknown parameter|الصفحات=ignored (help); Unknown parameter|العنوان=ignored (help); Unknown parameter|المؤلف=ignored (help) - (إنگليزية) Hepatology. 27 (2). doi:10.1002/hep.510270201. PMID 9462625.
{{cite journal}}: Missing or empty|title=(help); Unknown parameter|السنة=ignored (help); Unknown parameter|الصفحات=ignored (help); Unknown parameter|العنوان=ignored (help); Unknown parameter|المؤلف=ignored (help) - (إنگليزية) Am J Gastroenterol. 99 (3). doi:10.1111/j.1572-0241.2004.04067.x. PMID 15056096.
{{cite journal}}: Missing or empty|title=(help); Unknown parameter|السنة=ignored (help); Unknown parameter|الصفحات=ignored (help); Unknown parameter|العنوان=ignored (help); Unknown parameter|المؤلف=ignored (help)
- (إنگليزية) J Hepatol. 36 (3). doi:10.1016/S0168-8278(01)00288-4. PMID 11867174.
- ^ (إنگليزية) Ann Surg. 213 (1). doi:10.1097/00000658-199101000-00004. PMID 1845927.
{{cite journal}}: Missing or empty|title=(help); Unknown parameter|السنة=ignored (help); Unknown parameter|الصفحات=ignored (help); Unknown parameter|العنوان=ignored (help); Unknown parameter|المؤلف=ignored (help) - ^ (إنگليزية) Br J Surg. 83 (8). doi:10.1002/bjs.1800830809. PMID 8869303.
{{cite journal}}: Missing or empty|title=(help); Unknown parameter|السنة=ignored (help); Unknown parameter|الصفحات=ignored (help); Unknown parameter|العنوان=ignored (help); Unknown parameter|المؤلف=ignored (help) - ^ (إنگليزية) Br J Surg. 89 (8). doi:10.1046/j.1365-2168.2002.02143.x. PMID 12153620.
{{cite journal}}: Missing or empty|title=(help); Unknown parameter|السنة=ignored (help); Unknown parameter|الصفحات=ignored (help); Unknown parameter|العنوان=ignored (help); Unknown parameter|المؤلف=ignored (help) - ^ (إنگليزية) Int J Epidemiol. 25 (5). doi:10.1093/ije/25.5.933. PMID 8921477.
{{cite journal}}: Missing or empty|title=(help); Unknown parameter|السنة=ignored (help); Unknown parameter|الصفحات=ignored (help); Unknown parameter|العنوان=ignored (help); Unknown parameter|المؤلف=ignored (help) - ^ (إنگليزية) Cancer. 88 (11). doi:10.1002/1097-0142(20000601)88:11<2471::AID-CNCR7>3.0.CO;2-T. PMID 10861422.
{{cite journal}}: Missing or empty|title=(help); Unknown parameter|السنة=ignored (help); Unknown parameter|الصفحات=ignored (help); Unknown parameter|العنوان=ignored (help); Unknown parameter|المؤلف=ignored (help) - ^ (إنگليزية) Cancer Sci. 95 (7). doi:10.1111/j.1349-7006.2004.tb02492.x. PMID 15245596.
{{cite journal}}: Missing or empty|title=(help); Unknown parameter|السنة=ignored (help); Unknown parameter|الصفحات=ignored (help); Unknown parameter|العنوان=ignored (help); Unknown parameter|المؤلف=ignored (help) - ^ (إنگليزية) Chin Med J (Engl). 113 (12). PMID 11776153.
{{cite journal}}: Missing or empty|title=(help); Unknown parameter|السنة=ignored (help); Unknown parameter|الصفحات=ignored (help); Unknown parameter|العنوان=ignored (help); Unknown parameter|المؤلف=ignored (help) - ^ (إنگليزية) Hepatology. 28 (4). doi:10.1002/hep.510280404. PMID 9755226.
