ارتجاع معدي مريئي
| ارتجاع معدي مريئي | |
|---|---|
| الأسماء الأخرى | gastro-oesophageal reflux disease (GORD), gastric reflux disease, acid reflux disease, reflux, gastroesophageal reflux |
| النطق | |
| التخصص | طب الجهاز الهضمي |
الجزر المعدي المريئي [4] Gastroesophageal reflux disease والمعروف أيضاً بمرض ارتجاع المريء، الارتجاع المعدي المريئي، مرض غورد، أو ارتجاع المعدة، هو مرض ارتجاع الحمض المعدي ويعرف بأنه تلف أو ضرر مزمن بالغشاء المخاطي نتيجة عن ارتداد غير طبيعي لحمض المعدة إلى المريء.[5] وأعراضه الأساسية هي حموضة (حرقة في المعدة).
يحدث عادة نتيجة لتغييرات دائمة أو مؤقتة في الحاجز بين المريء والمعدة. يمكن أن يكون راجعا إلى عدم كفاءة العضلة العاصرة في أسفل المرئ، تراخي مؤقت في عضلة المريء العاصرة السفلية وضعف طرد ارتداد الحمض المعدي من المريء أو فتق الحجاب الحاجز.
من أسباب الارتجاع المريئي هو تناول الغذاء والنوم مباشرة . حيث يساعد الوضع الأفقي للجسم على سيولة عصارة المعدة وخروجها قليلا من المعدة في المريء . فهذا يتسبب في التهاب الجزء السفلي من المريء عند مدخل المعدة. ويجب عند الشعور بهذا الارتجاع بشرب قليلا من الماء على الفور حتى لا تؤثر أحماض المعدة على جدران المريء.
هناك نوع مختلف من الارتجاع الحمضي الذي يسبب أعراضا في الحنجرة والجهاز التنفسي يسمى الارتجاع الحنجري البلعومي ويسمى أيضا ارتجاع خارج المريء. خلافا لارتجاع المريء، الارتجاع الحنجري البلعومي عادة لا يسبب حرقة (حموضة)، وبالتالي فهو يسمى أحيانا الارتجاع الصامت.
العلامات والأعراض
الكبار
الأعراض الأكثر شيوعا من ارتجاع المريء هي:
- الحموضة
- القلس
- صعوبة في البلع (عسر البلع)
أعراض أقل شيوعا تشمل:
- ألم مع البلع (بلع مؤلم)
- اللعاب الزائد (هذا أمر شائع أثناء الحموضة)، لأن اللعاب مادة قلوية قليلا [6] فتكون زيادته استجابة طبيعية من الجسم للحموضة، فهو يعمل كمادة معادلة للحمض.
- غثيان [7]
- ألم الصدر
ارتجاع المريء يسبب في بعض الأحيان إصابة المريء. وهذه الإصابات تشمل ما يلي:
- التهاب المريء الارتجاعي- موت الخلايا المكونة للغشاء المخاطي للمريء مما يسبب تقرحات في أسفل المريء بالقرب من اتصاله بالمعدة.
- ضيق المريء- ضيق دائم بالمريء نتيجة الالتهاب الناتج عن الارتجاع.
- تحول باريت في المريء إنگليزية: Barrett's esophageal metaplasia- تغييرات في خلايا الغشاء المخاطي المبطن لأسفل المريء من صدفية إلى عمودية.
- سرطان المريء إنگليزية: Esophageal adenocarcinoma- شكل نادر من السرطان.
هناك العديد من الأعراض غير النمطية الأخرى ترتبط مع ارتجاع المريء، لكن هناك أدلة جيدة عن العلاقة السببية بينهم فقط عندما تكون مصحوبة بإصابة المريء. هذه الأعراض هي:
- السعال المزمن
- رائحة فم كريهة جدا
- التهاب الحنجرة (بحة الصوت)
- الربو
- تآكل مينا الأسنان
- فرط حساسية الأسنان
- التهاب الجيوب الأنفية وتلف الأسنان [8]
بعض الناس اقترح أن أعراض مثل التهاب البلعوم، التهاب الجيوب الأنفية، التهابات الأذن المتكررة والتليف الرئوي الغامض من جراء ارتجاع المريء، ولكن لم يثبت دور للمرض في تسبيب هذه الأعراض.
الأطفال
مرض (غيرد) قد يكون من الصعب الكشف عنه في الرضع والأطفال. قد تختلف الأعراض عن الأعراض النمطية التي تحدث للكبار. ارتجاع المريء في الأطفال قد يسبب التقيؤ المتكرر، البصق بدون جهد، السعال ومشاكل أخرى في الجهاز التنفسي. البكاء بدون سبب، عدم زيادة الوزن الكافي، رفض تناول الطعام، سوء رائحة النفس والتجشؤ أيضا من الأعراض الشائعة. قد يشكو الأطفال من عرض واحد فقط أو عدة أعراض—حيث لا يوجد عرض واحد معروف عالميا في جميع الأطفال الذين يعانون من ارتجاع المريء.
