هربس بسيط

هربس بسيط
تصنيفات ومصادر خارجية
Herpes(PHIL 1573 lores).jpg
هربس شفهي على الشفة السفلى. Note the blisters in a group marked by an arrow.
ICD-10 A60., B00., G05.1, P35.2
ICD-9 054.0, 054.1, 054.2, 054.3, 771.2
DiseasesDB 5841 33021
eMedicine med/1006 
MeSH D006561

الهرپس (إنگليزية: Herpes؛ باليونانية قديمة: ἕρπης - herpes، حرفياً "الزاحف") هي اصابة فيروسية متكررة بسيطة (في العادة) تصيب الجلد، و تنتج عن فيروس الهربس البسيط herpes simplex virus إختصارا (HSV)، ومعظم الإصابات تمر بدون أن يتم ملاحظتها أو تشخيصها. يقسم الهربس البسيط إلى هربس فموي يؤدي إلى تقرحات حول الفم أو في الوجه، والهربس التناسلي حيث تصاب الاعضاء التناسليه بالتقرحات، أو الأرداف أو منطقة الشرج. الهربس التناسلي من الأمراض التي تنتقل بالاتصال الجنسي. يمكن الإصابة به حتى عند ممارسة الجنس الفموي. يمكن للفيروس أن ينتشر ويعدي حتى عند عدم وجود القروح. كما يمكن ان تصيب الامهات اطفالهن أثناء الولادة.

بعض الأفراد لا يظهرون أي أعراض للإصابة، بينما أغلبية الأفراد يظهر لديهم قروح بالقرب من المنطقة التي دخل منها الفيروس إلى الجسم. تتحول هذه التقرحات إلى بثور، وتصبح حاكة ومؤلمة، ثم تلتئم لاحقاً. هذا الفيروس يمكن ان يكون خطيرا عند حديثي الولادة أو في الأفراد ذوي جهاز المناعة الضعيف.

البثور حول الفم

فيروس الهربس البسيط، ينتمي إلى عائلة فيروسات تسمى فيروسات الهربس تشمل عدة فيروسات مثل فيروس إيبشتاين-بار و الفَيْروسُ النُّطَاقِيُّ الحُماقِيّ الذي يسبب جدري الماء. وعلى الرغم من تواجد عدة أنواع من هذه العائلة إلا أن الإصابة بأحدها لا يعني الإصابة بباقي الأنواع بشكل آلي.

يقسم الهربس البسيط إلى نوعان: فيروس الهربس البسيط من النوع 1 (hsv-1) وفيروس الهربس البسيط من النوع 2 (hsv-2). غالبية حالات الهربس الشفوي تنجم عن hsv-1 وأغلبية حالات هربس الأعضاء التناسلية تنجم عن hsv-2 ؛ ومع ذلك ، فالنوع - 1 أو النوع - 2 يمكن ان يتسببان بحدوث الإصابة في أي منطقة سواء الأعضاء التناسلية أو الشفوية.