{{cite journal}}: Missing or empty|title=(help); Unknown parameter|السنة=ignored (help); Unknown parameter|الصفحات=ignored (help); Unknown parameter|العنوان=ignored (help); Unknown parameter|المؤلف=ignored (help) - ^ (إنگليزية) Gastroenterology. 128 (3). doi:10.1053/j.gastro.2004.12.048. PMID 15765398.
{{cite journal}}: Missing or empty|title=(help); Unknown parameter|السنة=ignored (help); Unknown parameter|الصفحات=ignored (help); Unknown parameter|العنوان=ignored (help); Unknown parameter|المؤلف=ignored (help) - ^ (إنگليزية) Ann Surg. 220 (5). doi:10.1097/00000658-199411000-00007. PMID 7979612.
{{cite journal}}: Missing or empty|title=(help); Unknown parameter|السنة=ignored (help); Unknown parameter|الصفحات=ignored (help); Unknown parameter|العنوان=ignored (help); Unknown parameter|المؤلف=ignored (help) - ^ (إنگليزية) Am J Surg. 145 (1). doi:10.1016/0002-9610(83)90164-2. PMID 6295196.
{{cite journal}}: Missing or empty|title=(help); Unknown parameter|السنة=ignored (help); Unknown parameter|الصفحات=ignored (help); Unknown parameter|العنوان=ignored (help); Unknown parameter|المؤلف=ignored (help) - ^ Cholangiocarcinome sur complexes de von Meyenburg au cours d'une hémochromatose Archived 2016-03-03 at the Wayback Machine
- ^ Annales de pathologie. 29 (1). PMID 19233090.
{{cite journal}}: Missing or empty|title=(help); Unknown parameter|السنة=ignored (help); Unknown parameter|الصفحات=ignored (help); Unknown parameter|العنوان=ignored (help); Unknown parameter|المؤلف=ignored (help) - ^ (إنگليزية) Cancer. 69 (5). PMID 1310886.
{{cite journal}}: Missing or empty|title=(help); Unknown parameter|السنة=ignored (help); Unknown parameter|الصفحات=ignored (help); Unknown parameter|العنوان=ignored (help); Unknown parameter|المؤلف=ignored (help) - ^ (إنگليزية) Cancer. 100 (4). doi:10.1002/cncr.20031. PMID 14770435.
{{cite journal}}: Missing or empty|title=(help); Unknown parameter|السنة=ignored (help); Unknown parameter|الصفحات=ignored (help); Unknown parameter|العنوان=ignored (help); Unknown parameter|المؤلف=ignored (help) - ^ (إنگليزية) J Gastroenterol Hepatol. 17 (9). doi:10.1046/j.1440-1746.2002.02779.x. PMID 12167124.
{{cite journal}}: Missing or empty|title=(help); Unknown parameter|السنة=ignored (help); Unknown parameter|الصفحات=ignored (help); Unknown parameter|العنوان=ignored (help); Unknown parameter|المؤلف=ignored (help) - ^ (إنگليزية) Br J Surg. 84 (7). doi:10.1002/bjs.1800840717. PMID 9240138.
{{cite journal}}: Missing or empty|title=(help); Unknown parameter|السنة=ignored (help); Unknown parameter|الصفحات=ignored (help); Unknown parameter|العنوان=ignored (help); Unknown parameter|المؤلف=ignored (help) - ^ (إنگليزية) Cancer Causes Control. 12 (10). doi:10.1023/A:1013747228572. PMID 11808716.
{{cite journal}}: Missing or empty|title=(help); Unknown parameter|السنة=ignored (help); Unknown parameter|الصفحات=ignored (help); Unknown parameter|العنوان=ignored (help); Unknown parameter|المؤلف=ignored (help) - ^ Diagnostic et prise en charge du cholangiocarcinome, Xavier Causse, paragraphe Étiologie Archived 2015-07-23 at the Wayback Machine
- ^ (إنگليزية) Abdom Imaging. 28 (1). doi:10.1007/s00261-001-0148-y. PMID 12483389.