الأعراض الشائعة لمرض الارتجاع لدى الأطفال
- التهيج والألم، في بعض الأحيان صراخ مفاجئ عند النوم. البكاء المستمر أو البكاء المفاجئ أو أعراض مثل (المغص). يمكن للأطفال أن يبكوا بدون سبب وخصوصا عند النوم على الظهر.
- قلة النوم مع تقوس العنق والظهر أثناء أو بعد الرضاعة
- ترجيع جزء كبير من الرضعة أو التقيؤ
- التجشؤ المتكرر أو الفواق (الزغطة) المتكرر.
- زيادة اللعاب أو زيادة إفرازات الأنف
- مشاكل في البلع، الرغبة في القيء والاختناق
- التهابات الأذن المتكررة أو احتقان الجيوب الأنفية
- الأطفال الرضع غالبا ما يعانوا من الانتفاخ الشديد وصعوبة شديدة في التجشؤ بعد الرضاعة.
- رفض الطعام أو الطعام المتكرر للشعور بالراحة
- السعال الليلي، سبب رئيسي في أن ارتجاع المريء من الممكن أن يسبب توقف التنفس ومشاكل في الجهاز التنفسي مثل الربو والالتهاب الشعبي والالتهاب الرئوي إذا تم استنشاق محتويات المعدة.
- سوء رائحة النفس—رائحة حمضية
- رائحة زنخه (حمضيه) للحفاضات مع لين البراز. التبرز يمكن أن يكون متكرر جدا أو قد يحدث للرضيع إمساك.
قيء ما بعد الرضاعة
ترجيع بعض اللبن بعد الرضاعة طبيعي جدا مع معظم الأطفال الرضع. على الرغم من أنهم يزيدون في الوزن ويرضعون بشكل جيد وليس لديهم أعراض أخرى، لكن لا يزال يمكن أن يكون هذا مزعج للآباء والأمهات. عندما يكبر الطفل تصبح العضلة العاصرة السفلية للمريء أكثر كفاءة لذلك ينبغي أن يبدأ ظهور علامات تحسن وتقل عدد مرات وكمية التقيؤ، في النهاية يتوقف تماما. بعض الأطفال يعانون بصورة أكبر من ارتجاع المريء وحوالي 60٪ من هؤلاء الأطفال مع استمرار الارتجاع قد يعانون من مشاكل في اكتساب الوزن. من المفاهيم الخاطئة الشائعة جدا أن جميع الأطفال الرضع والأطفال الذين يعانون من ارتجاع المريء لديهم نقص في الوزن. هذا ليس هو الحال دائما فبعض الأطفال يرضعون بصورة جيدة جدا وليس كل الأطفال يكونوا مرضى. كثير من الأطباء ينصحون بأن الأطفال يتغلبون على ارتجاع المريء بمجرد أن يمكنهم الجلوس، أو بمجرد أن يستطيعوا الوقوف. إن الكثيرين فعلا يتغلبون عليه، لكن البعض ليس فقط لا يتحسنون، لكن سوف تسوء حالتهم بشكل ملحوظ مع مراحل النمو، التسنين، الأمراض الفيروسية والفطام.
الارتجاع الصامت
بعض الأطفال مع الارتجاع لا يتقيئون على الإطلاق. هذا في الواقع مشكلة كبيرة، لأن محتويات المعدة الحمضية تذهب للأعلى وتصل إلى الحلق ثم ترجع للأسفل مرة أخرى، مما يسبب ضعف الألم وضعف الضرر. ليست هناك علاقة واضحة بين الأعراض وشدة الارتجاع.
يقدر أن ما يقرب من 4 ملايين طفل يولدون في الولايات المتحدة كل عام، يصل إلى 35٪ منهم قد يواجهون مشاكل الارتجاع في الأشهر القليلة الأولى من حياتهم، والمعروف بالبصق معظم هؤلاء الأطفال سوف يتغلب على الارتجاع قبل بلوغهم عامهم الأول. مع ذلك، فإن عددا صغيرا لكنه مهم منهم لا يتغلب على المرض. خاصة عندما يكون هناك تاريخ عائلي من ارتجاع المريء.
