سرطان بطانة الرحم
| سرطان بطانة الرحم التصنيف و موارد خارجية | |
| سرطانة غدية تجتاح النسيج العضلي تحتها | |
| ت.د.أ.-10 | قالب:ت.د.أ.10 |
| ت.د.أ.-9 | قالب:ت.د.أ.9 |
| مدلاين بلس | 000910 |
سرطان بطانة الرحم إنگليزية: Endometrial cancer مصطلح يشير إلى عدة أمراض خبيثة تنشأ من بطانة الرحم، يعد سرطان بطانة الرحم أكثر السرطانات النسائية حدوثاً في الولايات المتحدة حيث تشخص به أكثر من 35 ألف امرأة سنوياً، وهو الثالث من حيث التسبب بالوفاة حيث يتبع سرطاني المبايض وعنق الرحم في التسبب بالوفاة.
أكثر أنواع سرطان بطانة الرحم شيوعاً هو السرطانة الشبيهة ببطانة الرحم إنگليزية: endometrioid adenocarcinoma التي تصيب النساء بعد الإياس (انقطاع الطمث) وتنتج عم فرط إفراز الإستروجين في الجسم مما يؤدي إلى حدوث فرط تنسج في بطانة الرحم، عادة ما يظهر بصورة نزف مهبلي.
تصنيفات
السرطانات
غالبية سرطانات بطانات الرحم سرطانات غدية إنگليزية: Adenocarcinoma تنشأ من الخلايا الطلائية المبطنة للرحم والتي تحوي غدد بطانة الرحم، هنالك عدة تصنيفات ميكروسكوبية لسرطانات بطانة الرحم منها الشبيه ببطانة الرحم إنگليزية: endometrioid والذي يبدو كنمو طبيعي في خلايا بطانة الرحم (إلا أنه يحدث بعد الإياس حيث من المفترض أن بطانة الرحم ضامرة]] و يتطور ليصبح فرط تنسج. و من التصنيفات الميكروسكوبية أيضا السرطانة الحليمية المصلية إنگليزية: papillary serous carcinoma و السرطانة ذات الخلايا الصافية إنگليزية: clear cell carcinomas و اللذان يعدان أكثر عدوانية من غيرهم.
لوحظ أن سرطانات بطانة الرحم يمكن أن تقسم إلى نمطين متمايزين هما:[1]
- النمط الأول: السرطانات التي تصيب النساء قبل سن الإياس أو خلاله، و تكون ناتجة عن فرط تعرض للاستروجين دون البروجسترون مما يسبب فرط تنسج في بطانة الرحم، تكون هذه السرطانات إما متوضعة أو غازية بشكل محدود و خلاياها متمايزة وتحمل معها فرص شفاء جيدة مع العلاج.
- النمط الثاني: السرطانات التي تصيب النساء بعد الإياس و في سن متقدم ولكنها غير مرتبطة بزيادة الاستروجين في الجسم، غالباً ما تصيب النساء من أصول أفريقية أمريكية و يكون مآلها أسوأ من سرطانات النمط الأول. من هذه السرطانات:
- السرطانة الشبيهة ببطانة الرحم قليلة التمايز إنگليزية: high grade endometrioid Adenocarcinoma
- السرطانة الحليمية المصلية إنگليزية: papillary serous carcinoma
- السرطانة ذات الخلايا الصافية إنگليزية: clear cell carcinomas
ساركوما

بخلاف السرطانة، تنشأ ساركونا بطانة الرحم (النادرة الحدوث) من الأنسجة الضامة التي تحيط ببطانة الرحم، أما الساركوما السرطانية فهي خبث يحتوي الخلايا الغدية الطلائية و خلايا الأنسجة الضامة معاً ومازال منشأ هذه الخلايا غير محدد.[2]
الأعراض
- نزف مهبلي لمن هن في عمر الإياس (ويكون بشكل نزف خارج أوقات الطمث لدى النساء في سن الحيض)
- اضطرابات حيضية
- فقر دم ناتج عن فقدن الدم بشكل متواصل على فترة زمنية طويلة.
- وجع البطن ومغص في منطقة الحوض.
- إفرازات مهبلية بيضاء أو شفافة لدى النساء في عمر الإياس.