{{cite journal}}: Missing or empty|title=(help); Unknown parameter|السنة=ignored (help); Unknown parameter|الصفحات=ignored (help); Unknown parameter|العنوان=ignored (help); Unknown parameter|المؤلف=ignored (help) - ^ (إنگليزية) J Hepatobiliary Pancreat Surg. 11 (6). doi:10.1007/s00534-004-0924-5. PMID 15619021.
{{cite journal}}: Missing or empty|title=(help); Unknown parameter|السنة=ignored (help); Unknown parameter|الصفحات=ignored (help); Unknown parameter|العنوان=ignored (help); Unknown parameter|المؤلف=ignored (help) - ^ (إنگليزية) American Journal of Medicine. 38. doi:10.1016/0002-9343(65)90178-6. PMID 14256720.
{{cite journal}}: Missing or empty|title=(help); Unknown parameter|السنة=ignored (help); Unknown parameter|الصفحات=ignored (help); Unknown parameter|العنوان=ignored (help); Unknown parameter|المؤلف=ignored (help) - ^ (إنگليزية) Oncogene. 25 (27). doi:10.1038/sj.onc.1209558. PMID 16799623.
{{cite journal}}: Missing or empty|title=(help); Unknown parameter|السنة=ignored (help); Unknown parameter|الصفحات=ignored (help); Unknown parameter|العنوان=ignored (help); Unknown parameter|المؤلف=ignored (help) - ^ (إنگليزية) World J Gastroenterol. 10 (22). PMID 15484322.
{{cite journal}}: Missing or empty|title=(help); Unknown parameter|السنة=ignored (help); Unknown parameter|الصفحات=ignored (help); Unknown parameter|العنوان=ignored (help); Unknown parameter|المؤلف=ignored (help) - ^ (إنگليزية) American Journal of Pathology. 134 (6). PMID 2474256.
{{cite journal}}: Missing or empty|title=(help); Unknown parameter|السنة=ignored (help); Unknown parameter|الصفحات=ignored (help); Unknown parameter|العنوان=ignored (help); Unknown parameter|المؤلف=ignored (help) - ^ أ ب (إنگليزية) Hepatology. 41 (1). doi:10.1002/hep.20537. PMID 15690474.
{{cite journal}}: Missing or empty|title=(help); Unknown parameter|السنة=ignored (help); Unknown parameter|الصفحات=ignored (help); Unknown parameter|العنوان=ignored (help); Unknown parameter|المؤلف=ignored (help) - ^ (إنگليزية) Ann. Oncol. 10 Suppl 4. PMID 10436802.
{{cite journal}}: Missing or empty|title=(help); Unknown parameter|السنة=ignored (help); Unknown parameter|الصفحات=ignored (help); Unknown parameter|العنوان=ignored (help); Unknown parameter|المؤلف=ignored (help) - ^ (إنگليزية) Hepatology. 37 (5). doi:10.1053/jhep.2003.50200. PMID 12717374.
{{cite journal}}: Missing or empty|title=(help); Unknown parameter|السنة=ignored (help); Unknown parameter|الصفحات=ignored (help); Unknown parameter|العنوان=ignored (help); Unknown parameter|المؤلف=ignored (help) - ^ (إنگليزية) . 44. doi:10.1002/hep.21294.
{{cite journal}}: Cite journal requires|journal=(help); Missing or empty|title=(help); Unknown parameter|année=ignored (|date=suggested) (help); Unknown parameter|auteur=ignored (|author=suggested) (help); Unknown parameter|numéro=ignored (help); Unknown parameter|revue=ignored (help); Unknown parameter|titre=ignored (|title=suggested) (help); Unknown parameter|الصفحات=ignored (help) - ^ Études sur la performance des marqueurs sériques (tels l'antigène carcino-embryonnaire ou CA 19.9) dans le dépistage du cholangiocarcinome :
- (إنگليزية) . 198. doi:10.1016/j.amjsurg.2008.12.031.