مريء (باريت)
مقالة مفصلة: مريء باريت
قد يؤدي ارتجاع المريء إلى (مرئ باريت)، وه حالة مرضية تحدث فيها أضرار في بطانة أسفل المريء و تحول في الخلايا، وهو بدوره حالة تمهيدية للسرطان. خطر الانتقال من باريت إلى السرطان غير مؤكد لكنه يقدر بحوالي 20٪ من الحالات.[9] بسبب الخطر من تقدم الحموضة المزمنة إلى باريت، يوصي بعمل منظار مريئي معدي معوي (EGD) كل 5 سنوات لمرضى الحموضة المزمنة، أو الذين يتعاطون أدويه ارتجاع المريء المزمن. [بحاجة لمصدر]
أسباب الحدوث :
- نمط الحياة المحتوى بعض السلوكيات الخاطئة مثل التدخين و السمنة و الكحول و الجلوس في أوضاع غير صحية .
- الأدوية بعضها قد يسبب ارتجاع حمضى في المرئ , لذا يجب مراجعة النشرة الداخلية للأدوية لمعرفة ما اذا كانت تسبب هذه الحالة من أعراضها الجانبية أم لا .
- العادات الغذائية الخاطئة مثل : الوجبات الثقيلة و الأكل قبل النوم بفترة قليلة .
- بعض الأطعمة تسبب زيادة الحالة مثل : الطعام عال] الدهون، و الطعام المحمر، والطعام الحريف، و التوابل الكثيرة، والشوكولاتة، والأطعمة الحمضية مثل الليمون و الطماطم , و كذلك الثوم و البصل، و بعض المشروبات التى تحتوى على الكافيين أو الفواكه الحمضية .
- بعض الحالات الطبية مثل : الحمل أو مرض السكر أو الزيادة السريعة في الوزن .
أعراض الحالة :
- يعتبر الشعور بحرقان في الصدر هو الشكل الابرز لمرضى ارتجاع المرئ , حيث يتصف هذا الشعور بـ ؛
- احساس بالحرقة في وسط الصدر خلف عظمة القص في المنتصف , وغالباً ما يبدأ في الجزء العلوى من البطن حيث يتصل المرئ بالمعدة , ثم يمتد إلى أعلى .
- قد يستمر الاحساس بالحرقة لفترة تصل لساعتين .
- الاحساس بالحرقة يسوء بعد الوجبات .
- الاستلقاء او الميل بالرأس قد يسبب زيادة الأحساس بالحرقة .
- الحرقة لا تزداد بممارسة الرياضة او الانشطة الجسدية .
لكن لا يجب ان ننسى بعض الأعراض الاخرى التى قد تدل على وجود ارتجاع حمضى بالمرئ مثل
- اندفاع حمض لاذع إلى الزور اثناء النوم او الاستلقاء .
- طعم لاذع في الفم .
- سعال مستمر غير مصحوب ببلغم .
- صوت مبحوح خصوصاً في الصباح .
- احساس انقباض في الصدر كما لو كانت قطعة طعام تقف فيه .
في الاطفال قد تكون الشكوى في صورة سعال و تقيؤ مستمر و مشاكل تنفسية .
التشخيص

المعرفة التفصيلية للتاريخ المرضي أمر حيوي لإجراء تشخيص دقيق. الفحوصات المفيدة قد تشمل مراقبة الرقم الهيدروجيني للمريء(درجة الحامضية أو القلوية)، والأشعة السينية مع ابتلاع الباريوم، واختبار المانوميتري {{إنج>manometry}} ومنظار مريئي معدي معوي[EGD].
حاليا الطريقة الرئيسية لتشخيص (غيرد) هي مراقبة الرقم الهيدروجيني للمريء. هذا هو الاختبار الأدق لتشخيص المرض ويستخدم أيضا لمراقبة استجابة المرضى للعلاج الدوائي أو الجراحي. إحدى طرق التشخيص هي العلاج لفترة قصيرة بمثبطات ضخ البروتون (دواء يقلل إفراز الحمض المعدي)، حدوث تحسن الأعراض عند تناول هذا الدواء يؤكد التشخيص. وفقا للمراجعة المنهجية لنتائج الأبحاث، المعالجة قصيرة الأمد بمثبطات ضخ البروتون قد يساعد على التنبؤ بالنتائج غير الطبيعية لاختبار (متابعة درجة الحموضة ل24 ساعة) بين المرضى الذين يعانون من أعراض ترجح ارتجاع المريء.[10][10] في هذه الدراسة، النسبة الإيجابية لإستجابة الأعراض التي تؤكد ارتجاع المريء تراوحت بين 1.63-1.87، مع حساسية 0.78٪ على الرغم من أن خصوصية الاختبار لم يكن سوى 0.54 ٪.