عوامل الخطر
- فرط إفراز الاستروجين
- فرط تنسج بطانة الرحم
- السمنة (زيادة الوزن)
- فرط ضغط الدم
- متلازمة المبيض متعدد الكيسات
- عدم الولادة
- العقم
- بدء الحيض المبكر
- الإياس المتأخر
- حليمات بطانة الرحم أو ليف الرحم
- السكري
- التداوي بعقار التاموكسيفين
- التعرض الففرط للأشعة
- سرطان الثدي
- سرطان المبيض
- استهلاك الكحول بكمات كبيرة [3]
التشخيص
ليس هناك حاجة لإجراء مسح أو تحر لدى النساء اللائي لا تظهر عليهن أية أعراض، و المرض قابل للفاء إذا ما تم كشفه في المراحل الأولى، لتفادي حدوث هذا النوع من السرطان يعمد الأطباء و لتشخيص المرض يعمد الأطباء إلى إجراء الفحوص التالية على النسوة اللائي تظهر عليهن أعراض أو اللائي لديهن عدة عوامل اختطار.
- لطاخة بابا نيكولا إنگليزية: Pap smear
- كشط الرحم وهو الطريقة المثلى للتشخيص.
- إذا لم يعط كشط الرحم معلومات كافية يمكن للطبيب إجراء توسيع و كشط إنگليزية: Dilatation & curettage لتحصيل عينة كافية.
- التنظير داخل الرحم
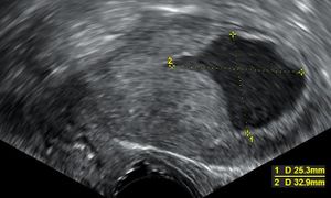
- التصوير فائق الصوت عبر المهبل
الفسيولوجيا المرضية
|
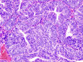
تتفاوت النتائج التي تظهر في معمل الباثولجيا في حالات سرطانة بطانة الرحم، أكثر النتائج تحصيلاً هي "سرطانة متمايزة شبيهة ببطانة الرحم" التي تمثل النمط الأول، و قد تظهر نتائج أكثر خبثاً عندما يكون التشخيص الميكروسكوبي للنمط الثاني.
الفحص

في 12 فبراير 2021، نجح باحثون بريطانيون في رصد سرطان بطانة الرحم من خلال فحص بول بسيط، في خيار أقل إيلاماً من الفحوص المعتمدة حالياً لهذه الغاية. يجري حالياً تشخيص هذا المرض لدى النساء بالاعتماد على خزعة، أي سحب عينة خلايا من داخل الرحم، مما يتطلب أحياناً إدخال مجهر رفيع. وتتسبب هذه التقنية في ألم لدى النساء، كما يتعين على 31% من المريضات إعادة الفحص مرة ثانية، بسبب مشكلات تقنية أو آلام مبرحة تحول دون إتمام الفحص، حسب وكالة الصحافة الفرنسية.[6]
وبينت الدراسة التي نشرتها مجلة نيتشر كومونيكيشنز أن هذا النظام الجديد سمح بتشخيص صحيح بنسبة 91.7% لدى نساء كن يعانين فعلاً من سرطان بطانة الرحم، وهو مرض مختلف عن سرطان عنق الرحم الذي يرصد من خلال فحص بسيط يعرف بلطاخة باب الرحم. ولدى النساء اللواتي لم يكن يعانين من سرطان بطانة الرحم، بيّن الفحص فعالية في التشخيص السلبي بنسبة 88.9%.
وقالت الأستاذة الجامعية إيما كروسبي المشرفة على الدراسة في بيان إن: "نتائجنا تظهر إمكان رصد الخلايا السرطانية في الرحم من خلال تحليل مجهري للبول والعينات المهبلية". وأشارت إلى أن هذه الطريقة قد تتيح "فرز السيدات اللاتي يشتبه في إصابتهن بسرطان الرحم"، من أجل إخضاعهن لفحوص أكثر تعمقاً في حال تسجيل نتيجة إيجابية.، وأضافت: "أما النساء اللواتي يظهرن تشخيصاً سلبياً فيمكن تطمينهن من دون الحاجة لاتباع مسارات مزعجة واقتحامية ومقلقة ومكلفة".