{{cite journal}}: Cite journal requires|journal=(help); Missing or empty|title=(help); Unknown parameter|année=ignored (|date=suggested) (help); Unknown parameter|auteur=ignored (|author=suggested) (help); Unknown parameter|numéro=ignored (help); Unknown parameter|revue=ignored (help); Unknown parameter|titre=ignored (|title=suggested) (help); Unknown parameter|الصفحات=ignored (help) - (إنگليزية) . 24. doi:10.1055/s-2004-828891. PMID 15192787.
{{cite journal}}: Cite journal requires|journal=(help); Missing or empty|title=(help); Unknown parameter|année=ignored (|date=suggested) (help); Unknown parameter|auteur=ignored (|author=suggested) (help); Unknown parameter|numéro=ignored (help); Unknown parameter|revue=ignored (help); Unknown parameter|titre=ignored (|title=suggested) (help); Unknown parameter|الصفحات=ignored (help) - (إنگليزية) . 56. doi:10.1067/mge.2002.125105. PMID 12085033.
{{cite journal}}: Cite journal requires|journal=(help); Missing or empty|title=(help); Unknown parameter|année=ignored (|date=suggested) (help); Unknown parameter|auteur=ignored (|author=suggested) (help); Unknown parameter|numéro=ignored (help); Unknown parameter|revue=ignored (help); Unknown parameter|titre=ignored (|title=suggested) (help); Unknown parameter|الصفحات=ignored (help) - (إنگليزية) . 50. doi:10.1007/s10620-005-2927-8. PMID 16133981.
{{cite journal}}: Cite journal requires|journal=(help); Missing or empty|title=(help); Unknown parameter|année=ignored (|date=suggested) (help); Unknown parameter|auteur=ignored (|author=suggested) (help); Unknown parameter|numéro=ignored (help); Unknown parameter|revue=ignored (help); Unknown parameter|titre=ignored (|title=suggested) (help); Unknown parameter|الصفحات=ignored (help) - (إنگليزية) . 95. doi:10.1111/j.1572-0241.2000.01685.x. PMID 10638584.
{{cite journal}}: Cite journal requires|journal=(help); Missing or empty|title=(help); Unknown parameter|année=ignored (|date=suggested) (help); Unknown parameter|auteur=ignored (|author=suggested) (help); Unknown parameter|numéro=ignored (help); Unknown parameter|revue=ignored (help); Unknown parameter|titre=ignored (|title=suggested) (help); Unknown parameter|الصفحات=ignored (help)
- (إنگليزية) . 198. doi:10.1016/j.amjsurg.2008.12.031.
- ^ (إنگليزية) نيو إنغلاند جورنال أوف ميديسين. 336 (26). doi:10.1056/NEJM199706263362607. PMID 9197218.
{{cite journal}}: Missing or empty|title=(help); Unknown parameter|السنة=ignored (help); Unknown parameter|الصفحات=ignored (help); Unknown parameter|العنوان=ignored (help); Unknown parameter|المؤلف=ignored (help) - ^ (إنگليزية) Trop Gastroenterol. 20 (4). PMID 10769604.
{{cite journal}}: Missing or empty|title=(help); Unknown parameter|السنة=ignored (help); Unknown parameter|الصفحات=ignored (help); Unknown parameter|العنوان=ignored (help); Unknown parameter|المؤلف=ignored (help) - ^ (إنگليزية) Radiographics. 19 (5). PMID 10489176.
{{cite journal}}: Missing or empty|title=(help); Unknown parameter|السنة=ignored (help); Unknown parameter|الصفحات=ignored (help); Unknown parameter|العنوان=ignored (help); Unknown parameter|المؤلف=ignored (help) - ^ (إنگليزية) Abdom Imaging. 25 (5). doi:10.1007/s002610000079. PMID 10931983.