بشكل عام، المنظار المرئي المعدي المعوي يتم عندما لا يستجيب المريض جيدا للعلاج أو لديه أعراض خطرة منبهة مثل عسر البلع، فقر الدم(أنيميا)، دم في البراز (يكشف عنه كيميائيا)، أو أصوات عالية أثناء التنفس، فقدان الوزن، أو تغيير الصوت. يؤيد بعض الأطباء إجراء منظار إما مرة واحدة في الحياة أو كل 5 إلى 10 سنوات للمرضى الذين يعانون من ارتجاع المريء لمدة طويلة، لتقييم احتمال وجود تحول في الخلايا أو مريء باريت، وهو الإصابة الممهدة لسرطان المريء(ادينوكارسينوما المريء).
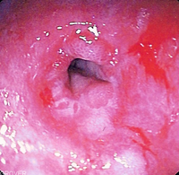
المنظار المرئي المعدي المعوي (EGD) (نوع من أنواع المناظير) يتم عن طريق إدخال منظار رفيع عن طريق الفم والحلق في المريء والمعدة (غالبا ما يكون المريض تحت التخدير) وذلك لتقييم الأسطح الداخلية للمريء والمعدة والاثنى عشر.
يمكن أخذ عينات خلال المنظار وهذه قد تظهر:
- ورم وتضخم الخلايا القاعدية (تغيرات التهابية غير محددة)
- التهابات ليمفاوية (غير محددة)
- التهابات مع زيادة الخلايا النيوتروفيلية (neutrophilic inflamation) (عادة نتيجة التهاب المعدة بسبب بكتيريا هليكوباكتر أو نتيجة الارتجاع)
- التهاب مع زيادة الخلايا الأزينوفيلي Eosinophilic) inflamation) (عادة بسبب الارتجاع)
- تحول في خلايا الأمعاء الكأسية Goblet cell intestinal metaplasia أو مريء باريت
- استطالة في الحليمات
- ترقق طبقة الخلايا الحرشفية
- النمو الشاذ أو ما قبل السرطان
- السرطان
تغييرات الارتجاع قد تكون طبيعتها غير آكله (مدمرة) للخلايا، مما يؤدي إلى "مرض ارتجاع غير آكل (غير مدمر)".
الفيزيولوجيا المرضية

گرد يحدث بسبب فشل في العضلة الصمامية بين المريء والمعدة. في الأشخاص الأصحاء، (الزاوية His)الزاوية التي يدخل بها المريء إلى المعدة تخلق صمام يمنع مادة الصفراء من الاثنى عشر، الأنزيمات وحمض المعدة من الرجوع مرة أخرى إلى المريء حيث أنها يمكن أن تسبب حرق والتهاب في أنسجه المريء الحساسة.
العوامل التي يمكن أن تسهم في غيرد:
- فتق الحجاب الحاجز، مما يزيد من احتمال ارتجاع المريء نتيجة لعوامل الحركة والميكانيكية.[11][12]
- السمنة: زيادة كتلة الجسم يرتبط مع زيادة شدة ارتجاع المريء.[13].في 2000 مريض ممن يعانون من أعراض مرض الارتجاع، تبين أن 13٪ من تغيرات حموضة المريء يعزي إلى التغيرات في مؤشر كتلة الجسم
- متلازمة (زولينجر إيليسون)، التي يمكن أن تسبب زيادة إفراز أحماض المعدة بسبب زيادة إنتاج هرمون الجاسترين{gastrin}
- زياده نسبة الكالسيوم بالدم، التي يمكن أن تزيد من إنتاج هرمون جاسترين، مما يؤدي إلى زيادة إفراز حامض المعدة.
- مرض تصلب الجلد والتصلب الجهازي systemic sclerosis scleroderma، الذي يمكن أن يسبب اضطراب في حركة المريء
- استعمال الأدوية مثل بريدنيزولون
- متلازمة جلينارد (Glenard syndrome)، المعدة تغرق في البطن مما يؤدي إلى الإخلال بالحركة المعدية وإفراز حمض المعدة.
تم الربط بين مرض الارتجاع (غيرد) ومجموعة متنوعة من أعراض الحنجرة والجهاز التنفسي مثل التهاب الحنجرة، السعال المزمن، التليف الرئوي، ألم الأذن والربو، حتى مع عدم وجود أعراض إكلينيكية للارتجاع. هذه المظاهر الغير نمطية من ارتجاع المريء تعود إلى ارتجاع حنجري بلعومي أو ارتجاع خارج البلعوم.