العلامات والأعراض

الحالة الوصف صورة
Herpetic gingivostomatitis Herpetic gingivostomatitis is often the initial presentation during the first herpes infection. It is of greater severity than herpes labialis which is often the subsequent presentations. Around 90% of the U.S. population is affected with this disease.[1]
Herpesgingiva.JPG
Herpes labialis Infection occurs when the virus comes into contact with oral mucosa or abraded skin.
Cold sore.jpg
Herpes genitalis When symptomatic, the typical manifestation of a primary HSV-1 or HSV-2 genital infection is clusters of inflamed papules and vesicles on the outer surface of the genitals resembling cold sores.
SOA-Herpes-genitalis-female.jpg
Herpetic whitlow Herpes whitlow is a painful infection that typically affects the fingers or thumbs. Occasionally infection occurs on the toes or on the nail cuticle.
Herpeticwhitolow.JPG
Herpes gladiatorum Individuals that participate in contact sports such as wrestling, rugby, and soccer sometimes acquire a condition caused by HSV-1 known as herpes gladiatorum, scrumpox, wrestler’s herpes, or mat herpes, which presents as skin ulceration on the face, ears, and neck. Symptoms include fever, headache, sore throat and swollen glands. It occasionally affects the eyes or eyelids.
Herpetic keratoconjunctivitis Primary infection typically presents as swelling of the conjunctiva and eye-lids (blepharoconjunctivitis), accompanied by small white itchy lesions on the surface of the cornea.
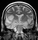
Herpesviral encephalitis A herpetic infection of the brain that is thought to be caused by the retrograde transmission of virus from a peripheral site on the face following HSV-1 reactivation, along the trigeminal nerve axon, to the brain. HSV is the most common cause of viral encephalitis. When infecting the brain, the virus shows a preference for the temporal lobe.[2].
Hsv encephalitis.jpg
Herpesviral meningitis HSV-2 is the most common cause of Mollaret's meningitis, a type of recurrent viral meningitis.
Neonatal herpes simplex Neonatal HSV infection is a rare but serious condition, usually caused by vertical transmission of HSV (type 1 or 2) from mother to newborn.
أثناء immunodeficiency In patients with a weakened immune system, herpes simplex can cause unusual lesions in the skin. One of the most striking is the appearance of clean linear erosions in skin creases, with the appearance of a knife cut.[3]
Herpetic sycosis Herpetic sycosis is a recurrent or initial herpes simplex infection affecting primarily the hair follicle.[4]:369
Eczema herpeticum Infection with herpesvirus in patients with chronic atopic dermatitis may result in spread of herpes simples throughout the eczematous areas.[4]:373
Herpes esophagitis Symptoms may include painful swallowing (odynophagia) and difficulty swallowing (dysphagia). It is often associated with impaired immune function (e.g. HIV/AIDS, immunosuppression in solid organ transplants).
Herpes esophagitis.JPG

اقترانه بالاضطرابات العصبية

شلل بل

مرض ألزايمر

انتقال العدوى

أي شخص نشط جنسيا يمكن أن يصاب بالهربس التناسلية. و يمكن أن ينقلها لاحقا إلى شريكه بعد الزواج. و الهربس ينتقل مباشرة من خلال إتصال الجلد مع الجلد. ويحدث هذا عندما يتم تماس بين جلد مصاب مع مع جلد به شقوق بسيطة أو اغشيه و أنسجة مخاطيه، كما هو الحال في الفم والأعضاء التناسلية. و في المقابل فالتلامس ضمن منطقة جلد سليم ضمن أعضاء الجسم الأخرى لن يؤدي إلى إصابة كون الجلد في باقي المناطق سميك جدا ليستطيع هذا الفيروس إختراقه. اذا قام شخص مصابا التناسلي بعملية بالتزاوج مع شخص سليم فإحتمال انتقال الهربس التناسلي له وارد جدا. و نفس الأمر لمن هو مصاب بالهربس الشفوي و قام بأداء جنس فموي لشخص سليم، فقد يؤدي ذلك أيضا إلى إصابة الشريك السليم يالهربس و لكم من النوع التناسلي. و العكس صحيح حيث يمكن لشخص مصاب بهربس تناسلي أن ينقل العدوى على شكل هربس شفوي عند عملية الجنس الفموي.

الهربس التناسليه يمكن ان تنتقل عن طريق الاتصال الجنسي سواء عند ظهور الأعراض ، و أحيان عند عدم وجود أعراض. فهنالك عدة أيام على مدار العام (تنشيط بدون أعراض، ذرف بدون أعراض أو ذرف دون سريري) يتواجد الفيروس خلالها على سطح الجلد بدون ظهور أعراض على الجلد. و يمكن أن ينتقل الهربس عن طريق الاتصال الجنسي خلال هذه الفترة.

لا توجد حالات إصابات موثقه عن إصابات بالهربس التناسليه بسبب مقاعد المرحاض ، وأحواض الاستحمام ، أو استعمال المناشف. فالهربس فيروس هش جدا و لا يعيش طويلا على اسطح الأغراض الخارجية كالمناشف و الأدوات.