{{cite journal}}: Missing or empty|title=(help); Unknown parameter|السنة=ignored (help); Unknown parameter|الصفحات=ignored (help); Unknown parameter|العنوان=ignored (help); Unknown parameter|المؤلف=ignored (help) - ^ (إنگليزية) AJR Am J Roentgenol. 171 (3). PMID 9725291.
{{cite journal}}: Missing or empty|title=(help); Unknown parameter|السنة=ignored (help); Unknown parameter|الصفحات=ignored (help); Unknown parameter|العنوان=ignored (help); Unknown parameter|المؤلف=ignored (help) - ^ (إنگليزية) J Comput Assist Tomogr. 23 (5). doi:10.1097/00004728-199909000-00004. PMID 10524843.
{{cite journal}}: Missing or empty|title=(help); Unknown parameter|السنة=ignored (help); Unknown parameter|الصفحات=ignored (help); Unknown parameter|العنوان=ignored (help); Unknown parameter|المؤلف=ignored (help) - ^ (إنگليزية) . doi:10.1111/j.1440-1746.2009.06113.x.
{{cite journal}}: Cite has empty unknown parameters:|numéro=and|الصفحات=(help); Cite journal requires|journal=(help); Missing or empty|title=(help); Unknown parameter|année=ignored (|date=suggested) (help); Unknown parameter|auteur=ignored (|author=suggested) (help); Unknown parameter|revue=ignored (help); Unknown parameter|titre=ignored (|title=suggested) (help) - ^ (إنگليزية) Abdom Imaging. 22 (4). doi:10.1007/s002619900227. PMID 9157867.
{{cite journal}}: Missing or empty|title=(help); Unknown parameter|السنة=ignored (help); Unknown parameter|الصفحات=ignored (help); Unknown parameter|العنوان=ignored (help); Unknown parameter|المؤلف=ignored (help) - ^ أ ب (إنگليزية) AJR Am J Roentgenol. 170 (6). PMID 9609160.
{{cite journal}}: Missing or empty|title=(help); Unknown parameter|السنة=ignored (help); Unknown parameter|الصفحات=ignored (help); Unknown parameter|العنوان=ignored (help); Unknown parameter|المؤلف=ignored (help) - ^ أ ب (إنگليزية) Gut. 46 (1). doi:10.1136/gut.46.1.103. PMID 10601064.
{{cite journal}}: Missing or empty|title=(help); Unknown parameter|السنة=ignored (help); Unknown parameter|الصفحات=ignored (help); Unknown parameter|العنوان=ignored (help); Unknown parameter|المؤلف=ignored (help) - ^ أ ب (إنگليزية) World J Surg. 27 (3). doi:10.1007/s00268-002-6701-1. PMID 12607051.
{{cite journal}}: Missing or empty|title=(help); Unknown parameter|السنة=ignored (help); Unknown parameter|الصفحات=ignored (help); Unknown parameter|العنوان=ignored (help); Unknown parameter|المؤلف=ignored (help) - ^ (إنگليزية) Am J Gastroenterol. 95 (2). doi:10.1111/j.1572-0241.2000.01763.x. PMID 10685746.
{{cite journal}}: Missing or empty|title=(help); Unknown parameter|السنة=ignored (help); Unknown parameter|الصفحات=ignored (help); Unknown parameter|العنوان=ignored (help); Unknown parameter|المؤلف=ignored (help) - ^ (إنگليزية) Rev Gastroenterol Disord. 3 (4). PMID 14668691.
{{cite journal}}: Missing or empty|title=(help); Unknown parameter|السنة=ignored (help); Unknown parameter|الصفحات=ignored (help); Unknown parameter|العنوان=ignored (help); Unknown parameter|المؤلف=ignored (help) - ^ (إنگليزية) Surg Oncol Clin N Am. 11 (4). doi:10.1016/S1055-3207(02)00032-7. PMID 12607576.