العوامل التي تم ربطها مع ارتجاع المريء ولكن ليس بشكل قاطع:
- انسداد وتوقف التنفس أثناء النوم
- حصوات المرارة، التي يمكن أن تعوق تدفق الصفراء إلى الاثنى عشر مما يؤثر على القدرة على معادلة حمض المعدة
في عام 1999، استعراض الدراسات الموجودة، أظهر أن حوالي 40٪ من مرضى ارتجاع المريء لديهم أيضا عدوى بكتيريا (هليكوباكتر بيلوري) الإصابة ببكتيريا هليكوباكتر بيلوري يمكن أن يؤدي إلى زيادة في إفراز حامض المعدة، [14] مما يؤدي إلى التساؤل ما إذا كان المرضى المصابين ب(غيرد) وهليكوباكتر بيلوري مختلفين عن المرضى المصابين ب(غيرد) بدون البكتيريا. دراسة مزدوجة أعلن عنها في عام 2004، وجدت أنه لايوجد فرق إكلينيكي واضح بين هذين النوعين من المرضى فيما يتعلق بالقياسات الموضوعية أو الذاتية لشدة المرض.[15]
الوقاية
تجنب الأكل والنوم مباشرة . عادة ما يحدث شفاء للأعراض عن طريق رفع مقدمة السرير، بحيث يرتفع الجزء العلوي من الجسم على الوسائد أو النوم في وضع الجلوس . تجنب الوسائد التي ترفع الرأس فقط، لأن هذا لا يفيد كثيرا للحموضة ويسبب ضغطا مستمرا على الرقبة. أكل وجبة كبيرة يؤدي إلى زيادة إفراز حمض المعدة. يمكن التقليل من الأعراض عن طريق تناول وجبات صغيرة متكررة بدلا من وجبات كبيرة، خاصة وجبة العشاء يجب أن تكون خفيفة وقبل النوم بفترة كافية. للحد من الأعراض، ينصح بتجنب بعض الأطعمة التي تحفز زيادة إفراز الحامض أو ارتخاء الفتحة بين المعدة والمريء. مثل الفواكة الحمضية أو عصيرها، والأطعمة الدهنية، والمعجنات والقهوة والشاي والبصل والنعناع والشوكولاتة والأطعمة التي تحتوي على كمية كبيرة من التوابل، خصوصا قبل وقت قصير من النوم.[16] في حين أنه من الواضح أن هناك فوائد صحية أخرى مرتبطة بالتعديلات في النظم الغذائية، التوصيات لفرض قيود غذائية غير قائمة على أدلة علمية، هناك دعم أقوى لفكرة أن التقليل من أعراض الارتجاع يحدث عن طريق تغيرات سلوكية مثل تناول طعام أقل ورفع الرأس أثناء النوم. الملابس الضيقة حول البطن يمكن أيضا أن تزيد من الحموضة لأنها تسبب ضغط على المعدة، مما يمكن أن يسبب ارتجاع المواد الغذائية وأحماض المعدة إلى المريء.
العلاج
هناك ثلاثة أنواع من العلاجات لارتجاع المريء. وتشمل تعديلات في نمط الحياة، الأدوية والجراحة.
تعديلات نظام الحياة
- النظام الغذائي
بعض الأطعمة وأنماط الحياة كانت تعتبر من العوامل التي تزيد الارتجاع، لكن دراسة عام 2006 أظهرت أنه لا يوجد دليل على تأثير معظم التدخلات الغذائية؛ فقط تأثير فقدان الوزن ورفع رأس السرير هما ما تدعمها الأدلة العلمية.[17] أظهرت دراسة تتبع عشوائي فوائد تجنب تناول الطعام قبل ساعتين من موعد النوم.[18]
في حالة الشعور باسترجاع مريئي فيجب شرب قليلا من الماء فورا لإعادة ما خرج من المعدة إليها ، وبذلك تتم حماية المريء. وفي حالة الاسترجاع المريئي المتعب ، فيمكن اراحة المعدة بتناول بطاطس مسلوقة أو موز أو جبن قليل الدسم ، أو غذاء خضروات قليل الدسم مثل الباذنجان والكوسة (القرع) من دون صلصة طماطم لمدة يومين أو ثلاثة.
العوامل التالية قد تؤدي إلى تفاقم أعراض ارتجاع المريء :
- مضادات الحمض المكونة من كربونات الكالسيوم ولكن (ليس هيدروكسيد الألومنيوم) وجد أنها في الواقع تزيد من إفراز الحمض في المعدة. على الرغم من أنها تخفض الحموضة في أسفل المريء، يظل التأثير النهائي هو زيادة أعراض ارتجاع المريء
- التدخين يقلل من كفاءة الصمام السفلي للمريء.