عملية الإصابة

أحد الأمور التي تميز الفيروسات عائلة الهربس عن غيرها من أنواع الفيروسات هو ما يطلق عليه الخفاء فالهربس البسيط و غيرها فيروسات الهربس لها القدرة على انشاء مستعمرة صغيرة ولكنها مستديمة من الجزيئات الفيروسيه داخل الجسم. هذه المستعمرة في العادة خامله تماما ، نائمة، ولكنها تبقى موجودة في الجسم مدى الحياة بعد الإصابة.

ففي اللحظة التي تصل بها الفيروسات إلى داخل الجسم تبدأ بصنع نسخ عن نفسها بهد الانتشار داخل الجسم. هذه العملية قد تنتج أعراض بسيطة غير ملحوظة و قد تؤدي إلى حالات مرضية صعبة ، و كرد على تكاثر الفيروسات فإن الجهاز المناعي يحشد طاقته لهجوم و لجم إنتشار الفيروس.

و سواء ظهرت أعراض ام لم تظهر فالفيروس ينوي البقاء في الجسم و لتجنب الجهاز المناعي ، يتراجع الفيروس على طول المسارات العصبيه ، باحثا عن ملاذ امن في نهاية الخط العصبي أو ما يسمى بالعقده. في حالات الهربس التناسلي ، سيتراجع الفيروس هاربا إلى العقده الواقعة عند قاعدة العمود الفقري. و في حالة الهربس الشفوى فالفيروسات ستجد طريقها إلى عقدة العصب الثُّلاَثِيُّ التَّوائِم في الجزء العلوي من العمود الفقري. و في هذه العقد ، سيبقى الفيروس خاملا لفترة غير محددة من الوقت مما يعطيه الحماية المطلوبة ضد جهاز المناعة.

ظاهرة الخفاء أو الكمون هي عملية مشابه لدورة النوم. في جوهرها ، ينأى الفيروس إلى ملاذ آمن وينام ، أحيانا لفترات طويلة. ولسوء الحظ ، في خلال خمول الفيروس، يمكن لأحداث بيولوجية مختلفة ان تتسبب في تنشيطه مما يجعله يتحرك و يسافر مع الأعصاب من العقد العصبية في العمق الأمن ليعود إلى الجلد. حيث يمكن للفايروس ان يسبب العلامات والاعراض مرة أخرى و أن يصيب شخصا أخر بالعدوى، مع ملاحظة أنها قد لا تتسبب بأي أعراض أو تتسبب بإعراض خفيفة رغم نشاطها و قدرتها على العدوى في تلك الحالة.

الوقاية

حماية بالعزل، مثل الواقي الذكري، الذي يمكنه تخفيض المخاطر نقل الهربس.

العلاج

تداوي مضاد للفيروسات

The antiviral medication acyclovir


العلاجات الموضعية

أدوية أخرى

احتمالات تطور المرض

المجتمع والثقافة

البحث العلمي

انظر أيضا

الهامش

  1. ^ "PRIMARY INFECTION OR PRIMARY HERPETIC GINGIVOSTOMATITIS (PHG )".
  2. ^ http://emedicine.medscape.com/article/341142-overview eMedicine
  3. ^ Jocelyn A. Lieb, Stacey Brisman, Sara Herman, Jennifer MacGregor, Marc E. Grossman (2008). "Linear erosive Herpes Simplex Virus infection in immunocompromised patients: the "Knife-Cut Sign"". Clin Infect Dis. 47: 1440–1441. doi:10.1086/592976.{{cite journal}}: CS1 maint: multiple names: authors list (link)
  4. ^ أ ب James, William D.; Berger, Timothy G.; et al. (2006). Andrews' Diseases of the Skin: clinical Dermatology. Saunders Elsevier. ISBN 0-7216-2921-0. {{cite book}}: Explicit use of et al. in: |author= (help)CS1 maint: multiple names: authors list (link)

وصلات خارجية

عامة

صور

غيرها