{{cite journal}}: Missing or empty|title=(help); Unknown parameter|السنة=ignored (help); Unknown parameter|الصفحات=ignored (help); Unknown parameter|العنوان=ignored (help); Unknown parameter|المؤلف=ignored (help) - ^ Image d'une cholangiopancréatographie IRM d'un cholangiocarcinome Archived 2016-03-03 at the Wayback Machine
- ^ (إنگليزية) Ann Surg. 235 (3). doi:10.1097/00000658-200203000-00011. PMID 11882761.
{{cite journal}}: Missing or empty|title=(help); Unknown parameter|السنة=ignored (help); Unknown parameter|الصفحات=ignored (help); Unknown parameter|العنوان=ignored (help); Unknown parameter|المؤلف=ignored (help) - ^ (إنگليزية) J Am Coll Surg. 185 (1). PMID 9208958.
{{cite journal}}: Missing or empty|title=(help); Unknown parameter|السنة=ignored (help); Unknown parameter|الصفحات=ignored (help); Unknown parameter|العنوان=ignored (help); Unknown parameter|المؤلف=ignored (help) - ^ (بالألمانية) Pathologie. 27 (4). doi:10.1007/s00292-006-0836-z. PMID 16758167.
{{cite journal}}: Missing or empty|title=(help); Unknown parameter|année=ignored (|date=suggested) (help); Unknown parameter|auteur=ignored (|author=suggested) (help); Unknown parameter|titre=ignored (|title=suggested) (help); Unknown parameter|الصفحات=ignored (help) - ^ (إنگليزية) . doi:10.1016/j.jhep.2009.12.006.
{{cite journal}}: Cite has empty unknown parameters:|numéro=and|الصفحات=(help); Cite journal requires|journal=(help); Missing or empty|title=(help); Unknown parameter|année=ignored (|date=suggested) (help); Unknown parameter|auteur=ignored (|author=suggested) (help); Unknown parameter|revue=ignored (help); Unknown parameter|titre=ignored (|title=suggested) (help) - ^ (إنگليزية) Ann Surg. 223 (4). doi:10.1097/00000658-199604000-00007. PMID 8633917.
{{cite journal}}: Missing or empty|title=(help); Unknown parameter|السنة=ignored (help); Unknown parameter|الصفحات=ignored (help); Unknown parameter|العنوان=ignored (help); Unknown parameter|المؤلف=ignored (help) - ^ Cas de l'opérabilité d'un cholangiocarcinome hilaire Archived 2016-03-03 at the Wayback Machine
- ^ Voir Le traitement du cholangiocarcinome intrahépatique, section La chirurgie.
- ^ (إنگليزية) . 130. ISSN 0004-0010. PMID 7534059.
{{cite journal}}: Cite journal requires|journal=(help); Missing or empty|title=(help); Unknown parameter|année=ignored (|date=suggested) (help); Unknown parameter|auteur=ignored (|author=suggested) (help); Unknown parameter|numéro=ignored (help); Unknown parameter|revue=ignored (help); Unknown parameter|titre=ignored (|title=suggested) (help); Unknown parameter|الصفحات=ignored (help) - ^ (إنگليزية) . 89. doi:10.1046/j.1365-2168.2002.02268.x.
{{cite journal}}: Cite journal requires|journal=(help); Missing or empty|title=(help); Unknown parameter|année=ignored (|date=suggested) (help); Unknown parameter|auteur=ignored (|author=suggested) (help); Unknown parameter|numéro=ignored (help); Unknown parameter|revue=ignored (help); Unknown parameter|titre=ignored (|title=suggested) (help); Unknown parameter|الصفحات=ignored (help) - ^ (إنگليزية) . 10. doi:10.1007/s10330-011-0738-2.