- وضع الجسم
ظهر أن النوم على الجانب الأيسر يقلل من الأعراض الليلية للارتجاع.[19]
هناك دراسات {تحليلية أظهرت أن رفع رأس السرير هو علاج فعال، لكن هذه النتيجة كانت معتمدة فقط على دراسات على عينات غير عشوائية. يمكن رفع رأس السرير بواسطة روافع من البلاستيك أو الخشب، وسائد علاجية، المراتب القابلة للنفخ أو سرير المستشفى المزود بخاصية رفع الرأس. درجة الارتفاع أمر بالغ الأهمية ويجب أن تكون على الأقل من 6 إلى 8 بوصات (15 إلى 20 سنتيمتر)لتكون فعالة لمنع ارتجاع سوائل المعدة. بعض المراتب (innerspring) لا تكون مفيدة عندما تميل للأعلى وتسبب آلام الظهر، يفضل البعض مراتب الفوم (foam mattress). بعض الأطباء يستخدم درجات أعلى من الانحدار من التي تستخدم عادة من 6 إلى 8 بوصة (15 إلى 20 سم) ويدعون حدوث نجاح أكبر.
العلاج الدوائي
عدد من الأدوية ثبت أنها تعالج ارتجاع المريء، وهي من بين أكثر الأدوية التي يتم وصفها في البلدان الغربية.
- (مثبط مضخة البروتون) proton pump inhebitor مثل omeprazole، دواء الإسومبيرازول، pantoprazol ،lansoprazole وrabeprazole هي الأكثر فعالية في الحد من إفراز حمض المعدة. هذه العقاقير توقف إفراز الحمض في منطقة إنتاج الحمض، أي مضخة البروتون.
- مواد تغلق مستقبلات H2 في المعدة (مثل رانيتيدين، فاموتيدين والسيميتيدين) يمكن أن تقلل من إفراز حمض المعدة. هذه الأدوية من الناحية الفنية مضادات للهيستامين. تعالج الأعراض في حوالي 50٪ من جميع مرضى ارتجاع المريء. بالمقارنة مع استخدام العلاج الوهمي (دراسة يتم فيها المقارنة بين مجموعتين من المرضى إحداهما تستخدم العلاج الفعال والأخرى تستخدم علاج وهمي) الذي يرتبط أيضا مع تحسن الأعراض.
- مضادات الحموضة قبل وجبات الطعام أو عند حدوث الأعراض يمكن أن تقلل من حموضة المعدة.
- حامض الألجنيك (Gaviscon) قد يغلف الغشاء المخاطي، كذلك يزيد الرقم الهيدروجيني (يقلل درجة الحموضة) ويقلل الارتجاع. دراسات تحليلية لتجارب أظهرت أن حمض الألجنيك قد يكون أكثر العلاجات غير الموصوفة طبيا فعالية مع عددnnt أربعة
- (بروكاينيتيكس) يقوي الصمام السفلي للمريء ويسرع تفريغ المعدة. Cisapride عضوا في هذه الفئة، تم سحبة، من السوق لأنه يسبب متلازمة كيو تي. Reglan (ميتوكلوبراميد) هو بروكاينتك مع آثار جانبية أقل.
- ساكرافلايت (كارافايت) مفيد أيضا كعامل مساعد في المساعدة على الشفاء ومنع الضرر الناجم عن ارتجاع المريء، ومع ذلك فإنه يجب أن يؤخذ عدة مرات يوميا وساعتين على الأقل (2) قبل وجبات الطعام والأدوية.
- (موسابرايد سيترات) هو محفز مستقبلات 5 - HT4 ويستخدم خارج الولايات المتحدة على نطاق واسع لعلاج ارتجاع المريء وعسر الهضم
التجارب السريرية التي تقارن بين علاجات جيرد توفر للأطباء معلومات هامة. للأسف معظم الدراسات التي تتم برعاية شركات الادوية تكون ضد العلاج الوهمي وفي صالح العلاج الدوائي. مع ذلك، أظهرت دراسة (دياموند) التكافؤ بين فعالية العلاج المتدرج للأعلى (مضادات الحموضة، تليها مضادات الهستامين، تليها مثبطات مضخة البروتون) والعلاج المتدرج للأسفل (العكس). نقطة النهاية الأساسية من هذه الدراسة هو نجاح العلاج بعد 6 أشهر، وتم الشفاء بنسبة 70٪ من المرضى في طريقة العلاج المتدرج للأسفل مقابل 72٪ من المرضى في طريقة العلاج المتدرج للأعلى
العلاج الجراحي
العلاج الجراحي الأساسي هوعملية نيسن. في هذا الإجراء يتم لتف الجزء العلوي من المعدة حول الصمام السفلي في المريء لتقوية العضلة العاصرة المكونة للصمام لمنع ارتداد الحمض وإصلاح فتق الحجاب الحاجز. في كثير من الأحيان يتم إجراء هذه العملية عن طريق المنظار.[20] بالمقارنة مع العلاجات الدوائية، عملية نيسن بالمنظار لها نتائج أفضل في خلال سنة.[21] وبالإضافة إلى ذلك، فإن عملية نيسن بالمنظار من الممكن أن تؤدي إلى خفض درجة (استبيان نوعية الحياة) بين المرضى الذين يعانون من ارتجاع المريء بالمقارنة مع العلاج الدوائي وفقا لمنهجية كوكران في مراجعة نتائج التجارب.[22] كانت هناك تحسينات كبيرة مثبتة إحصائيا في نوعية الحياة في خلال 3 أشهر وسنة بعد الجراحة مقارنة مع العلاج الطبي، نتيجة استبيان نوعية الحياة تظهر اختلاف -5.23 درجة في صالح العملية الجراحية (cl95%=-6.83to-6.82)
هناك علاج آخر قديم لم يعد يتم استخدامه هو vagotomy (قطع العصب الحائر)، وهو عبارة عن استئصال جراحي لفروع العصب الحائر الذي يغذي جدار المعدة. هذا العلاج تم استبداله بالعلاج الدوائي.