ولفتت الأستاذة الجامعية في علم الأورام النسائية إلى أن هذه الدراسة الواعدة التي تناولت حتى الساعة 216 امرأة بينهن 103 كن يشتبهن أو يعرفن بإصابتهن بسرطان الرحم، يجب "تأكيدها في إطار دراسة أوسع". ويعتبر سرطان بطانة الرحم سادس السرطانات الأكثر شيوعاً لدى النساء مع حالة 382.000 إصابة مشخصة جديدة و89.900 وفاة ناجمة عن المرض في العالم عام 2018.
سرطانة بطانة الرحم
الغرن

الهيستوپاثولوجيا
مراحل تطور الورم
تُصنف مراحل تطور سرطان بطانة الرحم جراحياً باستخدام نظام [[الاتحاد الدولي لطب النساء والتوليد الخاص بمراحل تطور السرطان. نظام 2009 موضح كالتالي:[7]
| المرحلة | الوصف |
|---|---|
| IA | الورم يقتصر على الرحم مع غزو أقل من نصف عضلة الرحم |
| IB | الورم يقتصر على الرحم مع غزو أكثر من نصف عضلة الرحم |
| II | الورم يشمل الرحم وسدى عنق الرحم |
| IIIA | الورم يغزو المشيمة أو ملحقات الرحم |
| IIIB | انتشار في الرحم و/أو مجاورات الرحم |
| IIIC1 | انتشار في العقد اللمفاوية في الحوض |
| IIIC2 | انتشار في العقد اللمفاوية شبه الأبهرية، مع أو بدون انتشار في العقد اللمفاوية في الحوض |
| IVA | الورم يغزو الغشاء المخاطي للمثانة و/أو الغشاء المخاطي المعوي |
| IVB | النقيلات البعيدة وتشمل النقيلات البطنية و/أو العقد اللمفاوية الإربية |
-
المرحلة 1أ وأ1 من سرطان بطانة الرحم.
-
المرحلة 2 من سرطان بطانة الرحم.
-
المرحلة الثالثة من سرطان بطانة الرحم.
-
المرحلة الرابعة من سرطان بطانة الرحم.
الادارة
الجراحة

مآل المرض
معدلات النجاة
| Stage | 5-معدل النجاة السنوي |
|---|---|
| I-A | 88% |
| I-B | 75% |
| II | 69% |
| III-A | 58% |
| III-B | 50% |
| III-C | 47% |
| IV-A | 17% |
| IV-B | 15% |
انظر أيضاً
المراجع
- ^ Bokhman JV (1983). "Two pathogenetic types of endometrial carcinoma". Gynecol. Oncol. 15 (1): 10–7. doi:10.1016/0090-8258(83)90111-7. PMID 6822361.
- ^ Richard Cote, Saul Suster, Lawrence Weiss, Noel Weidner (Editor) (2002). Modern Surgical Pathology (2 Volume Set). London: W B Saunders. ISBN 0-7216-7253-1.
{{cite book}}:|author=has generic name (help)CS1 maint: multiple names: authors list (link) - ^ "Thirteen studies to date have reported on the relationship between endometrial cancer and alcohol consumption. Only two of these studies have reported that endometrial cancer incidence is associated with consumption of alcohol; all the others have reported either no definite association, or an inverse association." (Six studies showed an inverse association; that is, drinking was associated with a lower risk of endometrial cancer) "…if such an inverse association exists, it appears to be more pronounced in younger, or premenopausal, women."[3] "Our results suggest that only alcohol consumption equivalent to 2 or more drinks per day increases risk of endometrial cancer in postmenopausal women."
- ^ خطأ استشهاد: وسم
<ref>غير صحيح؛ لا نص تم توفيره للمراجع المسماةWCR2014Epi - ^ خطأ استشهاد: وسم
<ref>غير صحيح؛ لا نص تم توفيره للمراجع المسماةSuh - ^ "فحص للبول يتيح الكشف عن سرطان بطانة الرحم". جريدة الشرق الأوسط. 2021-02-13. Retrieved 2021-02-13.
- ^ "Stage Information for Endometrial Cancer". National Cancer Institute. Retrieved 23 April 2014.
- ^ "Survival by stage of endometrial cancer". American Cancer Society. 2 March 2014. Retrieved 10 June 2014.