{{cite journal}}: Cite journal requires|journal=(help); Missing or empty|title=(help); Unknown parameter|année=ignored (|date=suggested) (help); Unknown parameter|auteur=ignored (|author=suggested) (help); Unknown parameter|numéro=ignored (help); Unknown parameter|revue=ignored (help); Unknown parameter|titre=ignored (|title=suggested) (help); Unknown parameter|الصفحات=ignored (help) - ^ (إنگليزية) Int J Radiat Oncol Biol Phys. 46 (3). PMID 10701737.
{{cite journal}}: Missing or empty|title=(help); Unknown parameter|السنة=ignored (help); Unknown parameter|الصفحات=ignored (help); Unknown parameter|العنوان=ignored (help); Unknown parameter|المؤلف=ignored (help) - ^ (إنگليزية) Int J Radiat Oncol Biol Phys. 28 (4). PMID 8138448.
{{cite journal}}: Missing or empty|title=(help); Unknown parameter|السنة=ignored (help); Unknown parameter|الصفحات=ignored (help); Unknown parameter|العنوان=ignored (help); Unknown parameter|المؤلف=ignored (help) - ^ (إنگليزية) Ann Oncol. 10 Suppl 4. PMID 10436826.
{{cite journal}}: Missing or empty|title=(help); Unknown parameter|السنة=ignored (help); Unknown parameter|الصفحات=ignored (help); Unknown parameter|العنوان=ignored (help); Unknown parameter|المؤلف=ignored (help) - ^ (إنگليزية) Ann Surg. 221 (6). doi:10.1097/00000658-199506000-00017. PMID 7794082.
{{cite journal}}: Missing or empty|title=(help); Unknown parameter|السنة=ignored (help); Unknown parameter|الصفحات=ignored (help); Unknown parameter|العنوان=ignored (help); Unknown parameter|المؤلف=ignored (help) - ^ (إنگليزية) Cancer. 95 (8). doi:10.1002/cncr.10831. PMID 12365016.
{{cite journal}}: Missing or empty|title=(help); Unknown parameter|السنة=ignored (help); Unknown parameter|الصفحات=ignored (help); Unknown parameter|العنوان=ignored (help); Unknown parameter|المؤلف=ignored (help) - ^ قالب:وصلة بي دي إف Traitement chirurgical du cholangiocarcinome du hile
- ^ قالب:وصلة بي دي إف Traitement chirurgical du cholangiocarcinome périphérique
- ^ (إنگليزية) Ann Oncol. 7 (6). PMID 8879373.
{{cite journal}}: Missing or empty|title=(help); Unknown parameter|السنة=ignored (help); Unknown parameter|الصفحات=ignored (help); Unknown parameter|العنوان=ignored (help); Unknown parameter|المؤلف=ignored (help) - ^ (إنگليزية) Am J Clin Oncol. 23 (4). doi:10.1097/00000421-200008000-00023. PMID 10955877.
{{cite journal}}: Missing or empty|title=(help); Unknown parameter|السنة=ignored (help); Unknown parameter|الصفحات=ignored (help); Unknown parameter|العنوان=ignored (help); Unknown parameter|المؤلف=ignored (help) - ^ (إنگليزية) Jpn J Clin Oncol. 35 (2). doi:10.1093/jjco/hyi021. PMID 15709089.
{{cite journal}}: Missing or empty|title=(help); Unknown parameter|السنة=ignored (help); Unknown parameter|الصفحات=ignored (help); Unknown parameter|العنوان=ignored (help); Unknown parameter|المؤلف=ignored (help) - ^ (إنگليزية) Ann Oncol. 17 Suppl 7. PMID 16760299.
{{cite journal}}: Missing or empty|title=(help); Unknown parameter|السنة=ignored (help); Unknown parameter|الصفحات=ignored (help); Unknown parameter|العنوان=ignored (help); Unknown parameter|المؤلف=ignored (help) - ^ (إنگليزية) Oncology (Williston Park). 17 (9 Suppl 8). PMID 14569844.