علاج آخر هو إجراء ربط الجزء العلوي من المعدة حول الصمام السفلي للمريء عن طريق الفم وبدون جرح خارجي incisionless transoral وذلك باستخدام جهاز يسمى Esophyx، الذي يسمح للأطباء بإعادة بناء الصمام بين المعدة والحجاب الحاجز عن طريق المريء.[23]
العلاجات الأخرى
في عام ٢٠٠٠ وافقت هيئة الولايات المتحدة للأغذية والدواء على جهازين منظار لعلاج الحموضة المزمنة. أحدهما، Endocinch، يضع غرز في الصمام السفلي للمريء لإنشاء طيات صغيرة تساعد على تقوية العضلات. مع ذلك، كانت النتائج على المدى الطويل مخيبة للآمال، والجهاز لم يعد يباع من قبل (بارد). والجهاز الآخر (Stretta)، يستخدم أقطاب كهربائية لتطبيق طاقة ذات ترددات لاسلكية على الصمام السفلي للمريء. نتائج الطريقتين على المدى الطويل بالمقارنة مع عملية نيسن لا يزال يجري تحديدها.
بعد ذلك لم تتم الموافقة على (plicator) من قبل إدارة الأغذية والعقاقير الفيدرالية لعلاج ارتجاع المريء بالمنظار. و(Plicator) جهاز يحدث طيات أو ثنايات، من الأنسجة بالقرب من التقاء المعدة والمريء، وهذه الطيات يتم تثبيتها عن طريق غرز جراحية. الشركة أوقفت العمليات التي تستخدم هذا الجهاز في منتصف عام 2008، والجهاز لم يعد يباع في السوق.
كان هناك علاج آخر يعتمد على حقن مادة خلال المنظار إلى جدار المريء السفلي تم استخدامه لنحو عام واحد انتهي في أواخر عام 2005. تم تسويقها تحت اسم (Enteryx). ثم تم شطبه من السوق نتيجة لعدة تقارير عن مضاعفات بسبب الحقن في أماكن خاطئة.
الحمل
في أثناء الحمل يمكن محاولة إتباع تعديلات في النظام الغذائي وتغيير نمط الحياة ولكن غالبا ما يكون لها أثر ضعيف. إذا كانت هذه التغييرات غير فعالة ينصح باستخدام مضادات الحموضة التي تحتوي على الكالسيوم. مضادات الحموضة التي تحتوي على الألومنيوم والمغنيسيوم أيضا آمنة وكذلك رانيتيدين.
المراجع
- ^ "Definition of "gastro-" - Collins American English Dictionary".
- ^ "Definition of "esophagus" - Collins American English Dictionary".
- ^ "reflux noun - Definition, pictures, pronunciation and usage notes - Oxford Advanced American Dictionary at OxfordLearnersDictionaries.com".
- ^ المعجم الطبي الموحد
- ^ DeVault KR, Castell DO (1999). "Updated guidelines for the diagnosis and treatment of gastroesophageal reflux disease. The Practice Parameters Committee of the American College of Gastroenterology". Am. J. Gastroenterol. 94 (6): 1434–42. doi:10.1111/j.1572-0241.1999.1123_a.x. PMID 10364004.
- ^
{{cite web}}: Empty citation (help) - ^ Kahrilas, PJ (2008). "Clinical practice. Gastroesophageal reflux disease". New England Journal of Medicine. 359 (16): 1700–1707. doi:10.1056/NEJMcp0804684. PMID 18923172.
- ^
{{cite web}}: Empty citation (help) - ^ [15] ^ مرئ باريت. المجدد في 2009-01-09.
- ^ أ ب Numans, ME; Lau, J; De Wit, NJ; Bonis, PA (2004). "Short-term treatment with proton-pump inhibitors as a test for gastroesophageal reflux disease: a meta-analysis of diagnostic test characteristics". Annals of internal medicine. 140 (7): 518–27. PMID 15068979.
- ^ Sontag S (1999). "Defining GERD". Yale J Biol Med. 72 (2–3): 69–80. PMC 2579007. PMID 10780568.