{{cite journal}}: Missing or empty|title=(help); Unknown parameter|السنة=ignored (help); Unknown parameter|الصفحات=ignored (help); Unknown parameter|العنوان=ignored (help); Unknown parameter|المؤلف=ignored (help) - ^ (إنگليزية) J Clin Oncol. 23 (10). doi:10.1200/JCO.2005.51.008. PMID 15800324.
{{cite journal}}: Missing or empty|title=(help); Unknown parameter|السنة=ignored (help); Unknown parameter|الصفحات=ignored (help); Unknown parameter|العنوان=ignored (help); Unknown parameter|المؤلف=ignored (help) - ^ (إنگليزية) J Clin Oncol. 24 (19). doi:10.1200/JCO.2005.05.3579. PMID 16809731.
{{cite journal}}: Missing or empty|title=(help); Unknown parameter|السنة=ignored (help); Unknown parameter|الصفحات=ignored (help); Unknown parameter|العنوان=ignored (help); Unknown parameter|المؤلف=ignored (help) - ^ (إنگليزية) Valle, Juan, Wasan, Harpreet, Palmer, H. Daniel, Cunningham, David, Anthoney, Alan, Maraveyas, Anthony, Madhusudan, Srinivasan, Iveson, Tim, Hughes, Sharon, Pereira, P. Stephen, Roughton, Michael, Bridgewater, John, the ABC-02 Trial Investigators, Cisplatin plus Gemcitabine versus Gemcitabine for Biliary Tract Cancer N Engl J Med 2010;362:1273-81.
- ^ قالب:مق
- ^ (إنگليزية) Japanese Journal of Clinical Oncology. 29 (3). doi:10.1093/jjco/29.3.147. PMID 10225697.
{{cite journal}}: Missing or empty|title=(help); Unknown parameter|السنة=ignored (help); Unknown parameter|الصفحات=ignored (help); Unknown parameter|العنوان=ignored (help); Unknown parameter|المؤلف=ignored (help) - ^ (إنگليزية) Mayo Clin Proc. 70 (5). doi:10.4065/70.5.425. PMID 7537346.
{{cite journal}}: Missing or empty|title=(help); Unknown parameter|السنة=ignored (help); Unknown parameter|الصفحات=ignored (help); Unknown parameter|العنوان=ignored (help); Unknown parameter|المؤلف=ignored (help) - ^ (إنگليزية) Am J Surg. 161. doi:10.1016/0002-9610(91)91111-U.
{{cite journal}}: Missing or empty|title=(help); Unknown parameter|السنة=ignored (help); Unknown parameter|الصفحات=ignored (help); Unknown parameter|العنوان=ignored (help); Unknown parameter|المؤلف=ignored (help) - ^ Chirurgie radicale des cholangiocarcinomes périphériques Archived 2016-03-03 at the Wayback Machine
- ^ Cholangiocarcinome périphérique, voir le tableau au paragraphe Résultats, par Yves-Patrice Le Treut.
وصلات خارجية
- American Cancer Society Detailed Guide to Bile Duct Cancer.
- Patient information on extrahepatic bile duct tumors, from the National Cancer Institute.
- Cancer.Net: Bile Duct Cancer
- The Cholangiocarcinoma Foundation: a resource for patients, friends, caregivers and loved ones of those affected by bile duct cancer.
- The Alan Morement Memorial Fund, the UK's only charity dedicated to the disease
- World Cholangiocarcinoma Day 2018
- CS1 errors: unsupported parameter
- CS1 errors: missing title
- CS1 maint: unflagged free DOI
- Short description is different from Wikidata
- Pages using infobox medical condition with unknown parameters
- Articles containing إنگليزية-language text
- Pages using Lang-xx templates
- صفحات بها وصلات إنترويكي
- صفحات بها وصلات إنترويكي للإزالة
- مقالات مميزة
- أورام الجهاز الهضمي
- طب الكبد
- سرطانات نادرة
- أسباب معدية للسرطان