- ^ Piesman M, Hwang I, Maydonovitch C, Wong RK (2007). "Nocturnal reflux episodes following the administration of a standardized meal. Does timing matter?". Am. J. Gastroenterol. 102 (10): 2128–2134. doi:10.1111/j.1572-0241.2007.01348.x. PMID 17573791.
{{cite journal}}: CS1 maint: multiple names: authors list (link) - ^ Ayazi S, Crookes P, Peyre C, (2007). "Objective documentation of the link between gastroesophageal reflux disease and obesity". Am. J. Gastroenterol. 102 (S): 138–139.
{{cite journal}}: CS1 maint: extra punctuation (link) CS1 maint: multiple names: authors list (link) - ^ El-Omar E, Oien K, Nujuni AE; et al. (1997). "Helicobacter pylori infection and chronic gastric acid hyposecretion". Gastroenterology. 113 (1): 15–24. PMID 9207257.
{{cite journal}}: Explicit use of et al. in:|author=(help)CS1 maint: multiple names: authors list (link) - ^ C.A. Fallone, A.N. Barkun, S. Mayrand, G. Wakil, G. Friedman, A. Szilagyi, C. Wheeler & D. Ross (2004). "There is no difference in the disease severity of gastro-oesophageal reflux disease between patients infected and not infected with Helicobacter pylori". Aliment Pharmacol Ther. 20 (7): 761–768. doi:10.1111/j.1365-2036.2004.02171.x. PMID 15379836.
{{cite journal}}: CS1 maint: multiple names: authors list (link) - ^ [38] ^ تغيير نمط الحياة لعلاج الحموضة WebMD
- ^ Kaltenbach T, Crockett S, Gerson LB (2006). "Are lifestyle measures effective in patients with gastroesophageal reflux disease? An evidence-based approach". Arch. Intern. Med. 166 (9): 965–71. doi:10.1001/archinte.166.9.965. PMID 16682569.
{{cite journal}}: CS1 maint: multiple names: authors list (link) - ^ Piesman M, Hwang I, Maydonovitch C, Wong RK (2007). "Nocturnal reflux episodes following the administration of a standardized meal. Does timing matter?". Am. J. Gastroenterol. 102 (10): 2128–34. doi:10.1111/j.1572-0241.2007.01348.x. PMID 17573791.
{{cite journal}}: CS1 maint: multiple names: authors list (link) - ^ Khoury, RM (1999). "Influence of spontaneous sleep positions on nighttime recumbent reflux in patients with gastroesophageal reflux disease". Am. J. Gastroenterol. 94 (8): 2069–73. doi:10.1111/j.1572-0241.1999.01279.x. PMID 10445529.
{{cite journal}}: Unknown parameter|coauthors=ignored (|author=suggested) (help) - ^ Abbas A, Deschamps C, Cassivi SD; et al. (2004). "The role of laparoscopic fundoplication in Barrett's esophagus". Annals of Thoracic Surgery. 77 (2): 393–396. doi:10.1016/S0003-4975(03)01352-3. PMID 14759403.
{{cite journal}}: Explicit use of et al. in:|author=(help)CS1 maint: multiple names: authors list (link) - ^ Grant AM, Wileman SM, Ramsay CR; et al. (2008). "Minimal access surgery compared with medical management for chronic gastro-oesophageal reflux disease: UK collaborative randomised trial". BMJ. 337: a2664. doi:10.1136/bmj.a2664. PMC 2603580. PMID 19074946.
{{cite journal}}: Explicit use of et al. in:|author=(help)CS1 maint: multiple names: authors list (link) - ^ Wileman, SM; McCann, S; Grant, AM; Krukowski, ZH; Bruce, J; Wileman, Samantha M (2010). "Medical versus surgical management for gastro-oesophageal reflux disease (GORD) in adults". Cochrane database of systematic reviews (Online). 3: CD003243. doi:10.1002/14651858.CD003243.pub2. PMID 20238321.
- ^ "New Surgery For Acid Reflux Sufferers". CBS Interactive Inc. Jan. 16, 2009. Retrieved 2009-09-07.
{{cite news}}: Check date values in:|date=(help)
وصلات خارجية
- CS1 errors: empty citation
- CS1 errors: unsupported parameter
- Articles with hatnote templates targeting a nonexistent page
- Short description is different from Wikidata
- Pages using infobox medical condition with unknown parameters
- Articles containing إنگليزية-language text
- Pages using Lang-xx templates
- مقالات ذات عبارات بحاجة لمصادر
- أمراض المريء والمعدة والاثني عشر
- اضطرابات المريء
- اضطرابات المعدة
- حالات طبية مرتبطة بالسمنة
- مصطلحات طبية